Outpatient regenerative therapy of a chronic diabetic foot ulcer with exposed bone surface
- Authors: Pavlova O.V.1, Kalsin V.A.1, Konoplyannikov M.A.1,2, Kuznetsova S.M.1, Baldin V.L.1, Sukhanova Y.S.3, Smirnov A.V.1, Baklaushev V.P.1,3,4,5, Ivanov Y.V.1
-
Affiliations:
- Federal Research and Clinical Center of Specialized Medical Care and Medical Technologies
- First Sechenov Moscow State Medical University (Sechenov University)
- Russian National Research Medical University named after N.I. Pirogov
- Federal Center of Brain Research and Neurotechnologies
- Pulmonology Scientific Research Institute
- Issue: Vol 15, No 2 (2024)
- Pages: 116-126
- Section: Case reports
- Submitted: 29.05.2024
- Accepted: 26.06.2024
- Published: 15.07.2024
- URL: https://clinpractice.ru/clinpractice/article/view/632973
- DOI: https://doi.org/10.17816/clinpract632973
- ID: 632973
Cite item
Full Text
Abstract
BACKGROUND: Treatment of deep chronic wounds with the bone tissue involvement against the background of lower limb atherosclerosis and diabetic foot syndrome does not fit any reasonable hospital stay duration and at the same time has no effective outpatient methods. Therapy with conditioned medium derived from human mesenchymal stem cells (CM-MSC) may be a solution for this problem.
CLINICAL CASE DESCRIPTION: Patient F., 77-year-old, arrived for an outpatient treatment of local necrosis in the area of the 1st toe of the left foot in April, 2022. The main diagnosis: Peripheral arterial disease of the lower extremities. Multifocal atherosclerosis. Occlusion of the superficial femoral and popliteal arteries, diffuse lesions of the lower leg arteries on the left. Chronic arterial insufficiency of the 4th degree. Attempts of revascularisation of the left lower limb. Limited gangrene (Wagner IV) of the 1st toe of the left foot. Associated diseases: insulin-dependent type 2 diabetes mellitus (for more than 30 years). Diabetic polyneuropathy. Diabetic foot syndrome, neurotrophic form. Local treatment was performed by the microsurgical debridement of the affected surface in combination with the method of multilayered dressings, according to the previously patented technology. The microsurgical treatment of the bone surface in the wound area was carried out with the use of CM-MSC. Positive dynamics in the form of a partial closure of the bone fragment with soft tissue was observed on the sixth month of therapy. The complete closure of the open bone fragment was observed in 12 months from the beginning of the outpatient treatment.
CONCLUSION: The developed method of treatment using CM-MSC can be effective for chronic wounds with open bone surfaces.
Full Text
ОБОСНОВАНИЕ
Лечение пациентов с хроническими ранами нижних конечностей на фоне атеросклероза и синдрома диабетической стопы представляет нерешённую медицинскую проблему, особенно в случае глубоких ран с вовлечением в процесс костной ткани, наличия остеомиелита (III степень по классификации Wagner) или ограниченной гангрены пальцев или стопы (Wagner IV) [1]. Как правило, такие пациенты госпитализируются в стационар для оперативного лечения, которое часто заканчивается малыми ампутациями [2]. Госпитальный период у таких пациентов длительный, финансовые затраты учреждения велики, использование стационарной койки неэффективно. Потеря части стопы у пациента приводит к частичной или полной утрате функции стопы, нарушению качества жизни [2, 3].
Лечение хронических ран на фоне недостаточности артериального кровоснабжения является сложной медицинской задачей, которая усложняется ещё больше, если поражены глубокие сухожильные, хрящевые и костные структуры, подверженные высыханию, некрозу и вторичному инфицированию [4–6]. У пациентов с атеросклерозом нижних конечностей и декомпенсированным сахарным диабетом вероятность заживления глубоких хронических ран очень невелика из-за дефицита артериального кровоснабжения, ишемии и нейротрофических нарушений [7].
Малоинвазивное хирургическое лечение ран (местные, удалённые артериальные, свободные лоскуты, трансплантация перифасциальной ареолярной ткани) с открытыми сухожилиями и/или костными поверхностями важно, в частности, для голени и стопы, но не всегда возможно, поскольку риск ишемии и нейропатии, вызванной осложнениями сахарного диабета, высок [8]. В последнее время описаны удачные случаи использования лоскута перифасциальной ареолярной ткани (ареолярный слой над мышечной фасцией) с местным введением основного фактора роста фибробластов (basic fibroblast growth factor, bFGF), который способствует ангиогенезу (трансплантации перифасциальной ареолярной ткани) [1, 9], однако возможность широкого внедрения этих методов отсутствует. Альтернативным и более простым неинвазивным методом лечения хронических ран является применение искусственной дермы, но этот метод пока не распространён широко и, кроме того, с его помощью не всегда удаётся добиться окончательного закрытия раны из-за инфицирования раневой поверхности [10, 11]. Несмотря на многообразие потенциально эффективных технологий, единого подхода к комплексному лечению хронических ран на сегодняшний день не выработано.
Одним из перспективных современных методов лечения хронических ран является клеточная терапия c помощью мезенхимальных стволовых клеток (МСК) — особой популяции клеток, обладающих способностью к хомингу (от англ. homing, home — возвращаться домой) в патологические очаги и активации регенерации тканей [12, 13]. Хорошо известен ангиогенный потенциал МСК, обусловленный их способностью к секреции сосудистого эндотелиального фактора роста (vascular endothelial growth factor, VEGF) и других проангиогенных факторов [12]. Паракринная активность в настоящее время считается основным механизмом терапевтического действия МСК. Секретом МСК, выделяемый непосредственно в межклеточную среду или в составе внеклеточных везикул — экзосом, включает в себя цитокины, факторы роста, ферменты, микроРНК и другие биологически активные вещества [12]. Все эти факторы МСК активно продуцируют в культуральную среду в процессе культивирования в гипоксических условиях ex vivo, вследствие чего кондиционированная МСК-среда (КС-МСК) в течение нескольких суток насыщается паракринными факторами и экзосомами и приобретает таким образом проангиогенное и регенеративное действие [14]. Необходимо отметить, что КС-МСК обладает рядом преимуществ по сравнению с самими МСК для применения в амбулаторных условиях: КС-МСК можно хранить в течение длительного времени, легко транспортировать и при этом при введении КС-МСК минимизируются риски, связанные с наличием в препарате живых аллогенных клеток [15].
КЛИНИЧЕСКИЙ ПРИМЕР
О пациенте
Пациентка Ф., 77 лет, с локальным некрозом в области I пальца левой стопы обратилась с целью амбулаторного лечения в мае 2022 года.
Из анамнеза. В начале 2022 года на фоне перенесённой инфекции SARS-CoV-2 в области левой нижней конечности манифестировали явления хронической ишемии, угрожающей потерей конечности. При поступлении в сосудистое отделение одной из городских больниц была предпринята попытка реваскуляризации облитерированных сосудов левой нижней конечности, которая оказалась неуспешной из-за развития ретромбоза зоны реконструкции, в связи с чем была предложена ампутация левой нижней конечности, от которой пациентка категорически отказалась.
В апреле 2022 года повторно обследована в сосудистом отделении ФГБУ «Федеральный научно-клинический центр специализированных видов медицинской помощи и медицинских технологий» Федерального медико-биологического агентства (ФГБУ ФНКЦ ФМБА). Установлен диагноз: «Атеросклероз периферических сосудов нижних конечностей. Мультифокальный атеросклероз. Окклюзия поверхностной бедренной и подколенной артерий, диффузное поражение артерий голени слева. Хроническая артериальная недостаточность IV степени. Попытки реваскуляризации левой нижней конечности. Ограниченная гангрена (Wagner IV) I пальца левой стопы. Сопутствующие заболевания: сахарный диабет 2-го типа, инсулинопотребный (стаж более 30 лет). Диабетическая полинейропатия, сенсомоторная, выраженная. Синдром диабетической стопы, нейротрофическая форма. Гипертоническая болезнь III стадии. Хроническая сердечная недостаточность I стадии. Бронхиальная астма».
Объективно. При поступлении в сосудистое отделение ФГБУ ФНКЦ ФМБА в апреле 2022 года выполнена селективная ангиография левой нижней конечности: окклюзия поверхностной бедренной артерии в дистальной части, подколенной артерии — на всём протяжении тибиоперонеального ствола, окклюзия передней и задней большеберцовых артерий.
Учитывая критическую ишемию, выполнено бедренно-малоберцовое аутовенозное шунтирование слева реверсионной аутовеной. На фоне оперативного лечения купирован болевой синдром в левой нижней конечности, лодыжечно-плечевой индекс слева по задней большеберцовой артерии равен 0,8, по малоберцовой артерии — 1,0 (до операции сигнал на артериях левой стопы не лоцировался). В амбулаторных условиях продолжена комплексная терапия в соответствии с рекомендациями стационара.
Несмотря на проведённую реваскуляризацию облитерированных сосудов нижних конечностей и проводимую консервативную терапию, в области I пальца левой стопы сохранялись явления ограниченной гангрены, без положительной динамики в течение 4 недель после операции. В поликлинике по месту жительства пациентке предложена госпитализация для ампутации I пальца левой стопы, от которой пациентка категорически отказалась.
Физикальная диагностика
Общее состояние удовлетворительное; телосложение нормостеническое; кожные покровы и видимые слизистые без особенностей; температура 36,2°С; частота дыхательных движений 18/мин; артериальное давление 135/70 мм рт.ст., пульс 70 уд./мин. Живот при пальпации без особенностей, перистальтика выслушивается. Физиологические отправления в норме. В неврологическом статусе обращает на себя внимание картина полинейропатии нижних конечностей: болевая чувствительность отсутствует справа до середины стопы, слева — до середины голени; температурная чувствительность ослаблена с обеих сторон до колена; рефлексы на уровне ахиллова сухожилия симметрично ослаблены.
Лабораторная и инструментальная диагностика
Показатели общего анализа крови и мочи, биохимические анализы крови, коагулограммы соответствуют референсным значениям скорректированного коморбидного фона пациентки. Глюкоза крови 5,56 ммоль/л.
Микробиологическое культуральное исследование в амбулаторных условиях: Staphylococcus epidermidis <103; рост транзиторной микрофлоры, не имеющей клинического значения.
Ультразвуковое дуплексное сканирование артерий нижних конечностей: атеросклероз артерий нижних конечностей, слева с окклюзией дистального сегмента поверхностной бедренной артерии, подколенной артерии, передней и задней большеберцовых артерий; справа артериальный кровоток не снижен, не изменён.
Ультразвуковое дуплексное сканирование вен нижних конечностей: варикозное расширение притока большой подкожной вены на бедре слева. Проходимость глубоких и подкожных вен обеих конечностей сохранена.
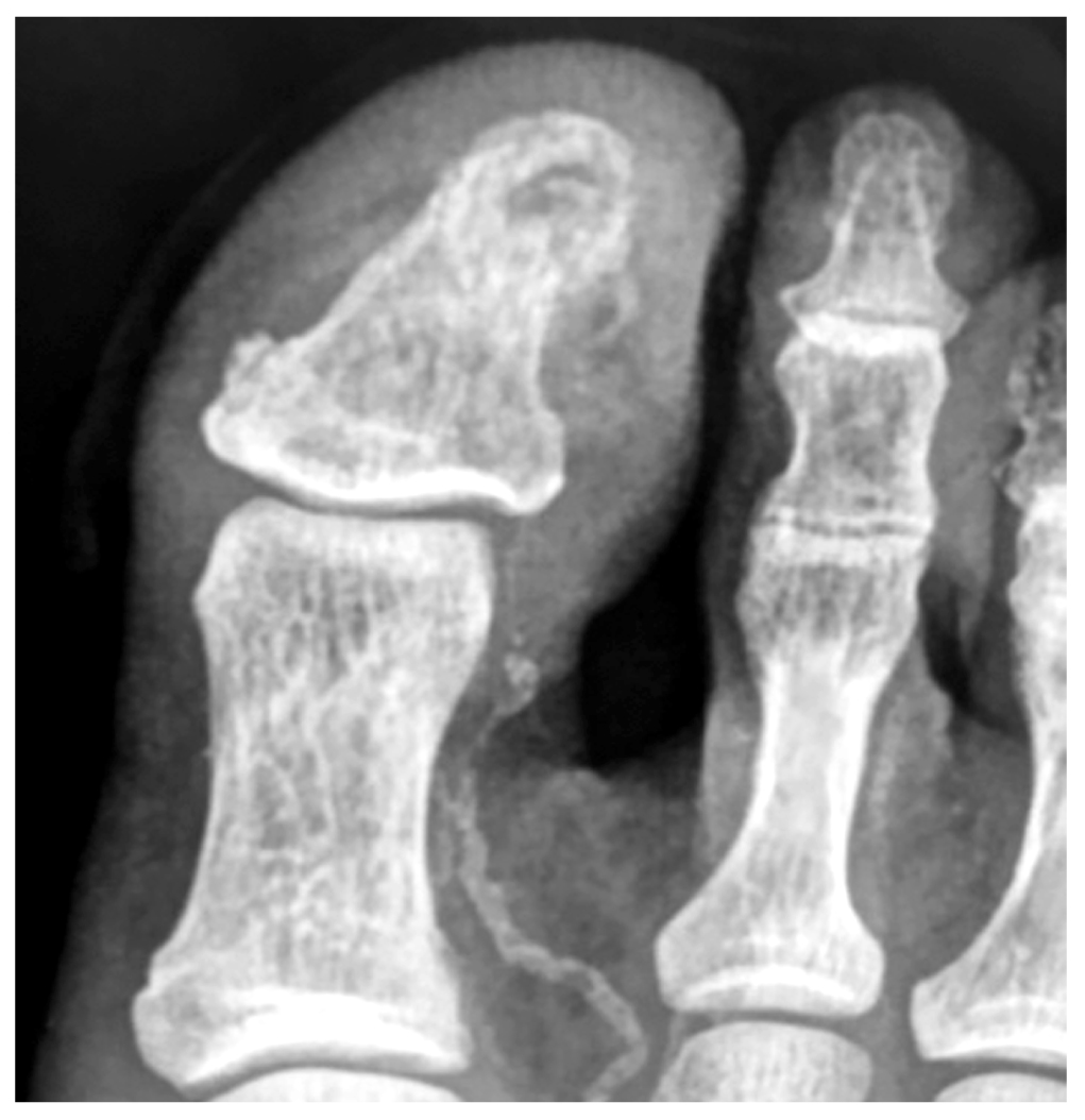
Рентгенография дистальных отделов нижней конечности слева. Выраженная деструкция концевой фаланги I пальца левой стопы (рис. 1).
Рис. 1. Рентгеновский снимок I пальца поражённой левой стопы перед началом амбулаторного лечения
Fig. 1. Radiograph of the I toe of the affected left foot, before starting the outpatient treatment
Локальный статус
Первичный осмотр в амбулаторных условиях произведён в условиях перевязочной, при дневном освещении, в положении пациентки лёжа, с использованием бинокулярной линзы. На I пальце левой стопы локальный плотный некроз чёрного цвета, распространяющийся на всю поверхность подушечки дистального отдела, с захватом переднебоковой поверхности латерального отдела I пальца. На момент осмотра болотирования некроза не отмечается, гнойного отделяемого нет. Окружающие ткани умеренно гиперемированы, отёчны. Демаркационной линии нет. Общая площадь поражения (S) 14,25 см2. Дегенеративные изменения занимают 100% площади раны. Глубина не определяется (рис. 2).
Рис. 2. Внешний вид I пальца левой стопы перед началом лечения
Fig. 2. Appearance of the I toe of the affected left foot, before the start of the treatment
Лечение
Амбулаторное лечение пациентки начали спустя 4 недели после операции по реканализации, когда все возможные пути восстановления микроциркуляции на левой стопе были исчерпаны.
Амбулаторное лечение включало четыре этапа (табл. 1). Визиты пациентки в амбулаторный хирургический кабинет на первом этапе проходили 1 раз в неделю, на втором и третьем этапах — 1 раз в 2 недели, на четвёртом этапе — 1 раз в месяц. При этом в домашних условиях пациентка самостоятельно выполняла перевязки и аппликацию КС-МСК на коллагеновую губку в режиме 1 раз в 2 дня. Клеточный препарат был изготовлен заранее по следующей технологии.
Таблица 1. Индивидуальный план амбулаторного лечения пациентки Ф., 77 лет
Table 1. Individual plan of outpatient treatment for patient F., 77 years old
Этап | Время*, нед | Методы лечения | Результат |
I | 0–4 | Метод микрохирургической обработки раны. Метод многоярусных повязок с использованием антисептических и аутолитических препаратов, повидон-йод в виде 10% раствора бетадина (1 раз/нед в условиях хирургического кабинета) | Очищение раны от некротических тканей |
II | 4–10 | Микрохирургическая обработка раны в области подушечки дистальной фаланги I пальца. Метод многоярусных повязок с использованием антисептических и аутолитических препаратов, повидон-йод в виде 10% раствора бетадина. Повязки с КС-МСК + коллагеновая раневая повязка (1 раз в 2 нед в условиях хирургического кабинета) | Завершение очищения раны от некротических тканей, разрешение воспаления, появление демаркационной линии и первых грануляций |
III | 10–16 | Микрохирургическая коррекция рельефа раны, удаление гиперкератоза по краям раны. Повязки с КС-МСК + коллагеновая раневая повязка, КС-МСК + лиофилизированный коллаген в виде пломбировочного материала на костную поверхность (1 раз в 2 нед в условиях хирургического кабинета) | Множественные грануляции, эпителизация раны, кроме костного фрагмента |
IV | 16–48 | Микрохирургическая коррекция открытого костного фрагмента раны, удаление гиперкератоза по краям раны. Пломбировка костного фрагмента с использованием КС-МСК + лиофилизированный коллаген (1 раз/мес в условиях хирургического кабинета) | Полная эпителизация раны |
Примечание. * Время приведено в неделях от момента начала местной терапии (28-е сутки после операции по бедренно-малоберцовому аутовенозному шунтированию).
Note. * The time is given in weeks from the start of local therapy (28th day after surgery for femoral fibular autovenous bypass).
Методика получения и применения КС-МСК. Клеточный препарат (МСК) получен из вартонова студня плаценты человека согласно стандартной процедуре [16]. В качестве ростовой среды служила содержащая минеральный солевой раствор и аминокислоты среда alphaMEM (Sigma, США) с добавлением антибиотиков — пенициллина (до 100 ЕД/мл), амфотерицина (до 100 нг/мл), стрептомицина (до 100 мкг/мл), L-глютамина (2–4 мМ), 4% лизата тромбоцитов человека (Human platelet lysate, GMP grade).
КС-МСК применяли после предварительной подготовки раневой поверхности в виде комплексного дебридмента, состоящего из микрохирургической обработки раны в сочетании с методом многоярусных повязок, в котором были использованы аутолитики и антисептики одновременно. На область открытого костного фрагмента КС-МСК наносилась в составе пломбировочного коллагенового материала (лиофилизованная губка предварительно пропитывалась КС-МСК, и затем КС-МСК добавлялась раз в 2 дня в течение всего срока лечения).
Этапы лечения. На первом этапе местного лечения использовалась микрохирургическая техника дебридмента поражённой поверхности в сочетании с методом многоярусных повязок, согласно запатентованной ранее технологии [17]. Этап продолжался до полного удаления плотных некротических тканей с полным иссечением деградированного подкожно-жирового слоя в области подушечки концевой фаланги I пальца левой стопы, частичной эпителизации раневой поверхности, затем раневая поверхность (площадь, S) оценивалась повторно: 8,25 см2 —открытая рана; 4,75 см2 — глубокий некроз с поражением кости концевой фаланги I пальца левой стопы. Размер открытого костного фрагмента — 2,2×0,6 см (среднее арифметическое ширины). Грануляции в области раны занимают 3,5 см2 (рис. 3).
Рис. 3. Внешний вид I пальца левой стопы через 70 суток от первичного обращения на амбулаторный приём
Fig. 3. Appearance of the I toe of the left foot, 70 days after the initial outpatient treatment
Второй этап лечения состоял из микрохирургической обработки поверхности раны в области подушечки дистальной фаланги I пальца, метода многоярусных повязок с КС-МСК и аутолитиков (рис. 4).
Рис. 4. Внешний вид I пальца левой стопы через 112 суток от первичного обращения на амбулаторный приём
Fig. 4. Appearance of the I toe of the left foot, 112 days after the initial outpatient treatment
Третий этап лечения продолжался до 16-й недели и был сосредоточен на дебридменте открытого костного фрагмента и окружающих его тканей. Открытый костный фрагмент и окружающие его ткани оценивались по шкале Бейтс–Дженсена (Bates–Jensen) [18], сумма баллов составила 14, что соответствовало готовности к старту репарации.
Четвёртый, заключительный этап был самым продолжительным и составил 8 месяцев (с 16-й по 48-ю неделю). На протяжении этого периода проводились микрохирургические обработки открытого костного фрагмента в области раны с последующим использованием КС-МСК, удаление гиперкератоза по краям раны. В период с 16-й по 24-ю неделю (6 месяцев от начала лечения КС-МСК) на поверхности открытого костного фрагмента появилась сосудистая сеточка, спустя 2 недели по периметру открытого костного фрагмента отмечены бледно-розовые грануляции (рис. 5), ещё через 4 месяца весь костный фрагмент был покрыт бледно-розовыми грануляциями, цитограмма носила регенераторный тип.
Рис. 5. Внешний вид раны через 5 недель после использования на открытую костную поверхность кондиционированной мезенхимальными стволовыми клетками среды (центробежное разрастание грануляций)
Fig. 5. Appearance of the wound, 5 weeks after the conditioned medium derived from human mesenchymal stem cells application on the open bone surface (centripetal granulation growth)
В течение двух последующих месяцев продолжалось наращивание клеточной массы в области раны, рана полностью покрылась грануляциями. К концу этого срока восстановились мягкие ткани на уровне с кожей окружающих тканей, и произошла полная эпителизация раны.
В процессе лечения проведено иммуногистохимическое исследование вновь образованной ткани.
Биопсия и иммунофлюоресцентное исследование. Иммунофлюресцентное исследование выполнено на кафедре биологии РНИМУ им. Н.И. Пирогова (заведующий кафедрой — М.С. Кухарский). Ткань для гистологического исследования брали под местной анестезией путём иссечения грануляций в области поражённого участка. Биоптат фиксировали в 4% параформальдегиде, после чего выполняли дегидратацию восходящей концентрации спирта (70% этанол — 1 час; 96% этанол — 1 час; 100% изопропанол — 1 час) и проводку в ксилоле (15 минут). Заключение в парафиновые блоки выполняли при помощи станции Leica EG1160 (Leica Biosystems, Германия). С помощью ротационного микротома Leica RM2265 (Leica Biosystems, Германия) получали срезы толщиной 4 мкм и монтировали на предметные стёкла, покрытые поли-L-лизином (Thermo Scientific, Великобритания). Окрашивание проводили с помощью первичных поликлональных кроличьих антител к маркеру пролиферации Ki-67 (Cell Signaling, США) с последующей инкубацией с вторичными антителами козы против иммуноглобулинов кролика, меченными Alexa Fluor 568 (Thermo Fisher Scientific). Ядра клеток докрашивали DAPI (Sigma-Aldrich, США). Монтировали покровные стёкла с использованием среды Immu-Mount (Thermo Fisher Scientific, США). Микрофотографии получали при помощи прибора Cytation 3 (BioTek, США) с программным обеспечением Gen5 version 3.08.
Анализ пролиферативной активности клеток в ткани методом иммуногистохимического окрашивания маркера делящихся клеток Ki-67 позволил обнаружить хорошо выраженные слои клеток с характерным распределением делящихся клеток на границе между этими слоями, в базальном слое или его аналоге (рис. 6).
Рис. 6. Репрезентативные микрофотографии флюоресцентной микроскопии срезов кожи вновь образованной ткани в области раны после иммуногистохимического окрашивания на маркер делящихся клеток Ki-67 (красный), для окраски ядер использовали краситель DAPI (синий), жёлтый — цвет-неспецифическая флюоресценция. Стрелкой отмечены некоторые Ki-67-позитивные клетки
Fig. 6. Fluorescence micrographs of skin slices, and of newly formed tissue in the wound area. Immunohistochemical staining for Ki-67, the marker of dividing cells (red), DAPI to stain nuclei (blue), yellow — color marks non-specific fluorescence. Some Ki-67-positive cells are marked with an arrow
Исходы и прогноз
Через 7 месяцев после первичного обращения на амбулаторный приём наблюдалось значительное улучшение внешнего вида раны (рис. 7, а). Полное закрытие открытого костного фрагмента наблюдалось через 12 месяцев от начала лечения в амбулаторных условиях (рис. 7, б–г). На момент полной эпителизации раны рубцовая ткань над дефектом плотная, рубец малоподвижен, подкожно-жировой слой отсутствует. Рубец втянут. Пациентка наблюдается в динамике в течение 2 лет — каждые 3 месяца. За весь период наблюдения рецидивов не наблюдалось. Компьютерная томография стоп по окончании лечения демонстрирует эффективное восстановление костных и мягкотканных структур (рис. 8). Пациентка использует левую стопу в локомоции без каких-либо ограничений.
Рис. 7. Результаты терапии: внешний вид раны через 7 месяцев от первичного обращения на амбулаторный приём (а); через 12 месяцев от начала лечения в амбулаторных условиях (б–г)
Fig. 7. Therapy results: wound appearance, 7 months after the initial outpatient treatment (а); wound appearance, 12 months after the initial outpatient treatment (б–г)
Рис. 8. Компьютерная томография (а) правой (здоровая) и (б) левой (поражённая) стоп после проведённого лечения
Fig. 8. Computed tomography (а) of the right foot (healthy) and (б) left foot (affected), after the treatment
ОБСУЖДЕНИЕ
Терапевтический эффект КС-МСК был продемонстрирован на различных моделях заболеваний. В частности, M. Saheli и соавт. [19] изучали влияние КС-МСК на заживление кожных ран у крыс- диабетиков и обнаружили значительное улучшение кинетики заживления диабетической раны. Грануляционная ткань в результате применения КС-МСК характеризовалась меньшими признаками воспаления, лучшим ремоделированием и васкуляризацией по сравнению с необработанными диабетическими ранами. Анализ экспрессии генов показал, что лечение КС-МСК приводит к повышению регуляции генов эпидермального фактора роста (EGF) и основного фактора роста фибробластов (bFGF). На основании этих данных авторы предположили, что КС-МСК может способствовать восстановлению ран и регенерации кожи в условиях диабетического микроокружения.
А.А. Темнов и соавт. [20] продемонстрировали благоприятный эффект подкожного введения КС от МСК, выделенных из костного мозга, оказываемый на тяжёлые местные лучевые поражения кожи крыс на ранних сроках после облучения. Проведённый авторами гистологический анализ показал, что использование паракринных факторов, полученных из МСК, снижает выраженность воспалительной реакции и ускоряет процессы регенерации поражённой ткани (лучевых язв).
В систематическом обзоре T. Montero-Vilchez и соавт. [21] оценили использование КС-МСК для лечения кожных заболеваний человека и в соответствующих экспериментах на животных моделях. Суммарно было проанализировано 101 исследование. КС-МСК оценивалась как средство для заживления ран, гипертрофических рубцов, реперфузии лоскутов, восстановления волос, омоложения кожи и лечения воспалительных заболеваний кожи. КС-МСК получали из различных источников МСК, в основном из жировой ткани, костного мозга и пуповинной крови. КС-МСК вводили внутривенно, внутрибрюшинно, подкожно, а также наносили на поверхность кожи: среда улучшала заживление ран, восстановление волос, омоложение кожи, оказывала лечебный эффект на атопический дерматит и псориаз как у животных, так и у людей; уменьшала гипертрофические рубцы и ишемию лоскутов у животных. В целом авторы отмечают, что применение КС-МСК является перспективной терапией кожных заболеваний.
Экзосомы, полученные из КС-МСК, были предложены в качестве эффективного бесклеточного подхода для поддержки регенерации кожи, что позволяет обойти регуляторные преграды, связанные с применением самих МСК. Экзосомы состоят из молекулярных компонентов, включая липиды, белки, ДНК, микроРНК, а также мРНК, действие которых направлено на различные молекулярные мишени в клетках-реципиентах. Секретируемые МСК экзосомы изменяют активацию макрофагов, стимулируют ангиогенез, вызывают пролиферацию и миграцию кератиноцитов и дермальных фибробластов [22]. Следует отметить, что клиническое применение КС-МСК остаётся весьма ограниченным. Согласно данным веб-ресурса clinicaltrials.gov, зарегистрировано одно завершённое клиническое исследование I фазы, проводимое в Индонезии, в котором кондиционированная среда от МСК из пуповины человека использовалась для лечения хронической язвы (NCT04134676). В данное исследование было включено 38 пациентов с хронической язвой сроком более 1 месяца, которым на 2 недели накладывали топический гель с кондиционированной средой, покрытый прозрачной повязкой. Оценка состояния и замена повязки проводились 1 раз в неделю. Первичные результаты показали, что отёк, эритема, а также размер язвы уменьшились, и появилась грануляционная ткань [23].
Ранее в нашем собственном исследовании было продемонстрировано, что применение КС-МСК может быть эффективным методом для заживления гнойно-некротической послеоперационной раны, образовавшейся вследствие ампутации конечности у пациентов с критической ишемией нижних конечностей [24]. В целом благотворное влияние КС-МСК на заживление ран наряду с несложным и безопасным её применением позволяют рекомендовать этот метод в качестве эффективной альтернативы для лечения хронических ран у пациентов с диабетом.
ЗАКЛЮЧЕНИЕ
Продемонстрированная нами эффективность лечения с помощью КС-МСК хронических ран с открытыми костными поверхностями в области дистальных отделов пальцев стопы требует тем не менее дальнейших клинических исследований на большем числе пациентов с целью детальной отработки протокола и создания на его основе новой медицинской технологии лечения хронических ран с открытыми костными поверхностями, не поддающихся стандартному местному лечению даже после успешно проведённых реваскуляризаций облитерированных сосудов нижних конечностей.
ДОПОЛНИТЕЛЬНАЯ ИНФОРМАЦИЯ
Источник финансирования. Работа выполнена в рамках государственного задания ФМБА России.
Конфликт интересов. Авторы декларируют отсутствие явных и потенциальных конфликтов интересов, связанных с публикацией настоящей статьи.
Вклад авторов. О.В. Павлова — концепция исследования, ведение пациентки, сбор и обработка материала, написание текста; В.А. Кальсин — подготовка КС-МСК; Ю.С. Суханова — проведение иммуногистохимического исследования; М.А. Коноплянников, В.Л. Балдин, А.В. Смирнов, В.П. Баклаушев, Ю.В. Иванов — дизайн исследования, написание и редактирование текста. Авторы подтверждают соответствие своего авторства международным критериям ICMJE (все авторы внесли существенный вклад в разработку концепции и подготовку статьи, прочли и одобрили финальную версию перед публикацией).
Информированное согласие на публикацию. От пациентки получено письменное информированное добровольное согласие на публикацию описания клинического случая, медицинских данных (результатов обследования, лечения и наблюдения) и анонимизированных изображений в медицинском журнале «Клиническая практика», включая его электронную версию (дата подписания 29.05.2024).
ADDITIONAL INFORMATION
Funding source. This study was supported by the FMBA of Russia.
Competing interests. The authors declare that they have no competing interests.
Authors’ contribution. O.V. Pavlova — study concept, patient management, collection and processing of material, writing the text; V.A. Kalsin — preparation of CM-MSC; Iu.S. Sukhanova — immunohistochemical testing; M.A. Konoplyannikov, V.L. Baldin, A.V. Smirnov, V.P. Baklaushev, Yu.V. Ivanov — concept and design, text writing, editing. The authors made a substantial contribution to the conception of the work, acquisition, analysis, interpretation of data for the work, drafting and revising the work, final approval of the version to be published and agree to be accountable for all aspects of the work.
Consent for publication. A written voluntary informed consent was obtained from the patient to publish a description of the clinical case in the journal “Clinical Practice”, including the use of his medical data (results of examination, treatment and observation) for scientific purposes (date of signing 29.05.2024).
About the authors
Olga V. Pavlova
Federal Research and Clinical Center of Specialized Medical Care and Medical Technologies
Author for correspondence.
Email: vasa-vasorum@mail.ru
ORCID iD: 0000-0002-9459-7391
Russian Federation, Moscow
Vladimir A. Kalsin
Federal Research and Clinical Center of Specialized Medical Care and Medical Technologies
Email: vkalsin@mail.ru
ORCID iD: 0000-0003-2705-3578
SPIN-code: 1046-8801
Russian Federation, Moscow
Mikhail A. Konoplyannikov
Federal Research and Clinical Center of Specialized Medical Care and Medical Technologies; First Sechenov Moscow State Medical University (Sechenov University)
Email: mkonopl@mail.ru
ORCID iD: 0000-0003-1180-2343
SPIN-code: 9211-6391
PhD, Cand. Sci. (Biol.)
Russian Federation, Москва; МоскваSofia M. Kuznetsova
Federal Research and Clinical Center of Specialized Medical Care and Medical Technologies
Email: sophijka1010@yandex.ru
Russian Federation, Moscow
Victor L. Baldin
Federal Research and Clinical Center of Specialized Medical Care and Medical Technologies
Email: baldinvl@gmail.com
ORCID iD: 0000-0003-3033-5605
MD, PhD
Russian Federation, MoscowYulia S. Sukhanova
Russian National Research Medical University named after N.I. Pirogov
Email: sukhanova.js@gmail.com
ORCID iD: 0000-0002-1867-6813
SPIN-code: 1054-4905
Russian Federation, Moscow
Alexander V. Smirnov
Federal Research and Clinical Center of Specialized Medical Care and Medical Technologies
Email: alvsmirnov@mail.ru
ORCID iD: 0000-0003-3897-8306
SPIN-code: 5619-1151
MD, PhD
Russian Federation, MoscowVladimir P. Baklaushev
Federal Research and Clinical Center of Specialized Medical Care and Medical Technologies; Russian National Research Medical University named after N.I. Pirogov; Federal Center of Brain Research and Neurotechnologies; Pulmonology Scientific Research Institute
Email: baklaushev.vp@fnkc-fmba.ru
ORCID iD: 0000-0003-1039-4245
SPIN-code: 3968-2971
MD, PhD
Russian Federation, Moscow; Moscow; Moscow; MoscowYuri V. Ivanov
Federal Research and Clinical Center of Specialized Medical Care and Medical Technologies
Email: ivanovkb83@yandex.ru
ORCID iD: 0000-0001-6209-4194
SPIN-code: 3240-4335
MD, PhD, Professor
Russian Federation, MoscowReferences
- Miyanaga T, Haseda Y, Daizo H, et al. A perifascial areolar tissue graft with topical administration of basic fibroblast growth factor for treatment of complex wounds with exposed tendons and/or bones. J Foot Ankle Surg. 2018;57(1):104–110. doi: 10.1053/j.jfas.2017.08.026
- Magliano DJ, Boyko EJ; IDF Diabetes Atlas 10th edition scientific committee. Brussels: International Diabetes Federation; 2021. Chapter 3, Global picture. Режим доступа: https://www.ncbi.nlm.nih.gov/books/NBK581940/. Дата обращения: 15.04.2024.
- Canavan RJ, Unwin NC, Kelly WF, Connolly VM. Diabetes- and nondiabetes-related lower extremity amputation incidence before and after the introduction of better organized diabetes foot care: Continuous longitudinal monitoring using a standard method. Diabetes Care. 2008;31(3):459–463. doi: 10.2337/dc07-1159
- Chen SL, Chen TM, Chou TD, et al. The distally based lesser saphenous venofasciocutaneous flap for ankle and heel reconstruction. Plast Reconstr Surg. 2002;110(7):1664–1672. doi: 10.1097/01.PRS.0000033025.43603.67
- Parodi PC, Biasio FD, Rampino E, et al. The distally-based radial fasciosubcutaneous flap for soft tissue cover of the flexor aspect of the wrist. Scand J Plast Reconstr Surg Hand Surg. 2003;37(1):61–63. doi: 10.1080/alp.37.1.61.63
- Chen SL, Chen TM, Wang HJ. The distally based sural fasciomusculocutaneous flap for foot reconstruction. J Plast Reconstr Aesthet Surg. 2006;59(8):846–855. doi: 10.1016/j.bjps.2005.10.013
- Hallock GG. Free-flap coverage of the exposed Achilles tendon. Plast Reconstr Surg. 1989;83(4):710–716. doi: 10.1097/00006534-198904000-00019
- Ларичев А.Б., Чистяков А.Л., Комлев В.Л. Сравнительная оценка заживления раны при использовании локального лоскута и полнослойного кожного трансплантата в реконструктивно-восстановительной хирургии головы и шеи // Раны и раневые инфекции. Журнал имени проф. Б.М. Костючёнка. 2016. Т. 3, № 2. С. 37–46. [Larichev AB, Chistyakov AL, Komlev VL. Comparative assessment of wound healing by using a local flap and full-thickness skin graft in reconstructive head and neck surgery. Wounds and wound infections. The prof. B.M. Kostyuchenok journal. 2016;3(2):37–46. (In Russ).] EDN: XCNXVR doi: 10.17650/2408-9613-2016-3-2-37-46
- Nakamichi M, Akishima Y, Fujisawa C, et al. Basic fibroblast growth factor induces angiogenic properties of fibrocytes to stimulate vascular formation during wound healing. Am J Pathol. 2016;186(12):3201–3216. doi: 10.1016/j.ajpath.2016.08.015
- Suzuki S, Kawai K, Ashoori F, et al. Long-term follow-up study of artificial dermis composed of outer silicone layer and inner collagen sponge. Br J Plast Surg. 2000;53(8):659–666. doi: 10.1054/bjps.2000.3426
- Chen X, Chen H, Zhang G. Management of wounds with exposed bone structures using an artificial dermis and skin grafting technique. Clin Plast Surg. 2012;39(1):69–75. doi: 10.1016/j.cps.2011.09.011
- Pittenger MF, Discher DE, Péault BM, et al. Mesenchymal stem cell perspective: Cell biology to clinical progress. NPJ Regen Med. 2019;(4):22. EDN: MXZCWM doi: 10.1038/s41536-019-0083-6
- Otero-Viñas M, Falanga V. Mesenchymal stem cells in chronic wounds: The spectrum from basic to advanced therapy. Adv Wound Care (New Rochelle). 2016;5(4):149–163. doi: 10.1089/wound.2015.0627
- Heydari MB, Ghanbari-Movahed Z, Heydari M, Farzaei MH. In vitro study of the mesenchymal stem cells-conditional media role in skin wound healing process: A systematic review. Int Wound J. 2022;19(8):2210–2223. EDN: SRZLNT doi: 10.1111/iwj.13796
- Ma H, Siu WS, Leung PC. The potential of MSC-based cell-free therapy in wound healing: A thorough literature review. Int J Mol Sci. 2023;24(11):9356. EDN: YJPOQS doi: 10.3390/ijms24119356
- Bogatcheva NV, Coleman ME. Conditioned medium of mesenchymal stromal cells: A new class of therapeutics. Biochem (Mosc). 2019;84(11):1375–1389. EDN: ZRULLM doi: 10.1134/S0006297919110129
- Патент РФ на изобретение № RU2575780 C1. Павлова О.В. Способ микрохирургической обработки длительно незаживающих хронических ран. [Patent RUS № RU2575780 C1. Pavlova OV. Method of microsurgical treatment of long non-healing chronic wounds. (In Russ).] Режим доступа: https://yandex.ru/patents/doc/RU2575780C1_20160220. Дата обращения: 15.04.2024.
- Bates-Jensen BM, McCreath HE, Harputlu D, Patlan A. Reliability of the Bates-Jensen wound assessment tool for pressure injury assessment: The pressure ulcer detection study. Wound Repair Regen. 2019;27(4):386–395. doi: 10.1111/wrr.12714
- Saheli M, Bayat M, Ganji R, et al. Human mesenchymal stem cells-conditioned medium improves diabetic wound healing mainly through modulating fibroblast behaviors. Arch Dermatol Res. 2020;312(5):325–336. EDN: WTLEWO doi: 10.1007/s00403-019-02016-6
- Темнов А.А., Астрелина Т.А., Рогов К.А., и др. Исследование влияния факторов кондиционной среды, полученной при культивировании мезенхимальных стволовых клеток костного мозга, на течение тяжелых местных лучевых поражений кожи у крыс // Медицинская радиология и радиационная безопасность. 2018. № 1. С. 35–43. [Temnov AA, Astrelina TA, Rogov KA, et al. Investigation of the influence of the conditioning medium factors obtained during the cultivation of bone marrow mesenchymal stem cells on the course of severe local radiation injuries of skin in rats. Мedical Radiology and Radiation Safety. 2018;(1):35–43. (In Russ).] EDN: YTGIIB doi: 10.12737/article_5a82eb9a9bbac1.67972336
- Montero-Vilchez T, Sierra-Sánchez Á, Sanchez-Diaz M, et al. Mesenchymal stromal cell-conditioned medium for skin diseases: A systematic review. Front Cell Dev Biol. 2021;(9):654210. EDN: TQWLTX doi: 10.3389/fcell.2021.654210
- Marofi F, Alexandrovna KI, Margiana R, et al. MSCs and their exosomes: A rapidly evolving approach in the context of cutaneous wounds therapy. Stem Cell Res Ther. 2021;12(1):597. EDN: VKILLO doi: 10.1186/s13287-021-02662-6
- Therapeutic potential of stem cell conditioned medium on chronic ulcer wounds [2020 June 22]. Режим доступа: https://clinicaltrials.gov/study/NCT04134676?term=NCT04134676. Дата обращения: 15.04.2024.
- Черепанин А.И., Павлова О.В., Кальсин В.А., и др. Клинический случай успешного применения кондиционированной клеточной среды для лечения хронической раны ампутационной культи // Клиническая практика.2022. Т. 13, № 1. С. 92–98. [Cherepanin AI, Pavlova OV, Kalsin VA, et al. Successful application of conditioned culture medium for the treatment of a chronic wound of an amputation stump: A clinical case. J Clinical Practice. 2022;13(1):92–98. (In Russ).] EDN: WTJHAW doi: 10.17816/clinpract105089
Supplementary files











