Transient idiopathic perivascular inflammation of the carotid artery syndrome (TIPIC syndrome) is a rare variant of non-atherosclerotic arteriopathy
- Authors: Belopasova A.V.1, Miglyachenko P.S.2, Chechetkin A.O.1, Dreval M.V.1, Dobrynina L.A.1
-
Affiliations:
- Research Center of Neurology, Moscow
- Lomonosov Moscow State University
- Issue: Vol 15, No 1 (2024)
- Pages: 120-128
- Section: Case reports
- Submitted: 05.01.2024
- Accepted: 05.02.2024
- Published: 17.04.2024
- URL: https://clinpractice.ru/clinpractice/article/view/625468
- DOI: https://doi.org/10.17816/clinpract625468
- ID: 625468
Cite item
Full Text
Abstract
BACKGROUND: Transient Idiopathic Perivascular Inflammation of the Carotid artery (TIPIC) or carotidynia is a clinical and radiological syndrome manifested as ipsilateral neck pain and an ipsilateral perivascular infiltrate according to ultrasound and magnetic resonance imaging. Due to the low awareness of physicians, this pathology is often mistakenly regarded as dissection or atherosclerosis of the carotid arteries, which leads to additional unnecessary diagnosis and treatment.
CLINICAL CASE DESCRIPTION: Here, we present a case of idiopathic carotidynia with a discussion of the diagnostic algorithm and management of patients with unilateral neck pain.
CONCLUSION: Timely and competently interpreted ultrasound and magnetic resonance imaging studies of arteries is a key link in the diagnosis of carotidynia. The complete regression of symptoms and pathological changes in the arteries without a specific therapy classifies it as a benign variant of non-atherosclerotic arteriopathy.
Full Text
ОБОСНОВАНИЕ
Неатеросклеротические артериопатии представляют собой гетерогенную группу заболеваний с вовлечением экстра- и интракраниальных артерий, связанных с системным или местным патологическим процессом. К ним относятся артериопатии на фоне заболеваний соединительной ткани (фибромышечная дисплазия, синдромы Марфана и Элерса–Данло, диссекция сонных артерий); системные, инфекционные, идиопатические васкулиты; постлучевые, лекарственно-индуцированные артериопатии и более редкие состояния [1].
Неатеросклеротические артериопатии встречаются у пациентов всех возрастных групп — от детского и молодого до зрелого. Клинически патология проявляет себя головной или шейной болью. Наиболее тяжёлым осложнением артериопатии является развитие ишемических и геморрагических нарушений мозгового кровообращения, которые составляют до 10–15% случаев инсульта у взрослых и 20–25% у детей [2, 3]. Выявление причины поражения магистральных артерий головы становится порой сложной задачей из-за неспецифической клинической картины заболевания. Ангиовизуализация с помощью ультразвуковых и томографических методов играет ключевую роль в диагностике неатеросклеротических артериопатий.
Одной из малоизученных артериопатий является синдром транзиторного идиопатического периваскулярного воспаления каротидной артерии (transient perivascular inflammation of the carotid artery, TIPIC). Из-за редкой встречаемости и малой осведомлённости врачей о данном синдроме воспалительные изменения в стенке сонной артерии могут ошибочно трактоваться как расслоение (диссекция). Подобные сложности объясняются схожей клинической картиной: оба состояния дебютируют изолированной болью в шее.
В настоящей статье описан случай пациентки с TIPIC-синдромом и представлен сложный путь к правильному диагнозу.
КЛИНИЧЕСКИЙ ПРИМЕР
О пациенте
Женщина, 40 лет, обратилась в медицинский центр с жалобами на умеренную боль по переднебоковой поверхности шеи слева, которая возникала при прикосновении и глубоком вдохе. Для уменьшения боли использовала противовоспалительную мазь без существенного эффекта.
Анамнез заболевания. В течение 4 дней боль усилилась с 2 до 5 баллов по визуальной аналоговой шкале оценки боли (ВАШ). Расценив боль как проявление ларингита, обратилась к терапевту и оториноларингологу, однако при клиническом осмотре признаков воспалительных изменений ротоносоглотки не обнаружено, температура тела оставалась в норме. При пальпации отмечалась локальная болезненность по латеральной поверхности шеи на уровне верхнего края щитовидного хряща. Пациентка направлена на ультразвуковое исследование (УЗИ) щитовидной железы и регионарных лимфоузлов. По результатам УЗИ от 26.01.2023 выявлены признаки узлового образования правой доли щитовидной железы. По переднебоковым поверхностям шеи лоцировались единичные, структурно неизменённые лимфатические узлы до 10 мм. Дополнительно в проекции бифуркации левой общей сонной артерии визуализировались изменения, расценённые как отслойка интимы с интрамуральной гематомой 14×4 мм (диссекция?). Пациентка маршрутизирована к неврологу, который рекомендовал проведение магнитно-резонансной (МР) ангиографии брахиоцефальных артерий: наружный контур общей сонной артерии в области бифуркации имел неровный контур, определялся участок повышенного в режиме Т1 fat-sat, гипоинтенсивного в режиме Т2 сигнала до 8×5×9 мм. Изменения были расценены как диссекция общей сонной артерии с интрамуральной гематомой. Других патологических изменений в области артерий шеи не выявлено. По результатам нейровизуализации неврологом назначен приём антиагрегантов (ацетилсалициловая кислота в дозе 75 мг/сут) до регресса интрамуральной гематомы по данным повторной МР-ангиографии.
Спустя 2,5 недели от начала симптоматики пациентка обратилась в ФГБНУ «Научный центр неврологии» в связи с сохранением болей в шее прежней интенсивности. Принято решение о проведении дуплексного сканирования и МР-ангиографии брахиоцефальных артерий в динамике.
Инструментальная диагностика
При ретроспективной оценке данных магнитно-резонансной томографии (МРТ) артерий шеи от 27.01.2023 в области бифуркации левой общей сонной артерии визуализировалась периваскулярная, эксцентрично расположенная зона изменённого МР-сигнала без чётких контуров, повышенной интенсивности в Т2 fat-sat (рис. 1 б, г), изоинтенсивная в Т2 (рис. 1 д), изо-/слабогиперинтенсивного сигнала в Т1 fat-sat (рис. 1 е), соответствующая периваскулярному воспалению; наружный контур артерии на этом уровне визуализировался нечётко. При МР-ангиографии (рис. 1 а, в) отмечалось гемодинамически незначимое сужение просвета артерии на этом уровне (рис. 1).
Рис. 1. Результаты магнитно-резонансной томографии шеи пациентки с TIPIC-синдромом в острый период: а, в (3D-TOF-ангиография) — локальное гемодинамически незначимое сужение просвета левой общей сонной артерии (белые стрелки); б, г (Т2 fat-sat), д (Т2), е (Т1 fat-sat) — периваскулярная, эксцентрично расположенная зона изменённого сигнала на уровне бифуркации левой общей сонной артерии (на периваскулярный инфильтрат указывают белые стрелки, красный контур).
Fig. 1. Results of magnetic resonance imaging of the neck of a patient with TIPIC syndrome in the acute period: а, в (3D-TOF-angiography) — local haemodynamically insignificant narrowing of the left common carotid artery lumen (white arrows); б, г (T2 fat-sat), д (T2), е (T1 fat-sat) — perivascular, eccentrically located zone of altered signal at the level of the left common carotid artery bifurcation (perivascular infiltrate is indicated by white arrows, red contour).
При поступлении по результатам МРТ-исследования от 15.02.2023 отмечалось увеличение внутреннего просвета артерии, уменьшение зоны периваскулярных изменений и выраженности отёка; наружный контур артерии стал более чётким (рис. 2). Использование контрастного усиления позволило более чётко визуализировать зону периваскулярного воспаления (рис. 3 д) в сравнении с нативным исследованием (рис. 3 б).
Рис. 2. Результаты магнитно-резонансной томографии шеи пациентки с TIPIC-синдромом в динамике: острый период (а, б) и контрольное исследование через 2,5 недели (в, г). Отмечается уменьшение зоны периваскулярного инфильтрата, увеличение просвета артерии; наружный контур артерии стал более чётким.
Fig. 2. Results of magnetic resonance imaging of the neck of a patient with TIPIC syndrome in dynamics: acute period (а, б) and the control study after 2.5 weeks (в, г). The perivascular infiltrate zone is decreased, the arterial lumen is increased; the external contour of the artery has become clearer.
Рис. 3. Магнитно-резонансные изображения шеи пациентки с TIPIC-синдромом: в острый период (а, б) и контрольное исследование через 2,5 недели (г, д). Использование контрастного усиления при магнитно-резонансной томографии позволяет более чётко визуализировать зону периваскулярного воспаления (д) в сравнении с нативным исследованием (б). При динамическом исследовании отмечается уменьшение зоны периваскулярного инфильтрата, увеличение просвета артерии (в, е).
Fig. 3. Magnetic resonance images of the neck of a patient with TIPIC syndrome: in the acute period (а, б) and control study after 2.5 weeks (г, д). The use of contrast enhancement in magnetic resonance imaging allows one to visualize the zone of perivascular inflammation (д) more clearly in comparison with the native study (б). The dynamic study shows a decrease in the perivascular infiltrate zone and an increase in the arterial lumen (в, е).
Спустя 2,5 недели от начала симптоматики по результатам УЗИ в бифуркации общей сонной артерии слева выявлены гипо-/средней эхогенности образование с ровной поверхностью, протяжённостью 1,4 см и высотой 4 мм (стеноз просвета около 45% по диаметру), размытость контура адвентиции общей сонной артерии и периваскулярных мягких тканей в области расположения внутрисосудистого образования (рис. 4). Выявленное от 21.01.2023 образование расценено как диссекция, снимки консультированы руководителем лаборатории ультразвуковой диагностики ФГБНУ «Научный центр неврологии»: представленные данные не соответствуют диссекции сонной артерии. Полученные от 15.02.2023 результаты УЗИ с учётом клинико-анамнестических параметров и данных первичного осмотра указывают на воспалительное утолщение (примерно в 2 раза) сосудистой стенки левой общей сонной артерии (TIPIC-синдром) в стадии организации и регресса стенозирующего процесса. Дифференциальная диагностика проводилась между атеросклеротической бляшкой и TIPIC-синдромом.
Рис. 4. Ультразвуковое исследование сонных артерий пациентки с TIPIC-синдромом в динамике: а (продольное сканирование в остром периоде боли в шее от 21.01.2023): по передней стенке в дистальной части и бифуркации общей сонной артерии и устье внутренней сонной артерии визуализируется гипо-/средней эхогенности образование (размеры указаны маркерами 1 и 2) с ровной поверхностью, толщиной 4 мм, приводящее к стенозу по ECST* 40–45%. Обращает внимание размытость контура адвентиции в области выявленного образования (стрелки жёлтого цвета); б (продольное), в (поперечное) сканирование (от 15.02.2023): выявлено гомогенное, средней эхогенности образование (стрелки белого цвета) с ровной поверхностью по передней стенке в дистальной части и бифуркации общей сонной артерии, толщиной 2 мм (стеноз по ECST около 20–25%); контур адвентиции чёткий, признаков отёчности периваскулярных тканей около выявленного образования не отмечено. * Критерий ECST (European Carotid Surgery Trial) — Европейский метод расчёта степени стеноза.
Fig. 4. Ultrasound examination of the carotid arteries of a patient with TIPIC-syndrome in dynamics: а (longitudinal scan in the acute period of neck pain dated 21.01.2023): a hypo-/medium echogenic mass (the sizes are indicated by markers 1 and 2) with a smooth surface, 4 mm thick, resulting in ECST* stenosis of 40–45% is visualised along the anterior wall in the distal part and bifurcation of the common carotid artery and the mouth of the internal carotid artery. The blurring of the adventitia contour in the area of the detected mass (arrows in yellow colour) draws attention; б (longitudinal), в (transverse) scans (dated 15.02.2023): a homogeneous, medium echogenicity mass (white arrows) with a flat surface was detected along the anterior wall in the distal part and bifurcation of the common carotid artery, 2 mm thick (ECST stenosis about 20–25%); the adventitia contour was clear, no signs of perivascular tissue swelling near the detected mass were noted. * ECST criterion — European Carotid Surgery Trial.
Предварительный диагноз
Молодой возраст пациентки, клиническая симптоматика, размытость контура адвентиции общей сонной артерии в области поражения и отсутствие атеросклеротических изменений в остальных брахиоцефальных артериях давали основание поставить диагноз воспалительного процесса в сосудистой стенке (адвентиции) бифуркации левой общей сонной артерии с гемодинамически незначимым стенозированием сосуда.
Динамика и исходы
Данные магнитно-резонансной и ультразвуковой визуализации подтвердили наличие каротидинии. Проведённое через 20 дней после первого исследования контрольное УЗИ показало положительную динамику в виде уменьшения утолщения внутрисосудистого образования в 2 раза с повышением его эхогенности и улучшения чёткости контура адвентиции (рис. 4), что соответствовало естественной инволюции воспалительного процесса.
ОБСУЖДЕНИЕ
Каротидиния впервые описана в 1927 году американским врачом Темплом Феем (Temple Fay) как болезненность на уровне бифуркации сонной артерии [4]. Учитывая, что основным клиническим проявлением синдрома является боль в шее с возможной иррадиацией в голову, в 1988 году в Международной классификации головной боли каротидиния была отнесена к идиопатической форме головной боли [5], однако в 2004 году исключена из классификации: на основании многочисленных наблюдений, накопленных к тому времени, было показано, что каротидиния являлась, скорее, синдромом, сопутствующим другим состояниям, чем самостоятельным заболеванием [6].
В 2017 году доктор медицины Парижского университета Августин Леклер (Augustin Lecler) на основании данных визуализации выделил отдельную нозологическую форму с чёткими клиническими проявлениями и характеристиками при визуализации, которую назвал синдромом транзиторного периваскулярного воспаления каротидной артерии (TIPIC-синдром), и предложил следующие диагностические критерии: острая боль в области сонной артерии, иррадиирующая / не иррадиирующая в голову; эксцентричная периваскулярная инфильтрация при визуализации; исключение другой сосудистой/несосудистой причины с помощью визуализации; купирование боли в течение 2 недель самостоятельно или приёмом противовоспалительных препаратов [7, 8].
В настоящее время этиология TIPIC-синдрома остаётся неизвестной. Большинство случаев считаются идиопатическими. В литературе имеются описания каротидинии, связанной с противоопухолевой терапией препаратами гранулоцитарного колониестимулирующего фактора (доцетаксел, филграстим [9]; пэгфилграстим [10]). Цервикалгия возникала на 2–11-й день после введения препаратов [10]. Один из описанных случаев TIPIC-синдрома связан с приёмом флуоксетина (селективного ингибитора обратного захвата серотонина). Авторы предполагают влияние последнего на активность иммунных клеток с нарушением синтеза провоспалительных цитокинов [11]. E. Venetis и соавт. [12] описан случай каротидинии на фоне коронавирусной инфекции (COVID-19). У отдельных пациентов в анамнезе имеется указание на наличие аутоиммунной патологии, причём воспалительные изменения в сонных артериях проявлялись одновременно с рецидивами основного заболевания (ревматоидный артрит, системная красная волчанка, анкилозирующий спондилоартрит, болезнь Грейвса, синдром Шегрена, тиреоидит Хашимото) [7].
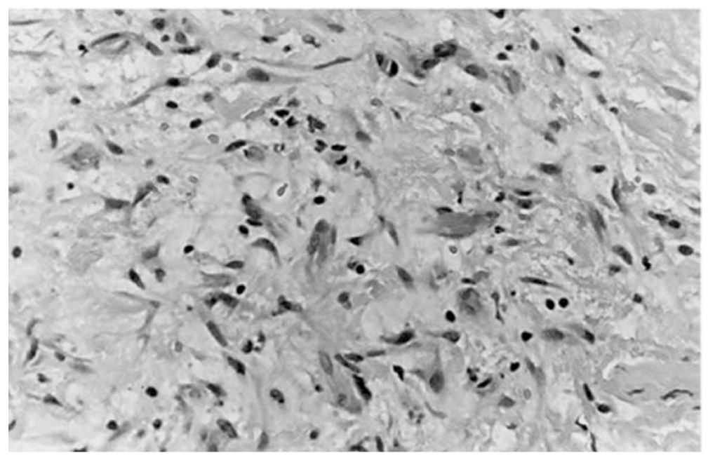
Гистологическая картина TIPIC-синдрома характерна для неспецифического воспалительного процесса, которая включает пролиферацию мелких кровеносных сосудов и фибробластов; признаки хронического воспаления, выраженного преимущественно лимфоцитарным инфильтратом, а также единичными рассеянными полиморфноядерными лейкоцитами и тучными клетками (рис. 5) [10]. Данные изменения нехарактерны для воспаления крупных сосудов при васкулите из-за отсутствия в микропрепарате гигантских клеток [13].
Рис. 5. Адвентиция сонной артерии: лимфоцитарный инфильтрат в мягких тканях, тучные клетки и редкие полиморфноядерные лейкоциты.
Fig. 5. Carotid artery adventitia: lymphocytic infiltrate in soft tissues, mast cells and rare polymorphonuclear leukocytes.
Основным клиническим проявлением TIPIC-синдрома является интенсивная односторонняя цервикалгия с локальной болезненностью в проекции бифуркации общей сонной артерии. Болевой синдром с иррадиацией по ипсилатеральной поверхности головы объясняется стимуляцией перикаротидного симпатического сплетения периваскулярным воспалительным процессом [14]. Лабораторные показатели — результаты общего, биохимического анализов крови, липидного профиля, гормоны щитовидной железы — находятся, как правило, в пределах нормы, хотя некоторые авторы сообщают о незначительном увеличении скорости оседания эритроцитов (СОЭ), С-реактивного белка (СРБ), молекул межклеточной адгезии-1 (ICAM-1). Данные исследования выполняются для исключения вторичных причин каротидинии [15–17].
Ультразвуковая или магнитно-резонансная визуализация являются основным диагностическим инструментом для подтверждения TIPIC-синдрома. При УЗИ обращает внимание изменение стенки сонной артерии в виде гипоэхогенного очагового утолщения на уровне бифуркации сонной артерии, которое, как правило, не сопровождается гемодинамически значимым сужением просвета. Несмотря на то, что УЗИ является достаточным методом для установления диагноза, для его подтверждения может быть рекомендована МРТ. Характерной МР-картиной являются локально утолщённая стенка сосуда с накоплением контрастного препарата и переваскулярная инфильтрация [18, 19].
На позитронно-эмиссионной томографии, совмещённой с рентгеновской компьютерной томографией (ПЭТ-КТ), с использованием фтордезоксиглюкозы (18F-ФДГ) у пациентов с каротидинией выявляется короткий сегмент повышенной активности ФДГ, соответствующий области воспаления стенки сонной артерии [20].
В настоящее время не существует клинических рекомендаций по лечению TIPIC-синдрома. Обычно назначают нестероидные противовоспалительные препараты на срок до 2 недель, реже или в случаях их неэффективности — короткие курсы стероидов [21]. В литературе представлен опыт лечения каротидинии с помощью антибиотиков [22]. Однако, согласно названию, TIPIC считается транзиторной (длится от нескольких недель до месяца) доброкачественной патологией, которая в большинстве случаев не требует специфической терапии. Так, в наблюдении R.R. Amaravadi и соавт. [20] использование ПЭТ-КТ на 21-й день болезни не обнаружило остаточного воспаления в стенке сонной артерии, что подтверждает временный характер изменений.
В случае нашей пациентки причинного фактора, с которым можно было бы связать развитие воспалительных изменений в стенке артерии, не выявлено. В дебюте заболевания отмечалась боль умеренной интенсивности по латеральной поверхности шеи. Подобная симптоматика наиболее часто является симптомом неспецифического миофасциального болевого синдрома. Подтверждающим фактором наличия миогенной цервикалгии является мануальное тестирование. В случае каротидинии локальное напряжение мышц шеи может быть рефлекторной реакцией на периваскулярное воспаление и при отсутствии исследования брахиоцефальных артерий приводит к диагностическим заблуждениям. Учитывая подобную «мимикрию», в большинстве случаев TIPIC-синдром остаётся нераспознанным, а его истинная распространённость — неизвестной.
Ангиовизуализация играет ключевую роль в постановке правильного диагноза. Неверная интерпретация ультразвуковых данных в случае нашей пациентки стала поводом для проведения дополнительных методов исследования и назначения антиагрегантной терапии. Однако повторный анализ клинико-визуализационных данных позволил заподозрить и впоследствии подтвердить наличие синдрома транзиторного идиопатического периваскулярного воспаления каротидной артерии. Для TIPIC-синдрома характерны умеренная боль, тогда как для диссекции — высокоинтенсивная; подострое течение при наличии ультразвуковых изменений в стенке сосуда на уровне бифуркации общей сонной артерии, а при диссекции — на 2–3 см выше места бифуркации общей сонной артерии; отсутствие интрамуральной гематомы по данным МРТ T1 fat-sat, а также динамика заболевания в виде уменьшения периваскулярного инфильтрата спустя 3–4 недели.
Прогноз TIPIC-синдрома в абсолютном большинстве случаев благоприятный, в единичных наблюдениях у пациентов с каротидинией и атеросклерозом развивался синдром гиперчувствительности каротидного синуса с падением артериального давления [23]. В редких случаях сообщалось о рецидивах заболевания [24].
В настоящее время TIPIC-синдром остаётся редко выявляемой патологией, прежде всего в связи с низкой осведомлённостью врачей клинических и диагностических специальностей о данном заболевании [22]. Изменения в общей сонной артерии ошибочно расцениваются как диссекция или атеросклероз, что приводит к дополнительной неоправданной диагностике и лечению, как в случае нашей пациентки. Напротив, нередко цервикалгия, сопутствующая каротидинии, расценивается как проявление миофасциального болевого синдрома, и потому исследование сосудов не проводится.
В литературе обсуждается вопрос, врачи какой специальности должны взять на себя ведение пациентов с каротидинией. В нашем случае пациентка прошла длительный путь до постановки диагноза: была осмотрена терапевтом, оториноларингологом, двумя неврологами; получила ряд ультразвуковых и МРТ-исследований. Подобная задержка с постановкой диагноза создаёт дополнительное психологическое напряжение как пациенту, так и специалистам.
ЗАКЛЮЧЕНИЕ
Описанный клинический случай подчёркивает необходимость повышения осведомлённости врачей о TIPIC-синдроме и включения каротидинии в дифференциальный диагностический ряд при наблюдении пациентов с жалобами на одностороннюю боль в области шеи. Своевременно проведённая и грамотно интерпретированная ангиовизуализация является ключевым звеном в диагностике каротидинии.
ДОПОЛНИТЕЛЬНАЯ ИНФОРМАЦИЯ
Источник финансирования. Поисково-аналитическая работа и публикация статьи финансируются из бюджета ФГБНУ «Научный центр неврологии» (Москва, Россия).
Конфликт интересов. Авторы декларируют отсутствие явных и потенциальных конфликтов интересов, связанных с публикацией настоящей статьи.
Вклад авторов. А.В. Белопасова, Л.А. Добрынина — лечение пациентки, обработка и обсуждение результатов исследования, написание текста статьи; П.С. Мигляченко — поисково-аналитическая работа, обсуждение результатов исследования, написание текста статьи; А.О. Чечеткин — проведение ультразвуковой диагностики; М.В. Древаль — проведение лучевой диагностики. Авторы подтверждают соответствие своего авторства международным критериям ICMJE (все авторы внесли существенный вклад в разработку концепции, проведение поисково-аналитической работы и подготовку статьи, прочли и одобрили финальную версию перед публикацией).
Информированное согласие на публикацию. От пациента получено письменное добровольное информированное согласие на описание клинического случая и публикацию результатов обследования и лечения (дата подписания 12.03.2023).
ADDITIONAL INFORMATION
Funding source. The study was funded by Research Center of Neurology (Moscow, Russia).
Competing interests. The authors declare that they have no competing interests.
Authors’ contribution. A.V. Belopasova, L.A. Dobrynina — treatment of patient, processing and discussion of the results of the study, writing the text of the article; P.S. Miglyachenko — search and analytical work, discussion of the results of the study, writing the text of the article; A.O. Chechetkin — ultrasound diagnostics; M.V. Dreval — radiological diagnostics. The authors made a substantial contribution to the conception of the work, acquisition, analysis, interpretation of data for the work, drafting and revising the work, final approval of the version to be published and agree to be accountable for all aspects of the work.
Consent for publication. A written voluntary informed consent was received from the legal representative for the publication of the description of the clinical case (date of signing 12.03.2023).
About the authors
Anastasia V. Belopasova
Research Center of Neurology, Moscow
Author for correspondence.
Email: belopasova@neurology.ru
ORCID iD: 0000-0003-3124-2443
SPIN-code: 3149-3053
MD, PhD
Russian Federation, MoscowPolina S. Miglyachenko
Lomonosov Moscow State University
Email: miglyachencko.polina@yandex.ru
ORCID iD: 0009-0005-8751-9327
Russian Federation, Moscow
Andrey O. Chechetkin
Research Center of Neurology, Moscow
Email: chechetkin@neurology.ru
ORCID iD: 0000-0002-8726-8928
SPIN-code: 9394-6995
MD, PhD
Russian Federation, MoscowMarina V. Dreval
Research Center of Neurology, Moscow
Email: dreval.mv@neurology.ru
ORCID iD: 0000-0002-7554-9052
SPIN-code: 2221-9226
MD, PhD
Russian Federation, MoscowLarisa A. Dobrynina
Research Center of Neurology, Moscow
Email: dobrynina@neurology.ru
ORCID iD: 0000-0001-9929-2725
SPIN-code: 2824-8750
MD, PhD
Russian Federation, MoscowReferences
- Caplan LR, Biller J. Non-atherosclerotic vasculopathies. In: Caplan L.R., ed. Caplan’s stroke: a clinical approach. Cambridge University Press; 2016. Р. 386–438.
- Agarwal A, Bathla G, Kanekar S. Imaging of Non-atherosclerotic Vasculopathies. J Clin Imaging Sci. 2020;10:62. doi: 10.25259/JCIS_91_2020
- Simma B, Martin G, Müller T, Huemer M. Risk factors for pediatric stroke: Consequences for therapy and quality of life. Pediatr Neurol. 2007;37(2):121–126. doi: 10.1016/j.pediatrneurol.2007.04.005
- Fay T. Atypical neuralgia. Arch Neurol Psychiatry. 1927;18:309–315.
- Classification and diagnostic criteria for headache disorders, cranial neuralgias and facial pain. Headache Classification Committee of the International Headache Society. Cephalalgia. 1988;8 Suppl 7:1-96. PMID: 3048700.
- Headache Classification Subcommittee of the International Headache Society. The International Classification of Headache Disorders: 2nd edition. Cephalalgia. 2004;24(Suppl 1):9–160. doi: 10.1111/j.1468-2982.2003.00824.x
- Lecler A, Obadia M, Savatovsky J, et al. TIPIC syndrome: Beyond the myth of carotidynia, a new distinct unclassified entity. AJNR Am J Neuroradiol. 2017;38(7):1391–1398. doi: 10.3174/ajnr.A5214
- Lecler A, Obadia M, Sadik JC. Introduction of the TIPIC syndrome in the next ICHD classification. Cephalalgia. 2019;39(1):164–165. doi: 10.1177/0333102418780485
- Hayashi S, Maruoka S, Takahashi N, Hashimoto S. Carotidynia after anticancer chemotherapy. Singapore Med J. 2014;55(9):e142–144. doi: 10.11622/smedj.2014127
- Corral de la Fuente E, Barquín Garcia A, Saavedra Serrano C, et al. Myocarditis and carotidynia caused by Granulocyte-Colony stimulating factor administration. Mod Rheumatol Case Rep. 2020;4(2):318–323. doi: 10.1080/24725625.2020.1754552
- Jabre MG, Shahidi GA, Bejjani BP. Probable fluoxetine-induced carotidynia. Lancet. 2009;374(9695):1061–1062. doi: 10.1016/S0140-6736(09)61694-9
- Venetis E, Konopnicki D, Jissendi Tchofo P. Multimodal imaging features of transient perivascular inflammation of the carotid artery (TIPIC) syndrome in a patient with Covid-19. Radiol Case Rep. 2022;17(3):902–906. doi: 10.1016/j.radcr.2021.12.005
- Upton PD, Smith JG, Charnock DR. Histologic confirmation of carotidynia. Otolaryngol Head Neck Surg. 2003;129(4):443–444. doi: 10.1016/S0194-59980300611-9
- Калашникова Л.А., Добрынина Л.А. Диссекция артерий головного мозга: ишемический инсульт и другие клинические проявления. Москва, 2013. 208 с. [Kalashnikova LA, Dobrynina LA. Cervical artery dissection: Ischemic stroke and other clinical manifestations. Moscow; 2013. 208 p. (In Russ).]
- Stanbro M, Gray BH, Kellicut DC. Carotidynia: Revisiting an unfamiliar entity. Ann Vasc Surg. 2011;25(8):1144–1153. doi: 10.1016/j.avsg.2011.06.006
- Taniguchi Y, Horino T, Hashimoto K. Is carotidynia syndrome a subset of vasculitis? J Rheumatol. 2008;35(9):1901–1902.
- Taniguchi Y, Horino T, Terada Y, Jinnouchi Y. The activity of carotidynia syndrome is correlated with the soluble intracellular adhesion molecule-1 (sICAM-1) level. South Med J. 2010;103(3):277–278. doi: 10.1097/SMJ.0b013e3181cf39e2
- Abrahamy M, Werner M, Gottlieb P, Strauss S. Ultrasound for the diagnosis of carotidynia. J Ultrasound Med. 2017;36(12): 2605–2609. doi: 10.1002/jum.14321
- Ulus S, Aksoy Ozcan U, Arslan A, et al. Imaging spectrum of TIPIC syndrome. Clin Neuroradiol. 2018;18(Suppl 7):1–13. doi: 10.1007/s00062-018-0746-5
- Amaravadi RR, Behr SC, Kousoubris PD, Raja S. [18F] Fluorodeoxyglucose positron-emission tomography-CT imaging of carotidynia. AJNR Am J Neuroradiol. 2008;29(6):1197–1199. doi: 10.3174/ajnr.A1013
- Comacchio F, Bottin R, Brescia G, et al. Carotidynia: new aspects of a controversial entity. Acta Otorhinolaryngol Ital. 2012;32:266.
- Mathangasinghe Y, Karunarathne RU, Liyanage UA. Transient perivascular inflammation of the carotid artery; a rare cause of intense neck pain. BJR Case Rep. 2019;5(4):20190014. doi: 10.1259/bjrcr.20190014
- Sato S, Yazawa Y, Itabashi R, et al. [A case of carotidynia with carotid sinus hypersensitivity. (In Japan)]. Rinsho Shinkeigaku. 2010;50(10):714–717. doi: 10.5692/clinicalneurol.50.714
- Schaumberg J, Michels P, Eckert B, Röther J. [Recurrence of carotodynia or TIPIC syndrome. (In German)]. Nervenarzt. 2018;89(12):1403–1407. doi: 10.1007/s00115-018-0531-3
Supplementary files








