A mobile microfocal x-ray diagnostic complex in the imaging of premature newborns
- Authors: Alkhazishvili A.V.1, Potrakhov Y.N.2, Misyurin A.S.3, Vodovatov A.V.4, Skripnik A.Y.3
-
Affiliations:
- «Almazov National Medical Research Center» Ministry of Health of Russia
- Saint Petersburg Electrotechnical University "LETI"
- Almazov National Medical Research Centre
- Saint-Petersburg Research Institute of Radiation Hygiene after Professor P.V. Ramzaev
- Issue: Vol 12, No 2 (2021)
- Pages: 30-38
- Section: Original Study Articles
- Submitted: 16.04.2021
- Accepted: 11.06.2021
- Published: 23.07.2021
- URL: https://clinpractice.ru/clinpractice/article/view/65148
- DOI: https://doi.org/10.17816/clinpract65148
- ID: 65148
Cite item
Full Text
Abstract
Background: In the modern clinical practice, providing fast, mobile and high-quality bedside X-ray imaging is important for managing newborn children . Thus, the development of new devices with all these features and their clinical application are of considerable significance. Aims: Estimation of the diagnostic capabilities of a microfocal X-ray diagnostic complex for the imaging of premature newborns. Methods: The study was performed at the facilities of Almazov National Medical Research Centre. The study included X-ray examinations of 156 premature newborns using the method of microfocus radiography: 139 X-ray images of the chest, 17 X-ray images of the abdomen. The imaging was performed using the projection magnification technique with a patient positioned close to the X-ray source. Results: The microfocal X-ray images showed the necessary quality for the diagnosis of pathological changes in the chest and abdomen in infants. The patient dose estimation was based on the radiation output of the X-ray unit and the tube current-time product. For the maximum values of the tube voltage, tube current and exposure time, the effective doses did not exceed 0.02 mSv, corresponding to the “negligible” radiation risk category. Conclusions: Microfocal radiography allows performing informative X-ray examinations of premature newborns, especially using the projection magnification technique. The use of a microfocal X-ray diagnostic complex allows reducing patient doses, increasing the mobility and usability of the X-ray equipment. The first experience of clinical application of microfocal radiography in neonatology and pediatrics with the projection magnification of an X-ray image was found successful. The implementation of this device in pediatric clinical practice will optimize the tactics of managing premature newborns.
Full Text
ОБОСНОВАНИЕ
Главным источником медицинского облучения являются рентгенологические обследования как неотъемлемая часть курации пациентов [1]. Исключение подобного воздействия в современных условиях доказательной медицины невозможно [1].
Оснащение рентгенодиагностической службы должно соответствовать современным стандартам для сохранения компромисса между необходимостью получить максимально информативные данные, полезные для врачей клинических специальностей, и минимизацией ионизирующего облучения, неблагоприятно влияющего на пациента [2].
Разработанная отечественная технология ми-крофокусной рентгенографии в медицине становится особенно актуальной методикой. Она обладает техническими характеристиками, которые позволяют снизить лучевую нагрузку в десятки раз. Это важно, в частности, для исследований у детей, особенно новорожденных, вследствие их повышенной восприимчивости к ионизирующему излучению. Современные эргономичные образцы микрофокусных рентгеновских аппаратов отечественного производства позволяют полноценно выполнять исследования у новорожденных и отвечают всем запросам врачей-рентгенологов и других клинических специальностей [2].
В клинической практике врачей-неонатологов большое значение имеют дополнительные методы обследования, в частности рентгенологические. Наиболее важным является максимально быстрое и полноценное исследование, в частности такое, какое может быть выполнено непосредственно у постели больного (в ряде случаев транспортировка новорожденного или недоношенного ребенка за пределы палаты или бокса недопустима либо связана с рядом трудностей). В этих условиях необходимо применение мобильных визуализационных систем.
Долгое время под мобильными системами визуализации понимали рентгеновский аппарат, расположенный вне медицинской организации, затем подобные комплексы приобрели статус аппаратов для использования в неспециализированных условиях, включая палаты и реанимационные залы. На сегодняшний день данное понятие чаще всего характеризует относительно крупногабаритный рентгеновский аппарат, тем не менее перемещаемый по этажам и палатам внутри здания медицинской организации.
Ранее рентгеновское изображение получали при помощи аналоговых методов визуализации, но к началу XXI века стали переходить на цифровой формат рентгеновских изображений [1].
Медицинское сообщество на современном этапе получило возможность выполнять полноценные исследования при помощи метода цифровой ми-крофокусной рентгенографии, при этом удалось снизить лучевую нагрузку, значимо уменьшить вес и габариты оборудования, необходимого для выполнения исследования, а также принципиально сократить время получения результатов исследования [2, 3].
Разработка методики микрофокусной рентгенографии была начата еще в конце XX века. По данным ряда исследований [2-8], в настоящее время методика уже приобрела широкое распространение в стоматологии, ревматологии и травматологии. Так, для повышения информативности скрининговых методик исследования зубочелюстной системы у военнослужащих применяется панорамная внутриротовая микрофокусная рентгенография [4]. Для раннего выявления ревматоидного артрита, в сравнении с данными стандартной рентгенографии кисти, специфичность микрофо-кусной рентгенографии в условиях проекционного (прямого) увеличения принципиально выше [5]. В диагностике костно-травматических изменений, например для визуализации мелких трабекулярных переломов у детей, также возможно успешное применение микрофокусной рентгенографии [6].
Использование данной методики в неонатологии и педиатрии в неспециализированных условиях, в том числе вне стационара, стало возможным благодаря современным отечественным разработкам рентгеновских аппаратов в портативном исполнении, а также плоскопанельных твердотельных детекторов рентгеновского излучения.
Облучение пациентов педиатрического профиля раннего возраста ассоциировано с более высоким радиационным риском по сравнению со взрослыми за счет большей радиочувствительности детей и их более высокого периода дожития. В случае выполнения многократных контрольных рентгенологических исследований лучевая нагрузка увеличивается пропорционально количеству выполненных снимков [7], что обусловливает необходимость снижения лучевой нагрузки на пациентов за один рентгеновский снимок до минимально возможного с учетом сохранения диагностического качества изображения в соответствии с международным принципом Международной комиссии по радиологической защите ALARA (as low as reasonably achievable — настолько низко, насколько разумно достижимо) [8].
Особенностью микрофокусной рентгенографии в сравнении со стандартной рентгенографией, наиболее часто применяемой у детей периода новорожденности, является возможность получения проекционного (первично увеличенного) рентгеновского изображения высокого качества. Микро-фокусная рентгенография способствует расширению диагностических возможностей в зависимости от вариабельности применения различных методик исследования, позволяет получать не только первично увеличенное, но и классическое контактное высокоинформативное рентгеновское изображение [9].
При наиболее распространенном в настоящее время контактном способе съемки рентгеновский излучатель имеет фокусное пятно около 1,0 мм. В этом случае объект съемки и излучатель удалены друг от друга на расстояние 0,7-1,5 м, а объект съемки максимально близко расположен к приемнику рентгеновского излучения. За счет соблюдения условий расположения источника излучения, объекта съемки и детектора удается нивелировать геометрическую нерезкость изображения, обусловленную большим размером фокусного пятна, и, соответственно, получить резкое качественное рентгеновское изображение.
Зачастую в кувезах, где после рождения находятся недоношенные новорожденные, предусмотрен специализированный отсек для детектора рентгеновского излучения. Отсек расположен в днище кувеза, что объективно увеличивает расстояние между детектором и объектом съемки и, соответственно, увеличивает геометрическую не-резкость изображения.
Следует отметить, что для соблюдения условий съемки, приближенных к идеальным, ребенка при контактном способе выполнения исследования укладывают непосредственно на детектор. Подобные манипуляции являются необходимостью для получения диагностически значимых изображений, но создают неудобство в методике проведения исследования за счет многократного перекладывания новорожденного.
В отличие от излучателей с фокусным пятном традиционных размеров, в микрофокусной рентгенографии используются излучатели с точечным фокусным пятном микронных размеров. В этом случае можно пренебречь геометрической нерез-костью. Практически вне зависимости от расположения объекта съемки в пространстве между источником рентгеновского излучения и детектором значение геометрической нерезкости сохраняется допустимым не более размера характерной детали объекта съемки [9]. Соответственно, глубина резкости при микрофокусной рентгенографии в разы превышает таковую при работе со стандартным оборудованием, что позволяет выполнять исследования в любых неспециализированных условиях (табл. 1).
Таблица 1 / Table 1
Возможность выполнения исследования в зависимости от размера фокусного пятна
A possibility of conducting an X-ray study depending on the focal spot size
Фокусное пятно | Фокусное расстояние | |
>0,5 м | <0,5 м | |
Традиционных размеров | + | — |
Микронных размеров | + | + |
Цель исследования — определение диагностических возможностей портативного цифрового микрофокусного рентгеновского комплекса для выявления патологических изменений у недоношенных новорожденных.
МЕТОДЫ
Дизайн исследования
Исследование открытое одноцентровое.
Критерии соответствия
Критерии включения: новорожденные со степенью недоношенности от глубокой (<34 нед. гестации) до легкой (от 34 до <37 нед. гестации).
Условия проведения
Исследование проведено на базе перинатального центра ФГБУ НМИЦ им. В.А. Алмазова Минздрава России.
Описание медицинского вмешательства
На базе перинатального центра ФГБУ НМИЦ им. В.А. Алмазова обследовано 156 недоношенных новорожденных с подозрением на наличие патологических изменений органов грудной клетки и брюшной полости (табл. 2).
Таблица 2 / Table 2
Число инструментальных подходов в зависимости от области исследования
The number of X-ray studies for different body parts
Область исследования | Количество исследований | |
Абс. | % | |
Органы грудной клетки | 139 | 89,1 |
Органы брюшной полости | 17 | 10,9 |
Всего | 156 | 100 |
Одноразовые или исследования в динамике для оценки изменений патологического процесса выполняли в палатах реанимации и интенсивной терапии недоношенным новорожденным массой тела от 630 г и длиной от 27 см в переднезадней проекции.
В состав мобильного микрофокусного рентгеновского комплекса (ММРК) входит портативный микрофокусный рентгеновский аппарат, разработанный СПб ГЭТУ «ЛЭТИ», беспроводной детектор рентгеновского излучения и мобильная станция обработки изображений со специализированным программным обеспечением (DIRA).
В зависимости от антропометрических показателей пациента и области исследования устанавливали напряжение рентгеновской трубки от 55 до 65 кВ (фиксированные параметры приведены в табл. 3).
Таблица 3 / Table 3
Основные параметры портативного микрофокусного рентгеновского аппарата «ПАРДУС-Р»
Basic parameters of a “Pardus-R portable microfocal X-ray device
Напряжение, кВ | 55-65 |
Сила тока (средний), мА | 0,1 |
Время экспозиции,с | 0,1 |
Размер фокусного пятна, мм | 0,1 |
Вес аппарата, кг | 2,5 |
При выполнении исследований использовали методику контактного получения изображения и методику прямого увеличения при необходимости получения первично увеличенных рентгенограмм.
Фокусное расстояние до 1,5 раз превышало продольный размер необходимой области визуализации вне зависимости от расположения детектора. При необходимости выполнения исследования в боковой проекции детектор устанавливали перпендикулярно плоскости кувеза в связи с малой и нежелательной мобильностью пациентов.
Для сравнения качества изображения проводили исследования на мобильном рентгеновском аппарате Mobilett XP Digital (Siemens, Германия) по стандартной методике. Выполненные рентгенограммы оценивались тремя врачами-рентгенологами со стажем работы не менее 5 лет.
Этическая экспертиза
Работа выполнена в соответствии с этическими нормами Хельсинкской декларации Всемирной медицинской ассоциации «Этические принципы проведения научных медицинских исследований с участием человека» с поправками от 2013 г. и «Правилами клинической практики в Российской Федерации», утвержденными Приказом Минздрава РФ от 19.06.2003, № 266.
Статистический анализ
Данные, полученные при анализе изображений врачами-экспертами, обрабатывались в программе STATISTICA по методу Box&Whisker plot.
РЕЗУЛЬТАТЫ
Выполненные рентгенограммы оценивались тремя врачами-рентгенологами со стажем работы не менее 5 лет. Качество всех изображений признано диагностически удовлетворительным (рис. 1).
Рис. 1. Пациент с врожденным пороком сердца, частичным аномальным дренажем легочных вен, легочной гипертензией и дыхательной недостаточностью. Исследование выполнено при помощи микрофокусного рентгеновского аппарата.
Fig. 1. Patient with CHD, anomalous pulmonary venous connection, pulmonary hypertension and respiratory failure. Mi-crofocal X-ray device.
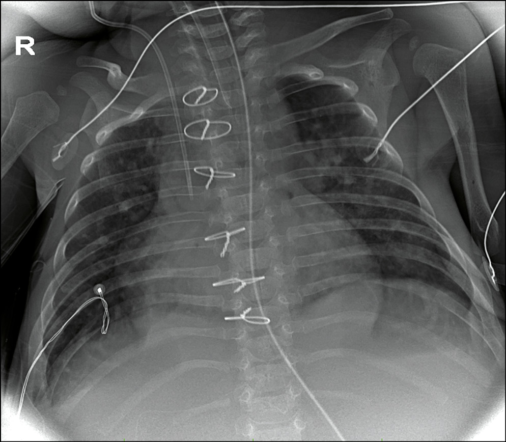
Рентгенография органов грудной клетки традиционно является наиболее важной в оценке легочной паренхимы у детей раннего возраста: зачастую лечащие врачи назначают выполнение торакоабдоминальной рентгенограммы для одномоментного исследования органов грудной и брюшной полости. Наиболее важной задачей при исследовании органов грудной клетки является непосредственно оценка паренхимы легких, ее пневматизация и наличие участков затенения. Необходимо отметить изменения со стороны легочного рисунка — усиление, сгущение, деформацию или его обеднение. Необходимо оценить уровень положения диафрагмы и состояние реберно-диафрагмальных синусов, а также положение зондов, дренажей и катетеров (рис. 2).
Рис. 2. Пациент с коарктацией аорты. Снимок выполнен на третьи сутки жизни. Исследование выполнено при помощи микрофокусного рентгеновского аппарата.
Fig. 2. Patient with aortal coarctation, 3 day of life. Microfocus X-ray device.
При респираторном дистресс-синдроме, наиболее распространенной причине дыхательных расстройств у недоношенных новорожденных, определяются диффузные участки усиления легочного рисунка за счет интерстициального компонента; прослеживается симптом «воздушной бронхограммы»; уменьшается объем легких (рис. 3).
Рис. 3. Пациент с респираторным дистресс-синдромом. Исследование выполнено при помощи микрофокусного рентгеновского аппарата.
Fig. 3. Patient with respiratory distress-syndrome. Microfocus X-ray device.
Острые состояния, такие как пневмония, также подтверждаются рентгеновским исследованием: непосредственно у новорожденных воспаление чаще имеет системный характер, но также может визуализироваться отдельными инфильтратами (рис. 4).
Рис. 4. Пациент с аспирационной пневмонией. Исследование выполнено при помощи микрофокусного рентгеновского аппарата.
Fig. 4. Patient with aspirational pneumonia. Microfocus X-ray device.
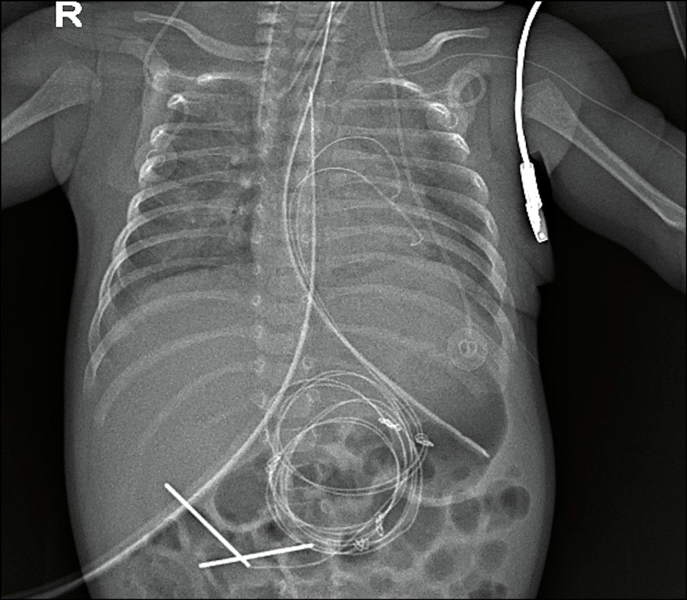
Для диагностики патологии брюшной полости важно отмечать пневматизацию петель кишки, наличие «уровней» жидкости, а также косвенных признаков асцита при выполнении исследования в горизонтальном положении пациента (рис. 5).
Рис. 5. Пациент с асцитом. Исследование выполнено при помощи микрофокусного рентгеновского аппарата.
Fig. 5. Patient with ascitis. Microfocus X-ray device.
При невозможности вертикализации пациента для диагностики наличия свободного газа в брюшной полости возможно выполнение исследования в боковой проекции в положении лежа на спине (рис. 6).
Рис. 6. Рентгенограмма органов брюшной полости в боковой проекции. Исследование выполнено при помощи микрофокусного рентгеновского аппарата.
Fig. 6. Abdomens radiograph in lateral view. Microfocus X-ray device.
Все специалисты, участвовавшие в исследовании качества выполненных рентгенограмм, пришли к единому мнению, что применение ММРК позволяет оценить скиалогическую картину анатомических структур, выявить и провести дифференциальную диагностику патологических изменений.
Результаты оценки эффективной дозы облучения, полученные совместно со специалистами ФБУН НИИРГ им. проф. П.В. Рамзаева Роспотребнадзора, свидетельствуют о низких значениях лучевой нагрузки, которая даже при максимальных используемых значениях напряжения и тока во время съемки не превышала 0,02 мЗв (табл. 4). Указанное значение эффективной дозы облучения за одно исследование относится к пренебрежимо малому диапазону радиационного риска.
Таблица 4 / Table 4
Эффективная доза облучения при исследовании органов грудной клетки
Effective dose of radiation in a chest X-ray study
Аппарат | Напряжение, кВ | Экспозиция, мАс | Расстояние источник-приемник, см | Эффективная доза, 60, мЗв | Эффективная доза, 103, мЗв |
Mobilett XP Digital | 45 | 2,7 | 110 | 0,08 | 0,09 |
Пардус-Р | 65 | 0,0145 | 15 | 0,03 | 0,03 |
65 | 0,0435 | 15 | 0,08 | 0,10 | |
65 | 0,0725 | 15 | 0,14 | 0,17 | |
65 | 0,145 | 15 | 0,27 | 0,34 | |
65 | 0,0145 | 40 | 0,003 | 0,003 | |
65 | 0,0435 | 40 | 0,009 | 0,009 | |
65 | 0,0725 | 40 | 0,015 | 0,014 | |
65 | 0,145 | 40 | 0,030 | 0,029 |
ОБСУЖДЕНИЕ
В современных условиях, несмотря на широкое применение в диагностике магнитно-резонансной томографии и других нейровизуали-зационных технологий, одной из главных целей остается снижение лучевой нагрузки на пациента, особенно новорожденного [9-11]. Применение метода микрофокусной рентгенографии позволило снизить общую лучевую нагрузку при выполнении множественных исследований в динамике за период пребывания пациента в стационаре.
Следует отметить, что применение на практике ММРК для исследования новорожденных облегчило передвижения рентгенолаборанта по территории медицинской организации за счет малых габаритов и веса аппарата, а также беспроводного детектора рентгеновского излучения. В палатах интенсивной терапии применение ММРК выглядит более удобным в связи с наличием большого количества габаритной техники вокруг пациента.
Результаты клинического применения метода микрофокусной рентгенографии в неонатологии и педиатрии позволили признать успешным опыт перинатального центра ФГБУ НМИЦ им. В.А. Алмазова. Рентгеновские изображения, полученные при помощи микрофокусного рентгеновского аппарата, имели качество, необходимое для диагностики патологических изменений органов грудной клетки и брюшной полости у недоношенных новорожденных.
Данная технология рентгенографии позволила значимо сократить кожно-фокусное расстояние при проведении исследования и нивелировать снижение информативности классической методики при увеличении расстояния от объекта съемки до детектора рентгеновского излучения, что, соответственно, привело к снижению необходимой мощности рентгеновского аппарата и, как следствие, снижению лучевой нагрузки на пациента.
ЗАКЛЮЧЕНИЕ
Следует развивать данное направление исследований с целью совершенствования диагностики патологических изменений в организме пациента с самого раннего возраста, включая недоношенных новорожденных с экстремально низкой массой тела: это позволит минимизировать воздействие ионизирующего излучения на новорожденных, упростит, ускорит и улучшит диагностику патологических изменений на раннем этапе и тем самым обеспечит вклад в здоровье следующих поколений.
Таким образом, предложенный метод микро-фокусной рентгенографии информативен в плане оценки патологических изменений у недоношенных новорожденных. ММРК удобен в использовании, повышает мобильность рентгенолаборанта и позволяет снизить лучевую нагрузку на пациента, совершенствуя тем самым тактику ведения недоношенных новорожденных.
ДОПОЛНИТЕЛЬНАЯ ИНФОРМАЦИЯ
Вклад авторов. Алхазишвили А.В. — ми-крофокусные рентгеновские исследования, написание текста статьи, обсуждение результатов исследования; Потрахов Ю.Н. — разработка и оптимизация мобильного микрофокусного рентгеновского оборудования; Мисюрин А.С. — поисково-аналитическая работа, обсуждение результатов; Водоватов А.В. — расчет дозовых нагрузок; Скрипник А.Ю. — обсуждение результатов. Авторы подтверждают соответствие своего авторства международным критериям ICMJE (все авторы внесли существенный вклад в разработку концепции, проведение исследования и подготовку статьи, прочли и одобрили финальную версию перед публикацией).
Author contribution. Alkhazishvili A.V. — microfo-cal X-ray studies, manuscript writing, processing and discussion of the study results; Potrakhov Yu.N. — design and optimization of the mobile microfocal X-ray diagnostic complex; Misyurin A.S. — search and analytical work, discussion of the study results; Vodova-tov A.V. — patient dose estimation; Skripnik A.Yu. — discussion of the study results, manuscript approval for publication. The author made a substantial contribution to the conception of the work, acquisition, analysis, interpretation of data for the work, drafting and revising the work, final approval of the version to be published and agree to be accountable for all aspects of the work.
Источник финансирования. Авторы заявляют об отсутствии внешнего финансирования при проведении исследования.
Funding source. This study was not supported by any external sources of funding.
Конфликт интересов. Авторы декларируют отсутствие явных и потенциальных конфликтов интересов, связанных с публикацией настоящей статьи.
Competing interests. The authors declare that they have no competing interests.
About the authors
Alexander V. Alkhazishvili
«Almazov National Medical Research Center» Ministry of Health of Russia
Author for correspondence.
Email: alkhazishvilialex@gmail.com
ORCID iD: 0000-0002-7250-6786
children's treatment and rehabilitation complex radiologist, department of radiology and medical imaging postgraduate student
Russian Federation, Akkuratova 2, St. Petersburg ,197341, Russia.Yuri N. Potrakhov
Saint Petersburg Electrotechnical University "LETI"
Email: yus87@yandex.ru
SPIN-code: 1192-9807
Scopus Author ID: 1113864
PhD, electronic instruments and devices department employee
Russian Federation, 5, Professor Popov, St. Petersburg ,197022, Russia.Aleksandr S. Misyurin
Almazov National Medical Research Centre
Email: misuyrin.aleksandr@gmail.com
ORCID iD: 0000-0001-5082-9739
MD
Russian Federation, 2, Akkuratova, St. Petersburg ,197341, RussiaAlexandr V. Vodovatov
Saint-Petersburg Research Institute of Radiation Hygiene after Professor P.V. Ramzaev
Email: skripnikalexey@mail.ru
ORCID iD: 0000-0002-5191-7535
SPIN-code: 4560-8978
PhD, head of the department
Russian Federation, Mira 8, Saint-Petersburg, Russia, 197101Aleksey Y. Skripnik
Almazov National Medical Research Centre
Email: skripnikalexey@mail.ru
ORCID iD: 0000-0003-4396-4486
SPIN-code: 8360-3417
MD, radiologist
Russian Federation, 2, Akkuratova st., Saint Petersburg, 197341References
- Акиншин И.И., Синельникова Е.В., Ротарь А.Ю. Ультразвуковые характеристики интерстициальной ткани как маркер состояния респираторной системы у новорожденных // Актуальные проблемы гуманитарных и естественных наук. 2017. № 3-2. С. 107-113. [Akinshin II, Sinel’nikova EV, Rotar’ AYu. Ultrasonic characteristics of interstitial tissue as a marker of the respiratory system in newborns. Actual Problems of Humanities and Natural Sciences. 2017;(3-2):107-113. (In Russ).]
- Анохин Д.Ю., Железняк И.С. Обоснование применения цифровой микрофокусной рентгенографии с прямым увеличением изображения в 5,5 раза для обследования кистей пальцев с ревматоидным артритом // Радиология-практика. 2016. № 6. С. 6-16. [Anohin DYu, Zheleznyak IS. Justification of the use of digital microfocus radiography with a direct image magnification of 5.5 times for the examination of the hands of fingers with rheumatoid arthritis. Radiology-Praktika. 2016;(6):6-16. (In Russ).]
- Кальницкий С.А., Голиков В.Ю., Вишнякова Н.М., и др. Гигиенические требования по ограничению доз облучения детей при рентгенологических исследованиях: методические рекомендации. Москва, 2007. C. 1-5. [Kalnitsky SA, Golikov VYu, Vishnyakova NM, et al. Hygienic requirements for limiting the radiation doses of children during X-ray examinations: methodological recommendations. Moscow; 2007. P. 1-5. (In Russ).]
- Клестова И.А. Микрофокусная технология рентгенографии для скрининга заболеваний зубочелюстной системы и идентификации личности у военнослужащих по призыву // Врач-аспирант. 2015. Т. 69, № 2. С. 44-52. [Klestova IA. Microfocus technology of radiography for screening of diseases of the dentition system and identification of personality in conscripts. Vrach-aspirant. 2015;69(2):44-52. (In Russ).]
- Костюченко М.В. Возможности рентгенодиагностики при острых воспалительных заболеваниях легких у детей // Земский врач. 2012. № 13. С. 11-14. [Kostyuchenko MV. Possibilities of X-ray diagnostics in acute inflammatory lung diseases in children. Zemsky vrach. 2012;(13):11-14. (In Russ).]
- Лепехина А.С., Константинова Л.Г., Труфанов Г.Е. Рентгенологические критерии оценки степени тяжести респираторного дистресс-синдрома новорожденных // Трансляционная медицина. 2019. T. 6, № 2. С. 18-24. [Lepekhina AS, Konstantinova LG, Trufanov GE. Radiographic criteria for the assessment of the severity of respiratory distress syndrome of the newborn. Translational Medicine. 2019;6(2):18-24. (In Russ).]
- Zewdu M, Kadir E, Berhane M. Assessment of pediatrics radiation dose from routine x-ray examination at Jimma University Hospital, Southwest Ethiopia. Ethiop J Health Sci. 2017;27(5):481-490. doi: 10.4314/ejhs.v27i5.6
- Миронова Ю.А. Роль цифровой микрофокусной рентгенографии при травмах верхних конечностей у детей // Радиология-практика. 2013. № 5. С. 18-24. [Mironova YuA. The role of digital microfocus radiography in injuries of the upper extremities in children. Radiology-practice. 2013;(5):18-24. (In Russ).]
- Потрахов Н.Н., Труфанов Г.Е., Васильев А.Ю., и др. Ми-крофокусная рентгенография в клинической практике: учебное пособие. Санкт-Петербург: ЭЛБИ-СПб, 2012. 80 с. [Potrahov NN, Trufanov GE, Vasil’ev AYu, et al. Microfocus radiography in clinical practice: training manual. Saint Petersburg: ALBI-SPb; 2012. 80 р. (In Russ).]
- Марченко Н.В., Войтенков В.Б., Скрипченко Н.В., и др. Магнитно-резонансная томография как инструмент дифференциальной диагностики при поражении ствола головного мозга у детей // Клиническая практика. 2020. Т. 11, № 1. С. 81-91. [Marchenko NV, Voitenkov VB, Skripchenko NV, et al. Magnetic resonance imaging as the tool of the differential diagnostic in brainstem damage in children. Clinical Practice. 2020;11(1):81-91. (In Russ.)].
- Екушева Е.В., Кипарисова Е.С., Курзанцева О.О., Смирнова О.А. Возможности современных методов нейровизуализации в диагностике и нейромониторинге восстановительного процесса у пациентов после ишемического инсульта // Клиническая практика. 2018. Т. 9, № 2. С. 4-11. [Ekusheva EV, Ki-parisova ES, Kurzanceva OO, Smirnova OA. Possibilities of modern neuroimaging techniques in the diagnostics and neuromonitoring of the recovery process in patients after ischemic stroke. Clinical Practice. 2018;9(2):4-11. (In Russ).]
Supplementary files









