A successful placement of the left ventricular lead for the cardiac resynchronization device using the orthodromic snare technique: clinical case
- Authors: Dubrovin O.L.1, Shugaev P.L.1
-
Affiliations:
- Federal Center for Cardiovascular Surgery (Chelyabinsk)
- Issue: Vol 12, No 3 (2021)
- Pages: 112-119
- Section: Case reports
- Submitted: 26.07.2021
- Accepted: 08.09.2021
- Published: 11.10.2021
- URL: https://clinpractice.ru/clinpractice/article/view/76720
- DOI: https://doi.org/10.17816/clinpract76720
- ID: 76720
Cite item
Full Text
Abstract
Background: The main aim of Cardiac Resynchronization Therapy (CRT) is a positive response of the patient, particularly, reduction of the symptoms and improvement of the heart contractility, that can be reached in 50–70% of patients. The possibility of appropriate positioning the left ventricular (LV) lead is of great importance for the response to CRT. Certain instruments and technical approaches are used for the placement of the LV lead. Here, we describe the use of the orthodromic snare technique, which is quite rare in practice, but allows one to overcome some anatomical obstacles.
Clinical case description: Patient A., suffering from the heart failure with a low ejection fraction and left bundle branch block, was admitted to the hospital for CRT implantation. Before the operation, all the necessary routine instrumental and laboratory diagnostics was performed. During the operation, venography of the cardiac veins revealed unsuitability of the lateral cardiac vein for the placement of the LV lead due to its very small diameter. The posterolateral vein was suitable for the LV lead implantation but still had some anatomical difficulties: an acute angle of inflow and local stenosis in the proximal segment. During the procedure, the following techniques were used without success: positioning the LV lead by a simple translational movement forward, a subselective catheter, introduction of several coronary guides in order to smooth out the acute angle of inflow. These circumstances warranted the use of the orthodromic snare technique for a successful LV lead placement.
Conclusion: This clinical case illustrates the possibility of a safe and effective use of the orthodromic snare technique for LV lead implantation. Such anatomical difficulties as a small diameter, acute angle of inflow, local stenosis have also been illustrated and discussed.
Full Text
ОБОСНОВАНИЕ
Сердечная ресинхронизирующая терапия является методом лечения пациентов с сердечной недостаточностью, у которых низкая фракция выброса сочетается с межжелудочковой диссинхронией. При этом, к сожалению, не все пациенты являются респондерами к данной терапии.
На сегодняшний день отсутствуют универсальные критерии, которые бы могли отнести человека однозначно к респондерам ресинхронизирующей терапии. Доля отвечающих на данный метод лечения пациентов, естественно, зависит от критерия, который выбран в качестве основополагающего для оценки эффекта сердечной ресинхронизирующей терапии: уменьшение клинической симптоматики, насосная функция левого желудочка (отражающаяся во фракции выброса), механическое ремоделирование миокарда левого желудочка. При этом положительный эффект метода в виде увеличения фракции выброса и уменьшения симптоматики наблюдается, по данным разных авторов, лишь у 50–70% пациентов [1, 2]. Факторами, влияющими на ответ пациента, являются AV/VV-тайминг, процент желудочковой стимуляции, сопутствующие заболевания (анемия, аритмия), неоптимальная медикаментозная терапия/низкая комплаентность пациента к медикаментозной терапии, ресинхронизирующая терапия пациентам с исходно узким QRS-комплексом, первичная дисфункция правого желудочка, неоптимальное положение левожелудочкового электрода [1].
В соответствии с данными литературы, наибольший процент нереспондеров обусловлен неоптимальным положением левожелудочкового электрода и неадекватным таймингом AV/VV-интервалов, сопутствующей анемией, сопутствующими нарушениями ритма [1]. Целевой зоной для имплантации левожелудочкового электрода традиционно считается латеральная стенка левого желудочка, поэтому оптимальной веной для имплантации является латеральная вена сердца. Переднелатеральная и заднелатеральная вены сердца считаются субоптимальными при невозможности имплантации электрода в латеральную вену сердца или ее отсутствии. В переднюю и среднюю вены сердца электрод имплантировать нежелательно, так как, по некоторым данным, это сопряжено с более высоким процентом нереспондеров [1–3].
По данным литературы и собственным наблюдениям, при имплантации левожелудочкового электрода достаточно часто встречаются анатомические трудности, такие как особенности коронарного синуса (5–10% случаев), сложное строение целевых вен (15–30%) [4]. Анатомические особенности вен сердца, затрудняющие имплантацию левожелудочкового электрода, включают чрезмерно малый или чрезмерно большой диаметр целевой вены, локальное сужение (стеноз) вены, в том числе из-за мышечного мостика, острый угол отхождения вены, выраженную извитость вены, рассыпной тип строения вен [5].
При сложной анатомии венозной системы сердца для позиционирования левожелудочкового электрода возможно использовать ортодромный ловушечный метод, который используется крайне редко и имеет единичные упоминания в описании клинических случаев [5]. Суть ортодромного ловушечного метода позиционирования левожелудочкового электрода в следующем. По целевой вене в ортодромном направлении проводится коронарный проводник. Далее проводником осуществляется поиск коллатеральных вен, по одной из которых проводник проводится в любую другую вену сердца и выводится в большую вену сердца, где осуществляется захват проводника ловушкой. Таким образом образуется замкнутая петля. После этого по проводнику в ортодромном направлении проводится электрод в целевую вену. При этом наличие петли создает стабильность коронарного проводника. При продвижении электрода по проводнику исключается возможность вытягивания проводника, так как он фиксирован ловушкой. Если электрод встречает сопротивление, увеличивается сила поступательного движения, таким образом электрод может преодолеть острый угол отхождения вены, извитость вены, место сужения.
Метод имеет несколько ограничений. Во-первых, проводник нужно суметь ввести в вену, что при остром угле отхождения не всегда возможно. Во-вторых, необходимо наличие коллатералей, обеспечивающих саму возможность создания петли.
КЛИНИЧЕСКИЙ ПРИМЕР
О пациенте
Пациент А., 46 лет, поступил в клинику с выраженной сердечной недостаточностью, со сниженной фракцией выброса.
Анамнез жизни. В 2001 г. у пациента диагностирован ревматический порок аортального клапана, по поводу чего выполнено протезирование корня аорты аортальным гомографтом. В 2014 г. вследствие дисфункции гомографта и многососудистого поражения коронарных артерий выполнена повторная операция в объеме замены аортального гомографта, аутовенозного аортокоронарного шунтирования передней межжелудочковой артерии, ветви тупого края левой коронарной артерии и левожелудочковой ветви (заднебоковой ветви) правой коронарной артерии. С 2015 г. пациент страдает фибрилляцией предсердий, которая с 2018 г. приобрела постоянную форму, развилась полная блокада левой ножки пучка Гиса. На контрольной коронароангиографии (2019 г.) шунты функционируют. С 2019 г. у пациента постоянная одышка, отеки нижних конечностей.
По данным эхокардиографии в клинике: конечный диастолический размер 67 мм, левое предсердие 47 мм, правый желудочек 31 мм, правое предсердие 46×59 мм, фракция выброса 28%; визуализируется гомографт в проекции аортального клапана; максимальный градиент давления на аортальном клапане 5 мм рт.ст.; аортальная регургитация 1–2-й степени; дилатация полости и гипертрофия миокарда левого желудочка; диффузная гипокинезия стенок; митральная регургитация 2-й степени; трикуспидальная регургитация 1–2-й степени; систолическое давление в правом желудочке 33–35 мм рт.ст.
Пациент принимает постоянно Ксарелто, Диувер, Верошпирон, Кордарон, Бисопролол, Престариум.
Учитывая сердечную недостаточность с низкой фракцией выброса (28%) и полную блокаду левой ножки пучка Гиса, пациенту показана имплантация устройства ресинхронизирующей терапии с функцией кардиовертера-дефибриллятора с целью синхронизации работы желудочков и профилактики внезапной сердечной смерти. Постоянная форма фибрилляции предсердий обусловила проведение вторым этапом радиочастотной абляции атриовентрикулярного соединения. Учитывая постоянную форму фибрилляции предсердий, предсердный электрод при имплантации ресинхронизирующего устройства решено не устанавливать.
Ход операции
Интраоперационно состояние пациента стабильное. Имплантация ресинхронизирующего устройства проходила под местной анестезией раствором новокаина с доступом из левой подключичной области. Правожелудочковый электрод позиционирован в область верхушки правого желудочка стандартным способом. При позиционировании левожелудочкового электрода выполнено контрастирование венозной системы сердца, выявлено наличие латеральной вены сердца, которая считается оптимальной для имплантации левожелудочкового электрода. По данным рентгеноскопии, диаметр этой вены на всем протяжении был менее 1 мм (рис. 1). Переднелатеральная вена была достаточного диаметра в проксимальном участке на протяжении 1,5–2 см, затем нитевидно сужалась (см. рис. 1). Визуализирована достаточного диаметра заднелатеральная вена, отходящая от большой вены сердца на 2 см дистальнее устья средней вены сердца, идущая в область латеральной стенки левого желудочка. Заднелатеральная вена имела извитость (резкий изгиб) в проксимальном отделе и дефект наполнения, расположенный на 1,5 см дистальнее извитости, который, вероятно, обусловлен давлением на вену внешних анатомических структур (мышечный или соединительнотканный мостик). При этом интенсивность дефекта наполнения изменялась вместе с кардиоциклом: усиливалась в систолу, уменьшалась в диастолу.
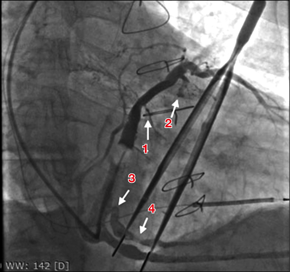
Рис. 1. Интраоперационное контрастирование венозной системы сердца (правая косая проекция, 30°): 1 — нитевидная латеральная вена сердца; 2 — переднелатеральная вена сердца, нитевидно сужающаяся через 1,5–2 см от устья; 3 — резкий изгиб в проксимальной части заднелатеральной вены сердца; 4 — дефект наполнения, изменяющий свою интенсивность вместе с кардиоциклом, обусловленный, вероятно, внешним препятствием (мышечный/соединительнотканный тяж). / Fig. 1. Contrasting the cardiac veins during the operation (right anterior oblique projection, 30°): 1 — filiform lateral cardiac vein; 2 — anterolateral cardiac vein, very narrow within 1.5–2 cm from the vein orifice; 3 — sharp flexion in the proximal part of the posterolateral cardiac vein; 4 — a defect of filling in the posterolateral cardiac vein, its intensity changing with the heart cycle.
Для имплантации левожелудочкового электрода была выбрана заднелатеральная вена сердца. При попытке проведения проводника в заднелатеральную вену проводник заходил туда на глубину около 1 см мягкой частью дистального конца, и при дальнейшем продвижении жесткая часть дистального конца проводника увлекала за собой весь проводник в основное русло большой вены сердца. Для проведения проводника был успешно применен субселективный катетер с изогнутым концом, по которому коронарный проводник введен в заднелатеральную вену до ее дистальных отделов. При этом в дистальном отделе была найдена коллатераль со средней веной сердца, через которую проводник для большего упора введен в среднюю вену сердца, проведен по ней ретроградно и выведен в большую вену сердца. На данном этапе в большинстве случаев удается провести электрод по проводнику без значимых трудностей. Тем не менее при попытке провести электрод, он встречал сопротивление в области дефекта наполнения, петлей упирался в изгиб вены и, как следствие, не продвигался на нужную глубину в вену, выталкивая при попытке поступательного ортодромного продвижения систему доставки в противоположном направлении (рис. 2). Использовать противотракцию расположенного внутри электрода коронарного проводника не удавалось, так как вместо продвижения электрода вперед отмечалось лишь ретроградное вытягивание коронарного проводника. Позиционирование нескольких коронарных проводников для выпрямления вены также не дало результатов.
Рис. 2. Установленная система доставки. Проведение коронарного проводника в заднелатеральную вену (правая косая проекция, 30°): 1 — коронарный проводник, проведенный через селективный интродьюсер (2) в заднелатеральную вену, идущий через коллатераль в среднюю вену сердца и возвращающийся ретроградно в большую вену сердца; 2 — система доставки левожелудочкового электрода с установленным внутри селективным катетером, заходящим в устье заднелатеральной вены сердца (обращает на себя внимание выход селективного катетера из устья на панели 2б при попытке поступательного продвижения электрода по коронарному проводнику); 3 — электрод, проводимый по коронарному проводнику. / Fig. 2. Positioning the left ventricular lead delivery system into the coronary sinus. Passage of the coronary guidewire into the posterolateral vein (right anterior oblique projection, 30°): 1 — coronary guidewire has been introduced into the posterolateral vein with the help of a subselective catheter (2). The guidewire went through the collateral vein into the middle cardiac vein and returned in a retrograde manner to the great cardiac vein; 2 — the left ventricular lead delivery system with a subselective catheter inside. The tip of the subselective catheter was localized in the orifice of the posterolateral vein. It is remarkable, that during the attempts of pushing the left ventricular lead along the guidewire, the subselective catheter fell out of the posterolateral vein orifice (panel 2б); 3 — the left ventricular lead, that was passed along the guidewire.
Было принято решение использовать ортодромный ловушечный метод позиционирования левожелудочкового электрода с целью преодоления имеющихся анатомических трудностей. В большую вену сердца была введена вторая система доставки, по которой проведена ловушка типа Goose Neck (гусиная шея) для захвата дистального конца коронарного проводника в большой вене сердца с целью формирования замкнутой петли (рис. 3, а). После создания петли из коронарного проводника электрод удалось завести и позиционировать в нужную зону (рис. 3, б), при этом стимуляционный полюс был расположен вблизи целевой зоны, что видно на правой и левой косой проекциях при рентгеноскопии (рис. 3, б; 4). Параметры порога стимуляции с дистального полюса левожелудочкового электрода в данной области — 2,0 В при 0,4 мс, сенсинг (порог чувствительности) — 11 мВ, импеданс — 750 Ом. Параметры порога стимуляции с полюса ring 2 (второй кольцевой полюс) левожелудочкового электрода (расценен как наиболее предпочтительный для стимуляции по причине более близкого расположения к целевой зоне стимуляции левого желудочка) — 1,8 В при 0,4 мс, порог чувствительности — 7 мВ, импеданс — 698 Ом.
Рис. 3. Проведение левожелудочкового электрода в заднелатерельную вену сердца (правая косая проекция, 30°): 1 — коронарный проводник, проведенный в заднелатеральную вену сердца и через коллатераль уходящий в среднюю вену сердца; 2 — вторая система доставки, через которую проведена ловушка типа Goos Neck (на ее рентгенологическую тень накладывается восходящая часть коронарного проводника в большой вене сердца, который выходит из устья средней вены сердца); 3 — самая дистальная часть коронарного проводника, загибающегося в верхней части большой вены сердца и спускающегося обратно к устью коронарного синуса (на панели 3б — захвачен ловушкой в верхней части); 4 — ловушка типа Goos Neck, проведенная по второй системе доставки (на панели 3а — в распущенном состоянии, на панели 3б — захватывающая коронарный проводник в большой вене сердца, формируя замкнутую петлю коронарного проводника, идущего через заднелатеральную вену сердца, коллатераль, среднюю вену сердца); 5 — дистальный конец левожелудочкового электрода (на панели 3а — в проксимальной части заднелатеральной вены, на панели 3б — в дистальной части заднелатеральной вены в области латеральной стенки левого желудочка). / Fig. 3. Passage of the left ventricular lead into the posterolateral cardiac vein (right anterior oblique projection, 30°): 1 — coronary guidewire is in the posterolateral cardiac vein and is going through the collateral to the middle cardiac vein; 2 — the second left ventricular lead delivery system was positioned in the great cardiac vein. Within the second delivery system, the goose neck snare was introduced. The X-ray shadow of the snare overlaps with the shadow of the ascending part of the guidewire in the great cardiac vein; 3 — the most distal part of the guidewire folded in the upper part of the great cardiac vein and descending back to the coronary sinus ostium (in the 3-rd panel, the capture of the guidewire by the snare is shown); 4 — the goose neck snare is in the second lead delivery system (in panel 3а, the snare is relaxed, in panel 3б, the snare is tightened, the guidewire was captured with the formation of a closed loop, going through the posterolateral cardiac vein, collateral vein and middle cardiac vein); 5 — the distal tip of the left ventricular lead (in panel 3а — the lead tip is in the proximal part of the posterolateral vein, in panel 3б — the lead tip is in the distal part of the posterolateral vein).
Рис. 4. Позиционированные правожелудочковый и левожелудочковый электроды в левой косой (30°) проекции: 1 — дистальный конец левожелудочкового электрода, располагающийся практически в средней трети латеральной стенки левого желудочка; 2 — дистальный конец правожелудочкового электрода, установленного в верхушку сердца (верхушечная часть межжелудочковой перегородки). / Fig. 4. The right ventricular lead and the left ventricular lead it the end of the operation (left anterior oblique, 30°): 1 — the distal tip of the left ventricular lead is in the middle part of the lateral ventricle wall; 2 — the distal tip of the right ventricular lead is in the heart apex.
Дальнейший ход операции был стандартным. В итоге пациенту были установлены два электрода (право- и левожелудочковый) и подключен кардиовертер-дефибриллятор с кардиоресинхронизирующей терапией CRT-D Inogen (Бостонский научный центр, США).
Послеоперационное наблюдение
Ранний послеоперационный период протекал без особенностей. Через неделю после имплантации выполнена радиочастотная абляция атриовентрикулярного соединения. После абляции CRT-D Inogen настроен на стимуляцию в режиме VVIR (однокамерная желудочковая частотно-адаптивная электрокардиостимуляция) с базовой частотой 70 в мин. Процент стимуляции желудочков составлял 100%. Межжелудочковая задержка была подобрана по ширине комплекса QRS и составляла 20 мс с опережением левого желудочка. Вектор стимуляции LV ring2-Сan (от второго кольцевого полюса до корпуса) выбран с учетом того, что электрод позиционирован таким образом, что полюс LV ring 2 (второй кольцевой полюс) расположен наиболее близко к целевой зоне стимуляции левого желудочка, с этого полюса не происходило захвата диафрагмального нерва, и был приемлемый порог стимуляции.
Визит пациента в клинику для наблюдения состоялся через 3 мес после операции, при этом субъективно пациент отмечал улучшение. Клинически сердечная недостаточность была компенсирована и проявлялась одышкой при нагрузке, небольшими отеками стоп. По данным ультразвукового исследования сердца, фракция выброса через 3 мес после операции составляла 42%, т.е. увеличилась на 14% по сравнению с исходным показателем. Таким образом, пациент расценен как респондер.
ОБСУЖДЕНИЕ
Основной проблемой во время операции была позиция левожелудочкового электрода, т.е. имплантируемая вена. В данном случае проведение электрода толщиной 6F в латеральную вену диаметром менее 1 мм представлялось невозможным. Одним из главных аргументов в пользу отказа от венопластики оптимальной вены было наличие достаточного диаметра субоптимального сосуда, в частности заднелатеральной вены сердца, куда и был имплантирован левожелудочковый электрод.
Трудности с проведением коронарного проводника в заднелатеральную вену обусловлены ее анатомическими особенностями. Резкий изгиб в проксимальной части существенно затруднял ее катетеризацию. Кроме того, внешнее препятствие, создававшее дефект наполнения при контрастировании, также затрудняло проведение электрода. Обстоятельства, при которых в отходящую под острым углом вену заходит дистальный кончик проводника, но не может достичь нужной глубины, объясняются строением проводников, имеющих более мягкий дистальный конец длиной 2–3 см. Интраоперационно систему возможно модифицировать, т.е. подогнуть дистальный мягкий конец, что позволит проводнику пройти в устье и достичь определенной глубины в вене даже с очень острым углом отхождения. Тем не менее на практике проводник заходит в нужную ветвь только мягкой частью, а жесткой направляется по основному руслу вены, увлекая за собой уже заведенный в целевую ветвь мягкий конец проводника. Такая же операционная картина в нашем наблюдении потребовала использования субселективного катетера.
Основной анатомической проблемой заднелатеральной вены после ее успешной катетеризации и заведения проводника стали резкий изгиб и сдавление в проксимальной части внешней структурой (предположительно соединительнотканной перетяжкой; рис. 1), что препятствовало поступательному движению электрода (рис. 2). Мы всегда ограничены в силе поступательного движения электрода по ряду причин: поступательное продвижение встретившего препятствие (например, изгиб вены, стриктура, мышечный или соединительнотканный мостик) электрода приводит к тому, что он, упираясь в препятствие, выталкивает ретроградно систему доставки вплоть до устья коронарного синуса, и дальнейшее его продвижение способно выбить систему доставки из венозной системы сердца в полость правого предсердия.
После безуспешного использования таких приемов, как противотракция коронарного проводника и проведение нескольких коронарных проводников для сглаживания острого угла отхождения вены и для упора, решено было применить ортодромный ловушечный метод позиционирования левожелудочкового электрода (рис. 3). Самое главное преимущество ортодромного ловушечного метода позиционирования левожелудочкового электрода — создание эффективного упора в виде петли. Когда сформирована замкнутая петля из коронарного проводника, то по ней возможно продвигать левожелудочковый электрод, осуществляя одновременно противотракцию коронарного проводника без риска его вытягивания из вены, так как его дистальная часть надежно фиксирована ловушкой.
Сердечная недостаточность в современной кардиологии является одной из глобальных проблем. Прогрессирование сердечной недостаточности многократно повышает риск внезапной сердечной смерти, ухудшает качество жизни. Ресинхронизирующая терапия является достаточно эффективным и порой единственным методом лечения пациентов с явлениями желудочковой диссинхронии, предоставляющим пациенту шанс улучшить свое состояние и продлить жизнь. Именно поэтому при планировании имплантации ресинхронизирующего устройства очень важно буквально бороться за каждого пациента, делать все возможное, чтобы пациент стал респондером данной терапии. Основное значение при сердечной ресинхронизирующей терапии имеет положение левожелудочкового электрода: чем ближе к целевой зоне стимулирующий полюс, тем больше шансов добиться положительного ответа пациента на лечение. Главным же фактором, определяющим возможность подведения электрода к целевой зоне, является анатомия венозной системы сердца. На наш взгляд, единственным случаем, когда электрод по венозной системе сердца ни при каких обстоятельствах невозможно поставить в целевую вену, является отсутствие этой самой вены, т.е. рассыпной тип венооттока. В большинстве других случаев анатомические трудности могут быть преодолены благодаря достаточно широкому набору инструментария и разработанных техник.
ЗАКЛЮЧЕНИЕ
Ортодромный ловушечный метод позиционирования левожелудочкового электрода — редко используемая техника, требующая навыков работы с проводниками, электродами, ловушками, а также технических условий и инструментов, временного ресурса. Тем не менее в случаях, когда все другие техники исчерпаны, данный метод является единственно возможным решением в проведении левожелудочкового электрода. В описанном клиническом примере метод применен успешно: выполнено позиционирование левожелудочкового электрода в оптимальную зону левого желудочка, достигнут хороший клинический результат в послеоперационном периоде. Таким образом, описанный клинический случай подтверждает возможность эффективного и безопасного применения ортодромного ловушечного метода при позиционировании левожелудочкового электрода.
Информированное согласие
От пациента получено письменное добровольное информированное согласие на публикацию анонимизированных сведений о его заболевании, результатов обследования и лечения (дата подписания: 18.05.2020).
Consent for publication. Written consent was obtained from the patient for publication of relevant medical information and all of accompanying images within the manuscript (date: 18.05.2020).
ДОПОЛНИТЕЛЬНАЯ ИНФОРМАЦИЯ
Вклад авторов. Дубровин О.Л. — выполнение оперативного вмешательства, написание рукописи, подготовка иллюстративного материала; Шугаев П.Л. — написание рукописи. Авторы подтверждают соответствие своего авторства международным критериям ICMJE (все авторы внесли существенный вклад в разработку концепции, подготовку статьи, прочли и одобрили финальную версию перед публикацией).
Author contribution. Dubrovin O.L — performed the operation of cardiac resynchronization with the device implantation, analyzed the case data, wrote the manuscript, prepared the illustrations; Shugaev P.L. — analyzed the case data, wrote the manuscript. The authors made a substantial contribution to the conception of the work, acquisition, analysis, interpretation of data for the work, drafting and revising the work, final approval of the version to be published and agree to be accountable for all aspects of the work.
Источник финансирования. Авторы заявляют об отсутствии внешнего финансирования при проведении исследования.
Funding source. This study was not supported by any external sources of funding.
Конфликт интересов. Авторы декларируют отсутствие явных и потенциальных конфликтов интересов, связанных с публикацией настоящей статьи.
Competing interests. The authors declare that they have no competing interests.
About the authors
Oleg L. Dubrovin
Federal Center for Cardiovascular Surgery (Chelyabinsk)
Author for correspondence.
Email: doldubrovin@gmail.com
ORCID iD: 0000-0001-9601-4674
SPIN-code: 3889-3003
http://ritmcardio.ru
MD
Russian Federation, 60-101 Universitetskaya Naberegnaya, 454128, ChelyzbinskPavel L. Shugaev
Federal Center for Cardiovascular Surgery (Chelyabinsk)
Email: doc.shugaev@gmail.com
SPIN-code: 7293-8980
MD, Cand. Sci. (Med.)
Russian Federation, ChelyzbinskReferences
- Sieniewicz BJ, Gould J, Porter B, et al. Understanding non-response to cardiac resynchronisation therapy: common problems and potential solutions. Heart Failure Rewies. 2019;24(1):41–54. doi: 10.1007/s10741-018-9734-8
- Leyva F, Nisam S, Auricchio A. 20 Years of cardiac resynchronization therapy. J Am Coll Cardiol. 2014; 64(10):1047–1058. doi: 10.1016/j.jacc.2014.06.1178
- Singh JP, Klein HU, Huang DT, et al. Left ventricular lead position and clinical outcome in the Multicenter Automatic Defibrillator Implantation Trial-Cardiac Resynchronization Therapy (MADIT-CRT) Trial. Circulation. 2011;123(11):1159–1166. doi: 10.1161/CIRCULATIONAHA.110.000646
- Stoia MA, Istratoaie S, Pop S, et al. The importance of lead positioning to improve clinical outcomes in cardiac resynchronization therapy. In: Cardiac Diseases and Interventions in 21st Century; December 11th, 2018. doi: 10.5772/intechopen.85488
- Pothineni NV, Supple GE. Navigating challenging left ventricular lead placements for cardiac resynchronization therapy. J Innov Cardiac Rhythm Manage. 2020;11(5):4107–4117. doi: 10.19102/icrm.2020.110505
Supplementary files







