Опыт применения методики перфузионной компьютерной томографии головного мозга в сочетании с транскраниальной допплерографией сосудов у пациентов с острым нарушением мозгового кровообращения
- Авторы: Валеева К.Г.1, Перминова С.К.1, Назипова А.Я.1, Курочкин С.В.1,2,3, Якупова А.А.1,4
-
Учреждения:
- Городская клиническая больница №7
- Казанский (Приволжский) федеральный университет
- Казанская государственная медицинская академия
- Казанский государственный медицинский университет
- Выпуск: Том 101, № 1 (2020)
- Страницы: 124-131
- Раздел: Обмен клиническим опытом
- Статья получена: 10.02.2020
- Статья одобрена: 10.02.2020
- Статья опубликована: 11.02.2020
- URL: https://kazanmedjournal.ru/kazanmedj/article/view/20397
- DOI: https://doi.org/10.17816/KMJ2020-124
- ID: 20397
Цитировать
Полный текст
Аннотация
Цель. Оценка мозгового кровотока в различных сосудистых бассейнах у пациентов с острым нарушением мозгового кровообращения в острейшем периоде методом перфузионной компьютерной томографии в сочетании с данными транскраниальной допплерографии сосудов головного мозга.
Методы. Проведён анализ данных перфузионной компьютерной томографии головного мозга и транскраниальной допплерографии у 35 больных с острым нарушением мозгового кровообращения на базе сосудистого центра Городской клинической больницы №7 г. Казани. В исследование вошли 18 (51,4%) женщин и 17 (48,6%) мужчин, поступивших в первые часы после сосудистой катастрофы. При анализе подтипа инсульта у 27 (77,1%) пациентов был определён атеротромботический, у 5 (14,3%) — кардиоэмболический подтип, 3 (8,6%) пациента имели транзиторную ишемическую атаку.
Результаты. Перфузионная компьютерная томография — метод, позволяющий оценить структуры головного мозга, кровоснабжаемые передней (2,9% исследуемых пациентов), средней (62,9% пациентов), задней (11,4% пациентов) и позвоночной (14,2% пациентов) артериями при инсульте. Метод выявил зону «критической» перфузии (ишемическую пенумбру) путём количественной обработки перфузионных показателей в системе передней циркуляции тока крови мозга (снижение скорости и увеличение среднего объёма мозгового кровотока и среднего времени транзита) и в системе задней циркуляции (снижение скорости кровотока и удлинение времени транзита в бассейне правой позвоночной артерии) и с помощью построения перфузионных карт. Транскраниальная допплерография сосудов головного мозга показала нарушение мозгового кровообращения: снижение линейной скорости кровотока в бассейне правой средней мозговой артерии и системе задней циркуляции тока крови мозга и увеличение индекса пульсативности во всех исследуемых бассейнах.
Вывод. Перфузионная компьютерная томография головного мозга в сочетании с транскраниальной допплерографией применима у пациентов с инсультом в различных сосудистых бассейнах с последующим определением показаний для тромболитической терапии и тромбоэкстракции.
Полный текст
На сегодняшний день инсульт, или острое нарушение мозгового кровообращения (ОНМК), представляет собой главную медико-социальную проблему медицины. Согласно данным Всемирной организации здравоохранения, инсульт — третья по частоте причина смерти [1].
В течение второй половины XX века заболеваемость неуклонно росла. По данным Минздрава Российский Федерации, за период с 2008 по 2016 гг. показатель первичной заболеваемости взрослого населения ОНМК увеличился на 24,8% и составляет 355,6 на 100 тыс. населения [2]. Современная система оказания помощи пациентам с ОНМК подразумевает максимально быструю доставку больного с подозрением на ОНМК в стационар [3].
В настоящее время научное сообщество особое внимание уделяет технологиям нейровизуализации, которые позволяют, помимо анатомических структур мозга, оценить и функциональное состояние, что даёт возможность определить механизмы развития инсульта для конкретного пациента и подобрать индивидуальный подход к лечению.
В патогенезе ОНМК происходит локальное снижение церебральной перфузии, приводящей к гипоксии ткани мозга, которое можно выявить при помощи перфузионной компьютерной томографии (КТ).
Бо́льшая часть КТ-перфузионных исследований (основная задача КТ-перфузии) связана с отбором пациентов с ишемическим инсультом для тромболизиса (тромболитической терапии) и реваскуляризации (например, тромбоэкстракции). К тому же КТ-перфузия в остром периоде ишемического инсульта служит эффективным средством мониторинга жизнеспособности вещества мозга и прогнозирования исхода заболевания [2].
Перфузионная КТ головного мозга — метод, позволяющий качественно и количественно оценить мозговой кровоток по нескольким параметрам (скорость, объём и время кровотока). В остром периоде инсульта КТ-перфузия показана в тех случаях, когда проведение магнитно-резонансной томографии невозможно, а на КТ-изображениях отсутствуют чёткие данные за ОНМК. Выявление с помощью КТ-перфузии зоны снижения мозгового кровотока позволяет достоверно определить локализацию и объём поражения. Также при проведении перфузионного исследования можно дифференцировать ядро инфаркта и зону пенумбры [4], что чрезвычайно важно при решении вопроса о тромболитической терапии (есть ли потенциально жизнеспособная ткань мозга в зоне ишемии). Кроме этого, КТ-перфузия головного мозга показана в сложных диагностических случаях, например с целью дифференцирования кровоизлияния в мозг от кровоизлияния в опухоль [3].
Сканирование обычно проводят на уровне глубинных структур мозга и базальных ганглиев с захватом супратенториальных участков, кровоснабжаемых средней мозговой артерией (СМА), передней и задней мозговыми артериями. Если к моменту проведения перфузионной КТ уже есть сведения о локализации инфаркта (например, по данным других методов визуализации), то уровень срезов соответствующим образом корректируют [5].
Церебральную перфузию оценивают по следующим параметрам:
– скорость мозгового кровотока (CBF — от англ. cerebral blood flow);
– объём мозгового кровотока (CBV — от англ. cerebral blood volume);
– среднее время транзита контрастного препарата (MTT — от англ. mean transit time).
Соотношение параметров перфузии мозга при ОНМК может меняться в зависимости от стадии инсульта: сохранная ауторегуляция, олигемия, пенумбра или необратимое повреждение (ядро инфаркта) [6].
Основные показания для проведения перфузионной КТ следующие.
1. Диагностика ишемического инсульта в острейшей/острой стадии и дифференциация зон обратимого/необратимого повреждения ткани мозга.
2. Определение степени снижения мозгового кровотока при ишемическом инсульте.
3. Хронический стеноз экстра- и/или интракраниальных артерий.
4. Оценка опухолей головного мозга (определение зоны наибольшей васкуляризации и злокачественности для планирования биопсии).
В настоящее время острый инфаркт мозга диагностируют у пациентов с острым неврологическим дефицитом в тех случаях, когда иные причины исключены при рентгеновской КТ или магнитно-резонансной томографии и лабораторных исследованиях.
Транскраниальная допплерография (ТКДГ) служит неинвазивным, не связанным с ионизирующим излучением, недорогим методом оценки линейной скорости кровотока (ЛСК) в мозговых артериях. Метод используют для диагностики заболеваний экстра- и интракраниальных артерий, мониторинга проходимости мозговых артерий при инсульте. При избирательном изучении пациентов с инсультом в бассейне СМА были выявлены специфичность 100% и чувствительность 93% [7–9].
Целью нашего исследования была оценка мозгового кровотока у пациентов с ОНМК в различных сосудистых бассейнах в острейшем периоде методом КТ-перфузии с применением ТКДГ сосудов головного мозга.
В течение периода 01.04.2019–01.05.2019 на базе сосудистого центра ГАУЗ «Городская клиническая больница №7» г. Казани были проанализированы данные КТ-перфузии у 35 пациентов с ОНМК, из них 18 (51,4%) женщин и 17 (48,6%) мужчин, поступивших в стационар в первые часы после сосудистой катастрофы. Средний возраст пациентов составил 63±9,4 года. При анализе типа ОНМК у 27 (77,1%) пациентов был определён атеротромботический подтип инсульта, у 5 (14,3%) — кардиоэмболический.
Всем пациентам при поступлении проведена рентгеновская КТ головного мозга в режиме КТ-перфузии на аппарате Phillips с введением 100 мл йодсодержащего контрастного вещества (5 мл/с). Обработка изображений перфузионной КТ проведена на рабочей стации Advantage Windows Ultraspark. Также выполнена ТКДГ сосудов головного мозга на аппарате Sonara фирмы Care Fusion с измерением ЛСК по артериям каротидного и вертебробазилярного бассейнов, определены индекс Gosling и церебральное перфузионное давление. При ТКДГ применяли датчик с частотой 2 МГц, работающий в импульсном режиме с пошаговой фокусировкой 2 мм. Исследуемой группе пациентов проведено ультразвуковое исследование брахиоцефальных артерий на аппарате Sonoscape S8.
Статистическая обработка осуществлена посредством программы Microsoft Office Excel 2010. Для описания количественных непрерывных признаков использованы среднее арифметическое значение (M), стандартное отклонение (σ), t-критерий Стьюдента для оценки межгрупповых различий по уровню признака.
По данным экстракраниального дуплексного сканирования брахиоцефальных артерий у 2 (5,4%) пациентов визуализирована окклюзия внутренней сонной артерии и позвоночной артерии, у 8 (21,6%) пациентов лоцировались атеросклеротические бляшки со стенозом просвета сосуда 50% и более.
При проведении ТКДГ церебральных сосудов оценивали среднее значение ЛСК, индекс пульсативности и церебральное перфузионное давление в бассейнах правой и левой СМА, левой и правой позвоночных артерий.
Изучив полученные данные, мы выявили понижение ЛСК на стороне поражённой стороны вследствие сосудистой катастрофы до 48,5±2,12 см/с, повышение индекса пульсативности до 1,39±0,14 в бассейне правой СМА (n=9) и церебрального перфузионного давления до 111±16,64 мм рт.ст. в бассейне правой позвоночной артерии (n=3).
В группе исследуемых пациентов с сосудистой катастрофой в бассейне правой задней мозговой артерии (ЗМА) достоверные данные получить не удалось в связи с отсутствием акустического окна и снижением эхолокации.
Перфузионные параметры оценивали у пациентов с инфарктом мозга в передней и задней системах циркуляции тока крови головного мозга. При проведении данного исследования мы изучали параметры КТ-перфузии (СBF, CBV, MTT). Кроме того, в нашей клинике применяют показатель времени достижения максимума, который соответствует времени достижения максимальной концентрации контрастного вещества.
11 (29,7%) пациентам из обследуемых проведена тромболитическая терапия.
Исследуемая группа пациентов: ОНМК в системе передней и задней циркуляции — 32 (91,5%) пациента, транзиторная ишемическая атака в системе задней циркуляции — 3 (8,5%) пациента.
Пациенты были разделены на группы в зависимости от патологии в сосудистом бассейне: правая СМА — 34,3% пациентов, левая СМА — 28,6%, правая позвоночная артерия — 8,5%, левая позвоночная артерия — 5,7%, правая ЗМА — 8,5%, левая ЗМА — 2,9%, левая передняя мозговая артерия — 2,9% пациентов.
Пациенты с ОНМК в бассейне левой позвоночной артерии имели следующие показатели перфузии: в табл. 1 представлены показатели КТ-перфузии и ТКДГ сосудов головного мозга.
Таблица 1. Показатели перфузии и транскраниальной допплерографии пациентов с острым нарушением мозгового кровообращения в бассейне левой позвоночной артерии
Показатели транскраниальной допплерографии | M±σ | р | |
патология | контралатеральная сторона | ||
Линейная скорость кровотока, см/с | 51,5±33,23 | 33,0±1,41 | <0,05 |
Индекс Gosling | 0,91±0,12 | 0,82±0,02 | >0,05 |
ЦПД, мм рт.ст. | 104,45±6,30 | 104,50±9,19 | >0,05 |
Показатели перфузии | |||
CBF, мл/100 г×мин | 26,50±4,9 | 36,26±19,51 | >0,05 |
CBV, мл/100 г | 4,16±0,04 | 2,72±1,25 | >0,05 |
MTT, с | 4,6±0,36 | 4,09±0,15 | <0,05 |
Время достижения максимума, с | 21,23±2,49 | 19,68±0,54 | >0,05 |
Примечание: ЦПД — церебральное перфузионное давление; CBF — скорость мозгового кровотока; CBV — объём мозгового кровотока; MTT — среднее время транзита контрастного препарата.
Снижение CBF и ЛСК информативно в данном исследовании, показатель МТТ демонстрирует труднодоступную зону.
Показатели перфузии и ТКДГ у пациентов с ОНМК в бассейне правой позвоночной артерии представлены в табл. 2. Снижение показателей CBF, удлинение МТТ, увеличение индекса Gosling, снижение ЛСК по данным ТКДГ демонстрируют неблагополучие в данном бассейне.
Таблица 2. Показатели перфузии и транскраниальной допплерографии пациентов с острым нарушением мозгового кровообращения в бассейне правой позвоночной артерии
Показатели транскраниальной допплерографии | M±σ | р | |
патология | контралатеральная сторона | ||
Линейная скорость кровотока, см/с | 53,33±8,50 | 55,25±6,24 | >0,05 |
Индекс Gosling | 1,28±0,22 | 1,01±0,2 | >0,05 |
ЦПД, мм рт.ст. | 111,0±16,64 | 91,94±8,65 | >0,05 |
Показатели перфузии | |||
CBF, мл/100 г×мин | 22,52±9,7 | 31,49±14,32 | <0,05 |
CBV, мл/100 г | 4,08±0,68 | 3,05±0,84 | <0,05 |
MTT, с | 9,8±9,1 | 4,56±0,70 | <0,05 |
Время достижения максимума, с | 29,95±10,70 | 23,44±3,73 | >0,05 |
Примечание: ЦПД — церебральное перфузионное давление; CBF — скорость мозгового кровотока; CBV — объём мозгового кровотока; MTT — среднее время транзита контрастного препарата.
Показатели перфузионной КТ и ТКДГ у пациентов в бассейне задней мозговой артерии представлены в табл. 3.
Таблица 3. Показатели перфузии пациентов с острым нарушением мозгового кровообращения в бассейне правой задней мозговой артерии
Показатели перфузии | M±σ | р | |
патология | контралатеральная сторона | ||
CBF, мл/100 г×мин | 16,49±12,61 | 22,36±18,38 | >0,05 |
CBV, мл/100 г | 2,68±1,42 | 5,50±4,94 | >0,05 |
MTT, с | 14,04±8,44 | 7,42±2,22 | >0,05 |
Время достижения максимума, с | 30,19±6,65 | 25,61±4,66 | >0,05 |
Примечание: CBF — скорость мозгового кровотока; CBV — объём мозгового кровотока; MTT — среднее время транзита контрастного препарата.
Показатели ТКДГ и КТ-перфузии у пациентов с ОНМК в бассейне правой СМА представлены в табл. 4. Снижение CBF, удлинение МТТ, увеличение индекса Gosling, а также снижение ЛСК наглядно показывают наличие зоны со снижением перфузии и функционирования.
Таблица 4. Показатели транскраниальной допплерографии и перфузии у пациентов с острым нарушением мозгового кровообращения в бассейне правой средней мозговой артерии
Показатели транскраниальной допплерографии | M±σ | р | |
патология | контралатеральная сторона | ||
Линейная скорость кровотока, см/с | 48,5±2,12 | 54,0±7,6 | <0,05 |
Индекс Gosling | 1,39±0,14 | 1,20±0,27 | >0,05 |
ЦПД, мм рт.ст. | 101,5±3,53 | 84,66±48,04 | >0,05 |
Показатели перфузии | |||
CBF, мл/100 г×мин | 23,46±15,69 | 36,87±7,30 | <0,05 |
CBV, мл/100 г | 3,1±1,53 | 3,49±0,87 | >0,05 |
MTT, с | 10,14±1,1 | 5,89±1,96 | <0,001 |
Время достижения максимума, с | 32,92±10,86 | 27,05±3,34 | <0,05 |
Примечание: ЦПД — церебральное перфузионное давление; CBF — скорость мозгового кровотока; CBV — объём мозгового кровотока; MTT — среднее время транзита контрастного препарата.
Данные пациентов с патологией в бассейне левой СМА представлены в табл. 5. Выявлено снижение CBF по данным ТКДГ.
Таблица 5. Показатели транскраниальной допплерографии и перфузионной компьютерной томографии у пациентов с острым нарушением мозгового кровообращения в бассейне левой средней мозговой артерии
Показатели транскраниальной допплерографии | M±σ | р | |
патология | контралатеральная сторона | ||
Линейная скорость кровотока, см/с | 66,5±2,12 | 42,00±36,10 | <0,05 |
Индекс Gosling | 1,39±0,14 | 0,70±0,54 | >0,05 |
ЦПД, мм рт.ст. | 101,5±3,53 | 98,76±18,72 | <0,05 |
Показатели перфузии | |||
CBF, мл/100 г×мин | 24,04±6,68 | 46,81±13,64 | <0,001 |
CBV, мл/100 г | 3,4±0,44 | 3,66±0,59 | >0,05 |
MTT, с | 7,3±7,11 | 5,05±1,15 | >0,05 |
Время достижения максимума, с | 25,77±6,61 | 24,01±3,55 | >0,05 |
Примечание: ЦПД — церебральное перфузионное давление; CBF — скорость мозгового кровотока; CBV — объём мозгового кровотока; MTT — среднее время транзита контрастного препарата.
Наше исследование показало, что с помощью перфузионной КТ можно определять скорость мозгового кровотока, а также соотношение между кровотоком, объёмом крови и длительностью прохождения крови в повреждённой области, и наиболее чувствительным параметром, на наш взгляд, служит среднее время прохождения крови в патологическом очаге. В нашем исследовании оно свидетельствовало о клинически значимом перфузионном дефиците. По литературным данным, чувствительность метода для выявления очагов ишемического повреждения составляет более 90%, специфичность — 100% [10]. Это очень важно иметь в виду при проведении КТ в первые часы после появления клинической симптоматики, когда признаки ишемии могут отсутствовать.
Результаты ТКДГ позволяют дополнить диагностику ОНМК, основываясь на качественных и количественных данных анализа гемодинамики (значимая асимметрия скорости кровотока и индекса пульсативности). По данным проведённого нами исследования, при ишемическом инсульте в острейшем периоде на поражённой стороне зарегистрировано снижение систолической скорости кровотока до 48,5±2,12 см/с, повышение индекса пульсативности до 1,39±0,14 в бассейне правой СМА (n=9) и церебрального перфузионного давления до 111±16,64 мм рт.ст. в бассейне правой позвоночной артерии (n=3). На контралатеральной стороне выявлено повышение ЛСК (р <0,05), индекс периферического сопротивления оставался в пределах нормы (р >0,05).
Наибольший эффект от ТКДГ был получен при определении подтипа инсульта, связанного с атеросклеротическим поражением крупных артерий, — 77,1% составили пациенты с атеросклеротическим подтипом инсульта.
Данное исследование выявило наличие патологии у пациентов с ОНМК в бассейне правой и левой СМА, несмотря на специфичность данного метода из-за коллатерализации из задних в передние отделы сосудистой системы и наоборот. Выявлены изменения ЛСК у пациентов с ОНМК в системе задней циркуляции тока крови мозга. Информативность этих данных обусловлена тем, что особенности диагностики ОНМК в данном бассейне при применении КТ-перфузии создают необходимость корреляции с клиническими проявлениями.
Следует отметить, что значение ЛСК и индексы периферического сопротивления в острейшем периоде ОНМК отражают степень нарушения мозгового кровотока (р <0,05).
Анализ показателей перфузии головного мозга при применении КТ-перфузии в данном исследовании выявил, что соотношение параметров перфузии наиболее информативно у пациентов с ОНМК в бассейне правой и левой СМА (снижение CBF, нормальное значение или удлинение CBV, удлинение МТТ), что позволяет выявить признаки ОНМК в первые часы после появления клинических симптомов, обозначить зону пенумбры, предотвратить последствия сосудистой катастрофы, назначив адекватную терапию.
Применение КТ-перфузии в нашем исследовании выявило наиболее часто встречающиеся изменения показателей перфузии: снижение CBF, нормальное значение или удлинение CBV и удлинение МТТ у пациентов с нарушением кровотока в системе передней циркуляции. Мы использовали эти данные для диагностики ОНМК в системе передней циркуляции.
В бассейне правой позвоночной артерии отмечены снижение CBF, удлинение CBV и MTT, снижение ЛСК — данные показатели выявляют нарушение кровоснабжения в исследуемом сосудистом бассейне. В бассейне левой позвоночной артерии зарегистрировано снижение показателей CBF, ЛСК и МТТ, что свидетельствует о наличии зоны, трудно доступной для данного исследования, но актуальной по своей информативности.
Анализ результатов КТ-перфузии (снижение CBF, нормальные значения CBV и удлинение МТТ), а также уменьшение ЛСК по данным ТКДГ позволили диагностировать ОНМК в правой задней мозговой артерии и провести тромболитическую терапию.
Клиническое наблюдение. Пациент З. 67 лет поступил в отделение сосудистой неврологии в тяжёлом состоянии с острым ишемическим территориальным инфарктом в бассейне правой СМА. Из анамнеза известно, что резко почувствовал слабость в левых конечностях и перестал контактировать. Страдает гипертонической болезнью III степени, антигипертензивные препараты принимал периодически.
При осмотре отмечено угнетение состояния до сопора (шкала комы Глазго 9 баллов), отсутствуют движения в левых конечностях, продуктивному контакту недоступен [по шкале инсульта Национального института здоровья США (NIHSS) — 22 балла]. Выполнена стандартная рентгеновская КТ головного мозга, где выявлен очаг гиподенсной зоны (ASPECTS 8 баллов), по данным КТ-ангиографии артерий основания мозга — тромбоз М1-сегмента правой СМА. По данным ультразвукового исследования брахиоцефальных артерий — нестенозирующая стадия атеросклероза.
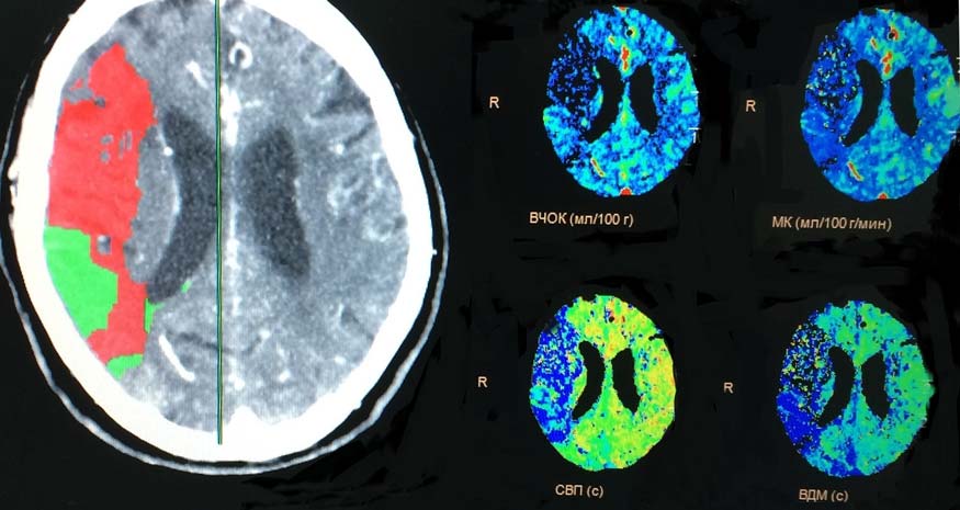
На полученных перфузионных картах рис. 1, 2) определяется крупная зона понижения показателей перфузии в правой височно-теменной области, что соответствует обеднению кровотока на данном уровне.
Рис. 1. Совмещение перфузионных карт с анатомическим срезом. Красным обозначено ядро инфаркта с внутричерепным объёмом крови 1,8 мл/100 г ткани (зона необратимых изменений). Зелёным цветом обозначена зона обратимой ишемии (пенумбра). Показатели перфузии: ВЧОК — внутричерепной объём крови; МК — мозговой кровоток; СВП — среднее время прохождения; ВДМ — время достижения максимума
Рис. 2. Компьютерная томографическая ангиограмма головного мозга. Тромбоз правой средней мозговой артерии, сегмент М1
Выводы
1. Параметры перфузионной компьютерной томографии позволяют быстро и надёжно оценить результаты изменения мозгового кровотока при остром нарушении мозгового кровообращения в различных сосудистых бассейнах.
2. Экстренная визуализация мозговой ткани с построением перфузионных карт позволяет определить показания к тромболитической терапии и тромбоэкстракции.
3. Перфузионная компьютерная томография применима у пациентов в системе задней циркуляции тока крови мозга.
4. Методика транскраниальной допплерографии сосудов головного мозга при остром нарушении мозгового кровообращения актуальна в отношении диагностической оценки состояния артерий.
Авторы заявляют об отсутствии конфликта интересов по представленной статье.
Об авторах
Кадрия Гусмановна Валеева
Городская клиническая больница №7
Email: svetlana1.lana@yandex.ru
Россия, г. Казань, Россия
Светлана Константиновна Перминова
Городская клиническая больница №7
Автор, ответственный за переписку.
Email: svetlana1.lana@yandex.ru
Россия, г. Казань, Россия
Альфия Якуповна Назипова
Городская клиническая больница №7
Email: svetlana1.lana@yandex.ru
Россия, г. Казань, Россия
Сергей Вячеславович Курочкин
Городская клиническая больница №7; Казанский (Приволжский) федеральный университет; Казанская государственная медицинская академия
Email: svetlana1.lana@yandex.ru
Россия, г. Казань, Россия; г. Казань, Россия; г. Казань, Россия;
Аида Альбертовна Якупова
Городская клиническая больница №7; Казанский государственный медицинский университет
Email: svetlana1.lana@yandex.ru
Россия, г. Казань, Россия; г. Казань, Россия
Список литературы
- Гусев Е.И., Скворцова В.И., Стаховская Л.В. Эпидемиология инсульта в России. Ж. неврол. и психиатр. (Приложение «Инсульт».) 2003; (8): 4–9.
- Сборник статистических материалов по болезням системы кровообращения. Статистический справочник. М.: Минздрав России. 2017; 295 с.
- Левшакова А.В., Домашенко М.А. Острое нарушение мозгового кровообращения: диагностические и организационные аспекты (лекция). Радиология — практика. 2014; (1): 48–57.
- Морозов И.Ю., Насникова И.Ю., Шмырев В.И. и др. Перфузионная компьютерная томография в диагностике острого нарушения мозгового кровообращения. Ж. Кремлёвская мед. Клин. вестн. 2011; (1): 14–18.
- Сергеев Д.В. Перфузионная компьютерная томография в диагностике острого ишемического инсульта. РМЖ. 2008; (26): 1758.
- Shetty S.H., Lev M.H. CT perfusion. In: R.G. Gonzalez, J.A. Hirsch, W.J. Koroshetz et al. (eds.) Acute ischemic stroke. Imaging and intervention. Berlin — Heidelberg: Springer-Verlag. 2006; 87–113. doi: 10.1007/3-540-30810-5_5.
- Camerlingo M., Casto L., Censori B. et al. Transcranial Doppler in acute ischemic stroke of the middle cerebral artery territories. Acta. Neurol. Scand. 1993; 88: 108–111. doi: 10.1111/j.1600-0404.1993.
- Ley-Pozo J., Ringelstein E.B. Noninvasive detection of occlusive disease of the carotid siphon and middle cerebral artery. Ann. Neurol. 1990; 28: 640–647. doi: 10.1002/ana.410280507.
- Ringelstein E.B., von Kummer R., Baron J.-C. Imaging and the early evaluation of stroke. In: Stroke. Emergency management and critical care. T. Steiner, W. Hacke, D.F. Hanley eds. Springer. 1998; 43–60. doi: 10.1002/ana.410280507.
- Miles K.A., Eastwood J.D., Konig M. Multidetector computed tomography in cerebrovascular disease. CT perfusion imaging. Informa, UK. 2007; 175 р.
Дополнительные файлы





