Morphological features of brain damage in severe COVID-19
- Authors: Kanibolotskiy A.A.1,2, Zayratyants O.V.3
-
Affiliations:
- N.V. Sklifosovsky Research Institute for Emergency Medicine
- Research Institute for Healthcare Organization and Medical Management
- Moscow State University of Medicine and Dentistry named after A.I. Evdokimov
- Issue: Vol 14, No 1 (2023)
- Pages: 21-30
- Section: Original Study Articles
- Submitted: 01.02.2023
- Accepted: 14.03.2023
- Published: 11.04.2023
- URL: https://clinpractice.ru/clinpractice/article/view/176827
- DOI: https://doi.org/10.17816/clinpract176827
- ID: 176827
Cite item
Full Text
Abstract
Background: The damage to the nervous system in COVID-19 reflects the systemic nature of the infection. The question of the neuroinvasive potential of SARS-CoV-2 remains open, the role of "pseudovirions" in the development of the endothelial dysfunction, as well as of the S1 subunit in the TLR activation, and the importance of the blood-brain barrier are discussed. The immunological, non-immunological, and cytopathic mechanisms of the virus's action are described; there is no clear understanding of the genesis of neuropathological changes caused by SARS-CoV-2. In this tragic pandemic, the lessons of the dead should help save lives and health.
Aim: to study and explain the features of brain damage in COVID-19.
Methods: Brain fragments from 20 patients who died due to severe COVID-19 were studied, the sections were stained with hematoxylin and eosin, according to van Gieson and Nissl, IHC reactions were performed with antibodies to the S-protein, CD68 and CD8, the changes were compared with those related to the lethal outcomes of pancreatic necrosis and ruptured aortic aneurysm.
Results: The following changes in the olfactory analyzer were revealed: sharp edema, dystrophic changes in neurons, gliosis, accumulations of starchy bodies, which explains the neuronal pathway of SARS-CoV-2 invasion; vascular plethora, erythrostasis and thrombosis, perivenular hemorrhages, diffuse edema, macroglia proliferation, perivascular astrocytosis and satellite. A positive reaction with the antibodies to the S1 and S2 subunits of the spike protein was detected, while the result of the reaction with antibodies to the N-protein of the virus, confirming the active replication of the virus, was doubtful. The S-protein expression in individual endotheliocytes makes the transendothelial route of the virus entry unlikely, in contrast to the hematogenous and neuronal pathways. The viral DNA was not detected by PCR. A weak inflammatory reaction was revealed in the form of perivascular accumulations of lymphocytes, scattered T-lymphocytes.
Conclusions: 2 groups of changes were identified, the first group included circulatory disorders with a tendency to thrombosis, edema, dystrophic-necrotic changes in neurons, glial proliferation, the second group included inflammatory-degenerative changes, a weak inflammatory reaction and amyloid-like bodies. Further morphometric and statistical studies are needed to obtain the reliable conclusions.
Full Text
ОБОСНОВАНИЕ
В настоящее время не вызывает сомнений системный характер новой коронавирусной инфекции, так как при COVID-19 поражаются многие системы организма, в том числе центральная нервная (ЦНС). По данным литературы, частота выявления симптомов поражения ЦНС, таких как головная боль, головокружение, слабость, расстройства обоняния, вкусового и зрительного анализаторов, у больных COVID-19 достигает 88%. Симптомы наблюдаются как в остром периоде, так и после перенесенного заболевания, при этом ряд авторов указывает на повышение частоты их выявления с течением времени [1–5], что может быть обусловлено длительной персистенцией SARS-CoV-2 в головном мозге, подтвержденной методом полимеразной цепной реакции (ПЦР) [6].
По данным патологоанатомических вскрытий в Москве, при COVID-19 выявляется следующая патология головного мозга: геморрагический синдром, тромботическая микроангиопатия, васкулит, менингит, тромбоз синусов твердой мозговой оболочки; ишемические инфаркты, кровоизлияния, гипоксическая и метаболическая энцефалопатия, тромботическая микроангиопатия, энцефалит [7, 8].
Вопрос о прямой нейротропности SARS-CoV-2 остается открытым. Обсуждается роль «псевдовирионов» — белков, кодируемых геномом SARS-CoV-2, таких как nsp2, nsp5, c145a, nsp7, которые повышают уровень фактора Виллебранда, экспрессию интерлейкина 6, воздействуют на белки эндотелиальных клеток, белки плотных контактов, вызывая эндотелиальную дисфункцию с повышением проницаемости сосудистой стенки [9]. Важная роль придается субъединице S1 спайк-белка SARS-CoV-2, которая рассматривается в качестве патогенассоциированного молекулярного паттерна (pathogen-associated molecular pattern, PAMP), вызывающего нейровоспалительные процессы независимо от вирусной инфекции путем активации TLR2 и TLR4 рецепторов [10]. Показаны механизмы неблагоприятного воздействия SARS-CoV-2 на гематоэнцефалический барьер, изменения проницаемости которого развиваются вследствие нарушения плотных контактов эндотелиальных клеток, их прямого повреждения вирусом, нарушения транспортных путей и их рецепторного аппарата, активации астроцитов и микроглии, а также миграции периферических иммунных клеток в ЦНС [11, 12].
Описаны неиммунологические, иммунологические и цитопатические механизмы действия вируса на ЦНС, реализуемые за счет коагулопатии, ассоциированной с гипоксическим и ишемическим повреждением головного мозга, нарушением проницаемости гематоэнцефалического барьера и эндотелиальной дисфункцией, с возможным проникновением вируса в мозг и развитием нейроиммунного ответа [13–18].
Несмотря на большое число публикаций, посвященных COVID-19, до сих пор нет четкого понимания патогенетических механизмов, лежащих в основе морфологических изменений ЦНС под влиянием SARS-CoV-2. После объявления Всемирной организацией здравоохранения пандемии COVID-19 для всех медицинских работников, включая патологоанатомов, оптимизация работы в целях оказания любой помощи в борьбе с пандемией является приоритетной задачей. В резолюции прошедшего в июне 2022 года в Новосибирске съезда Российского общества патологоанатомов одобрена и признана приоритетной разработка вопросов патогенеза и патологической анатомии новой коронавирусной инфекции COVID-19 и ее последствий с использованием всего арсенала современных высокотехнологичных методов исследования.
Учитывая особенности ЦНС и трудности при сборе образцов, вскрытие головного мозга остается золотым стандартом для изучения морфологических изменений головного мозга при COVID-19 [19–21].
Цель исследования — охарактеризовать морфологические и иммуногистохимические изменения различных отделов головного мозга при тяжелом течении COVID-19.
МЕТОДЫ
Дизайн исследования
Неэкспериментальное (обсервационное) аналитическое ретроспективное рандомизированное неинтервенционное продольное исследование.
В данном исследовании проведен детальный анализ морфологических изменений головного мозга в 25 летальных исходах больных с тяжелым течением COVID-19, проходивших лечение в ГБУЗ г. Москвы «Научно-исследовательский институт скорой помощи им. Н.В. Склифосовского» Департамента здравоохранения Москвы (далее — Институт) в период с 2020 по 2022 г.
Критерии соответствия
Критерии включения: положительный результат ПЦР-исследования мазка изо рта и зева на наличие SARS-CoV-2.
Критерии исключения: острая постгипоксическая энцефалопатия/смерть мозга; острое нарушение мозгового кровообращения; наличие в анамнезе болезни Паркинсона, Альцгеймера, других демиелинизирующих заболеваний нервной системы; возраст старше 75 лет.
Описание вмешательства
Головной мозг фиксировали в течение 4 недель в 10% растворе забуференного нейтрального формалина, после чего промывали проточной водой и проводили макроскопическое исследование. Разрезы головного мозга проводили по модифицированному методу Фишера, т.е. фронтальными разрезами через каждые 1–1,5 см с использованием макротома, позволяющего получать серийные срезы головного мозга [22, 23].
Проводили забор фрагментов головного мозга из его различных отделов: блуждающие нервы, обонятельные луковицы и тракты, глазные нервы, префронтальная кора, моторная кора, базальные ядра (скорлупа, бледный шар, тело хвостатого ядра со стенкой центральной части бокового желудочка мозга), обонятельные треугольники, крючки гиппокампа, кора островков, миндалевидные ядра и периамигдалярная кора, задний отдел гипоталамуса с сосцевидными телами, чувствительная кора, вентральные 2/3 таламусов со стенками III желудочка мозга, аммоновы рога с гиппокампальными извилинами, кора верхних и нижних теменных долек слева, центральная часть среднего мозга на уровне нижних бугорков четверохолмия, половины моста на уровне полного раскрытия IV желудочка мозга, участок моста мозга в области корешка левого тройничного нерва, кора полушарий мозжечка в области хорошо выраженных зубчатых ядер, зубчатые ядра, участок моста мозга в области корешков слуховых и лицевых нервов, сегмент шейного отдела спинного мозга, продолговатый мозг на уровне пирамид, продолговатый мозг на уровне нижних олив, поясные извилины лобных долей. Кроме этого, оценивали сонные артерии и артерии виллизиева круга (их также забирали для дальнейшего исследования). Таким образом, оценку морфологических изменений вещества головного мозга проводили на большом объеме материала.
Гистологические срезы окрашивали гематоксилином и эозином, по методам ван Гизона и Ниссля. Проводили иммуногистохимические реакции с антителами к S1 и S2 субъединицам спайк-белка и N-белку SARS-CoV-2, СD68 для оценки выраженности активации микроглии и CD8 для выявления цитотоксических Т-лимфоцитов.
Этическая экспертиза
Дизайн и особенности настоящего исследования рассмотрены на заседании Комитета по биомедицинской этике Института (ГБУЗ г. Москвы «Научно-исследовательский институт скорой помощи им. Н.В. Склифосовского» Департамента здравоохранения г. Москвы) 15.06.2021.
Статистический анализ
Результаты патологоанатомических исследований представлены в предварительном виде, так как набор и исследование материала продолжаются. Статистическая обработка будет выполнена позднее.
РЕЗУЛЬТАТЫ
Объекты исследования
Большинство пациентов (23 из 25) умерли в первые 30 дней заболевания (средний срок заболевания составил 3 недели), 1 пациентка умерла через 5 недель, еще 1 — через 61 день от начала заболевания. Средний срок пребывания пациентов в клинике составил 10 дней.
Среди умерших пациентов было 15 женщин в возрасте от 34 лет до 81 года (средний возраст 65,3 года) и 10 мужчин в возрасте от 26 лет до 71 года (средний возраст 55,3 года), соотношение женщин и мужчин — 1,5:1.
У 4 (16%) пациентов из 25 во время обследования были выявлены симптомы дисциркуляторной энцефалопатии, когнитивные нарушения, выраженные интеллектуально-мнестические расстройства, снижение памяти. По анамнестическим данным, расстройств ЦНС, предшествующих COVID-19, не зафиксировано. У 1 (4%) пациента во время пребывания в клинике отмечены клаустрофобия и панические атаки; у 1 (4%) пациентки течение COVID-19 осложнилось кровоизлиянием в головной мозг, развившимся на фоне гипертонической болезни и ожирения.
Течение COVID-19 у всех пациентов было тяжелым, сопровождалось развитием вирусно-бактериальной пневмонии с дыхательной недостаточностью, потребовавшей искусственной вентиляции легких у 23 (92%) пациентов, у 12 (48%) — трахеостомии, у 3 (12%) — подключения системы экстракорпоральной мембранной оксигенации.
Непосредственной причиной смерти, по результатам патологоанатомических вскрытий, у 18 (72%) умерших явился острый респираторный дистресс-синдром, обусловленный вирусной или вирусно-бактериальной пневмонией. У 3 (12%) умерших пациентов непосредственной причиной смерти была легочно-сердечная недостаточность, у 2 (8%) — массивная тромбоэмболия легочной артерии, у 1 (4%) — сепсис, еще у 1 (4%) — инфаркт миокарда с разрывом и гемотампонадой полости перикарда.
Необходимо отметить, что у всех умерших пациентов по клинико-анамнестическим данным и результатам патологоанатомических вскрытий выявлена коморбидная патология в виде гипертонической болезни (у 17/25; 68%), ожирения (у 11; 44%), постинфарктного кардиосклероза и ишемической кардиомиопатии (у 10; 40%), сахарного диабета (у 5; 20%), цирроза печени (у 2; 8%), хронической обструктивной болезни легких (у 1; 4%). У 19 (76%) пациентов выявлено сочетание нескольких коморбидных с COVID-19 заболеваний. Известно, что коморбидность является предрасполагающим фактором развития неблагоприятных исходов при заражении SARS-CoV-2 [24, 25].
Во всех наблюдениях диагноз новой коронавирусной инфекции подтвержден анамнестическими, клиническими, рентгенологическими и морфологическими данными, положительной прижизненной и посмертной ПЦР-диагностикой SARS-CoV-2.
Основные результаты исследования
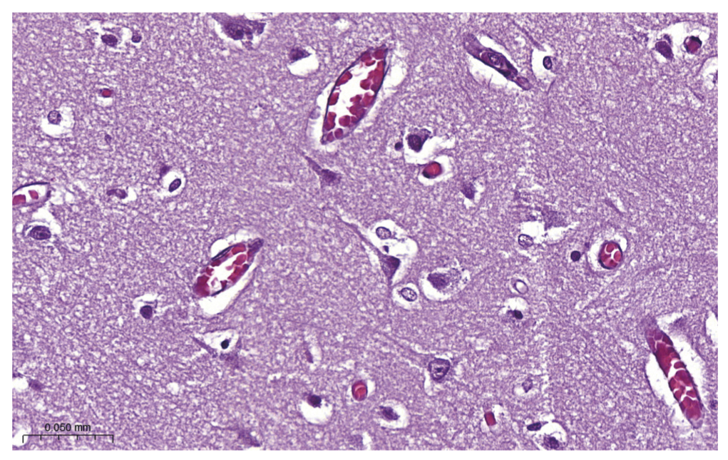
При микроскопическом исследовании в разных отделах головного мозга обнаружены признаки нарушения кровообращения: полнокровие артериол, венул и капилляров; стазы эритроцитов (рис. 1) и тромбозы; мелкие периваскулярные кровоизлияния. Выявленные изменения обнаружены в веществе головного мозга и его оболочках.
Рис. 1. Головной мозг: полнокровие, стазы эритроцитов в капиллярах. Окраска гематоксилином и эозином, масштабный отрезок соответствует 50 мкм. / Fig. 1. Brain, hematoxylin and eosin stained section shows hyperemia, erythrocyte stasis in capillary vessels, scale bar 50 µm.
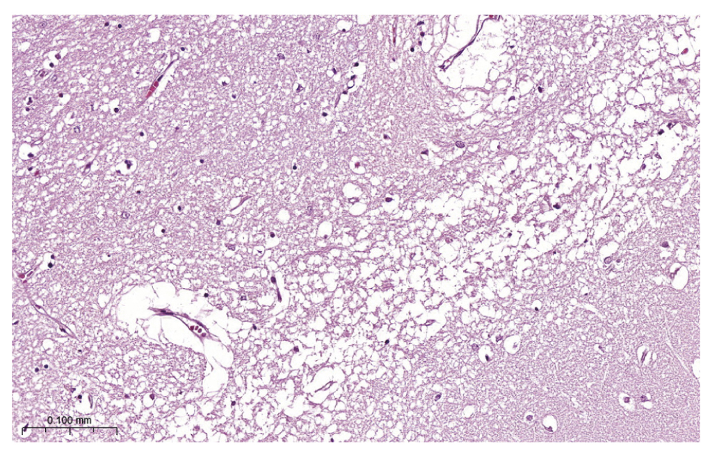
У всех умерших во всех исследованных областях головного мозга обнаружены признаки периваскулярного и перинейронального отека с пикнотическими изменениями цитоплазмы и ядер нервных клеток. В зоне коры, а также в субэпендимальных отделах белого вещества больших полушарий выявлены более выраженные явления отека в виде спонгиоформных изменений (рис. 2).
Рис. 2. Головной мозг: явления отека в виде спонгиоформных изменений. Окраска гематоксилином и эозином, масштабный отрезок соответствует 100 мкм. / Fig. 2. Brain, edema with spongioform changes. Hematoxylin and eosin staining, scale bar 100 µm.
В разных отделах головного мозга обнаружены более тяжелые дистрофические изменения нервных клеток в виде гидропической трансформации с вакуолизацией цитоплазмы и ядер, а также признаки некроза и цитолиза по типу изменений в результате ишемического повреждения нейронов (рис. 3).
Рис. 3. Головной мозг: признаки некроза и цитолиза по типу изменений в результате ишемического повреждения нейронов. Окраска гематоксилином и эозином, масштабный отрезок соответствует 50 мкм. / Fig. 3. Brain, ischemic damage like signs of necrosis and cytolysis of neurons. Hematoxylin and eosin staining, scale bar 50 µm.
Наряду с изменениями в коре и субэпендимальных отделах больших полушарий головного мозга, спонгиоформные и дистрофические изменения выявлены и в различных отделах центральной части обонятельного анализатора: в обонятельных трактах, луковицах и треугольниках, продолговатом мозге, что может служить объяснением описанного в работах различных авторов нейронального пути проникновения SARS-CoV-2 в ЦНС [16, 18, 26].
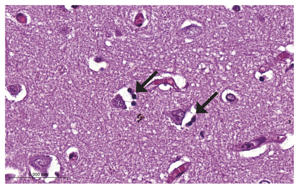
Во всех наблюдениях выявлена глиальная реакция в виде слабой и умеренной пролиферации глии по ходу нервных волокон, периваскулярного астроцитоза, а также перинейронального сателлитоза, т.е. скоплений глиальных клеток вокруг нейронов, главным образом в коре разных отделов полушарий мозга, что подтверждает данные литературы [15] (рис. 4).
Рис. 4. Головной мозг: перинейрональный сателлитоз (стрелки). Окраска гематоксилином и эозином, масштабный отрезок соответствует 50 мкм. / Fig. 4. Brain, perineuronal satelliteosis (arrows). Hematoxylin and eosin staining, scale bar 50 µm.
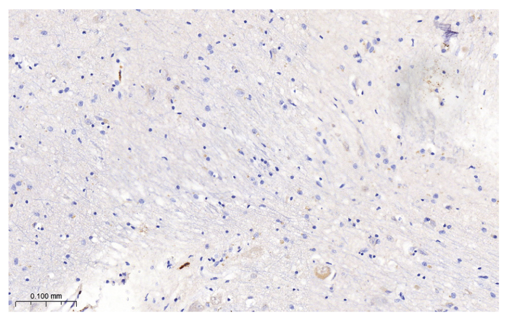
В 10 наблюдениях в различных отделах обонятельного анализатора и продолговатом мозге, а также в нейронах и астроцитах других отделов головного мозга выявлена положительная иммуногистохимическая реакция с антителами к S1 и S2 субъединицам спайк-белка SARS-CoV-2 (рис. 5). Именно инфицированию SARS-CoV-2 астроцитов через NRP1-рецепторы (нейропилин 1) придается в настоящее время важнейшая роль в понимании поражения нейронов при COVID-19. По данным исследователей из Бразилии, SARS-CoV-2, инфицируя астроциты, нарушает в них процессы метаболизма, поскольку цель метаболических процессов в астроцитах — поддержание жизнеспособности нейронов, их изменения влияют на морфофункциональное состояние нейронов. В одной из публикаций описано критическое для поддержания жизнеспособности нейронов при новой коронавирусной инфекции снижение уровня пирувата и лактата (энергетического субстрата для нейронов) в астроцитах [27].
Рис. 5. Головной мозг: положительная иммуногистохимическая реакция с антителами к S1-субъединице спайк-белка SARS-CoV-2 в нейронах и астроцитах. Масштабный отрезок соответствует 50 мкм. / Fig. 5. Brain, positive immunohistochemical reaction with antibodies to the S1 subunit of the SARS-CoV-2 spike protein in neurons and astrocytes. Scale bar 50 µm.
Результат слабоположительной иммуногистохимической реакции с антителами к N-белку SARS-CoV-2 в единичных нейронах расценен нами как сомнительный, достоверного подтверждения активной репликации SARS-CoV-2 в веществе головного мозга методом иммуногистохимического исследования не получено, как и в подобных исследованиях других авторов [28, 29].
Экспрессия S-белка SARS-CoV-2 выявлена лишь в единичных эндотелиоцитах.
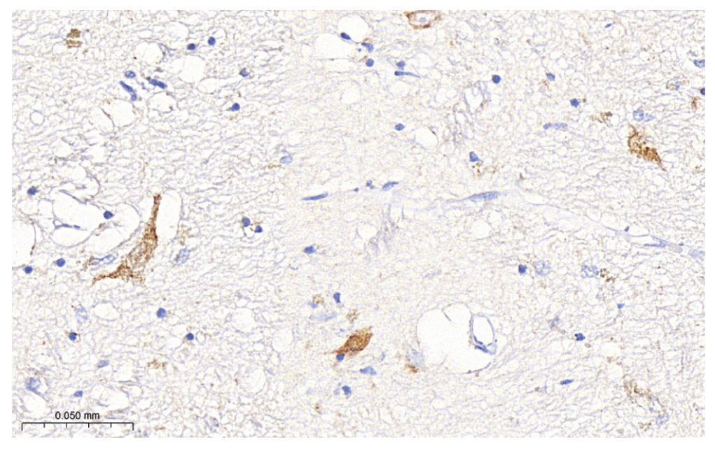
Несмотря на наличие структурных элементов SARS-CoV-2, воспалительная реакция в тканях головного мозга в виде лимфоцитарной инфильтрации и активации микроглии, оцениваемая по количеству CD68-позитивных клеток, была слабой (рис. 6). Выявлены немногочисленные диффузно расположенные, преимущественно цитотоксические CD8-позитивные Т-лимфоциты, а также их небольшие периваскулярные скопления в белом веществе полушарий большого мозга и мозжечка и в стволе мозга (рис. 7).
Рис. 6. Головной мозг: положительная иммуногистохимическая реакция с антителами к CD68. Масштабный отрезок соответствует 50 мкм. / Fig. 6. Brain, positive immunohistochemical reaction with antibodies to CD68. Hematoxylin and eosin staining, scale bar 50 µm.
Рис. 7. Головной мозг: положительная иммуногистохимическая реакция с антителами к CD8. Масштабный отрезок соответствует 50 мкм. / Fig. 7. Brain, positive immunohistochemical reaction with antibodies to CD8. Hematoxylin and eosin staining, scale bar 50 µm.
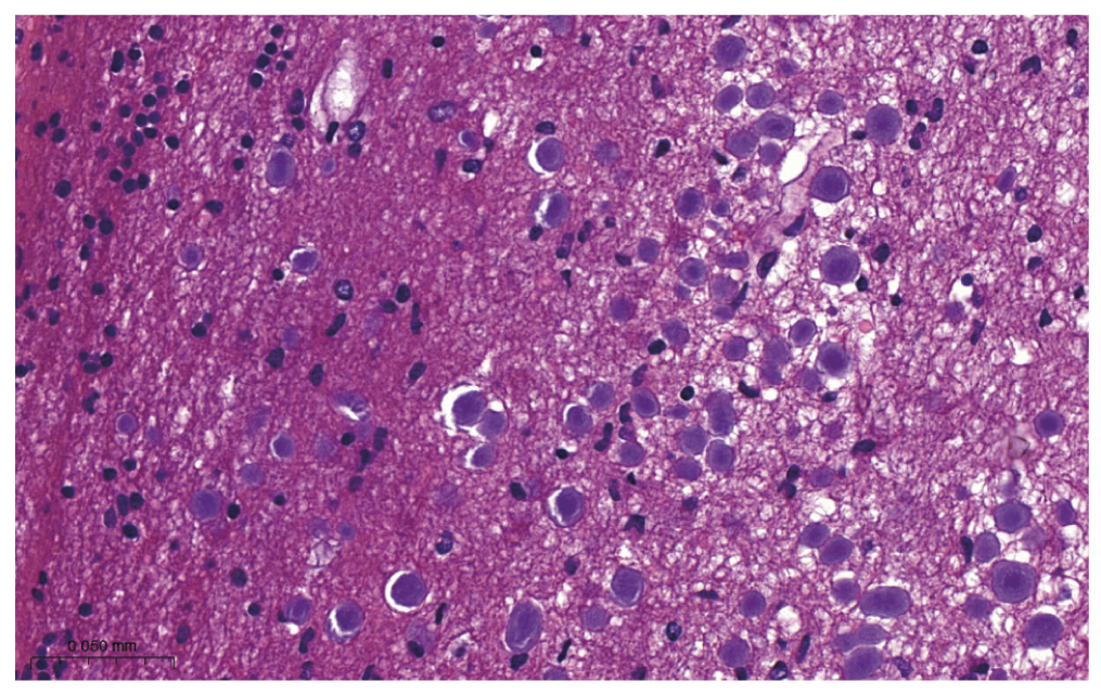
Особое внимание обращает на себя наличие многочисленных крахмалистых (амилоидоподобных) телец вокруг микрососудов под оболочками разных отделов головного мозга и белом веществе области боковых желудочков, во всех исследованных отделах центральной части обонятельного анализатора (обонятельных луковицах, трактах и треугольниках), в крючках гиппокампа, стволе мозга, что нередко сочеталось с выраженными спонгиоформными изменениями, обусловленными отеком (рис. 8). Крахмалистые (амилоидоподобные) тельца — это сферические базофильные включения, обнаруживаемые в отростках астроцитов и иногда в аксонах, количество которых увеличивается с возрастом преимущественно в субпиальных и субэпендимальных областях вокруг мелких сосудов [30].
Рис. 8. Головной мозг: многочисленные крахмалистые (амилоидные) тельца. Окраска гематоксилином и эозином, масштабный отрезок соответствует 100 мкм. / Fig. 8. Brain, numerous сorpora amylacea. Hematoxylin and eosin staining, scale bar 100 µm.
ОБСУЖДЕНИЕ
Выявленные при исследовании признаки нарушения кровообращения при COVID-19 в других органах, прежде всего в легких, подтверждают системный характер поражения при данном заболевании.
Признаки периваскулярного и перинейронального отека, тяжелые дистрофические изменения нервных клеток в виде гидропической трансформации с вакуолизацией цитоплазмы и ядер, признаками некроза и цитолиза объясняются ишемическим повреждением нейронов вследствие нарушения гемодинамики в сочетании с выраженной эндогенной интоксикацией при тяжелом течении заболевания, относящихся к описываемым в литературе неиммунологическим механизмам действия SARS-CoV-2.
С начала пандемии в литературе были описаны три вероятных пути проникновения SARS-CoV-2 в головной мозг: гематогенный, связанный с нарушением проницаемости гематоэнцефалического барьера; трансэндотелиальный; нейрональный, или путь ретроградного аксонального транспорта. Выявленная в нашем исследовании экспрессия S-белка SARS-CoV-2 лишь в единичных эндотелиоцитах ставит под сомнение трансэндотелиальный путь проникновения вируса в головной мозг. В работе обнаружены признаки, подтверждающие описываемый другими авторами нейрональный путь проникновения SARS-CoV-2 в ЦНС. Трансэпителиальный (трансназальный) путь подтверждается выявлением в 10 наблюдениях в различных отделах обонятельного анализатора и продолговатом мозге положительной иммуногистохимической реакции с антителами к S1 и S2 субъединицам спайк-белка SARS-CoV-2.
В исследовании подтверждены также описываемые в литературных источниках иммунологические механизмы воздействия вируса SARS-CoV-2. Во всех наблюдениях определялась глиальная реакция. Воспалительная реакция на наличие белков SARS-CoV-2 в веществе головного мозга во всех наблюдениях была слабой.
Признаков активной репликации SARS-CoV-2 в веществе головного мозга нами не выявлено, что может объясняться длительностью заболевания на момент наступления летального исхода.
Выявление многочисленных крахмалистых (амилоидоподобных) телец в различных отделах обонятельного анализатора у умерших от COVID-19 пациентов могут объяснить длительно существующие расстройства обоняния у пациентов, перенесших COVID-19, однако данная гипотеза требует дополнительного подтверждения в связи с преимущественно пожилым возрастом умерших пациентов исследуемой группы.
Выявленные нами на аутопсийном материале диффузные морфологические изменения вещества головного мозга при тяжелом течении COVID-19 по механизму образования можно разделить на две группы.
К первой группе относятся:
- нарушения кровообращения с полнокровием артериол, венул и капилляров, стазами эритроцитов и тромбозом сосудов, периваскулярными кровоизлияниями;
- признаки периваскулярного и перинейронального отека с пикнотическими изменениями цитоплазмы и ядер нервных клеток, а в зоне коры и в субэпендимальных отделах белого вещества больших полушарий — спонгиоформными изменениями;
- более тяжелые дистрофические изменения нервных клеток в виде гидропической трансформации с вакуолизацией цитоплазмы и ядер, признаками некроза и цитолиза по типу изменений в результате ишемического повреждения нейронов;
- глиальная реакция в виде слабой и умеренной пролиферации глии по ходу нервных волокон, периваскулярного астроцитоза, а также перинейронального сателлитоза.
Эти изменения обусловлены главным образом пневмонией, коагулопатией и другими проявлениями инфекции, сопровождающимися гипоксией и ишемией головного мозга. Изменения сосудистой системы могут обусловливать нарушения мозгового кровообращения и прогрессирование дисциркуляторной энцефалопатии и сосудистой деменции у пациентов пожилого и старческого возраста с COVID-19.
Ко второй группе относятся:
- воспалительно-дегенеративные изменения с положительной иммуногистохимической реакцией с антителами к S1 и S2 субъединицам спайк-белка SARS-CoV-2 в нейронах и астроцитах;
- слабая воспалительная реакция в тканях головного мозга в виде лимфоцитарной инфильтрации и активации микроглии, оцениваемая по количеству CD68-позитивных клеток, а также немногочисленным диффузно расположенным преимущественно цитотоксических CD8-позитивных Т-лимфоцитов с их мелкими периваскулярными скоплениями в белом веществе полушарий большого мозга и мозжечка и в стволе мозга;
- наличие многочисленных крахмалистых (амилоидоподобных) телец в области микрососудов в поверхностных участках разных отделов головного мозга и белом веществе в области боковых желудочков и центральной части обонятельного анализатора.
С изменениями второй группы связано возможное развитие тяжелых неврологических осложнений COVID-19, в частности, описанных в литературе энцефалитов, а также дегенеративных и аутоиммунных заболеваний центральной нервной системы у реконвалесцентов.
ЗАКЛЮЧЕНИЕ
Результаты проведенного нами исследования частично подтверждают опубликованные в отечественных и зарубежных работах данные по основным путям проникновения SARS-CoV-2 в ЦНС, патогенетическим механизмам влияния COVID-19 на головной мозг, включая иммунологические и неиммунологические механизмы. Вместе с тем нами высказано сомнение по поводу важной роли трансэндотелиального пути проникновения вируса в головной мозг, который опровергается выявленной экспрессией S-белка SARS-CoV-2 лишь в единичных эндотелиоцитах в исследованных препаратах головного мозга.
Вопрос нейроинвазивного нейротропного потенциала SARS-CoV-2 остается открытым и требует проведения дальнейших исследований. По нашим данным, SARS-CoV-2 обнаруживается в ЦНС, однако признаков его активной репликации нами не выявлено. Результаты проведенных исследований могут свидетельствовать в пользу системного характера поражения при COVID-19, в том числе ЦНС.
Выявленные особенности летальных исходов пациентов при тяжелом течении COVID-19 с учетом возраста, пола, наличия коморбидной патологии, а также обнаруженные при морфологическом исследовании сосудистые, нейродегенеративные и провоспалительные изменения головного мозга следует учитывать при наблюдении и лечении пациентов в период реконвалесценции.
ДОПОЛНИТЕЛЬНАЯ ИНФОРМАЦИЯ / ADDITIONAL INFORMATION
Вклад авторов. Авторы подтверждают соответствие своего авторства международным критериям ICMJE (все авторы внесли существенный вклад в разработку концепции, проведение исследования и подготовку статьи, прочли и одобрили финальную версию перед публикацией).
Authors’ contribution. The authors made a substantial contribution to the conception of the work, acquisition, analysis, interpretation of data for the work, drafting and revising the work, final approval of the version to be published and agree to be accountable for all aspects of the work.
Источник финансирования. Исследование и публикация статьи осуществлены на личные средства авторского коллектива.
Funding source. The study had no sponsorship.
Конфликт интересов. Авторы декларируют отсутствие явных и потенциальных конфликтов интересов, связанных с публикацией настоящей статьи.
Competing interests. The authors declare that there is no conflict of interests.
About the authors
Aleksander A. Kanibolotskiy
N.V. Sklifosovsky Research Institute for Emergency Medicine; Research Institute for Healthcare Organization and Medical Management
Author for correspondence.
Email: dr.kaa@mail.ru
SPIN-code: 3976-1662
врач-патологоанатом патологоанатомического отделения, заведующий организационно-методическим отделом по патологической анатомии
Russian Federation, Moscow; MoscowOleg V. Zayratyants
Moscow State University of Medicine and Dentistry named after A.I. Evdokimov
Email: ovzair@mail.ru
ORCID iD: 0000-0003-3606-3823
SPIN-code: 4817-1084
MD, PhD, Professor
Russian Federation, MoscowReferences
- Каниболоцкий А.А., Рачин А.П. Постковидный синдром: от морфологии до медицинской реабилитации // Постпандемия: новые векторы развития здравоохранения и здоровья: сборник докладов III Научно-методического форума организаторов здравоохранения, Москва, 07–09 декабря 2021 года. Москва: Научно-исследовательский институт организации здравоохранения и медицинского менеджмента Департамента здравоохранения города Москвы, 2021. С. 174–183. [Kanibolotsky AA, Rachin AP. Postcovid syndrome: from morphology to medical rehabilitation. In: Postpandemia: New vectors of healthcare and health development: Collection of reports of the III Scientific and Methodological Forum of Healthcare Organizers, Moscow, December 07-09, 2021. Moscow: Scientific Research Institute of Healthcare Organization and Medical Management of the Department of Healthcare of the City of Moscow; 2021. Р. 174–183. (In Russ).]
- Abboud H, Abboud FZ, Kharbouch H, et al. COVID-19 and SARS-Cov-2 infection: Pathophysiology and clinical effects on the nervous system. World Neurosurg. 2020;(140):49–53. doi: 10.1016/j.wneu.2020.05.193
- Koralnik IJ, Tyler KL. COVID-19: A global threat to the nervous system. Ann Neurol. 2020;88(1):1–11. doi: 10.1002/ana.25807
- Premraj L, Kannapadi NV, Briggs J, et al. Mid and long-term neurological and neuropsychiatric manifestations of post-COVID-19 syndrome: A meta-analysis. J Neurol Sci. 2022;(434): 120162. doi: 10.1016/j.jns.2022.120162
- Белопасов В.В., Журавлева Е.Н., Нугманова Н.П., Абдрашитова А.Т. Постковидные неврологические синдромы // Клиническая практика. 2021. Т. 12, № 2. C. 69–82. [Belopasov VV, Zhuravleva EN, Nugmanova NP, Abdrashitova TA. Postcovid neurological syndromes. Clin Practice. 2021;12(2):69–82. (In Russ).] doi: 10.17816/clinpract71137
- Петриков С.С., Годков М.А., Каниболоцкий А.А., и др. Результаты ПЦР-тестирования на наличие SARS-CoV материала из различных органов пациентов, умерших в постковидный период от причин, непосредственно не связанных с COVID-19 // Инфекционные болезни. 2022. Т. 20, № 1. C. 5–15. [Petrikov SS, Godkov MA, Kanibolotsky AA, et al. Results of PCR testing for the presence of SARS-CoV material from various organs of patients who died in the postcovid period from causes not directly related to COVID-19. Infectious Dis. 2022;20(1):5–15. (In Russ).] doi: 10.20953/1729-9225-2022-1-5-15
- Зайратьянц О.В., Cамсонова М.В., Михалева Л.М., и др. Патологическая анатомия COVID-19: Атлас / под общей ред. О.В. Зайратьянца. Москва, 2020. 140 с. [Zairatyants OV, Samsonova MV, Mikhaleva LM, et al. Pathological anatomy of COVID-19: Atlas. Ed. by O.V. Zairatyants. Moscow; 2020. 140 р. (In Russ).]
- Зайратьянц О.В., Каниболоцкий А.А., Михалева Л.М., и др. Новая коронавирусная инфекция (Сovid-19), организация работы московской патологоанатомической службы: методические рекомендации. Москва, 2022. 49 с. [Zairatiants OV, Kanibolotsky AA, Mikhaleva LM, et al. New coronavirus infection (Covid-19), organization of work of the Moscow pathology service: methodological recommendations. Moscow; 2022. 49 р. (In Russ).]
- Rauti R, Shahoha M, Leichtmann-Bardoogo Y, et al. Effect of SARS-CoV-2 proteins on vascular permeability. Elife. 2021; 10:e69314. doi: 10.7554/eLife.69314
- Frank MG, Nguyen KH, Ball JB, et al. SARS-CoV-2 spike S1 subunit induces neuroinflammatory, microglial and behavioral sickness responses: Evidence of PAMP-like properties. Brain Behav Immun. 2022;(100):267–277. doi: 10.1016/j.bbi.2021.12.007
- Erickson MA, Rhea EM, Knopp RC, Banks WA. Interactions of SARS-CoV-2 with the Blood-Brain Barrier. Int J Mol Sci. 2021;22(5):2681. doi: 10.3390/ijms22052681
- Huang X, Hussain B, Chang J. Peripheral inflammation and blood-brain barrier disruption: Effects and mechanisms. CNS Neurosci Ther. 2021;27(1):36–47. doi: 10.1111/cns.13569
- Jha NK, Ojha S, Jha SK, et al. Evidence of coronavirus (CoV) pathogenesis and emerging pathogen SARS-CoV-2 in the nervous system: A review on neurological impairments and manifestations. J Mol Neurosci. 2021;71(11):2192–2209. doi: 10.1007/s12031-020-01767-6
- Balcom EF, Nath A, Power C. Acute and chronic neurological disorders in COVID-19: Potential mechanisms of disease. Brain. 2021;144(12):3576–3588. doi: 10.1093/brain/awab302
- Kleinschmidt-De Masters BK, Pekmezci M, Rodriguez F, Tihan T. Diagnostic pathology: Neuropathology, 3rd ed. Elsevier; 2022. Р. 803–808.
- Евдокименко А.Н., Ануфриев П.Л., Каниболоцкий А.А., Келли Е.И. Инвазия и персистенция SARS-CoV-2 в центральной нервной системе: взгляд нейроморфолога // Бюллетень Национального общества по изучению болезни Паркинсона и расстройств движений. 2022. № 2. С. 49–55. [Evdokimenko AN, Anufriev PL, Kanibolotsky AA, Kelly EI. Invasion and persistence of SARS-CoV-2 in the central nervous system: A neuromorphologist's view. Bulletin National Soc Study Parkinson's Dis Movement Disorders. 2022;(2):49–55. (In Russ).]
- Рамазанов Г.Р., Шарифов Р.А., Ахматханова Л.Х., и др. Вирусассоциированная некротизирующая диссеминированная острая лейкоэнцефалопатия // Вестник Смоленской государственной медицинской академии. 2022. Т. 21, № 4. С. 35–43. [Ramazanov GR, Sharifov RA, Akhmatkhanova LH, et al. Virus-associated necrotizing disseminated acute leukoencephalopathy. Bulletin Smolensk State Med Academy. 2022; 21(4):35–43. (In Russ).]
- Белопасов В.В., Яшу Я., Самойлова Е.М., Баклаушев В.П. Поражение нервной системы при СOVID-19 // Клиническая практика. 2020. Т. 11, № 2. C. 60–80. [Belopasov VV, Yashu Y, Samoylova EM, Baklaushev VP. Lesion of the nervous system in COVID-19. J Clin Pract. 2020;11(2):60–80. (In Russ).] doi: 10.17816/clinpract34851
- Mukerji SS, Solomon IH. What can we learn from brain autopsies in COVID-19? Neurosci Lett. 2021;(742):135528. doi: 10.1016/j.neulet.2020.135528
- Vasquez-Bonilla WO, Orozco R, Argueta V, et al. A review of the main histopathological findings in Coronavirus Disease 2019. Hum Pathol. 2020;(105):74–83. doi: 10.1016/j.humpath.2020.07.023
- Fisicaro F, Di Napoli M, Liberto A, et al. Neurological sequelae in patients with COVID-19: A histopathological perspective. Int J Environ Res Public Health. 2021;18(4):1415. doi: 10.3390/ ijerph18041415
- Науменко В.Г., Грехов В.В. Методика исследования головного мозга при черепно-мозговой травме // Судебно-медицинская экспертиза. 1964. № 3. С. 51–57. [Naumenko VG, Grekhov VV. Methods of brain research in traumatic brain injury. Forensic Med Examination. 1964;(3):51–57. (In Russ).]
- Добровольский Г.Ф. Методологические основы топографической нейроморфологии и нейропатоморфологии головного мозга, черепа и шейного отдела позвоночника. Часть 1. Москва: Эдем, 2023. 148 с. [Dobrovolsky GF. Methodological foundations of topographic neuromorphology and neuropathomorphology of the brain, skull and cervical spine. Part 1. Moscow: Edem; 2023. 148 р. (In Russ).]
- Зайратьянц О.В., Полянко Н.И., Каниболоцкий А.А. Коморбидные заболевания (в том числе у умерших от коронавирусной инфекции // Труды научно-исследовательского института организации здравоохранения и медицинского менеджмента: сборник научных трудов. Москва, 2020. С. 137–141. [Zairatyants OV, Polyanko NI, Kanibolotsky AA. Comorbid diseases (including those who died from coronavirus infection. In: Proceedings of the Research Institute of Health Organization and Medical Management. Collection of scientific papers. Moscow; 2020. Р. 137–141. (In Russ).]
- Петриков С.С., Абучина В.М., Алиджанова Х.Г., и др. Диагностика и интенсивная терапия больных COVID-19: руководство для врачей. Москва: ГЭОТАР-Медиа, 2021. 432 с. [Petrikov SS, Abuchina VM, Alidzhanova HG, et al. Diagnosis and intensive care of COVID-19 patients: A guide for doctors. Moscow: GEOTAR-Media; 2021. 432 p. (In Russ).] doi: 10.33029/9704-6340-6-DIT-2021-1-432
- Sieracka J, Sieracki P, Kozera G, et al. COVID-19--neuropathological point of view, pathobiology, and dilemmas after the first year of the pandemic struggle. Folia Neuropathol. 2021;59(1):1–16. doi: 10.5114/fn.2021.105128
- Crunfli F, Carregari VC, Veras FP, et al. Morphological, cellular, and molecular basis of brain infection in COVID-19 patients. Proc Natl Acad Sci USA. 2022;119(35):e2200960119. doi: 10.1073/pnas.2200960119
- Cascarina SM, Ross ED. Phase separation by the SARS-CoV-2 nucleocapsid protein: Consensus and open questions. J Biol Chem. 2022;298(3):101677. doi: 10.1016/j.jbc.2022.101677
- Ramani A, Müller L, Ostermann PN, et al. SARS-CoV-2 targets neurons of 3D human brain organoids. EMBO J. 2020; 39(20):e106230. doi: 10.15252/embj.2020106230
- Escourolle and poirier’s manual of basic neuropathology, Six ed., edited by F. Gray, C. Duyckaerts, U. De Girolami. Oxford; 2019. 443 p.
Supplementary files











