Нейровизуализация при бактериальных менингитах у детей
- Авторы: Марченко Н.В.1, Войтенков В.Б.1,2, Скрипченко Н.В.1,3, Дубицкий Д.Л.1, Бедова М.А.1, Овчинников А.С.1, Чуркина Д.Н.1
-
Учреждения:
- Детский научно-клинический центр инфекционных болезней Федерального медико-биологического агентства
- Академия постдипломного образования ФГБУ «Федеральный научно-клинический центр специализированных видов медицинской помощи и медицинских технологий Федерального медико-биологического агентства России»
- Санкт-Петербургский государственный педиатрический медицинский университет
- Выпуск: Том 12, № 1 (2021)
- Страницы: 72-81
- Раздел: Научные обзоры
- Статья получена: 24.03.2021
- Статья одобрена: 10.04.2021
- Статья опубликована: 15.03.2021
- URL: https://clinpractice.ru/clinpractice/article/view/64008
- DOI: https://doi.org/10.17816/clinpract64008
- ID: 64008
Цитировать
Полный текст
Аннотация
Представлены сведения о применении нейровизуализационных методов, а именно компьютерной томографии (КТ) и магнитно-резонансной томографии (МРТ), в качестве одного из инструментов диагностики при менингитах различной этиологии, в первую очередь при бактериальных гнойных менингитах. Каждая из методик имеет свое поле использования в зависимости от периода течения заболевания и состояния пациента (необходимость в проведении мероприятий интенсивной терапии, вентиляционной поддержке). Сведения о диагностической ценности данных КТ и структурной МРТ различаются и зависят от этиологии и периода воспалительного процесса. В последние годы в практику широко внедряются методики мультипараметрической МРТ, включающей, помимо структурной, диффузионно-взвешенные изображения (DWI), диффузионно-тензорные изображения (DTI) и МР-спектроскопию (МРС), а также исследования с искусственным контрастированием, применение которых, согласно ряду сообщений, более эффективно в этой роли. Таким образом, применение методик мультипараметрической МРТ и КТ с искусственным контрастированием перспективно и обоснованно в качестве инструмента диагностики у пациентов с бактериальными гнойными менингитами с точки зрения улучшения чувствительности методов.
Полный текст
ОБОСНОВАНИЕ
Инфекции центральной нервной системы связаны с высокой смертностью и заболеваемостью во всех группах населения. Ранняя диагностика и лечение бактериального гнойного менингита и абсцесса головного мозга как возможного осложнения способствует улучшению исходов заболевания [1].
Бактериальные гнойные менингиты (БГМ) — группа заболеваний, имеющих сходные клинические и патоморфологические проявления, характеризуемые сочетанием системной воспалительной реакции с воспалительным процессом в мягких мозговых оболочках в ответ на инвазию различных бактериальных агентов [2].
Заболеваемость БГМ зависит от региональных особенностей, социальных условий и наличия специфической профилактики инфицирования наиболее частыми возбудителями БГМ в той или другой стране. Общая заболеваемость БГМ колеблется от 2–5 случаев в развитых странах до 40–100 и более на 100 тыс. населения в странах «менингитного пояса» на Африканском континенте. В Российской Федерации заболеваемость БГМ у детей до 18 лет составляет 4–6 на 100 тыс. [2].
Летальность при БГМ может достигать 20–30%, в связи с чем диагноз бактериального менингита должен устанавливаться на ранней стадии, а исследование и лечение должны быть начаты незамедлительно [1].
Этиология БГМ варьирует в разные возрастные периоды и во многом зависит от предшествующих заболеванию факторов. БГМ может развиваться как первично, без предшествующей общей инфекции или заболевания какого-либо органа, либо вторично, осложняя течение других инфекционных заболеваний, воспалительных поражений органов и систем [3]. В период новорожденности и у детей первых 3 мес жизни основными возбудителями являются Escherichia coli, Streptococcus agalactiae (B), Staphylococcus spp., Proteus murabilis, Proteus morganii, Listeria monocytogenes, Pseudomonas aeruginosa, Klebsiella spp., Streptococcus spp. (non B), Enterobacter spp.У детей в возрасте от 3 мес до 5 лет наиболее часто менингиты вызывают Neisseria meningitidis, Streptococcus pneumoniae, Haemophilis influenzae (b) (в странах, где не проводится плановая иммунизация от гемофильной инфекции, в том числе в Российской Федерации); у детей старше 5 лет и у взрослых подавляющее число менингитов (до 90–95%) обусловлено N. meningitidis, S. pneumoniae. При вторичных менингитах наиболее часто встречаются S. pneumoniae, Staphylococcus spp., E. coli, P. aeruginosa [4].
Цель обзора — систематизация сведений о применении нейровизуализационных методов, в первую очередь компьютерной (КТ) и магнитно-резонансной (МРТ) томографии, в качестве одного из инструментов диагностики при менингитах различной этиологии с учетом новых сведений о применении мультипараметрических методов.
НЕЙРОВИЗУАЛИЗАЦИОННЫЕ МЕТОДЫ — ИНСТРУМЕНТ ДИАГНОСТИКИ ПРИ МЕНИНГИТАХ РАЗЛИЧНОЙ ЭТИОЛОГИИ
К «классическим» клиническим проявлениям БГМ относится сочетание интенсивной головной боли, лихорадки, изменения сознания/психического статуса, симптомов менингизма (ригидность мышц шеи, гиперэстезия, фотофобия), однако у детей, особенно раннего возраста, характерных симптомов может не отмечаться.
Пациенты должны быть оценены на наличие признаков инфекций среднего уха, сосцевидного отростка или синусита, которые могут предшествовать менингиту. Исследования должны проводиться незамедлительно, чтобы подтвердить диагноз менингита и избежать задержки начала лечения. Люмбальная пункция с анализом цереброспинальной жидкости является наиболее важным исследованием для подтверждения бактериального менингита [5].
У детей перед проведением люмбальной пункции проводится ультразвуковое исследование (нейросонография) головного мозга: оценивается состояние пациента на наличие признаков смещения срединных структур и вклинения, очаговых изменений, что является противопоказанием к люмбальной пункции. Наиболее эффективна нейросонография у детей раннего возраста, когда еще сохраняются акустические доступы через роднички, и толщина костей черепа небольшая. Ультразвуковое исследование с допплерографией способно с высокой точностью диагностировать смещение срединных структур, отек головного мозга, тромбозы венозных синусов, субдуральный выпот, гидроцефалию, выявить признаки вентрикулита. Нейросонография менее эффективна в диагностике инсульта, церебрита, эмпиемы оболочек мозга [6].
В качестве дополнения к клиническому обследованию пациентов широко применяются методы инструментальной диагностики, в первую очередь экспертной нейровизуализации [6]. Среди методов нейровизуализации особое место занимают КТ, позволяющая сканировать пациентов с достаточной детализацией в течение короткого времени [6] и МРТ, имеющая максимальную мягкотканную разрешающую контрастность исследуемых органов и тканей [5]. По характеру проводимого исследования и задействуемых протоколов МРТ можно разделить на структурное, функциональное и исследование с искусственным контрастированием [5]. МРТ позволяет оценить анатомические особенности, распространенность общих и/или очаговых нарушений и их характер. Мультипараметрическая МРТ состоит из следующих методик: структурная МРТ, диффузионно-взвешенные изображения (diffusion weighted imaging, DWI), диффузионно-тензорные изображения (diffusion tensor imaging, DTI), МР-спектроскопия (МРС), Т2-перфузия и отсроченное внутривенное контрастирование. При исследовании с искусственным контрастированием осуществляется введение контрастного вещества с последующей оценкой характера васкуляризации зоны интереса, целостности гематоэнцефалического барьера.
Применение нейровизуализационных показателей в прогнозировании течения воспалительных заболеваний головного мозга и его оболочек в настоящее время активно развивается [7]. Нейровизуализационные методы позволяют выявлять отклонения от нормальной анатомической картины. Мозг покрыт несколькими защитными слоями — твердыми и мягкими. К ним относятся кости свода черепа; твердая, паутинная и мягкая оболочки; между ними находятся эпидуральное, субдуральное, субарахноидальное пространство. При воспалительных изменениях в подлежащих своду черепа структурах развивается менингит, при вовлечении в процесс вещества головного мозга — менингоэнцефалит.
Показаниями к КТ/МРТ головного мозга при подозрении на бактериальный гнойный менингит являются[2]:
- клиническая картина нарастающей внутричерепной гипертензии / отека головного мозга;
- наличие фонового заболевания центральной нервной системы;
- длительные судороги (особенно фокальные), впервые возникшие судороги;
- очаговая неврологическая симптоматика;
- пациенты с глубоким угнетением сознания (уровень по шкале комы Глазго <10);
- пациентам с тяжелыми иммунодефицитами.
Перед проведением КТ/МРТ необходимо стабилизировать гемодинамику больного [2].
Признаки менингеального усиления можно увидеть на КТ с контрастным усилением или МРТ, но зачастую сканирование является нативным (без применения контрастных веществ). Общее обоснование для выполнения КТ связано с опасениями по поводу выполнения люмбальной пункции при наличии значительно повышенного внутричерепного давления, что может привести к смещению структур мозга [2].
Нормальные проявления на КТ головы не исключают повышенного внутричерепного давления при бактериальном менингите, но данные могут быть использованы для исключения значительных объемных поражений, которые были бы противопоказаны при люмбальной пункции. В этой ситуации важно исключить абсцесс головного мозга и дислокацию структур.
КТ головного мозга проводится в основном при осложненном течении серозного менингита и направлена на выявление тяжелых нарушений, таких как дислокационный и гидроцефалический синдромы [8, 9]. Расширение субарахноидального пространства регистрируется у 50% пациентов с БГМ [6]. В тоже время роль КТ в оценке прогноза течения серозного менингита в настоящее время не изучена [10, 11]. Проведенный нами анализ доступной литературы не дал работ с указанием конкретных значений чувствительности, специфичности и общей диагностической ценности данных методов. Все сведения носят разрозненный, иногда декларативный характер [9–11]. Отечность извилин и сглаженность борозд являются характерными и в тоже время неспецифичными признаками менингита, выявляемыми при проведении нативной КТ и МРТ [12, 13]. МР-визуализация является наиболее чувствительным способом выявления менингита: может быть видна аномальная гиперинтенсивность на FLAIR(fluid-attenuated inversion recovery — восстановление инверсии с ослаблением жидкости) и DWI-изображениях (b >800 с/мм2) вдоль мозговых борозд.
Приблизительно у 55–70% пациентов с клинически доказанным менингитом при внутривенном контрастировании возможно обнаружение тонкого линейного накопления контрастного вещества в бороздах коры головного мозга [5].На сегодняшний день показано, что чувствительность импульсных последовательностей FLAIR и DIR (double inversion recovery — восстановление двойной инверсии) в выявлении патологических изменений в оболочках головного мозга превосходит чувствительность T1-взвешенных изображений (Т1-ВИ) вследствие подавления МР-сигнала от нежелательных тканей и меньшей зависимости от неоднородности магнитных полей [14] (рис. 1).
Рис. 1. МРТ головного мозга пациента в возрасте 3 лет с бактериальным менингитом. Диффузное усиление МР-сигнала в FLAIR-режиме в области борозд мозга (a), изоинтенсивное — в режиме DWI (100 с/мм2) (b), без МР-признаков накопления контрастного вещества (c). Фокальные субкортикальные изменения без признаков повреждения гематоэнцефалического барьера (собственные данные).
Fig. 1. Brain MRI of a 3 year-old patient with bacterial meningitis. Diffuse increase in the MR signal in the FLAIR mode in the furrows of the brain, isointense in the DWI mode (1000 s/mm2), no signs of the contrast accumulation. Focal changes in the subcortical parts of the brain without signs of blood-brain barrier disturbance.
При введении контрастного вещества в норме может регистрироваться усиление сигнала от оболочек мозга, чаще парасагиттально; в наибольшей степени усиливается сигнал от твердой оболочки [6]. Паутинная оболочка в норме слишком тонкая, чтобы надлежащим образом визуализироваться при введении контрастного вещества [12]. Патологическое усиление сигнала будет в основном асимметричным, без четких границ, часто с распространением далеко вглубь по краям извилины [6]. Усиление сигнала от оболочек мозга в зависимости от его характера подразделяется на пахименингеальное, лептоменингеальное (диффузное и очаговое), гириформное корковое и эпендимальное.
Тонкие линейные участки усиления в бороздах мозга — типичный, но не облигатный паттерн острого бактериального и вирусного менингита, в то же время узловатое и более выраженное накопление контрастного вещества в базальных цистернах более характерно для гранулематозных менингитов и карциноматоза [15].
Терапия препаратами глюкокортикостероидов при БГМ, возможно, приводит к восстановлению поврежденного гематоэнцефалического барьера, что при нейровизуализации может проявляться нивелированием накопления контрастного вещества в оболочках и структурах мозга и приводить к диссоциации диагностической и клинической картины [6]. В тоже время существует мнение, что накопление контрастного вещества в оболочках мозга может быть связано со стазом его в расширенных просветах мелких сосудов мягкой и паутинной оболочек с развитием их гиперемии и отека [16, 17]. Данный вопрос до настоящего времени остается дискутабельным и требует дальнейшего изучения.
При менингите помимо собственно воспаления оболочек мозга может возникнуть ряд осложнений, таких как отек головного мозга (15–45%), субдуральный выпот (3,2–47%), васкулиты, тромбозы венозных синусов и инфаркты мозга (5–25%), гидроцефалия (3–10%), дислокационный синдром и эмпиема оболочек (3%) [18].Обе нейровизуализационные методики играют важную роль при выявлении вышеперечисленных осложнений БГМ.
Лучевая картина изолированного неосложненного инфекционного поражения мозговых оболочек, как правило, неспецифична и не должна рассматриваться в отрыве от клинико-лабораторных данных конкретного пациента [19, 20]. Так, изменения при туберкулезном менингите выявляются, по некоторым сообщениям, лишь в 24% случаев [21],патогномоничные паттерны, как правило, — при осложненном течении менингита и развитии менингоэнцефалита [16].
Применение современной последовательности МРТDWI позволяет выявлять ранние паренхиматозные и экстрааксиальные (внемозговые) осложнения менингитав отличие от структурной МРТ [2]. МРC и DWI позволяют лучше проводить дифференциальную диагностику между абсцессом головного мозга и кистозными опухолями [8].
Предполагается, что показатели фракционной анизотропии и измеряемого коэффициента диффузии (apparent diffusion coefficient, ADC) являются лучшими индикаторами активного диффузного воспаления оболочек по сравнению с Т1-ВИ-последовательностью после проведения контрастирования. По данным DTI выявлено также, что у новорожденных с БГМ перивентрикулярно снижаются показатели фракционной анизотропии, что может указывать на наличие васкулита в этих областях с поражением белого вещества головного мозга [22].
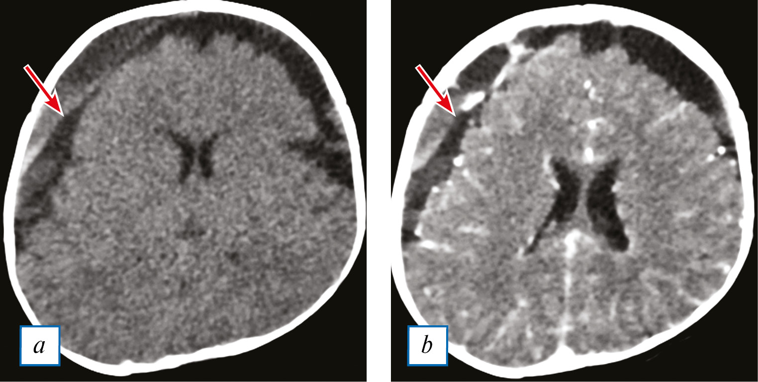
Пример изменений, выявляемых с помощью КТ при БГМ у детей, представлен на рис. 2.
Рис. 2. Бесконтрастная КТ головного мозга пациентки М., 3 мес, с диагнозом бактериального менингита менингококковой этиологии. Динамическое наблюдение в остром периоде с разницей 6 сут (первое наблюдение — в первые сутки поступления, красные стрелки). Нарастание изменений в виде расширения субарахноидального пространства (зеленые стрелки), снижения плотностных показателей серого вещества в области передних и задних рогов боковых желудочков (собственные данные).
Fig. 2. Contrast-free CT of the brain of a patient M, 3 months, diagnosis-bacterial meningitis of meningococcal etiology. Dynamic observation in the acute period with a difference of 6 days (the first observation on the first day of admission, red arrows). Increase of changes in the form of expansion of the subarachnoid space (green arrows), decrease in the density indicators of gray matter in the area of the anterior and posterior horns of the lateral ventricles (own data).
Экстрааксиальное (внемозговое) накопление жидкости может быть стерильным (эффузии) или гнойным (эмпиема). Субдуральный выпот — характерное проявление гиперпродукции ликвора, часто наблюдаемое при БГМ [18, 23, 24].
КТ и МРТ имеют важное значение в диагностике фокальных пиогенных инфекций головного мозга [9, 11]. Характеристики КТ и МРТ варьируют в зависимости от различных фаз мозговых инфекций, их можно произвольно разделить на четыре фазы. В начальной фазе церебрита КТ показывает низкоплотный участок с нечеткими контурами и невыраженным масс-эффектом, что согласуется с проявлениями нейтрофильной инфильтрации в ответ на локальную инвазию инфекционного агента [11]. МР-изображения показывают очаг с гиперинтенсивным сигналом на T2-ВИ (и FLAIR) и гипоинтенсивным сигналом на T1-ВИ, с отеком вокруг очага поражения [12, 25, 26]. В данной фазе нет гнойной жидкости в очаге, но имеются признаки ограничения диффузии (на DWI); контрастное усиление в очаге поражения незначительно или отсутствует [27].
В поздней фазе церебрита фибробласты концентрируются по краям, поэтому на неконтрастных КТ-изображениях может быть выявлена неровная нечеткая зона отека. При контрастировании выявляется толстое кольцеобразное или узелковое усиление. Периферия может продемонстрировать изоинтенсивный или незначительный гиперинтенсивный ободок на T1-ВИ (изо- или гипо- на T2-ВИ). Периферический отек вокруг зоны поражения гиперинтенсивен на Т2-ВИ [27].
Некроз обычно располагается в центральной зоне поражения и имеет истинное ограничение диффузии на DWI. Сначала поражение проявляется в виде диффузного или узелкового усиления, после этого развивается центральный некроз с формированием утолщенного кольцевидного усиления в капсуле абсцесса (рис. 3). Когда формирование капсулы завершено, абсцесс проявляется в виде округлой или яйцевидной области, что можно визуализировать также и на преконтрастных КТ-изображениях [28].
Рис. 3. МРТ головного мозга ребенка с клинически подтвержденным бактериальным эндокардитом (обведено красным): a — FLAIR (абсцесс в левой затылочной доле); b — карта измеряемого коэффициента диффузии (ограничение диффузии от содержимого абсцесса); с — Т1-ВИ с внутривенным контрастированием (накопление контрастного препарата стенкой абсцесса).
Fig. 3. Brain MRI of a child with clinically confirmed bacterial endocarditis: a — FLAIR (abscess in the left occipital lobe); b — ADC mape (restriction of diffusion from the contents of the abscess); с — T1-weighted brain MRI with contrast (contrast enhancement in the abscess wall).
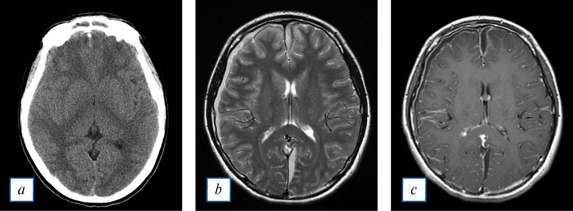
Рис. 4. Нативная КТ и МРТ головного мозга с контрастным усилением у ребенка с клинически подтвержденным бактериальным менингитом: a — нативная КТ (экстрааксиальное скопление транссудата в левой лобной области, лобной пазухе); b — Т2-ВИМРТ (обширная субдуральная эмпиема); с — Т1-ВИМРТ (субдуральная эмпиема, лептоменингеальное накопление контрастного препарата) (собственные данные).
Fig. 4. Native CT and MRI in the T2 and T1 modes with contrast enhancement in a child with clinically confirmed bacterial meningitis. Own data. a — native brain CT scan (extra-axial collection medial to the left frontal lobe, frontal sinuses are opacified); b — T2-weighted MRI scan of brain (subdural empyema); с — T1-weighted brain MRI with contrast (subdural empyema, leptomeningeal contrast enhancement) (own data).
В позднюю фазу абсцесса центральная некротическая зона очага поражения уменьшается в размерах, и капсула становится изо- или гиперинтенсивной на Т2-ВИ со сниженным накоплением контрастного вещества [28].
При пиогенной инфекции мозга гной может накапливаться в субдуральном и эпидуральном пространствах. Субдуральная эмпиема оболочек, как правило, развивается при тромбофлебите, распространяющемся через эмиссарные вены черепа из зараженной области. Эпидуральная эмпиема локализуется снаружи от твердой мозговой оболочки [26].
Скопление жидкости в основном регистрируется по фронтальной и темпоральной поверхности мозга, как правило, возникает масс-эффект [13, 29]. Повышение сигнала на последовательности Т1-ВИ в подлежащей коре и наличие тромбоза расположенных рядом вен подтверждают наличие эмпиемы; также в данном случае отмечается усиление сигнала при DWI (>800 c/мм2) [30, 31].
Необходимо дифференцировать субдуральный выпот от субдуральной эмпиемы, т.к. последняя может вызвать такие осложнения, как тромбофлебит и энцефалит. При эмпиеме плотность жидкости немного выше на КТ-изображениях (рис. 5), имеет повышенный МР-сигнал на Т1-ВИ и FLAIR-изображениях из-за более высокой концентрации белка. При внутривенном контрастировании оболочки эмпиемы умеренно накапливают контрастное вещество. С появлением DWI дифференцировка простого выпота и эмпиемы при МРТ стала более доступной: эмпиема показывает более высокий сигнал на DWI>800 c/мм2 и низкие значения ADC, такие же как в абсцессе. Протонная МРС может дополнять DWI и обычное МР-изображение. Некротическая жидкость бактериального абсцесса в поздней стадии лишена нормальных метаболитов головного мозга, таких как N-ацетиласпартат, холин и креатин.
Рис. 5. КТ (аксиальная плоскость) головного мозга пациента М., 4 мес, с диагностированным при поступлении менингитом неясной этиологии. Исследование выполнено в первые часы после поступления. Определяется расширение наружных ликворных пространств лобных областей с частично отграниченным скоплением белковой жидкости и формированием уровней седиментации (эмпиема указана стрелками). Фрагментарное неравномерное накопление контрастного вещества в паутинной оболочке: a — нативное сканирование; b — венозная фаза контрастирования (собственные данные).
Fig. 5. CT scan of the brain of a patient M., 4 months. Diagnosis at admission – meningitis of unknown etiology. The study was performed in the first hours after admission. The expansion of the external cerebrospinal fluid spaces of the frontal areas with a partially delimited accumulation of protein fluid and formation of sedimentation levels (empyema is marked by an arrow) is determined. Fragmented uneven accumulation of the contrast medium in the arachnoid membrane: a — CT scan of the brain, axial plane, native scan; b — CT scan of the brain, venous phase of contrast, axial plane (own data).
Между тем увеличенные пиковые значения цитозольных аминокислот (0,9 ppm) и лактата (1,3 ppm) являются характеристиками нелеченого пиогенного абсцесса, которые могут сопровождаться пиками ацетата (1,9 ppm) и сукцината (2,4 ppm). Присутствие ацетата и сукцината позволяет предположить анаэробную природу развившегося состояния [15].
Вентрикулит является редким осложнением менингита. Т1-ВИ, FLAIR и DWI чувствительны для демонстрации повышенного МР-сигнала от гноя в желудочковой системе. При контрастировании выявляется накопление контрастного вещества в эпендиме. Как упоминалось ранее, DWI полезны в дифференциальной диагностике пиогенного абсцесса и других кольцевидных поражений (первичное новообразование, метастаз и гематома): при абсцессе снижение ADC обычно более выражено [12].
Развитие инфаркта вещества головного мозга при менингите является тяжелым осложнением. Среди пациентов с бактериальным менингитом инсульт может осложняться в 17–43% случаев. Дети наиболее подвержены повреждениям мозговой ткани при менингите. Указывается, что у 1/3 детей с острым бактериальным менингитом может развиться ишемический инсульт (инфаркт) (рис. 6) [32].
Рис. 6. Нативная КТ головного мозга (a) и КТ головного мозга с внутривенным контрастированием (b, с) пациента в возрасте 2 лет с менингитом, вызванным Haemophilis influenza тип b. При нативной КТ в правой лобной доле определяется нечеткий гиподенсный (+25HU против +35HU) участок без признаков накопления контрастного вещества. Повышенное накопление контрастного вещества в прилегающих оболочках мозга (собственные данные).
Fig. 6. A 2-year old patient. Meningitis, etiology — Haemophilis influenzae (b). With native CT in the right frontal lobe, a fuzzy hypodensity (+ 25HUvs+ 35HU) area is determined without signs of contrast agent accumulation. Increased accumulation of the contrast medium in the adjacent shells of the brain. (own data). a — native CT scan of brain; b — CT scan of the brain with contrast; с — CT scan of brain with contrast, (own data).
Патофизиология инфаркта головного мозга при бактериальном менингите установлена недостаточно: возможные причины — церебральная ангиопатия, стенозы артерий, васкулит, способствование свертываемости крови при инфекции [32].
Менингит может привести к артерииту крупных и мелких сосудов, что повышает риск развития артериального ишемического инсульта с формированием петехиальных кровоизлияний (реже к образованию гематом). Тромбозы венозных синусов также могут приводить к развитию инфарктов в головном мозге. Прогрессирующая артериопатия крупных сосудов приводит к неравномерным стенозам, в т.ч. сосудов Виллизиева круга, с возможными рецидивами инсультов [32].
ЗАКЛЮЧЕНИЕ
Таким образом, применение КТ и МРТ в качестве инструмента диагностики при БГМ хорошо изучено, в особенности для выявления осложнений — поражения вещества мозга, эмпиемы, васкулита и т.д. Сведения о прогностической ценности данных методов нейровизуализации различаются по данным разных авторов и требуют дальнейшего изучения.
В последние годы в практику широко внедряются методики мультипараметрической МРТ, применение которой в качестве инструмента диагностики и прогнозирования характера течения БГМ перспективно и обоснованно ввиду возможности более глубокого изучения строения и функционирования пораженной ткани головного мозга, а не только его оболочек.
ДОПОЛНИТЕЛЬНАЯ ИНФОРМАЦИЯ
Участие авторов. Авторы подтверждают соответствие своего авторства международным критериям ICMJE (все авторы внесли существенный вклад в разработку концепции, проведение исследования и подготовку статьи, прочли и одобрили финальную версию перед публикацией).
Источник финансирования. Авторы заявляют об отсутствии внешнего финансирования при проведении исследования.
Конфликт интересов. Авторы декларируют отсутствие явных и потенциальных конфликтов интересов, связанных с публикацией настоящей статьи.
Об авторах
Наталья Викторовна Марченко
Детский научно-клинический центр инфекционных болезней Федерального медико-биологического агентства
Email: gmv2006@mail.ru
ORCID iD: 0000-0002-2684-9980
SPIN-код: 9813-1529
к.м.н.
Россия, 197022, Санкт-Петербург, ул. Проф. Попова, д. 9Владислав Борисович Войтенков
Детский научно-клинический центр инфекционных болезней Федерального медико-биологического агентства; Академия постдипломного образования ФГБУ «Федеральный научно-клинический центр специализированных видов медицинской помощи и медицинских технологий Федерального медико-биологического агентства России»
Email: vlad203@inbox.ru
ORCID iD: 0000-0003-0448-7402
SPIN-код: 6190-6930
к.м.н.
Россия, 197022, Санкт-Петербург, ул. Проф. Попова, д. 9; МоскваНаталья Викторовна Скрипченко
Детский научно-клинический центр инфекционных болезней Федерального медико-биологического агентства; Санкт-Петербургский государственный педиатрический медицинский университет
Email: snv@niidi.ru
ORCID iD: 0000-0001-8927-3176
SPIN-код: 7980-4060
д.м.н., профессор
Россия, 197022, Санкт-Петербург, ул. Проф. Попова, д. 9; Санкт-ПетербургДмитрий Леонидович Дубицкий
Детский научно-клинический центр инфекционных болезней Федерального медико-биологического агентства
Email: ddl_spb@mail.ru
ORCID iD: 0000-0002-8277-6050
SPIN-код: 6120-3730
к.м.н.
Россия, 197022, Санкт-Петербург, ул. Проф. Попова, д. 9Мария Алексеевна Бедова
Детский научно-клинический центр инфекционных болезней Федерального медико-биологического агентства
Автор, ответственный за переписку.
Email: dr.bedova@yandex.ru
ORCID iD: 0000-0001-8924-5300
SPIN-код: 9667-3210
MD
Россия, 197022, Санкт-Петербург, ул. Проф. Попова, д. 9Артем Сергеевич Овчинников
Детский научно-клинический центр инфекционных болезней Федерального медико-биологического агентства
Email: md-ovchinnikov@mail.ru
ORCID iD: 0000-0001-9785-5512
MD
Россия, 197022, Санкт-Петербург, ул. Проф. Попова, д. 9Дарья Николаевна Чуркина
Детский научно-клинический центр инфекционных болезней Федерального медико-биологического агентства
Email: churkina_darya@mail.ru
ORCID iD: 0000-0002-6940-5431
MD
Россия, 197022, Санкт-Петербург, ул. Проф. Попова, д. 9Список литературы
- Woodhouse A. Bacterial meningitis and brain abscess. Medicine. 2017;45(11):657–663.doi: 10.1016/j.mpmed.2017.08.012
- Скрипченко Н.В., Вильниц А.А., Иванова М.В. Федеральные рекомендации (протоколы) по диагностике и лечению бактериальных гнойных менингитов у детей. Санкт-Петербург, 2013. 60 с. [Skripchenko NV, Vilnits AA, Ivanova MV. Federal recommendations (protocols) on diagnostic and management of the bacterial meningitis in children. Saint Petersburg; 2013. 60 p. (In Russ).]
- Скрипченко Н.В., Лобзин Ю.В., Иванова Г.П., и др. Нейроинфекции у детей //Детские инфекции. 2014. Т. 13, № 1. С. 8–18. [Skripchenko NV, Lobzin YuV, Ivanova GP, et al. Neuroinfections in children. Detskie infekcii. 2014;13(1):8–18. (In Russ).]
- Алексеева Л.А., Бессонова Т.В., Васильева Ю.П., и др. Гнойные менингиты у детей. Руководство для врачей. 2-е изд., переработанное. Санкт-Петербург: СИНЭЛ, 2017. 404 с. [Alexeeva LA, Bessonova TV, Vasilyeva YuP, et al. Bacterial meningitis in children. Rukovodstvo dlya vrachey. 2nd ed., revised. Saint Petersburg: SINEL; 2017. 404 р. (In Russ).]
- Van de Beek D, Cabellos C, Dzupova O, et al. ESCMID guideline: diagnosis and treatment of acute bacterial meningitis. Clin Microbiol Infect. 2016;22 (Suppl 3):37–62. doi: 10.1016/j.cmi.2016.01.007
- Bo G, Hongjun L, Meng L, eds. Imaging of CNS Infections and Neuroimmunology. Springer; 2019. 213 p.
- Song Z, Chen X, Tang Y, Tang B. [Diagnostic value of magnetic resonance spectroscopy and intraoperative magnetic resonance imaging in the treatment of brain abscesses.(In Chinese)]. Zhonghua Yi Xue Za Zhi. 2014;94(25):1925–1928.
- Zhang J, Hu X, Hu X, Ye Y. Clinical features, outcomes and molecular profiles of drug resistance in tuberculous meningitis in non-HIV patients. Sci Rep. 2016;6:19072.doi: 10.1038/srep19072
- Shukla B, Aguilera EA. Aseptic Meningitis in adults and children: diagnostic and management challenges. J Clin Virol. 2017;94:110–114.doi: 10.1016/j.jcv.2017.07.016
- Costerus JM, Brouwer MC. Cranial computed tomography, lumbar puncture, and clinical deterioration in bacterial meningitis: a nationwide cohort study. Clin Infect Dis. 2018;67(6):920–926.doi: 10.1093/cid/ciy200
- Tuncer O, Caksen H. Cranial computed tomography in purulent meningitis of childhood. Int J Neuroscience. 2009;114(2):167–174.doi: 10.1080/00207450490269435
- Mohan S, Jain KK, Arabi M, Shah GV. Imaging of meningitis and ventriculitis. Neuroimaging Clin N Am. 2012;22(4):557–583. doi: 10.1016/j.nic.2012.04.003
- Saberi A, Roudbary SA, Ghayeghran A, et al. Diagnosis of meningitis caused by pathogenic microorganisms using magnetic resonance imaging: a systematic review. Basic Clin Neurosci. 2018;9(2):73–86. doi: 10.29252/nirp.bcn.9.2.73
- Redpath TW, Smith FW. Use of a double inversion recovery pulse sequence to image selectively grey or white brain matter. Br J Radiol. 1994;67(804):1258–1263. doi: 10.1259/0007-1285-67-804-1258
- Toh CH, Wei KC, Ng SH, et al. Differentiation of brain abscesses from necrotic glioblastomas and cystic metastatic brain tumors with diffusion tensor imaging. AJNR Am J Neuroradiol. 2011;32(9):1646–1651. doi: 10.3174/ajnr.A2581
- Tosaka M, Sato N, Fujimaki H, Saito N. Wave-like appearance of diffuse pachymeningeal enhancement associated with intracranial hypotension. Neurorad. 2005;47(5):362–367. doi: 10.1007/s00234-005-1366-8
- Bang OY, Kim DI, Yoom SR, Choi IS. Idiopatic hypertrophic pachymeningeal lesions: correlation between clinical patterns and neuroimaging characteristics. Eur Neurol. 1998;39(1):49–56.doi: 10.1159/000007897
- Лобзин Ю.В., Рычкова С.В., Скрипченко Н.В., и др. Состояние инфекционной заболеваемости у детей в Российской Федерации за 2016–2017 гг. //Медицина экстремальных ситуаций. 2018. Т. 20, № 3. С. 253–261. [Lobzin YuV, Rychkova SV, Skripchenko NV, et al. Infectious diseases in children in Russian Federation in 2016–2017. Medicina extremalnih situaciy. 2018;20(3):253–261. (In Russ).]
- Vachha B, Moonis G, Holodny A. Infections of the Brain and Meninges. Semin Roentgenol. 2017;52(1):2–9. doi: 10.1053/j.ro.2016.07.003
- Biaukulaa VL, Tikoduaduab L. Meningitis in children in Fiji: etiology, epidemiology, and neurological sequelae. Int J Infect Dis. 2012;16(4):289–295. doi: 10.1016/j.ijid.2011.12.013
- Трофимова Т.Н., Ананьева Н.И., Назинкина Ю.В. Нейрорадиология. Санкт-Петербург: СПб МАПО, 2005. 288 с. [Trofimova TN, Ananyeva NI, Nazinkina YuV. Neuroradiology. Saint Petersburg: Saint Petersburg MAPO; 2005. 288 p. (In Russ).]
- Kastrup O, Wanke I, Maschke M. Neuroimaging of infections of the central nervous system. Semin Neurol. 2008;28(4):511–522.doi: 10.1055/s-0028-1083688
- Lin WC, Chen PC, Wang HC, et al. Diffusion tensor imaging study of white matter damage in chronic meningitis. PLoS One. 2014;9(6):e98210.doi: 10.1371/journal.pone.0098210
- Mishra AM, Gupta RK, Saksena S, et al. Biological correlates of diffusivity in brain abscess. Magn Reson Med. 2005;54(4):878–885. doi: 10.1002/mrm.20645
- Ekusheva E., Danilov A.B., Vein A.M. Hemiparesis syndrome: clinical-pathophysiological analysis. Журнал неврологии и психиатрии им. С.С. Корсакова. 2002; 102 (11): 18.
- Muccio CF, Caranci F, D’Arco F, et al. Magnetic resonance features of pyogenic brain abscesses and differential diagnosis using morphological and functional imaging studies: a pictorial essay. J Neuroradiol. 2014;41(3):153–167. doi: 10.1016/j.neurad.2014.05.004
- Kumar P, Suresh S. Acute Bacterial Meningitis Beyond the Neonatal Period. In: Principles and Practice of Pediatric Infectious Diseases, New York; 2018.
- Weinberg GA. Brain Abscess. Pediatr Rev. 2018;39(5):270–272. doi: 10.1542/pir.2017-0147
- Azad R, Tayal M, Azad S, et al. Qualitative and quantitative comparison of contrast-enhanced fluid-attenuated inversion recovery, magnetization transfer spin echo, and fat-saturation t1-weighted sequences in infectious meningitis. Korean J Radiol. 2017;18(6):973–982. doi: 10.3348/kjr.2017.18.6.973
- Maruyama S, Kodera K, Kuratuji G, Suda M. [An infant in whom contrast-enhanced fluid attenuated inversion recovery (FLAIR) MRI was useful for the diagnosis of meningitis and devising a treatment strategy. (In Japanese)]. No To Hattatsu. 2017;49(1):42–45.
- Екушева Е.В., Данилов А.Б. Наследственная спастическая параплегия. Журнал неврологии и психиатрии им. С.С. Корсакова. 2002; 8: 44.
- Dunbar M. Stroke in pediatric bacterial meningitis: population-based epidemiology. Pediatric Neurology. 2018;89:11–18. doi: 10.1016/j.pediatrneurol.2018.09.005
Дополнительные файлы









