The intraluminal administration of Indocyanine green as a method of intraoperative diagnostics of machine suture incompetence in experimental cases of longitudinal gastric resection
- Authors: Kovalev A.A.1, Kornyushin O.V.1, Papayan G.V.1,2, Masley V.V.1, Neimark A.E.1, Zelinskaya I.A.1, Toropova Y.G.1, Semenova N.Y.1, Zinserling V.A.1, Starzhevskaya A.V.1, Danilov I.N.1
 - 
							Affiliations: 
							
- Almazov National Medical Research Centre
 - Academician I.P. Pavlov First St. Petersburg State Medical University
 
 - Issue: Vol 15, No 3 (2024)
 - Pages: 27-39
 - Section: Original Study Articles
 - Submitted: 17.05.2024
 - Accepted: 19.08.2024
 - Published: 02.11.2024
 - URL: https://clinpractice.ru/clinpractice/article/view/632127
 - DOI: https://doi.org/10.17816/clinpract632127
 - ID: 632127
 
Cite item
Abstract
BACKGROUND: Bariatric surgery represents an actively developing surgery field. With this, thanks to using modern automated methods of dissecting and suturing the tissues, a significant decrease is observed in the number of postoperative complications. At the same time, the problem of surgical suture incompetence remains topical even at the present times. The traditional methods of intraoperative diagnostics of incompetence are the provocative tests: the methylene blue test and the air leak test. One of the promising methods for intraoperative control during surgery is the use of fluorescent visualization in the near infrared range using the indocyanine green (ICG).
AIM: Evaluate the informativity of intraoperative diagnostics of machine suture incompetence during the longitudinal gastric resection using fluorescent visualization with indocyanine green (ICG) by using the pig model to imitate various reasons of incompetence and to control surgical complications using morphological tests.
METHODS: The research was carried out with using 20 pigs, each of which underwent the longitudinal gastric resection. The animals were distributed into the following experimental groups: the control group with performing standard longitudinal gastric resection (n=4) and the tests groups with longitudinal gastric resection and modeling of two variants of mechanical reasons of incompetence (n=12), as well as the local ischemia group (n=4). Intraoperationally, the gastric lumen was filled with a solution containing methylene blue and indocyanine green, after which, an evaluation was performed of the developed staining or Indocyanine green fluorescence visualization. Besides, in the ischemia group, ICG was administered intravenously. On Day 7 after surgery, samples were taken for histological examination.
RESULTS: In 10 out of 11 experiments with the mechanical factor of modeling used to stimulate the machine suture incompetence, ICG visualization was found, with the ingress of methylene blue found in two cases out of 11, respectively. In 90% of the cases, the transudation of ICG corresponded to significant signs of inflammation, with the ingress of methylene blue being found only in 20% of the cases.
CONCLUSION: The method of intraluminal administration of Indocyanine green in “mechanical” models of machine suture incompetence upon longitudinal gastric resection is more informative comparing to the introduction of methylene blue. Data from fluorescent ICG-angiography completely correspond to the location of ischemia modeling area.
Keywords
Full Text
BACKGROUND
Bariatric surgery represents an actively developing field of surgery aimed for the treatment of obesity and its concomitant metabolic disorders. The number of bariatric procedures performed increases with every passing year [1, 2]. In Russia, for the last three years, their number has increased 2.7-fold, while in the year of 2023, a total of 8955 such surgeries were carried out. With this, thanks to using modern automated methods of dissecting and suturing the tissues, a significant decrease is observed in the number of postoperative complications. At the same time, surgical suture incompetence (staple line leak) is still considered a culprit of severe postoperative complications. In recent years, within the structure of the bariatric surgeries, the most wide-spread is the laparoscopic longitudinal gastric resection (LLGR, sleeve gastrectomy) [3]. With this, according to data from numerous research works, after the LLGR, a total rate of 0.5% to 7% of suture incompetence is reported [4–6].
Currently, the most common cause of developing suture incompetence, according to the discussions, is the insufficiency of regional circulation, as well as non-conformity of the staple line height to the thickness of the tissues being connected [7–9].
The conventional methods of intraoperative diagnostics for incompetence of anastomoses and machine suture lines include the provocative tests, indicating the loss of hermeticity in the latter, specifically, the methylene blue test and the bubble test. The advantages of these methods are simplicity and accessibility. However, the diagnostic value of the latter remains disputable and the number of authors call it into question [10, 11]. The main downside is limited sensitivity, which, upon minimal damage, is the cause of false-negative results. A number of research works have found a correlation between using such provocation tests and the increase of the risk of suture incompetence [11–13].
One of the promising methods for intra-operative control in surgery is the use of fluorescent visualization in the near infrared range using Indocyanine green (ICG) [14].
The first data became available with the application of the ICG-visualization method in the bariatric surgery [15–17]. Such methods are being used both for the detection of ischemic areas by means of intravenous administration of the staining agent and for the control of suture hermeticity by means of its administering into the operated stomach. In the research work by Ortega C.B. et al., the application of ICG-angiography was indicated for the detection of individual specific features of auxiliary blood supply of the gastroesophageal junction during the laparoscopic longitudinal gastric resection, which can aid in the assessment of the viability of the tissues being combined [18].
Another interesting research is the one conducted by Kalmar C.L. et al., in which ICG, for the first time in clinical practice, was used not during angiography as a contrasting agent, but during the provocative test with intraluminal administration of the latter during LGR and stomach shunting (SS) [19]. With the administration of ICG to 59 patients, the obtained findings include a single true positive and a single false-positive result, and sensitivity and specificity of the method were 100 and 98.28%, respectively. However, this research describes only one case of suture incompetence, the origin of which is unclear. Besides, this research was conducted without comparing to other methods. Such comparison was performed in the research work by Hagen et al. during the course of robot-assisted stomach shunting. It was shown that the use of the methods of intraluminal administration of the combined solution containing ICG (5 mg) and methylene blue (2 mg) shows greater sensitivity of ICG methods comparing to the classic bubble test and the methylene blue test. Four patients out of 95 patients had positive ICG test result, in which additional suture line reinforcement was applied [20]. The limited informativity of these research works is due to the type of clinical research, in which there is no possibility to unequivocally state the prime cause of developing incompetence. This circumstance can be overcome in the experimental settings, allowing for simulating the defects of applying the surgical suture, which, in turn, allows for defining what consequences it may result in.
Research aim: an evaluation of the intraoperative diagnostics of machine suture incompetence when performing the LGR surgery using fluorescent visualization with Indocyanine green (ICG) by using the pig-based modeling of various reasons of incompetence and by controlling surgical complications with the aid of morphological tests.
METHODS
Research design
The experiments included 20 pigs (Sus scrofa domesticus) of the Landrace breed weighing 40–45 kg (obtained from the breeding station of the “Pulkovskiy” Agricultural Holding) in accordance with the protocol, approved by the Institutional Animal Care and Use Committee of the Federal State Budgetary Institution “Almazov NMRC”, under the Ministry of Health of the Russian Federation. The animals were distributed into the following experimental groups: the control group with standard LGR (n=4), the test groups receiving LGR with the modeling of two variants of mechanical reasons for incompetence (n=12), as well as the local ischemia group (n=4). Intraoperationally, the stomach lumen was filled with the solution containing methylene blue and indocyanine green, after which an evaluation followed of the ingress of the staining agent along with the visualization of the indocyanine green fluorescence. Besides, in the ischemia group, ICG was administered intravenously. On Day 7 after surgery, or in case of developing signs of peritonitis, laparotomy was used with the visual evaluation of the operated zone, taking samples of material for histological examination.
Research facilities
This research work was carried out within the premises of the Pre-Clinical Translational Research Center of the Federal State Budgetary Institution “Almazov NMRC”, under the Ministry of Health of the Russian Federation. The experimental animals (pigs) were provided by the breeding station of the “Pulkovskiy” Agricultural Holding.
Research duration
The experiment for each separate animal was completed on Day 7 after surgery or in case of developing signs of peritonitis. The research activities were carried out from July 2018 until May 2019.
Medical procedure description
The animals were not deprived in terms of feeding and hydration. Within 12 hours before surgery, the animals were consuming only water.
Surgical interventions were carried out under endotracheal anesthesia (isofluorane at a concentration of 1–5%). After the upper midline laparotomy, longitudinal gastric resection was performed according to the standard method [21]. The mobilization of the greater gastric curvature was done using the ultrasound scalpel (Johnson & Johnson). The gastric resection itself with the formation (from the remaining part of the stomach) of the so-called “sleeve” was performed using the Echelon FLEX 45 (Johnson & Johnson) suturing apparatus. The control group was sutured with the use of green Echelon cartridges with an open staple height of 4.1 mm (closed — 2.0 mm). As for the staples with lesser height, white cartridges were used with the height of the open staple of 2.6 mm, the closed staples were 1.0 mm high.
After finishing the resection stage with the formation of the “gastric tube”, further closing was done in the outflow segment of the stomach, while the gastric lumen was filled (using the nasogastral tube) with 50 ml of the combined solution, containing physiological saline, Indocyanine green (Roth, China) at a concentration of 0.02 mg/ml and methylene blue (SamaraMedprom, Russia) at a concentration of 0.04 mg/ml. The evaluation of the machine suture zone was done directly after the administration of the solution, first using the visible light, then at the infrared spectrum using the IMAGE1 STM laparoscopic video-system and the D-LIGHT P SCB light source (KARL STORZ, Germany) with an illumination within the wavelength interval of 750–810 nm. The test was considered positive in case of registering the fluorescence in the area of the staple line [22].
The animals in the group of local ischemia modeling underwent intravenous injection of ICG at a dosage of 0.1–0.3 mg/kg, with performing the visual evaluation of the evenness of the fluorescence in the resected stomach. In the settings of impaired blood supply, impaired or absent staining was expected in the area of artificially created ischemia.
Surgical interventions were completed with layered suturing of the wound.
The experiment was completed on Day 7 after the surgery or in case of developing signs of peritonitis. Under endotracheal anesthesia, repeated laparotomy was carried out with the visual evaluation of the machine suture zone, after which the stomach was completely removed for histological examination. The sacrification of experimental animals was done by intravenous administration of KCl solution with the euthanasia control parameter being the stable ECG isoline.
Research outcomes
Main research outcome. The parameter characterizing the main outcome of the research, was the case of suture incompetence. During the course of the longitudinal gastric resection, the onset of incompetence was registered by the ingress of methylene blue, by ICG fluorescence during the tests. (Fig. 1). Upon the repeated laparotomy, the case of machine suture incompetence was registered upon detecting the macroscopic changes expressed as abscesses and peritonitis (table 1, 2).
Fig. 1. a, b — ICG leakage between the stitched walls of the stomach distal to the hardware suture line when simulating incompetence by unbending the hardware suture staples. c, d — “Point leakage” of ICG along the inner row of the staple seam when simulating failure by using cassettes with a lower staple height.
Table 1
Histological indicators of the inflammatory process in the hardware suture area. Integrative summary indicator
Groups  | S.№  | МС  | ICG  | Acute inflammation, points  | Intensity of inflammatory infiltration, points  | Necrosis, points  | Fibrin (with neutrophils) on the serous membrane, points  | Integrative parameter, points  | 
Control  | 1  | No  | No  | 1  | 1  | 1  | 0  | 3  | 
2  | No  | No  | 0  | 1  | 0  | 0  | 1  | |
3  | No  | No  | 1  | 1  | 0  | 0  | 2  | |
4  | No  | No  | 1  | 1  | 0  | 0  | 2  | |
Unbent staples  | 5  | No  | Yes  | 3  | 2  | 3  | 0  | 8  | 
6  | Yes  | Yes  | 3  | 3  | 2  | 3  | 11  | |
7  | No  | Yes  | 1  | 3  | 2  | 0  | 6  | |
8  | No  | Yes  | 2  | 2  | 2  | 0  | 6  | |
9  | No  | Yes  | 2  | 2  | 0  | 0  | 4  | |
Staple height  | 10  | No  | Yes  | 2  | 2  | 2  | 2  | 8  | 
11  | No  | Yes  | 2  | 3  | 2  | 3  | 10  | |
12  | No  | Yes  | 2  | 2  | 3  | 0  | 7  | |
13  | No  | No  | 3  | 3  | 3  | 3  | 12  | |
14  | No  | Yes  | 3  | 3  | 2  | 0  | 8  | |
15  | Yes  | Yes  | 2  | 2  | 2  | 0  | 6  | |
Ischemia*  | 16  | No  | No*  | 1  | 2  | 1  | 0  | 4  | 
17  | No  | No*  | 1  | 2  | 2  | 0  | 5  | |
18  | No  | No*  | 2  | 2  | 3  | 0  | 7  | |
19  | No  | No*  | 1  | 1  | 1  | 0  | 3  | 
Note. * in the group of modeling the ischemic cause of failure, there was no leakage of ICG between the connected walls of the stomach, but a filling defect in the ischemic zone was detected.
Table 2
Analysis of the indicator “Severity of inflammatory infiltration” depending on the Group
Parameter  | Category  | Group, n (%)  | p  | |||
Control  | Unbent staples  | Staple height  | Ischemia  | |||
Severity of inflammatory infiltration  | mild  | 4 (100.0)  | 0 (0.0)  | 0 (0.0)  | 1 (25.0)  | 0.005* pControl — staple height = 0.040  | 
moderate  | 0 (0.0)  | 4 (80.0)  | 3 (50.0)  | 3 (75.0)  | ||
strong  | 0 (0.0)  | 1 (20.0)  | 3 (50.0)  | 0 (0.0)  | ||
Note. * — differences in indicators are statistically significant (p <0.05). Method used: Pearson’s chi-squared test.
Additional research outcomes. The evaluation of histological parameters was carried out semi-quantitatively with grading by points from 0 to 3, where 0 is the absence of the manifestation, 1 is its mild intensity, 2 is the moderate intensity and 3 is the strong intensity.
The following pathological changes were registered: necroses, the degree and the content of cellular infiltration, the presence of colonies of microorganisms, fibrin deposits at the serous membrane with signs of inflammation, the intensity of fibrosis and granulation tissue, as well as the presence of hemorrhages, foreign body gigantic multinuclear cells and glandular epithelium with inflammatory atypia. Outside the area of the machine suture (staple line), various background changes were evaluated within the gastric wall: presence of ulcers, hyperplastic growth of surface epithelium and others.
For the purpose of quantitative and statistical evaluation of the histological signs of machine suture incompetence, an integrative parameter was used, which was developed specifically for the aims of this research. Histological parameters were selected which characterize the severity and the degree of intensity of the inflammatory infiltration, as well as signs of local deterioration of the reparative process — necrosis and fibrin deposits in the area of the suture. The integrative parameter was compiled using the sum of the points for these parameters and has a maximum of 12 points, which is the sum of maximal points for each of the four evaluated parameters. The grades were corresponding to the following points: 0–3 points — absence of clear manifestations, 4–5 points — mild intensity, 6–7 points — moderate intensity, 8–12 points — strong intensity.
Subgroup analysis
The animals after the longitudinal resection were randomly distributed in the following research groups:
- longitudinal gastric resection (LGR) without the pathological process modeling (n=4) (control group);
 - modeling of the mechanical origin of incompetence by means of unbending three rows of staples of the machine suture at a distance of 1 cm right after applying the last one (n=6);
 - modeling of the mechanical origin of incompetence using suturing equipment cartridges with lesser staple height comparing to the thickness of sutured tissues (n=6);
 - modeling of local ischemia by an application of U-shaped sutures onto the anterior gastric wall at the machine suture zone with the formation of square-shaped ischemia zone with an area of 1.0–1.5 cm2 (n=4).
 
Methods for registration of outcomes
The evaluation of research outcomes was performed by means of intraoperative diagnostics of incompetence, by macroscopic visualization during repeated laparotomy and by morphological examination of the histological material.
In order to detect the morphological changes, two 5–7 mm thick sections were cut from the tissues in the machine suture zone where the pathological process was modeled.
The histological slides were prepared and examined using the standard method of hematoxylin-eosin staining and the Mallory staining. A combined pathomorphological analysis was carried out with the evaluation of the acute inflammation, including its intensity and cell composition, the dystrophic changes in the parenchymal and stromal cells and the impaired circulation.
Ethical review
The research protocol PZ_22_3_SoninDL_V3 was approved by the Institutional Animal Care and Use Committee (IACUC) of the Federal State Budgetary Institution “Almazov NMRC”, under the Ministry of Health of the Russian Federation and by the Ethics Committee of the Federal State Budgetary Institution “Almazov NMRC”, under the Ministry of Health of the Russian Federation
Statistical analysis
Statistical analysis was done using the StatTech v. 3.1.10 software (developed by the “Stattech” LLC, Russia). The categorical variables of semi-quantitative histological examination were described with adding the absolute values and percentages. The comparison of percentages during the analysis of multifield contingency tables was performed using the Pearson’s chi-squared test.
RESULTS
Research sample (participants)
The research sample included the animals (20 Landrace breed pigs weighing 40–45 kg) undergoing surgical intervention — longitudinal gastric resection (LGR). After the LGR, the animals were randomly distributed into the experimental groups with modeling various origins of machine suture incompetence and the control group. Intraoperationally, the procedures included the methylene blue and ICG tests with the visual evaluation of the result. On Day 7 after the surgical intervention or in case of developing signs of peritonitis, repeated laparotomy and gastrectomy were carried out. Further procedures included the histological evaluation of the stomach material.
Main research outcomes
In the control group, as the combined solution (ICG and methylene blue) was introduced, even fluorescence was observed in the walls of the operated stomach, except for the tissues, located distally from the staple line (machine suture).
In the group of modeling the machine suture incompetence by unbending the staples, one case of fatal outcome was reported during the application of the anesthesia. During the course of the experiment, after suturing by means of using the suturing machine, the ICG fluorescence between the joined stomach walls was found in all five cases (Fig. 1), with the ingress of methylene blue being found only in one of five tests. Upon the repeated laparotomy, two confirmed cases of machine suture incompetence were registered, which were represented by macroscopic changes expressed as abscesses and peritonitis (table 1). In other cases, adhesion process was found with various degree of intensity. It is worth noting that, with this type of modeling the machine suture incompetence, the detection of the staining solution was found (both the methylene blue and the ICG) between the sutured gastric walls distally from the machine suture line.
In six animals within the group of modeling of machine suture incompetence using the suturing machine with lesser height staples, the ingress of methylene blue was observed in one case, while the ICG fluorescence was found in five cases. Upon the repeated laparotomy, suture incompetence was observed in two cases, represented as macroscopic signs of abscesses and peritonitis (see table 1). In other cases, an adhesion process was found with various degree of intensity. Unlike the previous group, ICG fluorescence was observed not between the joined tissues, distally from the machine suture line, but as a specific “dotted transudation” along the proximal row of staples, which may indicate the mechanical damage (crushing) of the stomach walls upon suturing (see Fig. 1). With this, one of the incompetence cases was reported in an animal in which intraoperationally there was no visualization of the methylene blue or of the ICG (table 2).
In the group of local ischemia modeling, in several seconds after an intravenous administration of the ICG, just like in the control group, evenly intensive staining was observed in the walls of the operated stomach, except for the margins of the gastric walls, located distally from the machine stitch line and except for the local ischemia modeling zone, matching with the latter by the shape and the dimensions. Upon the repeated laparotomy, the zone of ischemia modeling shows a more significant (comparing to the control) adhesion process with no macroscopic signs of incompetence.
Additional research outcomes
Upon histological examination, all the samples, both in the control and in the test groups, were showing signs of inflammatory and reparative processes, related to the mechanical damage of gastric walls, with various degree of intensity.
In the control group, the inflammatory processes in the majority of cases were represented by subacute mild- and moderately-expressed inflammation with the predominance of lymphocytes, plasmacytes and histiocytes. In single cases, the admixture of granulocytes and eosinophils was observed. Local tissue necrosis was found in 1 sample. No cases of massive purulent inflammation, fibrin deposits on the serous membrane or adhesions with the organs of the abdominal cavity were reported. The degree of developing the granulation tissue and forming the mature collagen fibers indicate the on-going reparative process in the area of the machine suture.
In all the cases of modeling the mechanical origin of suture incompetence, inflammatory infiltration was observed with various degree of intensity, in the majority of cases with the predominance of neutrophils (often combined with the necroses of tissues in the area of the suture line and with signs of peritonitis), in part of the cases with the predominance of lymphocytes. Besides, oftentimes the infiltrate was showing the presence of eosinophilic admixture (in some cases significant) and of foreign body gigantic multinucleated cells. Along the peripheral areas of the infiltrate, in the majority of cases the findings included a plethoric granulation tissue and signs of fibrosis (the Mallory staining), which was more significant in case of lymphocytic (not neutrophilic) predominance in the inflammatory infiltrate. The maturity of collagen fibers indicates the on-going reparative process within the zone of the machine suture, however, the pronounced fibrosis in part of the cases resulted in the development of adhesions with the small intestine, liver and spleen. Besides, in a number of cases, the suture line zone was showing the presence of gastric epithelium with signs of inflammatory atypia.
The local ischemia group is characterized by local necrosis of various degree of intensity with pronounced inflammatory infiltration with the predominance of granulocytes. This zone had signs of slowed reparative process, however, in the remote areas, the visualized findings included the developed granulation tissue with inflammatory infiltration of various degree of intensity and collagen fibers of various degree of maturity.
In this research, it is not possible to isolate any specific morphological parameter, which could be applicable as a morphological analogue for incompetence of the surgical suture. However, upon the point-based evaluation of the histological changes, we could count the sum of mean points and compare the results obtained between groups. The parameters that are significant for the evaluation, which were included into the integrative parameter, are the following: acute inflammation, degree of inflammatory infiltration, necrosis and fibrin deposits on the serous membrane.
The results of semi-quantitative evaluation are provided in tables 1–3, while the images illustrating the characteristic histological changes are provided in Fig. 2.
Table 3
Analysis of the “Integrative indicator” indicator depending on the Group
Parameter  | Category  | Group, n (%)  | p  | |||
Control  | Unbent staples  | Staple height  | Ischemia  | |||
Sum of points  | normal  | 4 (100.0)  | 1 (20.0)  | 0 (0.0)  | 1 (25.0)  | 0.015*  | 
mild  | 0 (0.0)  | 2 (40.0)  | 0 (0.0)  | 2 (50.0)  | ||
moderate  | 0 (0.0)  | 0 (0.0)  | 2 (33.3)  | 1 (25.0)  | ||
strong  | 0 (0.0)  | 2 (40.0)  | 4 (66.7)  | 0 (0.0)  | ||
Note. * — differences in indicators are statistically significant (p <0.05). Method used: Pearson’s chi-squared test.
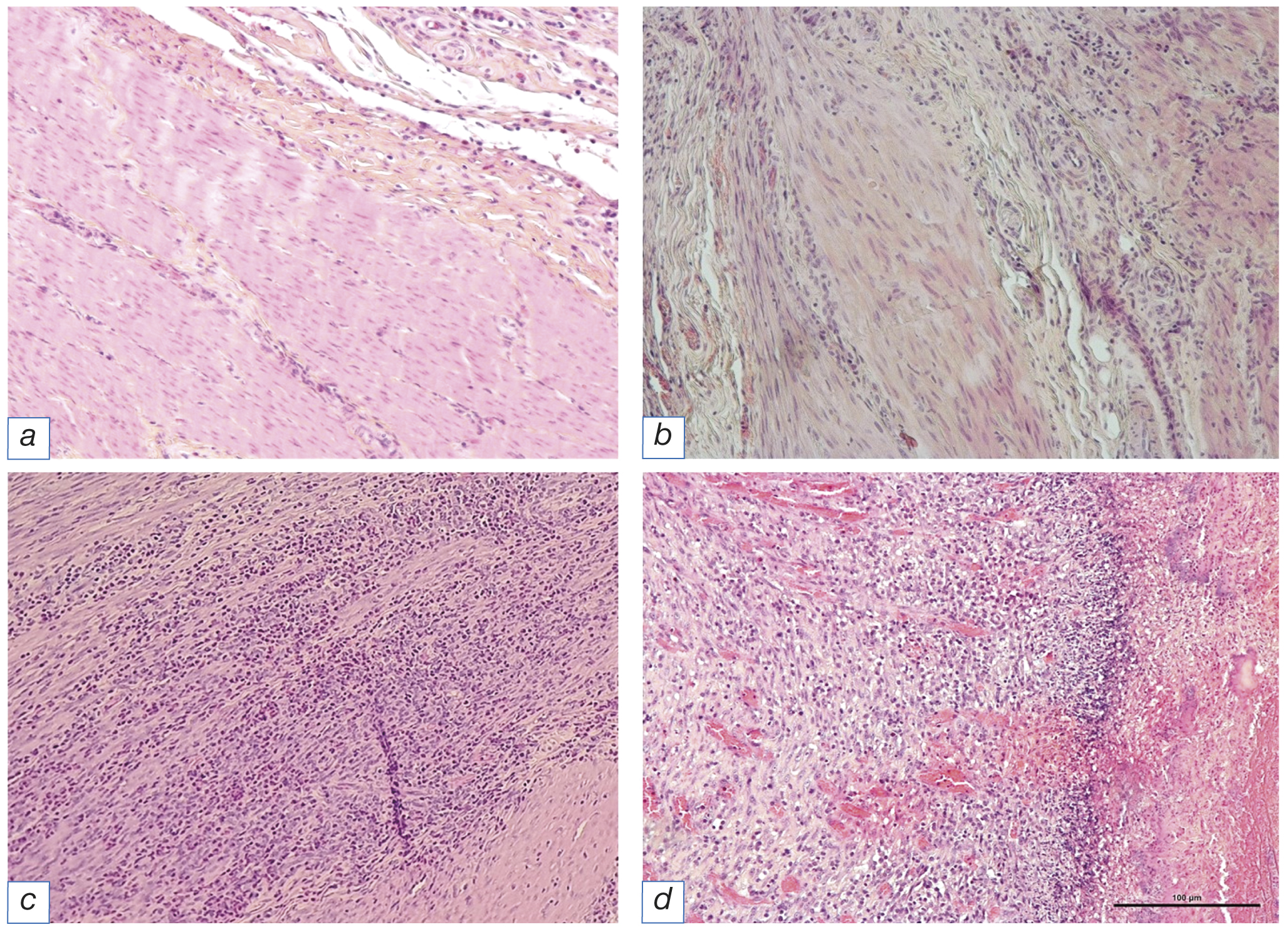
Fig. 2. Representative photographs of the features of inflammatory infiltration in the hardware suture area in samples of different groups. a — “control”, the formation of dense layers of collagen fibers between muscle bundles in the damage zone, weak inflammatory infiltration is represented by single lymphocytes. b — “ischemia”, locally areas of necrosis with strong inflammatory infiltration. c — “removal of staples”, acute inflammation, severe inflammatory infiltration, predominantly neutrophilic and eosinophilic. d — “height of staples”, acute plethora of granulation tissue, severe inflammatory infiltration, fibrin on the surface. Hematoxylin-eosin staining, magnification 100×.
Upon the analysis of the histological material after mechanical modeling of suture incompetence, the following data were obtained. In the “unbent staples” group, 40% were showing an acute inflammatory reaction, predominantly of moderate degree of intensity (80%), while in the “staple height” group, 33% were showing acute inflammatory reaction of moderate or strong degree of intensity (by 50%) (statistically significant differences, р ≤0.05; table 3). The mean integrative parameter in the groups with modeling the incompetence was higher than in the control group and in the ischemia group (statistically significant differences, р ≤0.05; table 3). With this, the integrative parameter of inflammatory changes in the “staple height” group was higher than in the “unbent staples” group (statistically significant differences, р ≤0.05; tables 2, 3).
Upon the morphological examination of all the cases, in which ICG transudation was registered during the experiment, the following data were obtained: in 90% of the cases, significant signs of inflammation were observed, which indirectly indicates the histological equivalents of incompetence. In the opposite case, when the ICG transudation was not registered, in 80%, the histological response was showing signs of mild intensity inflammatory changes (statistically significant differences, р ≤0.05; table 4).
Table 4
Analysis of the indicator “Integrative indicator — gradation of points” depending on the Group
Parameter  | Category  | МB, n (%)  | ICG, n (%)  | ||
Yes  | No  | Yes  | No  | ||
Integrative indicator — gradation of points  | none  | 0 (0.0)  | 4 (30.8)  | 0 (0.0)  | 4 (80.0)  | 
mild  | 0 (0.0)  | 1 (7.7)  | 1 (10.0)  | 0 (0.0)  | |
moderate  | 1 (50.0)  | 3 (23.1)  | 4 (40.0)  | 0 (0.0)  | |
strong  | 1 (50.0)  | 5 (38.5)  | 5 (50.0)  | 1 (20.0)  | |
р  | 0.730  | 0.010*  | |||
Note. * — differences in indicators are statistically significant (p <0.05). Method used: Pearson’s chi-squared test.
The results of evaluating the ICG transudation, unlike the methylene blue, correlate with the data from the histological analysis.
Undesirable phenomena
A fatal outcome was reported in one animal after the application of general anesthesia.
DISCUSSION
The incompetence of the anastomosis after bariatric surgeries still remains one of the most serious complications, resulting in an increase in the morbidity and in costs required for restoring the health of the patients. Currently, the rate of developing the major adverse events within 30 days after surgery, depending on its type, is within a range from 2.5% to 5.0%. The most common location of incompetence is the angle of His, both for the ischemic and for the mechanical factors. The conventional methods of suture control, due to their insufficient sensitivity, do not allow for timely detection of the developing problems and this is why the fundamental task is searching for new approaches for solving these problems. One of them can be the use of ICG test and the visualization of its fluorescence in the near infrared range [23, 24]. The higher sensitivity of ICG fluorescence comparing to the methylene blue test was demonstrated during the recently conducted clinical trial [20]. However, such research works do not allow for determining in which way the defects of creating a suture line can lead to one or another complication.
This research is aimed at the experimental evaluation of the informativity of the intraoperative diagnostics of machine suture incompetence using the visualization of the fluorescence of administered ICG in the settings of modeling various reasons of machine suture incompetence when performing the longitudinal gastric resection and with comparing the method to the methylene blue test.
In clinical practice, the machine suture incompetence is generally understood as the presence of a defect associated with a characteristic set of symptoms and with the development of local pathological changes and with further systemic inflammatory reaction, detectable upon the instrumental tests or during the revision surgery. In the aspect of morphological changes, it is necessary to note the presence of generic differences between humans and animals in terms of the pathological processes in the abdominal cavity [25–27].
Thus, in the research by Henne-Bruns D, when applying only four sutures with a single knot when forming an anastomosis in rats, out of 24 animals, only 3 had the development of peritonitis, while in 30 days the anastomoses were covered in granulation tissue, but the adhesion process was more pronounced than in cases of creating a complete anastomosis [25]. According to the opinion from number of authors, one of the reasons of the complexity of modeling the suture incompetence is using young and healthy animals for the experiment, as well as the species-related physiological features of healing the wounds. When modeling the incompetence of the large intestine anastomosis, a fast fibrin deposition was found and, as a result, adhesions were developing, which prevented the development of peritonitis or intra-abdominal abscesses, which is not characteristic for humans [26, 27].
Thus, in the experimental settings, only the combined histological analysis of the processes taking place in the damage zone with the estimation of the activity and intensity of inflammation, of the presence of fibrin on the surface of serous membranes, of the spreading of necrosis and fibrosis within the tissues, of the presence of adhesions and signs of peritonitis — all of these allow for evaluating the surgical suture incompetence.
The experiments conducted in pigs have allowed for reproducing the possible mistakes of forming the staple line. The estimation of the findings in light of ICG — fluorescence, as well as in light of the morphological analysis of the material obtained in 7 days, allow for defining what consequences may be resulting from these mistakes.
The comprehensive assessment of the mechanisms of modeling the mechanical origin of pathological changes in the area of the joined tissues, along with the fluorescence images allowing for real time mode identification of the developing impairment with further correlating the intensity of morphological changes — all of these allow for intraoperative predicting the possibility of developing surgical suture incompetence.
A series of experiments with modeling local ischemia have confirmed the possibilities provided by fluorescent ICG-angiography in terms of visualizing the problematic foci of perfusion, which were completely matching the location of ischemia modeling area and the inflammatory changes of various degree of intensity [28–30].
Upon summarizing the data obtained in the groups of modeling the mechanical origin for incompetence with intraluminal administration of the staining agents, intensive inflammatory changes (integrative parameter ≥6 points) were found in 10 cases out of 11. With this, the positive ICG test was reported in 9 cases, while when using methylene blue, only 2 cases were positive, which demonstrates higher informativity of the methods employing the intraluminal administration of ICG in “mechanical” models of machine suture incompetence comparing to the administration of methylene blue.
In the present research, the shapes were defined for ICG fluorescence depending on the incompetence model, namely: transudation between the sutured gastric walls distally from the machine suture line when modeling the incompetence by unbending the staples and “dotted transudation” along the internal staple line when modeling the incompetence by using the cartridges with lesser staple height.
The obtained data, most probably, can allow for intraoperationally supposing not only the presence of machine suture incompetence risk, but also for defining the probable cause of the latter.
In the majority of cases, the information required for making a decision can be obtained upon the intraluminal administration of ICG, including the area in the proximal third of the staple line, where the higher rate (up to 85%) of incompetence cases was described [24]. Besides, it is known that 24–28% of bariatric patients undergo repeated interventions, having higher risks of developing the incompetence, which defines the topicality of using ICG for the evaluation of specific features and of the adequacy of blood supply, as well as for defining the hermeticity of joined tissues [17, 24].
Research limitations
This research was exploratory, due to which, within the framework of this research, there was no analysis of the sensitivity and of the specificity of the methods tested.
CONCLUSION
Using the ICG fluorescent staining agent allows for determining the changes in the staple line, which are invisible when employing the visible light, which potentially can lead to the development of the machine suture incompetence during the course of the longitudinal gastric resection. The method of ICG visualization demonstrates significantly higher sensitivity comparing to the diagnostics methods employing the methylene blue.
The methods of fluorescent ICG visualization with intravenous and intraluminal administration of the said fluorophore, shall not be considered as the competing methods, for they augment each other, covering the whole spectrum of the causes of developing the machine suture incompetence — from the impaired blood supply to mechanical factors. Within this context, further clinical and experimental research are deemed topical for the purpose of developing the standardized protocols of implementing these methods.
These methods may be useful upon revision interventions, in cases of intraoperative technical difficulties, occurring at the centers with small number of annually performed surgeries, as well as at the training phase, allowing for timely detection of already existing or potential defects of the machine suture, by this minimizing the risks of incompetence development.
ADDITIONAL INFORMATION
Funding source. The study was carried out within the framework of the State assignment of the Ministry of Health of the Russian Federation on topic No. 26: “Development and pre-clinical testing of technologies for fluorescent visualization of pathological processes in surgery”.
Competing interests. The authors declare that they have no competing interests.
Authors’ contribution. A.A. Kovalev, O.V. Korniushin — planning and conducting experiments, preparing for publication; G.V. Papayan — conducting experiments, scientific guidance; V.V. Maslei — conducting experiments; A.E. Neimark — scientific guidance, preparation for publication; I.A. Zelinskaya — processing the results; Ya.G. Toropova, A.V. Starzhevskaya — preparation for publication; N.Yu. Semenova — histological studies and their evaluation, preparation for publication; V.A. Zinserling — evaluation of histological data, preparation for publication; I.N. Danilov — scientific guidance. The authors made a substantial contribution to the conception of the work, acquisition, analysis, interpretation of data for the work, drafting and revising the work, final approval of the version to be published and agree to be accountable for all aspects of the work.
About the authors
Aleksandr A. Kovalev
Almazov National Medical Research Centre
							Author for correspondence.
							Email: yathr@mail.ru
				                	ORCID iD: 0000-0002-6112-1805
				                	SPIN-code: 4296-9290
																		                												                	Russian Federation, 							Saint Petersburg						
Oleg V. Kornyushin
Almazov National Medical Research Centre
														Email: o.kornyushin@gmail.com
				                	ORCID iD: 0000-0003-3454-4690
				                	SPIN-code: 4525-2712
																		                								
MD, PhD, Associate Professor
Russian Federation, Saint PetersburgGarry V. Papayan
Almazov National Medical Research Centre; Academician I.P. Pavlov First St. Petersburg State Medical University
														Email: pgarry@mail.ru
				                	ORCID iD: 0000-0002-6462-9022
				                	SPIN-code: 7327-7837
																		                								
Cand. Sci. (Technology)
Russian Federation, Saint Petersburg; Saint PetersburgVitaliy V. Masley
Almazov National Medical Research Centre
														Email: vitalijmaslej04@gmail.com
				                	ORCID iD: 0000-0002-1278-0986
				                																			                												                	Russian Federation, 							Saint Petersburg						
Aleksandr E. Neimark
Almazov National Medical Research Centre
														Email: sas_spb@mail.ru
				                	ORCID iD: 0000-0003-4925-0126
				                	SPIN-code: 6554-3217
																		                								
MD, PhD, Associate Professor
Russian Federation, Saint PetersburgIrina A. Zelinskaya
Almazov National Medical Research Centre
														Email: irina.selinskaja@gmail.com
				                	ORCID iD: 0000-0002-1971-3444
				                	SPIN-code: 1203-7167
																		                												                	Russian Federation, 							Saint Petersburg						
Yana G. Toropova
Almazov National Medical Research Centre
														Email: yana.toropova@mail.ru
				                	ORCID iD: 0000-0003-1629-7868
				                	SPIN-code: 2020-4213
																		                								
Dr. Sci. (Biology), Professor
Russian Federation, Saint PetersburgNatalia Y. Semenova
Almazov National Medical Research Centre
														Email: natyciel87@gmail.com
				                	ORCID iD: 0000-0003-4069-0678
				                	SPIN-code: 3566-4723
																		                								
Cand. Sci. (Biology)
Russian Federation, Saint PetersburgVsevolod A. Zinserling
Almazov National Medical Research Centre
														Email: zinserling@yandex.ru
				                	ORCID iD: 0000-0001-7361-1927
				                	SPIN-code: 4601-1482
																		                								
MD, PhD, Professor
Russian Federation, Saint PetersburgAnastasia V. Starzhevskaya
Almazov National Medical Research Centre
														Email: nastya.starzhevskaya@mail.ru
				                	ORCID iD: 0000-0003-0057-8710
				                	SPIN-code: 4234-1070
																		                												                	Russian Federation, 							Saint Petersburg						
Ivan N. Danilov
Almazov National Medical Research Centre
														Email: ivandanilov75@mail.ru
				                	ORCID iD: 0000-0001-9540-7812
				                	SPIN-code: 3267-5056
																		                								
MD, PhD
Russian Federation, Saint PetersburgReferences
- Gagner M. The future of sleeve gastrectomy. Eur Endocrinol. 2016;12(1):37–38. doi: 10.17925/EE.2016.12.01.37
 - Thaher O, Driouch J, Hukauf M, et al. Is development in bariatric surgery in Germany compatible with international standards? A review of 16 years of data. Updates Surg. 2022;74(5): 1571–1579. EDN: DLUXLY doi: 10.1007/s13304-022-01349-8
 - Csendes A, Braghetto I, León P, Burgos AM. Management of leaks after laparoscopic sleeve gastrectomy in patients with obesity. World J Gastrointestinal Surg. 2010;14(9):1343–1348. EDN: LMFTAG doi: 10.1007/s11605-010-1249-0
 - Jurowich C, Thalheimer A, Seyfried F, et al. Gastric leakage after sleeve gastrectomy-clinical presentation and therapeutic options. Langenbecks Arch Surg. 2011;396(7):981–987. EDN: OFVBQN doi: 10.1007/s00423-011-0800-0
 - Ali M, El Chaar M, Ghiassi S, et al.; American Society for Metabolic and Bariatric Surgery Clinical Issues Committee. American Society for Metabolic and Bariatric Surgery updated position statement on sleeve gastrectomy as a bariatric procedure. Surg Obesity Related Dis. 2017;13(10):1652–1657. doi: 10.1016/j.soard.2017.08.007
 - Márquez MF, Ayza MF, Lozano RB, et al. Gastric leak after laparoscopic sleeve gastrectomy. Obesity Surg. 2010;20(9): 1306–1311. EDN: HIMCGO doi: 10.1007/s11695-010-0219-7
 - Baker RS, Foote J, Kemmeter P, et al The science of stapling and leaks. Obesity Surg. 2004;14(10):1290–1298. EDN: XTXKRO doi: 10.1381/0960892042583888
 - De la Matta-Martín M, Acosta-Martínez J, Morales-Conde S, Herrera-González A. Perioperative morbi-mortality associated with bariatric surgery: From systematic biliopancreatic diversion to a tailored laparoscopic gastric bypass or sleeve gastrectomy approach. Obesity Surg. 2012;22(7):1001–1007. doi: 10.1007/s11695-012-0653-9
 - Sethi M, Zagzag J, Patel K, et al. Intraoperative leak testing has no correlation with leak after laparoscopic sleeve gastrectomy. Surg Endoscopy. 2016;30(3):883–891. EDN: MQQCIB doi: 10.1007/s00464-015-4286-7
 - Alizadeh RF, Li S, Inaba C, et al. Risk factors for gastrointestinal leak after bariatric surgery: MBASQIP analysis. J Am College Surg. 2018;227(1):135–141. doi: 10.1016/j.jamcollsurg.2018.03.030
 - Yolsuriyanwong K, Ingviya T, Kongkamol C, et al. Effects of intraoperative leak testing on postoperative leak-related outcomes after primary bariatric surgery: An analysis of the MBSAQIP database. Surg Obesity Related Dis. 2019;15(9): 1530–1540. doi: 10.1016/j.soard.2019.06.008
 - Jung JJ, Jackson T, Gordon L, Hutter MM. Intraoperative leak test is associated with lower postoperative bleed rate in primary sleeve gastrectomy: A propensity matched analysis of primary and revision bariatric surgery using the MBSAQIP database. Surg Endoscopy. 2022;36(1):753–763. EDN: FLNAWC doi: 10.1007/s00464-020-08264-2
 - Papayan G, Akopov A. Potential of indocyanine green near-infrared fluorescence imaging in experimental and clinical practice. Photodiagnosis Photodynamic Ther. 2018;(24): 292–299. EDN: LAHJHQ doi: 10.1016/j.pdpdt.2018.10.011
 - Pavone G, Fersini A, Pacilli M, et al. Anastomotic leak test using indocyanine green during laparoscopic Roux-en-Y gastric bypass: A cohort study. Ann Med Surg. 2022;84:104939. EDN: JCSQHW doi: 10.1016/j.amsu.2022.104939
 - Pavone G, Fersini A, Pacilli M, et al. Can indocyanine green during laparoscopic sleeve gastrectomy be considered a new intraoperative modality for leak testing? BMC Surg. 2022;22(1):341. EDN: FAKARQ doi: 10.1186/s12893-022-01796-5
 - Mangano A, Valle V, Dreifuss NH, et al. Role of Indocyanine Green (ICG)-enhanced fluorescence in primary and revisional bariatric surgery: Narrative overview of selected literature and intraoperative surgical videos. Surg Technolog Int. 2022;40: 79–84. doi: 10.52198/22.STI.40.GS1517
 - Ortega CB, Guerron AD, Yoo JS. The use of fluorescence angiography during laparoscopic sleeve gastrectomy. J Society Laparoendoscopic Surg. 2018;22(2):e2018.00005. doi: 10.4293/JSLS.2018.00005
 - Kalmar CL, Reed CM, Peery CL, Salzberg AD. Intraluminal indocyanine green for intraoperative staple line leak testing in bariatric surgery. Surg Endoscopy. 2020;34(9):4194–4199. EDN: TYKNME doi: 10.1007/s00464-020-07606-4
 - Hagen ME, Diaper J, Douissard J, et al. Early experience with intraoperative leak test using a blend of methylene blue and indocyanine green during robotic gastric bypass surgery. Obesity Surg. 2019;29(3):949–952. EDN: DRFFZJ doi: 10.1007/s11695-018-03625-2
 - Gumbs AA, Gagner M, Dakin G, Pomp A. Sleeve gastrectomy for morbid obesity. Obesity Surg. 2007;17(7):962–969. doi: 10.1007/s11695-007-9151-x
 - Патент РФ на изобретение № RU 2707377 C1. Ковалев А.А., Корнюшин О.В., Папаян Г.В., и др. Способ интраоперационной визуализации нарушения герметичности аппаратного шва при продольной резекции желудка. [Patent RUS № RU 2707377 C1. Kovalev AA, Kornyushin OV, Papayan GV, et al. Method for intraoperative visualization of breach of tightness of a machine stitch in longitudinal gastrectomy. (In Russ.)] Режим доступа: https://patents.google.com/patent/RU2707377C1/ru. Дата обращения: 15.08.2024.
 - Carrano FM, Di Lorenzo N. The use of indocyanine green in bariatric surgery: A systematic review. J Gastric Surg. 2020;2(2):41–44. doi: 10.36159/jgs.v2i2.47
 - Hsu A, Mu SZ, James A, et al. Indocyanine green in bariatric surgery: A systematic review. Obesity Surg. 2023;33(11): 3539–3544. EDN: OCMSFW doi: 10.1007/s11695-023-06801-1
 - Henne-Bruns D, Kreischer HP, Schmiegelow P, Kremer B. Reinforcement of colon anastomoses with polyglycolic acid mesh: An experimental study. Eur Surg Res. 1990;22(4): 224–230. doi: 10.1159/000129105
 - Hoeppner J, Crnogorac V, Hopt UT, Weiser HF. The pig as an experimental model for colonic healing study of leakage and ischemia in colonic anastomosis. J Investigative Surg. 2009;22(4):281–285. doi: 10.1080/08941930903040098
 - Nordentoft T, Sørensen M. Leakage of colon anastomoses: Development of an experimental model in pigs. Eur Surg Res. 2007;39(1):14–16. doi: 10.1159/000096975
 - Frattini F, Lavazza M, Mangano A, et al. Indocyanine green-enhanced fluorescence in laparoscopic sleeve gastrectomy. Obesity Surg. 2015;25(5):949–950. EDN: HOWJFI doi: 10.1007/s11695-015-1640-8
 - Billy H, Jones G. Indocyanine green mesenteric angiography as an intraoperative assessment of bowel perfusion in revisional and primary bariatric operations. Assessment of 50 cases, operative findings and surgical interventions taken. Surg Obesity Related Dis. 2019;15(10):S228. doi: 10.1016/j.soard.2019.08.488
 - Di Furia M, Romano L, Salvatorelli A, et al. Indocyanine green fluorescent angiography during laparoscopic sleeve gastrectomy: Preliminary results. Obesity Surg. 2019;29(12):3786–3790. EDN: OTVGYN doi: 10.1007/s11695-019-04085-y
 
Supplementary files
				
			
					
						
									




