A complex treatment of irreducible displacement of the temporomandibular joint disc and myofascial pain disorders with the use of botulinum toxin
- Authors: Ilyin A.A.1, Fazylova T.A.1, Demchinsky E.A.1, Olesova V.N.2, Olesov E.E.2
-
Affiliations:
- Dental Сlinic «Implantium»
- Academy of Postgraduate Education under the FSBU «Federal Scientific and Clinical Center for Specialized Medical Assistance and Medical Technologies of the Federal Medical Biological Agency»
- Issue: Vol 10, No 2 (2019)
- Pages: 14-20
- Section: Original Study Articles
- Submitted: 01.07.2019
- Accepted: 10.07.2019
- Published: 17.08.2019
- URL: https://clinpractice.ru/clinpractice/article/view/15181
- DOI: https://doi.org/10.17816/clinpract10214-20
- ID: 15181
Cite item
Full Text
Abstract
Background. An irreducible displacement of the articular disc (IDD) is one of the TMJ conditions characterized by complexity of clinical manifestations, severity and is always accompanied by myofascial pain disorders.
Objective. To improve the results of treatment of patients with TMJ IDD and myofascial pain syndromes.
Methods. We performed a clinical examination and treatment of 38 patients with irreducible displacement of the TMJ articular disc and myofascial pain disorders. As additional research methods, we used CBCT, MRI, EMG. A step-by-step treatment was conducted, including a drug therapy, injection of botulinum toxin type A (BTA) in the masticatory, temporal, lateral pterygoid muscles (LPM) bilaterally; repositional splint therapy; arthrocentesis with the lavage of both articular spaces.
Results. The overall effectiveness of the treatment was 97.4%. Out of 38 patients, 34 (89.5%) were treated without arthrocentesis with the complete restoration of the mandibular movement volume and elimination of pain syndrome.
Conclusions. An effective system has been developed for a sequential complex treatment of TMJ IDD; a new technique has been developed for a periarticular injection access to the LPM allowing administration of a drug to its upper and lower heads. The high efficiency of BTA injections in the treatment of TMJ IDD is due to the mandatory drug administration into 3 muscles: masticatory, temporal and lateral pterygoid. In the treatment of TMJ IDD, arthrocentesis is effective with lavage of the lower and upper articular spaces.
Full Text
ОБОСНОВАНИЕ
Переднее невправляемое смещение суставного диска височно-нижнечелюстного сустава (ВНЧС) — форма внутренних нарушений ВНЧС, завершающая этап их развития. Внутренние нарушения — это невоспалительные артикулярные заболевания ВНЧС, при которых изменяются пространственные взаимоотношения между головкой нижней челюсти, суставным диском, нижнечелюстной ямкой и суставным бугорком височной кости [1, 2].
В настоящее время обсуждается ряд причин развития внутренних нарушений ВНЧС, в частности нарушение окклюзии, стресс, тревога, травма жевательных мышц и сустава, патология нервной системы, дисфункция центральных структур, генетические факторы, дисплазия соединительной ткани [3-7]. Все указанные причины объединяет главный патологический фактор — дисфункция жевательных мышц.
Клинические проявления невправляемого смещения суставного диска (НССД) определяются тремя факторами — механическим препятствием (смещенный суставной диск), артралгией (реактивный синовит), миофасциальными расстройствами (гипертонус жевательных мышц, миалгия, миофасциальный болевой синдром лица).
При комплексном лечении НССД решаются следующие задачи: купирование воспалительного процесса и болевого синдрома; релаксация жевательных мышц; декомпрессия и репозиция суставного диска; устранение проявлений вторичного остеоартроза. Методы лечения НССД можно разделить на нехирургические (консервативные) и хирургические. Нехирургические методы включают применение нестероидных противоспалительных препаратов, местных анестетиков, анксиолитиков, миорелаксантов местного ботулинического токсина типа А или центрального действия, антидепрессантов, противосудорожных препаратов и сплинт-терапии, физиолечение [8-10]. Хирургические методы: артроцентез, артроскопия-лаваж, артроскопия-репозиция и фиксация суставного диска, открытая хирургия [11-13]. Особенности методов, их место в комплексном лечении, объем и последовательность применения постоянно обсуждаются.
Цель исследования — повышение эффективности лечения пациентов с НССД ВНЧС и миофасциальными болевыми синдромами.
МАТЕРИАЛЫ И МЕТОДЫ
Характеристика пациентов
В стоматологической клинике в условиях специализированного артрологического приема проведено обследование и лечение 38 пациентов в возрасте от 18 до 56 лет с невправляемым смещением суставного диска ВНЧС и миофасциальными болевыми расстройствами, из них 34 женщины и 4 мужчин.
Диагностическое обследование
При обращении в клинику пациент заполнял разработанную нами анкету с 16 вопросами, отражающими состояние функции ВНЧС и жевательных мышц. Проводилось стандартное клиническое обследование с анализом жалоб, оценкой общего и местного стоматологического статуса, пальпацией жевательной мускулатуры и мышц шеи. Движения нижней челюсти регистрировались в мм: расстояние между режущими краями верхних и нижних резцов, при боковых движениях и выдвижении челюсти кпереди. При постановке диагноза НССД ВНЧС использовались диагностические критерии международного консорциума по изучению диагностических критериев дисфункции ВНЧС [2]. Магнитно-резонансная томография (МРТ) ВНЧС выполнялась на томографе с напряженностью магнитного поля 1,5 Тл с использованием головной катушки в аксиальной кососагиттальной и кософронтальной плоскостях толщиной среза 3 мм в положении центральной окклюзии и при максимальном пассивном отведении нижней челюсти. Функциональные исследования жевательных мышц проводились на электромиографе «Синапсис» (НМФ «Нейротех», Таганрог). При оценке состояния костных структур ВНЧС и планировании сплинт-терапии применялась конусная лучевая компьютерная томография на томографе Vatech (Южная Корея).
Описание медицинского вмешательства
С целью релаксации жевательных мышц и устранения болевого синдрома всем пациентам проводились инъекции препарата ботулинического токсина. Препарат вводился билатерально в собственно жевательные мышцы в дозе 30 ЕД, в височные — 20 ЕД, в латеральные крыловидные мышцы — 20 ЕД на каждую сторону. Введение препарата в латеральные крыловидные мышцы осуществлялось через разработанный нами наружный параартикулярный инъекционный доступ под электромиографическим контролем при помощи аппарата «МИСТ» (НМФ «Нейротех», Таганрог).
Пациенты были разделены на две клинические группы:
- 1-я группа: 31 пациент с НССД ВНЧС, локальной миалгией, давностью заболевания до 6 мес, отсутствием или незначительными проявлениями дегенеративно-дистрофических изменений в тканях сустава (вторичного остеоартроза, связанного с внутренними нарушениями ВНЧС);
- 2-я группа: 7 пациентов с НССД ВНЧС и миофасциальным болевым синдромом лица, давностью заболевания от 6 мес до 2 лет.
У всех пациентов отмечалась симптоматика вторичного остеоартроза.
Всем пациентам проведено поэтапное лечение.
1-й этап. Купирование воспалительного процесса в тканях сустава, артралгии. Назначались нестероидные противовоспалительные препараты системно или местно на 3-5 дней (при наличии противопоказаний — гомеопатия), физиотерапия, охранительный режим (щадящая диета, ограничение движений нижней челюсти).
2-й этап. Инъекции ботулинического токсина с целью купирования миалгического спазма — в собственно жевательные, височные и латеральные крыловидные мышцы. Перед инъекциями проводились диагностические мероприятия для изготовления репозиционной шины: использование переднего депрограмматора для определения терапевтического положения нижней челюсти; изготовление гипсовых моделей; анализ окклюзионных взаимоотношений в артикуляторе SAM 3; анализ конусной лучевой компьютерной томографии ВНЧС, поверхностной электромиографии собственно жевательных и височных мышц.
3-й этап. Через 1,5-2 нед — оценка состояния функции ВНЧС и жевательных мышц. Припасовка и сдача репозиционной шины. Продолжение курса физиотерапии, миогимнастика.
4-й этап. Применение шины в режиме 2-3 часа днем и ночью с постепенным переходом к круглосуточному ношению шины. Коррекция шины проводилась на 2, 7, 14 и 21-й дни, в дельнейшем — осмотр 1 раз/мес на протяжении 3-6 мес.
У 4 пациентов через 2 нед после инъекции ботулинического токсина не наблюдалось положительной динамики, в связи с чем после припасовки шины им проведен артроцентез ВНЧС в амбулаторных условиях.
Оценка результатов лечения проводилась через 1, 3, 6 и 12 мес по основным критериям — расстояние между режущими краями верхних и нижних резцов и наличие/отсутствие боли.
РЕЗУЛЬТАТЫ ИССЛЕДОВАНИЙ
При лечении у всех пациентов постепенно достигнуто полное восстановление открывания рта: от 15-18 мм в начале лечения до 38-42 мм через год наблюдения.
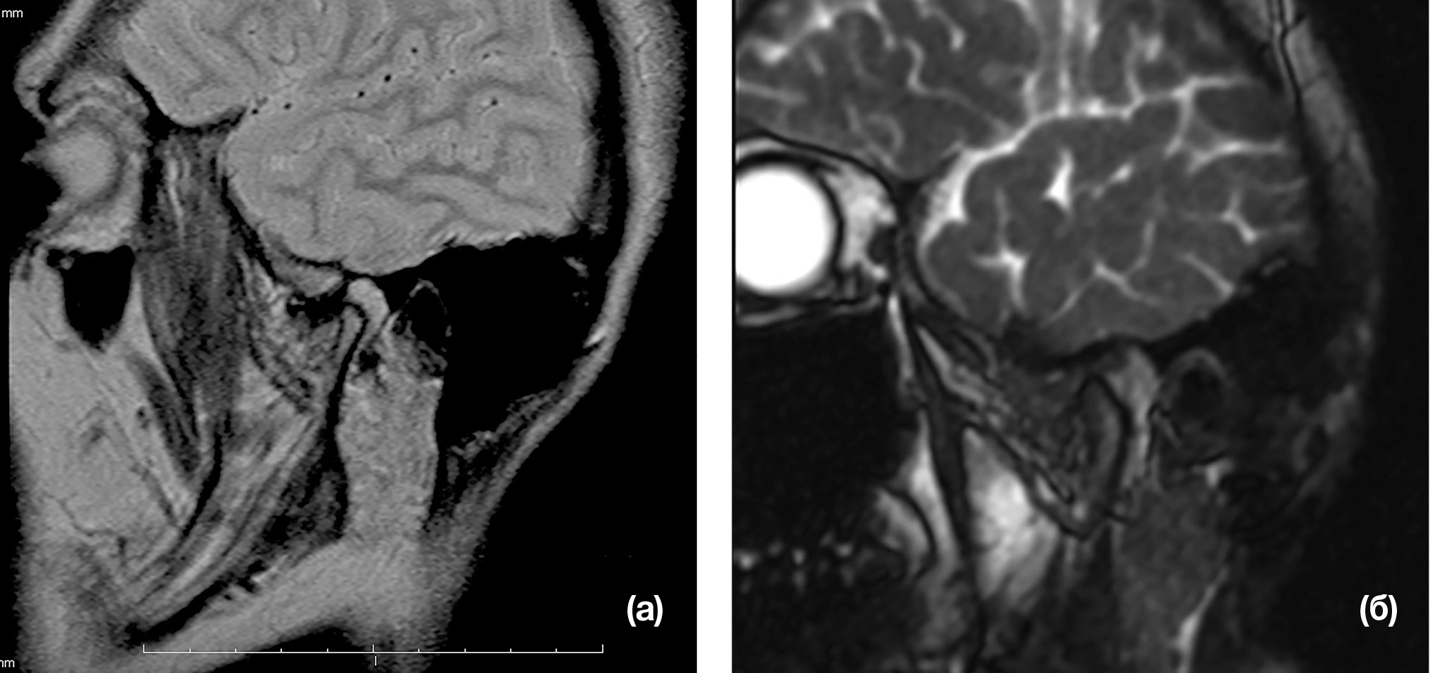
В 1-й группе боль при открывании рта постепенно уменьшалась и через 1 мес лечения полностью исчезла у всех пациентов. Полное восстановление функции ВНЧС происходило в течение 6 мес. При контрольной МРТ в сроки от 1 до 6 мес у 64,5% пациентов наблюдалось полное вправление суставного диска, у 35,5% вправление суставного диска было неполным, хотя он и не препятствовал открыванию рта (Рис. 1).
Рис. 1. Магнитно-резонансная томограмма височно-нижнечелюстного сустава с невправляемым смещением суставного диска: до (а) и после (б) лечения
Примечание. (а) — переднее (кпереди от головки нижней челюсти) положение суставного диска; (б) — верхнее (над головкой нижней челюсти) положение суставного диска.
У пациентов 2-й группы восстановление функции ВНЧС проходило медленнее. У 3 (43%) пациентов результаты консервативного лечения были удовлетворительными, болевой синдром исчезал к 3 мес наблюдения. Контрольная МРТ показала частичное вправление суставного диска у всех 7 пациентов; в связи с недостаточными функциональными результатами 4 пациентам с давностью заболевания более 1 года произведен артроцентез ВНЧС с последующей шинотерапией до восстановления функции сустава.
ОБСУЖДЕНИЕ
В настоящее время при лечении НССД ВНЧС помимо разнообразных медикаментозных средств с целью купирования воспалительного процесса, устранения психоэмоционального напряжения и мышечной релаксации основным методом лечения является сплинт-терапия и блокада двигательных ветвей тройничного нерва [10]. Сплинт-терапия высокоэффективна при лечении вправляемого смещения диска и малоэффективна при невправляемом, поскольку дает положительный результат в ранние сроки заболевания [3, 12, 14, 15]. Артроцентез — единственный способ, который на догоспитальном этапе позволяет в большинстве случаев, так же на небольших сроках заболевания и в комплексе со сплинт-терапией, добиться репозиции диска, нормализации открывания рта. Положительные результаты достигаются в 83,5-95,5% случаев, в частности с мануальным вправлением суставного диска, ультразвуковой навигацией [12, 14, 16-18]. Альтернативой артроцентезу является артроскопия с лаважем, репозиция суставного диска, чаще всего в стационарных условиях под общим обезболиванием. Существуют современные методики, которые позволяют произвести репозицию и надежную фиксацию суставного диска эндоскопически, однако отсутствие эффекта при эндоскопическом лечении достигается в 16% случаев [11, 13].
По общему мнению, основа патогенеза внутренних нарушений ВНЧС — повышенная активность жевательных мышц, которая возникает от разных причин. Доказано, что гипертонус жевательной мускулатуры — бруксизм — возникает не только по причине окклюзионных нарушений: имеют значение психоэмоциональное напряжение и стресс [4, 6, 7]. Главное место в патогенезе внутренних нарушений ВНЧС занимает гипертонус латеральной крыловидной мышцы, особенно ее верхней головки, соответственно, при лечении НССД возникает необходимость его устранить одномоментно с локальными или распространенными миогенными спазмами околосуставной жевательной мускулатуры. На этом основано применение ботулинического токсина типа А при лечении заболеваний ВНЧС, как правило, с введением токсина в собственно жевательные, редко в височные мышцы [17, 19-24]. Целенаправленной релаксации латеральных крыловидных мышц препятствует ее труднодоступность. Задача добиться выполнения инъекций более точно и безопасно решается двумя путями — уменьшением глубины продвижения иглы; созданием навигационных систем [23, 25].
Разработанный нами способ периартикулярного инъекционного доступа позволил повысить точность и безопасность введения ботулинического токсина типа А и снизить вероятность постинъекционных осложнений, которые в нашем исследовании не наблюдались.
ЗАКЛЮЧЕНИЕ
В проведенном исследовании только у 1 (2,6%) из 38 пациентов с НССД ВНЧС не удалось нормализовать открывание рта: общая эффективность лечения составила 97,4%, у 34 пациентов (89,5%) лечение удалось провести без артроцентеза. Эффективность лечения предложенного метода базируется на устранении гипертонуса латеральной крыловидной мышцы и миогенных спазмов околосуставной жевательной мускулатуры с использованием ботулинического токсина типа А. При этом разработанный способ периартикулярного инъекционного доступа позволил повысить точность и безопасность введения ботулинического токсина типа А.
ИСТОЧНИК ФИНАНСИРОВАНИЯ
Отсутствует.
КОНФЛИКТ ИНТЕРЕСОВ
Авторы подтвердили отсутствие конфликта интересов, о котором необходимо сообщить.
About the authors
Aleksander A. Ilyin
Dental Сlinic «Implantium»
Email: Alex2017ilyin@yandex.ru
ORCID iD: 0000-0002-8021-4599
SPIN-code: 2615-2137
д-р мед. наук, профессор, челюстно-лицевой хирург, стоматолог-хирург
Russian Federation, MoscowT. A. Fazylova
Dental Сlinic «Implantium»
Author for correspondence.
Email: tfazylova@yandex.ru
ORCID iD: 0000-0001-5878-6761
SPIN-code: 5248-5572
врач стоматолог-ортодонт
Russian Federation, MoscowE. A. Demchinsky
Dental Сlinic «Implantium»
Email: domhelen@bk.ru
ORCID iD: 0000-0002-8917-4706
SPIN-code: 6851-5618
канд. мед. наук, врач-стоматолог
Russian Federation, MoscowV. N. Olesova
Academy of Postgraduate Education under the FSBU «Federal Scientific and Clinical Center for Specialized Medical Assistance and Medical Technologies of the Federal Medical Biological Agency»
Email: olesova@implantat.ru
ORCID iD: 0000-0002-3461-9317
SPIN-code: 6851-5618
д-р мед. наук, профессор кафедры клинической стоматологии и имплантологии
Russian Federation, MoscowE. E. Olesov
Academy of Postgraduate Education under the FSBU «Federal Scientific and Clinical Center for Specialized Medical Assistance and Medical Technologies of the Federal Medical Biological Agency»
Email: olesov_georgiy@mail.ru
ORCID iD: 0000-0001-9165-2554
SPIN-code: 8924-3520
д-р мед. наук, доцент, зав. кафедрой клинической стоматологии и имплантологии
Russian Federation, MoscowReferences
- Сысолятин П.Г., Ильин А.А., Дергилев А.П. Классификация заболеваний и повреждений височно-нижнечелюстного сустава. — М.: Медицинская книга; Н. Новгород: Издательство НГМА, 2001. — 79 с. [Sysolyatin PG, Il’in AA, Dergilev AP. Klassifikatsiya zabolevanij i povrezhdenij visochno-nizhnechelyustnogo sustava. Moscow: Meditsinskaya kniga; N. Novgorod: Izdatel’stvo NGMA; 2001. 79 р. (In Russ).]
- Schiffman E, Ohrbach R, Truelove E, et al. Diagnostic Criteria for Temporomandibular Disorders (DC/TMD) for Clinical and Research Applications: recommendations of the International RDC/TMD Consortium Network and Orofacial Pain Special Interest Group. J Oral Facial Pain Headache. 2014;28(1):6-27. doi: 10.11607/jop.1151.
- Доусон П.Е. Функциональная окклюзия: от височно-нижнечелюстного сустава до планирования улыбки. — М.: Практическая медицина, 2016. — 592 с. [Douson PE. Funktsional’naya okklyuziya: ot visochno-nizhnechelyustnogo sustava do planirovaniya ulybki. Moscow: Prakticheskaya meditsina; 2016. 592 р. (In Russ).]
- Жулев Е.Н., Вельмакина И.В. Изучение особенностей психоэмоционального статуса у лиц молодого возраста, имеющих ранние признаки синдрома мышечно-суставной дисфункции височно-нижнечелюстного сустава // Фундаментальные исследования. — 2015. — №1-7. — С. 1354-1357. [Zhulev EN, Velmakina IV. Study of peculiaritiesofpsycho-emotionalstatus in young age with early signs syndrome musculoarticular temporomandibular joint dysfunction. Fundamental’nye issledovaniya. 2015;(1-7):1354-1357. (In Russ).]
- Dimitroulus G. Management of temporoman-dibular joint disorders: A surgical prospective. Aust Dent J. 2018;63:S79-S90. doi: 10.1111/adj.12593.
- Орлова О.Р., Алексеева А.Ю., Мингазова Л.Р. Коновалова З.Н. Бруксизм как неврологическая проблема (обзор литературы) // Нервно-мышечные болезни. — 2018. — Т.8. — №1. — С. 20-27. [Orlova OR, Alekseeva AYu, Mingazova LR, Konovalova ZN. Bruxism as a neurological problem (literature review). Neuromuscular diseases. 2018;8(1):20-27. (In Russ).] doi: 10.17650/2222-8721-2018-8-1-20-27.
- Орлова О.Р., Коновалова З.Н., Алексеева А.Ю., и др. Взаимосвязь бруксизма и болевой дисфункции височно-нижнечелюстного сустава // Русский медицинский журнал. — 2017. — Т.25. — №24. — С. 1760-1763. [Orlova OR, Konovalova ZN, Alekseeva AYu, et al. Vzaimosvyaz’ bruksizma i bolevoj disfunktsii visochno-nizhnechelyustnogo sustava. Russkij meditsinskij zhurnal. 2017;25(24):1760-1763. (In Russ).]
- Pihut M, Ferendiuk E, Szewczyk M, et al. The efficiency of botulinum toxin type A for the treatment of masseter muscle pain in patients with temporomandibular joint dysfunction and tension-type headache. J Headache Pain. 2016;17:1-6. doi: 10.1186/s10194-016-0621-1.
- Sunil Dutt C, Ramnani P, Thakur D, Pandit M. Botulinum toxin in the treatment of muscle specific oro-facial pain: a literature review. J Maxillofac Oral Surg. 2015;14(2):171-175. doi: 10.1007/s12663-014-0641-9.
- Dym H, Bowler D, Zeidan J. Pharmacologic treatment for temporomandibular disorders. Dent Clin North Am. 2016;60(2):367-379. doi: 10.1016/j.cden.2015.11.012.
- Ян Ч., Чжен Ц., Лю С. Артроскопическая репозиция диска височно-нижнечелюстного сустава: часть III — подробное описание методики // Альманах клинической медицины. — 2017. — Т.45. — №6. — С. 460-465. [Zheng J, Liu X. Temporomandibular joint disc repositioning with arthroscopy: part III — detailed introduction of the technique. Almanac of clinical medicine. 2017;45(6):460-465. (In Russ).] doi: 10.18786/2072-0505-2017-45-6-460-465.
- Бекреев В.В. Диагностика и комплексное лечение заболеваний височно-нижнечелюстного сустава: Автореф. дис…. д-р мед. наук. — М.; 2019. — 48 с. [Bekreev VV. Diagnostika i kompleksnoe lechenie zabolevanij visochno-nizhnechelyustnogo sustava. [dissertation abstract] Moscow; 2019. 48 р. (In Russ).] Доступно по: https://search.rsl.ru/ru/record/01008718239. Ссылка активна на 14.04.2019.
- Епифанов С.А., Балин В.Н., Скуредин В.Д., Игнатьева А.Н. Хирургическое лечение больных с дислокацией суставного диска височно-нижнечелюстного сустава // Вестник национального медико-хирургического центра им. Н.И. Пирогова. — 2015. — Т.10. — №2. — С. 47-49. [Epiphanov SA, Balin VN, Skuredin VD, Ignatieva AN. Surgical treatment of patients with dislocation of articular disc in temporo-mandibular joint. Vestnik natsional’nogo mediko-khirurgicheskogo tsentra im. N.I. Pirogova. 2015;10(2):47-49. (In Russ).]
- Семкин В.А., Волков С.И. Заболевания височно-нижнечелюстного сустава. — М.: ГОЭТАР-Медиа, 2016. — 288 с. [Semkin VA, Volkov SI. Zabolevaniya visochno-nizhnechelyustnogo sustava. Moscow: GOETAR-Media; 2016. 288 р. (In Russ).]
- Адоньева А.В., Ильин А.А., Щелкунов К.С. Репозиционная сплинт-терапия в комплексном лечении вправляемого смещения суставного диска височно-нижнечелюстного сустава // Медицина и образование в Сибири. — 2015. — №2. — С. 22-23. [Adonyeva AV, Ilyin AA, Shchelkunov KS. Repositsioning splint-therapy in complex treatment of fitting migration of joint disk of temporal and mandibular joint. Meditsina i obrazovanie v Sibiri. 2015;(2):22-23. (In Russ).]
- Ильин А.А., Адоньева А.В. Артроцентез височно-нижнечелюстного сустава. Обзор литературы // Медицина и образование в Сибири. — 2014. — №6. — С. 36-37. [Ilyin AA, Adonyeva AV. Arthrocentesis of temporal and mandibular joint. review of literature. Meditsina i obrazovanie v Sibiri. 2014;(6):36-37. (In Russ).]
- Armijo-Olivo S, Pitance L, Singh V, et al. Effectiveness of manual therapy and therapeutic exercise for temporomandibula disorers: systematic review and meta-analysis. Phys Ther. 2016;96(1):9-25. doi: 10.2522/ptj.20140548.
- Sivri MB, Ozkan Y, Peciner FN, Gocmen G. Comparison of ultrasound-guided conventional arthrocentesis of temporomandibular joint. Br J Oral Maxillofac Surg. 2016;54(6):677-681. doi: 10.1016/j.bjoms.2016.04.004.
- Connelly ST, Myung J, Gupta R, et al. Clinical outcomes of Botox injections for chronic temporomandibular disorders: do we understand how Botox works of muscle, pain, and the brain. Int J Oral Maxillofac Surg. 2017;46(3):322-327. doi: 10.1016/j.ijom.2016.11.004.
- Chen YW, Chiu YW, Chen CY, Chuang SK. Botulinum toxin therapy for temporomandibular joint disorders: a systematic review of randomized controlled trials. Int J Oral Maxillofac Surg. 2015;44(8):1018-1026. doi: 10.1016/j.ijom.2015.04.003.
- Mor N, Tang C, Blitzer A. Temporomandibular myofacial pain treatment with botulinum toxin injection. Toxins (Basel). 2015;7(8):2791-2800. doi: 10.3390/toxins7082791.
- Kumar S. The emerging role of botulinum toxin in the treatment of orofacial disorders: literature update. Asian J Pharmaceutic Clin Res. 2017;10(9):21-29. doi: 10.22159/ajpcr.2017.v10i9.16914.
- Синицина Т.М. Диагностика и лечение мышечно-суставных дисфункций височно-нижнечелюстных суставов и жевательных мышц: Автореф. дис…. канд. мед. наук. — Санкт-Петербург, 2016. — 26 с. [Sinitsina TM. Diagnostika i lechenie myshechno-sustavnykh disfunktsij visochno-nizhnechelyustnykh sustavov i zhevatel’nykh myshts. [dissertation abstract] St. Petersburg; 2016. 26 р. (In Russ).] Доступно по: https://search.rsl.ru/ru/record/01006654256. Ссылка активна на 14.04.2019.
- Bogucki ZA, Kownacka M. Clinical aspects of the use of botulinum toxin Type A in treatment of Dysfunction of the masticatory system. Adv Clin Exp Med. 2016;25(3):569-573. doi: 10.17219/acem/41923.
- Pons M, Meyer C, Euvrard E, et al. MR-guided navigation for botulinum toxin injection in lateral pterygoid muscle. First results in treatment of temporomandibular joint disorders. J Stomatol Oral Maxillofac Surg. 2019;120(3):188-195. doi: 10.1016/j.jormas.2018.11.002.
Supplementary files




