The effect of the endovascular access on the effectiveness and safety of chemoembolization of the arteries of the liver with unresectable liver metastases
- Authors: Lebedev D.P.1,2, Astakhov D.A.1,2, Zvezdkina E.A.1,3, Kosy V.V.1, Kedrova A.G.1, Ivanov Y.V.1,2, Panchenkov D.N.1,2,3
-
Affiliations:
- Federal Scientific and Clinical Center of Specialized Types of Medical Care and Medical Technologies of the Federal Medical and Biological Agency of Russia
- Moscow State University of Medicine and Dentistry a.n. A.I. Evdokimov
- State Scientific Center of Laser Medicine named after O.K. Skobelkinof the Federal Medical and Biological Agency of Russia
- Issue: Vol 10, No 4 (2019)
- Pages: 5-15
- Section: Original Study Articles
- Submitted: 02.12.2019
- Accepted: 04.12.2019
- Published: 13.02.2020
- URL: https://clinpractice.ru/clinpractice/article/view/17941
- DOI: https://doi.org/10.17816/clinpract17941
- ID: 17941
Cite item
Abstract
Background. Minimally invasive surgery techniques are widely used in the treatment of primary and metastatic liver cancer.
Objective. The goal was to evaluate the effect of the endovascular access on the efficiency and safety of chemoembolization of liver arteries (CELA) in patients with unresectable liver metastases.
Methods. In 30 patients with unresectable liver metastases, CELA was performed using the transradial and transfemoral approaches. The microcatheter technique was used for superselective chemoembolization of the liver arteries with introduction of drug-saturated microspheres (HepaSphere). All the digital material was statistically processed using the STATISTICA 6.0 software package (StatSoft, 2001). The results were considered statistically significant at p<0.05.
Results. In the normal type of the blood supply to the liver, only the left radial access with only the right hepatic artery embolization demonstrated a significantly shorter duration of CELA and fluoroscopy, which amounted to 33±4.3 min and 9.9±1.3 min, respectively (p<0.05). When performing CELA by means of microspheres 50–100 um from the right femoral access with embolization of only the right hepatic artery, the above assessment criteria were the highest — 67±11 min and 19.1±5.3 min, respectively, but without a significant difference between the other options for the puncture access. During the first CELA using a femoral access, the postoperative hospital stay in the studied group of patients was 7±0.8 days, and the postembolization period lasted 1.43±0.5 days, which is significantly longer (at p≤0.05) in comparison with the same parameters for the right radial arterial access, for which they were 3±0.6 days and 1.15±0.4 days, respectively, and for the left radial arterial access, for which they were 4±0.5 days and 1±0.001 days,respectively.
Conclusion. The use microspheres as a embolization material allowed the application of the microcatheter technique for hqTACE, and expanded the possibilities of the transradial access. A significantly better tolerance and safety of the transradial access was proven in 76.2% of the studied patients in whom it was applicable. The repetitions of CELA donot affect the severity of the post-embolization period, partially due to a lowered use of the contrast medium and superselective embolization of the affected areas of the liver with the preservation of a more intact parenchyma.
Full Text
ОБОСНОВАНИЕ
В последние годы методы минимально инвазивной хирургии широко применяются в лечении нерезектабельной гепатоцеллюлярной карциномы и метастазов колоректального рака в печень, при этом полученные результаты представляются обнадеживающими. Наиболее современной рентгеноэндоваскулярной методикой является трансартериальная химиоэмболизация лекарственно-насыщаемыми микросферами (ХЭПА, hqTACE). Уже накоплен достаточно большой опыт ее применения у пациентов с гепатоцеллюлярной карциномой [1]. При метастатическом поражении печени требуются дополнительные клинические наблюдения для создания доказательной базы в отношении использования лекарственно-насыщаемых микросфер при этой патологии.
Применение рентгенэндоваскулярных методик невозможно без оценки особенностей артериального кровоснабжения метастатических узлов. Новообразования печени получают его преимущественно из артериального русла, здоровая паренхима печени на 2/3 питается из системы воротной вены. Именно поэтому наиболее часто для лечения первичного и метастатического рака печени применяются химиоинфузия и химиоэмболизация артерий печени [2]. Известно, что гепатоцеллюлярная карцинома обладает хорошо развитой сосудистой сетью, тогда как метастазы кровоснабжаются недостаточно или умеренно [3, 4]. Это необходимо учитывать при выборе эмболизационного материала и непосредственно во время самой процедуры химиоэмболизации. Однако вопросы о влиянии вариантов артериальной анатомии печени на технический успех рентгенэндоваскулярного вмешательства, а также на клиническую эффективность регионарной химиотерапии остаются малоизученными.Проведение повторных курсов регионарной химиотерапии сопровождается многократным воздействием как механических (артериальный катетер, проводник), так и химических (химиопрепараты, контрастное вещество) агентов на интиму артерий. Это может приводить к развитию стенозов и окклюзий ветвей печеночной артерии и к формированию коллатерального кровотока, что делает проведение дальнейшего лечения крайне затруднительным или невозможным. В то же время частота и причины развития гемодинамически значимых стенозов и окклюзий артерий печени при повторных курсах регионарной химиотерапии представлены в виде единичных сообщений. Для проведения процедур трансартериальной химиоэмболизации традиционно используется трансфеморальный доступ. Однако в последние годы появляется все больше публикаций, посвященных роли трансрадиального доступа для эмболизации артерий различной локализации [5]. Методика выполнения, количество и тяжесть осложнений трансрадиального сосудистого доступа при химиоэмболизации печеночной артерии лекарственно-насыщаемыми микросферами при метастатическом раке печени не изучена.
МЕТОДЫ
Условия проведения
Работа выполнена в отделении рентгенохирургических методов диагностики и лечения (зав. отделением — к.м.н. Стаферов А.В.) ФГБУ «Федеральный научно-клинический центр специализированных видов медицинской помощи и медицинских технологий ФМБА» (далее ФНКЦ; генеральный директор — профессор, д.м.н. Троицкий А.В.) у больных с метастатическим раком печени с целью оптимизации хирургической техники и хирургического доступа при эндоваскулярном вмешательстве с комплексным введением лекарственно-насыщаемых микросфер.
Характеристика пациентов
Для проведения селективной химиоэмболизации артерий печени лекарственно-насыщаемыми микросферами в исследование были включены 30 пациентов с нерезектабельным метастатическим поражением печени, из них 10 мужчин (33,3%) и 20 женщин (66,7%), находившихся на лечении в ФНКЦ в период с 2013 по 2019 г. Распределение по локализации первичного процесса следующее: рак ободочной кишки — у 12 (43,34%), поджелудочной железы — у 5 (16,67%), желудка — у 2 (6,67%), предстательной железы — у 2 (6,67%), легкого — у 2 (6,67%), рак тонкой кишки, прямой кишки, яичников, тела матки, молочной железы, ротоглотки, холангиокарцинома — по 1 наблюдению (по 3,33% соответственно). По гистологическому типу в 22 случаях установлена аденокарцинома, в 8 — нейроэндокринный рак. Исследуемые пациенты имели следующие типы метастатического поражения печени: 27 — билобарное множественное очаговое поражение печени, 1 — единичный метастаз в центральном отделе правой доли печени, 2 — метастазы с инфильтративным характером роста по ходу желчных протоков (парабилиарные метастазы колоректального рака). На момент выполнения первой химиоэмболизации средний возраст пациентов составлял 61,3±11,6 (от 28 до 81) года, средний возраст мужчин 64,0±8,6 (от 53 до 81) года, женщин — 59,5±11,7 (от 28 до 78) года.
Описание медицинского вмешательства
Для проведения химиоэмболизации мы использовали микросферы HepaSphere 50–100 микрон (MeritMedical, США) с возможностью лекарственного насыщения до рабочих размеров 200–400 микрон. Сверхабсорбирующие микросферы насыщались доксорубицином или иринотеканом непосредственно перед введением и вводились при помощи микрокатетера. Для обеспечения доступа в артериальное сосудистое русло были использованы правая бедренная артерия, правая лучевая артерия, левая лучевая артерия и левая локтевая артерия. Также проводилось сопоставление ангиографических данных с данными о локализации метастазов, полученными от неинвазивных исследований, что определяло выбор артерий для выполнения химиоэмболизации.
Процедура химиоэмболизации осуществлялась посредством последовательной суперселективной катетеризации микрокатетером целевых артерий и введением достаточного количества лекарственно-насыщенных микросфер с доксорубицином или иринотеканом до достижения контрольной точки.
Для подтверждения обработки опухоли смесью лекарственных веществ и завершения химиоэмболизации всем пациентам проводились контрольные артериографии. Процедура введения микросфер с цитостатиком проводилась под контролем общего состояния пациента, включающего мониторинг сердцебиения, пульса и артериального давления. Перед хирургическим вмешательством всем пациентам была проведена премедикация седативными препаратами.
Этическая экспертиза
Проведение клинического исследования было одобрено комитетом по этике при ФГБОУ ВО МГМСУ им. А.И. Евдокимова Минздрава России, заключение № 83-ДК-С-I от 23.06.2017 г.
Статистический анализ
Количественная оценка показателей проводилась по общепринятым методикам статистической обработки данных с использованием пакета программ STATISTICA 6.0 (StatSoft, 2001). Результаты считались статистически значимыми при p<0,05.
РЕЗУЛЬТАТЫ
Основные результаты исследования
Для выбора оптимального сценария проведения ХЭПА, подбора необходимого рентгенохирургического инструментария, а также с целью изучения артериальной анатомии печени всем пациентам была выполнена висцеральная ангиография. Для обеспечения правостороннего доступа пациентов укладывали на операционный стол головой к детектору, при выполнении левостороннего доступа, в случае наличия технической возможности, производилось позиционирование пациента ногами к детектору и тогда необходимости в перемещении персонала не возникало, что было важно для соблюдения рандомизации хирургических манипуляций.
ХЭПА выполнена однократно 20 пациентам (5 мужчинам и 15 женщинам), 10 пациентам (5 мужчинам и 5 женщинам) потребовалась повторная процедура, при этом срок проведения от первой ХЭПА составил от 2,07 до 12,37 мес (в среднем 7,06±3,7 мес), у мужчин — 7,67±3,8 мес (от 3,63 до 12,37 мес), у женщин — 6,54±2,9 мес (от 2,07 до 10,33 мес). Двум мужчинам была проведена третья ХЭПА: срок проведения от первой ХЭПА у одного больного составил 8,83 мес, у другого — 29,83 мес, а от второй ХЭПА — 4 и 18,87 мес соответственно.
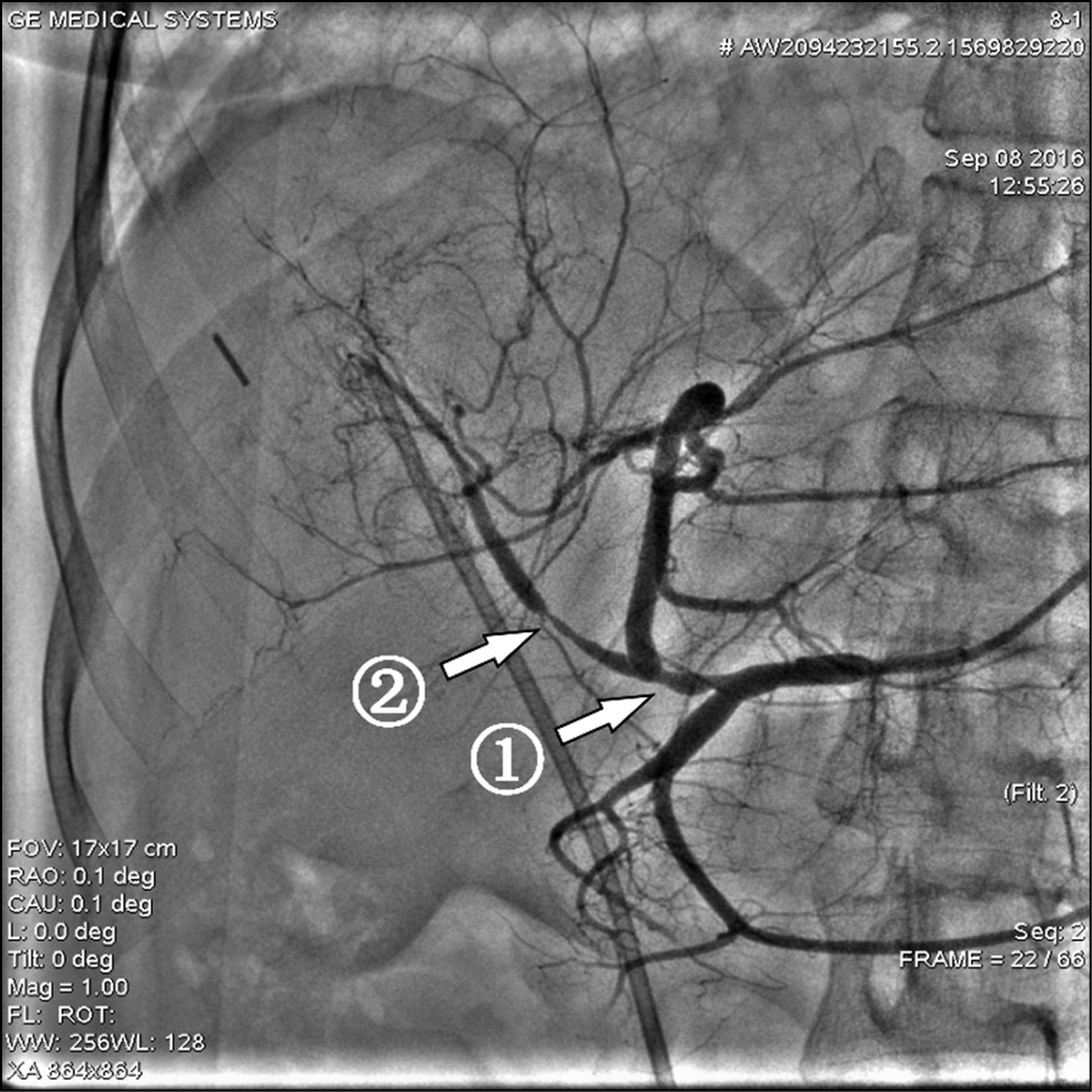
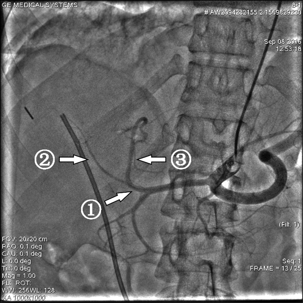
Типичная артериальная анатомия печени была отмечена у 26 (86,7%) исследуемых больных с вторичным неоперабельным метастатическим поражением печени, однако у одного пациента с типичным вариантом кровоснабжения был выявлен критический стеноз чревного ствола, еще у одного — окклюзия чревного ствола (рис. 1, 2). Таким образом, только 24 (80%) обследованных пациента имели типичный неосложненный вариант кровоснабжения печени. Другие (атипичные) варианты кровоснабжения печени наблюдались в 4 (13,3%) случаях. Следует подчеркнуть, что особенности анатомического строения сосудов печени не повлияли на результативность и завершенность процедуры ХЭПА благодаря возможности использования микрокатетерной техники для суперселективного введения микросфер (см. рис. 1, 2).
Рис. 1. Вариант кровоснабжения печени при окклюзии чревного ствола
Примечание. 1 — чревный ствол, 2 — верхняя брыжеечная артерия, 3 — коллатеральное заполнение бассейна чревного ствола из верхней брыжеечной артерии через a. pancreatiсoduodenalisinferior и ретроградно через а. pancreatiсoduodenalissuperior и a. gastroduodenalis.
Рис. 2. Селективная катетеризация микрокатетером сегментарных ветвей правой печеночной артерии при окклюзии чревного ствола
Примечание. 1 — ангиографический катетер 5F в устье верхней брыжеечной артерии, 2 — микрокатетер, проходящий из верхней брыжеечной артерии через a. pancreatiсoduodenalisinferior и ретроградно через а. pancreatiсoduodenalissuperior и a. gastroduodenalis в правую печеночную артерию, 3 — кончик микрокатетера в сегментарной ветви правой печеночной артерии.
Однако при планировании химиоэмболизации артерий печени необходимо учитывать не только различные варианты кровоснабжения печени, но и особенности пробега висцеральных артерий. Так, у одного пациента была обнаружена повышенная извитость печеночных артерий, что исключало бы проведение ХЭПА в монолобарном варианте (рис. 3).
Рис. 3. Вариант кровоснабжения печени, выраженная извитость печеночных артерий
Примечание. 1 — общая печеночная артерия, 2 — правая печеночная артерия, 3 — левая печеночная артерия.
Микрокатетерная техника катетеризации позволила выполнить первоначальный план доступа в дистальное сосудистое русло (рис. 4).
Рис. 4. Селективная катетеризация сегментарных ветвей левой печеночной артерии при выраженной извитости печеночных артерий
Примечание. 1 — ангиографический катетер 5F в устье чревного ствола, 2 — микрокатетер, проходящий из чревного ствола в левую печеночную артерию, 3 — сегментарные ветви левой печеночной артерии.
Микрокатетерная техника ХЭПА повышает вероятность выполнения запланированного объема вмешательства еще и потому, что хорошо профилактирует возникновение интраоперационных осложнений в бассейне чревного ствола. Так, при выполнении монолобарной ХЭПА после селективной катетеризации правой печеночной артерии катетером 5F на контрольной целиакографии был визуализирован выраженный спазм правой печеночной и собственной печеночной артерий (рис. 5, 6).
Рис. 5. Исходная целиакография: сложности катетеризации сегментарных ветвей печеночных артерий при развитии спазма
Примечание. 1 — собственная печеночная артерия, 2 — правая печеночная артерия, 3 — левая печеночная артерия.
Рис. 6. Контрольная целиакография после селективной катетеризации правой печеночной артерии: сложности катетеризации сегментарных ветвей печеночных артерий при развитии спазма
Примечание. 1 — спазм собственной печеночной артерии, 2 — спазм правой печеночной артерии.
Такие интраоперационные осложнения, как спазм артерий, их диссекции и окклюзии, нередко наблюдаемые у пациентов при традиционной методике выполнения ХЭПА, ни разу не встретились при ХЭПА с использованием микрокатетерной техники. Таким образом, при проведении химиоэмболизации артерий печени у пациентов с нерезектабельным метастатическим раком печени большое значение имеет диагностический этап висцеральной ангиографии, направленный на оценку варианта кровоснабжения печени у конкретного пациента, а также выявление индивидуальных особенностей состояния сосудов или реактивного ответа со стороны сосудов в виде спазма на введение инструмента и контрастного вещества.
Мы также проанализировали влияние различных хирургических доступов и объемов выполнения ХЭПА. Нам удалось выявить, что при нормальном варианте кровоснабжения печени только левый лучевой доступ при объеме вмешательства на уровне эмболизации только правой печеночной артерии продемонстрировал достоверно наименьшую длительность ХЭПА и рентгеноскопии, которые составили 33±4,3 и 9,9±1,3 мин соответственно (р<0,05). При правом лучевом доступе длительность ХЭПА и рентгеноскопии в случае эмболизации только правой печеночной артерии достигали 45±8,4 и 16,9±1,5 мин соответственно, а в случае эмболизации ветвей и правой, и левой печеночных артерий — 50±7,9 и 15,4±3,4 мин. При выполнении ХЭПА из правого бедренного доступа при объеме эмболизации только правой печеночной артерии вышеперечисленные оценочные критерии были наиболее высокими — 67±11 и 19,1±5,3 мин соответственно, однако без достоверной разницы между остальными вариантами пункционного доступа.
Достоверно наибольшее количество контрастного вещества потребовалось при проведения эмболизации правой печеночной артерии через правый бедренный доступ, что составило 216,7 мл в сравнении с другими вариантами доступа при нормальном варианте кровоснабжения печени (р<0,05). Кроме того, у пациентов с бедренным доступом при нормальном анатомическом варианте кровоснабжения были наиболее длительными постэмболизационный период и послеоперационный койко-день, который составил 1,33±0,02 сут и 5±0,6 дня при монолобарной эмболизации, при билобарной ХЭПА — 1,6±0,07 сут и 6±1,8 дня (р<0,05).
В зависимости от выявленных вариантов кровоснабжения печени производился выбор оптимального артериального доступа для наиболее успешного проведения эмболизации опухоли путем высокоселективного введения HepaSphere. Основные варианты доступа, которые были использованы у наших пациентов во время всех процедур ХЭПА, представлены в табл. 1.
Таблица 1
Варианты доступа у исследуемых больных при проведении ХЭПА
Годы проведения | Варианты доступа | 1-я ХЭПА | 2-я ХЭПА | 3-я ХЭПА | |||
Кол-во больных | |||||||
n | % | n | % | n | % | ||
2013–2015 | Артериальный правый бедренный (феморальный) | 7 | 23,3 | 2 | 20 | - | - |
2016–2019 | Артериальный правый лучевой (радиальный) | 13 | 43,3 | 6 | 60 | 1 | 50 |
2017–2019 | Артериальный левый лучевой (радиальный) | 9 | 30 | 2 | 20 | 1 | 50 |
2019 | Артериальный левый локтевой (ульнарный) | 1 | 3,3 | - | - | - | - |
2019 | Артериальный правый плечевой (брахиальный) | - | - | 1 | 10 | - | - |
Примечание. ХЭПА — химиоэмболизация печеночных артерий.
В соответствии с данными табл. 1, было отдано предпочтение радиальному доступу, который мы применили у 73,3% больных при проведении первой ХЭПА, у 80% больных — при проведении второй ХЭПА и использовали его в 100% случаев при проведении третьей ХЭПА. Особо следует выделить тот факт, что мы не меняли радиального доступа при проведении каждой последующей ХЭПА, у 5 пациентов мы сменили лишь сторону доступа из-за технических особенностей рентгеновского аппарата. В соответствии с данными табл. 1, феморальный доступ был применен в самом начале нашего исследования в 2013 г. при первой ХЭПА у 23% больных и у 20% больных при проведении повторной процедуры. Выбор доступа в то время был обоснованным, т.к. для проведения масляной трансартериальной эмболизации традиционно использовался только феморальный доступ, а внедрение в практику HepaSphere позволило расширить возможности применения радиального доступа.
Ульнарный доступ был использован лишь у 1 пациента в связи с анатомической особенностью лучевой артерии, при которой применение радиального доступа было невозможным. Попытка осуществления ХЭПА путем брахиального доступа была предпринята однократно.
Анализируя особенности проведения ХЭПА в зависимости от альтернативного доступа, мы сравнили показатели, характеризующие процедуру выполнения, а именно: среднее количество контрастного вещества, длительность процедуры, осложнения, длительность послеоперационного периода и число койко-дней (табл. 2). На основании полученных данных отчетливо видно, что продолжительность ХЭПА при радиальных доступах меньше, чем при феморальном: при правом радиальном — на 16%, а при левом — на 23% в сравнении с артериальным правым бедренным доступом. Также при использовании радиальных доступов потребовалось меньшее количество контрастного вещества — на 18% при правом радиальном доступе и на 33% при левом радиальном на фоне практически одинакового времени проведения рентгеноскопии при феморальном и правом радиальном доступе — 15,8±6,4 и 15,7±5,2 мин соответственно. Однако при осуществлении левого лучевого доступа время рентгеноскопии у пациентов было наименьшим — 11,9±4,8 мин.
Таблица 2
Показатели, характеризующие первую процедуру ХЭПА, в зависимости от доступа
Варианты доступа | Объем ХЭПА, кол-во (%) | Контраст- ное в-во, мл | Длитель- ность ХЭПА, мин | Время Ro-скопии, мин | Интраоперацион- ные осложнения, жалобы | Постэмболи- зационный период, сут | Койко- день, сут |
Артериальный правый бедренный, n=7 | ППА 3 (42,9) ППА+ЛПА 4 (57,1) | 150±65 | 59±18 | 16,3±6,4 | Нет | 1,43±0,5* | 7±0,8* |
Артериальный правый лучевой, n=13 | ППА 3 (23,1) ППА+ЛПА 10 (76,9) | 123,1±34 | 49±8 | 15,4±3,2 | 1 (тошнота и боли в эпигастрии) | 1,15±0,4* | 3±0,6* |
Артериальный левый лучевой, n=9 | ППА 6 (66,7) ППА+ЛПА 3 (33,3) | 100±0,001 | 40±15 | 10,9±2,8 | 1 (выраженная тошнота) | 1±0,001* | 4±0,5* |
Артериальный левый локтевой, n=1 | ППА+ЛПА 1(100) | 200 | 75 | 19,5 | Нет | 1 | 2 |
Примечание. * — достоверные отличия показателей в зависимости от доступа при р<0,05. ХЭПА — химиоэмболизация печеночных артерий, ППА/ЛПА — правая/левая печеночная артерия.
При проведении первой ХЭПА с использованием феморального доступа количество послеоперационных койко-дней у исследуемых пациентов составило 7±0,8, а постэмболизационный период длился 1,43±0,5 сут, что достоверно больше (при р≤0,05) в сравнении с аналогичными показателями при артериальном правом лучевом доступе, где эти показатели составили 3±0,6 дня и 1,15±0,4 сут, и при артериальном левом лучевом доступе — 4±0,5 дня и 1±0,001 сут. Послеоперационный период при артериальном левом локтевом доступе мы не анализировали ввиду нерепрезентативной выборки (1 пациент).
Как видно из табл. 2, процедура 1-й ХЭПА оптимально прошла при радиальном доступе, который мы использовали у 22 пациентов, а именно: количество используемого контрастного вещества при правом лучевом доступе составило 123,1±34 мл, а при левом — 100 мл; длительность ХЭПА была 49±8 и 40±15 мин, время рентгеноскопии — 15,4±3,2 и 10,9±2,8 мин, койко-день — 3±0,6 и 4±0,5, а постэмболизационный период — 1,15±0,4 и 1±0,001 дня соответственно.
При использовании бедренного артериального доступа у 7 пациентов количество контрастного вещества составило 150±65 мл, длительность ХЭПА была максимальной и составила 59±18 мин, время рентгеноскопии — 16,3±6,4 мин, а постэмболизационный период и койко-день были достоверно самыми длительными — 1,43±0,5 сут и 7±0,8 дней соответственно (р<0,05).
Таким образом, показатели, характеризующие процедуру 1-й ХЭПА, у больных при радиальных доступах были достоверно более адекватными по сравнению с больными, которым был применен феморальный доступ. Кроме того, число койко-дней и постэмболизационный период были достоверно ниже у пациентов с радиальным доступом в сравнении с феморальным. Течение операционного периода с развитием осложнений в виде тошноты и болей в эпигастрии не отразилось на длительности постэмболизационного и послеоперационного периодов.
Проведение анализа сравниваемых критериев во время 2-й ХЭПА продемонстрировало следующее.
Во время 2-й ХЭПА при феморальном доступе длительность процедуры и время рентгеноскопии были 38±2,1 и 9,7±1,3 мин соответственно, что меньше в сравнении с этими же показателями у пациентов при правом лучевом — 53±13,8 и 17,1±3,2 мин и левом лучевом доступе — 38±3,2 и 14,4±4,1 мин соответственно. При этом время рентгеноскопии было достоверно меньше при правом бедренном доступе. Достоверных различий в показателях между группами с правым и левым лучевым доступом мы не зафиксировали. Вместе с тем число койко-дней при использовании правого бедренного доступа составило 6,5±1,3, а при правом и левом лучевых — 2,8±0,3 и 3,5±0,4 соответственно, что достоверно меньше (при р<0,05). Однако постэмболизационный период протекал у всех пациентов от 1 до 2 дней с достоверным отличием только при выполнении правого лучевого доступа, где он составил 1 день.
Таким образом, во время проведения второй процедуры ХЭПА феморальный доступ через правую бедренную артерию был использован только у 2 пациентов, при этом длительность рентгеноскопии была достоверно меньше, чем у пациентов с радиальными доступами. При этом койко-день у пациентов с феморальным доступом был достоверно больше, чем у пациентов с радиальными доступами через лучевые артерии. Однако с учетом небольшой выборки эти данные мы не можем трактовать как статистически достоверный факт.
При проведении 3-й ХЭПА у 2 пациентов были использованы только радиальные доступы, при которых объем контрастного вещества составил в среднем 150 мл, среднее время процедуры — 82,5 мин, средняя продолжительность рентгеноскопии — 18,9 мин, средний койко-день — 1, а постэмболизационный период — 2 дня; интраоперационных осложнений не отмечено.
Методика химиоэмболизации микросферами, насыщенными химиопрепаратом, сочетает региональную химиотерапию и стойкую артериальную окклюзию за счет способности микросфер увеличиваться в объеме. Однако для обеспечения адекватной и надежной транспортировки микросфер к метастатическому очагу, с учетом сложной анатомической структуры сосудистого кровоснабжения печени, большое внимание уделяется техническим возможностям осуществления такого доступа и в частности использованию микрокатетерной техники. В своем исследовании мы широко использовали микрокатетер в соответствии с ранее описанной методикой. В табл. 3 представлено сравнение основных показателей проведения ХЭПА в группе исследуемых больных с/без применения микрокатерера.
Таблица 3
Особенности проведения ХЭПА у исследуемых больных с использованием микрокатетера и без такового
Критерии оценки | При 1-й ХЭПА | При 2-й ХЭПА | При 3-й ХЭПА | |||
М (-) n=4 | М (+) n=26 | М (-) n=2 | М (+) n=8 | М (-) n=0 | М (+) n=2 | |
Средний возраст, лет | 54,7±3,5 | 61,96±9,5 | 69±6,7 | 55,63±5,5 | - | 61±3,5 |
Контрастное в-во, мл | 100±0,0001 | 128,8±15,8 | 100±0,0001 | 112,5±13,8 | - | 150±17,7 |
Длительность ХЭПА, мин | 24±6,5* | 53±12,3* | 43±3,5* | 49±11,2* | - | 82,5±13,4* |
Время Ro-скопии, мин | 6,7±0,4* | 15,5±2,4* | 12±0,4* | 15,8±0,8* | - | 18,8±0,9* |
Постэмболизационный период, сут | 1,25±0,04 | 1,15±0,08 | 1,5±0,03 | 1,11±0,09 | - | 1±0,0001 |
Койко-день | 3,5±0,06 | 3,54±0,03 | 4,5±0,1 | 3,9±0,07 | - | 2±0,03 |
Примечание. * — достоверные отличия показателей в сравниваемых категориях при р<0,05. ХЭПА — химиоэмболизация печеночных артерий, М (+) / М (-) — с/без использования микрокатетера.
В соответствии с данными, представленными в табл. 3, использование микрокатетера имеет прямую взаимосвязь с количеством использования контрастного вещества: у таких больных прослеживалась тенденция к использованию большего количества контраста при 1-й ХЭПА — до 128,8±15,8 мл — в сравнении с группой больных без применения микрокатетера, где использовалось всего 100 мл; при 2-й ХЭПА, соответственно, было использовано 112,5±13,8 и 100 мл, при 3-й процедуре —150±17,7 мл при микрокатетерной методике.
Длительность ХЭПА была достоверно наименьшей при 1-й процедуре без использования микрокатетера и составила 24±6,5 мин (р<0,05) в сравнении с микрокатетерной методикой при 1-й ХЭПА — 53±12,3 мин, при 2-й ХЭПА — 49±11,2 мин, при 3-й — 82,5±13,4 мин (р<0,05). В целом время проведения всех ХЭПА при микрокатерной методике было больше, чем у пациентов без использования микрокатетера.
Такая же достоверная динамика была отмечена и в отношении продолжительности рентгеноскопии. Наименьшее время на рентгеноскопию было затрачено при проведении 1-й ХЭПА у больных без использования микрокатетера — 6,7±0,4 мин (р<0,05), что достоверно меньше в сравнении с другими группами пациентов. При проведении 2-й ХЭПА рентгеноскопия проводилась в течение 12±0,4 мин (р<0,05). Время под рентгеновским лучом у пациентов с использованием микрокатетера при 1-й ХЭПА составило 15,5±2,4 мин, при 2-й процедуре — 15,8±0,8 мин, при 3-й — 18,8±0,9 (р<0,05).
Однако противоположная тенденция отмечалась при определении длительности постэмболизационого периода, который был короче у больных с использованием микрокатетера. Так, при 1-й ХЭПА он составил 1,15±0,08 сут, при 2-й — 1,11±0,09 сут, при 3-й — 1 сут. Без использования микрокатетера данный показатель составил 1,25±0,04 сут при 1-й и 1,5±0,03 сут при 2-й ХЭПА.
ЗАКЛЮЧЕНИЕ
Для обеспечения высокой результативности процедуры, которая была достигнута в нашем исследовании, необходимо тщательно исследовать варианты кровоснабжения печени у каждого больного перед процедурой ХЭПА. В целом по группе различные варианты артериального кровоснабжения печени не влияют на проведение hqTACE, однако следует учитывать, что в нашем исследовании у 86,7% больных было выявлено типичное строение артериального русла, кровоснабжающего печень. В условиях типичного артериального кровоснабжения печени ХЭПА правой печеночной артерии, выполненная левым трансрадиальным доступом, показала наилучшие результаты в отношении длительности процедуры (33 мин) и времени, затраченного на рентгеноскопию (9,9 мин), а у больных при использовании трансфеморального доступа эти же показатели составили 67 и 19,1 мин соответственно.
Применение эмболизационного материала HepaSphere позволило нам использовать микрокатетерную технику для проведения hqTACE, что расширило возможности трансрадиального доступа. Достоверно лучшая переносимость и безопасность трансрадиального доступа была доказана у 76,2% исследуемых пациентов, у которых он был применим.
Оптимизация метода химиоэмболизации артерий печени лекарственно-насыщаемыми микросферами из суперабсорбирующего полимера достигается за счет отсутствия запланированных повторов процедуры, возможности выбора трансрадиальных доступов и применения микрокатетерной техники.
У пациентов с нерезектабельными метастатическими опухолями печени все реализованные попытки ХЭПА не вызывали так называемых больших осложнений, постэмболизационный период в среднем составил 1,19 дня, а послеоперационный койко-день — 3,57. Кратность ХЭПА не влияет на тяжесть постэмболизационного периода, в том числе за счет меньшего использования контрастного вещества и суперселективной эмболизации пораженных участков печени с сохранением большего количества интактной паренхимы.
ИСТОЧНИК ФИНАНСИРОВАНИЯ
Исследование и публикации статьи осуществлены на личные средства авторского коллектива.
КОНФЛИКТ ИНТЕРЕСОВ
Авторы данной статьи подтвердили отсутствие конфликта интересов, о котором необходимо сообщить.
УЧАСТИЕ АВТОРОВ
Д.П. Лебедев — выполнение операций, создание и анализ базы данных пациентов; Д.А. Астахов — ведение пациентов в качестве лечащего врача, подготовка первичного материала к анализу, редактирование статьи; Е.А. Звёздкина — создание базы данных пациентов, анализ ангиограмм, подготовка первичного материала к анализу; В.В. Косый — ведение пациентов в качестве лечащего врача, подготовка первичного материала к анализу; А.Г. Кедрова — ведение пациентов в качестве лечащего врача, подготовка первичного материала к анализу; Ю.В. Иванов — анализ базы данных пациентов, редактирование статьи; Д.Н. Панченков — анализ базы данных пациентов, редактирование статьи.
Все авторы внесли существенный вклад в проведение исследования и подготовку статьи, прочли и одобрили финальную версию до публикации.
About the authors
Dmitry P. Lebedev
Federal Scientific and Clinical Center of Specialized Types of Medical Care and Medical Technologies of the Federal Medical and Biological Agency of Russia; Moscow State University of Medicine and Dentistry a.n. A.I. Evdokimov
Email: lebedevdp@gmail.com
ORCID iD: 0000-0003-1551-3127
MD, endovascular diagnostic and treatment department
Russian Federation, 115682, Moscow, street Orekhovy Boulevard, 28; 127473, Moscow, Delegatskaya street, 20/1Dmitry A. Astakhov
Federal Scientific and Clinical Center of Specialized Types of Medical Care and Medical Technologies of the Federal Medical and Biological Agency of Russia; Moscow State University of Medicine and Dentistry a.n. A.I. Evdokimov
Author for correspondence.
Email: astakhovd@mail.ru
ORCID iD: 0000-0002-8776-944X
MD, Oncologist, Department of Oncology; Cand. of Sci.(Med.), Leading Researcher, Laboratory of Minimally Invasive Surgery
Russian Federation, 115682, Moscow, street Orekhovy Boulevard, 28; 127473, Moscow, Delegatskaya street, 20/1Elena A. Zvezdkina
Federal Scientific and Clinical Center of Specialized Types of Medical Care and Medical Technologies of the Federal Medical and Biological Agency of Russia; State Scientific Center of Laser Medicine named after O.K. Skobelkinof the Federal Medical and Biological Agency of Russia
Email: zvezdkina@yandex.ru
ORCID iD: 0000-0002-0277-9455
Cand. of Sci.(Med.), MD. Radiologist, X-ray department with MRI rooms
Russian Federation, 115682, Moscow, street Orekhovy Boulevard, 28; 40/1, Studentcheskaya street, Moscow, 121165Valentina V. Kosy
Federal Scientific and Clinical Center of Specialized Types of Medical Care and Medical Technologies of the Federal Medical and Biological Agency of Russia
Email: kvv24@mail.ru
ORCID iD: 0000-0002-4628-2328
MD. oncologist, oncological department
Russian Federation, 115682, Moscow, street Orekhovy Boulevard, 28Anna G. Kedrova
Federal Scientific and Clinical Center of Specialized Types of Medical Care and Medical Technologies of the Federal Medical and Biological Agency of Russia
Email: kedrova.anna@gmail.com
ORCID iD: 0000-0003-1031-9376
Doct. of Sci. (Med.), Professor, Head of the Department of Oncology
Russian Federation, 115682, Moscow, street Orekhovy Boulevard, 28Yury V. Ivanov
Federal Scientific and Clinical Center of Specialized Types of Medical Care and Medical Technologies of the Federal Medical and Biological Agency of Russia; Moscow State University of Medicine and Dentistry a.n. A.I. Evdokimov
Email: ivanovkb83@yandex.ru
ORCID iD: 0000-0001-6209-4194
Doct. of Sci. (Med.), Professor, Honored Doctor of the Russian Federation, Head of the Department of Surgery № 1
Russian Federation, 115682, Moscow, street Orekhovy Boulevard, 28; 127473, Moscow, Delegatskaya street, 20/1Dmitry N. Panchenkov
Federal Scientific and Clinical Center of Specialized Types of Medical Care and Medical Technologies of the Federal Medical and Biological Agency of Russia; Moscow State University of Medicine and Dentistry a.n. A.I. Evdokimov; State Scientific Center of Laser Medicine named after O.K. Skobelkinof the Federal Medical and Biological Agency of Russia
Email: dnpanchenkov@mail.ru
ORCID iD: 0000-0001-8539-4392
Doct. of Sci. (Med.), Professor, Head of the Laboratory of Minimally Invasive Surgery
Russian Federation, 115682, Moscow, street Orekhovy Boulevard, 28; 127473, Moscow, Delegatskaya street, 20/1; 40/1, Studentcheskaya street, Moscow, 121165References
- Виршке Э.Р., Долгушин Б.И., Кучинский Г.А., и др. Чрескатетерная артериальная химиоэмболизация неоперабельного гепатоцеллюлярного рака // Медицинская визуализация. — 2007. — №5. — С. 68–75. [Virshke A R, Dolgushin BI, Kruchinsky GA, et al. Arterial embolization of an inoperable hepatocellular cancer. Medical visualization. 2007;(5):68–75. (In Russ.)]
- Valeshabad AK, Kuwahara J, Ray CE Jr. cTACE: the rebirth of Lipiodol? Endovascular Today. 2018;17:36–43.
- Туганбеков Т.У., Шаназаров Н.А., Малаев Н.Б. Варианты ангиоархитектоники злокачественных новообразований печени и ее влияние на возможность выбора диаметра микросфер // Клиническая медицина Казахстана. — 2015. — №4. — С. 6–11. [Tuganbekov TU, Shanazarov NA, Malayev NB. Variations of angioarchitecture of the liver malignant tumors and its influence on the choice of the microspheres diameter. Clinical Medicine of Kazakhstan. 2015;(4):6–11.(InRuss.)]
- Шаназаров Н.А., Туганбеков Т.У., Малаев Н.Б., Пироженко О.Л. Эффективность применения различных насыщаемых микросфер в зависимости от вариантов кровоснабжения новообразований печени (обзор литературы) // Тюменский медицинский журнал. — 2015. — Т.17. — №3. — С. 52–57. [Shanazarov NA, TuganbekovTU, Malaev NB, Pirozhenko OL. Variations of angioarchitecture of the liver malignant tumors and its influence on the choice of the microspheres diameter (review). Tyumenskiy meditsinskiy zhurnal. 2015;17(3):52–57. (In Russ.)]
- Бабунашвили А.М., Дундуа Д.П., Кавтеладзе З.А., Карташов Д.С. Переход с трансбедренного на трансрадиальный доступ в практике интервенционной кардиологии: сможет ли стать трансрадиальный доступ методом выбора? // Международный журнал интервенционной кардиоангиологии. — 2005. — №7. — С. 73. [Babunashvili AM, Dundua DP, Kavteladze ZA, Kartashov DS. Perekhod s transbedrennogo na transradial’nyy dustup v praktike interventsionnoy kardiologii: smozhet li stat’ transradial’nyy dustup metodom vybora? Mezhdunarodnyy zhurnal interventsionnoy kardioangiologii. 2005;(7):73. (In Russ.)]
Supplementary files









