Laser treatment of chronic central serous chorioretinopathy with a point of leakage in the subfoveolar zone without fluorescein angiography
- Authors: Samoylov AN1, Korobitsin AN2
-
Affiliations:
- Kazan State Medical University
- Kord Clinic
- Issue: Vol 100, No 4 (2019)
- Pages: 601-605
- Section: Theoretical and clinical medicine
- Submitted: 30.07.2019
- Accepted: 30.07.2019
- Published: 31.07.2019
- URL: https://kazanmedjournal.ru/kazanmedj/article/view/15525
- DOI: https://doi.org/10.17816/KMJ2019-601
- ID: 15525
Cite item
Full Text
Abstract
Aim. Develop a methodology and evaluate the clinical results of laser treatment of patients with chronic central serous chorioretinopathy in the presence of a leakage point in the foveola zone.
Methods. The results of patients (32 eyes) with central serous chorioretinopathy after laser exposure in the avascular area were analyzed. The best-corrected visual acuity in these patients before treatment was 0.7 to 1.0 (average 0.78±0.15) with a height of neuroepithelial detachment of 162 to 328 μm according to optical coherence tomography. No signs of choroidal neovascularization was detected in angio mode on optical coherence tomography. The treatment was performed with an Ellex Integre Pro Scan 561 nm. The follow-up examination was performed in 1 and 6 months.
Results. In 1 month, positive dynamics of both functional and anatomical parameters was noted in all eyes. According to the optical coherence tomography, a complete attachment of the neuroepithelium in the central zone of the retina occurred, detachment of the neuroepithelium was absent. Best-corrected visual acuity in 1 month after treatment increased to 0.89±0.08, in 6 months to 0.92±0.04. The study revealed a correlation between visual acuity and the central thickness of the retina in the fovea, there were no complaints about the appearance of scotomas after laser treatment in the foveola zone.
Conclusion. The developed techniqe of laser exposure on the foveola zone in case of chronic central serous chorioretinopathy with a 561 nm laser demonstrated high clinical efficacy and safety and can be recommended to all patients with central serous chorioretinopathy.
Full Text
Центральная серозная хориоретинопатия (ЦСХ) — часто встречающееся заболевание центральной зоны сетчатки, поражающее людей молодого трудоспособного возраста. В то же время ЦСХ — одно из наименее изученных заболеваний, включённых в группу пахихориоидальных. Для ЦСХ характерно появление отслоек пигментного эпителия и нейроэпителия сетчатки в области макулы. Многие авторы связывают появление заболевания со стрессом, однако до сих пор причина и патогенез ЦСХ до конца не выяснены [1–3].
Несмотря на то обстоятельство, что основным методом диагностики ЦСХ служит флюоресцентная ангиография глазного дна, в последнее время появляются работы по корреляции изменений в пигментном эпителии сетчатки, выявленных с помощью оптической когерентной томографии (ОКТ) и флюоресцентной ангиографии глазного дна [4]. Многие специалисты рассматривают флюоресцентную ангиографию как инвазивную, с риском нежелательных явлений, поэтому перед её проведением учитывают ряд противопоказаний, способных усугубить состояние пациента во время или после исследования [5, 6].
По классификации ЦСХ делят на острую (типичную) и хроническую (атипичную). Острая форма ЦСХ характеризуется внезапным появлением процесса с точкой фильтрации и транссудативной отслойкой нейроэпителия. Чаще всего острая форма имеет благоприятный прогноз и самопроизвольно разрешается, но при отсутствии закрытия точки фильтрации возникает хронический процесс, поэтому ЦСХ сроком 3 мес и более относят к хронической форме, которая требует лечения [2, 4, 7].
Последние работы многих авторов показывают, что длительное ожидание самопроизвольного разрешения процесса может привести к необратимым дистрофическим изменениям в фоторецепторном слое фовеолярной зоны сетчатки и, соответственно, к низкому зрению даже после прилегания пигментного эпителия и нейроэпителия [5, 8, 9].
В настоящее время существует много методов лечения хронической формы ЦСХ. Основная цель лечения при ЦСХ — прилегание нейроэпителия сетчатки [2, 6–10].
Различные лекарственные препараты свою эффективность не доказали, поэтому в настоящее время идут поиск и разработка различных методик лазерного лечения данной патологии. Эффективность лазерного лечения ЦСХ достигается за счёт слабого термического воздействия на зону фильтрации, в результате чего прекращается поступление жидкости в сетчатку, происходит активация насосной функции пигментного эпителия и ускоряется резорбция субретинальной жидкости [6, 11].
Лазерное лечение при ЦСХ считают высокоэффективным, но при наличии точки просачивания в зоне фовеолы многие авторы остерегаются осуществлять такую терапию. Эти данные убеждают нас в необходимости поиска дополнительной диагностики и усовершенствования методики лазерного лечения хронической ЦСХ с точкой фильтрации в аваскулярной зоне [2, 12].
Цель исследования — разработать метод диагностики и лечение больных хронической ЦСХ с точкой фильтрации в фовеолярной зоне с помощью лазера Integre Pro Scan 561 нм.
Для поставленной цели решали следующие задачи:
1) выявить ОКТ-признаки точки просачивания и провести лазерное лечение без проведения флюоресцентной ангиографии;
2) оценить влияние лазерного лечения на динамику остроты зрения и толщину сетчатки по данным ОКТ.
Под наблюдением находились 26 пациентов (32 глаза) в возрасте от 32 до 54 лет (средний возраст 41,4±2,4 года) с хронической ЦСХ (16 мужчин и 10 женщин). Все пациенты жаловались на затемнение, уменьшение контрастности изображения, микропсии, а также наличие пятна в глазу. Острота зрения до лазерного лечения в среднем составляла 0,78±0,15 (от 0,7 до 1,0).
Всем пациентам было проведено комплексное офтальмологическое обследование. При ОКТ использовали спектральный оптический когерентный томограф RTVue-100 (Optovue, США), с помощью которого оценивали высоту отслойки нейроэпителия и толщину сетчатки в центральной зоне. Всем пациентам была проведена ОКТ в режиме ангиографии (ОКТ-ангиография) для исключения наличия признаков хориоидальной неоваскуляризации. С помощью режима En Face ОКТ-ангиографии определяли точку фильтрации, признаком которой была деструкция пигментного эпителия в зоне отслойки нейроэпителия либо локальная отслойка пигментного эпителия. Толщина сетчатки в центре фовеа по данным ОКТ была от 278 до 482 мкм (в среднем 322,6±45,1 мкм), а высота отслойки нейроэпителия — от 128 до 342 мкм (в среднем 180,2±16,2 мкм).
У всех пациентов точка фильтрации диагностирована в субфовеолярной или юкстафовеолярной зоне (150 мкм от фовеолы). Субфовеолярная точка фильтрации выявлена на 10 глазах, юкстафовеолярная — на 22 глазах.
Всем пациентам проводили лечение на лазерной установке Integre Pro Scan (Ellex, Австралия). До лечения осуществляли подбор лазерной энергии путём нанесения единичных коагулятов за пределами сосудистых аркад, о чём было сообщено пациенту. Подбор мощности лазера начинался при экспозиции 10 мс с самых низких параметров мощности, постепенно увеличивая их на 10 мВт до получения коагулята I степени по классификации L’Esperance. Для лазерного воздействия использовали диаметр пятна 50–100 мкм, количество аппликатов составляло от 3 до 12. Лазерное вмешательство проводили под местной инстилляционной анестезией 0,5% раствором проксиметакаина (алкаина) с использованием контактной линзы Ocular Mainster 1Х.
Повторный осмотр после лечения выполняли через 1 и 6 мес. При контрольном осмотре определяли остроту зрения, проводили ОКТ с измерением толщины сетчатки в центральной зоне и ОКТ-ангиографию.
Первый контрольный осмотр пациентов осуществляли через 1 мес после лазерного лечения, осложнений не было. Субъективно все пациенты отметили улучшение зрения, исчезновение пятна перед глазом и микропсии, а также повышение контрастности и улучшение качества центрального зрения.
При офтальмоскопии зоны отслойки пигментного эпителия и нейроэпителия в области фовеа не выявлено. В зоне лазерного воздействия видимых повреждений сетчатки не было, жалоб пациентов на появление скотомы не зафиксировано. Дополнительного лазерного воздействия не потребовалось.
При определении остроты зрения через 1 мес выявлена следующая положительная динамика: средняя максимально корригируемая острота зрения увеличилась с 0,78±0,15 до 0,89±0,08 (p >0,05), через 6 мес было дополнительное увеличение до 0,92±0,04 (p >0,05).
По данным ОКТ на всех глазах зарегистрировано полное прилегание нейроэпителия сетчатки, отслойка нейроэпителия отсутствовала. Толщина сетчатки в фовеа по данным ОКТ уменьшилась в среднем на 216,2±11,2 мкм (p <0,05). У 2 пациентов при повторном осмотре через 6 мес выявлен рецидив ЦСХ с точкой просачивания в новом месте. Этим пациентам было проведено повторное лечение по данной методике лазерного воздействия.
Глубина и площадь повреждения сетчатки при распространении тепловой волны напрямую зависят от длины волны лазерного излучения, а также его мощности и экспозиции. При правильно подобранных параметрах лазерного излучения, используя очень короткую экспозицию и малую мощность, можно сохранить нейроэпителий сетчатки интактным, о чём свидетельствует отсутствие зоны видимого повреждения сетчатки после лазерного лечения и жалоб на появления скотом в центральном поле зрения [4, 12, 13]. Короткий импульс низкой мощности создаёт термическую волну, которая гаснет, не успевая распространиться до нейроэпителия сетчатки и вызвать денатурацию белка. Это и объясняет принцип действия данной методики лазерного лечения [1, 4].
Использование режима лазерного воздействия очень короткими импульсами и низкой мощности для лечения хронической ЦСХ с точкой фильтрации в области фовеа служит новым методом лечения данной патологии. Избирательное воздействие лазера 561 нм на меланопротеиновые гранулы ретинального пигментного эпителия при минимальном повреждении окружающих тканей и отсутствие рецидивов заболевания позволяют проводить лазерные вмешательства даже в аваскулярной зоне фовеа [3, 6, 12].
Применение лазерного излучения для лечения патологии центральной зоны сетчатки с длиной волны 561 нм считают более обоснованным из-за особенностей взаимодействия данной длины волны со структурами сетчатки. Вследствие того, что ксантофильный пигмент жёлтого пятна поглощает данное излучение слабо, можно производить лечение аваскулярной области эффективно, без появления скотом в центральном поле зрения [14].
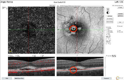
Клинический пример. Пациент Т. 32 лет обратился с жалобами на затемнение в левом глазу и снижение контрастной чувствительности, а также затруднение чтения и уменьшенное изображение на протяжении 6 мес. Острота зрения левого глаза составила 1,0. Данному пациенту были проведены ОКТ макулы для определения отслойки нейроэпителия и ОКТ-ангиография для исключения хориоидальной неоваскуляризации и идентификации точки фильтрации (рис. 1).
На рис. 1 красным выделена точка просачивания. Данное место подвергли лазерному воздействию длиной волны 561 нм мощностью 60 мВт и экспозицией 0,01 с. Размер коагулята был 50 мкм, количество — 5 без наложений друг на друга.
Рис. 1. Данные оптической когерентной томографии и ангиографии левого глаза пациента Т.
Через 1 мес после проведённого лечения при осмотре пациент прежних жалоб не предъявлял, острота зрения была 1,0, появления скотом в центральном поле зрения не отмечал. Динамика толщины сетчатки представлена на рис. 2.
Рис. 2. Динамика толщины сетчатки пациента Т. по данным оптической когерентной томографии
На рис. 2 в нижней части представлено ОКТ-изображение макулы левого глаза до лечения с отслойкой нейроэпителия. В верхней части рис. 2 — томограмма того же пациента через 1 мес после лечения. Отслойки нейроэпителия нет, в области пигментного эпителия видно едва заметное повреждение пигментного эпителия.
Выводы
1. Признаки, выявляемые при оптической когерентной томографии и характерные для точки просачивания, позволяют выполнить лазерное лечение при центральной серозной хориоретинопатии без выполнения флюоресцентной ангиографии.
2. Использование индивидуально подобранных параметров лазерного лечения при хронической центральной серозной хориоретинопатии с точкой фильтрации в аваскулярной зоне позволяет добиться улучшения остроты зрения и снижения толщины сетчатки без функционального повреждения пигментного эпителия и нейроэпителия.
Авторы заявляют об отсутствии конфликта интересов по представленной статье.
About the authors
A N Samoylov
Kazan State Medical University
Email: korobicin@yandex.ru
Kazan, Russia
A N Korobitsin
Kord Clinic
Author for correspondence.
Email: korobicin@yandex.ru
Kazan, Russia
References
- Zlobina A.N., Malyshev V.V., Yurʹeva T.N. et al. Indications and effectiveness of different methods of treatment of chronic central serous chorioretinopathy. Sovremennye tekhnologii v oftalʹmologii. 2015; 1: 66–67. (In Russ.)
- Malʹtsev D.S., Kulikov A.N. Focal laser coagulation of the leakage point in central serous chorioretinopathy without fluorescein angiography. Sovremennye tekhnologii v oftalʹmologii. 2017; 1: 82–85. (In Russ.)
- Park Y.G., Kang S., Kim M. et al. Selective retina therapy with automatic real-time feedback-controlled dosimetry for chronic central serous chorioretinopathy in Korean patients. Graefes Arch. Clin. Exp. Ophthalmol. 2017; 255 (7): 1375–1383. doi: 10.1007/s00417-017-3672-3.
- Ivanova E.V., Doga A.V., Volodin P.L. et al. The personalized approach to the chronic central serous chorioretinopathy treatment based on the navigated micropulse laser technology. Sovremennye tekhnologii v oftalʹmologii. 2018; 21 (1): 162–165. (In Russ.)
- Steve Charles, Jorge Calzada, Byron Wood. Vitreous microsurgery. Fifth Edition. Lippincott Williams and Wilkins, Philadelphia, Pennsylvania. 2011; 257 p. Russ ed.: Mikrokhirurgiya steklovidnogo tela i setchatki. Ed. by A.N. Samoylov. Moscow: MEDpress-inform. 2012; 400 p. (In Russ.)
- Volodin P.L., Zheltov G.I., Ivanova E.V., Solomin V.A. Calibration of the parameters of the micropulse mode IRIDEX IQ 577 laser using computer simulation and diagnostic methods of the fundus of the eyes. Sovremennye tekhnologii v oftalʹmologii. 2017; (1): 52–54. (In Russ.)
- Shchegoleva I.V., Budzinskaya M.V. Etiology and pathogenesis of central serous chorioretinopathy. Vestnik oftalʹmologii. 2010; 3: 55–58. (In Russ.)
- Mirzabekova K.A., Fedoruk N.A. Lazery v lechenii tsentralʹnoy seroznoy khorioreti-nopatii (Lasers in the treatment of central serous chorioretinopathy). In: Voprosy lazernoy oftalʹmologii. (Issues of laser ophthalmology.) Мoscow. 2013; 249–255. (In Russ.)
- Breukink M.B., Dingemans A.J., den Hollander A.I. et al. Chronic central serous chorioretinopathy: long-term follow-up and vision-related quality of life. Clin. Ophthalmol. 2016; 11: 39–46. doi: 10.2147/OPTH.S115685.
- Takhchidi Kh.P., Kachalina G.F., Zheltov G.I. et al. Efficiency of a new laser technique of selective retina therapy (SRT) for treatment of structural-functional abnormalities after vitrectomy surgery for retinal detachment. Oftalʹmokhirurgiya. 2010; 2: 35–41. (In Russ.)
- Framme C., Walter A., Berger L. et al. Selective retina therapy in acute and chronic-recurrent central serous chorioretinopathy. Ophthalmologica. 2015; 234 (4): 177–188. doi: 10.1159/000439188.
- Sugiura A., Fujino R., Takemiya N. et al. The association between visual function and retinal structure in chronic central serous chorioretinopathy. Sci. Rep. 2017; 7 (1): 16288. doi: 10.1038/s41598-017-16339-9.
- Kachalina G.F., Zheltov G.I., Ivanova E.V. Optimization of the modes of the laser IRIS Medical IQ 577 for selective exposure on pigment epithelium of the retina. Oftalʹmologiya. Vostochnaya Evropa. 2015; 27 (4): 69–77. (In Russ.)
- Zheltov G.I., Glazkov V.N., Ivanova E.V. Selective effect of laser pulses on the retinal pigment epithelium. Physical basis. ARS-MEDICA. 2012; 58 (3): 78–85. (In Russ.)
Supplementary files





