Некоторые трудности дифференциальной диагностики клонорхоза
- Авторы: Фигурнов В.А.1, Долгих Т.А.1, Григоренко А.А.2, Дубяга Е.В.3, Рощин С.Н.2, Нициевская Л.С.4, Трынов Н.Н.3
-
Учреждения:
- Амурская государственная медицинская академия
- Амурский областной онкологический диспансер
- Амурская областная клиническая больница
- Амурская областная инфекционная больница
- Выпуск: Том 100, № 3 (2019)
- Страницы: 492-494
- Раздел: Клинические наблюдения
- Статья получена: 10.06.2019
- Статья одобрена: 10.06.2019
- Статья опубликована: 13.06.2019
- URL: https://kazanmedjournal.ru/kazanmedj/article/view/13349
- DOI: https://doi.org/10.17816/10.17816/KMJ2019-492
- ID: 13349
Цитировать
Полный текст
Аннотация
Клонорхоз - заболевание, вызываемое паразитированием китайского сосальщика (Clonorchis sinensis), характеризующееся поражением печени и/или поджелудочной железы. Основой диагностики клонорхоза служит обнаружение в кале яиц паразита. Несмотря на это, при подтверждении данного гельминтоза могут возникнуть трудности. Следует отметить, что при малоинтенсивных инвазиях или в остром периоде клонорхоза обнаружить яйца в кале удаётся не всегда. В данной статье описан случай у мужчины 38 лет, поступившего в стационар с предварительным диагнозом «Опухоли печени». Диагноз «Клонорхоз» был выставлен после проведения биопсии печени и обнаружения в дуоденальном содержимом яиц клонорха. В кале яйца обнаружить не удалось. Терапия празиквантелом (бильтрицидом) оказалась эффективной, и больной был выписан в удовлетворительном состоянии.
Полный текст
В настоящее время клонорхоз представляет собой значительную проблему для здравоохранения в связи с увеличением количества больных и заражённых, особенно в Дальневосточном регионе. В России эта болезнь встречается в дельте реки Амур по китайскому и русскому берегам [1].
Основой диагностики клонорхоза служит обнаружение в кале яиц паразита. При проведении иммуноферментного анализа возможно развитие перекрёстных реакций с другими паразитозами, в связи с чем могут быть получены ложноположительные результаты. Предложенный метод не даёт возможности отличить текущую инфекцию от перенесённой. Полимеразная цепная реакция широкого применения в России не получила из-за отсутствия тест-систем [2]. В связи с этим иногда в диагностике клонорхоза возникают трудности. Примером может служить приведённый нами клинический случай.
Больной К. 38 лет, житель сельской местности Амурской области обратился за медицинской помощью в связи с тем, что у него появились ноющие боли в правом верхнем отделе живота. Периодически повышалась температура тела до 39,0 °С, был плохой аппетит, происходила потеря массы тела. Подобные симптомы беспокоили больного в течение 6 мес. Когда появился приступ резких болей в области правого подреберья, пациент обратился в районную больницу за помощью.
Был обследован амбулаторно методом ультразвукового исследования органов брюшной полости, при котором обнаружены очаговые образования печени. Была выполнена фиброгастродуоденоскопия, так как у больного подозревали опухоль в брюшной полости. С подозрением на опухоль печени был направлен в областной центр и госпитализирован в хирургическое отделение областной клинической больницы.
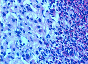
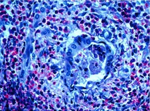
При повторном исследовании кала яйца гельминтов найти не удалось. Пациенту была выполнена биопсия печени, при исследовании биоптатов был заподозрен диагноз стронгилоидоза. Однако впоследствии он был исключён, и при повторном изучении материалов биопсии выявлено массивное пропитывание ткани печени эозинофилами (рис. 1). Особенно много эозинофилов было вокруг жёлчных протоков различного калибра, в меньшей степени — по периферии сосудов, стенки которых были утолщены за счёт пролиферации (рис. 2).
Рис. 1. Массивное пропитывание ткани печени эозинофилами как показатель паразитарной природы заболевания
Рис. 2. Окраска гематоксилином и эозином биоптата печени, увеличение ×400. Массивное скопление эозинофилов вокруг жёлчных протоков
Больной с подозрением на паразитарное заболевание печени был переведён в инфекционную больницу. При изучении эпидемиологического анамнеза выяснено, что больной — заядлый рыбак и нередко употреблял в пищу сырую, слабопросолённую, вяленую мелкую рыбку (чебак, карась, гольян, пескарь и др.).
На момент поступления и во время пребывания в инфекционном стационаре состояние пациента было удовлетворительным. Температура тела оставалась нормальной, определялась гепатомегалия (размеры печени по Курлову 14×10×9 см, край при пальпации плотный и умеренно болезненный), селезёнка не увеличена.
Было назначено обследование, результаты которого приведены ниже.
Клинический анализ крови при поступлении: гемоглобин 114 г/л, эритроциты 4,02×1012/л, тромбоциты 313×109/л, лейкоциты 8,1×109/л, сегментоядерные 16%, лимфоциты 46%, моноциты 1%, эозинофилы 35%, базофилы 2%, скорость оседания эритроцитов 7 мм/ч.
В общем анализе мочи и при биохимическом исследовании крови патологии не обнаружено.
При копроовоскопии яйца гельминтов не определялись (при многократном исследовании).
Иммуноферментный анализ на маркёры вирусных гепатитов А, В и С отрицательный.
При дуоденальном зондировании в порции «В» обнаружены лейкоциты до 100 в поле зрения, единичные эритроциты и яйца клонорха. Методом иммуноферментного анализа крови выявлены антитела класса G к антигенам клонорха.
При ультразвуковом исследовании органов брюшной полости обнаружены очаговые изменения в паренхиме печени и участки повышенной эхогенности в левой доле размером 3–7 мм.
В динамике во время пребывания в стационаре отмечено увеличение доли эозинофилов до 46% на 2-й день после проведённого курса специфической терапии празиквантелом (бильтрицидом). По данным непрямой фиброэластометрии печени фиброза ткани нет.
Через 9 дней после поступления в инфекционную больницу, проведённого обследования и терапии пациент в удовлетворительном состоянии был выписан под амбулаторное наблюдение с окончательным диагнозом «Клонорхоз, острое течение». Ещё через 4 мес состояние больного удовлетворительное, жалоб не предъявляет, работает и по-прежнему занимается рыбалкой.
Таким образом, у пациента была острая форма клонорхоза, выявленного в начальном периоде и пролеченного в стационаре. Возможно, это обстоятельство сыграло свою роль в том, что у больного в печени не обнаружены цирротические процессы, а при копроовоскопии не найдены яйца клонорха. Вероятно, с этим же связан тот факт, что в начале болезни клонорхоз даже не подозревали, и потребовался большой объём исследований в нескольких стационарах. Наблюдение за пациентом в настоящее время продолжается.
Авторы заявляют об отсутствии конфликта интересов по представленной статье.
Об авторах
Валентин Александрович Фигурнов
Амурская государственная медицинская академия
Email: canceromatoz1989@gmail.com
г. Благовещенск, Россия
Татьяна Анатольевна Долгих
Амурская государственная медицинская академия
Автор, ответственный за переписку.
Email: canceromatoz1989@gmail.com
г. Благовещенск, Россия
Алексей Александрович Григоренко
Амурский областной онкологический диспансер
Email: canceromatoz1989@gmail.com
г. Благовещенск, Россия
Евгений Витальевич Дубяга
Амурская областная клиническая больница
Email: canceromatoz1989@gmail.com
г. Благовещенск, Россия
Сергей Николаевич Рощин
Амурский областной онкологический диспансер
Email: canceromatoz1989@gmail.com
г. Благовещенск, Россия
Лилия Сергеевна Нициевская
Амурская областная инфекционная больница
Email: canceromatoz1989@gmail.com
г. Благовещенск, Россия
Николай Николаевич Трынов
Амурская областная клиническая больница
Email: canceromatoz1989@gmail.com
г. Благовещенск, Россия
Список литературы
- Челомина Г.Н. Клонорхоз: глобальная и региональная эпидемиология. Мед. паразитол. 2017; (2): 55–61.
- Байкова О.А., Николаева Н.Н., Грищенко Е.Г. и др. Трематодозы печени — описторхоз и клонорхоз: актуальность проблемы и принципы диагностики в современной клинической практике (обзор литературы). Бюлл. ВСНЦ СО РАМН. 2016; 1 (6): 182–187. doi: 10.12737/23825.
Дополнительные файлы





