Компьютерная томография в диагностике заболеваний тонкой кишки
- Авторы: Кошелев Э.Г.1,2, Китаев С.В.1,3, Беляев Г.Ю.1,4, Егоров А.А.4, Курзанцева О.О.5,6
-
Учреждения:
- Центральная государственная медицинская академия Управления делами Президента Российской Федерации
- Городская клиническая больница № 1 им. Н.И. Пирогова
- Клинико-диагностический центр МЕДСИ
- Поликлиника № 2 Управления делами Президента Российской Федерации
- Федеральный научно-клинический центр специализированных видов медицинской помощи и медицинских технологий Федерального медико-биологического агентства России
- Городская клиническая больница им. С.П. Боткина
- Выпуск: Том 10, № 4 (2019)
- Страницы: 16-29
- Раздел: Оригинальные исследования
- Статья получена: 15.09.2019
- Статья одобрена: 17.12.2019
- Статья опубликована: 13.02.2020
- URL: https://clinpractice.ru/clinpractice/article/view/16052
- DOI: https://doi.org/10.17816/clinpract16052
- ID: 16052
Цитировать
Аннотация
Введение. Актуальность работы обусловлена трудностями диагностики заболеваний тонкой кишки. Ввиду распространенности и широкого внедрения в клиническую практику рентгеновской компьютерной томографии ее возможности в диагностике заболеваний тонкой кишки представляют большой интерес и потенциал.
Цель — раскрытие возможностей компьютерной томографии с применением внутривенного болюсного контрастного усиления в выявлении симптома «утолщения стенки» тонкой кишки и ее прогностической значимости при различных нозологиях.
Методы. Анализ данных исследований мультиспиральной компьютерной томографии, выполненных по протоколу исследования органов брюшной полости с применением внутривенного болюсного контрастного усиления и перорального приема воды взрослым пациентам от 18 до 87 лет с заболеваниями тонкой кишки.
Результаты. В работе показаны возможности мультиспиральной компьютерной томографии, выполняемой по стандартному протоколу, в выявлении утолщения стенки тонкой кишки. Определен круг заболеваний, для которых утолщение стенки тонкой кишки являлось одним из основных рентгенологических симптомов поражения. Представлена прогностическая значимость этого рентгенологического симптома. Описаны особенности утолщения стенки кишки при различных заболеваниях и другие отличительные признаки, которые можно использовать в дифференциальной диагностике.
Заключение. Утолщение стенки — распространенный признак поражения тонкой кишки, который убедительно обнаруживается при КТ-исследовании с болюсным контрастным усилением. В нашей выборке частыми причинами утолщения стенки тонкой кишки при первичном заболевании являлись болезнь Крона (37%), лимфома (20%), анастомозит (13%). Однако утолщение стенки тонкой кишки в 7% определено нами как следствие первичных опухолей (аденокарцинома, саркома) и в 18,6% — как следствие вторичного опухолевого поражения. Рассмотренные заболевания были различны по степени утолщения стенки кишки (от 6 до 70 мм), ее протяженности (фокальное утолщение 48%; сегментарное 52%), количеству пораженных участков (от 1 до 3), их локализации (проксимальный — средний или дистальный участок), форме перехода пораженной части кишки в неизмененную (резко очерченный или плавный), наличию или отсутствию симптомов кишечной непроходимости и особенностям контрастного усиления (степень выраженности и тип).
Ключевые слова
Полный текст
АКТУАЛЬНОСТЬ
На протяжении многих десятилетий в диагностике патологии тонкого кишечника (ТК) использовался рентгенологический метод, который включал заполнение кишечника per os, зондовую энтерографию со взвесью бария или двойным контрастированием. Заполнение кишечника per os легко переносится больными, но получаемая при этом информация — минимальна. Зондовая энтерография (энтероклизис), предложенная в 1986 г. как альтернатива оперативной энтероскопии, используемой с 50-х годов, позволяет провести более детальную оценку ТК, но вызывает дискомфорт для пациента, поэтому требует использования обезболивания [1, 2]. С появлением энтероскопов стала возможной эндоскопическая диагностика: метод активной энтероскопии (push-энтероскопия) позволяет осмотреть проксимальные отделы тощей кишки, но не более чем 100 см за связкой Трейтца. Обследование являлось технически сложным по исполнению, длительным и дискомфортным для пациента, предполагающим седацию и внутривенную анестезию [3, 4].
Внедрение в клиническую практику в 2001 г. видеокапсульной энтероскопии открыло новый этап в диагностике заболеваний ТК. Этот неинвазивный метод позволяет оценивать внутренний просвет ТК на всем протяжении, выявлять внутрипросветные образования, стриктуры. С внедрением видеокапсульной энтероскопии появилась возможность визуализации дистального отдела ТК, что привело к увеличению выявленных случаев ее патологии [5, 6]. Диагностическая ценность видеокапсульной энтероскопии варьирует от 63 до 90%. Однако метод также имеет свои ограничения: невозможность взятия биоптата, ошибки в определении локализации патологического процесса ввиду анатомической вариабельности протяженности ТК, задержка видекапсулы в области стриктуры с необходимостью неотложного оперативного вмешательства.
Безусловным прорывом в диагностике патологии ТК стали разработка и внедрение в практику инструментально-ассоциированных видов видеоэнтероскопии — двух- и однобаллонной энтероскопии. Двухбаллонная энтероскопия разработана доктором H. Yamamoto в 2001 г. и соавт. [7]. Дальнейшее усовершенствование и упрощение техники исполнения привело к внедрению в 2007 г. однобаллонной энтероскопии, не уступающей по диагностической эффективности двухбаллонной [8, 9]. Фиксация кишки повышает маневренность эндоскопа с возможностью неоднократного визуального прохождения по одному и тому же участку, с выполнением биопсии, постановки локализационной «метки» и даже резекции небольших внутрипросветных образований. Диагностическая точность метода двухбаллонной энтероскопии достигает 80–96%, а осложнения, по данным литературы, — весьма редки и ограничиваются в основном болью в брюшной полости [10].
Как более простой и относительно быстрый альтернативный метод сравнительно недавно была разработана спиральная энтероскопия, чаще применяемая специалистами Европы и США, с использованием спиральной шинирующей трубки [11]. Концепция «вращение для продвижения» в спиральной энтероскопии, реализованная в устройстве, облегчающем продвижение энтероскопа, предложена в 2006 г. Полем Акерманом [12]. Спиральная энтероскопия использует превращение ротационной силы в линейную, «присобирая» тонкую кишку на энтероскопе. Однако для выполнения процедуры обязательно нужен ассистент, вращающий тубус. Метод, как и двух-/однобаллонная энтероскопия, требует глубокой седации или наркоза. Осложнения в виде перфорации стенки ТК при данном виде исследования составляют 0,3%.
С развитием компьютерных томографов (КТ) и появления мультисрезовых/мультидетекторных аппаратов с получением субмиллиметровых срезов в практическую работу внедрены специализированные методики исследования, такие как КТ-энтероклизис и КТ-энтерография. При КТ-энтероклизисе рентгенонегативное или рентгенопозитивное контрастное вещество вводится, как правило, через назоинтестинальный зонд в двенадцатиперстную кишку или проксимальные отделы тощей кишки, примерно на 30 см дистальнее связки Трейтца, с балонной фиксацией наконечника. КТ-энтерография не требует дополнительных устройств. Рентгенонегативный или рентгенопозитивный контрастный препарат принимается перорально. Чувствительность метода КТ-энтерографии достигает 90%, специфичность при болезни Крона и опухолевых поражениях — до 95–98% [13, 14]. В сравнении с капсульной эндоскопией и инструментально-ассоциированными видеоэнтероскопиями методика КТ-энтерографии немногим уступает в оценке слизистой оболочки ТК, существенно превосходя их при оценке трансмуральных поражений стенки, при патологических изменениях, выходящих за ее пределы, а также в диагностике кровотечений и опухолей [15]. Методика не является инвазивной, не требует седации или наркоза пациента. Затрудняющими моментами являются зависимость от подготовки пациента к исследованию, спазм кишки и возможное наличие аллергии на йодсодержащий контрастный препарат. Тем не менее КТ-методики исследования ТК дают великолепный результат, поскольку обеспечивают визуализацию толщины стенки кишки, позволяют обнаружить внутри-/внепросветные и интамуральные образования, оценить состояние прилежащей жировой клетчатки и брыжейки, сосудов и лимфатических узлов [16].
Публикации по магнитно-резонансной (МР) энтерографии и МР-энтероклизисе не так многочисленны. Для контрастирования кишечника применяют жидкости. МРТ ТК предусматривает заполнение кишки водой через введенный за связку Трейтца интестинальный зонд или per os. Используются методики «светлого просвета» (bright lumen), основанной на получении Т2-ВИ в быстрой импульсной последовательности, и «темного просвета» (dark lumen), основанной на получении Т1-ВИ с одновременным внутривенным введением контрастного вещества и динамическим контрастированием [17–19]. Ограничения МРТ в изучении ТК, помимо противопоказаний данного метода, опосредованы долгой «экспозицией» при получении среза и зависимости от перистальтики. Применяемый для подавления перистальтики препарат Глюкагон противопоказан при сахарном диабете, гипергликемии, образованиях поджелудочной железы и надпочечников.
Таким образом, диагностика и лечение заболеваний ТК были и остаются актуальными проблемами. Благодаря внедрению новых методов и методик в практику врача диагностика патологии ТК подверглась эволюционному развитию. Старые методы, такие как оперативная энтероскопия, зондовая энтерография, остались в прошлом. На смену им пришли новые виды инструментально-ассоциированной энтероскопии: двух-/однобаллонная энтероскопия, которые обладают рядом существенных недостатков, к которым следует отнести длительность процедуры в первом случае и ограничение осмотра проксимальными отделами тощей кишки — во втором. Недостатками большинства перечисленных методов также являются трудоемкость, нередко необходимость привлечения к исследованию врачей других специальностей (эндоскописта, ассистента эндоскописта, анестезиолога), необходимость седации или наркоза. Вероятно, по этим причинам перечисленные методики не получили широкого применения в диагностике патологии ТК и ограниченно используются только для решения конкретных диагностических и клинических задач. Активно изучаются и освещаются возможности узкоспециализированных МР- и КТ-энтерографии/энтероклизиса. Новая техника и специализированные методики открывают еще бóльшие диагностические и терапевтические возможности в данной области.
Несмотря на широкое внедрение в России МРТ и КТ-исследований, по нашему мнению, недостаточно освещены роль и возможности в диагностике патологии тонкого кишечника КТ брюшной полости и забрюшинного пространства, выполняемой с болюсным контрастным усилением по стандартному протоколу.
Цель настоящего исследования — раскрытие возможностей мультидетекторной или мультисрезовой компьютерной томографии (МСКТ), выполняемой по стандартному протоколу с применением внутривенного болюсного контрастного усиления, в выявлении одного из ведущих и распространенных, по нашему мнению, симптомов — утолщения стенки ТК. Выполнена оценка прогностического значения этого рентгенологического симптома при различных нозологиях.
МЕТОДЫ
КТ исследования проводились на мультисрезовых компьютерных томографах по стандартным программам исследования брюшной полости и забрюшинного пространства.
В группу исследования вошли взрослые пациенты с известной патологией тонкой кишки и утолщением ее стенки более 4 мм, выявленным при МСКТ брюшной полости и забрюшинного пространства с болюсным контрастным усилением. Пациенты с отсутствием утолщения стенки ТК по данным МСКТ брюшной полости и забрюшинного пространства с болюсным контрастным усилением в исследовательскую группу не включались.
Условия проведения
Для реализации поставленной цели проведен анализ результатов МСКТ брюшной полости и забрюшинного пространства с болюсным контрастным усилением больных, поступивших в хирургические и гастроэнтерологические отделения ФГБУ «НМХЦ им. Н.И. Пирогова» МЗРФ и ГКБ № 1 им. Н.И. Пирогова ДЗ г. Москвы. Возраст больных составлял от 18 до 87 лет, в среднем 55 лет.
Описание медицинского вмешательства
МСКТ выполнялось по протоколу исследования органов брюшной полости с применением внутривенного болюсного контрастного усиления и перорального приема воды в объеме 500 мл непосредственно перед исследованием. Томография проводилась субмиллиметровой толщиной среза, питчем 1, с внутривенным болюсным контрастным усилением неионным рентгеноконтрастным препаратом. Объем контрастного препарата зависел от веса пациента — 1,5 мл/кг. Скорость введения контрастного препарата — 4 мл/сек.
Измерение толщины стенки ТК проводили в плоскости, перпендикулярной оси просвета. Стенку ТК считали утолщенной при толщине >4 мм. Из всего количества исследований было отобрано 86 случаев с утолщением стенки ТК.
Дизайн исследования
Из просмотренных нами историй болезни и снимков КТ были включены 86 наблюдений пациентов с заболеваниями тонкой кишки. Предварительно наблюдения были разделены на изменения, связанные с ограниченным по протяженности утолщением стенки ТК и с сегментарным утолщением. Оценивалась степень контрастного усиления утолщенной стенки ТК, и его тип, просвет ТК, изменения примыкающих тканей и структур. КТ-картину и заключения по наблюдениям сопоставляли с окончательными верифицированными диагнозами (клинико-инструментального; морфологического или интраоперационного).
РЕЗУЛЬТАТЫ
Характеристика пациентов
Все больные были разделены нами на 2 группы: в первой группе стенка ТК у пациентов имела фокальное утолщение протяженностью <100 мм, во второй — была сегментарно утолщена на протяжении от 100 до 400 мм.
Дополнительно определяли солитарность или множественность утолщения, степень, характер контрастного усиления, изменения примыкающих органов и структур. Случаи множественных локализаций фокальных утолщений относили в группу сегментарных изменений ТК (2-я группа).
Основные результаты исследования
Проанализировано 86 случаев утолщения стенки ТК. Распределение по типу утолщения, частоте и прогностическому показателю симптома «утолщение стенки кишки» по нозологиям представлено в табл. 1.
Таблица 1
Сравнительная характеристика пациентов групп исследования
Число пациентов/ выявленных случаев Заболевания | Общее количество обследованных больных по заболеваниям | Число выявленных фокальных утолщений | Число выявленных сегментарных утолщений | ||
Абс. | ППР, % | Абс. | ППР, % | ||
Болезнь Крона | 32 | 7 | 17,1 | 25 | 55,5 |
Перитонит | 4 | 3 | 7,3 | 1 | 2,3 |
Анастомозит | 11 | 11 | 26,8 | 0 | 0 |
Рак | 3 | 3 | 7,3 | 0 | 0 |
Лимфома | 17 | 9 | 21,9 | 8 | 17,8 |
Саркома | 3 | 3 | 7,3 | 0 | 0 |
Метастазы на серозном покрове кишки | 16 | 5 | 12,3 | 11 | 24,4 |
Примечание. ППР — прогностичность положительного результата.
Фокальное утолщение стенки ТК обнаружено в 41 случае (48%), сегментарное — в 45 (52%). Абсолютное большинство выявленных утолщений кишечной стенки отражали воспалительный процесс (47 случаев) или опухолевый рост (37 случаев). Во всех наблюдениях рассматриваемый признак позволил заподозрить патологию, а дальнейший анализ изображений — сформулировать окончательное заключение. Чаще утолщение стенки обнаруживали в терминальном отделе подвздошной кишки. Выявленный симптом утолщения сопровождался сужением просвета кишки в 73 (85%) наблюдениях. В 13 (15%) случаях, обусловленных лимфомами, утолщение стенки сопровождалось локальным расширением просвета.
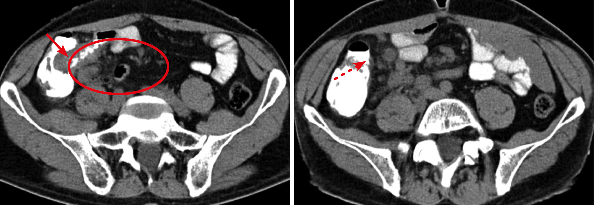
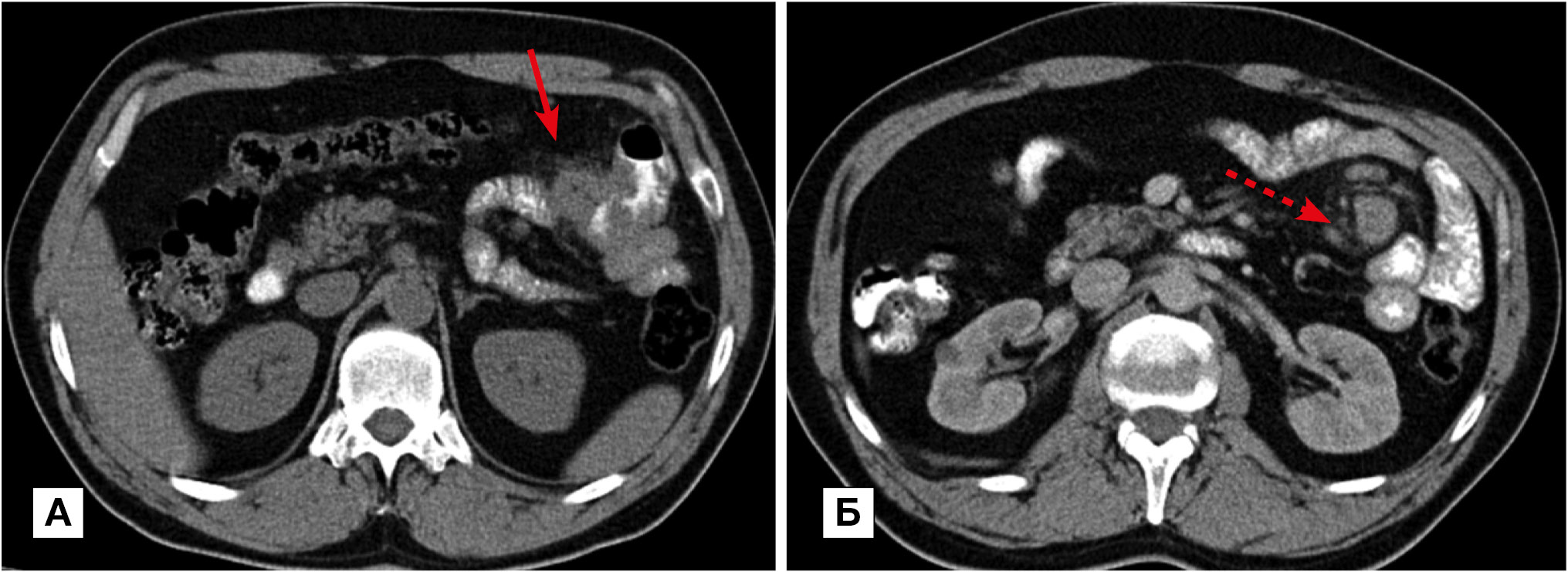
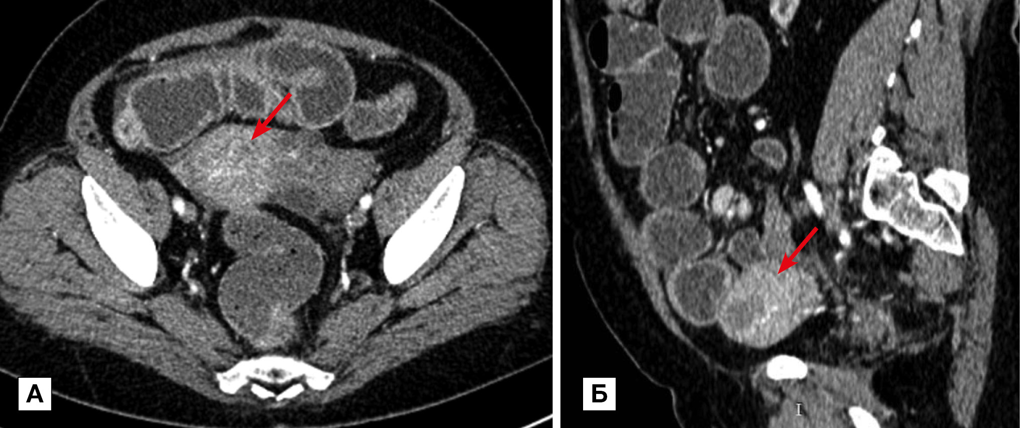
Частой причиной рассматриваемого симптома служила болезнь Крона — 37%, которая чаще проявлялась сегментарным утолщением (78%), реже — фокальным (22%), с прогностическим значением положительного результата 55,5 и 17,1% соответственно. Болезнь Крона характеризовалась трансмуральным воспалением стенки, лимфаденитом, образованием язв и рубцов стенки ТК. В наших наблюдениях при болезни Крона наиболее часто был поражен терминальный отдел подвздошной кишки (84%), что нередко сочеталось с вовлечением других отделов ТК, а также толстой кишки и желудка. Примечательно, что пораженные сегменты ТК чередовались с неизменными участками. Толщина стенки пораженного отдела кишки увеличивалась до 8 мм. В области патологии утолщение стенки сопровождалось сужением просвета разной степени выраженности. Переход утолщения в неизмененную часть стенки был плавным, однако граница перехода хорошо визуализировалась благодаря разнице контрастного усиления (рис. 1).
Рис. 1. Больной, 34 года. МСКТ: болезнь Крона желудка, тонкой и толстой кишок с поражением желудка, терминального отдела подвздошной и слепой кишок. Хроническое рецидивирующее течение, осложненное кишечной непроходимостью, тяжелая форма, высокая активность, фаза обострения. Артериальная фаза контрастного усиления
Примечание. Определяются множественные утолщения стенки тонкой кишки (стрелки), вызывающие сужение просвета. Стенка в местах утолщения накапливает контрастный препарат по слоистому типу с повышенным контрастным усилением внутреннего и наружного слоев (стрелки). Между расширенными петлями кишки заметно скопление свободной жидкости.
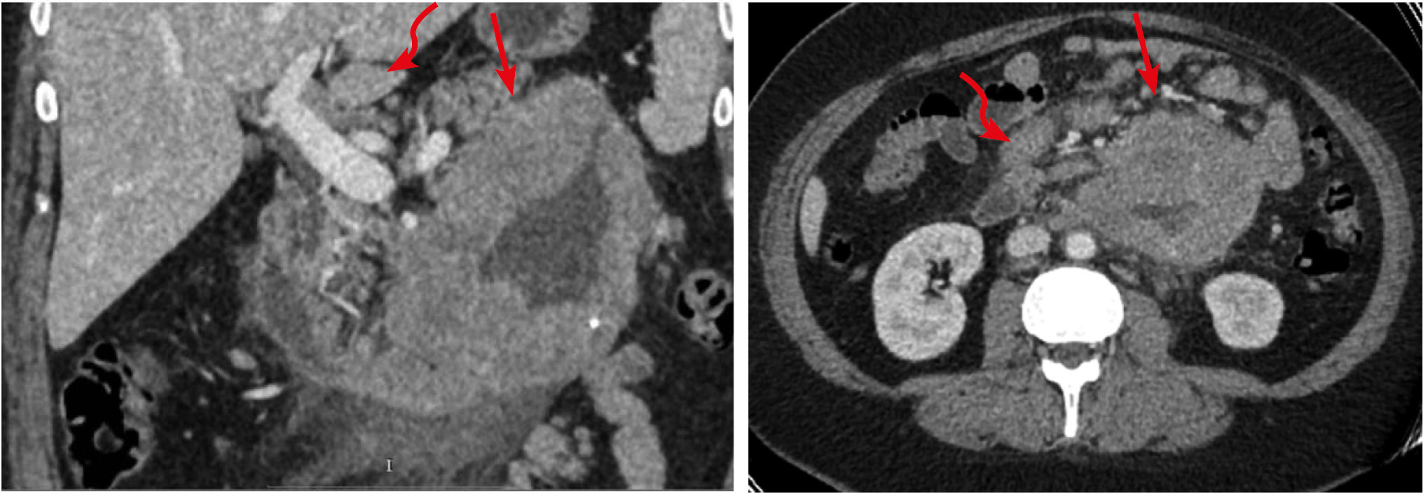
Повышенное контрастное усиление стенки пораженных участков — второй характерный признак болезни Крона ТК. Тип и степень контрастного усиления напрямую зависели от фазы воспаления. Фаза активного воспаления характеризовалась одно- или двухслойным слоистым контрастным усилением за счет яркого фона слизистой оболочки и отека подслизистого слоя соответственно с формированием картины одно-/двухслойного расслоения или стратификации (рис. 2). В прилежащей части брыжейки определялись подчеркнутый сосудистый рисунок с минимально расширенными просветами (симптом «расчески»), вдоль сосудов брыжейки определялись увеличенные лимфатические узлы. Структура лимфатических узлов была однородна, контур ровный и четкий, поперечный размер чаще (89%) не превышал 10 мм.
Рис. 2. Больная, 34 года. МСКТ: болезнь Крона, множественное поражение тонкой и толстой кишки. Артериальная фаза контрастного усиления. Фрагменты аксиальных томограмм
Примечание. Определяется сегментарное утолщение стенки ТК (стрелки) и нисходящей ободочной кишки (пунктирная стрелка). При контрастном усилении наблюдается трансмуральное контрастное усиление стенки и усиление сосудов брыжейки (обозначено кругом).
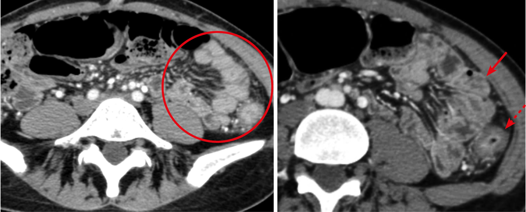
В фазу ремиссии болезни Крона контрастирование стенки характеризовалось трансмуральным утолщением и слоистостью на фоне развития фиброзных изменений в подслизистом слое и повышенного контрастного усиления слизистой оболочки (рис. 3, А) или отложением жировых включений в подслизистом слое (рис. 3, Б).
Рис. 3. МСКТ: болезнь Крона, стадия неполной ремиссии
Примечание. А — артериальная фаза контрастного усиления: определяется трехслойная структура стенки терминального отдела подвздошной кишки (стрелка) за счет развития фиброзных изменений в подслизистом слое и повышенного контрастного усиления слизистой оболочки. Б — больная в возрасте 67 лет: болезнь Крона, стадия ремиссии; нативное исследование: трехслойная структура стенки терминального отдела подвздошной кишки объясняется отложением жировых включений в подслизистом слое (стрелка).
В группе изменений воспалительного генеза, сопровождающихся утолщением стенки кишки, в наших наблюдениях отмечены анастомозит в 11 (13%) случаях и перитонит — в 4 (5%). Утолщение стенки при анастомозите имело наибольшее прогностическое значение положительного результата и не вызывало трудностей в дифференциальной диагностике. В качестве отличительных рентгенологических признаков визуализировалась очевидная связь изменений с зоной межкишечного анастомоза. Больные имели характерную клиническую картину и анамнестические данные. Перитонит в наших наблюдениях был более редкой причиной рассматриваемого симптома, убедительно подтверждался клинической картиной и анамнезом, утолщение стенки чаще (75%) носило фокальный характер.
Опухоли ТК — относительно редкая патология: до 3–6% всех выявляемых опухолей желудочно-кишечного тракта. По частоте поражения ТК неопластическим процессом в нашей выборке первое место принадлежало лимфомам — 17 (20%) случаев, второе — вторичному поражению серозных оболочек кишки и брюшины — 16 (18,6%). Саркома и рак (аденокарцинома) определены нами в равных соотношениях — по 3 (3,5%) случая.
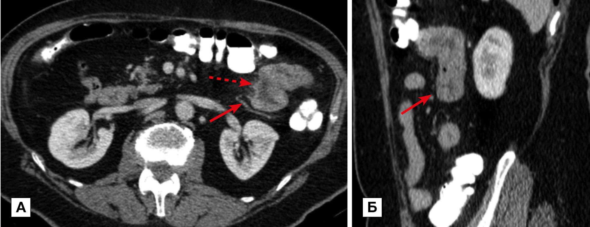
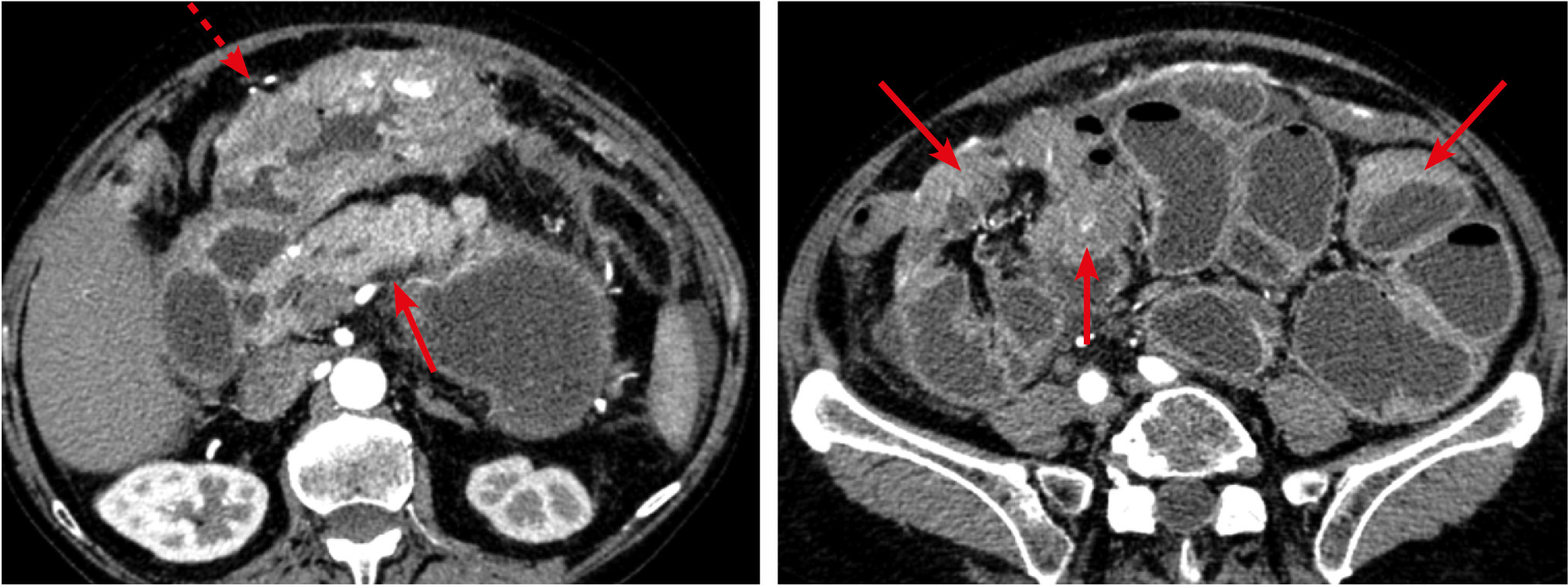
По данным литературы, на долю лимфом приходится ~25% всех первичных злокачественных опухолей этой локализации и ~40% всех первичных желудочно-кишечных лимфом [20]. Опухоль развивается из лимфоидных клеток стенки кишки и чаще является результатом вторичного экстранодального вовлечения кишки в системное лимфопролиферативное заболевание, однако встречается и первичное поражение. По морфологической картине выделяют эндофитное (инфильтративная форма), экзофитное (узловая, полипозная) и комбинированное поражение (мезентериальная форма) [21]. Рентгенологическая картина обусловливается перечисленными выше формами поражения. При всех формах лимфом мы визуализировали утолщение стенки кишки и увеличение регионарных лимфатических узлов. На КТ инфильтрированная лимфоидными клетками стенка ТК приобретала однородную мягкотканную структуру толщиной от 6 до 70 мм. Поражение имело протяженность от 50 до 200 мм. Инфильтративная форма лимфомы в 8 наблюдениях (47%) на КТ проявлялась специфической картиной со значительным утолщением стенки — более 20 мм, прослеживаемым на протяжении от 80 до 200 мм. Утолщенная стенка до и после контрастного усиления имела однородную структуру. Внутренний просвет пораженного участка кишки был неравномерно расширен. На этом фоне признаки кишечной непроходимости отсутствовали. Лимфатические узы брыжейки и забрюшинного пространства визуализировались с минимально неоднородной структурой и увеличением в поперечнике в среднем до 15 мм. При внутривенном болюсном контрастировании наблюдалось преимущественное контрастное усиление слизистого слоя стенки и в меньшей — ткани опухоли, которая равномерно и слабо интенсивно накапливала препарат (рис. 4). В одном случае в структуре опухоли визуализировались единичные нехарактерные участки кистовидной дегенерации.
Рис. 4. Больная, 36 лет. МСКТ: В-клеточная лимфома, инфильтративная форма
Примечание. В 4-й части двенадцатиперстной и проксимальном отделе тощей кишок определяется утолщение стенки до 40 мм и неравномерное расширение просвета за счет разрастания опухолевой ткани (прямые стрелки). Опухолевые разрастания имеют равномерную солидную структуру, которая при внутривенном контрастировании однородно накапливает контрастный препарат. По интенсивности накопления ткань опухоли изоденсивна с неизмененной стенкой кишки. Лимфатические узлы брыжейки и забрюшинного пространства увеличены (изогнутые стрелки).
Реже лимфома проявлялась солидными эксцентрическими узловыми или полиповидными разрастаниями (узловая и полиповидная формы соответственно). Эти формы (4 наблюдения, 25%) отличались от «классического», описанного выше варианта лимфомы. В этих случаях столь выраженного утолщения стенки не определялось. Изменения стенки сопровождались нехарактерным сужением просвета. По этому признаку узловая форма имела общие черты с раковой опухолью, а полиповидная форма — с раком и болезнью Крона. На рис. 5 представлено наблюдение больного узловой формой В-клеточной лимфомы. В представленном наблюдении узловые разрастания уменьшали просвет кишки; протяженность поражения составляла 100–150 мм. В «переходной» зоне определялось минимальное престенотическое расширение, что напоминало картину экзофитной формы аденокарциномы. Полиповидная форма лимфомы по характеру утолщения и протяженности поражения стенки ТК имела картину, возможную при раковой опухоли или болезни Крона. Утолщение стенки при этой форме обычно не превышало 10 мм, протяженность — от 50 до 100 мм.
Рис. 5. Больной, 46 лет. МСКТ: В-клеточная лимфома тощей кишки, узловая форма. Анемия
Примечание. А — исследование с контрастированием просвета кишки per os. Б — артериальная фаза контрастного усиления: в стенке тощей кишки определяются мягкотканные узловые разрастания, суживающие и деформирующие просвет кишки; признаков кишечной непроходимости нет. Уплотнение прилежащего отдела брыжейки без признаков десмопластической реакции (стрелка). В брыжейке — увеличенные лимфатические узлы (пунктирная стрелка).
Контрастирование внутреннего просвета кишки per os позволяло визуализировать относительно крупные полипы, которые отображались характерными дефектами наполнения по контуру (рис. 6). Мелкие полипы трудно визуализировались на КТ даже в условиях заполненного водой внутреннего просвета. В одном из двух наблюдений полиповидной формы лимфомы сужение просвета кишки вызвало обтурационную непроходимость. Из других осложнений мы диагностировали формирование абсцесса на брыжейке пораженной кишки больного узловой формой лимфомы, при которой изъязвления в стенке привели к пенетрации и прободению. На КТ определялась типичная картина осумкованного скопления жидкости, одну из стенок которого представляла тонкая кишка.
Рис. 6. Больной, 51 год. МСКТ: В-клеточная лимфома, полиповидная форма. Контрастирование просвета кишки per os
Примечание. Определяется утолщение стенки терминального отдела подвздошной кишки. По контуру контрастированного просвета хорошо заметны полиповидные разрастания (стрелка). Обнаруживается распространение поражения на брыжейку (пунктирная стрелка) и значительное увеличение регионарных и забрюшинных лимфатических узлов (области обозначены овалом).
Мезентериальная, первично множественная форма лимфомы (5 наблюдений) проявлялась КТ-картиной распространенного поражения лимфатических узлов. В наших наблюдениях лимфом желудка, ТК, толстой кишки в различных сочетаниях встречались неоднократно и сопровождались распространенным увеличением лимфатических узлов. Пораженные участки кишки располагались на отдаленных друг от друга участках. На рис. 7 представлено наблюдение первично-множественной лимфомы у пациентки 68 лет. В течение последнего года больная предъявляла жалобы на общую слабость, потливость, повышение температуры тела, периодические ноющие боли в животе, снижение массы тела. На компьютерных томограммах выявлена первично-множественная лимфома с поражением желудка и кишки. Окончательный диагноз: MALT-лимфома желудка IV стадии с поражением ТК, лимфоузлов грудной полости, брюшной полости и забрюшинного пространства. Лимфома из клеток мантийной зоны с тотальным поражением толстой кишки IVB стадии.
Рис. 7. Больная, 68 лет. МСКТ: первично-множественная синхронная лимфома (мезентериальная форма). Артериальная фаза контрастного усиления
Примечание. Определяются утолщения стенки желудка (стрелка), тонкой (обозначены овалом) и сигмовидной кишок. Четко визуализируется распространение лимфоидной инфильтрации на несколько рядом расположенных сегментов тощей кишки. Утолщение стенки кишки сопровождается умеренным и неравномерным расширением просвета. При контрастном усилении наблюдается повышенное контрастное усиление пораженных участков, в большей степени за счет слизистого слоя. Хорошо видны увеличенные лимфатические узлы в большом сальнике (пунктирная стрелка) и забрюшинном пространстве.
Раковая опухоль ТК — наиболее редкое заболевание. Аденокарциномы ТК встречаются в 50 раз реже, чем рак толстой кишки. Чаще заболевают мужчины в возрасте 60 лет и старше. В 50% наблюдений опухоль локализуется в двенадцатиперстной кишке. Тощая кишка поражается в 30% случаев. На долю локализации в подвздошной кишке приходится 20%, с большей частотой поражения дистального отдела. КТ-картина зависит от анатомического строения опухоли. Эндофитный рак прорастает во внутренние слои кишки на сравнительно малом протяжении и, располагаясь обычно на одной из стенок, первоначально не суживает просвет. Стенозирование наступает позже, когда опухоль распространяется циркулярно [22]. К опухолям эндофитного типа относится язвенно-инфильтративный рак, для которого характерно быстрое и агрессивное распространение в глубокие слои кишки и окружающие ткани. Язвенные новообразования достаточно глубокие и быстро проявляются кровотечением. Диффузно-инфильтративный рак образуется в подслизистом и слизистом слоях кишки. Такие опухоли не склонны к изъязвлениям и метастазируют относительно поздно. Иногда опухоли такого типа достигают больших размеров, и пораженный отдел кишки становится неподвижным и трудно дифференцируемым от больших карциноидов [23]. При КТ-исследовании, выполняемом по стандартной методике, выявить эндофитную опухоль, когда она занимает часть стенки кишки, сложно, поскольку для визуализации таких образований необходимо обеспечить тугое заполнение просвета кишки. В развернутых стадиях аденокарцином на КТ обнаруживалось циркулярное сужение просвета, протяженностью 50–100 мм. Переход пораженной части кишки в неизмененную характеризуется нависанием стенки. Престенотическое расширение и симптомы острой непроходимости не являются обязательными признаками рака ТК, но компенсированные формы непроходимости всегда присутствуют. При контрастном усилении ткань опухоли контрастировалась трансмурально, без разделения на слои, и была заметна неоднородность контрастного усиления (рис. 8).
Рис. 8. Больная, 58 лет. МСКТ: рак тощей кишки. Венозная фаза контрастного усиления (накануне выполнялось контрастирование просвета кишки per os, поэтому в просвете толстой кишки наблюдается остаточное контрастное вещество
Примечание. А — аксиальная томограмма, Б — сагиттальная реконструкция. Стенка тощей кишки на протяжении ~150 мм утолщена до 10 мм. Просвет кишки неравномерно сужен. Контрастное усиление стенки трансмуральное, изоденсивное с остальными отделами кишки (стрелки). Имеется уплотнение прилежащей части брыжейки за счет десмопластической реакции (пунктирная стрелка).
Для экзофитной формы рака характерен преимущественно узловой рост в просвет кишки. Визуально злокачественные опухоли такого типа напоминают гриб на широком основании. Иногда встречаются экзофитные опухоли блюдцеобразной и полипозной формы, широко прилежащие к стенке кишки и обтурирующие ее просвет [24]. При всех анатомических формах роста опухоли кишки в патологический процесс вовлекаются регионарные лимфатические узлы брыжейки: они уплотняются, их объем увеличивается, максимальный размер по ширине обычно достигает 10 мм и больше. В наших наблюдениях при контрастном усилении ткань опухоли контрастировалась трансмурально, неравномерно, интенсивность контрастного усиления не отличалась от таковой неизмененной стенки кишки (рис. 9). Экзофитные формы поражения сопровождались различной степени выраженности престенотическими расширениями просветов.
Рис. 9. Больная, 53 года. МСКТ: рак дистального отдела подвздошной кишки. Тонкокишечная непроходимость
Примечание. А — аксиальная томограмма, Б — сагиттальная реконструкция томограммы. Артериальная фаза контрастного усиления. В дистальном отделе подвздошной кишки на протяжении 10 см определяется экзофитное образование, суживающее просвет (стрелки). Опухоль трансмурально накапливает контрастный препарат. В тонком кишечнике имеются признаки компенсированной тонкокишечной непроходимости.
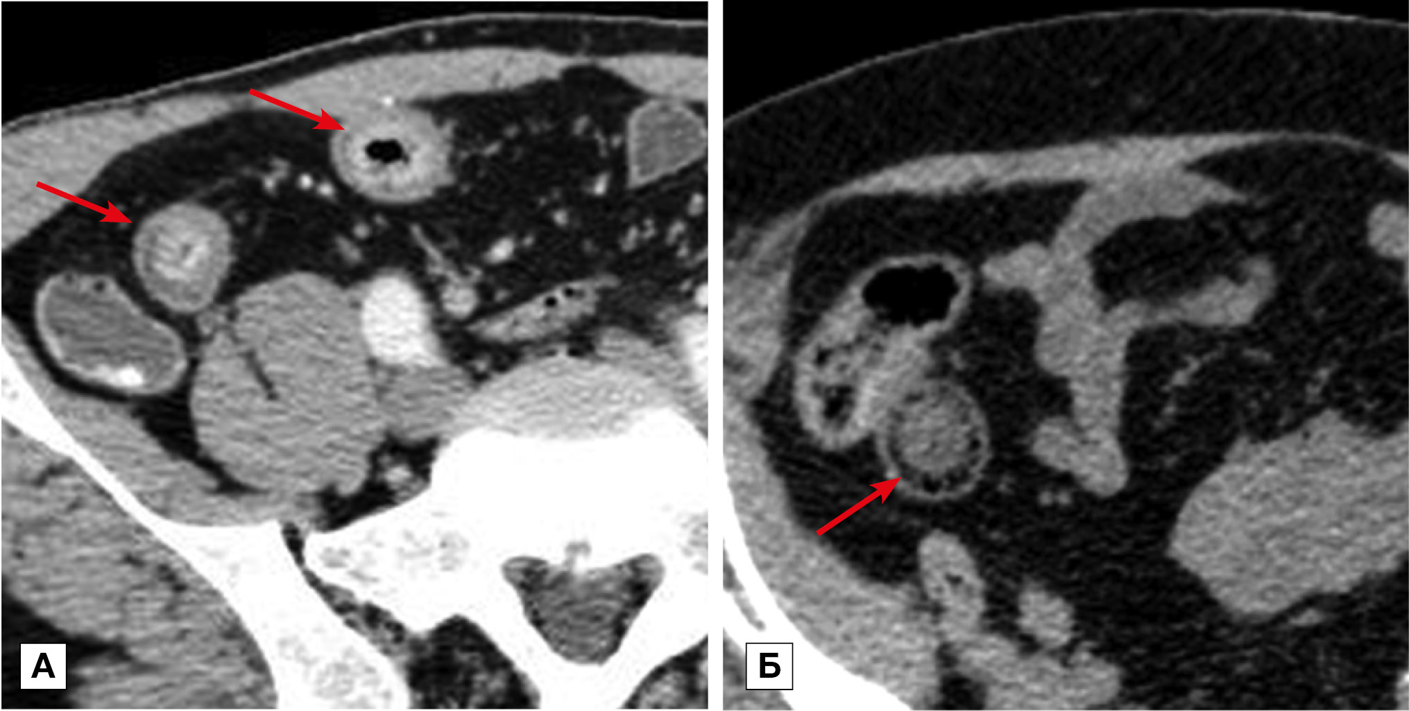
Саркомы ТК чаще встречаются у мужчин молодого возраста. Опухоль образуется из разных видов соединительной ткани кишки. Чаще саркома поражает конечные участки подвздошной кишки и начальные отделы тощей. Различают экзоинтестинальную форму, которая растет в брюшную полость, и эндоинтестинальную — прорастающую непосредственно в стенку ТК [25]. Метастазирует опухоль довольно поздно, обычно в отдаленные органы (легкие, печень и др.). По микроскопическому строению чаще встречаются лимфосаркомы, круглоклеточные и веретеноклеточные саркомы. По макроскопическому виду различают опухоли с диффузным и узловым типом роста. Саркома кишки склонна к распаду, поэтому может проявляться кровотечением, реже происходит перфорация стенки. Стеноз кишки развивается редко [26]. В двух наших наблюдениях саркома ТК проявлялась экзоинтестинальным типом роста. На КТ эти опухоли отображались утолщением стенки, преимущественно со стороны брыжеечного края, и деформацией просвета кишки. По протяженности поражения данные случаи относились к фокальному типу поражения. Во всех случаях имело место выраженное уплотнение прилежащей брыжейки по сетчатому типу с отсутствием увеличения лимфатических узлов (рис. 10). В одном наблюдении наступила перфорация стенки кишки с формированием межкишечного абсцесса. При контрастном усилении определялось трансмуральное контрастное усиление утолщенной стенки кишки с повышением плотности пораженной части брыжейки, максимально проявлявшееся в отсроченную фазу. В клинической картине заболевания у этих больных превалировала абдоминалгия. Несмотря на большие размеры опухолей случаев кишечной непроходимости не определено.
Рис. 10. Больной, 48 лет. МСКТ: саркома подвздошной кишки
Примечание. А — нативное исследование, Б — артериальная фаза контрастного усиления. По брыжеечному краю стенки подвздошной кишки наблюдается сегментарное утолщение стенки (стрелка), которое при контрастном усилении накапливает контрастный препарат равномерно и трансмурально. В прилежащей части брыжейки определяется разрастание элементов опухолевой ткани.
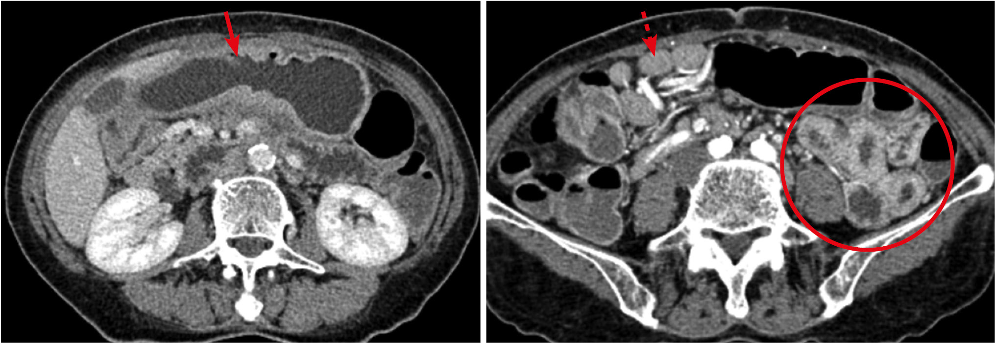
Метастатическое поражение висцеральных листков брюшины вызвало утолщение стенки кишки у 16 (18,6%) больных. Причинами вторичного поражения брюшины чаще служили опухоли желудочно-кишечного тракта и поджелудочной железы. На томограммах метастатическое поражение брюшины проявлялось отложением солидных масс в виде плоскостных или бугристых утолщений на покрывающих кишечник серозных оболочках (рис. 11). При прогрессировании определялась инвазия опухоли в стенку кишки с утолщением стенки и сужением просвета, что вызывало кишечную непроходимость. Поражение чаще носило множественный характер. По протяженности сегментарные утолщения (67%) встречались чаще фокальных (33%), с прогностическим значением положительного результата 20 и 12,2% соответственно. Распространенные поражения сопровождались скоплением жидкости в брюшной полости. При контрастном усилении солидные массы на серозных оболочках характеризовались повышенным контрастным усилением.
Рис. 11. Больная, 68 лет. МСКТ: рак желудка. Метастатическое поражение серозных оболочек. Кишечная непроходимость. Артериальная фаза контрастного усиления
Примечание. В антральном отделе желудка определяется опухоль (пунктирная стрелка). Визуализируются неравномерные утолщения стенки кишки, обусловленные вторичным поражением серозных покровов (стрелки).
ЗАКЛЮЧЕНИЕ
Наряду с использованием специализированных методов и методик диагностики заболеваний тонкой кишки считаем, что МСКТ брюшной полости с внутривенным контрастным усилением, выполняемая по стандартному протоколу, может также применяться для выявлении патологии тонкой кишки. В связи с этим, независимо от основной цели исследования, необходимо проводить осмотр состояния стенки кишки, акцентируя внимание на хорошо выявляемых и очевидных патологических признаках поражения: патологическом изменении просвета, утолщении стенки, наличии интрамуральных или внутрипросветных образований, наличии участков патологического контрастного усиления.
Утолщение стенки — распространенный признак поражения тонкой кишки, который убедительно обнаруживается при КТ-исследовании с внутривенным болюсным контрастным усилением. В нашей выборке причинами утолщения стенки тонкой кишки нередко являлись болезнь Крона (37%), лимфома (20%), анастомозит (13%). Однако данный симптом в 7% случаев определен как следствие первичной опухоли (аденокарцинома, саркома) и в 18,6% — как следствие вторичного опухолевого поражения. Рассмотренные заболевания различались по степени утолщения стенки кишки (от 6 до 70 мм), ее протяженности (фокальное утолщение — 48%; сегментарное — 52%), количеству пораженных участков (от 1 до 3) их локализации (проксимальный — средний или дистальный отделы), форме перехода пораженной части кишки в неизмененную (резко очерченный или плавный переход), наличию или отсутствию симптомов кишечной непроходимости, а также по особенностям контрастного усиления (степень выраженности и тип). Безусловно, в диагностике вторичных поражений тонкой кишки наравне с асимметричным утолщением патологически контрастированной стенки важную роль играло знание анамнеза или одновременное выявление первичного опухолевого узла.
Таким образом, КТ брюшной полости с внутривенным болюсным контрастным усилением может применяться как в диагностике патологии паренхиматозных органов, так и в диагностике заболеваний тонкой кишки. В дополнение к эндоскопическому методу КТ позволяет выявить вовлечение в патологический процесс внекишечных структур и органов, определить состояние регионарных лимфатических узлов. Во всех рассмотренных наблюдениях признак «утолщения стенки» тонкой кишки позволил заподозрить ее патологию, а дальнейший анализ по совокупности признаков — сформулировать заключение.
ИСТОЧНИК ФИНАНСИРОВАНИЯ
Исследование не имело спонсорской поддержки.
КОНФЛИКТ ИНТЕРЕСОВ
Авторы заявляют об отсутствии конфликта интересов, который необходимо обнародовать.
УЧАСТИЕ АВТОРОВ
Кошелев Э.Г. — сбор материала, анализ данных, написание текста; Китаев С.В. — концепция, дизайн исследования, редактирование; Беляев Г.Ю. — обработка литературы, написание текста; Егоров А.А. — сбор и обработка материала; Курзанцева О.А. — дизайн исследования.
Все авторы внесли существенный вклад в проведение исследования и подготовку статьи, прочли и одобрили финальную версию до публикации.
Об авторах
Эдуард Геннадьевич Кошелев
Центральная государственная медицинская академия Управления делами Президента Российской Федерации; Городская клиническая больница № 1 им. Н.И. Пирогова
Email: sv_kitaev@yahoo.com
ORCID iD: 0000-0002-5494-0327
SPIN-код: 1596-2537
к.м.н., зав. кафедрой рентгенологии и ультразвуковой диагностики
Россия, МоскваСергей Вячеславович Китаев
Центральная государственная медицинская академия Управления делами Президента Российской Федерации; Клинико-диагностический центр МЕДСИ
Email: sv_kitaev@yahoo.com
д.м.н., доцент кафедры рентгенологии и ультразвуковой диагностики; врач-рентгенолог КДЦ МЕДСИ на Белорусской
Россия, МоскваГеоргий Юрьевич Беляев
Центральная государственная медицинская академия Управления делами Президента Российской Федерации; Поликлиника № 2 Управления делами Президента Российской Федерации
Email: georgybelyaev@yandex.ru
ORCID iD: 0000-0002-1119-9102
SPIN-код: 2169-5450
к.м.н., доцент кафедры рентгенологии и ультразвуковой диагностики; зав. рентгенологическим отделением
Россия, МоскваАндрей Андреевич Егоров
Поликлиника № 2 Управления делами Президента Российской Федерации
Email: egorov.scan@gmail.com
ORCID iD: 0000-0002-8609-6319
SPIN-код: 9239-2671
врач-рентгенолог
Россия, МоскваОльга Олеговна Курзанцева
Федеральный научно-клинический центр специализированных видов медицинской помощи и медицинских технологий Федерального медико-биологического агентства России; Городская клиническая больница им. С.П. Боткина
Автор, ответственный за переписку.
Email: olgakurzan@yandex.ru
ORCID iD: 0000-0003-2648-1677
SPIN-код: 6971-0232
Кандидат медицинских наук, доцент кафедры лучевой диагностики и маммологии; врач-рентгенолог
Россия, МоскваСписок литературы
- Поляруш Н.Ф. Методика двухэтапной зондовой энтерографии // Радиология-практика. — 2001. — №2. — С. 27–33. [Polyarush NF. Metodika dvukh·etapnoy zondovoy enterografii. Radiology-practice. 2001;(2):27–33. (In Russ).]
- Tada M, Akasaka Y, Misaki F, Kwaie K. Clinical evaluation of a sonde-type small intestinal fiberscope. Endoscopy. 1977;9(1):33–38. doi: 10.1055/s-0028-1098483.
- May A, Nachbar L, Schneider M, Ell C. Prospective comparison of push enteroscopy and push-and-pull enteroscopy in patients with suspected small-bowel bleeding. Am J Gastroenterol. 2006;101(9):2016–2024. doi: 10.1111/j.1572-0241.2006.00745.x.
- May A, Nachbar L, Pohl J, Ell C. Endoscopic interventions in the small bowel using double balloon enteroscopy: feasibility and limitations. Am J Gastroenterol. 2007;102(3):527–535. doi: 10.1111/j.1572-0241.2007.01063.x.
- Gay G, Delvaux M, Fassler I. Outcome of capsule endoscopy in determining indication and route for push-and-pull enteroscopy. Endoscopy. 2006;38(1):49–58. doi: 10.1055/s-2005-921176.
- Sidhu R, Sanders DS, Morris AJ, McAlindon ME. Guidelines on small bowel enteroscopy and capsule endoscopy in adults. Gut. 2008;57(1):125–136. doi: 10.1136/gut.2007.129999.
- Yamamoto H, Sekine Y, Sato Y, et al. Total enteroscopy with a nonsurgical steerable double-balloon method. Gastrointest Endosc. 2001;53(2):216–220. doi: 10.1067/mge.2001.112181.
- Mensink PB, Haringsma J, Kucharzik T, et al. Complications of double balloon enteroscopy: a multicenter survey. Endoscopy. 2007;39(7):613–615. doi: 10.1055/s-2007-966444.
- Upchurch BR, Vargo JJ. Single-balloon enteroscopy. Gastrointest Endosc Clin N Am. 2009;19(3):335–347. doi: 10.1016/j.giec.2009.04.010.
- Cheng DW, Han NJ, Mehdizadeh S, Lo SK. Intraperitoneal bleeding after oral double-balloon enteroscopy: a case report and review of the literature. Gastrointest Endosc. 2007;66(3):627–629. doi: 10.1016/j.gie.2006.12.003.
- Morgan DR, Upchurch BR, Draganov PV, et al. Spiral enteroscopy: prospective multicenter u.s. trial in patients with small bowel disorders. Gastrointest Endosc. 2009;69(5):127–128. doi: 10.1016/j.gie.2009.03.153.
- Akerman PA, Cantero D, Agrawal D, Pangtay J. Novel method of enteroscopy via anal approach using endoease discovery SB overtube. Gastrointest Endosc. 2007;65(5):277. doi: 10.1016/j.gie.2007.03.976.
- Vogel J, da Luz Moreira A, Baker M, et al. CT enterography for Crohn’s disease: accurate preoperative diagnostic imaging. Dis Colon Rectum. 2007;50(11):1761–1769. doi: 10.1007/s10350-007-9005-6.
- Higgins PD, Caoili E, Zimmermann M, et al. Computed tomographic enterography adds information to clinical management in small bowel Crohn’s disease. Inflamm Bowel Dis. 2007;13(3):262–268. doi: 10.1002/ibd.20013.
- Hara AK, Walker FB, Silva AC, Leighton JA. Preliminary estimate of triphasic CT enterography performance in hemodynamically stable patients with suspected gastrointestinal bleeding. AJR Am J Roentgenol. 2009;193(5):1252–1260. doi: 10.2214/AJR.08.1494.
- Tochetto S, Yaghmai V. CT enterography: concept, technique, and interpretation. Radiol Clin North Am. 2009;47(1):117–132. doi: 10.1016/j.rcl.2008.10.007.
- Tolan DJ, Greenhalgh R, Zealley IA, et al. MR enterographic manifestations of small bowel Crohn disease. Radiographics. 2010;30(2):367–384. doi: 10.1148/rg.302095028.
- Giusti S, Faggioni L, Neri E, et al. Dynamic MRI of the small bowel: usefulness of quantitative contrast-enhancement parameters and time-signal intensity curves for differentiating between active and inactive Crohn’s disease. Abdom Imaging. 2010;35(6):646–653. doi: 10.1007/s00261-010-9624-6.
- Acay MB, Bayramoğlu S, Acay A. The sensitivity of MR colonography using dark lumen technique for detection of colonic lesions. Turk J Gastroenterol. 2014;25(3):271–278. doi: 10.5152/tjg.2014.4850.
- Cooper BT, Read AE. Small intestinal lymphoma. World J Surg. 1985;9(6):930–937. doi: 10.1007/bf01655398.
- Koch P, Liersch R, Reinartz G, et al. Gastrointestinale lymphome. Onkolog. 2006;12(7):628–633. doi: 10.1007/s00761-006-1061-3.
- Tumbapura А, Kuwada S, DiSario JА. Adenocarcinoma of the small intestine. Curr Treat Opt Gastroenterol. 2000;3(1):51–57. doi: 10.1007/s11938-000-0061-4.
- Saito H, Osaka Y, Tamura K, Collision tumor of adenocarcinoma and gastrointestinal stromal tumor in the small bowel. Case Rep Gastroenterol. 2018;12(3):715–721. doi: 10.1159/000495246.
- Ouriel K, Adams J. Adenocarcinoma of the small intestine. Am J Surg. 1984;147(1):66–71. doi: 10.1016/0002-9610(84)90036-9.
- Beyrouti ML, Abid M, Beyrouti R, et al. [Sarcomas of the small intestine. (In French).] Presse Med. 2005;34(5):385–390. doi: 10.1016/s0755-4982(05)83928-4.
- Wang P, Li Q, Zhang L, et al. A myeloid sarcoma involving the small intestine, kidneys, mesentery, and mesenteric lymph nodes: a case report and literature review. Medicine (Baltimore). 2017;96(42):e7934. doi: 10.1097/MD.0000000000007934.
Дополнительные файлы














