Rare case of gall bladder squamous cell carcinoma in pacient with cholelithic illness
- Authors: Ivanov Y.V.1, Zabozlaev F.G.1
-
Affiliations:
- Federal Scientific and Clinical Center for Specialized Types of Medical Care and Medical Technologies FMBA of Russia
- Issue: Vol 3, No 2 (2012)
- Pages: 26-30
- Section: Articles
- Submitted: 25.10.2021
- Accepted: 25.10.2021
- Published: 26.10.2021
- URL: https://clinpractice.ru/clinpractice/article/view/83704
- DOI: https://doi.org/10.17816/clinpract83704
- ID: 83704
Cite item
Full Text
Abstract
The clinical case of the patient with squamous cell carcinoma of gall bladder in a combination with cholelithic illness is described. Presurgical diagnostics of gall bladder cancer is difficult, demands a complex and careful assessment of disease anamnesis, a clinical sings, results of laboratory and tool analysis. At impossibility to exclude gall bladder cancer in the presence of a cholelithic illness in all cases operative treatment is needed.
Keywords
Full Text
Рак желчного пузыря составляет 0,5-1,5% всех злокачественных новообразований и 10,6- 12,9% всех злокачественных опухолей панкреатодуоденальной зоны [1]. Стандартизированные показатели заболеваемости раком желчного пузыря и внепеченочных желчных протоков мужского и женского населения России существенно не различаются. У женщин рак желчного пузыря встречается в 4-5 раз чаще, чем у мужчин. Средний возраст заболевших составляет: у мужчин 64,1 года, а у женщин - 69,1 года. Эндофитная форма рака желчного пузыря выявляется значительно чаще экзофитной и отличается более злокачественным течением [2, 3].
В зависимости от характера роста опухоли желчный пузырь может быть увеличен или уменьшен в размерах. Рак желчного пузыря имеет тенденцию к быстрому метастазированию и прорастанию в соседние органы. Его особенность состоит в быстром местном распространении опухолевых элементов в печень, печеночнодвенадцатиперстную связку с поражением внепеченочных желчных протоков. Известны 4 пути генерализации опухолевых клеток [4]:
- Прямая инвазия на соседние органы, и в первую очередь на печень (на IV и V сегменты). Быстрой инвазии способствует тонкая стенка желчного пузыря (один мышечный слой).
- Лимфогенное и гематогенное метастазирование начинается при пенетрации мышечного слоя, где опухоль контактирует с многочисленными лимфатическими и кровеносными сосудами. На аутопсиях лимфогенные метастазы обнаруживаются в 94%, а гематогенные метастазы - в 65% случаев.
- 4-й путь метастазирования - перитонеальный.
По гистологическому строению рак желчного пузыря в подавляющем большинстве случаев представлен аденокарциномой (70-90%). Недифференцированный или анапластический рак наблюдается в 8-10% случаев, плоскоклеточный рак в сочетании с аденокарциномой - в 3,7% случаев. И совсем редко встречается плоскоклеточный рак желчного пузыря - до 2,2% [5, 6], причем несколько чаще поражает женщин [7]. По данным японских исследователей его частота колеблется от 1,4 до 3,3% [8].
В тех случаях, когда рак желчного пузыря возникает изолированно без сопутствующей патологии данного органа, результаты своевременной диагностики еще можно признать удовлетворительными. И совсем по-другому обстоят дела, если рак сочетается или развивается на фоне уже существующей желчнокаменной болезни (ЖКБ). У 80-85% больных раком желчного пузыря обнаруживаются камни в пузыре [2]. На основании этого хронический рецидивирующий калькулезный холецистит относят к предраковым заболеваниям. При таком сочетании, в подавляющем большинстве случаев, правильный диагноз устанавливается только при плановом патоморфологическом исследовании удаленного макропрепарата (холецистэктомия по поводу ЖКБ), либо в поздние сроки заболевания при метастазировании и генерализации онкопроцесса.
Возникает раковая опухоль как в дне пузыря, так и в его шеечной части. Более определенно судить о первоначальной локализации трудно, так как обычно приходится встречаться с распространенным процессом, охватывающим весь пузырь или его большую часть. При скиррозной форме рака трудно бывает отличить во время операции новообразование от хронического, продуктивного воспаления, когда пузырь подвергается массивным рубцовым изменениям, сморщивается, становится очень плотным («фарфоровый желчный пузырь»).
На ранних стадиях рак желчного пузыря никак не проявляется. Общее состояние больного долго не страдает. Мысль о возможном заболевании возникает, когда появляется стойкая тупая боль в правом подреберье, а при пальпации выявляется очень плотное образование у самого края печени. Подозрение усиливается при появлении желтухи. В случае обтурации опухолью пузырного протока, в отключенном пузыре может развиться острый воспалительный процесс - острый холецистит. Статистика популяционных и больничных регистров о суммарной выживаемости всех больных раком желчного пузыря крайне неблагоприятна: 5-летняя выживаемость - 5%, медиана выживаемости - 5-8 мес [1, 4, 5].
В качестве примера, показывающего сложность предоперационной диагностики рака желчного пузыря на фоне уже имеющейся желчнокаменной болезни, приводим следующее собственное клиническое наблюдение.
Больная Д., 73 лет, была госпитализирована в отделение гастроэнтерологии 16.01.2012 г. с направительным диагнозом: ЖКБ, острый холецистит в стадии разрешения. Жалобы на ноющие боли в правом подреберье после приема пищи, общую слабость, повышение температуры тела до 38°С, неустойчивый стул 2-3 раза в сутки в течение последних 10 дней перед поступлением в стационар. Амбулаторно: при ультразвуковом исследовании органов брюшной полости были выявлены множественные конкременты в желчном пузыре. В общем анализе крови умеренный лейкоцитоз, увеличение СОЭ до 90 мм/час. По назначению участкового врача в течение недели принимала ампициллин, а затем левофлоксацин (500 мг в сутки). Более 10 лет страдает желчнокаменной болезнью с редкими периодами обострения; механических желтух и панкреатитов не было.
При поступлении: общее состояние удовлетворительное. Кожные покровы обычной окраски, чистые, лимфоузлы доступные пальпации не увеличены. Частота дыхательных движений 18 в мин. Дыхание везикулярное, хрипов нет. АД 140/80 мм рт. ст., пульс 76 в мин., тоны сердца ритмичные, приглушены. Живот не вздут, мягкий, болезненный при глубокой пальпации в правом подреберье. Печень и селезенка не увеличены, желчный пузырь не пальпируется. Симптомов раздражения брюшины нет, симптом Ортнера слабо положителен. Перистальтика активная. Стул 2-3 раза в сутки, оформлен, обычной окраски. Мочеиспускание не нарушено.
В общем анализе крови (17.01) эритроциты - 4,42 млн., гемоглобин - 133 г/л, гематокрит - 36,8%, лейкоциты - 9,6 тыс., без сдвига формулы, тромбоциты - 393 тыс., СОЭ - 60 мм/час. Общий анализ мочи, коагулограмма, гликемический профиль без патологии. В биохимическом анализе крови (17.01) ЩФ - 447 Ед/л., Алт - 51 Ед/л., ACT - 39 Ед/л., СРБ - 63,10, остальные показатели в пределах нормы.
При УЗИ органов брюшной полости (17.01) желчный пузырь в инфильтрате, в области шейки фиксированный конкремент, неравномерное утолщение стенок желчного пузыря. Весь просвет пузыря заполняют множественные конкременты. Признаки диффузных изменений паренхимы печени и поджелудочной железы. Жидкости, увеличенных лимфоузлов в воротах печени нет. Заключение: ЖКБ, острый холецистит, инфильтрат желчного пузыря (рис. 1).
Рис. 1. Желчный пузырь в инфильтрате, с неравномерно утолщенными стенками, в области шейки фиксированный конкремент.
Пациентка при поступлении была консультирована хирургом. На основании анамнеза, клинической картины заболевания, лабораторных и инструментальных исследований был установлен диагноз: ЖКБ, острый флегмонозный холецистит в стадии разрешения. Учитывая отсутствие интоксикации, болевого синдрома, механической желтухи, а также сроки заболевания, показаний к экстренной или срочной операции на момент осмотра не выявлено; было решено проводить комплексную консервативную терапию, динамическое наблюдение.
Больной назначено: стол 5п, инфузионная терапия в объеме 1,5-2 литров в сутки, спазмолитическая, антибактериальная (цефтриаксон + метронидазол; абактал + метрогил), ферментативная (креон - 25000 ЕД) и противоязвенная терапия, контроль лабораторных анализов, УЗИ в динамике.
На фоне проводимой терапии состояние пациентке улучшилось, нормализовалась температура тела, прошли ноющие боли в правом подреберье, уменьшилась общая слабость. В лабораторных анализах крови отмечена положительная динамика. Однако, при контрольном УЗИ органов брюшной полости (24.01) каких либо изменений по сравнению с исследованием от 17.01 не выявлено. Была продолжена комплексная консервативная терапия.
При повторной консультации хирурга (29.01), учитывая отсутствие положительной динамики при УЗИ, повышенный уровень СРБ, СОЭ в анализах для исключения опухоли желчного пузыря назначена компьютерная томография (КТ) органов брюшной полости и забрюшинного пространства. При КТ органов брюшной полости и забрюшинного пространства с контрастным усилением (30.01) в проекции желчного пузыря определяется инфильтрация печеночной паренхимы с вовлечением пузыря, стенки которого неравномерно утолщены, накапливают контрастное вещество, в просвете пузыря множественные конкременты со взвесью. Внутрипеченочные и общий желчный проток не расширены. В области ворот печени и перипузырном пространстве скудное количество жидкости. Забрюшинные лимфоузлы не увеличены. Остальные органы брюшной полости и забрюшинного пространства без особенностей. Заключение: КТ-картина требует дифференциальной диагностики между острым деструктивным холециститом и неопроцессом желчного пузыря (рис. 2).
Рис. 2. КТ-брюшной полости с контрастированием. Инфильтрат в области желчного пузыря.
Учитывая данные УЗИ, КТ и невозможность исключить рак желчного пузыря пациентка 02.02 переведена в отделение хирургии для оперативного лечения. 03.02 под эндотрахеальным наркозом выполнена операция: верхнее-срединная лапаротомия, холецистэктомия от шейки, санация и дренирование подпеченочного пространства. На операции в правом подреберье обнаружен рыхлый инфильтрат, состоящий из большого сальника, печеночного изгиба толстой кишки, двенадцатиперстной кишки и желчного пузыря. Последний размером 10x5x3 см, с утолщенными до 1 см и инфильтрированными стенками, в просвете пузыря множественные конкременты до 1,5-2 см. Стенки пузыря багрово-серого оттенка с небольшим количеством налета фибрина (рис. 3). В воротах печени скудное количество (20 мл) серозной жидкости (взят посев). Печень визуально и пальпаторно не изменена, в области печеночнодуоденальной связки отек. Увеличенных лимфоузлов, признаков канцероматоза, асцита, патологических изменений других органов брюшной полости и забрюшинного пространства не выявлено. Интраоперационная картина расценена как ЖКБ, острый флегмонозный холецистит в стадии разрешения. Выполнена холецистэктомия от шейки, санация подпеченочного пространства 2 литрами 0,9% раствора NaCL, дренирование брюшной полости.
Послеоперационный период протекал без осложнений, дренаж удален на 3 сутки, швы сняты на 10 сутки, заживление раны первичным натяжением.
Рис. 3. Макропрепарат: часть стенки желчного пузыря.
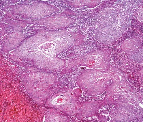
При патологоанатомическом исследовании (3104-7 от 10.02) был выявлен плоскоклеточный рак желчного пузыря с ороговением высокой степени дифференцировки, с прорастанием до серозной оболочки, массивным перифокальным воспалением, разрастанием грануляционной ткани и очаговыми кровоизлияниями (рис. 4). Взятие 14.02 анализа крови на антиген плоскоклеточной карциномы (SCC) дало положительный результат (6,900 нг/мл, при норме 0<N>l,5). Перед выпиской пациентка консультирована онкологом. Учитывая патологоанатомический диагноз, распространенность процесса больная направлена в онкологический стационар для проведения химиотерапии.
Рис. 4. Плоскоклеточный рак желчного пузыря с ороговением высокой степени дифференцировки.
Окраска гематоксилином и эозином, х 40.
Приведенный случай наглядно демонстрирует сложности своевременной дооперационной диагностики рака желчного пузыря на фоне ЖКБ, особенно в период воспалительных изменений стенок желчного пузыря.
На дооперационном этапе, особенно на ранних стадиях заболевания, как правило, отсутствуют характерные клинические симптомы и изменения в лабораторных анализах, а выявляемые находки при УЗИ и КТ в большинстве случаев расцениваются как результат перенесенного воспаления желчного пузыря. В период развития острого калькулезного холецистита клиническая картина рака желчного пузыря отсутствует или становится «смазанной», что может приводить к диагностическим ошибкам и, как следствие, запоздалому хирургическому вмешательству, либо вообще - неоперабельному случаю из-за развития отдаленных метастазов. Следует помнить, что верифицировать данный диагноз возможно только при операции (лапароскопия, лапаротомия).
Несмотря на определенные сложности до- операционной диагностики рака желчного пузыря, сочетающегося с ЖКБ, при тщательно собранном анамнезе, анализе клинической картины заболевания и правильной интерпретации лабораторных и инструментальных исследований, все же можно заподозрить у пациента опухоль желчного пузыря. Утолщение стенок пузыря, их неоднородность, наличие инфильтрата без клинической картины приступа ЖКБ, при отсутствии камней может свидетельствовать в пользу опухоли желчного пузыря.
Настороженность врача в плане онкопатологии должны вызывать и такие «малые» клинические признаки заболевания как общая слабость, быстрая утомляемость, похудание без видимых причин, отсутствие аппетита, отвращение к мясной пищи, постоянный характер боли в правом подреберье, не связанный с приемом пищи, бледность кожных покровов. Наличие увеличенных лимфоузлов, механической желтухи, вторичных изменений в печени свидетельствует уже о запущенной стадии заболевания, когда хирургическое лечение становится проблематичным или уже невозможным.
В лабораторных анализах повышение уровня СРВ, СОЭ, анемия, тромбоцитопения или лейкопения в комплексе с клинической картиной заболевания и данными инструментальных исследований также говорят в пользу диагноза рака желчного пузыря.
УЗИ и КТ продолжают оставаться основными инструментальными методами диагностики рака желчного пузыря, при этом особенно важно их применение в динамике. Так, если на фоне проводимой адекватной терапии в течение 2-3 недель отсутствует положительная динамика по данным УЗИ или КТ и, тем более, дольше указанного срока, это должно заставить врача заподозрить онкопроцесс.
Таким образом, дооперационная диагностика рака желчного пузыря сложна, требует комплексной и тщательной оценки анамнеза заболевания, клинической картины заболевания, результатов лабораторных и инструментальных исследований. При невозможности исключить рак желчного пузыря на фоне ЖКБ во всех случаях показано оперативное лечение - лапароскопическая или традиционная (лапаротомным доступом) операция.
Каждый клиницист, занимающийся лечением больных с ЖКБ, в случае нетипичного, нестандартного течения заболевания, отсутствия эффекта от лечения при УЗИ или КТ в динамике, должен помнить о возможном сочетании ЖКБ и рака желчного пузыря.
About the authors
Yuryi V. Ivanov
Federal Scientific and Clinical Center for Specialized Types of Medical Care and Medical Technologies FMBA of Russia
Author for correspondence.
Email: ivanovkb83@yandex.ru
head Department of Surgery, Doctor of Medical Sciences, Professor
Russian Federation, MoscowFedor G. Zabozlaev
Federal Scientific and Clinical Center for Specialized Types of Medical Care and Medical Technologies FMBA of Russia
Email: fzab@mail.ru
head Pathology Department, Doctor of Medical Sciences, Professor
Russian Federation, MoscowReferences
- Помелов В.С., Вишневский В.А., Велькер С.И. Диагностика и хирургическое лечение рака желчного пузыря//Хирургия. 1991. №4. С 68-72.
- Доценко А.П., Чинченко Е.И. Рак желчного пузыря и внепеченочных желчных протоков. Киев, 2005. 58 с.
- Алиев М.А., Поташев Л.В., Седов В.М., Нурмаков А.Ж. Рак желчного пузыря. Алма-Ата, 1996. 214 с.
- Выродов К.С. Рак и камни желчного пузыря: Автореф. дис. ... канд. мед. наук. Краснодар, 1982.22 с.
- Дудко В.П. Рак желчного пузыря (диагностика и лечение): Автореф. дис. ... канд. мед. наук. М., 1987. 21 с.
- Щеголев А.И., Дубова Е.А., Мишнев О.Д. Онкоморфология желчного пузыря. Москва, 2008.123 с.
- Gupta S., Gupta S.K., Aryya N.C. Primary squamous cell carcinoma of gallbladder presenting as acute cholecystitis //Indian J Pathol Microbiol. 2004. V.47. P. 231-233.
- Ishikawa Y., Yoshida H., Mamada Y. et al. Squamous cell carcinoma of gallbladder/// Nippon Med Sch. 2004. V71. P 417-420.
Supplementary files






