Односторонний реэкспансивный отёк лёгкого (клинические наблюдения)
- Авторы: Никитин О.И.1, Халималова А.О.1, Юдин А.Л.1, Юматова Е.А.1
-
Учреждения:
- Российский национальный исследовательский медицинский университет имени Н.И. Пирогова
- Выпуск: Том 15, № 4 (2024)
- Страницы: 104-109
- Раздел: Клинические случаи
- Статья получена: 09.04.2024
- Статья одобрена: 31.10.2024
- Статья опубликована: 15.12.2024
- URL: https://clinpractice.ru/clinpractice/article/view/630151
- DOI: https://doi.org/10.17816/clinpract630151
- ID: 630151
Цитировать
Аннотация
Обоснование. В клинической практике отёк лёгких продолжает оставаться одним из грозных состояний с высокой летальностью, несмотря на достаточно большое внимание со стороны исследователей. Классический отёк лёгких хорошо изучен, имеет определённые рентгенологические признаки, а односторонний отёк лёгкого встречается редко и вызывает затруднение в дифференциальной диагностике у врача-рентгенолога. Описание клинического случая. Представлены два случая ипси- и контралатерального одностороннего реэкспансивного отёка лёгких. Данные осложнения развились как следствие быстрой эвакуации патологического содержимого из плевральной полости. Заключение. Реэкспансивный отёк лёгкого — редкое, но потенциально опасное для жизни состояние, которое обычно возникает в результате быстрого расправления длительно спавшегося лёгкого, например, при пневмотораксе и плевральном выпоте. Отёк может состояться в течение нескольких часов после расправления ателектаза.
Полный текст
ОБОСНОВАНИЕ
В норме в лёгких наблюдаются проникновение части плазмы крови из малого круга кровообращения в межальвеолярное пространство через лёгочные капилляры и резорбция межальвеолярной жидкости в венозную часть лёгочных капилляров; жидкость выводится также через лимфатические сосуды, и тем самым поддерживается динамическое равновесие, количественным выражением которого является уравнение Старлинга [1, 2]. Отёк лёгкого — жизнеугрожающее патологическое состояние, обусловленное повышенным содержанием в интерстициальном и/или альвеолярном пространстве лёгких внесосудистой жидкости.
Отёк лёгкого можно разделить на четыре типа: гидростатический отёк; отёк при диффузном альвеолярном повреждении; отёк, не связанный с диффузным альвеолярным повреждением; смешанный отёк лёгкого [2]. В подавляющем числе случаев отёки развиваются в обоих лёгких.
В повседневной практической деятельности врача-рентгенолога может встретиться односторонняя форма отёка лёгкого, которая является довольно редким патологическим состоянием, способным вызвать затруднения при интерпретации результатов исследования и требующим тщательной дифференциальной диагностики между различными патологическими односторонними поражениями лёгких [1, 2]. За последние 15 лет в доступной литературе нам удалось встретить описание лишь единичных случаев одностороннего реэкспансивного отёка лёгких [3–5].
Приводим собственные клинические наблюдения.
ОПИСАНИЕ СЛУЧАЕВ
Клиническое наблюдение 1
О пациенте. Пациентка К., 38 лет, поступила в больницу с трёхдневной историей нарастающей мучительной одышки в покое, болями в грудной клетке слева. Недавно диагностирована аденокарцинома яичника.
Результаты физикального, лабораторного и инструментального исследований. При рентгенографии и компьютерной томографии грудной клетки выявлен плевральный выпот, занимающий нижние, средние и частично верхние поля левого лёгкого, ателектаз нижней доли левого лёгкого (рис. 1, 2, а).
Рис. 1. Пациентка К., 38 лет. Рентгенограмма грудной полости: субтотальное затенение левой половины грудной клетки до уровня переднего отрезка II ребра слева, обусловленное плевральным выпотом (стрелка).
Лечение. Установлен дренаж 12G по левой передней подмышечной линии в четвёртом межреберье. Через 1 час после удаления ~1,6 л серозно-геморрагической жидкости в подводный герметичный дренаж пациентку стали беспокоить приступы кашля, развились острая одышка и тахипноэ с десатурацией (SpO2) до 83% (при дыхании кислородом 5 л/мин через простую маску), сопровождаемые гипотензией и тахикардией. При компьютерной томографии грудной клетки выявлено понижение прозрачности левого лёгкого по типу матового стекла с множественными внутридольковыми участками «консолидации» (см. рис. 2, б).
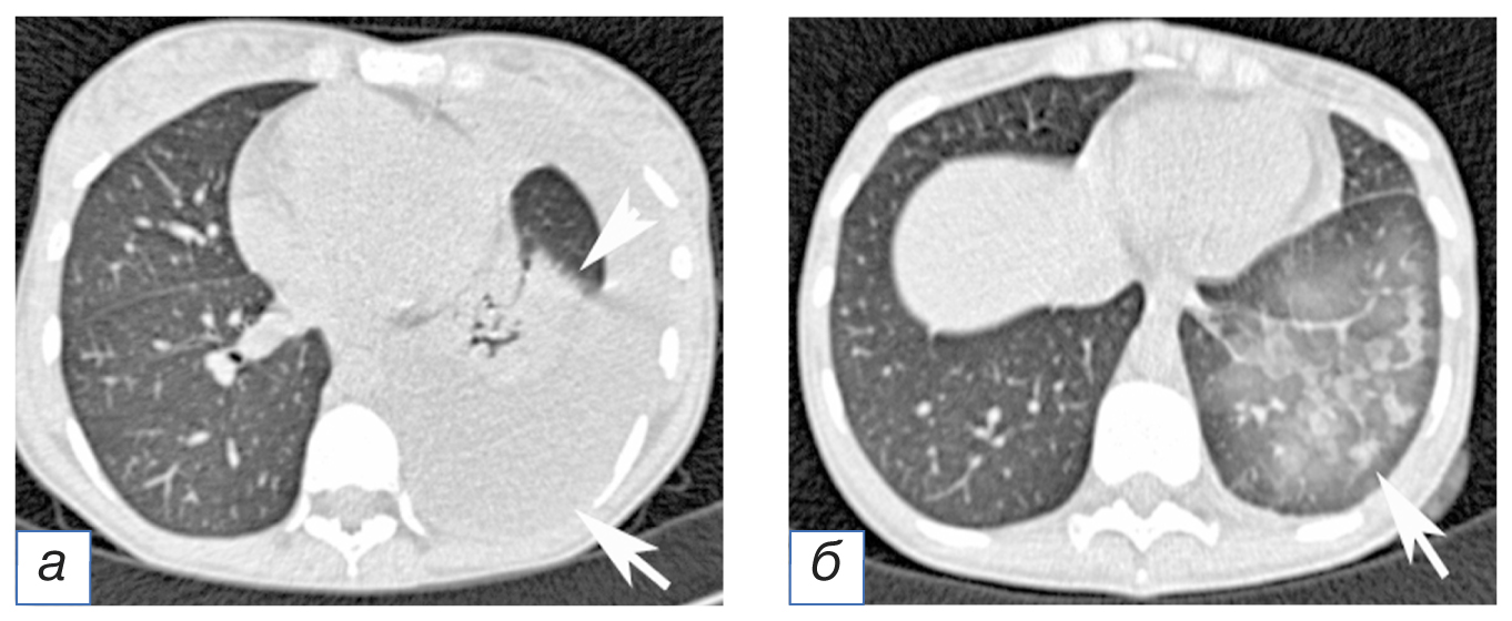
Рис. 2. Пациентка К., 38 лет. Компьютерная томограмма грудной полости: а — выпот в плевральной полости (стрелка), коллабированная нижняя доля левого лёгкого (головка стрелки); б — через 1 час после дренирования плевральной полости: снижение прозрачности лёгочной ткани по типу матового стекла, участки консолидации в базальных отделах левого лёгкого, обусловленные реэкспансивным отёком (стрелка).
Диагноз. С учётом анамнеза и клинической картины установлен заключительный диагноз: «Реэкспансивный отёк левого лёгкого, вторичный по отношению к гидротораксу левого лёгкого и ателектазу нижней доли левого лёгкого».
Исход и результаты последующего наблюдения. Дренажный резервуар приподнят, и до 400 мл плевральной жидкости возвращено в плевральную полость. Контролируемое периодическое дренирование плевральной жидкости со скоростью не более 500 мл/ч проводилось до достижения «сухости». Каждый раз определяли наличие симптомов кашля и одышки.
Отмечено полное рентгенологическое разрешение отёка лёгкого в течение 2 суток. Пациентка выписана без осложнений под наблюдение районного онколога.
Как следует из данного наблюдения, реэкспансивный отёк лёгкого возник в результате быстрого удаления большого объёма жидкости из плевральной полости.
Клиническое наблюдение 2
О пациенте. Пациентка А., 53 года, с хронической обструктивной болезнью по эмфизематозному типу обратилась в больницу по поводу болей в грудной клетке и прогрессирующей одышки.
Результаты физикального, лабораторного и инструментального исследований. При первичном осмотре тахипноэ (частота дыхательных движений 39 в минуту), тахикардия (частота сердечных сокращений 115 в минуту), артериальное давление 110/70 мм рт.ст., насыщение крови кислородом (SpO2) 93%. Показатели общего и биохимического анализа крови в пределах референсных значений. При рентгенографии органов грудной клетки состояние после резекции I–II сегментов левого лёгкого, признаки массивного спонтанного пневмоторакса справа (рис. 3).
Рис. 3. Пациентка А., 53 года. Рентгенограмма грудной полости. Спонтанный пневмоторакс справа, коллабированное правое лёгкое (стрелка).
Лечение. Выполнена торакостомия с дренированием 1500 см3 воздуха. При контрольной компьютерной томографии определяются неполное расправление правого лёгкого, эмфизема мягких тканей грудной клетки (рис. 4, а). Пациентка хорошо перенесла процедуру, и симптомы патологического состояния уменьшились. На следующее утро у пациентки усилилась одышка, а сатурация кислорода (SpO2) снизилась до 86%. При повторной компьютерной томографии в левом лёгком определены множественные внутридольковые участки понижения прозрачности по типу матового стекла с гравитационными градиентами плотности (см. рис. 4, б). В совокупности с анамнезом данный симптом дал возможность прийти к заключению о развитии реэкспансивного отёка, так как у пациентки не было лихорадки и лейкоцитоза, характерных для пневмонии; отсутствовали признаки аспирации и перегрузки жидкостью, а также признаки почечной и сердечной недостаточности.
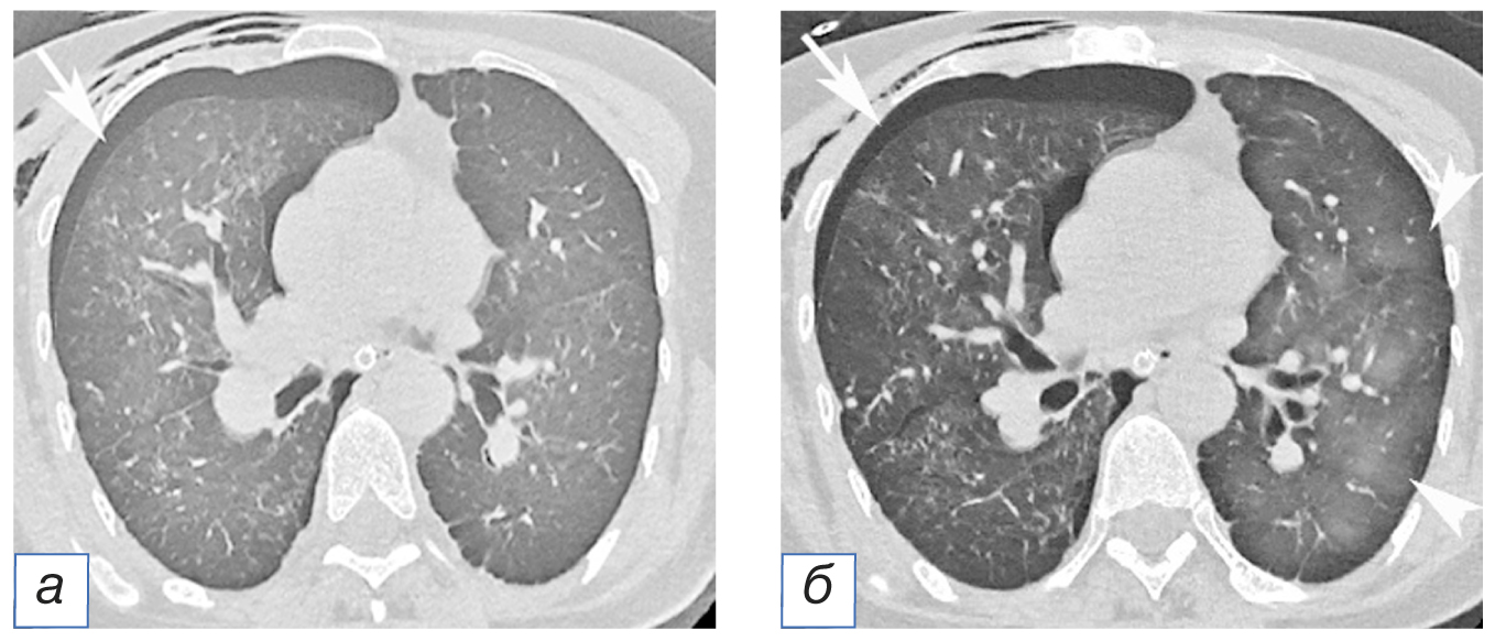
Рис. 4. Пациентка А., 53 года. Компьютерная томограмма грудной полости: а — скопление воздуха в правой плевральной полости (стрелка), эмфизема мягких тканей передней грудной стенки; б — скопление воздуха в правой плевральной полости (стрелка), эмфизема мягких тканей передней грудной стенки; снижение воздушности паренхимы левого лёгкого по типу матового стекла, обусловленное реэкспансивным отёком (головка стрелки).
Диагноз. Заключительный диагноз сформулирован следующим образом: «Реэкспансивный контралатеральный отёк левого лёгкого, вторичный по отношению к пневмотораксу правого лёгкого».
Исход и результаты последующего наблюдения. После соответствующей кислородотерапии, применения кортикостероидых препаратов и дренирования плевральной полости по Бюлау в течение 5 дней правое лёгкое удалось полностью расправить без развития ипсилатерального реэкспансивного отёка, а реэкспансивный отёк левого лёгкого полностью разрешился.
Как следует из данного наблюдения, реэкспансивный отёк может развиться и в контралатеральном лёгком.
ОБСУЖДЕНИЕ
Односторонние отёки лёгкого можно разделить на две большие группы — ипсилатеральные и контралатеральные [6]. Ипсилатеральные отёки лёгкого возникают на стороне патологического процесса. К такому отёку лёгкого относится аспирационная форма [7], отёки на фоне тромбоза лёгочных вен [8], при пороке сердца с тяжёлой митральной регургитацией [9], после лёгочной тромбэндартерэктомии [10]. Левожелудочковая недостаточность также может являться причиной развития одностороннего отёка лёгкого при вынужденном положении тела пациента на боку [5, 11].
Контралатеральные отёки характеризуются отёком в здоровом лёгком и обусловлены повышением гидростатического давления в нормальном лёгком. К односторонним патологическим состояниям относятся асимметричная эмфизема, синдром Сваера–Джеймса–Маклеода, состояние после лобэктомии [12, 13].
Ярким примером одностороннего поражения является реэкспансивный отёк лёгкого. Чаще всего это ипсилатеральный отёк, возникающий в течение 24 часов после стремительной эвакуации жидкости или газа из плевральной полости. Клинические проявления реэкспансивного отёка лёгкого могут варьировать от изменений на рентгенограммах без каких-либо клинических симптомов до гипоксии или даже гемодинамической нестабильности пациента. На компьютерных томограммах реэкспансивный отёк лёгкого представлен периферическими очаговыми участками понижения прозрачности по типу матового стекла с периваскулярным распределением, которые обычно ассоциированы с интерстициальными уплотнениями и, возможно, консолидацией.
Патогенез реэкспансивного отёка лёгкого достоверно до конца не изучен. Основными причинами развития данного патологического состояния следует считать изменение проницаемости капилляров, имеющее наибольшее значение в этом процессе, и увеличение гидростатического давления. Возможными предрасполагающими факторами в развитии данного отёка являются гипоксическое и механическое повреждение капилляров лёгких и альвеолярных мембран, уменьшение выделения сурфактанта. Окислительный стресс при длительном коллабировании лёгкого приводит к повышению поверхностного натяжения мембраны альвеол и препятствию резорбции жидкости. Из-за быстрой эвакуации содержимого из плевральной полости возникает резкое снижение давления в плевральной полости, что приводит к быстрому восстановлению кровотока в повреждённых капиллярах. Реперфузия провоцирует выброс цитокинов и свободных радикалов, повреждающих альвеолярно-капиллярную мембрану, что приводит к транссудации жидкости в интерстициальное и альвеолярное пространство [2, 14].
Очень редко, но также возможно возникновение реэкспансивного отёка в контралатеральном неколлабированном лёгком. Гипотезы развития контралатерального реэкспансивного отёка лёгкого включают неосознанную аспирацию; сжимающие силы из-за тяжёлого смещения средостения; системную воспалительную реакцию, следующую за реэкспансией, у пациентов с лёгочными заболеваниями; значительное увеличение сердечного выброса после быстрого расправления лёгкого [15]. При наличии рентгенологических данных, соответствующих реэкспансивному отёку, данный вид поражения лёгкого можно диагностировать методом исключения при отсутствии признаков аспирации, перегрузки жидкостью, почечной и сердечной недостаточности, инфекции, а также при хорошем ответе на стероидную терапию.
Затруднения в дифференциальной диагностике односторонних отёков лёгкого могут возникнуть при карциноматозном лимфангите, лучевых поражениях и пневмониях. В дифференциальной диагностике основная роль отводится анамнезу, так как наличие лучевой терапии злокачественного новообразования поражённого гемиторакса поможет в правильной постановке диагноза, а наличие яркой клинической картины в виде лихорадки, кашля, лейкоцитоза и одностороннего участка затенения приведёт врача к постановке диагноза пневмонии [12].
К факторам риска развития реэкспансивного отёка следует отнести время существования плеврального выпота более 72 часов и предполагаемый объём эвакуации жидкости или воздуха более 1500 мл. Необходимо также учитывать наличие лёгочной гипертензии, гипоксемии и сердечно-сосудистых заболеваний. При наличии различных уровней дефицита сократимости миокарда гемодинамические последствия, которые могут возникнуть после опорожнения плевральной жидкости, имеют тенденцию усугубляться. Заболевания лёгких или других органов способствуют повышенному общему риску, поскольку изменяют лёгочную и сердечно-сосудистую компенсацию [16]. В большинстве исследований частота реэкспансивного отёка после эвакуации пневмоторакса или выпота в плевральной полости составляет от 0 до 1%.
Рекомендации Британского торакального общества (The British Thoracic Society, BTS) предполагают, что за один раз следует дренировать не более 1,5 л плевральной жидкости. При отсутствии респираторных симптомов целесообразно дренировать большие объёмы «досуха», но следует соблюдать осторожность, чтобы избежать высокого отрицательного внутриплеврального давления. Постепенная эвакуация содержимого плевральной полости может потребоваться пациентам с высоким риском развития реэкспансивного отёка, а именно при обширном пневмотораксе, пациентам молодого возраста, при длительности пневмонии более 7 дней и, возможно, пациентам, у которых дренированию подлежит более 3 л плевральной жидкости [17].
ЗАКЛЮЧЕНИЕ
Односторонние отёки лёгкого могут иметь как кардиогенный, так и некардиогенный генез; могут быть как ипсилатеральными, так и контралатеральными. Важно знать о возможности развития реэкспансивного отёка лёгкого, так как данный вид является редким ятрогенным осложнением дренирования плевральной полости. Сложность патогенеза, низкая осведомлённость врачей-рентгенологов о данном заболевании могут приводить к неправильной трактовке результатов исследований и, следовательно, к потере времени для адекватного лечения пациента.
ДОПОЛНИТЕЛЬНАЯ ИНФОРМАЦИЯ
Источник финансирования. Авторы заявляют об отсутствии внешнего финансирования при проведении исследования.
Конфликт интересов. Авторы декларируют отсутствие явных и потенциальных конфликтов интересов, связанных с публикацией настоящей статьи
Вклад авторов. О.И. Никитин, А.О. Халималова — обзор литературы, написание текста рукописи; А.Л. Юдин, Е.А. Юматова — описание клинического случая, концепция статьи, написание текста рукописи, редактирование. Авторы подтверждают соответствие своего авторства международным критериям ICMJE (все авторы внесли существенный вклад в разработку концепции, проведение поисково-аналитической работы и подготовку статьи, прочли и одобрили финальную версию перед публикацией).
Информированное согласие. От пациентов получено письменное добровольное информированное согласие на публикацию описания клинического случая, медицинских данных (результатов обследования, лечения и наблюдения) и анонимизированных изображений в научном медицинском журнале «Клиническая практика», включая его электронную версию (дата подписания 21.06.2019 и 07.11.2023).
ADDITIONAL INFORMATION
Funding source. This study was not supported by any external sources of funding.
Competing interests. The authors declare that they have no competing interests.
Authors’ contribution. O.I. Nikitin, A.O. Khalimalova — a literature review, manuscript writing; A.L. Yudin, E.A. Yumatova — description of a clinical case, concept of the article, manuscript writing, editing. All authors made a substantial contribution to the conception of the work, acquisition, analysis, interpretation of data for the work, drafting and revising the work, final approval of the version to be published and agree to be accountable for all aspects of the work.
Consent for publication. A written voluntary informed consent was obtained from the patients to publish a description of the clinical case in the journal “Journal of Clinical Practice”, including the use medical data (results of examination, treatment and observation) for scientific purposes (date of signing 21.06.2019, 07.11.2023).
Об авторах
Олег Игоревич Никитин
Российский национальный исследовательский медицинский университет имени Н.И. Пирогова
Email: nikitinolegigor@bk.ru
ORCID iD: 0009-0008-2679-7608
Россия, Москва
Арацбатиня Омаровна Халималова
Российский национальный исследовательский медицинский университет имени Н.И. Пирогова
Email: arac1998@mail.ru
ORCID iD: 0009-0001-7555-4062
Россия, Москва
Андрей Леонидович Юдин
Российский национальный исследовательский медицинский университет имени Н.И. Пирогова
Email: prof_yudin@mail.ru
ORCID iD: 0000-0002-0310-0889
SPIN-код: 6184-8284
д-р мед. наук, профессор
Россия, МоскваЕлена Анатольевна Юматова
Российский национальный исследовательский медицинский университет имени Н.И. Пирогова
Автор, ответственный за переписку.
Email: yumatova_ea@mail.ru
ORCID iD: 0000-0002-6020-9434
SPIN-код: 8447-8748
канд. мед. наук, доцент
Россия, МоскваСписок литературы
- Gurney JW, Goodman LR. Pulmonary edema localized in the right upper lobe accompanying mitral regurgitation. Radiology. 1989;171(2):397–399. doi: 10.1148/radiology.171.2.2704804
- Gluecker T, Capasso P, Schnyder P, et al. Clinical and radiologic features of pulmonary edema. RadioGraphics. 1999;19(6): 1507–1531. doi: 10.1148/radiographics.19.6.g99no211507
- Kepka S, Lemaitre L, Marx T, et al. A common gesture with a rare but potentially severe complication: Re-expansion pulmonary edema following chest tube drainage. Respiratory Medicine Case Reports. 2019;27:100838. doi: 10.1016/j.rmcr.2019.100838
- Nyamande D, Mazibuko S. Lessons from fatal re-expansion pulmonary oedema: Case series. Interact Cardiovasc Thorac Surg. 2021;34(6):1162–1164. doi: 10.1093/icvts/ivab366
- Smith S, Waters P, Mirza W, et al. Re-expansion pulmonary oedema with takotsubo cardiomyopathy: A rare complication of giant hepatic cyst drainage. ANZ J Surg. 2021;91(11):2524–2527. doi: 10.1111/ans.16745
- Myrianthefs P, Markou N, Gregorakos L. Rare roentgenologic manifestations of pulmonary edema. Curr Opin Crit Care. 2011;17(5):449–453. doi: 10.1097/MCC.0b013e328347f501
- Голубев А.М., Городовикова Ю.А., Мороз В.В., и др. Аспирационное острое повреждение легких (экспериментальное, морфологическое исследование) // Общая реаниматология. 2008. Т. 4, № 3. С. 5–8. [Golubev AM, Gorodovikova YuA, Moroz VV, et al. Aspiration-induced acute lung injury: Experimental morphological study. Obshchaya reanimatologiya = General Reanimatology. 2008;4(3):5–8]. EDN: JTZVEB doi: 10.15360/1813-9779-2008-3-5
- Gyves-Ray K, Spizarny D, Gross B. Unilateral pulmonary edema due to postlobectomy pulmonary vein thrombosis. Am J Roentgenol. 1987;148(6):1079–1080. doi: 10.2214/ajr.148.6.1079
- Miyatake K, Nimura Y, Sakakibara H, et al. Localisation and direction of mitral regurgitant flow in mitral orifice studied with combined use of ultrasonic pulsed Doppler technique and two dimensional echocardiography. Br Heart J. 1982;48(5):449–458. doi: 10.1136/hrt.48.5.449
- Gan HL, Zhang JQ, Sun JC, et al. Preoperative transcatheter occlusion of bronchopulmonary collateral artery reduces reperfusion pulmonary edema and improves early hemodynamic function after pulmonary thromboendarterectomy. J Thoracic Cardiovascular Surg. 2014;148(6):3014–3019. doi: 10.1016/j.jtcvs.2014.05.024
- Esper A, Martin GS, Staton GW. Pulmonary edema I: Cardiogenic pulmonary edema. Decker Med. 2021. doi: 10.2310/TYWC.1371
- Jacobs KE, Stark P. Unilateral pulmonary edema: Clinical scenarios and differential diagnosis. Contemporary Diagnostic Radiol. 2015;38(18):6. doi: 10.1097/01.cdr.0000471020.51060.8a
- Saleh M, Miles AI, Lasser RP. Unilateral pulmonary edema in Swyer-James syndrome. Chest. 1974;66(5):594–597. doi: 10.1378/chest.66.5.594
- Mahfood S, Hix WR, Aaron BL, et al. Reexpansion pulmonary edema. Ann Thoracic Surg. 1988;45(3):340–345. doi: 10.1016/s0003-4975(10)62480-0
- Her C, Mandy S. Acute respiratory distress syndrome of the contralateral lung after reexpansion pulmonary edema of a collapsed lung. J Clin Anesthesia. 2004;16(4):244–250. doi: 10.1016/j.jclinane.2003.02.013
- Genofre EH, Vargas FS, Teixeira LR, et al. Reexpansion pulmonary edema. J Pneumologia. 2003;29(2):101–106. doi: 10.1590/s0102-35862003000200010
- Echevarria C, Twomey D, Dunning J, Chanda B. Does re-expansion pulmonary oedema exist? Interactiv Cardiovascular Thoracic Surg. 2008;7(3):485–489. doi: 10.1510/icvts.2008.178087
Дополнительные файлы







