Autoimmune anti-NMDA receptor encephalitis on the background of COVID-19: a clinical case
- Authors: Ulyanova O.V.1, Ermolenko N.A.1, Dudina A.A.1, Belinskaya V.V.2, Dutova T.I.2, Kulikov A.V.2, Golovina N.P.2, Kuleshova E.O.2, Kuslivaya A.V.1
-
Affiliations:
- Voronezh State Medical University
- City Clinical Emergency Hospital No. 1, Voronezh
- Issue: Vol 14, No 2 (2023)
- Pages: 112-119
- Section: Case reports
- Submitted: 12.02.2023
- Accepted: 28.02.2023
- Published: 02.07.2023
- URL: https://clinpractice.ru/clinpractice/article/view/225851
- DOI: https://doi.org/10.17816/clinpract225851
- ID: 225851
Cite item
Full Text
Abstract
Background: During the new COVID-19 coronavirus infection pandemic, a growing incidence of autoimmune encephalitis cases has been observed. One of the primary problems related to patients with this highly lethal pathology is its timely early diagnostics and prescription of an optimal individual course of immunotherapy. In a debut of anti-NMDA receptor (inotropic glutamate receptor, selectively binding N-methyl D-aspartate) encephalitis, mental disorders are observed, prompting the initial admission of such patients to a psychiatric hospital. Then, the clinical picture of the disease is characterized by a significant polymorphism. In such cases, it is not always possible to suspect an autoimmune lesion of the nervous system.
Clinical case description: In this article, we present a clinical case of a female patient with serologically confirmed autoimmune encephalitis against the background of the new coronavirus infection (U07.1 according to ICD-10). The disease onset involved psychiatric symptoms; the patient was transferred to the Department of neurology of the VGK BSMP No. 1 Municipal Clinical Hospital of Emergency Care No.1 from the municipal psychiatric hospital, when generalized cerebral symptoms appeared. According to the diagnostic criteria, mental disorders and generalized epileptic seizures are the most significant signs in the verification of autoimmune encephalitis. Autoimmune encephalitis was suspected based on the developed neurological symptoms and generalized epileptic seizures and confirmed by the detected anti-NMDA antibodies in the blood serum. The anti-NMDA antibody analysis in the blood and cerebrospinal fluid is the most informative way of autoimmune encephalitis diagnosis.
Conclusion: Autoimmune encephalitis requires vigilance of physicians of all specialties who may encounter this disease. Timely diagnostic procedures and prescription of pathogenetically justified treatment are of importance.
Full Text
ОБОСНОВАНИЕ
На сегодняшний день мы знаем о коронавирусе значительно больше, чем в 2019 и 2020 годах, когда он только начал распространяться по миру. Впервые коронавирус был описан в литературе в 1968 году британскими вирусологами Джуной Алмейдой (June Dalziel Almeida) и Дэвидом Тиррелом (David Arthur John Tyrrell), которые первыми получили электронномикроскопическое изображение вируса. Несмотря на то, что пандемия рано или поздно завершится, коронавирусы не исчезнут насовсем, нам придётся сосуществовать с ними и дальше [1, 2]. Уже известны основные пути проникновения коронавируса в организм, а также неврологические осложнения COVID-19 [1, 2]. Аутоиммунные осложнения новой коронавирусной инфекции, такие как синдром Гийена–Барре, синдром Миллера–Фишера, лейкоэнцефалопатия, аутоиммунный энцефалит, ромбэнцефалит Бикерстаффа, лимбический энцефалит, анти-NMDAR-энцефалит, острый диссеминированный энцефаломиелит, поперечный/ продольный миелит, оптикомиелит, рассеянный склероз (РС), миастения de novo, множественные мононевриты, представляют собой тяжёлые поражения нервной системы, некоторые из них часто приводят к летальному исходу [1, 2].
Аутоиммунные энцефалиты — группа неврологических заболеваний, которая характеризуется поражением головного мозга аутоантителами, вырабатываемыми к антигенам нервной ткани. В частности, поражение центральной нервной системы может быть обусловлено наличием антител к NR1-субъединице NMDA-рецептора. Данный вид аутоиммунного поражения характеризуется развитием тяжёлого психического и неврологического дефицита у пациентов [3–5]. В связи с ограниченными возможностями использования специальных методов диагностики в условиях ковидного стационара, таких как люмбальная пункция, электроэнцефалография (ЭЭГ), компьютерная томография (КТ), магнитно-резонансная томография (МРТ), для постановки диагноза психоневрологических осложнений COVID-19 важны клиническое мышление и высокий профессионализм специалистов [5–7]. Всегда нужно помнить о необходимости полноценного обследования при доминировании в клинической картине психопатологических нарушений, отсутствии менингеальных и очаговых симптомов, позволяющих заподозрить, а в последствии и диагностировать аутоиммунную природу их развития [1, 6, 8].
Выделяют три группы аутоантител к антигенам нервной ткани [8–10]. Первая группа — антитела к ядерным и цитоплазматическим антигенам нейронов, например HU-белки, Ма2-протеины, CDR1-2 [11–13]. Этот вид антител образуется к антигенам, часто продуцируемым как клетками злокачественных опухолей, так и нейронами (паранеопластические и онконевральные). Этот подтип аутоантител самостоятельно не повреждает нейроны, но может активировать цитотоксический Т-клеточный иммунный ответ. Антитела к внутриклеточным антигенам, вероятно, вызывают повреждение путём активации цитотоксического Т-клеточного механизма [14]. Вторая группа — антитела к внутриклеточным синаптическим антигенам нейронов. Антитела к GAD65 (участвующие в патогенезе синдрома ригидного человека, церебеллита, лимбического энцефалита) крайне редко ассоциированы с новообразованиями, антитела к амфифизину часто выявляются при раке молочной железы [14]. Третья группа — антитела к поверхностным (в том числе синаптическим) антигенам нейронов. В данном случае аутоиммунные процессы могут возникать как при наличии некоторых новообразований, так и у ранее здоровых лиц. Наблюдаются обратимое нарушение функции специфических рецепторов нейронов и хороший ответ на иммуносупрессивную терапию. Именно в этой группе рассматривается NMDA-энцефалит, при котором аутоиммунная агрессия направлена на определённую субъединицу NMDAR. Данные рецепторы содержат ионные каналы, раскрытие которых происходит под влиянием глутамата в присутствии глицина, что вызывает деполяризацию клеточной мембраны постсинаптического нейрона. При этом в нейрон поступают ионы Na+ и Са2+, а из клетки выходят ионы К+. Предполагается, что усиленная активность NMDA-рецепторов играет большую роль в механизмах развития многих патологий — эпилепсии, деменции, инсультов, в то время как их низкую активность связывают с определёнными психотическими нарушениями [3, 7, 13].
NMDA-энцефалит в некоторых случаях возникает идиопатически, в 10–45% ассоциирован с тератомой яичника, клиническая картина отличается психической и неврологической симптоматикой. Встречаются и другие энцефалиты. Например, GABAbR-энцефалит (лимбический) в 50% случаев ассоциирован с раком лёгких и нейроэндокринным раком, AMPAR (лимбический энцефалит с выраженными психическими нарушениями) в 70% случаев — с раком лёгких, тимомой; mGluR5 (лимбический энцефалит, синдром Офелии) — часто с лимфомой Ходжкина [11–13]. Аутоиммунные энцефалиты в некоторых случаях могут быть ассоциированы с тератомой яичника; многофазны по своему течению; отмечаются рецидивы и полиморфная клиническая картина. Преимущественно встречаются у лиц молодого возраста, обычно женского пола. Морфологически при данных энцефалитах развивается В-клеточная инфильтрация головного мозга. В некоторых случаях наблюдается хороший ответ на иммуносупрессивную терапию [4, 5, 9].
Приводим описание клинического случая аутоиммунного энцефалита, который развился на фоне новой коронавирусной инфекции U07.1 COVID-19, а также комплексный анализ данных литературы и собственных клинических наблюдений пациентов с аутоиммунным энцефалитом на фоне COVID-19.
КЛИНИЧЕСКИЙ ПРИМЕР
О пациенте
Пациентка Л., 22 года, переведена из психиатрического стационара, куда поступила в связи с психотическими расстройствами и выраженными когнитивными нарушениями, которые развились на 9-е сутки после перенесённой U07.1 COVID-19. В анамнезе вирусный гепатит С. Работала медицинской сестрой в ковидном госпитале.
Физикальная, лабораторная и инструментальная диагностика
Неврологический статус при поступлении. В сознании, на вопросы отвечает односложно, речевые эмболы. Простые команды не выполняет, лежит с открытыми глазами, следит за действиями медицинского персонала. Зрачки D=S, реакция зрачков на свет (+) с двух сторон. Лицо симметричное, язык в полости рта. Чувствительность на лице сохранена. Объём активных движений полный во всех конечностях. Глубокие рефлексы D=S. Патологических стопных знаков нет. На уколы подошвенной поверхности стоп реагирует одинаково с обеих сторон. Координаторные пробы не выполняет. Менингеальных знаков нет.
Периоды спокойствия сменялись психомоторным возбуждением: сначала пациентка пыталась встать, сопротивлялась медицинским процедурам, пыталась самостоятельно удалить назогастральный зонд, затем перестала отвечать на вопросы, не выполняла простые команды, лежала с открытыми глазами, за действиями медицинского персонала не следила. Кататония. В связи с ухудшением состояния больная переведена в реанимационное отделение. Спустя некоторое время у пациентки появились развёрнутые тонико-клонические эпилептические приступы.
Рентгеновская компьютерная томография головного мозга — патологии не выявлено. МРТ головного мозга провести не представляется возможным из-за психотических расстройств.
Цереброспинальная жидкость: небольшое повышение глюкозы (4,1 ммоль/л), повышение белка (0,180 г/л). В биохимическом анализе крови гипонатриемия (129 ммоль/л).
Антитела к NMDA рецептору — 1:320 (норма <1:10).
УЗИ органов брюшной полости, малого таза и щитовидной железы патологии не выявило. Дополнительные объёмные образования отсутствуют.
Диагноз, лечение, исходы
Предварительный диагноз: «Аутоиммунный энцефалит с антителами к NMDA-рецепторам. Выраженный дефицит когнитивных функций, поведенческие и психотические расстройства. Эпилептические приступы, серийное течение, тяжёлая форма».
Пациентке проводилась иммунотерапия первой линии (глюкокортикостероиды, внутривенные иммуноглобулины, плазмаферез), противосудорожная (Депакин хроно, тиопентал натрия, Сибазон) и симптоматическая (Мексидол, Цитофлавин, Кортексин, омепразол, эноксапарин натрия, Реамберин, раствор Рингера, парацетамол, галоперидол, Дофамин) терапия. Несмотря на проводимую терапию, состояние ухудшилось, развился эпилептический статус, который завершился летальным исходом.
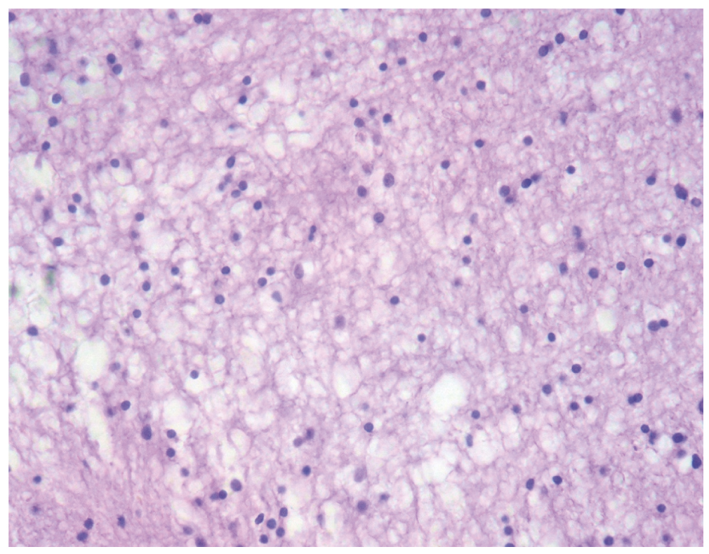
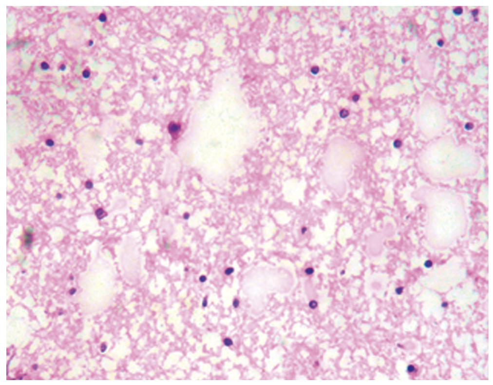
На аутопсии выявлены отёк головного мозга, энцефалит. Гистологическое описание: периваскулярный, перицеллюлярный отёк, полнокровие сосудов (рис. 1, 2).
Рис. 1. Участки безъядерности в ткани головного мозга (очаги некроза). Окраска гематоксилином и эозином, ×400.
Fig. 1. Areas of a non-nuclear tissue in the brain tissue (foci of necrosis). Hematoxylin and eosin stain, ×400.
Рис. 2. Ткани головного мозга с явлениями перицеллюлярного отёка и очаговыми некрозами. Окраска гематоксилином и эозином, ×400.
Fig. 2. The brain with the phenomena of pericellular edema and focal necrosis. Hematoxylin and eosin stain, ×400.
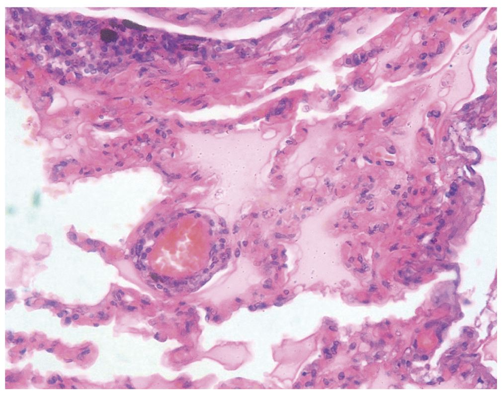
В лёгких нижнедолевая левосторонняя пневмония с сильным отёком. Гистологическое описание: дистелектаз, неравномерное кровенаполнение капилляров меж альвеолярных перегородок; в просветах альвеол эозинофильные аморфные массы, во всех срезах отмечается нейтрофильная инфильтрация лёгочной ткани со скоплением нейтрофилов в просвете большей части альвеол и бронхиол, респираторный эпителий бронхов частично десквамирован (рис. 3, 4).
Рис. 3. Лёгочная ткань с явлениями сосудистого полнокровия и неравномерно выраженного отёка, дистелектаза. Окраска гематоксилином и эозином, ×100.
Fig. 3. Lung tissue with the phenomena of vascular plethora and unevenly pronounced edema, distelectasis. Hematoxylin and eosin stain, ×100.
Рис. 4. Ткань лёгкого с явлениями сосудистого полнокровия, часть альвеол заполнена экссудатом, десквамированным эпителием. Окраска гематоксилином и эозином, ×400.
Fig. 4. Lung tissue with the phenomena of vascular plethora, some alveoli are filled with exudate, desquamated epithelium. Hematoxylin and eosin stain, ×400.
Посмертный диагноз: «Аутоиммунный энцефалит с преимущественным поражением подкорковых структур с антителами к NMDA-рецепторам. Выраженный дефицит когнитивных функций, поведенческие и психотические расстройства. Осложнения: эпилептические приступы, серийное течение, тяжёлая форма; двусторонняя полисегментарная гнойная бронхопневмония; отёк лёгких; отёк головного мозга (см. рис. 1, 2). Сопутствующие заболевания: новая коронавирусная инфекция, реконвалесцент; хронический вирусный гепатит С».
ОБСУЖДЕНИЕ
Клинически при NMDA-энцефалите выделяют пять стадий течения [1, 5, 8]. Первая — продромальная стадия, для которой характерны неспецифические ОРВИ-подобные симптомы (длительность 5 дней). Вторая — психотическая стадия. Дебют психических нарушений, могут встречаться эмоциональные и когнитивные расстройства, а также выраженные шизофреноподобные симптомы. Третья стадия — гиперкинетическая — наступает через 2 недели после психотических симптомов. У большинства пациентов (более 70%) перед этим возникают судорожные припадки, преобладают генерализованные тонико-клонические приступы, постепенно развиваются гиперкинезы (орофасциальные и оролингвальные дискинезии, дистонические позы), вегетативные расстройства в виде лабильности артериального давления, пульса, гипертермии, потливости. Особую опасность представляет гиповентиляция. Для четвёртой стадии болезни (ареактивной) характерно нарушение сознания, напоминающее кататонию, мутизм, для пятой (обратного регресса симптомов) — конградная амнезия длительностью от 2 месяцев до полугода [10, 15].
Диагностика аутоиммунного энцефалита. Наиболее информативным методом диагностики является анализ на антитела к NMDA-рецепторам в крови и цереброспинальной жидкости (референсные значения <1:10) [10, 11, 13]. К сожалению, в России до настоящего времени лабораторная иммунологическая диагностика аутоиммунного энцефалита затруднена в связи с недоступностью ряда современных иммунологических тест-систем для выявления антинейрональных антител [4, 15]. В цереброспинальной жидкости и в биохимическом анализе крови при аутоиммунном энцефалите специфических изменений не отмечается. В цереброспинальной жидкости возможны лимфоцитарный плеоцитоз, увеличение концентрации белка, уровень глюкозы в пределах нормы, в биохимическом анализе крови ожидаемы гипонатриемия, снижение общего белка [4, 10, 12].
Из инструментальных методов обследования наиболее важной и клинически значимой является ЭЭГ, на которой часто выявляется очаговая или диффузная медленная активность во время эпизодов дискинезий или патологических движений, иногда — специфичная для анти-NDMAR-энцефалита эпилептическая активность (extreme delta brush), которая характеризуется ритмической продолжительной дельта-активностью с наложенной бета-активностью на каждой дельта-волне [7, 8, 11].
Нейровизуализация. Наиболее информативной является МРТ головного мозга, на которой не всегда, но иногда обнаруживаются зоны гиперинтенсивности на T2/FLAIR в гиппокампе, коре полушарий или мозжечка, лобно-базальной и островковой областях, базальных ганглиях, стволе головного мозга [5, 7, 13].
Стоит отметить, что все пациенты с подозрением на аутоиммунный энцефалит требуют диагностического онкологического поиска, который включает проведение УЗИ органов брюшной полости и малого таза, УЗИ щитовидной железы, по показаниям — консультации узких специалистов [4, 8, 11].
При постановке диагноза аутоиммунного энцефалита выделяют два уровня его достоверности — вероятный и достоверный. Вероятный NMDA-энцефалит устанавливают в основном по клиническим критериям: быстрое, менее чем за 3 месяца развитие; наличие не менее четырёх из следующих шести симптомов: поведенческие и когнитивные нарушения, нарушения речи (мутизм, дизартрия), эпилептические приступы, экстрапирамидные нарушения (гиперкинезы, дистонические позы), угнетение сознания, вегетативная дисфункция или гиповентиляция, а также по параклиническим признакам: изменения на ЭЭГ (фокальная или диффузная медленная активность, вспышки дельта-волн, эпилептическая активность), в цереброспинальной жидкости (плеоцитоз или олигоклональные антитела). Достоверный диагноз устанавливается путём лабораторного подтверждения клинических проявлений (обнаружение антител к субъединице NMDAR) при исключении других заболеваний. Исследованию на наличие антител подвергается не только кровь, но и цереброспинальная жидкость [7, 12, 15].
Лечение проводится согласно Международным консенсусным рекомендациям Американской академии неврологии (International Consensus Recommendations for the Treatment American Academy of Neurology, 2021) [16]. При подозрении на NMDARE-энцефалит рекомендуется незамедлительно, ещё до того как будут получены результаты анализов на антитела (срок получения результата в течение 10–14 дней), приступать к иммунотерапии [16].
Согласно национальным рекомендациям, в лечении применяется иммунотерапия первой и второй линии. Иммунотерапия первой линии представлена глюкокортикостероидами (метилпреднизолон по 20–30 мг/кг в сутки, но не более 1 г в сутки, в течение 1–3 дней ежемесячно. Если внутривенная терапия глюкокортикостероидами недоступна, назначается пероральная терапия — преднизолоном по 2 мг/кг в сутки, максимум 60 мг в сутки, в течение первой недели с дальнейшим постепенным снижением дозы или дексаметазоном по 20 мг/м2 в сутки, разделённая на 2–3 приёма, в течение 3 дней). Длительная иммунотерапия первой линии может быть назначена на срок от 3 до 12 месяцев в зависимости от тяжести заболевания. Используется также терапевтический плазмаферез (необходимо отметить, что плазмаферез должен предшествовать внутривенному введению иммуноглобулинов), а затем назначается иммунотерапия внутривенными иммуноглобулинами (2 г/кг) [4, 8].
Иммунотерапия второй линии представлена химиотерапевтическими препаратами и моноклональными антителами. Рекомендуется использование ритуксимаба, циклофосфамида, микофенолата мофетила.
Аутоиммунный энцефалит в значительной степени поражает молодых людей, и его диагностике способствует характерная клиническая картина, развивающаяся в ассоциации с плеоцитозом ликвора. В отличие от согласованной клинической картины, результаты МРТ менее предсказуемы: только 55% пациентов имеют повышенный сигнал FLAIR или T2 в одной или нескольких областях головного мозга, без существенной корреляции с симптомами пациентов (данные не показаны). Согласно результатам собственных наблюдений, 41% пациентов с анти-NMDA-рецепторным энцефалитом не имеют клинически обнаруживаемой опухоли [5, 10, 11].
Как показывает представленный нами клинический случай, при диагностике аутоиммунного энцефалита следует обращать внимание на острый или подострый характер развития заболевания, преморбидный инфекционный фон, появление комбинации синдромов, демонстрирующих диффузный, а не очаговый характер патологии.
По данным отечественных и зарубежных авторов, у всех пациентов с аутоиммунным энцефалитом отмечаются психические и/или когнитивные расстройства [1, 4, 11]. В представленном клиническом случае заболевание начиналось с психических нарушений и двигательного возбуждения (негативизм, лабильность настроения, галлюцинаторный синдром, бред, дефицит когнитивных функций). Больная была переведена из психиатрического стационара при появлении общемозговой симптоматики. В дальнейшем присоединились неврологические симптомы: отсутствие речевой продукции, отсутствие реакции на болевые раздражители, генерализованные эпилептические припадки. На ЭЭГ наблюдались выраженные диффузные изменения биопотенциалов головного мозга регуляторного характера, КТ головного мозга и УЗИ органов малого таза органической патологии не выявили. Анализируя лабораторные исследования, у нашей пациентки в цереброспинальной жидкости не выявлено патологических отклонений от референсных параметров, в биохимическом анализе отмечалась гипонатриемия (129 ммоль/л), что соответствует данным литературных источников [4, 9, 11].
ЗАКЛЮЧЕНИЕ
Аутоиммунный энцефалит требует настороженности врачей всех специальностей (неврологов, психиатров, гинекологов, реаниматологов, инфекционистов), которые могут встретиться с данным, в высшей степени драматичным, но вполне поддающимся своевременно начатому лечению заболеванием. При этом важно отметить, что клинических различий между аутоиммунным энцефалитом, развившимся на фоне U07.1 COVID-19 или других факторов риска, не существует. У врачей всех специальностей должна быть определённая настороженность в отношении тех пациентов, у которых на фоне U07.1 COVID-19 манифестируют прежде всего психопатологические симптомы.
Своевременная диагностика данной патологии, базирующаяся на знании клинических особенностей, в сочетании с современными лабораторными и инструментальными методами исследований, позволит вовремя провести адекватную иммунотропную терапию и значительно улучшить исходы, предотвратить развитие когнитивного дефицита, очаговых неврологических осложнений и симптоматической эпилепсии.
ИНФОРМИРОВАННОЕ СОГЛАСИЕ
От пациента (законного представителя) не получено письменного информированного согласия на публикацию его изображений в медицинском журнале по причине смерти пациента и отсутствия его законных представителей. Решение о публикации анонимизированного описания клинического случая принято врачебной комиссией.
INFORMED CONSENT
No written informed consent has been received from the patient (legal representative) to publish her images in a medical journal due to the death of the patient and the abscense of her legal representatives.
ДОПОЛНИТЕЛЬНАЯ ИНФОРМАЦИЯ
Вклад авторов. Т.И. Дутова, В.В. Белинская, А.В. Куликов, Н.П. Головина — лечение пациентки; Е.О. Кулешова — лабораторные исследования биологических образцов пациентки; О.В. Ульянова, А.А. Дудина, А.В. Кусливая — сбор и обработка материала; О.В. Ульянова, Н.А. Ермоленко — концепция и дизайн, написание текста, редактирование. Авторы подтверждают соответствие своего авторства международным критериям ICMJE (все авторы внесли существенный вклад в разработку концепции, проведение исследования и подготовку статьи, прочли и одобрили финальную версию перед публикацией).
Authors’ contribution. T.I. Dutova, V.V. Belinskaya, A.V. Kulikov, N.P. Golovina — treatment of the patient; E.O. Kuleshova — laboratory studies of biological samples of the patient; O.V. Ulyanova, A.A. Dudina, A.V. Kuslivaya — collection and processing of material; O.V. Ulyanova, N.A. Ermolenko — concept and design, writing text, editing. The authors confirm the compliance of their authorship with the international ICMJE criteria (all authors have made a significant contribution to the development of the concept, research and preparation of the article, read and approved the final version before publication).
Источник финансирования. Исследование и публикация статьи осуществлены на личные средства авторов.
Funding source. The study had no sponsorship.
Конфликт интересов. Авторы декларируют отсутствие явных и потенциальных конфликтов интересов, связанных с публикацией данной статьи.
Competing interests. The authors declare that they have no competing interests.
About the authors
Olga V. Ulyanova
Voronezh State Medical University
Author for correspondence.
Email: alatau08@mail.ru
ORCID iD: 0000-0003-2754-2670
SPIN-code: 9099-1878
MD, PhD, Associate Professor
Russian Federation, VoronezhNatalia A. Ermolenko
Voronezh State Medical University
Email: ermola@bk.ru
ORCID iD: 0000-0001-7197-6009
SPIN-code: 8604-1145
Dr. Sci. (Med.)
Russian Federation, VoronezhAnna A. Dudina
Voronezh State Medical University
Email: anna.dudina.77@mail.ru
ORCID iD: 0000-0001-5875-2393
SPIN-code: 9252-5684
MD, PhD, Assistant
Russian Federation, VoronezhVera V. Belinskaya
City Clinical Emergency Hospital No. 1, Voronezh
Email: v.v.belinskaya@gmail.com
MD, PhD
Russian Federation, VoronezhTatyana I. Dutova
City Clinical Emergency Hospital No. 1, Voronezh
Email: dutova80@mail.ru
ORCID iD: 0000-0003-2359-9215
SPIN-code: 1934-4945
MD, PhD
Russian Federation, VoronezhArkady V. Kulikov
City Clinical Emergency Hospital No. 1, Voronezh
Email: alatau08@mail.ru
Russian Federation, Voronezh
Nadezhda P. Golovina
City Clinical Emergency Hospital No. 1, Voronezh
Email: golovinanp78@mail.ru
Russian Federation, Voronezh
Ekaterina O. Kuleshova
City Clinical Emergency Hospital No. 1, Voronezh
Email: Sladkix14@mail.ru
Russian Federation, Voronezh
Anastasia V. Kuslivaya
Voronezh State Medical University
Email: anastassiadorohina@yandex.ru
ORCID iD: 0000-0002-7593-0590
SPIN-code: 1626-8037
Student
Russian Federation, VoronezhReferences
- Белопасов В.В., Журавлева Е.Н., Нугманова Н.П., Абдрашитова А.Т. Постковидные неврологические синдромы // Клиническая практика. 2021. Т. 12, № 2. С. 69–82. [Belopasov VV, Zhuravleva EN, Nugmanova NP, Abdrashitova AT. Postcovid neurological syndromes. Journal Clinical Practice. 2021;12(2): 69–82. (In Russ).] doi: 10.17816/clinpract71137
- Белопасов В.В., Яшу Я., Самойлова Е.М., Баклаушев В.П. Поражение нервной системы при СOVID-19 // Клиническая практика. 2020. Т. 11, № 2. С. 60–80. [Belopasov VV, Yashu Ya, Samoylova EM, Baklaushev VP. Nervous system damage in COVID-19. Journal Clinical Practice. 2020;11(2):60–80. (In Russ).] doi: 10.17816/clinpract34851
- Dalmau J, Gleichman AJ, Hughes EG, et al. Anti-NMDA-receptor encephalitis: Case series and analysis of the effects of antibodies. Lancet Neurol. 2008;7(12):1091–1098. doi: 10.1016/S1474-4422(08)70224-2
- Полонский Е.Л., Скулябин Д.И., Лапин С.В., и др. Полиморфизм аутоиммунного энцефалита // Анналы клинической и экспериментальной неврологии 2019. Т. 13, № 2. С. 79 – 91. [Polonsky EL, Skulyabin DI, Lapin SV, et al. Polymorphism of autoimmune encephalitis. Annals Clinical Experimental Neurology 2019;13(2):79–91 (In Russ).] doi: 10.25692/ACEN.2019.2.9
- Titulaer MJ, McCracken L, Gabilondo I, et al. Treatment and prognostic factors for long-term outcome in patients with anti-NMDA receptor encephalitis: An observational cohort study. Lancet Neurol. 2013;12(2):157–165. doi: 10.1016/S1474-4422(12)70310-1
- Varley J, Taylor J, Irani SR. Autoantibody-mediated diseases of the CNS: Structure, dysfunction and therapy. Neuropharmacology. 2018;132:71–82. doi: 10.1016/j.neuropharm.2017.04.046
- Irani SR, Michell AW, Lang B, et al. Faciobrachial dystonic seizures precede Lgi1 antibody limbic encephalitis. Ann Neurol. 2011;69:892–900. doi: 10.1002/ana.22307
- Dalmau J, Gleichman AJ, Hughes EG, et al. Anti-NMDA-receptor encephalitis: Case series and analysis of the effects of antibodies. Lancet Neurol. 2008;7(12):1091–1098. doi: 10.1016/S1474-4422(08)70224-2
- Loughan AR, Allen A, Perna R, Malkin MG. Anti-N-methyl-D-aspartate receptor encephalitis: A review and neuropsychological case study. Clin Neuropsychol. 2016;30(1):150–163. doi: 10.1080/13854046.2015.1132772
- Graus F, Titulaer MJ, Balu R, et al. A clinical approach to diagnosis of autoimmune encephalitis. Lancet Neurol. 2016;15(4):391–404. doi: 10.1016/S1474-4422(15)00401-9
- Dalmau J, Lancaster E, Martinez-Hernandez E, et al. Clinical experience and laboratory investigations in patients with anti-NMDAR encephalitis. Lancet Neurol. 2011;10(1):63–74. doi: 10.1016/S1474-4422(10)70253-2
- Kayser MS, Titulaer MJ, Gresa-Arribas N, Dalmau J. Frequency and characteristics of isolated psychiatric episodes in anti-N-methyl-D-aspartate receptor encephalitis. JAMA Neurol. 2013;70(9):1133–1139. doi: 10.1001/jamaneurol.2013.3216
- Guasp M, Dalmau J. Encephalitis associated with antibodies against the NMDA receptor. Med Clin (Barc). 2018;151(2):71–79. doi: 10.1016/j.medcli.2017.10.015
- Lancaster E, Dalmau J. Neuronal autoantigens: pathogenesis, associated disorders and antibody testing. Nat Rev Neurol. 2012;8(7):380–390. doi: 10.1038/nrneurol.2012.99
- Мартынов М.Ю., Куташов В.А., Ульянова О.В. COVID-19 в семье с редким генетическим заболеванием нервной системы // Неврология, нейропсихиатрия, психосоматика. 2022. Т. 14, № 1. С. 108–114. [Martynov MYu, Kutashov VA, Ulyanova OV. COVID 19 in a family with rare genetic disease of the nervous system. Neurology, Neuropsychiatry, Psychosomatics. 2022;14(1):108–114. (In Russ).] doi: 10.14412/2074-2711-2022-1-108-114
- Nosadini M, Thomas T, Eyre M, et al. International Consensus Recommendations for the treatment of pediatric NMDAR antibody encephalitis. Neurol Neuroimmunol Neuroinflamm. 2021;8(5):e1052. doi: 10.1212/NXI.0000000000001052
Supplementary files







