Clinical case of a new method for the operative treatment of a reversible fracture of a Hill–Sachs
- Authors: Tichonenkov S.N.1, Lebedev A.Y.1, Dubrovin G.M.1
-
Affiliations:
- Kursk State Medical University
- Issue: Vol 15, No 3 (2024)
- Pages: 126-132
- Section: Case reports
- Submitted: 29.11.2023
- Accepted: 13.05.2024
- Published: 02.11.2024
- URL: https://clinpractice.ru/clinpractice/article/view/624041
- DOI: https://doi.org/10.17816/clinpract624041
- ID: 624041
Cite item
Abstract
BACKGROUND: The posterior dislocation of the humerus head occurs up to 4.5% of all cases of dislocated humerus. Low prevalence and difficulties in diagnosing this type of injury often lead to the formation of old shoulder dislocations. Old cases of back dislocation of the humerus head, especially with reversible bone defects, are accompanied by limitations of movement in the shoulder joint, expressed by pain syndrome. The presence of bone defects in the head of the humerus makes it necessary to replace the latter with bone or soft tissue structures, in surgical practice tendons of the subcutaneous and sub-carpal muscles are most often used. In old cases, scar post-traumatic rebirth is often impossible.
CLINICAL CASE DESCRIPTION: The article presents a new method of operative treatment of the old clutch, in the framework of which the use of a new method of operative treatment of the reversal fracture of Hill-Sachs with a long-term stuck back dislocation of the shoulder is considered. The main goal, which is the operative treatment of reversible osteochondral defect up to 25% of the area of the humerus head, due to the deficiency of bone mass of the shoulder head. By moving the corrugated tendon of the long head of the bicep to the impaction zone and fixing it with anchor clamps in the defect zone, resulting in the stabilization of the shoulder joint.
CONCLUSION: The outcome of this clinical case is restoration of the function of the shoulder joint and absence of clinical symptoms of instability in it in the late postoperative period. The use of the proposed method of operative treatment makes it possible to reduce the risks of developing postoperative restriction of movements in the joint, instability of the head of the humerus bone, especially in the long-term cases of dislocation of the head of the humerus.
Full Text
BACKGROUND
The posterior shoulder dislocation occurs in 2–4.5% of the cases of traumatic shoulder dislocations [1–3]. In 70% of the cases, the posterior shoulder dislocation is combined with a reverse osteochondral defect in the humeral head, known as the reverse Hill-Sachs fracture [1–3]. As a result of applying excessive traumatic force during the posterior shoulder dislocation, the soft-tissue structures, stabilizing the shoulder joint, are subject to damage, thus, due to the humeral head affecting the posterior margin of the articular surface of the scapula upon the internal rotation of the shoulder /abduction, an impression forms at the anterior-medial segments of the humeral head.
According to results shown by the Russian researches [3, 4], there exist the engaging and the non-engaging variants of the Hill-Sachs lesion, proposed by S. Burkhart and J. de Beer. Upon the engaged types of lesion, the axis of the posterior margin of the articular surface of the scapula coincides with the impression vector in the humeral head and the defect imitates the “hooking” of the posterior-inferior margin of the articular surface of the scapula. On the contrary, in cases of non-engaging lesions, the axis of the posterior margin does not match with the impression vector and the defect is not “hooking” the margin of the articular surface of the scapula [3, 4].
Unlike the true Hill-Sachs lesion, the reverse defects are usually not accompanied by significant loss of the bone tissue mass in the humeral head. For the reason that such lesions rarely occur, they have not been described in such a detailed manner as the true engaged Hill-Sachs lesion [1–4].
In the primary diagnostics of such a condition, there is a number of difficulties, the main of which is the delayed diagnostics of the posterior dislocation, reaching up to 80% of the cases [3, 5], which is caused by incorrect radio-diagnostics or by the insufficient experience of the Orthopedic Traumatologist. The incorrect evaluation of the lesion type in the shoulder joint disorients the Orthopedic Traumatologist and results in possible mistakes in the further treatment tactics [3, 5, 6].
In order to stabilize the shoulder joint, except for case of reconstructing the structures, providing the joint stabilization, a number of authors recommend compensating the deficit of the bone tissue [3, 5]. As of today, various methods exist that are being used for surgical treatment of the impressed reverse Hill-Sachs fracture, with the methods being directed to replenishing the deficit of the bone mass in the humeral head. Three stages were established for the osteochondral defect of the humeral head depending on the deficit of its bone mass: the minor one — less than 20%, the medium — from 20 to 45%, and the major one — more than 45% of bone mass loss [6]. In case of the minor osteochondral defect in the humeral head, McLaughlin’s surgery is commonly used. The essence of the surgery is that the humeral head is being openly repositioned and the impression zone is being filled with the musculotendinous part of the subscapular muscle tendon.
Many of the surgical methods aimed for stabilizing the shoulder joint, not always achieve the desired result, which is why they are still a subject for discussions. The search for effective surgical methods for stabilizing the shoulder joint in cases of reverse Hill-Sachs lesion is still showing its topicality.
We are presenting a clinical case of successful surgical treatment in a patient with a long-standing engaged shoulder dislocation and with a reverse Hill-Sachs fracture (the defect of the humeral head was 25% of the articular surface of the humeral head) using a novel method of surgical treatment.
CLINICAL EXAMPLE
Information about the patient
The male patient В., aged 60, was admitted to the clinics on 14.10.2020 with the complaints of pain in the left shoulder joint and limited motility in it.
Disease history data. The left shoulder joint trauma was inflicted by an episode of falling from a bicycle on his own left arm being extended. Having the complaints of pain in the left shoulder joint and significant restriction of motion amplitude, the patient has visited the Trauma Care facility, where (after the radiology and clinical examination), the diagnosis set was the “Bruise of the left shoulder joint”. The procedures performed included the limb immobilization using scarf bandage and administering the pain medication. Within the next two weeks, the pain syndrome did not resolve, the patient was experiencing significant restriction in the functions of the shoulder joint. Upon repeated visit, the patient again underwent immobilization of the upper limb. Only in 5 weeks the patient has referred to the clinical hospital.
Physical diagnostics
Upon the clinical examination, the findings were the following: the left arm is hanging along the trunk at the internal rotation position. Moderate hypotrophy was found in the left deltoid muscle. No deformation was found in the joint, but the palpation reveals some degree of depression along the anterior surface. The palpation of the joint is painless. Passive abduction and flexing in the shoulder — up to 60°, painful. The active abduction is impossible, flexing — up to 45°. The results of using the spiral computed tomography have revealed a defect in the anterior-medial surface of the humeral head; the area of the impression (into the spongy part of the bone) is 25% of the area of the humeral head, while the inclination angle (the misalignment between the vertical plane and the scapular body axis) is 60°.
Provisional diagnosis
Based on the data from the clinical-instrumental examination, the diagnosis set was the following: “Long-standing engaged posterior dislocation of the humeral head, reverse Hill-Sachs fracture (osteochondral lesion in the anterior segment of the humeral head with an impression defect in the bone tissue with a defect area of 25% of the articular surface of the humeral head)”; Fig. 1.
Fig. 1. X-Ray of the shoulder joint of patient (direct projection) before surgery.
Treatment
At the pre-operation planning phase, as a result of long-term history of humeral head dislocation (5 weeks) and the presence of a minor osteochondral defect in the humeral head (the humeral head defect area is 25% of the articular surface of the humeral head), performing the following surgical intervention was planned: open-access repositioning of the humeral head with filling the defect with the tendon of the subscapular muscle (McLaughlin’s surgery).
Surgery performed on 16.10.2020. Within the settings of the endotracheal (intubation) anesthesia, the deltoid-pectoral access was used to open the left shoulder joint. Mobilization of the shoulder joint was carried out by means of dissecting the scars in the articular cavity, the head of the humeral bone was set free. Upon the revision, the humeral head is located at the backward position, engaging the posterior margin of the articular surface of the scapula (Fig. 2). Other findings included an osteochondral defect in the anterior area of the humeral head. The impression area of the humeral head is located medially from the minor tubercle and has an area of 0.5×1 cm with the depth of up to 0.5 cm. The humeral head defect in the anterior-upper part represents an impression fracture, the volume of which is 2.8 cm3. Using the surgical elevator, the dislocation of the humeral head was repositioned with further preparing a bed for filling the defect area (French — remplissage — filling the defect) using the subscapular muscle tendon (Fig. 3). However, the attempts of remplissage with submerging the cicatricially deformed tendon of the subscapular muscle into the defect area were unsuccessful. The intraoperative decision was to transfer the tendon of the long head of the biceps muscle into the impression zone at the humeral head for filling the bone mass volume in the humeral head. Further procedures included the fixation of the tendon in the defect zone using two anchor screws (Fig. 4). For this purpose, the tendon of the long head of the biceps muscle was transferred to the impression zone. The proximal part of the tendon of the long head of the biceps muscle, originating from its attachment point, was tensioned and fixated near the upper pole of the impression using anchor fixation devices. The distal part of the tendon of the long head of the biceps muscle was tensioned in the opposite direction and also fixated using anchor fixation devices near the lower pole of the defect. With this, the impression zone had a corrugated tendon adjacent to it, which was filling the defect in the humeral head (Fig. 5). No further dislocation or semiluxation was observed when the humeral head was positioned at the critical points.
Fig. 2. Schematic representation of the horizontal section of the shoulder joint with a posterior dislocation of the shoulder with a Hill-Sachs defect hooked over the posterior edge of the glenoid.
Fig. 3. Schematic representation of the horizontal section of the shoulder joint after reduction of the posterior dislocation of the shoulder.
Fig. 4. Schematic representation of the horizontal section of the shoulder joint after filling the defect of the humerus head with a corrugated tendon with the length of the biceps head.
Fig. 5. Schematic representation of the vertical section of the shoulder joint after filling the defect of the shoulder head with a corrugated tendon of the long biceps head.
Dynamic changes and outcomes
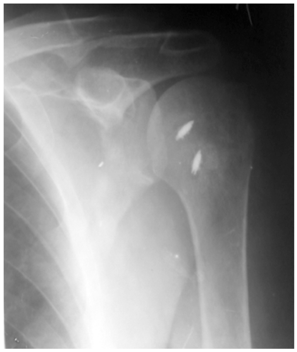
The postoperative period was showing no abnormalities; the limb was immobilized with the scarf bandage. The control radiology images show the correct positioning of the humeral head within the shoulder joint, with the humeral head projection zone showing the presence of two anchor fixation devices (Fig. 6). The immobilization with scarf bandage was used for 3 weeks with further restoring the mobility in the shoulder joint.
Fig. 6. X-Ray of the shoulder joint of patient (direct projection) after surgery.
When analyzing the results of the surgical method proposed, the evaluation included such criteria as the presence of clinical symptoms of shoulder joint instability, the severity of the pain syndrome when moving the shoulder and the amplitude of active and passive movements in the shoulder joint. As a result of surgical treatment, we have managed to completely restore the functioning of the shoulder joint. The complete amplitude of active and passive movements in the shoulder joint has restored in 5 weeks.
Prognosis
The patient has reported a good treatment result and he could re-gain the previous level of physical activity. The analysis of the obtained results performed 3 years after surgery, has demonstrated the absence of clinical symptoms indicating shoulder joint instability, as well as the absence of pain syndrome when moving the limb, no restriction was found in terms of active and passive movements in the shoulder joint, no sense of joint instability was reported by the patient (Fig. 7).
Fig. 7. Appearance of patient, 3 years after surgery (а); X-Ray of the shoulder joint of patient, direct projection (b).
DISCUSSION
The McLaughlin surgery (modified by Neer) is being used in cases of medium degree osteochondral defects of the humeral head. The principle of the surgery includes submerging the subscapular muscle into the defect zone in the minor tubercle along with its tendon. The benefit of the said surgery comparing to other surgical techniques is the more massive and complete filling of the defect in the humeral head [7]. P.G. Kogan et al. [8] use the method of humeral head osteochondral defect plasty using the bone cement. The essence of the method is that, in order to compensate the deficit in the humeral head, bone cement should be used along with screw reinforcement, with the bone cement being used to form the head surface. Bone replacement surgeries are used in cases of the humeral head osteochondral defects having an area of 30–50% [3, 4]. The methods of using the free bone autotransplant or the allograft, as well as the reverse endoprosthesis replacement of the shoulder joint — all of the these are used when filling the large osteochondral defects in the humeral head [4].
The surgical tactics of treating the patients with reverse Hill-Sachs lesion is still disputable and depends both on the bone mass deficit in the humeral head and on the level of activity observed in the patient [9].
With the increase of the time from the moment of the shoulder dislocation episode, the soft-tissue structures stabilizing the shoulder joint undergo degenerative changes along with the ossification of the tissues surrounding the shoulder joint. This leads to the formation of a dense conglomerate, not allowing (in the majority of cases) for restoring it or using them in terms of stabilizing the shoulder joint [10]. When dealing with long-standing engaged shoulder dislocations associated with difficulties in terms of preserving the soft-tissue structures of the shoulder, upon dissecting the cicatricially transformed tissues of the shoulder joint cavity, it is not always possible to preserve or to restore the cicatricially transformed tendon of the subscapular muscle, which is why using it to fill the humeral head defect is not possible [11]. A number of authors suppose that the thickness of the cicatricially transformed tendon of the subscapular muscle complicates placing it into the longitudinal defect of the humeral head, while filling the defect with the tendon may result in restriction of the motion range in the shoulder joint [12].
From our point of view, the choice of surgical treatment tactics for cases of reverse Hill-Sachs fracture depends on the dimensions and on the depth of the humeral head defect. In case of the osteochondral defect in the humeral head (up to 25% of the humeral head area), a remplissage method can be employed with using the tendon of the long head of the biceps muscle. The method of surgical treatment for cases of reverse Hill-Sachs fracture proposed by us, has been applied for an invention — 2023132902/20(072680) on 11.01.2024.
CONCLUSION
The method for surgical treatment developed by us, can be recommended in cases when the impression area in the humeral head is up to 25% of the humeral head surface area, with the inclination angle being 60°. In cases of the reverse Hill-Sachs fracture, the use of remplissage with the tendon of the long head of the biceps muscle can represent a competitive method for comparing it to other surgical techniques.
ADDITIONAL INFORMATION
Funding source. This study was not supported by any external sources of funding.
Competing interests. The authors declare that they have no competing interests.
Authors’ contribution. S.N. Tikhonenkov — search and analytical work, writing the text of the article, examining the patient, treating patients; A.Yu. Lebedev — search and analytical, patient treatment, writing the text of the article; G.M. Dubrovin — treatment management, discussion of the study results. All authors made a substantial contribution to the conception of the work, acquisition, analysis, interpretation of data for the work, drafting and revising the work, final approval of the version to be published and agree to be accountable for all aspects of the work.
Consent for publication. A written voluntary informed consent was obtained from the patient to publish a description of the clinical case in the journal “Journal of Clinical Practice”, including the use of his medical data (results of examination, treatment and observation) for scientific purposes (date of signing 14.10.2020).
About the authors
Sergey N. Tichonenkov
Kursk State Medical University
Email: dr.tihonenkov@gmail.com
ORCID iD: 0000-0003-2405-2262
SPIN-code: 2574-8174
MD, PhD
Russian Federation, KurskAleksandr Y. Lebedev
Kursk State Medical University
Author for correspondence.
Email: alexlebedev32@gmail.com
ORCID iD: 0000-0002-1805-2197
SPIN-code: 5743-7291
MD, PhD
Russian Federation, KurskGrigory M. Dubrovin
Kursk State Medical University
Email: grig-d31@yandex.ru
ORCID iD: 0000-0001-7378-5513
SPIN-code: 5952-7427
MD, PhD, Professor
Russian Federation, KurskReferences
- Беляк Е.А., Призов А.П., Лазко М.Ф., и др. Опыт применения модифицированной операции Маклафлина для лечения пациентов с застарелыми задними вколоченными подвывихами головки плечевой кости // Вестник травматологии и ортопедии им. Н.Н. Приорова. 2017. № 3. С. 46–50. [Belyak EA, Prizov AP, Lazko MF, et al. Experience in use of modified McLaughlin procedure for neglected locked posterior subluxation of the humeral head. N.N. Priorov J Traumatol Orthopedics. 2017;(3):46–50]. EDN: ZVZFIZ
- Бондарев В.Б., Ваза А.Ю., Файн А.М., Титов Р.С. Вывихи плеча // Неотложная медицинская помощь. Журнал им. Н.В. Склифосовского. 2020. Т. 9, № 1. С. 68–84. [Bondarev VB, Vaza AY, Fine AM, Titov RS. Shoulder dislocations. Emergency Med Care. Sklifosovsky J Emergency Med Care. 2020;9(1):68–84]. EDN: JDJOAO doi: 10.23934/2223-9022-2020-9-1-68-84
- Монастырев В.В., Чимытов Б.А. Хирургическое лечение костно-хрящевых дефектов головки плечевой кости при застарелом вывихе плеча: обзор литературы // Acta Biomedica Scientifica. 2021. Т. 6, № 6-2. С. 103–112. [Monastyrev VV, Chimytov BA. Surgical treatment of the humeral head osteochondral defects in chronic shoulder dislocation: Literature review. Acta Biomedica Scientifica. 2021;6(6-2): 103–112]. EDN: QCKLMU doi: 10.29413/ABS.2021-6.6-2.11
- Каданцев П.М., Логвинов А.Н., Ильин Д.О., и др. Нестабильность плечевого сустава: обзор современных подходов к диагностике и лечению // Журнал им. Н.И. Пирогова. 2021. № 5. С. 109–124. [Kadantsev PM, Logvinov AN, Ilyin DO, et al. Shoulder instability: Review of current concepts of diagnosis and treatment. N.I. Pirogov J Surg. 2021;(5):109–124]. EDN: SYTSYM doi: 10.17116/hirurgia2021051109
- Daoudi A, Abdeljaouad N, Yacoubi H. Chronic posterior fracture-dislocation of the shoulder: Case report and a literature review. Pan African Med J. 2020;(36):275. doi: 10.11604%2Fpamj.2020.36.275.25046
- Ткач А.В., Слабоспицкий М.А., Ткаченко А.Н., и др. Организационные и технологические особенности при лечении пациентов с вывихом плеча (обзор литературы) // Медико-фармацевтический журнал Пульс. 2022. Т. 24, № 12. С. 117–125. [Tkach AV, Slabospitsky MA, Tkachenko AN, et al. Organizational and technological features in the treatment of patients with shoulder dislocation: A scientific review. Med Pharmaceutical J Pulse. 2022;24(12):117–125]. EDN: VFHMSS doi: 10.26787/nydha-2686-6838-2022-24-12-1r7-125
- Титов Р.С., Ваза А.Ю., Гнетецкий С.Ф. Тактика хирургического лечения застарелых задних вывихов плеча, ассоциированных с переломом McLaughlin // VI Пироговский травматологов форум ортопедов, посвященный 50-летию кафедры травматологии, ортопедии и медицины катастроф МГМСУ имени А.И. Евдокимова: сборник материалов форума, Москва, 21–22 октября 2021 года. Казань: Практика, 2021. С. 140. [Titov RS, Vaza AY, Gnetetsky SF. Tactics of surgical treatment of stale posterior dislocations of the shoulder associated with McLaughlin fracture. In: VI Pirogov Traumatology Orthopaedics Forum, dedicated to the 50th anniversary of the Department of Traumatology, Orthopaedics and Disaster Medicine of A.I. Evdokimov Moscow State Medical University: Proceedings of the Forum, Moscow, 21-22 October 2021. Kazan: Praktika; 2021. Р. 140. (In Russ.)] EDN: PIBAJL
- Патент РФ на изобретение № RU2731525 C1. Коган П.Г., Ласунский С.А., Авдеев А.И., и др. Способ восстановления сферичности головки плечевой кости в ходе оперативного лечения пациентов с застарелыми вывихами плеча. [Patent RUS № RU2731525 C1. Kogan PG, Lasunsky SA, Avdeev AI, et al. A method of restoring the sphericity of the humeral head during surgical treatment of patients with chronic shoulder dislocations. (In Russ.)] Режим доступа: https://yandex.ru/patents/doc/RU2731525C1_20200903?ysclid=m0gzkbzld8432394238. Дата обращения: 15.06.2024. EDN: JDZYGU
- Патент РФ на изобретение № RU2793794 C1. Монастырев В.В., Чимытов Б.А., Тишков Н.В., и др. Способ хирургического лечения костно-хрящевого дефекта головки плечевой кости при застарелом заднем вывихе плеча. [Patent RUS № RU2793794 C1. Monastyrev VV, Chimytov BA, Tishkov NV, et al. Method of surgical treatment of the bone-cartilaginous defect of the head of the humerus in chronic posterior dislocation of the shoulder. (In Russ.)] Режим доступа: https://patents.google.com/patent/RU2793794C1/ru. Дата обращения: 15.06.2024. EDN: JQFURW
- Aydin N, Kayaalp ME, Asansu M, Karaismailoglu B. Treatment options for locked posterior shoulder dislocations and clinical outcomes. EFORT Open Rev. 2019;4(5):194–200. doi: 10.1302/2058-5241.4.180043
- Паршиков М.В., Ужахов И.М., Ярыгин Н.В. Оценка состояния мягкотканных компонентов плечевого сустава после первичного травматического вывиха плеча: динамика изменений через 1, 3, 6 и 12 месяцев на основании УЗИ, КТ и МРТ // Медико-фармацевтический журнал Пульс. 2022. Т. 24, № 4. С. 121–130. [Parshikov MV, Uzhakhov IM, Yarygin NV. Assessment of condition of soft-tissue components of shoulder joint after primary traumatic shoulder dislocation: Dynamics of changes after 1, 3, 6 and 12 months based on ultrasound, CT and MRI. Med Pharmaceutical J Pulse. 2022;24(4):121–130.] EDN: ZBURVY doi: 10.26787/nydha-2686-6838-2022-24-4-121-130
- Dimock R, Memon K, Consigliere P, et al. Posterior shoulder instability: The augmented McLaughlin procedure. Arch Bone J Surg. 2020;8(6):729–733. doi: 10.22038/abjs.2020.44481.2224
Supplementary files










