Опыт экспериментального изучения влияния физического утомления на половую сферу животных
- Авторы: Дыхно М.А., Сидоров Н.Е.
- Выпуск: Том 26, № 4 (1930)
- Страницы: 383-391
- Раздел: Статьи
- Статья получена: 10.12.2020
- Статья одобрена: 10.12.2020
- Статья опубликована: 13.04.1930
- URL: https://kazanmedjournal.ru/kazanmedj/article/view/54524
- DOI: https://doi.org/10.17816/kazmj54524
- ID: 54524
Цитировать
Полный текст
Аннотация
В связи с анатомическими и физиологическими особенностями женского организма в изучении различных профвредностей, естественно, как большая и важная глава, выделилась глава о профпатологии женской половой сферы, насчитывающая к настоящему времени уже значительное количество исследований. Просмотр соответствующей литературы показывает, однако, что учесть в чистом виде влияние определенной профессии невсегда бывает легко, и некоторые серьезные наблюдатели думают даже, что говорить о женской профпатологии, не отделяя ее от бытовых вредностей и вредностей аборта,—еще преждевременно (Курдиновский). И действительно, надо признать, что при изучении профвредностей приходится учитывать целый ряд привходящих моментов, как конституция, условия быта, влияние повторных искусственных абортов. Наиболее целесообразный метод исследования с помощью эксперимента,—правда, ‘трудно применимый к изучаемой области,—едва еще начинает вводиться в практику. Полагая, что исследование в эксперименте отдельных моментов, из которых слагается вредное влияние профессионального труда, может в более чистом виде выявить значение этих моментов в их влиянии на половую сферу, мы поставили в лаборатории нашей клиники ряд опытов на самках белых мышей, взявши в качестве изучаемого момента физическое утомление животного.
Ключевые слова
Полный текст
В связи с анатомическими и физиологическими особенностями женского организма в изучении различных профвредностей, естественно, как большая и важная глава, выделилась глава о профпатологии женской половой сферы, насчитывающая к настоящему времени уже значительное количество исследований. Просмотр соответствующей литературы показывает, однако, что учесть в чистом виде влияние определенной профессии невсегда бывает легко, и некоторые серьезные наблюдатели думают даже, что говорить о женской профпатологии, не отделяя ее от бытовых вредностей и вредностей аборта,—еще преждевременно (Курдиновский). И действительно, надо признать, что при изучении профвредностей приходится учитывать целый ряд привходящих моментов, как конституция, условия быта, влияние повторных искусственных абортов. Наиболее целесообразный метод исследования с помощью эксперимента,—правда, ‘трудно применимый к изучаемой области,—едва еще начинает вводиться в практику. Полагая, что исследование в эксперименте отдельных моментов, из которых слагается вредное влияние профессионального труда, может в более чистом виде выявить значение этих моментов в их влиянии на половую сферу, мы поставили в лаборатории нашей клиники ряд опытов на самках белых мышей, взявши в качестве изучаемого момента физическое утомление животного.
Мы поставили себе задачей изучить те влияния, которые чрезмерное физическое угомлепие может оказать на половую сферу животного как в функциональном, так и анатомическом отношениях. С этой целью мы подвергали сильному физическому утомлению взрослых, а также еще неполовозрелых животных. Анатомические изменения у опытных живей ных мы изучали при помощи гистологического исследования матки и
яичников п сравнения их с контрольными животными. Что касается функционального состояния половой сферы у них, то мы судили о нем на основании изучения полового цикла с помощью систематического исследования мазков влагалищного секрета (Stock a rd, Papanico- lau, All еin, Zondeck и друг.). Для взрослых животных критерием служила правильность чередования полового цикла, для инфантильных скорость созревания и время появления первой течки. Как метод, позволяющий судить о функциональном состоянии половых органов, нами был использован метод наблюдения за выполнением производительной функции у животных, подвергавшихся утомлению. В деталях методика наших экспериментов состояла, в следующем:
Все мыши предварительно до опыта втечение l1/^ месяцев подвергались проверке в отношении течения их полового цикла двукратным ежедневным взятием мазков с промежутком в 12 часов. При этом обращалось внимание на правильность появления цикла, продолжительность отдельных его фаз и neiкость их выявления. Мыши с колебаниями циклов в 3—6 дней из опыта выключались, равно как не брались для такового и животные с затушеванными, нерезко выраженными картинами отдельных фаз цикла. За ясно выраженные фазы мы считали лишь следующие картины в мазках: Prooestrus (P.i—исключительно ядросодержащий эпителий; Oestrus (Sch.)—наличие одних только безъядерных, плоских, хорошо окрашивающихся эозином клеток, называемых немецкими авторами ,,Schollen“ или ,,Schuppenu—чешуйки; Metaoestrus (М.) — единичные Schollen. незначительное число ядросодержащих клеток, обилие лейкоцитов; Dioestrus (D)—ядросодержащие клетки в незначительном количестве, много лейкоцитов, слизь. Чтобы исключить влияние посторонних моментов, все мыши содержались в одинаковых условиях, при 15—16° С., на одном и том же рационе. Ежедневную норму пищи составляли: 10,0 белого хлеба, 20,0 молока, 3,0 гречневой крупы. Все мыши содержались, разумеется, изолир:ванноот самцов. Утомление производилось вначале бегом по верхней плоскости проволочного колеса втечение одного часа, с подвешиванием к хвосту мыши груза равного ее весу или незначительно его превышающего. Так как этот род утомления отнимал, однако, много времени, то в дальнейшем мы перешли к методу, заимствованному нами из Московского государственного института проф- вредностей имени Обуха. Животное, захваченное за шерсть на спинке пинцетом Реап’а, нривешиваечея к одному концу двуплечевого рычага, в то время как другой конец рычага, снабженный пером, записывает движение рычага на вращающемся барабане. Подвешенное таким образом животное делает массу движений, стараясь освободиться, и в конце опыта достигает значительного утомления. Общая кривая позволяет до известной степени судить о затраченной им энергии. Конечно, точного учета работы здесь быть не может, но для нас это не имело значения, так как мы задавались целью получить только известную степень физического утомления.
Первую группу наших опытов составляют 11 взрослых мышей, утомлявшихся указанным образом при ежедневном контроле вагинальных мазков. Приведем вкратце притоколы этих опытов.
Серия 3-я—две мыши. № 1. Начальный вес 23,5, конечный вес 20 5 Цикл до опыта 5—6 дней, Р.-12 ч., Sch.-lJ/2—272 д., М.—2— 3 д, D.-1-2 д., все фазы цикла резко выражены. Утомлялась с 28/XII 28 г. по 9/1V 29 г. Потеря в весе за опыт 0,4 до 1,5. За время опытов цикл удлинился до 16 дней, Р.—до 12 ч., Sch.— до V/2—31/2 д., М. - до 13 д. Иногда чистой стадии Р. уже не улавливалось, что говорит за минимальную его продолжительность. Стадия Sch. часто выражалась нерезко, так как наряду с безъядерными пластинками встречались лейкоциты и слизь. 9/1V 29 г. животное погибло.
№ 2. Нач. вес 22,5, конечн. вес 18,5. Утомлялась с 9/Ш по 9/V смешанно. Потеря в весе за опыт 0,3 до 2,0. Первоначальный цикл 11—12 дней, все фазы резко выражены, Р.-12 ч., Sob.—1—2 д., М. 4 д., D.—5—6 д. За время опыта цикл до 21—25 д. Р.—до 12 ч. Sch.—2 д., М.—1-6 д., D. 15—20 д. 9/V животное погибло.
Серия 2 я—три мыши № 1. Нач. вес—27,0, конечн. вес—23,2. Утомлялась смешанно с 25/XII по 16/111, когда убита для гистологического исследования. Потеря в весе за опыт 0,4 до 1,5. Цикл до работы 11—12 д., Р.—12 ч., Sch.—2 д., М.—1—2 д., D.-7 —8 д. Во время утомления: 1-й цикл в 8 дней, Р. 12 ч., Sch— Р/з Д-, М-—1 Д-, D.—5 д.; 2-й—в 17 дней, Р. и Sch. слились в одну стадию, вмазках встречались ядросодержащий эпителий, с большим количеством чешуек, в незначительном количестве слизь, продолжались стадии 2 д., М.—1 д., D—11 д; 3-й—19 дней, Р.-—12 ч.; Sch.—Р/2 д., М.—2’/2 Д-5 D.—15 д.; 4-й—26 дней, Р.— 12 ч., Sch.—V/2 д., М,— 1 д, D.—23 д.; 5й весь не прослежен (мышь убита), Р—12 ч, Sch.—13/2 д; М.—1 д., D.—доведен до 9-го дня.
№ 6. Нач. вес. 25,5, конечн. вес 21.2. Утомлялась с 13/1 до 28/IV. Потеря в весе за опыт 0,3 до 1,8. Первоначальный цикл 7-8 дней, Р.—12ч., Sch.—l1^— 2 д., М.—2—3 д., D.—2—3 д. Во время опыта 1-й цикл в 8 дней, Р.—1? ч., Sch.— 11/2д., Д.—41/2Д., 2-Й—16 д., Р.—12 ч., Sch.—извращен, определялась слизь, 2]/2 Д-, М.-1 д., Д.-12д.; 3-й 8 д. Р.—12 ч.. Sch.-P/2 д., М.-1 д., D.-5 д. 4-Й-23 дня, Р.—12 ч., Sch.—41/2 д. М. 41/2 Д-, D.—14 д; 5-й—19 д., Р. - 12 ч.; Sch.—2 д., встречается слизь, М.—Р/2 д., D. 14 д.; 6-й -20 д., Р.—12 ч., Sch.—2 д, М.
1 д., D.—17 д. 7-й (доведен до 14-го дня)—Р. 12 ч., Sch.—1]/2 встречается
слизь, М.—1 д., D.—доведен до 12 дня, когда мышь убита.
№ 8-й Нач. вес—25,8, конечн. вес 21,5. Утомлялась смешанно с 28/11 по 12/V 29 г. Потеря веса за опыт 0,4 до 1,7. Цикл до утомления 5 6 дней, Р,- 12 ч.; Sch. —2 д., М. -1 д., D.—1—2 д. Во время опытов: 1-й в 6 дней, Р. -12 ч, Sch.—I1/., д., М.—3 д.. D.—1 д.; 2-й 14 д., Р. 12 ч., Sch.—3 д., М.—5д., D.—5 д.; 3-й—19 д., Р.—12 ч„ Sch.—1 д., М. 3 д., D. 12: 4-й—5 д., Р.-12 ч., Sch.-1 д., М.-З д., Д.-12 д.; 5-й—20 д. Р.-12 ч., Sch.-^ д., М.-2 д., D-15 д.; 6-й прослежен до 10-го дня, Р. и Sch. соединились, ибо резкой разницы между ними не было и лишь М и I). хорошо выражены; 12/V мышь погибла.
Серия 1-я—две мыши. № 3. Нач. вес—22,5 конечн. вес—18,5; работала смешанно с 8/Ш до 1/V, когда работа прекращена, и мышь пущена к самцу; потеря в весе за опыт от 0,1 до 1,3. Первоначальный цикл в 5—7 дней, Р.—12 ч., Sch.—1—2 д.. М.—2—3 д., D.—2 4 д. Во время опыта: 1-й—в 7 дней, 2-й—13 д., Р,—12 ч, Sch.—2 д., М.-З д., D.—7 д.; 3-й продолжался 61 день, Р.—- 12 ч., Sch.—3 д.; М. 5 д., D.—52 д., до момента смерти. За время пребывания с самцом ни т. н. пробки, ни беременности не было.
№ 4. Начальн. вес 20,3, конечн. вес—18,0; утомлялась смешанно с 28/11 по 1/V, когда пущена к самцу с одновременным прекращением работы; начальный цикл 8—10 дней, Р.—до 12 ч., Sch.—3-4 д.; М. 3—4д.;И.-3—5 д. Вовремя работы 1-й в15д., 2-й—на 8 й день, З-й-ЗО д., Р.—12 ч, Sch.—2 — 21/2 Д;, М.—3— 3^/2 д., D.—2—10—25 дней. В стадии течки (Sch.) иногда попадалась слизь. Один раз была пробка, па 15-ый день сожительства с самцом. Беременности и родов не было.
Серия 5-я. Одна мышь. Нач. вес—25 0, конечн. вес—22,0. Утомлялась смешанно о 26/XII по 1/V 29 г. С 1/V пущена к самцу, причем прекращена работа. Потеря веса за опыт 0,5 до 2 5. Цикл до опыта 11-12 дней, Р.—12 ч; Sch.— 2—4 д.; М.— 1 2 д., D.—6 8 д Во время опыта всего прослежено 7 циклов, из них 1-й был на 12 ый день, второй—на 16-й, остальные 20—27 дней; фаза Р.— определялась всегда, иногда с примесью слизи, продолжалась до 12 ч., фаза Sch. с 4 дней укоротилась до 1 дня, временами была извращена, наблюдалась примесь слизи и лейкоцитов. В одном случае после плохо выраженного Р. сразу наступила М., D.—до 24 дней. Раз была пробка, беременности и родов не было.
Серия 4-я—три мыши. №1. Нач. вес—19,7, конечн.-18,0. Утомлялась подвешиванием с 5/1V до 11/V. Потеря веса за опыт от 0,0 до 2,0. Цикл до опыта 12-14 дне! Р.—12 ч.. Sch.-5-б д., М.—4 д„ I).—4 д. За время опыта цикл остался без изменений. 11/V пущена к самцу, утомление прекращено. Роды на 22-ой день после пуска к самцу 5-тыо детенышами, на 2-и день погибшими. lo/VJ вновь пробка, но беременности не было.
№ 2. Нач. вес 19,5. конечн.—18,2. Утомлялась тем же методом с 5/1V по 11/V. Потеря веса за опыт от 0,3 до 1,5. Цикл до работы 10--12 д, Р. 12 ч., Sch.—2 д.. М.—2—3. D.—5—7 Д.. Во время опыта цикл тот же, лишь стадия Sch. один раз была извращена; в мазке отмечались слизь и лейкоциты в небольшом количестве. С 11/V пущена к самцу-с одновременным прекращением работы. Ни пробки, ни беременности не Сыло. 8/V1 издохла.
№ 3. Нач. вес.-16,8, конечн.—14,3. Утомление с 5/1V по 11/V. Потеря в весе за опыт от 0,0 до 1,2. Цикл до работы^8 дней. Р. 12 ч., Sch. —2 д., М.— 2 д, D. • 4 д. Во время утомления: 1-й на 18-й день, Р.—-12 ч., Sch.—1% Д-, М.— ,1д., D.-15 д.; 2-й—13 д., Р.—до 12 ч., Sch.—3 д., М—2 д., D.—8 д.; 3-й, уже частью во время опыта и сожительства с самцом, на 15-й день, Р. 12 ч., Sch. — рд Д>1 М—2 д., D—12 д. Ни пробки, ни беременности но было.
Анализируя результаты этой первой группы наших опытов, касающихся взрослых животных, мы прежде всего должны указать, что степени утомления, до которых мы доводили наших мышей, были максимальными. Это мы делали умышленно из тех соображений, что слабо выраженным изучаемым агентом едва ли можно было воздействовать — в особенности на анатомически сформировавшуюся половую сферу животного. II действительно, несмотря на резкое общее влияние утомления на весь организм, выражавшееся крайним истощением, приведшим 5 мышей к гибели (№№ 1 п 2 сер. Зй, № 8 сер. 2-й, № 3 сер. 1-й и № 2 сер. 4-й), при гистологическом исследовании пх половых органов каких-либо заметных уклонений по сравнению с нормальными открыть нам не удалось. Наоборот, изучение функционального их состояния обнаруживало, как правило, заметные изменения, и именно с характером депрессии полового цикла. Наиболее характерным оказывалось замедление темна скорости течения циклических процессов течки до почти полного прекращения ее, как это было в случае с мышью № 3 сер. 1-й, где течки не наступило даже втечение 61 дня. Если рассматривать отдельные фазы цикла, то удлиненной оказывается именно стадия Dioestrus, в то время как другие фазы сохраняли в общем свою нормальную продолжительность, а стадия Schollen иногда оказывалась даже укороченной.
Степень депрессии половой функции, выражающейся указанным изменением цикла, находилась, невидимому, в прямой зависимости от ст-пени перенесенного утомления, так как наиболее сильно утомленные мыши давали наиболее резкие сдвиги темпа течки, в то время как мало работавшие (наир. №№ 1 и 2 сер. Ill) не дали почти никаких уклонений. Правда, отдельные мыши при одной и той же нагрузке реагировали неодинаково,—у одних цикл смещался уже вскоре после начала опыта, у других же для этого требовалось более продолжительное время, но это обстоятельство следует поставить в зависимость от конституциональных особенностей животного.
Не предрешая вопроса о механизме действия утомления па половую функцию животного, каковой, вероятнее всего, должен складываться из многих факторов, среди которых изменения обмена веществ и вегетативной нервной системы должны играть видную роль, мы можем только указать, что вызванные чрезмерным физическим утомлением нарушения в организме животного, и в частности в его половой сфере, не так
легко и скоро восстанавливаются. По крайней мере опыт посадки утомлявшихся мышей к самцам обнаружил у опытных животных нарушения производительной функции, прослеженной нами на протяжении 21/2 месяцев; из шести пущенных к предварительно проверенным самцам только одна (№ 1 сер. III), мало работавшая, на 22 й день родила 5 детенышей, которые все вскоре погибли; остальные остались бесплодными, хотя у некоторых из них в течение наблюдения отмечались т. н. пробки, которые, по мнению некоторых, являются фактором, благоприятствующим наступлению зачатия.
Итак, на основании этой части наших опытов, несмотря на их сравнительную малочисленность, мы, в виду их ясной показательности, можем, кажется, сделать определенный вывод, что чрезмерное физическое утомление, не компенсируемое соответственным отдыхом, вызывает в организме такие превращения, которые отражаются на половой сфере, вызывая угнетение ее функции, видимо, с повреждением фолликулярного аппарата яичника. Эги опыты, между прочим, делают понятным тот, многими наблюдавшийся факт, что русские крестьянки в период тяжелых летних полевых работ страдают более или менее длительной аменорреей,--очевидно, и здесь, вследствие чрезмерного физического утомления происходит подавление функции фолликулярного аппарата
Вторая группа опытов произведена нами на молодых, неполовозрелых мышах с целью выявить влияние утомления на период полового созревания с последующим отражением его на производительной функции. Все опыты были сделаны па 24 мышах, которые могут быть разделены на отдельные серии, причем животные каждой серии были одного помета. Утомление начиналось приблизительно с 20-го дня после рождения и продолжалось до 2г/2 месяцев. Все мышата во время опыта содержались при матери.
Серия 0—4 мыши, родившиеся 20/ХП 28 г. №№ 1 и 4—контроль, №№ 2 и 3 опытные. Контроль мышь № 1. Нач. вес—11,2 грм., конечн. вес 17,7. Течка на 37-й день от рождения. Циклы в 6—8 дней, с хорошо выраженными стадиями.
Контр, мышь № 4. Нач. вес 12,0, конечн. вес—18.0. Течка на 43-й день после рождения. Циклы в 7—9 дней.
Опыт м. № 2. Нач. вес—9,5, конечн. вес—14,0. Работа на колесе с 22/1 по З/Ш 29 года. Течка не наступила до 74-го дня, когда животное было убито.
Опыт, мышь №3. Нач. вес—11,5, конечн. вес—19,0. Работа на колесе с 22/1 по 1/V 29 г., когда пущена к самцу. Течка на 47-й день. Циклы продолжительностью первый 18 дней, второй—четвертый—по 12 дней, пятый 5 д., шестой- 12 д., седьмой—6 д., восьмой не наступил до 27-го дня, когда животное убито.
Серия 1 — 4 мыши, рождены 13/1 29 г. №№ 1 и 2—контрольные, №№ 4 и 3—опытные. № 1 нач. вес- 7,2, конечн. вес—15,8. Течка на 54-й день от рождения. Цикл 10—12 д. Стадии хорошо выражены.
№ 2. Нач. вес—7.2, конечн. вес—15,5. Течка на 52 й день. Циклы 10—14 д.
№ 3. Нач. вес 7,0, конечн. вес—12,2. Работа на колесе с грузом, равным весу животного, с 9/II по 4/1V 29 г. Течка на 75-й день, причем стадия Schol- len.—нечистая. птт
№ 4. Нач. вес—7.1, конечн. вес—13.5. Работа на колесе с грузом с 9/11 29 г. Течка "на 55-й день, причем, чистая стадия Schollen только в третьем цикле, а через 3 цикла вновь смешалась. Мыши убиты для гистологического исследо- вания.^^^ мыши, рождены З/Ш 29 г. Контрольная мышь № 1. Нач.
вес—6,8, конечн. вес 18,0, Sch. на 35-й д.,ттт
Опыт. м. № 2. Нач. вес - 6,2, конечн. вес—14,0. Утомлялась смешанно с21/Ш по 1/V. Первая течка на 50-й д. Стадия Р. не уловлена. Обе мыши убиты для гистологического исследования.
Серия TII—vw мыши, рождены 13/П 29 г. Мышь № 1 - контрольная. Нач. вес-6,3, конечн. вес-17,5. Schollen на 42 й день. Прослежено 5 циклов с промежутками 5—7 дней. Все фазы цикла резко выражены.
Опытная мышь № 2. Нач. вес —5.5, конечн. вес—14,2. Утомлялась подвешиванием с 3/111 по 24/1V. Течки не было до /3-го Дня. о .
Опытная м. № 3. Нач. веч.—6,2, конечн. вес 13.7. Утомлялась с 3/111 МО’ 24/IV. Первая течка на 67-й день, Р. —1 день, Sch.-l’/2 Д- М.—2 д., D. доведена, до 4 дня. Все мыши убиты.
Серия IV—четыре мыши, рождены 29/Ш 29 г. Мышь № 2. контрольная. Нач. вес.—8.0, конечн. в. - 17,5. Первый Schollen на 34-й день. Цикл в 5 дней, был'до 9/V два раза с отчетливо выраженными стадиями. 9/V пущена к самцу. 29/V роды 7-ю детенышами, из которых 2 умерло, 5 живы до 15/111 29 г.
Опытная мышь № 1. Нач. вес- 8,0 конечн. вес—13,0. Утомлялась с 17/1 V по 21/VI подвешиванием. Schollen на 45-й день. Цикл в 15—16 дней, причем стадия Sch. нечистая.
Опыт. м. № 3. Нач вес—7,2, конечн. вес—7,2. Утомление подвешиванием с 17/IV по 21/VI когда мышь подохла. Течки не было до дня смерти —60 дней. 9/V пущена к самцу. Ни пробки, ни беременности не было.
Опыт. м. №4. Нач. вес—6,5, конечн. вес—8,5. Утомление то же, что и в предыдущем случае, до 8/VI (дня смерти). Течки не было до смерти 70 дней. 9/V пущена к самцу. Ни пробки, ни беременности не было.
Серия К-семь мышей, рождены 29/111. МышьЛИ, контрольная. Нач. вес-- 7,0, конечн. вес—19,0. Первый Schollen на 45-й день. Прослежено 3 цикла с промежутками в 10 дьей и один в 5 дней. Все стадии резко выражены.
Опытная м. № 2. Нач. вес—7,5, конечн. вес—17,7. Утомлялась с 21/IV по 21/VI подвешиванием. Течка на 39-й день с промежутками в 5—8 дней, с хорошо выраженными стадиями.
Опыт. м. № 3. Нач. вес-6.2, конечн. вес—14,7. Работа и время те же, что- и в № 2. Первая течка на 55-й день, в 7—10 дней. Schollen не чистый.
Опыт. м. № 4. Нач. вес—6,4, конечн вес—15,2. Утомление с 21/VI. Первый Schollen на 74-й день, Р. и Sch. слились в одну стадию.
Опыт. м. № 5. Нач. вес—6,8; конечн. вес—15,5. Утомление то же, что и у предыдущей мыши. Schollen на 65-й день. С 9/V пущена к самцу. Вдень появления течки к вечеру пробка. 19/VI роды 5ю детенышами. Все живы до 15/VII.
Опыт. м. № 6. Начальн. вес—6,3. конечн. вес—12,0. Работа та же, что и в предыдущем случае. 11/V подохла. Течки не было до дня смерти—73 д. С 9/V пущена к самцу. Ни пробки, ни беременности не было.
Опытн. м. № 7. Нач. вес— 6,3, конеч. вес—16.2. Утомлялась подвешиванием с 21/IV по 21/V1. Течка на 57-й день. Циклы продолжительностью 7—10 дней. В 1-м цикле Р. не удалось уловить, Sch. с обильной примесью слизи; во 2-м Р. и Sch. в чистом виде не было, 9/V пущена к самцу. Один раз была пробка, беременности нч было.
В отношении данной серии опытов так же, как в опытах с половозрелыми мышами, прежде всего следует отметить значительное отставание экспериментальных мышей в весе. У всех мышей, за исключением одной из серии 0, равнявшейся по весу контрольной, разница в весе к концу опыта составляла от 2 г. до двойного веса животного, а в единичных случаях даже значительно больше (с. IV м. №№ 2, 3 и 4). Данные потери веса за один опыт также велики и доходила в среднем до 1,5 г. (сер. V) что по отношению к общему весу составляет, как максимум, 1/6 его. Такая огромная потеря, естественно, не могла не отразиться на общем развитии опытных животных, и прилагаемый рис- № 1 ясно свидетельствует об этом Разница в величине здесь отчетлива. Общая задержка в развишщ своего рода искусственный инфантилизм,, может быть приравнена к подобной же при некоторых авитаминозах.. Общий вид опытных животных был весьма невзрачный: малая подвижность, общая худоба, иногда поносы, взъерошенная шерсть, потеря аппетита—таковы были характерные особенности общего их состояния. Немудрено, что подобные сильные общие изменения организма иногда вели к смерти животного (7 м.).
Если теперь сравнить вредное влияние физического утомления в периоде полового формирования с таковым же на уже полноценную в половом отношении взрослую мышь, то в первом случае оно выявляется «скорее и в гораздо более резкой форме, факт еще раз и более убедительно подтверждающий наше наблюдение о пагубных последствиях чрезмерного утомления на общее состояние и развитие организма.
Соответственно задержке общего развития мы могли установить и замедление в половом созревании молодых мышей, исходя из срока по¬явления первой течки от дня рождения. Более того—-если в опытах с взрослыми мы¬шами, несмотря на довольно продолжительное утомление, мы не могли добиться пол¬ного угнетения полового цик¬ла, то в ряте случаев с не¬половозрелыми мышами нам удалось сравнительно в ко-роткий срок не только от¬тянуть первоначальное его появление, но даже совершенно выключить его. Так, в серии 0 контроля дали течку на 37-й и 43-й день, из опытных же мышей у одной течка не появлялась до 73-го дня (до сме ли), у второй—до 47-го дня; в серии 1 контроль имел течку на 52-й—54-й дни, опытные мыши—на 75 й —55-й дни; в серии II у контрольной мыши течка наступила на 42-й день, у опытной —на 50-й день; в-серии III конгрольная мышь получила течку в 42-й день, из 2-х опытных у первой ее не было до 73-го дня, у второй она появилась на 67-й день; в серии IV контрольная мышь получила течку на 34-й день, из опытных мышей 1-ая—на 45 й д., у второй не было до 60-го дня (подохла), у 3-й—до 70-го дня (подохла); в серии V контроль имел течку на 45-й день, из опытных мышей одна получила ее на 39 й день, другая—на 55-й день, третья на 74-й день, четвертая на 65 й д. у 5 й—течки не было до 73 дня (издохла), шестая получила течку на 57-й день.
Таким образом во всех сериях мы встречаемся с фактом замедления появления первой течки сроком от 10 до почти двойного количества дней. Само течение отдельных циклов частично также уклонялось от нормального хода его. Во-первых, можно было обнаружить,—правда, не как правило,—более длительное течение первых циклов и их относительную неправильность по времени появления в отношении контроля одноименной серии. Во-вторых, часто отмечалось извращение отдельных фаз вагинального цикла,—обстоятельство, зависящее, возможно, от неполноценной гормональной деятельности яичника, как регулятора цикличности всего полового аппарата. Удлинение отдельных циклов и здесь происходило за счет длительности стадии Dioestrus (мыши сер. О № 3, с. II№ 4, № 1 сер. IV). В прочих стадиях разницы нельзя было уловить. Неправильности появления отмечались у большинства мышей, хотя бывали и у контрольных. Наблюдаемые извращения в микроскопической- картине вагинальных мазков соответствовали преимущественно стадиям Prooestrus и Srhollen. Так, в нескольких случаях мы не могли уловить Р., но допускаемой причине ее укорочения, в одном случае Р. и Sch. слились вместе; в нескольких случаях фаза Sch. была нечисто выражена,. j а в ней наблюдалась примесь того или иного количества слизи (М. № 3 и 4 сер. 1, сер. II № 2, сер. IV’ № 1, сер. V, № 3 и 7). л
Рис. № 2.
Гистологическому исследованию были нами подвергнуты половые органы мышей №№ 2 и 4, серии 0 и всех мышей серий I, II и III. Макроскопически у них бросалось в глаза резкое уменьшение в величине, в сравнении с контрольными, всего внутреннего полового аппарата. Разница достигала до уменьшения, примерно, в два раза, касаясь в равной степени матки, яичников и труб, благодаря чему сохранялась симметрия органов (см. рис. № 2). Общая картина соответствовала одному из сравнительно распространенных пороков развития, именно, гипоплазии j внутренних половых органов. Микроскопически также преобладали количественные изменения, равномерно распространяясь на все части половой сферы. Количественные различия в сторону уменьшения и являются характерными для гистологической картины половых органов исследованных животных. Незначительное количество фолликулов от средних до мелких, уменьшение их общей величины, незначительная величина фолликулярных полостей, равно уменьшение самих фолликулярных клеток, меньшее количество желтых тел, отсутствие последних в случаях непоявления течки, их общая недоразвитость—вот что можно было гистологически отметить в яичниках подвергавшихся утомлению мышей в сравнении с контрольными. Особенно резко эта картина выявлялась у животных, не имевших до вскрытия течки,—здесь она давала впечатлении общей задержки в развитии половой железы, ее анатомической неполноценности, чему, вполне допустимо, соответствовала и ее функциональная
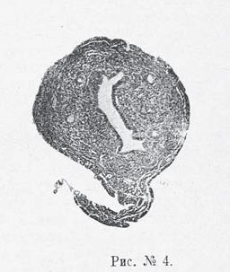
недостаточность (см. рис. № 3). В матке количественная разница выступала еще резче (см. рис. № 4). Соответственно уменьшению всего органа оказывались недоразвитыми и все его составные части,—мышечный слой и слизистая оболочка были слабо развиты, железы уменьшены и в количестве и величине, интерстициальная ткань слизистой слабо выражена (производит впечатление атрофии), покровный эпителий ниже нормального, просвет матки уменьшен. Следовательно, и здесь имела место картина общей задержки развития матки, остановки на известной стадии детского состояния ее, инфантилизма,/даже более того—ее гипоплязии.
Рис. № 3. Рис. № 4.
Наши гистологические исследования подтвердили, т. о., в известной мере обнаруженную ранее функциональную аномалию полозов сферы животных и тем самым показали еще раз, что чрезмерное физическое утомление может вызвать, помимо функциональных нарушений, и глубокие анатомо-гистологические изменения генеративных органов, особенно в период полового созревания животного, не оставляя, видимо, без вредных последствий и дальнейшую р довую функцию их. Так. из посаженных к самцу пяти опытных мышей, лишь одна дала потомство в 7 детенышей, остальные четыре остались бесплодными.
Суммируя результаты наших опытов с влиянием чрезмерного физического утомления на период полового созревания мышей, мы можем сделать следующие выводы:
1) Чрезмерный физический труд и связанное с ним утомление, несомненно, вредно сказываются в периоде полового созревания.
2) Вредность их прежде всего выявляется в задержке общего физического развития, ведя в тяжелых случаях даже к смерти.
3) Как часть общего, не остается без вредного воздействия и половая сфера, в которой отмечаются анатомически половой инфантилизм, даже половая гипоплазия, а функционально—задержка появления первой течки на довольно продолжительный срок, относительно-длительное течение последующих отдельных циклов и частичная нечеткость отдельных его фаз.
Рис.1
Рис.2
Рис.3
Рис.4
Об авторах
М. А. Дыхно
Автор, ответственный за переписку.
Email: info@eco-vector.com
Россия
Н. Е. Сидоров
Email: info@eco-vector.com
Россия
Список литературы
Дополнительные файлы











