Опыт успешного применения новой методики лечения тяжелой формы COVID-19
- Авторы: Самойлов А.С.1, Удалов Ю.Д.1, Кругляков Н.М.1, Терехов Д.А.1, Багжанов Г.И.1, Очкин С.С.1
-
Учреждения:
- Государственный научный центр «Федеральный медицинский биофизический центр имени А.И. Бурназяна»
- Выпуск: Том 11, № 2 (2020)
- Страницы: 93-100
- Раздел: Клинические случаи
- Статья получена: 03.06.2020
- Статья одобрена: 23.06.2020
- Статья опубликована: 02.08.2020
- URL: https://clinpractice.ru/clinpractice/article/view/34529
- DOI: https://doi.org/10.17816/clinpract34529
- ID: 34529
Цитировать
Полный текст
Аннотация
COVID-19, ранее коронавирусная инфекция 2019-nCoV, — потенциально тяжелая острая респираторная инфекция, вызываемая коронавирусом SARS-CoV-2 (2019-nCoV). Представляет собой опасное заболевание, которое может протекать как в форме острой респираторной вирусной инфекции легкого течения, так и в тяжелой форме с развитием двусторонней полисегментарной пневмонии, специфические осложнения которой могут включать острый респираторный дистресс-синдром, влекущий за собой острую дыхательную недостаточность с высоким риском смерти. В связи с отсутствием этиотропной терапии коронавирусной инфекции на первый план выходит патогенетическое лечение. Нами представлен клинический случай тяжелой формы COVID-19 у 33-летнего мужчины, которому была применена новая, основанная на иммуносупрессивной терапии с последующим терапевтическим плазмообменом и введением неспецифического иммуноглобулина человека методика патогенетического лечения.
Ключевые слова
Полный текст
ОБОСНОВАНИЕ
В большинстве (примерно в 80%) случаев COVID-19 какого-либо специфического лечения не требуется, а выздоровление происходит само по себе [1]. Тяжелые формы болезни с большей вероятностью могут развиться у пожилых людей и у лиц с определенными сопутствующими заболеваниями, включающими астму, диабет и сердечные заболевания [2]. В тяжелых случаях применяются средства для поддержания функций жизненно важных органов [3].
Примерно в 15% случаев заболевание протекает в тяжелой форме с необходимостью применения кислородной терапии, еще в 5% — состояние больных критическое. В целом по миру летальность заболевания оценивается примерно в 6,5% [4].
Вопросы лечения новой коронавирусной инфекции имеют острейшую актуальность. На сегодняшний день не существует доказанной этиотропной терапии, эффективных методов профилактики заболевания, при этом тяжелые формы болезни имеют высочайшие риски неблагоприятного исхода [5].
Теория цитокинового шторма, объясняющая повреждение практически всех систем организма, и в первую очередь тяжелейшее повреждение легочной ткани, позволяет предположить гиперергическую реакцию иммунной системы на провоцирующий агент, при этом нельзя исключить наличие аутоиммунного компонента в патогенезе цитокинового шторма и синдрома гиперактивации макрофагов. Кроме того, развивается связанная с повреждением эндотелия сосудов агрессивная гиперкоагуляция. Все это определило три основных направления — гипоксемию, гиперергическую иммунную реакцию организма, агрессивную гиперкоагуляцию — для патогенетической терапии тяжелых форм болезни [1, 5].
Применение плазмообмена обосновано возможностью удаления цитокинов, связанных с патогенезом цитокинового шторма при COVID-19 [6]. Применение иммуноглобулина повышает неспецифическую резистентность организма после проведения иммуносупрессивной терапии, показано при всех тяжелых вирусных и бактериальных инфекциях. Необходимо также учесть потери иммуноглобулинов при проведении плазмообмена [7].
ОПИСАНИЕ КЛИНИЧЕСКОГО СЛУЧАЯ
О пациенте
Пациент П., возраст 33 года, поступил в Федеральный медицинский биофизический центр имени А.И. Бурназяна (далее ФМБЦ им. А.И. Бурназяна) 21.04.2020 по каналу скорой медицинской помощи с направительным диагнозом «Двусторонняя пневмония» (по данным компьютерной томографии, выполненной на догоспитальном этапе).
Из анамнеза заболевания. Считает себя больным с 14.04.2020, когда появились слабость и головная боль. С 15.04.2020 — повышение температуры тела до 39,5°С. Принимал жаропонижающие препараты (парацетамол, Нурофен) — без эффекта. Бригадой скорой медицинской помощи, вызванной 18 апреля, проведены общие мероприятия по нормализации температуры тела (жаропонижающие препараты); оставлен под наблюдение врача поликлиники. 19.04.2020 осмотрен участковым врачом-терапевтом из поликлиники, по рекомендации которого выполнена компьютерная томография (КТ) органов грудной клетки: выявлена двусторонняя пневмония. Назначено лечение: Сумамед, Тамифлю.
Пациент строго соблюдал режим самоизоляции, выходил только в магазин за продуктами, всегда использовал медицинскую маску. В течение 3 мес, предшествовавших заболеванию, пределы России не пересекал. Операций, гемотрансфузий, внутримышечных или внутривенных инъекций, лечения зубов в последние 6 мес не проводилось.
21.04.2020 в связи с отсутствием эффекта от проводимой терапии бригадой скорой медицинской помощи госпитализирован в ФМБЦ им. А.И. Бурназяна.
Заключение по результатам КТ от 21.04.2020: Двусторонняя полисегментарная пневмония. Оценка тяжести пневмонии — КТ3.
Наследственных и хронических заболеваний не имеет. Вредных привычек нет.
Предъявляет жалобы на общую слабость, повышение температуры тела до 39°С, головокружение, снижение аппетита.
Исследования при поступлении
Физикальное исследование. Общее состояние тяжелое. Телосложение правильное. Конституция нормостеническая. Рост 184 см, масса тела 96 кг, индекс массы тела 28,4. Кожа и слизистые оболочки физиологической окраски и влажности, теплые. Видимые слизистые — влажные, чистые. Подкожная жировая клетчатка развита несколько избыточно.
Область сердца не изменена. Аускультация сердца невыполнима. Артериальное давление 105/70 мм рт.ст. Частота пульса 106/мин.
Аускультация легких невыполнима. Частота дыхательных движений 24/мин. Насыщение (сатурация) крови кислородом (blood oxygen saturation, SpO2) 90% на фоне инсуффляции увлажненного кислорода 4 л/мин.
Язык влажный. Живот симметричный, при пальпации — мягкий, безболезненный, равномерно участвует в акте дыхания. Печень у края реберной дуги. Стул 20.04.2020, оформленной консистенции, без патологических примесей. Дизурических явлений нет. Симптом поколачивания отрицательный с обеих сторон.
Нервная система и органы чувств: сознание ясное, ориентирован во времени, месте, собственной личности. Адекватен. Чувствительность сохранена, симметрична. Мышечная сила конечностей D = S, удовлетворительная. Координаторные пробы выполняет удовлетворительно. В позе Ромберга устойчив. Менингеальной, патологической неврологической симптоматики нет.
Локальный статус: при осмотре гиперемия, отечность слизистой зева, выделения слизистого характера из носовых ходов.
Оценка по шкале органной недостаточности (quick Sequential Organ Failure Assessment, qSOFA) 1 балл. Пациент госпитализирован в инфекционное отделение № 1, где начата терапия по принятым клиническим рекомендациям.
Лабораторное исследование. Выраженная протеинурия (до 1 г/л), небольшая гипергликемия (до 7,8 ммоль/л), уровень С-реактивного белка 44,6 мг/л, ферритин 2540 мг/мл, D-димер 1,41 мг/л, прокальцитонин менее 0,5 нг/мл. Тест на COVID-19 (методом полимеразной цепной реакции) от 22.04.2020 — положительный. Остальные показатели лабораторного спектра в пределах референсных значений.
Инструментальное исследование. Электрокардиография: синусовая тахикардия с частотой сердечных сокращений 100 уд./мин. Умеренные изменения миокарда. Снижен вольтаж зубца R в грудных отведениях. Группа крови АВ (IV) Rh+.
23.04.2020, несмотря на проводимую терапию, состояние продолжало ухудшаться, нарастала одышка до 30/мин, SpO2 на фоне оксигенотерапии 5 л/мин, не более 88% в прон-позиции. Повторно выполнена КТ легких: признаки двусторонней полисегментарной пневмонии, высокая вероятность COVID-19, КТ4.
Учитывая значительную отрицательную динамику состояния, 23.04.2020 пациент переведен в отделение реанимации и интенсивной терапии (ОРИТ).
Несмотря на молодой возраст и отсутствие сопутствующей патологии, у данного пациента отмечалось резкое прогрессирование болезни (индекс PaO/FiO < 100) с высоким риском неблагоприятного исхода.
Лечение
Принято решение о применении новой схемы лечения тяжелой формы коронавирусной болезни:
- тоцилизумаб в разовой дозе 400 мг инфузионно в течение 1 ч однократно;
- пульс-терапия метилпреднизолоном по 1000 мг/сут в течение 3 сут;
- процедура терапевтического плазмообмена (therapeutic plasma exchange, TPE) на аппарате Prismaflex (Gambro Hospal, Швеция) (объем у данного пациента составил 4000 мл);
- эноксапарин натрия по 0,8 мг 2 раза/сут;
- после завершения пульс-терапии — Имбиоглобулин по 200 мл (20 г) инфузионно курсом на 4 дня;
- продолжена антибактериальная терапия цефтриаксоном по 2 г 2 раза/сут;
- аскорбиновая кислота по 2 г/сут внутривенно;
- нутритивная поддержка в дозе 35 ккал/кг в сутки;
- высокопоточная оксигенотерапия на аппарате AIRVO2 (Fisher & Paykel, Новая Зеландия) с потоком 50 л/мин и фракцией кислорода во вдыхаемой смеси (fraction of inspired oxygen, FiO2) 50%.
Дальнейшее наблюдение
Несмотря на небольшое улучшение оксигенации (SpO2 94%, индекс PaO/FiO 133), сохранялась выраженная одышка с вовлечением вспомогательной мускулатуры даже в прон-позиции. Частота дыхательных движений до 30/мин, вовлечение вспомогательной мускулатуры, втяжение межлестничных промежутков, нарастание тахикардии до 118/мин. Принято решение о необходимости применения искусственной вентиляции легких (ИВЛ): режим BiLevel (в условиях седации пропофолом) с параметрами положительного давления в конце выдоха (positive end-expiratory pressure, PEEP) 14 mbar, PEEP2 28 mbar, FiO2 55%, I/E = 1/1,3, дыхательным объемом на этом фоне 500–550 мл, минутным объемом дыхания до 10–10,5 л/мин под контролем капнометрии (максимальная концентрация CO2 в конце каждого дыхательного цикла, etCO2 36–39). Отмечено, что ИВЛ не привела к улучшению оксигенации: SpO2 92–94%, индекс PaO/FiO 118–125. Однако тахикардия регрессировала, отмечалась склонность к брадикардии с частотой сердечных сокращений 55–58/мин и гипотензии до 80/45 мм рт.ст., потребовавшим катехоламиновой поддержки норадреналином в течение нескольких часов. По данным эхокардиографии отмечалось снижение фракции выброса до 44% с дилатацией всех камер сердца без нарушений локальной сократимости. Тропонин в пределах нормальных значений. Оценка по SOFA 6 баллов.
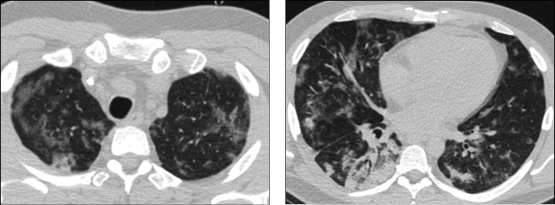
24.04.2020 повторно выполнена КТ легких: отрицательная динамика по сравнению с предыдущим исследованием, выражающаяся увеличением распространенности и интенсивности патологических изменений в легких, с субтотальным поражением легочной паренхимы, КТ4. КТ-картина позволяла предположить развитие острого респираторного дистресс-синдрома на фоне воспалительного процесса (рис. 1).
Рис. 1. Компьютерная томография легких от 24.04.2020: увеличение распространенности и интенсивности патологических изменений с субтотальным поражением легочной паренхимы, КТ4
По данным ультразвукового мониторинга легочной ткани выявлено большое количество В-линий во всех отделах легких, при этом С-линий не обнаружено. Лабораторно отмечено снижение уровня С-реактивного белка до 15 мг/л, ферритина до 1140 мг/мл, а также значительное снижение протеинурии до 0,5 г/л, отсутствие лихорадки. Терапия продолжена. 25.04.2020 отмечалось значительное улучшение легочной биомеханики, при прежних параметрах ИВЛ дыхательный объем достиг 700 мл. Седация прекращена, режим вентиляции изменен на вспомогательный — спонтанный (SPONT) с параметрами постоянного положительного давления (constant positive airway pressure, CPAP) 12 mbar, FiO2 45%, поддержкой давлением (pressure support, Ps) 14 mbar, дыхательным объемом до 650 мл, частотой дыхательных движений 12–14/ мин, минутным объемом дыхания до 9,5 л/мин, etCO2 42–46. Также значительно улучшились показатели оксигенации: SpO2 94%, индекс PaO/FiO 160. С целью облегчения активизации пациента, обеспечения самостоятельного питания и создания комфорта выполнена ранняя пункционно-дилатационная трахеостомия. В течение последующих 2 сут состояние постепенно улучшалось, была значимо снижена респираторная поддержка, но сохранялась необходимость в СРАР не менее 11 mbar, т.к. на более низких значениях отчетливо увеличивалась работа дыхания, снижался дыхательный объем, появлялись тахипноэ и тахикардия. 27.04.2020 появилась гипертермия до 38,6°С, которая не отмечалась с 24.04.2020; уровень прокальцитонина соответствовал > 2 нг/ мл, наблюдался резкий рост лейкоцитоза до 16,9 со сдвигом формулы влево, что соответствовало бактериальной сперинфекции.
По данным КТ легких, на фоне улучшения состояния легочной ткани отмечалось развитие правосторонней нижнедолевой бронхопневмонии (рис. 2).
Рис. 2. Компьютерная томография легких от 29.04.2020: на фоне улучшения состояния легочной ткани отмечается развитие правосторонней нижнедолевой бронхопневмонии
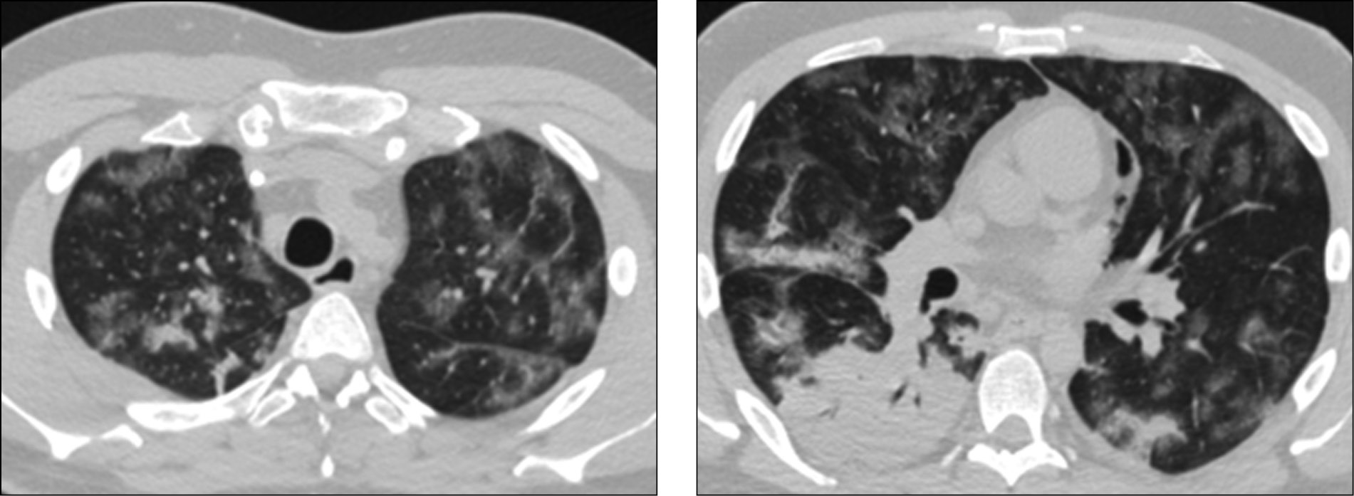
Антибактериальная терапия изменена на меропенем в дозе 2 г по 3 раза/сут. По данным микробиологического исследования выявлен Acinetobacter baumannii. В течение 3 дней лихорадка, лабораторные признаки воспаления и уровень прокальцитонина были нормализованы. Индекс PaO/FiO достиг 300, SpO2 98–99%. Оценка по SOFA 0 баллов. С 30.04.2020 пациент приступил к тренировкам самостоятельного дыхания, а со 02.05.2020 механическая вентиляция легких прекращена полностью, выполнена деканюляция трахеи. Респираторная терапия в объеме оксигенотерапии через назальные канюли 4 л/мин. Тест на COVID-19 (методом полимеразной цепной реакции) от 01.05.2020 положительный. КТ от 02.05.2020 с дальнейшей положительной динамикой (рис. 3).
Рис. 3. Компьютерная томография легких 02.05.2020: положительная динамика на фоне лечения
Исход
К 05.05.2020 терапия деэскалирована практически полностью, продолжается только антикоагулятная профилактика, в оксигенотерапии не нуждается. Лабораторно все показатели в пределах референсных значений. Переведен для дальнейшего лечения и реабилитации в 1-е инфекционное отделение. 12.05.2020 выписан из стационара после получения отрицательного результата от 10.05.2020 теста на COVID-19.
Длительность пребывания в ОРИТ составила 11 дней, общая длительность госпитализации — 21 день.
ОБСУЖДЕНИЕ
Успешный опыт в нашем случае показывает, что стоит попробовать своевременное патогенетическое лечение, особенно у пациентов в критическом состоянии с инфекцией COVID-19, поскольку это может значительно улучшить прогноз. Наш отчет о болезни дает новый взгляд на стратегию лечения этого потенциально смертельного заболевания.
- Воздействие на иммунный ответ, включающее несколько ступеней:
- 1-я ступень — иммуносупрессия. Пациентам с поражением легких по данным КТ 3–4-й степени, уровнем прокальцитонина < 0,5 нг/мл, самостоятельным дыханием либо при использовании ИВЛ менее 48 ч для купирования цитокинового шторма вводится тоцилизумаб в разовой дозе 400 мг инфузионно в течение 1 ч однократно (при отсутствии тоцилизумаба — сарилумаб по 200 мг шприц-ручка подкожно однократно). Для подавления гиперергической иммунной реакции, а возможно, и аутоиммунного компонента патогенеза — короткий агрессивный курс пульс-терапии метилпреднизолоном в дозе 1000 мг/ сут в течение 3 сут [8–11];
- 2-я ступень — эфферентная терапия для удаления циркулирующих иммунных комплексов, цитокинов и других биологически активных веществ в виде плазмообмена объемом 60 мл/кг массы тела либо селективная плазмофильтрация с использованием фракционатора плазмы Evaclio 2C20 (Kawasumi Laboratories Inc., Япония). Метод позволяет очистить около трех объемов циркулирующей плазмы (7500 мл). Замещение осуществляется кристаллоидами, 20% раствором альбумина или, при необходимости, свежезамороженной плазмой. Фракционатор плазмы Evaclio 2C20 имеет размер пор 20 нм. Это позволяет эффективно удалять из кровотока медиаторы воспаления, эндогенные молекулы (миоглобин, аммиак, билирубин, свободный гемоглобин, желчные кислоты), бактериальные токсины. При этом белковые молекулы (иммуноглобулины, факторы свертывающей системы, альбумин) удается сохранить практически полностью [12];
- 3-я ступень — иммунокоррекция после завершения пульс-терапии и плазмообмена препаратами иммуноглобулина человеческого. Применение иммуноглобулина повышает неспецифическую резистентность организма после проведения иммуносупрессивной терапии, показано при всех тяжелых вирусных и бактериальных инфекциях. Также необходимо учесть потери иммуноглобулинов при проведении плазмообмена.
Возможно применение антикоронавирусной плазмы.
- Воздействие на гиперкоагуляцию и эндотелиальную дисфункцию:
- антикоагуляция: применение нефракционированного гепарина, низкомолекулярных гепаринов либо фондапаринукса натрия в лечебных дозах под контролем тромбоэластографии и биохимической коагулографии, а также инструментального выявления фокусов тромбоза [11];
- антиагрегантная терапия (опционально): пациенты, принимавшие ранее аспирин, должны продолжать его применение; целесообразным видится и дополнительное назначение аспирина в дозе 100–125 мг/сут в сочетании с антикоагулянтами;
- ангиотропная терапия (опционально): Вазапростан в дозе 60 мкг внутривенно в течение 10 ч курсом 3 дня параллельно с проведением пульс-терапии (препарат ПГE1 улучшает микроциркуляцию и периферическое кровообращение, оказывает вазопротекторное действие; при системном введении вызывает расслабление гладкомышечных волокон, оказывает сосудорасширяющее действие, уменьшает общее периферическое сосудистое сопротивление без изменения артериального давления, при этом отмечается рефлекторное увеличение сердечного выброса и частоты сердечных сокращений; способствует повышению эластичности эритроцитов, уменьшает агрегацию тромбоцитов и активность нейтрофилов, повышает фибринолитическую активность крови; оказывает стимулирующее действие на гладкую мускулатуру кишечника, мочевого пузыря, матки; подавляет секрецию желудочного сока). Также можно рассмотреть применение ингаляционных простагландинов (илопрост) у пациентов с менее тяжелым течением болезни;
- аскорбиновая кислота в дозе 1–2 г/сут внутривенно.
- Лечение гипоксемии. Алгоритм респираторной терапии при COVID-19:
- стандартная оксигенотерапия через лицевую маску или назальные канюли (4–6 л/мин) + пронирование (обязательно! не менее 16 ч в сутки). Гипербарическая оксигенация по принятой в клинике методике. Цель: SpO2 > 88%, частота дыхания < 30, нормокапния. При необходимости потока кислорода более 6 л/мин — переход на следующую ступень;
- высокопоточная оксигенотерапия (AIRVO2, либо аппараты ИВЛ, имеющие данную функцию) со скоростью потока до 60 л/мин и FiO2 до 80% + пронирование (обязательно! не менее 16 ч в сутки). Цель: SpO2 через несколько минут > 90%, снижение частоты дыхания в течение 1 ч < 30/мин или на 30%, нормокапния. При неэффективности — переход на следующую ступень;
- неинвазивная вентиляция легких с помощью шлемов, что дает возможность поддержания достаточно высокого положительного давления в конце выдоха в режиме CPAP/PSV + пронирование (обязательно, не менее 16 ч в сутки). При неэффективности — переход на следующую ступень;
- инвазивная ИВЛ через интубационную или трахеостомическую трубку в протективном режиме вентиляции: дыхательный объем 6 (4–8) мл на килограмм идеальной массы тела (по формуле Брока: рост - 100), оптимальное положительное давление в конце выдоха (PEEP) 10–12 mbar, при избыточной массе тела — до 15 mbar. I/E = 1/1,5–1/1, движущее давление (driving pressure) не более 15 mbar (по формуле: Pplato - РЕЕР), пиковое давление не более 35 mbar, давление плато (Pplato) не более 27 mbar, FiO2 не более 60%, контроль профиля потока, минимально возможная частота дыхания (рСО2 в артерии 30–50 мм рт.ст.) + прон-позиция до 24 ч в сутки. При неэффективности — переход на следующую ступень;
- вено-венозная экстракорпоральная мембранная оксигенация с настраиваемыми параметрами. Применение целесообразно только у пациентов с благоприятным прогнозом.
Оценка эффективности респираторной терапии должна занимать не более 2 ч (http://www.far.org.ru/recomendation).
- Базисная интенсивная терапия имеет не менее важное значение: антибактериальная терапия препаратами широкого спектра действия до получения результатов микробиологического исследования; нутритивная поддержка в виде гиперкалорийной высокобелковой диеты (пациенты, питающиеся самостоятельно, обязательно должны получать сипинг); профилактика острых язв желудка и двенадцатиперстной кишки по общепринятым схемам; применение прокинетиков и слабительных при затруднениях пассажа; максимально возможная физическая активность; доступность общения пациентам ОРИТ с родственниками посредством мобильной связи [13].
ЗАКЛЮЧЕНИЕ
Наш опыт показывает, что применение методики интенсивной патогенетической терапии у данного пациента значительно уменьшило продолжительность ИВЛ и пребывание в ОРИТ, а также позволило быстро деэскалировать терапию и приступить к ранней реабилитации.
Необходимо проведение рандомизированных контролируемых исследований для подтверждения эффективности применения иммуносупрессии, методов экстракорпоральной гемокоррекции и иммуноглобулина человеческого у пациентов с тяжелой формой COVID-19.
ИНФОРМИРОВАННОЕ СОГЛАСИЕ
От пациента получено информированное согласие на публикацию описания клинического случая 10.05.2020 г.
ИСТОЧНИК ФИНАНСИРОВАНИЯ
Госзадание ФМБА России.
КОНФЛИКТ ИНТЕРЕСОВ
Авторы декларируют отсутствие явных и потенциальных конфликтов интересов, связанных с публикацией настоящей статьи.
УЧАСТИЕ АВТОРОВ
А.С. Самойлов — поисково-аналитическая работа, участие в разработке методики; Ю.Д. Удалов — поисково-аналитическая работа, организация исследовательской деятельности; Д.А. Терехов, Н.М. Кругляков — поисково-аналитическая работа, участие в разработке методики; С.С. Очкин, Г.И. Багжанов — поисково-аналитическая работа, участие в разработке методики, написание статьи. Все авторы внесли существенный вклад в проведение поисково-аналитической работы и подготовку статьи, прочли и одобрили финальную версию до публикации.
Об авторах
Александр Сергеевич Самойлов
Государственный научный центр «Федеральный медицинский биофизический центр имени А.И. Бурназяна»
Email: asamoilov@fmbcfmba.ru
ORCID iD: 0000-0002-9241-7238
SPIN-код: 3771-4848
д.м.н., профессор, чл.-корр. РАН
Россия, МоскваЮрий Дмитриевич Удалов
Государственный научный центр «Федеральный медицинский биофизический центр имени А.И. Бурназяна»
Email: udalov@fmbafmbc.ru
ORCID iD: 0000-0002-9739-8478
SPIN-код: 7016-7538
д.м.н.
Россия, МоскваНиколай Михайлович Кругляков
Государственный научный центр «Федеральный медицинский биофизический центр имени А.И. Бурназяна»
Email: nik160@mail.ru
ORCID iD: 0000-0001-5011-6288
SPIN-код: 5763-0498
Россия, Москва
Дмитрий Анатольевич Терехов
Государственный научный центр «Федеральный медицинский биофизический центр имени А.И. Бурназяна»
Email: terexov-d@mail.ru
Россия, Москва
Герман Игорвич Багжанов
Государственный научный центр «Федеральный медицинский биофизический центр имени А.И. Бурназяна»
Email: 1380-1410@mail.ru
ORCID iD: 0000-0003-3363-5195
SPIN-код: 8981-3430
Россия, Москва
Сергей Сергеевич Очкин
Государственный научный центр «Федеральный медицинский биофизический центр имени А.И. Бурназяна»
Автор, ответственный за переписку.
Email: Gazme@yandex.ru
ORCID iD: 0000-0001-8103-4963
SPIN-код: 2071-7804
Россия, Москва
Список литературы
- ВОЗ. Клиническое руководство по ведению пациентов с тяжелой острой респираторной инфекцией при подозрении на инфицирование новым коронавирусом (2019-nCoV). Временное руководство от 28 января 2020 г. WHO/nCoV/Clinical/2020.2 [интернет]. [Clinical management of severe acute respiratory infection when novel coronavirus (2019-nCoV) infection is suspected. Interim guidance 28 January 2020. WHO/nCoV/Clinical/2020.2 [Internet]. (In Russ).] Доступно по: https://webmaster.yandex.ru/siteinfo/?site=www.rospotrebnadzor.ru. Ссылка активна на 16.05.2020.
- Роспотребнадзор. Рекомендации ВОЗ для населения в связи c распространением нового коронавируса (2019-nCoV): мифы и ложные представления [интернет]. [Rospotrebnadzor. Rekomendatsii VOZ dlya naseleniya v svyazi c rasprostraneniyem novogo koronavirusa (2019-nCoV): mify i lozhnyye predstavleniya [Internet]. (In Russ).] Доступно по: https://www.rospotrebnadzor.ru/region/rss/rss.php?ELEMENT_ID=13990. Ссылка активна на 16.05.2020.
- Bassetti M, Vena A, Giacobbe DR. The novel chinese coronavirus (2019-nCoV) infections: challenges for fighting the storm. Eur J Clin Invest. 2020;50(3):e13209. doi: 10.1111/eci.13209.
- Beeching, Fletcher, Fowler, 2020, Prognosis, Case fatality rate. Available from: https://www.semanticscholar.org/paper/The-novel-Chinese-coronavirus-(2019-nCoV)-for-the-Bassetti-Vena/d3373cd7db828a91a2709ea8fbec7d6776b6f42f
- Mandell LA, Wunderink RG, Anzueto A, et al. Infectious Diseases Society of America/American Thoracic Society consensus guidelines on the management of community-acquired pneumonia in adults. Clin Infect Dis. 2007;44(Suppl 2):S27–72. doi: 10.1086/511159.
- Faqihi F, Alharthy A, Alodat M, et al. A pilot study of therapeutic plasma exchange for serious SARS CoV-2 disease (COVID-19): A structured summary of a randomized controlled trial study protocol. Trials. 2020;21:506. doi: 10.1186/s13063-020-04454-4.
- Hua Shi, Chaomin Zhou, Pinghong He, et al. . Successful treatment of plasma exchange followed by intravenous immunogloblin in a critically ill patient with 2019 novel coronavirus infection. Int J Antimicrob Agents. 2020;105974. doi: 10.1016/j.ijantimicag.2020.105974.
- Gorbalenya AE, Baker SC, Baric RS, et al. Severe acute respiratory syndrome-related coronavirus: The species and its viruses — a statement of the Coronavirus Study Group. bioRxiv. 2020. doi: 10.1101/2020.02.07.937862.
- Lu H. Drug treatment options for the 2019-new coronavirus (2019-nCoV). Biosci Trends. 2020;14(1):69–71. doi: 10.5582/bst.2020.01020.
- Zhang J, Zhou L, Yang Yu, et al. Therapeutic and triage strategies for 2019 novel coronavirus disease in fever clinics. Lancet Respir Med. 2020;8(3):e11–e12. doi: 10.1016/S2213-2600(20)30071-0.
- Chang L, Yan Y, Wang L. Coronavirus disease 2019: coronaviruses and blood safety. Transfus Med Rev. 2020;34(2):75–80. doi: 10.1016/j.tmrv.2020.02.003.
- Распоряжение Правительства РФ от 12 октября 2019 г. № 2406-р. [Order of the Government of the Russian Federation № 2406-r dated 2019 October 12. (In Russ).] Доступно по: https://www.garant.ru/products/ipo/prime/doc/72761778/. Ссылка активна на 20.04.2020.
- Диагностика и интенсивная терапия острого респираторного дистресс-синдрома. (In Russ).] Доступно по: http://www.far.org.ru/recomendation
Дополнительные файлы






