Возможности применения сдвигововолновой эластографии печени у беременных, инфицированных вирусами гепатитов B и C
- Авторы: Сарыева Э.Г.1
-
Учреждения:
- Азербайджанский медицинский университет
- Выпуск: Том 100, № 2 (2019)
- Страницы: 345-350
- Раздел: Обмен клиническим опытом
- Статья получена: 29.03.2019
- Статья опубликована: 29.03.2019
- URL: https://kazanmedjournal.ru/kazanmedj/article/view/11549
- DOI: https://doi.org/10.17816/KMJ2019-345
- ID: 11549
Цитировать
Полный текст
Аннотация
Цель. Определить диагностические возможности применения сдвигововолновой эластографии печени у беременных, инфицированных вирусами гепатитов B и C.
Методы. В исследование были включены 87 женщин с гепатитами В и С, госпитализированных в стационар Центра клинической медицины №1 и Учебно-терапевтической клиники Азербайджанского медицинского университета (базы кафедры акушерства и гинекологии II Азербайджанского медицинского университета) за период с 2016 по 2017 гг., в возрасте 18-45 лет (средний возраст 31,4±7,1 года), а также 50 женщин с физиологическим течением беременности, сопоставимых по возрасту (средний возраст 30,6±6,8 года). Инфицированные были разделены на две группы: 70 беременных (первая группа) и 17 женщин (вторая группа), которые на момент исследования беременными не были (средний возраст по группам 29,8±7,2 и 30,9±6,7 года соответственно). Женщины с физиологическим течением беременности составили третью группу (средний возраст 30,6±6,8 года). Группы беременных были идентичны по возрасту, длительности беременности и количеству предыдущих беременностей (p ˃0,05). Всем пациенткам проводили общеклинические, биохимические исследования и сдвигововолновую эластографию печени. Полученные данные обрабатывали методами вариационной статистики с вычислением средней величины и ошибки средней (M±m), U-критерия Манна-Уитни, коэффициента корреляции Спирмена.
Результаты. У 52,9±6% обследованных беременных, страдающих гепатитом, диагностирован гепатит B, у 47,1±6% - гепатит С. У этих женщин по результатам сдвигововолновой эластографии средняя плотность печени составила 7,2±1,0 кПа. Повышение плотности печени у беременных с вирусными гепатитами не сопровождалось изменениями размеров печени (только у 1 пациентки обнаружена гепатомегалия). У 71,4±5,4% пациенток выявлена степень F1, у 20,0±4,8% - F2, у 5,7±2,8% - F3, у 2,9±2,0% - F4. В сравнении с инфицированными пациентками без беременности у беременных с вирусными гепатитами В и С степень фиброза была более выраженной [степень F1 встречалась реже (p ˂0,05), а F2 чаще (p ˂0,05)], а также была установлена степень F4 - в отличие от небеременных. У инфицированных беременных между эхогенностью печени и плотностью её тканей выявлена положительная корреляция (ρ=0,495; p ˂0,001).
Вывод. У беременных с гепатитами В и С применение сдвигововолновой эластографии позволяет неинвазивным методом обнаружить различные степени фиброза печени на ранних стадиях, даже в отсутствие выраженных клинико-лабораторных изменений.
Ключевые слова
Полный текст
Увеличение количества пациентов с хроническими заболеваниями печени ставит перед врачами различных специальностей задачи, касающиеся необходимости точной диагностики и возможности мониторинга фиброзного процесса в органе [1].
Одной из наиболее частых причин фиброзных изменений в печени считают инфекции, вызванные вирусами гепатитов В (HBV — от англ. hepatitis B virus) и С (HCV — от англ. hepatitis С virus), распространённость которых в последние годы неуклонно растёт. По разным оценкам, инфицированность HBV и HCV достигает 1–2 млрд человек, из них ежегодно от разных форм этой инфекции погибают около 2 млн, в том числе 700 тыс. — от цирроза печени, 300 тыс. — от гепатоцеллюлярной карциномы, при этом не учитывают смертность от внепечёночных (системных) проявлений HBV- и HCV-инфекций [2].
Следствием всего вышесказанного стало принятие Всемирной организацией здравоохранения в мае 2016 г. первой «Глобальной стратегии здравоохранения по вирусным гепатитам (2016–2021)» [3].
Особое место среди инфицированных вирусами гепатитов занимают беременные, что связано с ограничениями в применении некоторых методов диагностики у данного контингента [4]. Основная проблема при обследовании беременных — трудности в обнаружении очаговых изменений в печени на ранних стадиях патологии. Несмотря на то, что «золотым стандартом» в диагностике фиброза печени считают её пункционную биопсию с последующим гистологическим исследованием, данный метод диагностики — инвазивная процедура, сопровождающаяся высоким риском развития внутрибрюшного кровотечения и инфекционных осложнений. Это направляет поиск в сторону неинвазивных методов. И хотя компьютерная томография и магнитно-резонансная томография служат достаточно информативными методами выявления очаговых изменений в тканях, ведущая роль в изучении заболеваний печени в период беременности всё ещё принадлежит ультразвуковому исследованию [5].
Тем не менее, метод ультразвукового исследования обладает рядом существенных недостатков, таких как определённая субъективность, возможность ответить лишь на вопросы о неоднородности эхо-структуры, эхогенности, форме и размерах печени. Этого недостаточно для выявления ранних фиброзных изменений.
В последние годы всё большее значение в изучении состояния печени начали придавать эластографии, в частности сдвигововолновой эластографии (SWE — от англ. shear wave elastography), которая наряду с обеспечением широкой визуализации печени позволяет изучить количественные и качественные показатели эластичности ткани [6]. По мнению С.Н. Бердникова и соавт. (2014), эластометрию и эластографию можно считать информативными методами в дифференциальной диагностике гиперэхогенных образований печени [7]. В связи с этим изучение возможностей применения SWE печени у беременных с HBV- и HCV-инфекциями представляется актуальной задачей, способной улучшить диагностику фиброзных изменений у данного контингента пациенток.
Целью исследования было определение диагностических возможностей применения SWE печени у беременных с HBV- и HCV-инфекциями.
В исследование были включены 87 женщин с HBV- и HCV-инфекциями, госпитализированных в стационар Центра клинической медицины №1 и Учебно-терапевтической клиники Азербайджанского медицинского университета (базы кафедры акушерства и гинекологии II Азербайджанского медицинского университета) за период с 2016 по 2017 гг., в возрасте 18–45 лет (средний возраст 31,4±7,1 года), а также 50 женщин с физиологическим течением беременности, сопоставимых по возрасту (средний возраст 30,6±6,8 года; p ˃0,05).
Инфицированные были разделены на две группы: 70 беременных (первая группа) и 17 женщин (вторая группа), которые на момент исследования беременными не были (средний возраст по группам 29,8±7,2 и 30,9±6,7 года соответственно; p ˃0,05). Женщины с физиологическим течением беременности составили третью группу (средний возраст 30,6±6,8 года; p ˃0,05 при сравнении с первой и второй группами). Группы беременных были идентичны по длительности беременности и паритету (табл. 1).
Таблица 1. Распределение беременных по длительности беременности и числу предыдущих беременностей
Показатели | Первая группа (n=70), M±m | Третья группа (n=50), M±m | р |
Длительность беременности на момент обследования, нед | 36,7±0,5 | 37,1±0,2 | ˃0,05 |
Паритет беременности, %: первобеременные повторнобеременные | 47,1±6 52,9±6 | 46,0±6,1 54,0±6,1 | ˃0,05 ˃0,05 |
Всем пациенткам, помимо общеклинических и биохимических исследований, проводили SWE печени. Работа осуществлена на базах кафедры акушерства и гинекологии II Азербайджанского медицинского университета (Центр клинической медицины №1 и Учебно-хирургическая клиника Азербайджанского медицинского университета). SWE печени выполняли на кафедре хирургических болезней I (Учебно-хирургическая клиника Азербайджанского медицинского университета) с помощью аппарата Super Sonic Aixplorer Multi Wave (Франция), предоставленного при поддержке Фонда развития науки при Президенте Азербайджанской Республики.
Обследование проводили в положении пациентки на спине с уклоном влево. Датчик располагали в восьмом-девятом межрёберном промежутке по правой передней и задней подмышечной линии. Плотность ткани определяли в правой доле на бессосудистом участке на глубине 2 см от капсулы, результаты выражали в килопаскалях. Полученные показатели плотности тканей оценивали по шкале METAVIR: <7,1 кПa — F0–F1; 7,1–7,9 кПa — F2; 8,0–10,4 кПa — F3; >10,4 кПa — F4), где F0 — отсутствие фиброза; F1 — расширение портального тракта без септ; F2 — портальный фиброз с небольшим количеством сформированных септ; F3 — портальный фиброз с формированием множественных септ; F4 — цирроз печени.
Полученные цифровые данные обрабатывали статистически с помощью методов вариационной статистики с вычислением средней величины и ошибки средней (M±m), U-критерия Манна–Уитни, коэффициента корреляции Спирмена. Различия считали достоверными при р <0,05.
Полученные результаты показали, что группы инфицированных пациенток были сопоставимы по распределению HBV- и HCV-инфекции (p ˃0,05). Так, у 52,9±6% обследованных беременных с выявленным вирусным гепатитом была установлена HBV-инфекция, у 47,1±6% — HCV-инфекция. Во второй группе у 58,8±11,9% выявлена HBV-инфекция, у 41,2±11,9% — HCV-инфекция. В обеих группах у пациенток с HCV-инфекцией был преимущественно обнаружен I генотип HCV. У 53 (75,7±5,1%) инфицированных первой группы зарегистрирована виремия [полимеразная цепная реакция (ПЦР) позитивна], у 17 (24,3±5,1%) виремия не обнаружена (ПЦР негативна). Во второй группе ПЦР-позитивными оказались 12 (70,6±11,1%) женщин, ПЦР-негативными — 5 (29,4±1,1%) обследованных, что свидетельствует об отсутствии достоверных различий по количеству пациенток с виремией в группах сравнения (p ˃0,05).
Для оценки состояния некоторых биохимических показателей, характеризующих уровень цитолитической активности процесса и белково-синтетической функции печени, было проведено сравнение активности аспартатаминотрансферазы, аланинаминотрансферазы, соотношения аспартатаминотрансфераза/аланинаминотрансфераза и содержания альбумина во всех трёх группах. Полученные результаты отражены в табл. 2.
Таблица 2. Биохимические показатели функций печени у женщин с гепатитами В и С (беременных и небеременных) и неинфицированных женщин с физиологически протекающей беременностью
Показатели | Первая группа (n=70) | Вторая группа (n=17) | Третья группа (n=50) |
Аланинаминотрансфераза, ед./л | 29,3±3,4 | 31,7±2,8 | 28,1±2,3 |
Аспартатаминотрансфераза, ед./л | 35,8±3,6 | 34,9±2,2 | 32,9±2,1 |
Соотношение аспартатаминотрансфераза/аланинаминотрансфераза | 1,4±0,08 | 1,3±0,05 | 1,3±0,03 |
Альбумин, г/л | 31±0,7*^ | 36,6±0,3 | 44,3±0,5 |
Примечание: статистическая значимость различий показателей беременных, инфицированных вирусами гепатитов В и С, — *р <0,05 по отношению к женщинам с физиологической беременностью; ^р <0,05 по отношению к небеременным женщинам, инфицированным вирусами гепатитов В и С.
Таким образом, хотя в сравниваемых группах с HBV- и HCV-инфекциями и есть тенденция к повышению активности аланинаминотрансферазы, аспартатаминотрансферазы и содержания альбумина в сравнении в неинфицированными женщинами с физиологически протекающей беременностью, достоверными эти изменения были только в отношении альбумина (р <0,05).
Результаты исследования показали, что у женщин с физиологическим течением беременности размеры печени и эхогенность паренхимы были нормальными. Средняя плотность печени у этих женщин составила 4,43±0,01 кПa. По шкале METAVIR фиброза не обнаружено.
В группе беременных с HBV- и HCV-инфекциями без клинических проявлений гепатитов у 61,4±5,8% при ультразвуковом исследовании печени обнаружены изменения эхогенности, у 71,4±5,4% — неровность контуров печени, у 1 больной (с HCV-инфекцией) — гепатомегалия. В группе инфицированных пациенток без беременности изменения эхогенности печени отмечали достоверно реже (p <0,05), гепатомегалия не зарегистрирована. Полученные данные отражены в табл. 3.
Таблица 3. Ультразвуковые показатели изменений печени у женщин, инфицированных вирусами гепатитов В и С (беременных и небеременных)
Показатели | Первая группа (n=70), M±m | Вторая группа (n=17), M±m | р |
Изменения эхогенности, % | 61,4±5,8 | 52,9±12,1 | <0,05 |
Неровность контуров печени, % | 71,4±5,4 | 76,5±10,3 | ˃0,05 |
Гепатомегалия, % | 1,4±1,5 | — | — |
У женщин с HBV- и HCV-инфекциями без беременности средняя плотность печени по результатам SWE составила 7,1±0,8 кПа. У 76,5±10,3% была выявлена степень F1, у 17,6±9,2% — F2, у 5,9±5,7% —F3, а F4 (наиболее тяжёлая форма фиброза) ни у одной пациентки не обнаружена.
У беременных с HBV- и HCV-инфекциями средняя плотность печени составила 7,2±1,0 кПа. Следует отметить, что повышение плотности печени у беременных с вирусными гепатитами не сопровождалось изменениями размеров печени (только у 1 пациентки за регистрирована гепатомегалия). Данные о распределении пациенток по степеням фиброза представлены в табл. 4.
Таблица 4. Распределение обследованных пациенток по степеням фиброза на основании данных сдвигововолновой эластографии
Степень фиброза | Первая группа (n=70), M±m | Вторая группа (n=17), M±m | Третья группа (n=50), M±m |
F0, % | — | — | 100 |
F1, % | 71,4±5,4* | 76,5±10,3 | — |
F2, % | 20,0±4,8* | 17,6±9,2 | — |
F3, % | 5,7±2,8 | 5,9±5,7 | — |
F4, % | 2,9±2,0 | — | — |
Примечание: *р <0,05 — статистическая значимость различий показателей беременных, инфицированных вирусами гепатитов В и С, по отношению к небеременным женщинам, инфицированным теми же вирусами.
Таким образом, в сравнении с инфицированными пациентками без беременности у беременных с HBV- и HCV-инфекциями степень фиброза была более выраженной [степень F1 встречалась достоверно реже (p ˂0,05), а F2 достоверно чаще (p ˂0,05)], а также была установлена степень F4 (чего не было у небеременных).
У инфицированных беременных были изучены корреляционные связи между эхогенностью печени и плотностью её тканей: выявлено наличие достоверной положительной корреляции (ρ=0,495; p ˂0,001).
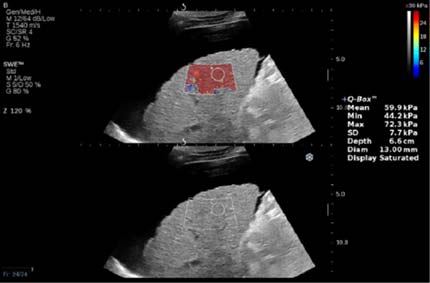
Представляем ряд клинических примеров, демонстрирующих определение степени фиброза печени с помощью SWE у беременных с HBV- и HCV-инфекциями (рис. 1–5).
Рис. 1. Беременная М.Н., G1P1A0, позитивна по вирусу гепатита В, результат сдвигововолновой эластографии печени: METAVIRSTAGE — F0
Рис. 2. Беременная А.З., G2P1A0, позитивна по вирусу гепатита С, результат сдвигововолновой эластографии печени: METAVIRSTAGE — F1
Рис. 3. Беременная Р.Р., G2P2A0, позитивна по вирусу гепатита В, результат сдвигововолновой эластографии печени: METAVIRSTAGE — F2
Рис. 4. Беременная Б.Р., G3P2A0, позитивна по вирусу гепатита В, результат сдвигововолновой эластографии печени: METAVIRSTAGE — F3
Рис. 5. Беременная В.Е., G3P3A0, позитивна по вирусу гепатита С, результат сдвигововолновой эластографии печени: METAVIRSTAGE — F4
Проведённое исследование свидетельствует о том, что ещё до характерных клинических проявлений и выраженных морфологических изменений по данным ультразвукового исследования у беременных с HBV- и HCV-инфекциями с помощью SWE можно обнаружить признаки фиброза печени. Сравнительный анализ с группой инфицированных пациенток без беременности показал, что, несмотря на отсутствие значимых различий в биохимических показателях между данными группами, результаты SWE указывают на бо́льшую выраженность изменений плотности печени при сочетании HBV- и HCV-инфекций с беременностью (различия по степеням F1 и F2 статистически значимы, p ˂0,05).
Вывод
У беременных, инфицированных вирусами гепатитов В и С, применение сдвигововолновой эластографии позволяет неинвазивным методом обнаружить различные степени фиброза печени на ранних стадиях, даже в отсутствие выраженных клинико-лабораторных изменений.
Автор заявляет об отсутствии конфликта интересов по представленной статье.
Об авторах
Эллада Гошкар гызы Сарыева
Азербайджанский медицинский университет
Автор, ответственный за переписку.
Email: elladasariyevaatu@mail.ru
г. Баку, Азербайджан
Список литературы
- Лемешко З.А. Лучевая диагностика в гастроэнтерологии. Рос. ж. гастроэнтерол., гепатол., колопроктол. 2011; (1): 79-84.
- Дуйсенова А.К., Курманова Г.М., Жусупова Р.Т. и др. Профилактика неблагоприятных исходов вирусных гепатитов. Вестн. Казахского нац. мед. ун-та. 2013; 4 (2): 276-280.
- «Global Health Sector Strategy on Viral Hepatitis 2016-2021» towards ending viral hepatitis. June, 2016. WHO Document Production Services. Geneva, Switzerland. 2016; 56 p.
- Павлов Ч.С., Глушенков Д.В., Ивашкин В.Т. Современные возможности эластометрии, фибро- и акти-теста в диагностике фиброза печени. Рос. ж. гастроэнтерол., гепатол., колопроктол. 2008; 18 (4): 43-52.
- Рябова Е.Н., Рыхтик П.И., Шкалова Л.В. и др. Неинвазивная оценка объёма функционирующей паренхимы печени у пациентов с циррозом печени и портальной гипертензией как фактор прогноза исходов операции портосистемного шунтирования. Радиология - практика. 2012; (3): 77-82.
- Руденко О.В., Сафонов Д.В., Рыхтик П.И. и др. Физические основы эластографии. Радиология - практика. 2014; (3): 41-50.
- Бердников С.Н., Шолохов В.Н., Патютко Ю.И. и др. Эластометрия и эластография в дифференциальной диагностике гиперэхогенных образований печени. Анн. хир. гепатол. 2014; 19 (3): 40-45.
Дополнительные файлы








