Анатомия терминальных ветвей верхней прямокишечной артерии при выполнении селективной допплерконтролируемой дезартеризации геморроидальных узлов (HAL-RAR)
- Авторы: Давидович Д.Л.1, Филистеев П.А.2, Смирнов А.В.1, Буровский А.К.1, Соломка А.Я.1, Таривердиев А.М.1, Томашевский Г.С.1, Разбирин Д.В.1, Лощенов М.С.1
-
Учреждения:
- Федеральный научно-клинический центр специализированных видов медицинской помощи и медицинских технологий
- Центральная клиническая больница с поликлиникой Управления делами Президента Российской Федерации
- Выпуск: Том 14, № 4 (2023)
- Страницы: 26-33
- Раздел: Оригинальные исследования
- Статья получена: 04.08.2023
- Статья одобрена: 13.11.2023
- Статья опубликована: 28.01.2024
- URL: https://clinpractice.ru/clinpractice/article/view/568027
- DOI: https://doi.org/10.17816/clinpract568027
- ID: 568027
Цитировать
Аннотация
Обоснование. Единый стандарт проведения операций HAL-RAR отсутствует. Постоянные дискуссии вызывает вопрос о количестве терминальных ветвей верхней прямокишечной артерии, которые необходимо перевязать в подслизистом слое прямой кишки с целью осуществления адекватной дезартеризации геморроидальных узлов. Цель исследования — изучить анатомию ветвей верхней прямокишечной артерии и выработать рекомендации по оптимальному лигированию терминальных ветвей верхней прямокишечной артерии. Методы. Изучено 150 протоколов ранее выполненных операций. С целью дальнейшей объективизации наших результатов для исследования вариантной анатомии верхней прямокишечной артерии и её конечных ветвей в стенке прямой кишки были пересмотрены результаты компьютерных (КТ) и магнитно-резонансных (МРТ) томограмм 100 пациентов без патологических изменений прямой кишки и анального канала. Результаты. У 148 (98,7%) пациентов выявлено 6 терминальных ветвей, у 2 (1,3%) — 5 ветвей. Проанализированы также результаты лучевой диагностики 100 пациентов (60 МРТ и 40 КТ) без патологических изменений прямой кишки и анального канала. Во всех случаях определялось 6 терминальных ветвей верхней прямокишечной артерии, локализованных на 1, 3, 5, 7, 9 и 11 часах условного циферблата. При этом следует отметить большое количество выявленных анатомических вариантов ветвления верхней прямокишечной артерии и способа достижения стенки прямой кишки, на основании чего предложена классификация. Заключение. В подавляющем большинстве случаев имеется 6 терминальных ветвей верхней прямокишечной артерии, локализованных в нижнеампулярном отделе прямой кишки ориентировочно на 1, 3, 5, 7, 9 и 11 часах условного циферблата. Возможны различные варианты сосудистой анатомии проксимальных ветвей, но в непосредственном кровоснабжении геморроидальных узлов участвует 6 дистальных ветвей. В ходе выполнения селективной допплерконтролируемой дезартеризации геморроидальных узлов целесообразной является перевязка 6 артериальных сосудов.
Ключевые слова
Полный текст
ОБОСНОВАНИЕ
Селективная допплерконтролируемая дезартеризация геморроидальных узлов с лифтингом слизистой оболочки (операция HAL-RAR от англ. Hemorrhoidal Arteries Ligation Recto Anal Repair) прочно заняла свою нишу в сфере малоинвазивного лечения геморроидальной болезни. На протяжении последних лет накоплен значительный опыт таких операций, определены показания и изучены возможные осложнения. Вместе с тем на сегодняшний день не существует единого стандарта в методике выполнения данного вмешательства. Используется оборудование разных производителей, имеющее существенные технологические отличия, а сама техника выполнения лигирования артерий и лифтинга слизистой крайне вариабельна у отдельных хирургов. Дискуссии вызывает вопрос о количестве терминальных ветвей верхней прямокишечной артерии, которые необходимо перевязать в подслизистом слое в проекции нижнеампулярного отдела прямой кишки с целью осуществления адекватной дезартеризации геморроидальных узлов.
Цель исследования — изучить вариантную анатомию терминальных ветвей верхней прямокишечной артерии по данным компьютерных (КТ) и магнитно-резонансных томографических (МРТ) исследований для разработки оптимальной техники дезартеризации геморроидальных узлов.
МЕТОДЫ
Дизайн исследования
Ретроспективное когортное.
Критерии соответствия
Критерии включения: пациенты с геморроидальной болезнью, которым в 2018–2022 годах выполнялась селективная допплерконтролируемая дезартеризация геморроидальных узлов (HAL-RAR); пациенты с отсутствием органической патологии прямой кишки и анального канала, которым со скрининговой целью было выполнено КТ или МРТ малого таза.
Критерии невключения: пациенты, ранее перенесшие геморроидэктомию по Миллигану-Моргану.
Критерии исключения: техническая непригодность для интерпретации полученных медицинских изображений.
Условия проведения
Исследование проведено на базе колопроктологического отделения Федерального научно-клинического центра специализированных видов медицинской помощи и медицинских технологий Федерального медико-биологического агентства России (ФНКЦ ФМБА) в 2018–2022 годах.
Описание медицинского вмешательства
Методика селективной допплерконтролируемой дезартеризации геморроидальных узлов (HAL-RAR)
Оперативные вмешательства проводились на аппарате HAL Doppler 2 (AMI, Австрия) с оригинальными датчиками AMI RAR Flexi Probe 2081 под локально-региональной анестезией (параректальный, пресакральный и пудендальный блок 0,5% раствором ропивакаина, Наропин) в комбинации с внутривенной седацией. После интраоперационной ревизии анального канала и нижнеампулярного отдела операционный допплер-проктоскоп с нанесённым гелем Катежель вводили в прямую кишку. Далее выполняли последовательную локацию проекций геморроидальных артерий на 1, 3, 5, 7, 9 и 11 часах условного циферблата на высоте от 2 до 7 см от зубчатой линии. Лигирование геморроидальных артерий проводили последовательно, как правило, по часовой стрелке, швами Polysorb Covidien 2/0 на атравматической игле 5/8 окружности. При этом прошивание выполняли восьмиобразным швом с двумя стежками. В случае пролабирования и дополнительной мобильности слизистой и внутренних геморроидальных узлов выполняли лифтинг слизистой «сбаривающими» швами в форме пирамиды — 1-й ряд — 1 шов, 2-й ряд — 2 шва, 3-й ряд — 3 шва; лифтинг обязательно заканчивался на высоте выше 1,0 см от зубчатой линии. В случае отсутствия выраженного пролабирования слизистой сосуд дополнительно лигировали вторым 8-образным швом, расположенным дистальнее. Выполняли тщательный контроль гемостаза и контрольную допплерометрию; артериальная пульсация ниже уровня лигирования артерий не определялась ни в одном случае. При извлечении аппарата анус полностью смыкался. Снаружи фиксировали послеоперационную повязку.
В послеоперационном периоде проводили консервативную анальгетическую и противовоспалительную терапию, местное лечение. Антибактериальную терапию назначали лишь в исключительных случаях. После операции выполняли раннюю активизацию пациентов. Полноценное питание возобновлялось сразу после оперативного вмешательства. В большинстве случаев пациенты покидали лечебное учреждение вечером в день операции или на следующее утро. Контрольный осмотр проводили через 7–8 дней и через 1,5–2 месяца после вмешательства, при этом первый стул у пациентов, как правило, не вызывал выраженного дискомфорта, что является несомненным преимуществом данного метода, не сопровождающегося травматизацией тканей анального канала.
С целью дальнейшей объективизации наших результатов мы провели анатомическое исследование с использованием уже имеющегося у нас архива КТ и МРТ исследований анального канала с контрастным усилением. С целью изучения именно нормальной анатомии критерием исключения являлось наличие органической патологии в анальном канале, что могло существенно поменять анатомические ориентиры.
Для исследования вариантной анатомии верхней прямокишечной артерии и её конечных ветвей в стенке прямой кишки в норме были использованы методы лучевой диагностики, а именно КТ и МРТ области малого таза с внутривенным контрастным усилением. Всего было проанализировано 100 различных случаев: 60 МРТ и 40 КТ.
Специальные новые исследования для визуализации анатомии не выполняли, оценка проходила ретроспективно на основании ранее произведённых исследований, выполненных с целью скрининга (онкопоиск, check up).
МРТ-исследования выполняли на МР-томографе GE Signa Pioneer 3 Тесла. Для анализа вариантной анатомии деления верхней прямокишечной артерии и оценки артерии прямой кишки использовали артериальные фазы после внутривенного введения контрастного вещества (Гадобутрол 7,5 мл). В качестве последовательности применяли мультифазный протокол на основе LAVA Flex1.
КТ-исследования выполняли на КТ-томографе GE Revolution HD 128. Для оценки верхней прямокишечной артерии выбирали артериальную фазу стандартного трёхфазного протокола контрастирования.
Следует отметить, что нормальная визуализация верхней прямокишечной артерии и особенно ветвей достигнута в 20% КТ-исследований (8 пациентов). На МРТ 75% исследований (45 больных) были пригодны для анализа верхней прямокишечной артерии и ветвей, что связано с более высоким пространственным разрешением МР-изображений по сравнению с КТ, а также особенностями контрастирования (на МРТ количество фаз сканирования составляло от 9 до 11, благодаря чему чаще удавалось подбирать серию изображений с качественным контрастированием ветвей верхней прямокишечной артерии).
Исходы исследования
В настоящем исследовании не ставилась задача клинической оценки непосредственных и отдалённых результатов лечения, нашей целью было определение вариантной анатомии ветвей верхней прямокишечной артерии. Мы представили данные о продолжительности операции при полноценной дезартеризации всех 6 артерий. Предоставление клинических характеристик и отдалённых результатов не входит в задачи настоящего исследования.
Этическая экспертиза
Настоящее исследование одобрено локальным этическим комитетом ФГБУ ФНКЦ ФМБА России (протокол № 9 от 25.10.2022).
Статистический анализ
Результаты исследования представлены в виде непараметрических данных с указанием медианного значения и межквартильного размаха.
РЕЗУЛЬТАТЫ
Объекты (участники) исследования
В исследование включены 150 больных геморроидальной болезнью, которым в 2018–2022 годах выполнялась селективная допплерконтролируемая дезартеризация геморроидальных узлов (HAL-RAR), и 100 человек с отсутствием органической патологии прямой кишки и анального канала, но которым со скрининговой целью было выполнено КТ или МРТ малого таза.
Основные результаты исследования
Продолжительность операции составила 30,5 [15; 55] минут. У 148 (98,7%) пациентов выявлено 6 терминальных ветвей, у 2 (1,33) — 5 ветвей, при этом у данных пациентов ранее были выполнены оперативные вмешательства с иссечением единичных геморроидальных узлов (рис. 1).
Рис. 1. Число и локализация геморроидальных артерий у 4 пациентов: пример данных, предоставляемых аппаратом HAL-Doppler 2.
Глубина расположения сосудов, по данным ультразвуковой допплер-локации, на 1 условном часе составила 3,94 мм [2, 98; 4, 97], на 3 часах — 3,83 мм [2, 7; 5, 34], на 5 часах — 4,0 мм [3, 0; 5, 55], на 7 часах — 4,06 мм [3, 1; 5, 2], на 9 часах — 4,0 мм [2, 1; 5, 4], на 11 часах — 3,88 мм [2, 82; 4, 96].
У всех пациентов выполнено лигирование всех 6 выявленных терминальных ветвей посредством полифиламентного рассасывающегося шовного материала Polysorb 2/0 иглой 5/8 окружности.
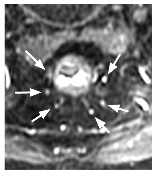
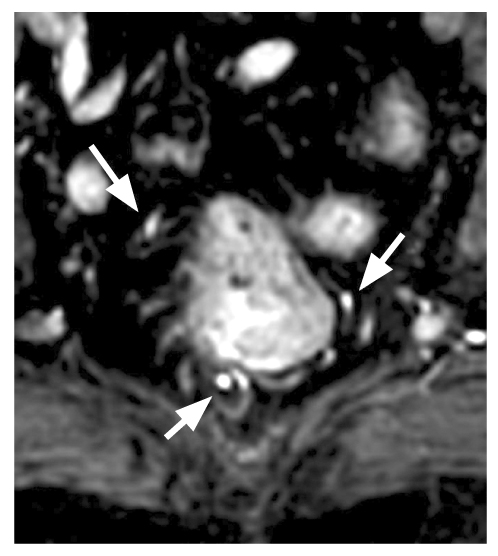
Во всех случаях, пригодных для интерпретации, определялось по 6 терминальных ветвей верхней прямокишечной артерии, локализованных на 1, 3, 5, 7, 9 и 11 часах условного циферблата (рис. 2). Следует отметить большое (7) число выявленных анатомических вариантов ветвления верхней прямокишечной артерии и способа достижения стенки прямой кишки (рис. 3, табл. 1). При этом на классический вариант ветвления верхней прямокишечной артерии на 3 ветви с последующей бифуркацией каждой приходилось 54% случая (на рис. 3 это, соответственно, 1, 5 и 6-й варианты); рис. 4, 5.
Рис. 2. Магнитно-резонансная томография: визуализировано 6 терминальных ветвей верхней прямокишечной артерии, локализованных на 1, 3, 5, 7, 9 и 11 часах условного циферблата.
Рис. 3. Варианты деления верхней прямокишечной артерии.
Таблица 1 / Table 1
Вариантная анатомия деления верхней прямокишечной артерии / Variant anatomy of the superior rectal artery division
Название типа вариантной анатомии деления верхней прямокишечной артерии и перфорации стенки прямой кишки | Номер варианта | Частота, % |
Классический (2-2-2) | 1 | 34 |
2 ветви с трифуркацией (3-3) | 2 | 34 |
Сосудистая аркада (1-5) | 3 | 2 |
Рассыпной (1-1-1-1-1-1) | 4 | 6 |
Вариант классического типа с отдельным стволом на 1 часе условного циферблата (2-3-1) | 5 | 14 |
Вариант классического типа с гипоплазией парной ветви (2-2-2 г) | 6 | 6 |
2 бифуркации + 2 отдельных ствола (2-2-1-1) | 7 | 4 |
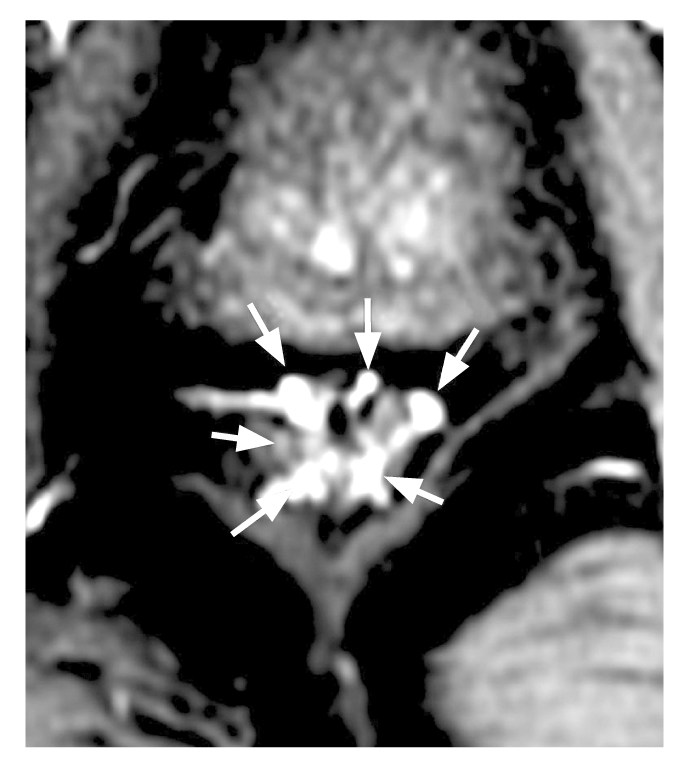
Рис. 4. Три ветви верхней прямокишечной артерии в момент отхождения (стрелки). Классический (1-й тип) анатомии верхней прямокишечной артерии.
Рис. 5. Три ветви верхней прямокишечной артерии до бифуркации (стрелки). Классический (1-й тип) анатомии верхней прямокишечной артерии.
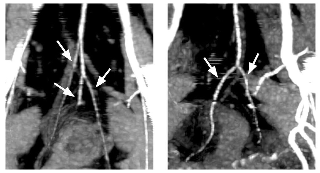
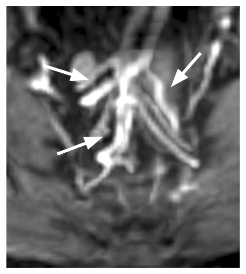
Следует отметить, что в 1/3 (34%) случаев определялось по 2 ветви верхней прямокишечной артерии с последующей трифуркацией, причём задние ветви отходили в виде дуг к задней стенке кишки на 5 и 7 часах условного циферблата — вариант 2. На рис. 6 изображены первый и второй варианты. Так же редко, всего в 2 наблюдениях, отмечалась сосудистая аркада в виде дуги, питающая почти всю окружность кишки по типу кровоснабжения тонкого кишечника — вариант 3 (рис. 7). Чуть более часто, в 6 случаях, наблюдался рассыпной тип с одновременным или последовательным отхождением от верхней прямокишечной артерии 6 отдельных ветвей к стенке кишки — вариант 4 (рис. 8). В 4% случаев наблюдалось по 4 ветви верхней прямокишечной артерии, 2 из которых формировали бифуркации, а 2 шли отдельно — вариант 7.
Рис. 6. Трифуркация верхней прямокишечной артерии слева и бифуркация верхней прямокишечной артерии справа (стрелки). Реконструкция компьютерной томографии.
Рис. 7. Артериальная аркада стенки прямой кишки: MIP-реконструкция магнитно-резонансной томографии.
Рис. 8. Шесть терминальных ветвей верхней прямокишечной артерии до погружения в стенку кишки.
Варианты 5 и 6, вероятно, следует объединять с первым типом, так как изначально идут 3 ветви верхней прямокишечной артерии, которые в дальнейшем имеют свои особенности (гипоплазию или трифуркацию и отдельный ствол на 1 часе условного циферблата вместо 2 бифуркаций — 3-1 вместо 2-2).
ОБСУЖДЕНИЕ
HAL-RAR направлена на уменьшение притока крови к геморроидальным узлам, поэтому критически важна полноценность дезартеризации. Систематический обзор P.H. Pucher и соавт. [1], включивший 2904 пациента, показал частоту рецидивов от 3 до 60%. Такой разброс может быть объяснён отсутствием стандартизации операции [2]. В литературе техника дезартеризации показала значительную вариабельность, вероятно, по таким причинам, как различия в применяемых устройствах, наличие или отсутствие мукопексии, количество наложенных лигатур и тип используемого шва. Чтобы улучшить результаты, необходима стандартизация операции.
Традиционно считалось, что существует всего три геморроидальные артерии, которые находятся в положении на 3, 7 и 11 часах. Наш суммарный опыт выполнения операций HAL-RAR значительно превышает 1000. Выполняя вмешательства под объективным контролем ультразвуковой допплерометрии, мы постоянно убеждались, что в подавляющем большинстве случаев имеется 6 терминальных ветвей верхней прямокишечной артерии, расположенных ориентировочно на 1, 3, 5, 7, 9 и 11 часах условного циферблата. По нашему мнению, необходимо выполнять лигирование всех сосудов, в противном случае перераспределение кровотока с высокой долей вероятности может привести к рецидиву патологического процесса в новых локациях.
Нами найдено всего несколько исследований, посвящённых вопросу вариантной анатомии геморроидальных артерий, т.е. литературный поиск продемонстрировал недостаточную изученность данного вопроса. Так, в исследовании E.L. Toh и соавт. [3] 75/140 (53,6%) пациентов имели по 4 геморроидальных артерии, причём «четвёртая» артерия постоянно находилась в левом переднем положении на 1 час; 52 (37,1%) пациента имели классический вариант анатомии (3 артерии с типичным расположением); у 13 (9,3%) было по 1, 2, 5 или 6 артерий. В исследовании G.W. Kolbert и соавт. [4], включившем 45 пациентов — похожие результаты. У 67% больных удалось обнаружить четвёртый, у 16% — пятый и у 13% — шестой сосуд. Экспериментальное исследование J.P. Schuurman и соавт. [5] десяти человеческих трупов показало, что верхняя прямокишечная артерия делится на 3–5 больших ветвей, каждая из которых даёт ещё 5–7 ветвей, проникающих в стенку кишки. В исследовании A. Parello и соавт. [6] также отмечается, что в ходе HAL-RAR в большинстве случаев обнаруживается по 6 ветвей верхней прямокишечной артерии.
Нами найдено лишь крайне ограниченное число литературных источников, посвящённых артериальной анатомии при геморроидальной болезни в аспекте применения методики HAL-RAR, при этом классификации возможных анатомических вариантов не приведено ни в одном источнике. На наш взгляд, данный аспект крайне важен при стандартизации операции, поскольку эффективность лигирования всех терминальных ветвей верхней прямокишечной артерии напрямую влияет на частоту послеоперационных рецидивов.
В настоящей работе впервые представлена анатомическая классификация вариантов деления верхней прямокишечной артерии в аспекте применения методики HAL-RAR.
Ограничения исследования
Ретроспективный характер исследования; вариабельность методов детекции анатомии терминальных ветвей верхней прямокишечной артерии (КТ, МРТ, допплерография).
ЗАКЛЮЧЕНИЕ
По результатам исследования установлено, что в подавляющем большинстве случаев имеется 6 терминальных ветвей верхней прямокишечной артерии, локализованных в нижнеампулярном отделе прямой кишки ориентировочно на 1, 3, 5, 7, 9 и 11 часах условного циферблата. Возможны различные варианты сосудистой анатомии более проксимальных ветвей, но в непосредственном кровоснабжении геморроидальных узлов участвует 6 дистальных ветвей. Соответственно, в ходе выполнения селективной допплерконтролируемой дезартеризации геморроидальных узлов целесообразными являются поиск и перевязка 6 артериальных сосудов.
ДОПОЛНИТЕЛЬНАЯ ИНФОРМАЦИЯ
Источник финансирования. Исследование и публикация статьи осуществлены на личные средства авторского коллектива.
Конфликт интересов. Авторы заявляют об отсутствии внешнего финансирования при проведении исследования.
Вклад авторов. Д.Л. Давидович, П.А. Филистеев, А.К. Буровский, А.Я. Соломка, А.М. Таривердиев, Г.С. Томашевский, Д.В. Разбирин, М.С. Лощенов — обработка и обсуждение результатов исследования, написание текста статьи; А.В. Смирнов — поисково-аналитическая работа, обсуждение результатов исследования, написание текста статьи; Д.Л. Давидович — руководство лечением пациентов и обсуждение результатов исследования. Авторы подтверждают соответствие своего авторства международным критериям ICMJE (все авторы внесли существенный вклад в разработку концепции, проведение исследования и подготовку статьи, прочли и одобрили финальную версию перед публикацией).
1 LAVA Flex представляет собой метод трёхмерной визуализации с последовательностью FSPGR, который позволяет получать изображения только воды, только жировой ткани в фазе и противофазе за один раз и за одну задержку дыхания. Данный метод визуализации обеспечивает превосходное однородное подавление сигнала от жировой ткани по всему полю обзора, включая области, для которых визуализация с использованием традиционных функций жироподавления затруднена из-за эффекта магнитной восприимчивости.
Об авторах
Денис Леонидович Давидович
Федеральный научно-клинический центр специализированных видов медицинской помощи и медицинских технологий
Автор, ответственный за переписку.
Email: denisdavidovich@mail.ru
ORCID iD: 0000-0002-2406-037X
к.м.н.
Россия, МоскваПавел Анатольевич Филистеев
Центральная клиническая больница с поликлиникой Управления делами Президента Российской Федерации
Email: pavel.filisteev@mail.ru
ORCID iD: 0009-0008-1024-9922
SPIN-код: 6461-8861
Россия, Москва
Александр Вячеславович Смирнов
Федеральный научно-клинический центр специализированных видов медицинской помощи и медицинских технологий
Email: alvsmirnov@mail.ru
ORCID iD: 0000-0003-3897-8306
SPIN-код: 5619-1151
к.м.н.
Россия, МоскваАндрей Константинович Буровский
Федеральный научно-клинический центр специализированных видов медицинской помощи и медицинских технологий
Email: Drun-bur@mail.ru
ORCID iD: 0000-0003-4225-8635
Россия, Москва
Александр Ясонович Соломка
Федеральный научно-клинический центр специализированных видов медицинской помощи и медицинских технологий
Email: dr.solomkaa@gmail.com
ORCID iD: 0000-0001-9515-6371
Россия, Москва
Андрей Михайлович Таривердиев
Федеральный научно-клинический центр специализированных видов медицинской помощи и медицинских технологий
Email: a.tariverdiev@surgeons.ru
ORCID iD: 0009-0009-2038-7293
Россия, Москва
Герман Сергеевич Томашевский
Федеральный научно-клинический центр специализированных видов медицинской помощи и медицинских технологий
Email: german.tomash@mail.ru
ORCID iD: 0000-0002-1108-0443
Россия, Москва
Дмитрий Владимирович Разбирин
Федеральный научно-клинический центр специализированных видов медицинской помощи и медицинских технологий
Email: razbirin@gmail.com
ORCID iD: 0000-0002-2644-6153
Россия, Москва
Максим Сергеевич Лощенов
Федеральный научно-клинический центр специализированных видов медицинской помощи и медицинских технологий
Email: m.s.loschenov@yandex.ru
ORCID iD: 0009-0005-0952-6003
Россия, Москва
Список литературы
- Pucher PH, Sodergren MH, Lord AC, et al. Clinical outcome following Doppler-guided haemorrhoidal artery ligation: A systematic review. Colorectal Dis. 2013;15(6):e284–294. doi: 10.1111/codi.12205
- Шелыгин Ю.А., Фролов С.А., Титов А.Ю., и др. Клинические рекомендации ассоциации колопроктологов России по диагностике и лечению геморроя // Колопроктология. 2019. Т. 18, № 1. С. 7–38. [Shelygin YuA, Frolov SA, Titov AYu, et al. The Russian Association of Coloproctology Clinical Guidelines for the diagnosis and treatment of hemorrhoids. Koloproktologia. 2019;18(1): 7–38. (In Russ).] doi: 10.33878/2073-7556-2019-18-1-7-38
- Toh EL, Ng KH, Eu KW. The fourth branch of the superior rectal artery and its significance in transanal haemorrhoidal dearterialisation. Tech Coloproctol. 2010;14(4):345–348. doi: 10.1007/s10151-010-0645-5
- Kolbert GW, Raulf F. [Evaluation of Longo’s technique for haemorrhoidectomy by doppler ultrasound measurement of the superior rectal artery. (In German)]. Zentralbl Chir. 2002; 127(1):19–21. doi: 10.1055/s-2002-21566
- Schuurman JP, Go PM, Bleys RL. Anatomical branches of the superior rectal artery in the distal rectum. Colorectal Dis. 2009; 11(9):967–971. doi: 10.1111/j.1463-1318.2008.01729.x
- Parello A, Litta F, De Simone V, et al. Haemorrhoidal haemodynamic changes in patients with haemorrhoids treated using Doppler-guided dearterialization. BJS Open. 2021;5(2): zrab012. doi: 10.1093/bjsopen/zrab012
Дополнительные файлы











