Instrumental and clinical diagnosis of interdigital Morton neuroma
- Authors: Bolshakova D.A.1,2, Kardanov A.A.1, Maysigov M.N.1, Akhpashev A.А.3, Ilyin D.O.1,2, Korolev A.V.1,2
-
Affiliations:
- European Clinic of Sports Traumatology and Orthopaedics
- Peoples' Friendship University of Russia
- Federal Scientific and Clinical Center for Specialized Medical Assistance and Medical Technologies of the Federal Medical Biological Agency
- Issue: Vol 14, No 4 (2023)
- Pages: 18-25
- Section: Original Study Articles
- Submitted: 23.05.2023
- Accepted: 19.10.2023
- Published: 28.01.2024
- URL: https://clinpractice.ru/clinpractice/article/view/456429
- DOI: https://doi.org/10.17816/clinpract456429
- ID: 456429
Cite item
Full Text
Abstract
Background: Interdigital neuroma is one of the most common diseases in foot surgery. It is a common cause of metatarsalgia leading to debilitating pain. At the same time, the diagnosis of neuroma can be a difficult task for an orthopedic surgeon due to the complex anatomy of the forefoot and a large number of soft-tissue and bone structures. Besides, the existing manual testing methods are not pathognomonic specifically for neuroma. The clinical symptoms and history, as well as a physical exam and instrumental evidence are important in assessing and grading the disease. However, there are no recommendations in the modern Russian literature regarding the need for routine visualization of neuroma. The reproducibility of the study, the absence of ionizing radiation and the possibility of obtaining a second opinion, as well as high sensitivity makes magnetic resonance imaging an important diagnostic tool in the diagnosis of neuroma. Aim: To evaluate the importance of the anamnesis and complaints and the sensitivity of clinical tests and magnetic resonance imaging of the foot in the diagnosis of interdigital neuromas. Methods: The study presents a retrospective analysis of the medical histories and outpatient records of 28 patients (8 men and 20 women) treated at the EMC ECSTO in the period from 2017 to 2022. The examination was performed according to a standardized protocol: collection of complaints and anamnesis, palpation, manual testing, including Mulder's click test. As a part of examination, magnetic resonance imaging of the foot was performed for all the patients. The average patient’s age at the time of the surgical treatment was 45 years. The resection of a part of the affected nerve with the subsequent histological examination was considered a gold standard for the treatment and verification of interdigital neuromas. In all the cases, the histopathological study confirmed the diagnosis. Results: The sensitivity of magnetic resonance imaging in the diagnosis of interdigital neuromas was 86%, the sensitivity of the Mulder test was 61%. Pain during the palpation of the affected interdigital space was determined in 100% of cases. Conclusion: The combination of a manual examination and magnetic resonance imaging, along with the analysis of complaints and anamnesis makes it possible to diagnose Morton's neuroma in most cases.
Keywords
Full Text
ОБОСНОВАНИЕ
Боль в переднем отделе стопы является распространённой проблемой среди населения трудоспособного возраста. По данным I. Urits и соавт. [1], до 20% людей в возрасте до 50 лет страдают болью в переднем отделе стопы. Межпальцевая неврома, известная также как неврома Мортона, является частой причиной метатарзалгии.
Первым на веретенообразное утолщение подошвенного нерва обратил внимание итальянский анатом Филиппо Чивинини (Filippo Civinini) в 1835 году [2]. Своё название неврома получила в честь американского хирурга-ортопеда Томаса Джорджа Мортона (Thomas George Morton), который в 1876 году первым описал весь симптомокомплекс заболевания.
Неврома Мортона является одной из самых распространённых туннельных невропатий, уступая по частоте только синдрому карпального канала, и составляет 50,2 и 87,5 случаев у мужчин и женщин соответственно на 100 000 населения [3].
Боль в переднем отделе стопы оказывает влияние на качество жизни, способность выполнять простые действия [4, 5]. Наличие невромы может существенно ухудшить качество жизни и привести к инвалидизации. Пациентов беспокоят приступы резких, жгучих, стреляющих болей, зачастую требующих снять обувь и помассировать стопу [6]. Несмотря на кажущуюся простоту постановки диагноза, истинная причина боли в переднем отделе стопы часто остаётся нераспознанной, многие пациенты лечатся либо консервативно, либо проходят лечение по поводу заболеваний с похожей клинической картиной [7, 8]. Именно поэтому неврома Мортона требует тщательной дифференциальной диагностики с перегрузочной метатарзалгией, болезнью Фрейберга, или Келлера II, шванномой и другими заболеваниями костей и мягких тканей [9–11].
Неврома Мортона не является истинной опухолью нерва, а, скорее, патологическим утолщением и периневральным фиброзом [12, 13]. H. Hassouna и соавт. [14] в качестве причины возникновения утолщения нерва указывают хроническую травму нерва, бурсит, ишемию и защемление межплюсневой связкой.
Клиническая картина невромы Мортона характеризуется приступами жгучей, стреляющей боли в III межплюсневом промежутке при ношении узкой обуви / обуви на каблуке, ходьбе, беге, которую зачастую сопровождает чувство онемения в III и/или IV пальце [8, 15]. При простом внешнем осмотре признаков заболевания, как правило, не бывает, в редких случаях можно заметить отёчность тыла стопы в проекции II–III–IV плюснефаланговых суставов. Хотя в большинстве случаев межпальцевая неврома располагается в III межплюсневом промежутке, встречаются и другие локализации [16–18]. Любая деформация переднего отдела увеличивает давление на головки плюсневых костей, что является предиктором возникновения утолщения подошвенного нерва. Наличие подошвенных гиперкератозов может свидетельствовать о перегрузочной метатарзалгии, стрессовом переломе, вывихе или подвывихе в плюснефаланговых суставах [6, 19]. Мануальное тестирование на неврому Мортона включает в себя тест сближения головок плюсневых костей, провокационный тест с дистракцией и сдавлением переднего отдела стопы (тест на корточках), тест перкуссии межплюсневого пространства (аналогично тесту Тинеля для синдрома карпального канала).
Ультразвуковое исследование (УЗИ) и магнитно-резонансная томография (МРТ) являются сопоставимыми по чувствительности методами в диагностике межпальцевых невром [20–22]. Ультразвуковая диагностика активно используется как в визуализации, так и в инъекционном лечении невром под визуальным контролем. Несмотря на относительно низкую стоимость, данная методика является чрезвычайно зависимой от оператора, невоспроизводимой и менее чувствительной [20, 23, 24]. В дифференциальной диагностике невромы межплюсневых промежутков золотым стандартом признана МРТ [24]. К недостаткам МРТ можно отнести относительно высокую стоимость, частоту ложноотрицательных результатов (до 17%), сложности в интерпретации [24, 25], к преимуществам — независимость от оператора, возможность другой интерпретации исследования более опытным ортопедом или специалистом лучевой диагностики. МРТ является единственным методом визуализации, который позволяет увидеть как мягкотканные, так и костные изменения в стопе и провести дифференциальную диагностику с другими заболеваниями костей и мягких тканей: перегрузочной метатарзалгией, разрывом или тендинитом подошвенного апоневроза, болезнью Фрайберга, стрессовым переломом плюсневых костей, начальными проявлениями системных артритов, межплюсневым бурситом [9, 11, 26].
На МРТ при невроме можно увидеть объёмное образование в межплюсневом промежутке со стороны подошвы, гипоинтенсивный или изоинтенсивный сигнал при сравнении с мышцами на Т1 взвешенных изображениях (Т1-ВИ), изоинтенсивный и гиперинтенсивный сигнал по сравнению с мышцами на Т2-ВИ в режиме жироподавления (fat suppression, FS). Стоит отметить, что интенсивность сигнала напрямую зависит от степени периневрального фиброза [26, 27]. Возможно скопление жидкости в межплюсневом промежутке с толщиной слоя более 3 мм, что указывает на бурсит [28].
Гистологические результаты при невроме оцениваются как положительные при обнаружении таких признаков, как фиброз межпальцевого нерва, утолщение эпиневрия и фиброз эпиневральных кровеносных сосудов.
Цель исследования — оценить значимость клинических тестов и стандартной МРТ при диагностике межплюсневых невром.
МЕТОДЫ
Дизайн исследования
Выполнен ретроспективный анализ историй болезни, амбулаторных карт и данных МРТ-исследований у пациентов, проходивших лечение в период с 2017 по 2022 год.
Критерии соответствия
Критерии включения: подробная карта осмотра пациента до операции; МРТ стопы или стоп; хирургическое лечение, проведённое в клинике ECSTO; наличие результатов гистологического исследования материала. Первично все исследуемые были осмотрены по стандартизированному протоколу: сбор жалоб и анамнеза, визуальная оценка стопы или стоп, пальпация, специализированные клинические тесты: щелчок Малдера, компрессионный тест.
Критерии исключения. Из исследования были исключены пациенты, которые отказались от последующего гистологического исследования, в том числе пациенты, отказавшиеся от хирургического лечения, так как в этом случае невозможно было сопоставить патоморфологический и клинический диагнозы. Исключены были и пациенты, чей патоморфологический диагноз был отличен от клинического диагноза невромы Мортона.
Условия проведения
Исследование проводилось на базе Европейской клиники спортивной травматологии и ортопедии (ECSTO, Москва). Все пациенты дали информированное добровольное согласие на проведение исследования и использование анонимизированных результатов МРТ.
Продолжительность исследования
Продолжительность ретроспективного исследования составила 5 лет (период с 2017 по 2022 год). Данные пациентов были проанализированы в период с 2022 по 2023 год.
Описание медицинского вмешательства
Были отобраны 28 пациентов (8 мужчин, 29%; 20 женщин, 71%) с диагнозом невромы межплюсневого промежутка, из них 6 пациентов с двусторонним поражением.
Патогистологическое исследование выполняли в патоморфологической лаборатории Европейского медицинского центра (ЕМС). МРТ были выполнены на томографе Siemens Magnetom Aera 1,5 Tл, толщина срезов 3 мм.
Протокол МРТ включал получение изображений в трёх плоскостях: прямая коронарная, прямая сагиттальная и аксиальная. Были выполнены серии МРТ, взвешенных по Т1-ВИ и Т2-ВИ, в трёх проекциях с жироподавлением (рис. 1, 2).
Рис. 1. Изоинтенсивный и гиперинтенсивный сигнал по сравнению с мышцами на Т2-ВИ в режиме FS (жироподавления) в III межпальцевом промежутке.
Рис. 2. Гипоинтенсивный сигнал при сравнении с мышцами на Т1-ВИ непосредственно в области III межпальцевого промежутка.
В качестве основной характеристики диагностической эффективности оценивали чувствительность (отношение положительных результатов, подтверждённых гистологически, к сумме положительных и отрицательных результатов).
Всем пациентам выполняли резекцию поражённой части подошвенного нерва с последующим гистологическим исследованием (рис. 3). Хирургическое лечение стандартным тыльным доступом до 3 см в поражённом межплюсневом промежутке выполняли три хирурга. При ревизии межплюсневого пространства проводили тщательный осмотр сосудисто-нервного пучка, межплюсневой связки и головок плюсневых костей. Период между проведением клинического осмотра, МРТ и хирургическим лечением составил не более 3 месяцев.
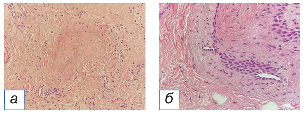
Рис. 3. Полученные гистологические препараты: фиброз межпальцевого нерва (а), утолщение эпиневрия и фиброз эпиневральных кровеносных сосудов (б).
Этическая экспертиза
Исследование одобрено этическим комитетом при ФГБУ «Федеральный научно-клинический центр специализированных видов медицинской помощи и медицинских технологий Федерального медико-биологического агентства». Протокол № 12_2022 (шифр 2_12_22) от 13 декабря 2022 года.
Статистический анализ
Все полученные данные заносились в стандартизированную таблицу Excel, обработка результатов проводилась по стандартным формулам расчёта чувствительности при помощи программы Statistica (США).
В качестве основных характеристик диагностической эффективности тестов и МРТ оценивали следующие показатели: чувствительность (отношение истинно положительных результатов к сумме истинно положительных и ложноотрицательных); для некоторых исследуемых параметров (специфичность, точность) невозможно было оценить все показатели ввиду ретроспективной модели исследования, а также специфики набора пациентов.
РЕЗУЛЬТАТЫ
Объекты (участники) исследования
Количество участников исследования: 8 (29%) мужчин, 20 (71%) женщин. Медиана возраста пациентов — 45 (от 25 до 59) лет. Средний индекс массы тела составил 25,2 (38,5–17,6).
Основные результаты исследования
У 10 пациентов наблюдалось правостороннее поражение, у 10 — левостороннее. Две невромы в одной стопе (с левой стороны) было у 2 пациентов. У 6 пациентов поражение подошвенного нерва наблюдалось в обеих стопах: у 1 — две невромы во II межплюсневом промежутке, у 4 — в III, у 1 — в IV.
Чувствительность МРТ-визуализации составила 86%. Исходя из предпочтений хирурга, исследование с использованием парамагнитных средств визуализации было проведено 4 пациентам, однако искомые невромы были хорошо видны и при нативном исследовании. Все полученные нами МР-последовательности были оценены врачом лучевой диагностики и травматологом-ортопедом. Не выявлено значимой корреляции между оценкой невромы на T1-, T2-взвешенных изображениях или FS (режим жироподавления), а также между размером невром, длительностью и тяжестью болевого синдрома. Чувствительность теста Малдера — 61%. Боль при тыльно-подошвенной компрессии непосредственно на поражённый межплюсневый промежуток определялась в 100% случаев.
Нежелательные явления
Ложноотрицательный результат наблюдался у 14% пациентов: у 1 обследуемого межплюсневый промежуток по результатам МРТ-диагностики был определён неправильно, ещё у 1 нашли одну неврому из двух.
ОБСУЖДЕНИЕ
Полученные нами результаты сопоставимы с показателями зарубежных и отечественных коллег. По данным литературы, женщины страдают невромой Мортона до 10 раз чаще, чем мужчины [15]. Patrick A. DeHeer и соавт. [29] в своём исследовании высказали гипотезу, что III межплюсневый промежуток чаще поражается у женщин, а II — у мужчин, и частота возникновения невром у обоих полов одинакова. Однако наше исследование показало другие результаты: у 8 пациентов мужского пола в 5 (62,5%) случаях неврома располагалась в III межплюсневом промежутке, у 2 (25%) — в IV, у 1 (12,5%) — во II, но на двух стопах.
На данный момент не существует патогномоничных тестов для диагностики межплюсневой невромы, ряд из них дают положительный результат и при других патологиях стопы [30]. Чувствительность щелчка Малдера, по данным ряда исследователей, варьирует от 40 до 98% [23, 26, 30, 31], поэтому для подтверждения диагноза и исключения других причин боли в передней части стопы, таких как артрит плюснефалангового сустава или межметатарзальный бурсит, может потребоваться визуализация. Рекомендации относительно рутинной визуализации невромы Мортона неясны: в диагностическом процессе для подтверждения диагноза могут иметь место МРТ и УЗИ, особенно в случае инъекции под контролем ультразвука [6, 24, 25]. В метаанализе B. Bignotti и соавт. [20] приводится оценка чувствительности относительно каждого из вышеупомянутых методов, которая составляет 90% для УЗИ и 91% для МРТ. При визуализации подошвенного нерва его нормальный диаметр составляет до 1 мм, что может вызвать существенные трудности при его визуализации на томографе, толщина срезов которого превышает 3 мм [31]. По разным данным, чувствительность МРТ в диагностике межпальцевой невромы варьирует от 84 до 100% [26, 30, 32]. Результаты нашего исследования сопоставимы с мнением зарубежных коллег — чувствительность МРТ исследования составила 86%. Дискутабельным остаётся вопрос о необходимости контрастного усиления при исследовании невромы межплюсневого промежутка. M.R. Terk и соавт. [33] пришли в своём исследовании к выводу, что контрастное усиление при визуализации является предпочтительным. На наш взгляд, это связано с тем, что исследование выполняли в 1993 году и ранее, когда возможности томографии были несопоставимы с сегодняшними [27, 33]. В нашем исследовании всего 2 пациентам выполняли контрастное усиление при МРТ, поэтому оценить его диагностическую значимость сложно.
Ограничения исследования
Ограничением нашего исследования явлется малая выборка пациентов. В связи с тем, что проблема дифференциальной диагностики невромы Мортона является предметом самостоятельного исследования, выходящего за рамки нашей работы, мы ограничились рассмотрением исключительно гистологически подтверждённых невром.
ЗАКЛЮЧЕНИЕ
Диагноз невромы межплюсневого промежутка — это, прежде всего, клинический диагноз. Непосредственная болезненность, изменение чувствительности в поражённых межпальцевых промежутках и положительный тест Малдера — это наиболее информативные клинические симптомы, которые, однако, не являются патогномоничными именно для невромы Мортона.
Несмотря на относительно высокую стоимость, мы продолжим рекомендовать рутинную визуализацию невромы при помощи МРТ, так как в сочетании с клиническими и анамнестическими данными метод даёт надёжный результат, позволяет точно определить поражённый межплюсневый промежуток, провести дифференциальную диагностику со стрессовыми переломами, бурситом, артрозом плюснефаланговых суставов, начальными проявлениями ревматоидного артрита, некрозом головки плюсневых костей, злокачественными и доброкачественными опухолями костей и мягких тканей.
ДОПОЛНИТЕЛЬНАЯ ИНФОРМАЦИЯ
Источник финансирования. Исследование и публикация статьи осуществлены на личные средства авторского коллектива.
Конфликт интересов. Авторы декларируют отсутствие явных и потенциальных конфликтов интересов, связанных с публикацией настоящей статьи.
Вклад авторов. Д.А. Большакова — разработка дизайна исследования, обзор публикаций по теме статьи, получение данных для статистического анализа, написание текста рукописи; А.А. Карданов, М.Н. Майсигов — лечение пациентов, утверждение концепции и дизайна исследования, корректировка рукописной части текста; Д.О. Ильин, А.А. Ахпашев — анализ и интерпретация полученных статистических данных; А.В. Королев — научное редактирование статьи. Авторы подтверждают соответствие своего авторства международным критериям ICMJE (все авторы внесли существенный вклад в разработку концепции, проведение исследования и подготовку статьи, прочли и одобрили финальную версию перед публикацией).
ADDITIONAL INFORMATION
Funding source. This study was not supported by any external sources of funding.
Competing interests. The authors declare that they have no competing interests.
Authors’ contribution. D.A. Bolshakova — study design development, review of publications on the topic of the article, obtaining data for statistical analysis, manuscript writing; A.A. Kardanov, M.N. Maysigov — treatment of patients, approval of the concept and design of the study, editing; D.O. Ilyin, A.А. Akhpashev — analysis and interpretation of the obtained statistical data; A.V. Korolev — manuscript editing. The authors made a substantial contribution to the conception of the work, acquisition, analysis of literature, drafting and revising the work, final approval of the version to be published and agree to be accountable for all aspects of the work.
About the authors
Daria A. Bolshakova
European Clinic of Sports Traumatology and Orthopaedics; Peoples' Friendship University of Russia
Author for correspondence.
Email: dasha.bolsh@gmail.com
ORCID iD: 0009-0003-3332-9267
Graduate Student
Russian Federation, Moscow; MoscowAndrey A. Kardanov
European Clinic of Sports Traumatology and Orthopaedics
Email: akardanov@emcmos.ru
ORCID iD: 0000-0003-2866-2295
SPIN-code: 5134-8123
MD, PhD
Russian Federation, MoscowMusa N. Maysigov
European Clinic of Sports Traumatology and Orthopaedics
Email: mmaysigov@emcmos.ru
ORCID iD: 0000-0002-2096-5876
MD, PhD
Russian Federation, MoscowAlexander А. Akhpashev
Federal Scientific and Clinical Center for Specialized Medical Assistance and Medical Technologies of the Federal Medical Biological Agency
Email: akhpashev@gmail.com
ORCID iD: 0000-0002-2938-5173
SPIN-code: 9965-1828
MD, PhD
Russian Federation, MoscowDmitriy O. Ilyin
European Clinic of Sports Traumatology and Orthopaedics; Peoples' Friendship University of Russia
Email: ilyinshoulder@gmail.com
ORCID iD: 0000-0003-2493-4601
SPIN-code: 7947-5121
MD, PhD, Assistant Professor
Russian Federation, Moscow; MoscowAndrey V. Korolev
European Clinic of Sports Traumatology and Orthopaedics; Peoples' Friendship University of Russia
Email: akorolev@emcmos.ru
ORCID iD: 0000-0002-8769-9963
SPIN-code: 6980-6109
MD, PhD, Professor
Russian Federation, Moscow; MoscowReferences
- Urits I, Smoots D, Franscioni H, et al. Injection techniques for common chronic pain conditions of the foot: A comprehensive review. Pain Ther. 2020;9(1):145–160. doi: 10.1007/s40122-020-00157-5
- Colò G, Rava A, Samaila EM, et al. The effectiveness of shoe modifications and orthotics in the conservative treatment of Civinini-Morton syndrome: State of art. Acta Bio Medica Atenei Parmensis. 2020;91(4S):60–68. doi: 10.23750/abm.v91i4-S.9713
- Latinovic R, Gulliford MC, Hughes RA. Incidence of common compressive neuropathies in primary care. J Neurol Neurosurg Psychiatry. 2006;77(2):263–265. doi: 10.1136/jnnp.2005.066696
- Menz HB, Dufour AB, Katz P, Hannan MT. Foot pain and pronated foot type are associated with self-reported mobility limitations in older adults: The framingham foot study. Gerontology. 2016;62(3):289–295. doi: 10.1159/000442089
- Siefkas AC, Dufour AB, Golightly YM, et al. Foot pain and inflammatory markers: A cross sectional study in older adults. J Foot Ankle Res. 2022;15(1):57. doi: 10.1186/s13047-022-00565-0
- Bhatia M, Thomson L. Morton’s neuroma: Current concepts review. J Clin Orthop Trauma. 2020;11(3):406–409. doi: 10.1016/j.jcot.2020.03.024
- Слиняков Л.Ю., Бобров Д.С., Ригин Н.В., и др. Основные принципы диагностики перегрузочной метатарзалгии в поликлинической практике // Кафедра травматологии и ортопедии. 2015. № 3. С. 21–24. [Slinyakov LYu, Bobrov DS, Rigin NV, et al. Basic principles of diagnosis of overload metatarsalgia in polyclinic practice. Kafedra travmatologii i ortopedii. 2015;(3):21–24. (In Russ).]
- Шайхутдинов И.И., Масгутов Р.Ф., Валеева Л.Р., Ягудин Р.Х. Неврома Мортона как причина болей в стопе: диагностика и тактика лечения // Практическая медицина. 2016. № 4-1. С. 182–186. [Shaikhutdinov II, Masgutov RF, Valeeva LR, Yagudin RKh. Morton’s neuroma as a cause of pain in the foot, diagnostics and methods of treatment. Practical Medicine. 2016;(4-1):182–186. (In Russ).]
- Albtoush OM, Xenitidis T, Horger M. Intermetatarsal bursitis as first disease manifestation in different rheumatological disorders and related MR-imaging findings. Rheumatol Int. 2019;39(12):2129–2136. doi: 10.1007/s00296-019-04381-x
- Angelini A, Bevoni R, Biz C, et al. Schwannoma of the foot: Report of four cases and literature review. Acta Biomed. 2019; 90(Suppl. 1):214–220. doi: 10.23750/abm.v90i1-S.8079 Andrea A. et al. Schwannoma of the foot: report of four cases and literature review // Acta Biomed. 2019. Vol. 90, № Suppl 1. P. 214–220.
- Malta JN, Martins J, Azenha A, Pereira PL. Diagnostic and therapeutic challenge of metatarsalgia in a patient with rheumatoid arthritis. Cureus. 2022;14(1):e21751. doi: 10.7759/cureus.21751
- Hulstaert T, Shahabpour M, Provyn S, et al. Forefoot pain in the lesser toes: Anatomical considerations and magnetic resonance imaging findings. Can Assoc Radiol J. 2019;70(4):408–415. doi: 10.1016/j.carj.2019.06.010
- Goud A, Khurana B, Chiodo C, Weissman BN. Women’s musculoskeletal foot conditions exacerbated by shoe wear: An imaging perspective. Am J Orthop (Belle Mead NJ). 2011;40(4):183–191.
- Hassouna H, Singh D. Morton’s metatarsalgia: Pathogenesis, aetiology and current management. Acta Orthop Belg. 2005;71(6):646–655.
- Jain S, Mannan K. The diagnosis and management of Morton’s neuroma: A literature review. Foot Ankle Spec. 2013;6(4): 307–317. doi: 10.1177/1938640013493464
- Larson EE, Barrett SL, Battiston B, et al. Accurate nomenclature for forefoot nerve entrapment: A historical perspective. J Am Podiatric Med Assoc. 2005;95(3):298–306. doi: 10.7547/0950298
- Thompson FM, Deland JT. Occurrence of two interdigital neuromas in one foot. Foot Ankle. 1993;14(1):15–17. doi: 10.1177/107110079301400103
- Valero J, Gallart J, González D, et al. Multiple interdigital neuromas: A retrospective study of 279 feet with 462 neuromas. J Foot Ankle Surg. 2015;54(3):320–322. doi: 10.1053/j.jfas.2014.05.011
- Ригин Н.В. Хирургическое лечение перегрузочной метатарзалгии при эластичных деформациях стоп: Автореф. дис. ... канд. мед. наук. Москва, 2020. 25 с. [Rigin NV. Surgical treatment of overload metatarsalgia in elastic deformities of the feet [dissertation abstract]. Moscow; 2020. 25 p. (In Russ).]
- Bignotti B, Signori A, Sormani MP, et al. Ultrasound versus magnetic resonance imaging for Morton neuroma: Systematic review and meta-analysis. Eur Radiol. 2015;25(8):2254–2262. doi: 10.1007/s00330-015-3633-3
- Lee MJ, Kim S, Huh YM, et al. Morton neuroma: Evaluated with ultrasonography and mr imaging. Korean J Radiol. 2007; 8(2):148–155. doi: 10.3348/kjr.2007.8.2.148
- Mak MS, Chowdhury R, Johnson R. Morton’s neuroma: Review of anatomy, pathomechanism, and imaging. Clin Radiol. 2021; 76(3):235.e15–235.e23. doi: 10.1016/j.crad.2020.10.006
- Mahadevan D, Venkatesan M, Bhatt R, Bhatia M. Diagnostic accuracy of clinical tests for Morton’s neuroma compared with ultrasonography. J Foot Ankle Surg. 2015;54(4):549–553. doi: 10.1053/j.jfas.2014.09.021
- Torres-Claramunt R, Ginés A, Pidemunt G, et al. MRI and ultrasonography in Morton’s neuroma: Diagnostic accuracy and correlation. Indian J Orthop. 2012;46(3):321–325. doi: 10.4103/0019-5413.96390
- Raouf T, Rogero R, McDonald E, et al. Value of preoperative imaging and intraoperative histopathology in Morton’s neuroma. Foot Ankle Int. 2019;40(9):1032–1036. doi: 10.1177/1071100719851121
- Claassen L, Bock K, Ettinger M, et al. Role of MRI in detection of Morton’s neuroma. Foot Ankle Int. 2014;35(10):1002–1005. doi: 10.1177/1071100714540888
- Murphey MD, Smith WS, Smith SE, et al. From the archives of the AFIP. Imaging of musculoskeletal neurogenic tumors: Radiologic-Pathologic correlation. Radiographics. 1999;19(5): 1253–1280. doi: 10.1148/radiographics.19.5.g99se101253
- Dakkak YJ, Niemantsverdriet E, van der Helm-van Mil AH, Reijnierse M. Increased frequency of intermetatarsal and submetatarsal bursitis in early rheumatoid arthritis: A large case-controlled MRI study. Arthritis Res Ther. 2020;22(1):277. doi: 10.1186/s13075-020-02359-w
- DeHeer PA, Nanrhe AR, Michael ShR et al. Gender Correlation to the Prevalence of Pedal Neuromas in Various Interspaces — A Retrospective Study. J Am Podiatr Med Assoc. 2020;(18):089. doi: 10.7547/18-089
- Owens R, Gougoulias N, Guthrie H, Sakellariou A. Morton’s neuroma: Clinical testing and imaging in 76 feet, compared to a control group. Foot Ankle Surg. 2011;17(3):197–200. doi: 10.1016/j.fas.2010.07.002
- Di Caprio F, Meringolo R, Eddine MS, Ponziani L. Morton’s interdigital neuroma of the foot. Foot Ankle Surg. 2018;24(2): 92–98. doi: 10.1016/j.fas.2017.01.007
- LiMarzi GM, Scherer KF, Richardson ML, et al. CT and MR imaging of the postoperative ankle and foot. RadioGraphics. 2016;36(6):1828–1848. doi: 10.1148/rg.2016160016
- Terk MR, Kwong PK, Suthar M, et al. Morton neuroma: Evaluation with MR imaging performed with contrast enhancement and fat suppression. Radiology. 1993;189(1):239–241. doi: 10.1148/radiology.189.1.8372200
Supplementary files





