Новая классификация хронических постинфарктных аневризм левого желудочка у больных с поражением коронарного русла
- Авторы: Бочаров А.В.1,2, Попов Л.В.3, Митциев А.К.2,4, Лагкуев М.Д.2
-
Учреждения:
- Республиканская клиническая больница
- Костромская областная клиническая больница имени Королева Е.И.
- Национальный медико-хирургический центр имени Н.И. Пирогова
- Северо-Осетинская государственная медицинская академия
- Выпуск: Том 12, № 4 (2021)
- Страницы: 100-106
- Раздел: Дискуссии
- Статья получена: 15.09.2021
- Статья одобрена: 13.12.2021
- Статья опубликована: 15.12.2021
- URL: https://clinpractice.ru/clinpractice/article/view/80168
- DOI: https://doi.org/10.17816/clinpract80168
- ID: 80168
Цитировать
Полный текст
Аннотация
В статье освещены исторические моменты развития представлений о диагностике и лечении постинфарктных аневризм левого желудочка, возможности основных методов диагностики. Как правило, пациенты с хроническими постинфарктными аневризмами левого желудочка имеют тяжелое поражение коронарного русла, требующее инвазивной коррекции (стентирование коронарных артерий или аортокоронарное шунтирование), которую необходимо провести либо до, либо во время вмешательства по устранению аневризмы левого желудочка. Предложена новая классификация хронических постинфарктных аневризм левого желудочка, которая учитывает в большей степени тип кровоснабжения миокарда и тяжесть поражения коронарного русла, а не собственно особенности аневризм; определяет этапность и тактику лечения пациентов с хроническими постинфарктными аневризмами левого желудочка, ставя во главу угла проблему реваскуляризации коронарного русла.
Полный текст
ВВЕДЕНИЕ
Одним из наиболее опасных и частых осложнений острого инфаркта миокарда является аневризма левого желудочка. С точки зрения патологической анатомии, постинфарктная аневризма левого желудочка (ПАЛЖ) представляет собой фиброзный рубец с характерной гладкой внутренней поверхностью без трабекулярного аппарата. Как правило, толщина стенки аневризматического образования значимо тоньше толщины нормального миокарда в данной зоне. Разделяют истинные и ложные ПАЛЖ: первые представляют собой выпячивание стенки левого желудочка с замещением миокардиальной ткани фиброзом и, соответственно, включают все слои; ложные аневризмы фактически являются разрывом стенки левого желудочка и ограничены окружающим перикардом [1, 2]. Классически определение ПАЛЖ подразумевало зону патологического диастолического контура левого желудочка с парадоксальной деформацией или систолической дискинезией, в настоящее время ее рассматривают как обширную зону левого желудочка с господствующей дискинезией или акинезией, которая приводит к значимому снижению фракции выброса левого желудочка [3, 4].
Наиболее распространенная локализация ПАЛЖ — переднеперегородочная область левого желудочка (до 90% случаев), что соответствует окклюзии передней нисходящей артерии. Гораздо реже встречаются ПАЛЖ по боковой и задней стенке левого желудочка (около 10% случаев), однако именно в этих позициях чаще всего встречаются ложные аневризмы [5, 6].
ИЗ ИСТОРИИ ИЗУЧЕНИЯ ПОСТИНФАРКТНОЙ АНЕВРИЗМЫ ЛЕВОГО ЖЕЛУДОЧКА
Историю изучения ПАЛЖ можно условно разбить на 3 этапа: описательный, диагностический и хирургический. Описательный этап начался с 1740 г., когда I. Lancini впервые предложил термин «аневризма» левого желудочка сердца. J. Hunter и D. Galeati в 1757 г. выполнили первое анатомическое описание ПАЛЖ. В 1896 г. R. Marie отметил, что возникновению ПАЛЖ всегда предшествует тромбоз коронарной артерии. В этом же году P. Remlinger впервые установил прижизненный диагноз аневризмы левого желудочка. Наиболее полно клиническую симптоматику при ПАЛЖ описал в 1926 г. русский терапевт Д.Д. Плетнев: «нарастающая сердечная недостаточность практически не поддающаяся медикаментозному лечению» [7]. В последующем были описаны 3 фазы возникновения аневризмы, а именно: острая окклюзия инфарктзависимой коронарной артерии в зоне возникновения аневризмы; ишемическая дегенерация миокарда; замещение миокардиальной ткани фиброзной и формирование аневризмы [8].
Диагностический этап изучения ПАЛЖ неразрывно связан с развитием медицинской техники — рентгенографии (F. Kraus, 1919), электрокардиографии (Д.М. Гротель, 1929), кардиовентрикулографии (E. Derra, 1959), а также эхокардиографии и мультиспиральной компьютерной томографии.
Хирургический этап начался в 1912 г., когда ПАЛЖ впервые был прооперирован лигатурным методом [9]. C.S. Back в 1944 г. применил в качестве замещающей ткани при лечении ПАЛЖ фасцию [10]. Следующей важной вехой стала удачно выполненная в 1955 г. C.P. Baily и W. Likoff операция по резекции аневризмы левого желудочка без использования искусственного кровообращения при помощи специального зажима [11]. Через небольшой промежуток времени, в 1958 г., D.A. Cooley впервые успешно выполнил резекцию ПАЛЖ с применением искусственного кровообращения [12].
ДИАГНОСТИКА И ЛЕЧЕНИЕ ПОСТИНФАРКТНОЙ АНЕВРИЗМЫ ЛЕВОГО ЖЕЛУДОЧКА
В клинической картине у больных ПАЛЖ наиболее характерным симптомом является стенокардия, что объясняется прежде всего тяжелым поражением коронарного русла у данной категории пациентов [13]. Другой наиболее распространенный симптом — одышка, которая возникает при поражении более 20% миокарда и свидетельствует о достаточно тяжелой систолической и диастолической дисфункции [14]. Однако наиболее грозным симптомом ПАЛЖ являются нарушения ритма предсердий и желудочков, а также эмболии тромботическими массами [15].
На современном этапе в первичной диагностике ПАЛЖ наиболее часто используются неинвазивные методы диагностики, такие как электро- и эхокардиография, мультиспиральная компьютерная томография. Прямая коронаровентрикулография остается золотым стандартом диагностики патологии, однако самостоятельно данная методика не применяется и выполняется как заключительный этап селективной коронарографии.
Самым доступным методом диагностики ПАЛЖ является электрокардиография, по результатам которой можно заподозрить наличие болезни, однако отсутствует возможность ее верификации. Для аневризмы левого желудочка характерен застывший подъем сегмента ST на электрокардиограмме.
Наиболее оптимальным и массовым методом неинвазивной визуализации аневризм левого желудочка является эхокардиография. Исследование позволяет не только подтвердить наличие ПАЛЖ, но и определить тяжесть систолической и диагностической дисфункции, наличие тромботических масс в аневризме, предикторы неблагоприятного исхода (конечный диастолический размер левого желудочка более 7,6 см; конечный систолический размер левого желудочка более 4,5 см; фракция выброса левого желудочка менее 35%; псевдонормальный и рестриктивный трансмитральный кровоток; выраженная митральная недостаточность; легочная гипертензия более 50 мм рт.ст.) [16, 17].
Основным методом лечения ПАЛЖ в настоящее время является хирургическое, цели которого — уменьшение конечно-диастолического объема за счет удаления несокращающейся и парадоксально пульсирующей части левого желудочка [18, 19]; сопутствующая реваскуляризация миокарда [1, 20]; уменьшение нагрузки на сохранную часть миокардиальной ткани [21, 22]; уменьшение степени относительной митральной недостаточности вследствие уменьшения объема полости левого желудочка [5, 18]; устранение аритмических очагов в зоне рубца [23, 24].
КЛАССИФИКАЦИЯ ПОСТИНФАРКТНОЙ АНЕВРИЗМЫ ЛЕВОГО ЖЕЛУДОЧКА
В настоящее время хронические ПАЛЖ классифицируются в зависимости от анатомической локализации (переднезадние, переднелатеральные, задние), формы (диффузные, шарообразные, мешкообразные), морфологии (фиброзные и фибромышечные) [25]. Как правило, пациенты с хроническими ПАЛЖ имеют тяжелое поражение коронарного русла, что требует инвазивной коррекции (стентирование коронарных артерий или аортокоронарное шунтирование), которую необходимо провести либо до, либо во время вмешательства по устранению аневризмы левого желудочка. Необходимую информацию о состоянии коронарного русла позволяет получить коронароангиография, она же определяет и тип кровоснабжения миокарда.
Среди существующих классификаций ПАЛЖ отсутствует классификация, позволяющая определить совместно с данными других исследований (эхокардиография, сцинтиграфия и др.) оптимальную тактику хирургического лечения; учитывающая не только тяжесть поражения коронарного русла, но и тип кровоснабжения миокарда. Для восполнения существующего пробела предлагаем следующую классификацию ПАЛЖ у больных с поражением коронарного русла (табл. 1).
Таблица 1. Классификация постинфарктных аневризм левого желудочка у больных с поражением коронарного русла / Table 1. Classification of postinfarction left ventricular aneurysms in patients with coronary artery disease
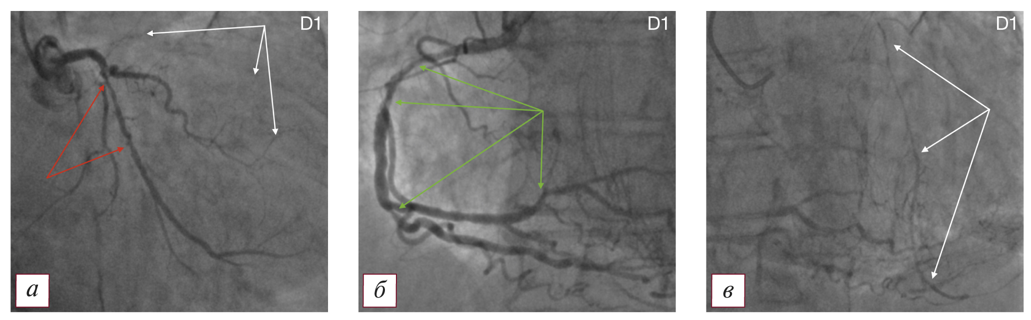
Tип D1 — ПАЛЖ и множественное гемодинамически значимое поражение крупных коронарных артерий и их ветвей при правом типе кровоснабжения миокарда. Типичная коронарографическая картина представлена на рис. 1.
Рис. 1. Коронароангиографическая картина поражения коронарного русла и постинфарктной аневризмы левого желудочка по типу D1: а — коронароангиография левой венечной артерии (белые стрелки — русло передней нисходящей артерии, окклюзированное в проксимальной трети; красные стрелки — гемодинамически значимое поражение огибающей артерии, протяженные эшелонированные стенозы до 75% огибающей артерии); б — протяженные эшелонированные стенозы до 85% проксимальной и средней части правой коронарной артерии, а также ее ветвей (указаны зелеными стрелками); в — ретроградное заполнение дистальной и средней трети передней нисходящей артерии из бассейна правой коронарной артерии, коллатеральный кровоток Rentrop III (указано белыми стрелками). / Fig. 1. Coronary angiographic picture of lesions of the coronary bed and postinfarction aneurysm of the left ventricle according to type D1: a — coronary angiography of the left coronary artery (white arrows — the bed of the anterior descending artery occluded in the proximal third; red arrows — hemodynamically significant lesion of the envelope artery, extended echeloned stenoses up to 75% of the envelope artery); б — extended echeloned stenoses up to 85% of the proximal and middle parts of the right coronary artery, as well as its branches (indicated by green arrows); в — retrograde filling of the distal and middle third of the anterior descending artery from the basin of the right coronary artery, collateral blood flow Rentrop III (indicated by white arrows).
Tип D2 — ПАЛЖ в сочетании с гемодинамически значимым поражением крупной коронарной артерии в зоне аневризмы и единичным гемодинамически значимым поражением правой коронарной артерии при правом типе кровоснабжения миокарда (рис. 2).
Рис. 2. Коронароангиографическая картина поражения коронарного русла и постинфарктной аневризмы левого желудочка по типу D2: а — гемодинамически значимый стеноз ствола левой коронарной артерии 70%, эшелонированные стенозы передней нисходящей артерии до 70%, субокклюзия устья 1-й диагональной ветви (указаны белыми стрелками); окклюзия проксимальной половины огибающей артерии (указана красной стрелкой); б — дискретная субокклюзия проксимальной трети правой коронарной артерии (указана зеленой стрелкой); в — правая коронарная артерия после выполнения первого этапа лечения — стентирования проксимальной трети (зона стентирования указана стрелкой). / Fig. 2. Coronary angiographic picture of the lesion of the coronary bed and postinfarction aneurysm of the left ventricle according to type D2: a — hemodynamically significant stenosis of the trunk of the left coronary artery 70%, echeloned stenosis of the anterior descending artery up to 70%, subocclusion of the mouth of the 1st diagonal branch (indicated by white arrows); occlusion of the proximal half of the envelope artery (indicated by red arrow); б — discrete subocclusion of the proximal third of the right coronary artery (indicated by the green arrow); в — the right coronary artery after performing the first stage of treatment — stenting of the proximal third (the stenting zone is indicated by an arrow).
Тип S1 — ПАЛЖ и множественное гемодинамически значимое поражение крупных коронарных артерий и их ветвей без нарушения функции синусового узла или атриовентрикулярного узла при левом типе кровоснабжения миокарда (рис. 3).
Рис. 3. Коронароангиографическая картина поражения коронарного русла и постинфарктной аневризмы левого желудочка по типу S1: а — гемодинамически значимые стенозы проксимального и дистального отделов передней нисходящей артерии, проксимальной части 1-й диагональной артерии (указаны белыми стрелками), проксимальной половины огибающей артерии и ее ветвей (указаны красными стрелками); б — правая коронарная артерия. / Fig. 3. Coronary angiographic picture of the lesion of the coronary bed and postinfarction aneurysm of the left ventricle type S1: а — hemodynamically significant stenoses of the proximal and distal parts of the anterior descending artery, the proximal part of the 1st diagonal artery (indicated by white arrows), the proximal half of the envelope artery and its branches (indicated by red arrows); б — the right coronary artery.
Тип S2 — ПАЛЖ и гемодинамически значимое поражение проксимальной части правой коронарной артерии с нарушением ритма ишемического генеза при левом типе кровоснабжения миокарда (рис. 4).
Рис. 4. Коронароангиографическая картина поражения коронарного русла и постинфарктной аневризмы левого желудочка по типу S2: а — окклюзия передней нисходящей артерии в проксимальной трети (белая стрелка), стеноз 1-й диагональной артерии в проксимальном сегменте 70% (синяя стрелка), субокклюзия интермедианной артерии в проксимальном сегменте (желтые стрелки); б — гемодинамически значимые стенозы на границе проксимальной и средней трети (90%), а также средней и дистальной трети (85%) правой коронарной артерии (зеленые стрелки); в — правая коронарная артерия после стентирования (зоны стентирования указаны зелеными стрелками). / Fig. 4. Coronary angiographic picture of the lesion of the coronary bed and postinfarction aneurysm of the left ventricle type S2: а — occlusion of the anterior descending artery in the proximal third (white arrow), stenosis of the 1st diagonal artery in the proximal segment 70% (blue arrow), subocclusion of the intermediate artery in the proximal segment (yellow arrows); б — hemodynamically significant stenoses at the border of the proximal and middle thirds ( 90%), as well as the middle and distal third (85%) of the right coronary artery (green arrows); в — the right coronary artery after stenting (stenting zones are indicated by green arrows).
Приведенная выше классификация ПАЛЖ не только удобна для применения в повседневной клинической практике, но и позволяет определить стратегию лечения рентгенэндоваскулярным хирургам, сердечно-сосудистым хирургам, врачам первичного звена и врачам-кардиологам.
ЗАКЛЮЧЕНИЕ
Таким образом, предложенная классификация постинфарктных аневризм левого желудочка с учетом типа кровоснабжения и характера поражения коронарного русла позволяет не только широко применять ее в повседневной практической деятельности, но и определять оптимальную стратегию лечения.
Несмотря на то, что представленная классификация касается в большей степени типа кровоснабжения миокарда и тяжести поражения коронарного русла, а не собственно особенностей аневризм, она определяет этапность и тактику лечения пациентов с постинфарктными аневризмами левого желудочка, ставя во главу угла проблему реваскуляризации коронарного русла.
ДОПОЛНИТЕЛЬНАЯ ИНФОРМАЦИЯ
Вклад авторов. А.В. Бочаров, Л.В. Попов, А.К. Митциев — концепция и дизайн; А.В. Бочаров, М.Д. Лагкуев, Л.В. Попов, А.К. Митциев — поисково-аналитическая работа, написание текста. Авторы подтверждают соответствие своего авторства международным критериям ICMJE (все авторы внесли существенный вклад в разработку концепции, проведение исследования и подготовку статьи, прочли и одобрили финальную версию перед публикацией).
Authors contribution. A.V. Bocharov, L.V. Popov, A.K. Mitziev — concept and design; A.V. Bocharov, M.D. Lagkuev, L.V. Popov, A.K. Mitziev — search and analytical work, text writing. The authors made a substantial contribution to the conception of the work, acquisition, analysis, interpretation of data for the work, drafting and revising the work, final approval of the version to be published and agree to be accountable for all aspects of the work.
Источник финансирования. Работа проведена на личные средства авторского коллектива.
Funding source. This study was not supported by any external sources of funding.
Конфликт интересов. Авторы данной статьи подтвердили отсутствие конфликта интересов, о котором необходимо сообщить.
Competing interests. The authors declare that they have no competing interests.
Об авторах
Александр Владимирович Бочаров
Республиканская клиническая больница; Костромская областная клиническая больница имени Королева Е.И.
Автор, ответственный за переписку.
Email: bocharovav@mail.ru
ORCID iD: 0000-0002-6027-2898
SPIN-код: 6073-1445
д.м.н.
Россия, 362003, Республика Северная Осетия – Алания, Владикавказ, ул. Барбашова, д. 39; КостромаЛеонид Валентинович Попов
Национальный медико-хирургический центр имени Н.И. Пирогова
Email: popovcardio@mail.ru
ORCID iD: 0000-0002-0530-3268
д.м.н., профессор
Россия, МоскваАстан Керменович Митциев
Костромская областная клиническая больница имени Королева Е.И.; Северо-Осетинская государственная медицинская академия
Email: 8-an@inbox.ru
ORCID iD: 0000-0002-5814-0060
д.м.н., профессор
Россия, Кострома; ВладикавказМагомет Джабраилович Лагкуев
Костромская областная клиническая больница имени Королева Е.И.
Email: magometlag@mail.ru
ORCID iD: 0000-0002-5773-6196
Россия, Кострома
Список литературы
- Алшибая М.М., Коваленко О.А., Дорофеев А.В. и др. Хирургическое ремоделирование левого желудочка при ишемической кардиомиопатии // Вестник РАМН. 2005. № 4. С. 52–58. [Alshibaya MM, Kovalenko OA, Dorofeev AV, et al. Surgical ventricular remodeling in the ICM. Аnnals of the Russian Academy of Medical Sciences. 2005;(4):53–58. (In Russ).]
- Белов Ю.В., Вараксин В.А. Современное представление о постинфарктном ремоделировании левого желудочка // Русский медицинский журнал. 2002. Т. 10, № 10. С. 469. [Belov YV, Varaksin VA. The modern concept of post-infarction left ventricular remodeling. Russian Med J. 2002;10(10):469. (In Russ).]
- Rutherford JD, Braunwald E, Cohn PE. Chronic ischemic heart disease. In: E. Braunwald, ed. Heart disease: a textbook of cardiovascular medicine. Philadelphia: WB Saunders; 1988. 1364 р.
- Buckberg GD. Defining the relationship between akinesia and dyskinesia and the cause of left ventricular failure after anterior infarction and reversal of remodeling to restoration. J Thorac Cardiovasc Surg. 1998;116(1):47–49. doi: 10.1016/s0022-5223(98)70241-7
- Dor V, Sabatier M, Di Donato M. Efficacy of endoventricular patch plasty in large postinfarction akinetic scar and severe left ventricular disfunction: comparison with a series of large dyskinetic scars. J Thorac Cardiovasc Surg. 1998;116(1):50–59. doi: 10.1016/S0022-5223(98)70242-9
- Di Donato M, Sabatier M, Dor V, et al. Akinetic versus dyskinetic postinfarction scar: relation to surgical outcome in patients undergoing endoventricular circular patch plasty repair. J Am Coll Cardiol. 1997;29(7):1569–1575. doi: 10.1016/s0735-1097(97)00092-2
- Бородулин В.И., Палеев Н.Р., Тополянский А.В. О кардиологической школе Д.Д. Плетнева: пересмотр взглядов // Проблемы социальной гигиены, здравоохранения истории медицины. 2013. № 1. C. 51–56. [Borodulin VI, Paleyev NR, Topoliyanskiy AV. About the cardiologic school of D.D. Pletniev: the revision of views. Problems Social Hygiene, Health Care Medical History. 2013;(1):51–56. (In Russ).]
- Бузиашвили Ю.И., Ключников И.В., Мелканян А.М., Мамаев Х.К. Ишемическое ремоделирование левого желудочка // Кардиология. 2002. Т. 42, № 10. C. 88–94. [Buziashvili YI, Klyuchnikov IV, Melkonyan AM, Mamaev KK. Ischemic left ventricular remodeling. Kardiologiia. 2002;42(10):88–94. (In Russ).]
- Mills NL, Everson CT, Hockmuth DR. Technical advances in the treatment of left ventricular aneurysm. Ann Thorac Surg. 1993;55(3):792–800. doi: 10.1016/0003-4975(93)90304-z
- Beck CS. Operation for aneurysm of the heart. Ann Surg. 1944;120(1):34–40. doi: 10.1097/00000658-194407000-00004
- Likoff W, Bailey CP. Ventriculoplasty: excision of myocardial aneurism. JAMA. 1955;158(11):915–920. doi: 10.1001/jama.1955.02960110021006
- Cooley DA, Collins HA, Morris GC, et al. Ventricular aneurysm after myocardial infarction: surgical excision with use of temporary cardiopulmonary bypass. JAMA. 1958;167(5):557–560. doi: 10.1001/jama.1958.02990220027008
- Попов Л.В., Вахромеева М.Н., Вахромеева А.Ю., и др. Успешная коррекция постинфарктной аневризмы левого желудочка с большой зоной рубцового поражения // Вестник НМХЦ им. Н.И. Пирогова. 2019. Т. 14, № 2. C. 118–121. [Popov LV, Vahrоmeeva MN, Vahrоmeeva AY, et al. Successful correction of postinfarction left ventricular aneurysm with a large area of cicatricial lesions. Bulletin Pirogov National Medical Surgical Center. 2019;14(2):118–121 (In Russ).] doi: 10.25881/BPNMSC.2019.92.19.024
- Ruzza A, Czer LS, Arabia F, et al. Left ventricular reconstruction for postinfarction left ventricular aneurysm: review of surgical techniques. Tex Heart Inst J. 2017;44(5):326–335. doi: 10.14503/THIJ-16-6068
- Liu C, Su Z, Wang L, et al. Surgical endoepicardial linear ablation for ventricular tachycardia with postinfarction left ventricular aneurysm. Tex Heart Inst J. 2020;43(3):194–201. doi: 10.14503/THIJ-18-6615
- Mattsumoto M, Watanabe F, Goto A, et al. Left ventricular aneurysm and the prediction of left ventricular enlargement studied by two-dimentional echocardiography: quantitative assessment of aneurysm size in relation to clinical course. Circulation. 1985;72(2):280–286. doi: 10.1161/01.cir.72.2.280
- Zhang Y, Li Y, Yang Y, et al. Usefulness of contrast echocardiography in the diagnosis of left ventricular pseudoaneyrysm. QJM. 2020;113(10):741–742. doi: 10.1093/qjmed/hcaa105
- Чернявский А.М., Хапаев С.А., Марченко А.В. и др. Отдаленные результаты реконструктивных операций при постинфарктных аневризмах левого желудочка. Патология кровообращения и кардиохирургия. 2011; (4): 33–38 [Cherniavsky A.M., Khapaev S.A., Marchenko A.V. et al. Long-term results of postinfarction LV aneurysm plasty. Patologiya krovoobrashcheniya i kardiokhirurgiya = Circulation Pathology and Cardiac Surgery. 2011; (4): 33–38]
- Jiang YS, Chen X, Xu M, et al. Clinical analysis of surgical treatment of post-infarction left ventricular aneurysm: a series of 254 patients. Zhonghua Wai Ke Za Zhi. 2020;58(5):369–374. doi: 10.3760/cma.j.cn112139-20200203-00060
- Sui Y, Teng S, Qian J, et al. Treatment outcomes and therapeutic evaluations of patients with left ventricular aneurysm. J Int Med Res. 2019;47(1):244–251. doi: 10.1177/0300060518800127
- Bokeria LA, Gorodkov AJ, Dorofeev AV, et al. Left ventricular geometric reconstruction in ischemic cardiomyopathy patients with predominantly hypokinetic left ventricle. Eur Cardiothorac Surg. 2006;29(1):251–258. doi: 10.1016/j.ejcts.2006.02.057
- Zhang Y, Yang Y, Sun HS, et al. Surgical treatment of left ventricular pseudoaneurysm. Chin Med J. 2018;131(12):1496–1497. doi: 10.4103/0366-6999.233954
- Liu C, Wang L, Li B, et al. Surgical linear ablation for ventricular tachycardia with postinfarction ventricular aneurysm. J Surg Res. 2018;228:211–220. doi: 10.1016/j.jss.2018.02.031
- Guo JR, Zheng LH, Wu LM, et al. Aneurysm-related ischemic ventricular tachycardia: safety and efficacy of catheter ablation. Medicine (Baltimore). 2017;96(13):e6442. doi: 10.1097/MD.0000000000006442
- Павлов А.В., Гордеев М.Л., Терещенко В.И. Виды хирургического лечения постинфарктных аневризм левого желудочка // Альманах клинической медицины. 2015. № 38. C. 105–112. [Pavlov AV, Gordeev ML, Tereshchenko VI. Types of surgical treatment for postinfarction left ventricular aneurysms. Almanac Clinical Medicine. 2015;38:105–112. (In Russ).]
Дополнительные файлы







