К клинике кожевниковской эпилепсии инфекционной этиологии
- Авторы: Шубин Н.В.1
-
Учреждения:
- Томский медицинский институт
- Выпуск: Том 34, № 3 (1938)
- Страницы: 236-251
- Раздел: Статьи
- Статья получена: 13.12.2020
- Статья одобрена: 13.12.2020
- Статья опубликована: 10.03.1938
- URL: https://kazanmedjournal.ru/kazanmedj/article/view/54695
- DOI: https://doi.org/10.17816/kazmj54695
- ID: 54695
Цитировать
Полный текст
Аннотация
Прошло 42 года как проф. Кожевников выделил особую форму эпилепсии под названием epilepsia partialis continua. Его теоретические рассуждения об этиологии данного страдания., как о синдроме, который могут дать „болезненные изменения, различные по своей натуре и сходные только по своему действию на головной мозг, цистицерк, хронич. инфекция и др.“, нашли свое подтверждение в ряде работ последующих авторов.
Ключевые слова
Полный текст
Прошло 42 года как проф. Кожевников выделил особую форму эпилепсии под названием epilepsia partialis continua. Его теоретические рассуждения об этиологии данного страдания., как о синдроме, который могут дать „болезненные изменения, различные по своей натуре и сходные только по своему действию на головной мозг, цистицерк, хронич. инфекция и др.“, нашли свое подтверждение в ряде работ последующих авторов.
Так, Омороков, Пронин описали случаи цистицерка, как этиологического фактора кожевниковской эпилепсии. Вильсон и Винкельман наблюдали аналогичный симптомо комплекс при метастазе рака в моторную область коры (цит. по Оморокову). Острая инфекция в этиологии кожевниковской эпилепсии была отмечена клинически и обоснована гистопатологическими исследованиями в работах Даркшевича, Осокина, Дзержинского, Соколова и за последнее время детально разработана на большом материале Омороковым. Исследования упомянутых авторов подтвердили предположение Кожевникова о том, что в основе описанного им синдрома должен лежать „ограниченный энцефалит коры головного мозга в области или вблизи (лобная доля) двигательных кортикальных центров с участием оболочек“ «Что касается клинической картины, то она неодинаково изучена на разных стадиях своего развития. Имеется полный пробел в клиническом наблюдении начала заболевания и течения его в первое время развития. Все описанные случаи имели давность от начала заболевания в пределах от нескольких месяцев до нескольких лет. Кожевников наблюдал больных через 2—4 года от начала заболевания, Даршкевич через 8 лет, Осокин через 4 г. и 7 мес., Кроль—6 мес., Дзержинский—10 мес., Омороков от месяца до 16 лет и т. д. Поэтому описание начала заболевания основывалось только на анамнестических данных больного и родственников, что, конечно, не могло заменить личное наблюдение специалиста невропатолога или клиники. В период 1934—35 года нам удалось наблюдать 2 случая кожевниковской эпилепсии с момента развития заболевания.
- Oc-ин, М., 16 л. Со стороны семейного анамнеза большая смертность детей (у матери после 16 беременностей в живых осталось 6 детей), младший из оставшихся страдал припадками с потерей сознания. Наш больной, 2-й по счету, рос хилым ребенком, детскими инфекционными болезнями не болел. В школе учился хорошо.
Начало заболевания. 6/VІ 34 г. наблюдалось легкое недомогание после ночной „рыбалки“; 7/VІ мальчик пошел с товарищем в поле ловить лошадей. В поле неожиданно у него повело в сторону правую руку, он упал и потерял сознание. Пока товарищ бегал за родными в деревню, б-ной очнулся, пришел домой, сам запряг лошадь и поехал с матерью к фельдшеру. По приезде домой, вечером во время чая заметил неловкость в движениях правой руки: при попытке взять кусок хлеба, рука промахивалась мимо. На второй день (8/VI) к вечеру поднялась температура, слабость в руке нарастала, 9/VІ утром появилась слабость и в ноге, появилось затруднение речи и мочеиспускания. 10/VI б-ной был осмотрен мною. Температура—40,3°, больной был в полузабытье, на вопросы говорил что-то несвязно, но обращенную к нему речь, видимо, понимал. Череп при поколачивании был несколько болезнен, небольшая ригидность затылочных мышц, Керниг больше справа, взор смещен влево, носогубная складка справа сглажена, правосторонний вялый паралич без поражения сухожильных рефлексов; брюшные и подошвенный рефлекс справа отсутствовали, патологических рефлексов не было. Задержка мочи и кала. В моем присутствии произошел эпилептический припадок типа джексоновской эпилепсии, начавшийся с клонических судорог правой руки. Через несколько часов «припадок повторился. 13/VІ (на 7-е сутки) больной поступил в клинику. Т° 38,4, пульс напряженный, медленный—56 уд. в минуту. На вопросы отвечал вяло с явлениями парафазии. Слабость конвергенции, двусторонний нистагм, больше вправо, движения глаза в полном объеме. Произвольные движения в правой руке, за исключением тонких движений в пальцах, восстановились полностью, в ноге же появились только слабые движения в тазобедренном суставе. Мышечный тонус справа понижен. Атония в правой руке. Сухожильные и периостальные рефлексы справа слабо вызывались, брюшные рефлексы отсутствовали, с кремастера—слева живее, на намек Бабинского справа, слабый Керниг справа, ригидность затылка исчезла. 14/VI (8-й день) t° 36,2-36,4, пульс 40— €0. Общее состояние удовлетворительное. Произведена спинно-мозговая пункция: жидкость прозрачная, бесцветная, вытекала частыми каплями, взято 16 см3, реакция Нонне-Аппельта отриц, Панди—слабо положительная, цитоз 53,1 (большие и малые лимфоциты). R.W. с кровью и с жидкостью отрицат. При посевах крови и спинно-мозговой жидкости на питательных средах (д-р Ломакина), а также введение жидкости под кожу и под твердую мозговую оболочку головного мозга кролику и собаке (д-р Тимаков) дали отрицательный результат. Морф, состав крови: баз—0,5%, эоз— 2%, п — 1%, с— 55,5%, л—39%, м—2%. Больной несколько оглушен, большую часть дня спал, на вопросы отвечал вяло. 17/VI менингеальные явления исчезли. Больной несколько живее. Походка атактическая с отшатыванием вправо. Улучшились движения в правых конечностях—восстановились все движения в ноге; в руке при вытянутом положении мизинец был отведен и несколько свисал, сведение и разведение пальцев ограничено в области IV и V, противопоставление большого пальца возможно. Небольшая ригидность при пассивных движениях в сгибателях на руке и в разгибателях на ноге, сухожильные рефлексы справа выше, намек на Бабинского справа, Мейер—справа отриц., слева положит. Чувствительность N. При разговоре, реже в покойном положении, временами мелкие тонические подергивания в верхней губе справа.
Фото
В дальнейшем, до момента выписки (28/VІ 34 г.) и после него улучшение продолжало прогрессировать. Весь июль и первую половину августа больной в семье считался вполне здоровым (фот.).
Ночью 18/ѴІІІ 34 г. припадок с потерей сознания, начавшийся с судорог правой руки, второй припадок повторился через 6—7 дней, но уже с правой ноги: ногу отвело в сторону, согнуло в коленном суставе, и больной потерял сознание. После второго припадка появились судорожные подергивания в правой руке, вначале редкие и только при движении, в силу чего больной не мог кушать правой рукой, затем судороги, постепенно нарастая, приняли постоянный характер.
13/1X34 г. больной вновь поступил в клинику и пробыл в ней до 20/IV 35 года с перерывом с 1/ХІІ 34 г. по 20/II 35 г., когда был переведен в хирургическую клинику для операции Горслея. Статус при поступлении: при ходьбе несколько волочил правую ногу, Ромберг положительный с небольшим отшатыванием вправо. Зр. реакция на свет живая, носогубная складка справа сглажена. Ограничение движения в дистальных отделах правой руки, с гиперэкстензией в пальцах. Равномерная атрофия правой руки с западением межкостных промежутков, разница в обмерах с левой рукой: плеча на 8 см, предплечья—на 1,5 см, кисти на 1 см: атрофия без реакции перерождения.
Чувствительность N; сухожильные рефлексы справа повышены, брюшные справа слабее, намек на Бабинского и Россолимо справа. Постоянные клонические судороги в мышцах угла рта справа и слева, в кисти и пальцах правой руки.
Течение болезни характеризовалось главным образом изменением в динамике развития основных симптомов заболевания—паралича, судорог, припадков. Разберем каждый из указанных симптомов в отдельности. Параличи. 14/Х (через месяц) в плечевом суставе справа неполное отведение на 30—35°, поднятие руки вверх невозможно, в локтевом суставе неполное сгибание, пронация и супинация отсутствовали, кисть находилась в контрактурном сгибании с девиацией в ульнарную сторону с типичной установкой пальцев для данного страдания: II и III пальцы выпрямлены, а большой приведен к указательному, остальные пальцы согнуты. При попытке больного выпрямить пальцы они только несколько расходились в стороны, а мизинец еще более сгибался.
К 1/ХІІ 34 г. в руке осталось только слабое сгибание в локтевом суставе, едва заметное сгибание в пальцах, остальные движения все выпали. С нарастанием паралича нарастали и атрофии: к указанному времени ясно выступила атрофия мышц thenar et hypothenar, сопровождавшаяся реакцией перерождения. В правой ноге слабость нарастала значительно медленнее: к 1/ХІІ 34 г. можно было констатировать только ограничение движения в голеностопном суставе, пальцах и менее выраженное—в коленном суставе. Атрофии не было, зато ясно выступили патологические рефлексы: Бабинский, Россолимо и появился вновь рефлекс Мендель-Бехтерева.
Припадки протекали всегда по типу джексоновской эпилепсии, начинаясь вначале с правой руки, а с развитием в ней паралича—с правой ноги. Припадок обычно сопровождался потерей сознания и последующим сном. За несколько часов до припадка резко усиливались судороги в конечностях, после же припадка на некоторое время стихали. Припадки повторялись 3—4 дня, большею частью, ночью. Обычно с вечера в день припадка, видимо, чувствуя свою беспомощность в борьбе с судорогами, больной находился в состоянии какого-то беспокойства, страха, боялся остаться один, просил держать руку или ногу. Иногда к этому присоединялись крайне мучительные ложные ощущения в правой половине тела. Так, на 25/ІХ всю ночь не спал, говорил, что правая нога чем-то перевязана, вверх по ноге двигаются какие- то клубки, что из нее капают капли, вся правая половина туловища усеяна пузырями. Все это сопровождалось резкой эмоциональной реакцией, бледностью лица, выделением пота на лбу. Разубедить больного в ложности ощущений не удавалось. В 5 часов утра припадок, после чего прекратились и парэстезии.
Судороги. В первое время пребывания в клинике судороги локализировались только в пальцах правой руки, в мышцах угла рта справа и слева; судороги мелкие, почти ритмичные. С течением времени судороги постепенно распространились выше по руке, захватили мышцы предплечья, плеча, плечевого пояса, затем перебросились и на мышцы бедра (m.ile psoas,m.quadriceps). С захватом крупных мышц судороги изменили свой характер: к мелким, почти ритмичным подергиваниям в пальцах присоединились толчкообразные вздрагивания в крупных суставах верхней конечности, вызывая этим сотрясательные движения конечности, быстро следующие одно за другим, а затем—пауза в 3—5 секунд. Эти судороги не сопровождались большим смещением конечности, т. к. появились они почти одновременно как в агонистах, так и антагонистах, что умеряло размах движения. В ноге же судорогой были захвачены только сгибатели бедра, частично приводящие мышцы и m. quadriceps, что вызывало более мощное перемещение конечности. Судороги, особенно крупные, усиливались к вечеру, мешали больному спать, физическое напряжение, фиксация конечности несколько успокаивали их, поэтому больной, борясь с судорогами, принимал всегда вынужденную позу. Вначале, когда еще не развился паралич правой руки, больной старался что-нибудь захватить ею и крепко зажать в кулак. В то же время правое плечо прижимал к туловищу, обхватил его плотно здоровой рукой. Правую ногу фиксировал тем, что ступней с силой упирался в пол, бедро плотно прижимал к постели, навалившись на него всем туловищем. Так больной просиживал целые ночи. Только к утру, когда судороги несколько стихали, больному удавалось подремать несколько часов, не меняя позы.
Несмотря на предпринятое лечение (с первых же дней уротропин внутрь, затем внутривенно, бромиды, физио-терапевтические процедуры) благоприятных результатов получить не удалось. Больному была предложена операция Горслея, как единственный метод лечения для облегчения страданий, хотя уверенности в полном прекращении судорог и припадков после операции не было в виду распространенности процесса.
Оперировал проф. Опокин под местной анестезией в два момента. 1-й момент 5/ХII 34 г. Твердая мозговая оболочка оказалась напряженной, утолщенной, мозг слабо пульсировал, мягкая мозговая оболочка отечна, сосуды ее резко инъицированы, по их ходу в области центральных извилин местами белесоватые бляшки. При определении центров в передней центральной извилине (ток фарадический от катушки Дюбуа-Раймонда) бросилось в глаза, что в области, центра руки при раздражении точек сравнительно на большом поле (2 1/2X1½ см) получалось одно и то же движение-сгибание в локтевом суставе. Такая же картина получилась при раздражении поля в районе центра ноги; раздражение в разных местах его вызывало только сгибание в тазобедренном суставе. Изолированных движений в мелких суставах руки и ноги получить не уда лоск. На этом l-й момент был закончен, твердая мозговая оболочка зашита, кость положена на старое место, затем наложен глухой кожный шов Заживление per primam. В первые 5 дней после операции исчезли судороги в конечностях, сохранились только легкие подергивания в верхней губе во время разговора. Затем судороги, постепенно нарастая, приняли прежний характер и объем. Первый припадок был в ночь на 10-й день после операции.
2-й момент 11/1935 г. При отделении твердой мозговой оболочки имелись мелкие сращения ее с мозговым веществом. В области центра руки под контролем электрического тока вырезан участок мозга в21/2Х1½ см по площади и 1 ½ см в глубину, приблизительно такого же размера участок удален в районе центра ноги. В края дефекта, в дно его ив область центра лица впрыснут 80% алкоголь в количестве 5 см. Заживление без осложнения. После операции полный вялый паралич руки и ноги, моторная афазия, которая через несколько дней сгладилась Клонические судороги прекратились. Чувствительность на конечностях расстроена по кортикальному типу. До выписки из клиники (20/IV 35 г.) было два эпилептических припадка 5 и 8 февраля. Припадки ночные, начинались с общих клонико-тонических судорог, продолжались с минусу—полторы, затем наступал сон. О припадках больной, проснувшись утром, ничего не помнил.
Катамнез. В дальнейшем больной посетил клинику 2 раза. Первое посещение 7/Х 35 г полный вялый паралич правой руки с резкой атрофией мышц, атрофия распространилась и на плечевой пояс (разница в обмерах с левой рукой 9 см). В ноге спастический парез. Судорог пет. Чувствительность на ноге восстановилась, на руке расстроено мышечно-суставное и локализационное чувство в концевых и средних фалангах Больной ходит, опираясь на трость. За этот отрезок времени был один ночной припадок. При втором осмотре (сент. 1936 г.) изменений в статусе по сравнению с посещением 7/Х 35 г. не произошло. Больной возмужал.
В таком же состоянии, со слов матери, больной находится и по настоящее время Припадки повторяются через 3—4 месяца всегда ночью. Больной ходит в избу-читальню, интересуется книгами, летом работает сторожем в огороде.
Наблюдение 2. Титов С., 14 л., родился в Белоруссии. В Сибирь прибыл в 1983 г., живет в трудколонии. Раннее детство протекало в тяжелых условиях; родился после смерти отца, мать вскоре вышла вторично замуж. Отчим был пьяница, часто бил мальчика, с 6 лет заставлял пить водку. От тяжелой жизни мальчик сбежал, был беспризорным, пока не был привезен в труд- колонию. Из личного анамнеза необходимо еще отметить, что развивался медленно, до двух лет не говорил. Инфекционных болезней не было.
Начало и течение заболевания. 20/VІ 35 г., вечером, шел из клуба в столовую по дороге неожиданно упал, начались судороги в левой ноге, судороги быстро сменились слабостью ноги, встать не мог и был доставлен в поликлинику при посторонней помощи. Ночью в поликлинике пытался встать, но упал, вновь начались судороги, быстро распространившеся с левой ноги на всю левую половину, потерял сознание; было непроизвольное выделение мочи, после припадка—сон. Утром был доставлен в больницу, где находился до 28/ХІ 35 г. В момент поступления в больницу было отемечено притупление в правом легком от угла лопатки и ниже с ослабленным дыханием в этой области. В левом легком рассеянные влажные хрипы. Левосторонний паралич, сознание затемнено, t°—39,2°.
23/VI (на 3-й день забол.) был осмотрен мною. Т°—38,5°. Со стороны нервной системы: анизокория s>d., реакция на свет вялая. Вялый левосторонний паралич с участием нижней ветви лицевого нерва. Язык при высовывании симметричен. Сухожильные рефлексы слева понижены. Брюшн. рефлекс отсутствует. Слева рефлекс Бабинского. Справа намек на него. Ригидность затылочных мышц, ясный Керниг, резче слева. Болезненность позвоночника при постукивании в шейном и верхне-грудном отделе. Со стороны чувствительности разницы между правой и левой стороной, видимо, не было: больной одинаково болезненно реагировал на укол с обеих сторон. Со стороны психики некоторая оглушенность, вялость—на вопросы отвечал с трудом и односложно.
Течение болезни. Высокая температура держалась 6 дней до 27/VI, затем пала до 37° и в дальнейшем носила субфебрильный характер с вечерним подъемом до 37,3—37,8°. На 7-й день в правом легком на месте притупления появились местами влажные хрипы. Влажные мелкопузырчатые хрипы наблюдались и в левом легком. При неоднократном исследовании мокроты палочек tbc не было обнаружено, только встречались лейкоциты, 4—5 в поле зрения, кокки и бациллы в незначительном количестве.
Менингеальные явления держались около месяца. 5/VІІ (на 18-й день) появились небольшие движения в пальцах левой руки и ноги. Вскоре присоединились слабые движения в кисти, сгибание в коленном суставе, разгибание и сгибание стопы. На этом процесс восстановления движения закончился.
24/VIII (через 2 месяца) появились слабые клонические подергивания в пальцах левой руки, начала намечаться атрофия плечевого пояса, руки, а также мышц бедра (гл. об. гл. quadriceps.) слева. Атрофия прогрессивно нарастала, и к 10/IX разница в обмерах с правой стороной была: плеча и предплечья —на 3 см, бедра—на 2 см. Атрофия сопровождалась болезненностью нервных стволов и мышц при давлении. 10/ІХ (через 3 мес.) первый эпилептический припадок, начавшийся с судорог левых конечностей; после припадка сои. Второй припадок 7/Х начался с клонических судорог левой ноги. Затем припадки стали повторяться систематически через 3—5 дней. С началом припадков отмечено заметное нарастание судорог. 12/Х появились судорожные подергивания в стопе и пальцах левой ноги, вначале—только при движении, а затем— и при покое. Судороги усиливались обычно к вечеру, мешали больному спать. 14/Х был несколько возбужден, кричал, разбрасывал постель. Через несколько часов успокоился. Перед этим наблюдалось учащение припадков. (10/Х по 14/Х было 5 припадков, один из них с упусканием мочи). 28/ХІ 35 г. поступил в клинику нервных болезней1).
Статус: анизокория s>d, зрачки широкие, реакция замедленная. При оскале зубов клонические подергивания угла рта слева. Вялый атрофический паралич левой руки; возможно только слабое сгибание пальцев и кисти. Атрофия довольно равномерно захватывает всю руку, включая и плечевой пояс (разница в обмерих с правой рукой —плеча на 6 см, предплечья—4 см). Резкое уплощение мышц thenr et hypothenar, main de singe. Сгибательная контрактура в коленном суставе левой ноги в сочетании с резкой атрофией четырехглавой мышцы. Движения в тазобедренном суставе, стопе и пальцах слева ограничены. Арефлексия на левой руке, коленный рефлекс слева abs., ахиллов s>d Бабинский слева. В мышцах: ш. m pbtisma myoides, cucularis (верхняя порция), в длинных сгибателях пальцев и кисти, в сгибателях бедра, голени, в икроножных и перонеальных группах мышц наблюдаются постоянные миоклонические подергивания. Гиперкинезом захвачены и приводящие мышцы бедра справа. Судороги, особенно в крупных мышцах, наступают взрывами, с небольшой паузой покоя, усиливаясь при произвольном движении, раздражении кожи пораженных конечностей (укол, электрический ток); волнение, неожиданное впечатление, стук, крик также усиливают судороги, могут иногда даже вызвать припадок. Фиксация конечностей успокаивает судороги, поэтому больной, борясь с судорогами, всегда принимал „излюбленные позы“—большую часть дня и ночи проводил сидя. Чувствительность N. Временами самопроизвольные боли в левых конечностях. Нервные стволы и мышцы слева болезненны при давлении. В легких (доц. Яблоков) справа местами мелкопузырчатые хрипы, слева жесткое дыхание. Кашель с выделением слизисто-гнойной мокроты. Gor. N.— Спин.-мозговая жидкость: давление частыми каплями, жидкость прозрачна, бесцветна, Pandy++, N—Ар.+ цитоз—128. R.W, с кровью и жидкостью отриц.
7/ХІІ энцефалография. Люмбальным путем извлечено 40 см3 жидкости и заменено 40 см2 воздуха На энцефалограмме: кости свода черепа утолщены, боковые желудочки правильной конфигурации, равномерно расширены, скопление воздуха заметно и в субарахноидальном пространстве: на конвексе рельефно выступают некоторые борозды в лобной и теменной области. Вдувание воздуха не оказало влияния на частоту и время наступления припадков. На третий день был обычный припадок. За время пребывания в клинике эпилептические припадки обычно начинались с усиления клонических подергиваний стопы, реже левой руки, затем судороги распространялись на всю левую половину, и больной терял сознание. Иногда больному удавалось купировать припадок быстрым и сильным сжатием стопы. Повторялись припадки через 3—4 дня, обычно ночью. С 19/I по 23/I перенес грип, t° поднималась до 38,8°.
В период высокой температуры наблюдалось усиление судорог и припадков, припадки повторялись ежедневно, в некоторые дни было по 3—4 припадка.
20/11 36 г. больной выписан из клиники без существенных изменений в статусе. Вопрос об оперативном лечении не поднимался, т. к. температура все время была субфебрильной (37,0— 37,4°) и бронхиальные явления с кашлем и выделением мокроты не стихали.
После клиники больной находился в госпитале трудколонии (истор. бол. № 210) под моим периодическим наблюдением. В апреле бронхиальные явления стихли, температура выравнялась, мальчик окреп; решено было прибегнуть к оперативному лечению, тем более, что судороги заметно усилились в мышцах лица, мешали больному кушать и разговаривать. В стопе к этому времени развился паралич, судороги стихли, и припадки начинались уже не с ноги, а с усиления подергивания угла рта слева.
Операция 22/IV под местной анестезией (доц. Покрышкин). По отделении кожно-костного лоскута твердая мозговая оболочка напряжена, перевязана art. mening. media (болезненна). Оболочка вскрыта. Мозг отечен, не пульсировал, сосуды расширены. Раздражение электрическим током (электрод биполярный, ток от фарадической катушки Дюбуа-Раймонда) участка коры в области центра руки давало всегда сокращение мышц всей руки и плечевого пояса. Одновременно, кроме того, сокращение перебрасывалось на мышцы плечевого пояса противоположной стороны. Раздражение центра лица вызывало резкое усиление судорог и эпилептический припадок. Во время припадка мозг резко иролябировал в трепанационное отверстие, инъекция сосудов усиливалась, особенно вен. Перевязка поверхностных сосудов коры, питающих центры руки и лица, не отразилась на интенсивности судорог. Обсечение судорожных участков коры со всех сторон разрезом, проходящим перпендикулярно поверхности коры и в глубину до белого вещества, не вызвало прекращения клонических судорог. Только подсечение основания кусочка сразу прекратило подергивания. Особенно отчетливо заметно это было на лице, где во все время операции наблюдались клонические судороги в нижней ветви лицевого нерва, и только последняя манипуляция (подсечение) прекратила их. Удален участок мозга размером 4—5 см в длину и 1½ глубину. По краям, в глубину дефекта инъицирован 70° алкоголь в количестве 4 см2. Центр ноги не был удален.
После операции судороги в лице и руке прекратились. В дальнейшем у больного возобновились редкие клонические подергивания в бедре левой ноги и иногда припадки.
Сравнивая развитие болезненного процесса в наших случаях с описанием, которое сделано проф. Омороковым на основании чисто анамнестических сведений, встречаем много общих черт— острое начало с припадка типа Джэксона без предшествующего инфекционного заболевания, развитие паралича, вскоре обратная стадия его развития, вспышка процесса после относительно длительного латентного периода уже при нормальной температуре, но с некоторым видоизменением в симптомокомплексе (появление постоянных клонических судорог), связь развития заболевания с определенным временем года. Клиническая картина настолько типична, что, как справедливо замечает проф. Омороков, при виде больного с типичной установкой конечности с характерным гиперкинезом можно подсказать начало развития заболевания; наблюдая случаи в острой стадии, я имел основание предупредить родителей (случ. 1), что выздоровление может быть нестойкое, т. к. следует ожидать вновь появления припадков и судорог, что и подтвердилось.
Начало и развитие процесса с несомненностью указывают, что здесь мы имеем дело с спонтанным менингоэнцефалитом, нейротропной инфекцией (особенно случ. 1). Молодой возраст больных, сродство вируса с двигательной системой, начало с моторной зоны коры и дальнейшая реализация всего симптомокомплекса в двигательном аппарате вплоть до передних рогов спинного мозга, а возможно и до периферических нервов включительно (в случ. 2 стойко держалась болезненность нервных стволов и мышц к давлению), без расстройства чувствительности, быстрое развитие параличей и менингеальных явлений, также быстрое их восстановление—все это, вместе взятое, приближает клинику заболевания к болезни Гейне-Медина.
Менингеальные явления (Керниг, Лясег, болезненность позвоночника) в острую стадию болезни Г.М. отмечены Ферстером, Мюллером, Линднером и др. Изменения со стороны спинномозговой жидкости: плеоцитоз, стерильность при обычных бактериологических исследованиях (аналогично случаю 1-му), повышенное ее давление при Г.-М. отметили Гей, Лукас, Фрезер, Лихтенштейн и др. Клонические, а иногда и тонические судороги в конечностях как осложнение паралича с эпилептическими припадками описали Цапперт, Мюллер. Патологические рефлексы при Г.М. в острую стадию отметили Ферстер, Нейрат, Цапперт и др. Наконец, на возможность существования церебральной формы Г.-М. указал Вициоли. Штрюмпель на основании 24 наблюдений подробно описал эту форму под названием церебральный детский паралич. Клинически здесь также отмечается острое начало с общемозговыми явлениями, продолжающимися недолго, развитие гемиплегии, которая может улучшиться, развитие мышечных атрофий без реакции перерождения. Об этиопатогенезе этой формы Штрюмпель пишет (т. III, стр. 443): „Судя по всему течению болезни, мы по всей вероятности, имеем здесь дело с острым энцефалитом, который поражает преимущественно, если не исключительно, двигательную область коры, результатом чего являются последующие эпилептиформные приступы, которые обычно начинаются на стороне поражения, а затем могут распространяться на все тело или же иногда область центральных узлов (случаи, где имеется атетоз, гемихорея). Болезнь эта очень сходна с острым полиомиелитом у детей, от которого она отличается только разной локализацией воспалительного очага. Не исключена возможность, что оба эти заболевания этиологически очень близки или даже идентичны друг другу. Эпилептические припадки, как видно из цитаты, Штрюмпель объяснял поражением коры, а гиперкинезы—гемиатетоз, хорею, которые часто присоединяются к гемипарезу, объяснял поражением подкорковых узлов. Таким образом, из приведенных выше ссылок, очевидно, что грань между Г.М. и клинической картиной наших случаев стирается, и только своеобразие гиперкинеза с его несомненно корковой природой (Омороков) заставляют отнести разбираемые нами случаи к синдрому кожевниковской эпилепсии.
Гистопатологические изменения при кожевниковской эпилепсии, развившейся после острого ограниченного менинго-энцефалита, как упоминалось выше, в данное время можно считать достаточно изученными, особенно благодаря работам Оморокова, которому удалось изучить и динамику патологического процесса в зависимости от разных сроков заболевания.
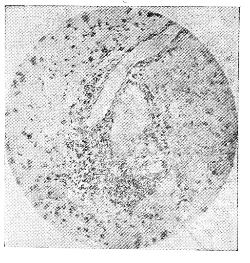
Поэтому во избежание повторения не буду подробно останавливаться на анализе гистопатологической картины наших случаев, она типична, а ограничусь сопоставлением реакции мезодермальной ткани (оболочек, сосудов) и паренхимной (нервные клетки, глия), мало освещенной в литературе при данном заболевании. Несмотря на относительную давность (7 и 10 мес. от начала заболевания) на препаратах отчетливо видна пышная картина прогрессивного метаморфоза мезодермальной ткани: пролиферативно-гиперпластический процесс с нарушением пограничной глиальной мембраны (membrana limitans gIialis). Так, в коре преимущественно III—V слоев встречаются довольно крупные сосуды с резко выраженной интерадвентициальной инфильтрацией (преимущественно вен) в риде широких ограниченных муфт с набуханием и гиперплазией эндотелия, значительно суживающим просвет сосуда; весь процесс сосредоточен внутри периваскулярной мембраны. Наряду с этим имеются сосуды, где продукты мезенхимной пролиферации проникают через глиальную мембрану и распространяются в паренхиме мозга (см. микроф. № 1). Аналогичная картина наблюдается и в капиллярах. Здесь закрытие просвета измененным эндотелием и распространение элементов инфильтрации за глиальную мембрану дают типичную картину гранулем, которые встречаются не только в коре, но и в белом веществе мозга.
На Пердро-препаратах отчетливо выступает гиперпродукция аргентофильных волокон, отходящих от оболочек мелких сосудов вглубь паренхимы в виде гипертрофированных штопорообразно извивающихся волоконец, некоторые из них там свободно оканчиваются, другие служат мостиком между двумя капиллярами (см. микроф. № 2). В мягкой мозговой оболочке наряду с утолщением, инфильтрацией сосудов и их разрастанием (см. микроф. № 3) на границе с маргинальным корковым слоем отмечается также гиперплазия аргентофильных волокон с тенденцией прорастания их в мозговое вещество. Со стороны глии моменты прогрессивной реакции, как-то: пролиферация макро- и микроглии, увеличение протоплазматической массы, хорошо заметной и на нисслевских препаратах, наличие местами двух-трехядерных гипертрофированных астроцитов в маргинальном слое коры (см. микроф. № 4) сочетаются с регрессивной трансформацией: сморщивание тела клеток, их уродливые формы с интенсивной импрегнацией, смазывающей контуры ядра, уменьшение, укорочение и очаговые вздутия отростков. На препаратах Гортега, Кахаля и Белицкого можно убедиться в слабом участии глии в организации гранулем и в процессе инфильтрации вообще.
В ганглиозных клетках наблюдаются тяжелые изменения; клеток без всяких или с незначительными изменениями—немного; на препаратах, окрашенных по Нисслю, встречаются клетки в стадии набухания, отека с ясно выраженным хромолизом; ядро обычно вздуто, пузырькообразное, в некоторых клетках смещено к периферии, нейронофагия выражена слабо. Рядом с этим и в значительно большем количестве имеется типичная картина склероза: диффузная более или менее темная окраска уменьшенной в размере клетки образно извивающимися отростками. Правильность расположения слоев коры нарушена: встречаются клетки, лежащие косо, совершенно поперек, местами, особенно в 3—5 слоев,—диффузные выпадения ганглиозных клеток—ламинарная атрофия коры.
Микрофото 1
Таким образом, имеется интенсивная прогрессивная реакция мезодермальной ткани: нарушение глиальной мембраны, прорастание аргентофильных волокон в паренхиму мозга, при слабой организационной способности глиозных элементов, о чем можно судить не только по морфологическим изменениям их, но и по той тяжелой регрессивной трансформации ганглиозных клеток (без нейронофагии), которая наблюдается особенно в области III—V слоев и дает явления ламинарной атрофии коры; все это, вместе взятое, несомненно говорит о биологической несостоятельности глиальной мембраны—барьера между мозговой тканью и сосудами, о возможности свободного проникновения инфекции resp. интоксикации в мозг. Периваскулярные разрастания соединительной ткани при прогрессивном параличе изучены Снесаревым, Асhucarro, Cajal’eм. На значение отграничительной мембраны для течения и исхода нейроинфекции за последнее время указывает Смирнов, а при эпилепсии Омороков.
Микрофото 2
Прорыв барьера в ограниченном участке коры (гл. образом моторная зона) инфекцией, вызвавшей симптомокомплекс кожевниковской эпилепсии, создает условие для своеобразной реакции на вторичную „чуждую“ инфекцию. Если при других формах эпилепсии, как пишет Джемс Колье, наблюдается общеизвестное свойство эпилептических припадков исчезать во время остролихорадочных заболеваний, что отмечают также Рабинович и др., то здесь мы обычно имеем усиление основного симптомокомплекса судорог и припадков. Так, за время пребывания в клинике наши больные перенесли грипозную инфекцию, во время повышения температуры наблюдалось явное ухудшение заболевания, усилились припадки и судороги.
Вопрос о природе вируса при разбираемой нами форме менинго-энцефалита остается открытым. Единичные попытки нервной клиники с посевом или заражением подопытных животных (кроликов) эмульсией из кусочков мозга (в хроническую стадию заболевания), удаленных при операции, не увенчались успехом. Оказалась стерильной и спинно-мозговая жидкость в острой стадии заболевания (случ. 1).
Микрофото 3
Интересны наши случаи и с точки зрения путей распространения инфекции в ц. н. с. Омороков при описании первой серии своих наблюдений высказал предположение о гематогенном способе распространения инфекции (1922) и одним из условий в возникновении этой формы энцефалита считал „гнуса“ (комар, мошка), так сильно распространенного в Сибирской тайге, поскольку больные были преимущественно жители таежной деревни. За последнее время (см. Труды 1-го Укр. съезда невр. и псих., стр. 103), он склонен объяснять особенность клинической картины при кож. эпилепсии не особым родом инфекций, а особой локализацией болезненного агента внутри центральной нервной системы типа полио- энцефалитов, полиомиелитов, т. е. относит ее к нейротропной инфекции, приближающейся к Гейне-Мединовской болезни, о сходстве с клинической картиной которой упоминалось выше.
Как известно, единого мнения о путях проникновения инфекции при Гейне-Медине нет, хотя по этому вопросу имеется значительная литература и экспериментальные данные, большинство авторов признает лимфогенный путь распространения инфекции resp. интоксикации в противоположность мнению Краузе, Мейнике, Сепп и др., отстаивающих мнение о гематогенном способе заражения. Маргулис считает, что в основном нейтропная инфекция распространяется лимфогенным (периневральным) путем, но может наступить момент, когда климфогенному распространению присоединяется в той или другой степени гематогенное распространение вируса (см. Тр. Укр. съезда, стр. 8) и подвергает критике точку зрения Левадити, Петте, Сперанского и др., полагающих возможным распространение инфекции по осевым цилиндрам.
Микрофото 4
Клиническая картина в острую стадию заболевания и чисто патологические данные (резкая инфильтрация сосудов, преимущественно вен, реакция со стороны оболочек) в наших случаях позволяют сделать допущение о лимфогенном распространении инфекции, как при большинстве других нейротропных инфекциях. Труднее понять пути инфекции resp. интоксикации в третью стадию заболевания, в стадию, когда появились клонические судороги и припадки. Процесс, видимо, несмотря на длительный срок (2—3 мес.) не был закончен, т. к. вскоре после проявления судорог начали развиваться атрофии дегенеративного характера в мышцах, охваченных судорогами. Дистрофический процесс распространялся в известной последовательности, поражав в первую очередь мышцы, где раньше всего начались судороги (кисть руки в случ. 1), постепенно поднимаясь выше следом за судорогами. В случ. I резкая атрофия руки развилась через 7—8 мес. после начала заболевания. Следствием поражения мышц конечности было повторное развитие в ней паралича и прекращение судорог. Припадки уже начинались не с руки, а с ноги. Атрофический процесс сопровождался болезненностью нервных стволов и мышц (особенно в случ. 2). Таким образом, через продолжительный отрезок времени от начала заболевания у больных добавочно развилась картина полиомиелита resp. миелорадикулоневрита на стороне, противоположной корковому поражению. Объяснить же атрофию одним корковым трофическим влиянием невозможно; резкая степень атрофии, ее дегенеративный характер в некоторых мышечных группах говорят против этого. Для выяснения генеза сочетания в поражении коры и периферического двигательного нейрона я позволяю себе сослаться на экспериментальные данные Герста, Ферброзера, Петте и др. При инокуляции вируса Г.М. обезьяне в кору головного мозга, они получали изменения в противоположной половине спинного мозга. Эти наблюдения как бы говорят за проведение вируса по нервным волокнам, в частности по пирамидному пути resp. осевым цилиндрам. Очень возможно, что и в наших случаях инфекция, попав в двигательную область коры, своими токсинами вызвала патологическую деятельность двигательных клеток, которые под влиянием непрерывного раздражения, посылая постоянные импульсы по двигательной системе (ру. + передние клетки сп. мозга) произвели истощение, нарушение биологического тонуса, (трофики) всего двигательного пути, включая и мышцу, что и послужило благоприятным условием для избирательного распространения вируса resp. токсинов.
Интерес приведенных случаев заключается, по нашему мнению, и в том, что одна и та же инфекция в одном и том же организме при благоприятных условиях в известной стадии заболевания может распространяться по различным путям и строгого сродства вируса, как это принято думать, к той или иной дренажной системе, видимо, нет.
Несколько слов о патогенозе клонических судорог у разбираемых нами больных и при кожевниковской эпилепсии вообще. В настоящее время имеется два явно противоположных взгляда на природу этого гиперкинеза. Одна точка зрения, высказанная самим Кожевниковым и горячо поддерживаемая Омороковым, Вильсоном и др., трактует гиперкинез как результат раздражения двигательной зоны коры. Другие авторы стоят на точке зрения подкорковой локализации очага—в зрительном бугре, четверохолмии (Хорошко), а коре приписывают тормозящее влияние. Поражение коры „освобождает миоклоническо-эпилептические механизмы“ пишет акад. Кроль (см. „Синдромы“, стр. 355). Вопрос этот неоднократно дебатировался в печати, поэтому останавливаться на анализе теории я не буду; интересующиеся могут найти это в работах Оморокова, Хорошко, Кроля и др.; отмечу только, что решение вопроса в пользу корковой локализации или локализации в подкорковых ганглиях имеет колоссальное практическое значение в смысле оценки применяемых методов лечения и их эффективности.
Гистопатологические изменения в участках коры, взятых нами во время операции, с очевидностью указывают на тяжелый энцефалитический процесс, развертывающийся в коре—факт, мимо которого пройти трудно. Второе—процесс оперативного вмешательства есть сам по себе чистый эксперимент в условиях клиники. Особенно демонстративен в этом отношении наш второй случай, где судороги были на левой стороне, и поэтому манипулировать на правом полушарии, не опасаясь развития афазии, было более свободно, чем в первом случае. У больного имелись сильные клонические подергивания угла рта слева, за которыми очень удобно было наблюдать во время операции. Как указывалось, раздражение электрическим током центра лица вызывало усиление судорог в губе и припадок. Перевязка поверхностных сосудов, питающих центры, даже обрезывание со всех сторон „центра“ лица не отразилось на интенсивности судорог и только подсечение его в основании сразу прекратило гиперкинез, который не возобновился и в дальнейшем. Раздражение током краев и дна дефекта не вызывало судорог и припадка. Через продолжительное время после операции у больного возобновились припадки, но они начинались уже с ноги, а не с лица. Центр ноги удален не был.
Этот факт с очевидностью демонстрирует, что клоническая, фаза судорог при кожевниковской эпилепсии зависит от очага раздражения в двигательной зоне коры, после удаления его прекращаются судороги и припадки или последние видоизменяются. Если бы судороги при данной форме эпилепсии зависели от поражения коры и связанного с этим растормаживания подкорковых миоклоно-эпилептических механизмов, то спрашивается: почему еще добавочное выключение коры оперативным путем не усилило, а, наоборот, прекратило судороги?
Далее, было уже отмечено, что всякие посторонние раздражители: зрительные, слуховые, болевые усиливают гиперкинез, а при известной силе раздражения могут провоцировать припадок, чего так боятся больные. Этот факт соответствует одному из законов доминанты: отклонение посторонних возбуждений к доминирующему очагу возбуждения. Явление доминанты, как известно, обусловливает собой наличие пониженного порога раздражения. Таким образом, возбуждение какого-либо участка в коре иррадиирует по всей коре, достигает очага с повышенной возбудимостью (в наших случаях—двигательных центров) и приводит его в активнее состояние. Вот еще одно доказательство того, что при кожевниковской эпилепсии в коре имеется процесс раздражения, а не выпадения.
Интересен еще один факт. Как уже отмечалось в описании течения болезни, больные, чтобы несколько успокоить судороги, пытались фиксировать конечности, сжимать их здоровой рукой, упираться ногой в пол и т. д., создавая этим много неудобств для самих себя: они не могли свободно пользоваться здоровыми конечностями, чувствовали себя все время связанными, нуждались в посторонней помощи. Попытка же фиксировать конечности без участия больных: прибинтовать их к постели, заделать в шину или наложить гипс не достигала цели, обычно больные сейчас же просят освободить конечность, т. к. судороги распространяются выше, усиливаются и создают впечатление наступления припадка. Видимо здесь играет роль не столько фиксация конечности, сколько произвольное двигательное напряжение.
Лечение. В тяжелых случаях с распространенным процессом, примером чего служат наши больные, ждать радикального излечения (уничтожения припадков и судорог) от оперативного вмешательства трудно, т. к. обширное иссечение коркового вещества, как было в случ. 1, может в дальнейшем дать возобновление припадков.
Операция может несомненно дать больным значительное облегчение—устранение клонических судорог. Это освобождает их от постоянной борьбы с судорогами, которые не дают покоя ни днем, ни ночью. Наши больные были очень довольны полученными результатами, поэтому нет оснований для отказа от оперативной помощи и в тяжелых случаях.
Выводы.
- Острая стадия инфекционной формы кожевниковской эпилепсии клинически протекает в виде менинго-энцефалита с ясно выраженными оболочечными симптомами, которые сравнительно быстро сглаживаются.
- Начало и течение заболевания в острый период приближаются к болезни Гейне-Медина, т. е. видимо относятся к типу нейротропных инфекций.
- В течении заболевания можно выделить три стадии: стадию острого периода, ремиссию с значительным сглаживанием симптомов и стадию припадков и судорог.
- В некоторых случаях кожевниковской эпилепсии к энцефалиту может через несколько месяцев присоединиться поражение периферического нейрона в виде полиомиелита или миело- радикулоневрита в конечностях, захваченных судорогами, что указывает на хронически продолжающийся воспалительный процесс.
- Системное поражение всего двигательного аппарата в случаях, указанных в п. 4, дает основание предполагать распространение инфекции по осевым цилиндрам.
- Как показывают гистопатологические исследования, при кожевниковской эпилепсии наблюдается более оживленная реакция мезодермальной ткани по сравнению с нервной тканью— прорыв барьера—чем, возможно, и объясняется усиление судорог и припадков при присоединении вторичной, чуждой инфекции, в противоположность генуинной эпилепсии.
- Клонические судороги при кожевниковской эпилепсии являются результатом поражения (раздражения) коры в двигательной зоне, т. к. отделение „центра“ от окружающей мозговой ткани не уничтожает судорог, последние исчезают только при удалении его.
- В тяжелых, разлитых случаях кожевниковской эпилепсии оперативное лечение не противопоказано, т. к. операция Горслея уничтожает клонические судороги, что значительно облегчает состояние больных.
1) Демонстрировал в Нерв.-псих. Секции О.С.З. 14/XII 35г.
Об авторах
Н. В. Шубин
Томский медицинский институт
Автор, ответственный за переписку.
Email: info@eco-vector.com
Нервная клиника
РоссияСписок литературы
- Даркшевич, Врач, № 20,28, 29. 1895.
- Кожевников, Медицинское обозрение, № 14, стр. 9/. 1894.
- Колье, „Эпилепсия“, перев. с англ, Изд. Практ. мед. 1928.
- Кроль, Журн. невр. и псих. им. Корсакова, кн. V—VI. 1911,
- Кроль, Невро-патологические синдромы, 1933.
- Маргулис, Труд. I Укр. съезда и невр псих., стр. 1, 1935.
- Маньковский, там же, стр. 25 .
- Осокин, Медицинское обозрение, № 1. 1903.
- Омороков, Сибирск. медиц. журн., № 1—2. 1922.
- Журн. невр. и псих. им. Корсакова, кн. 1. 1927.
- Сибирск. архив теор. и практик, медиц., май —июнь. 1925.
- Сборник по психо-неврологии, посвящ. Ющенко.
- Труд. I Укр. съезда невр. и псих,, стр. 102. 1935.
- материалы по II съезду невр. и псих., стр. 83,1936.
- Невр. и психиатр., т. VI, в 4. 1937.
- Юбилейный сборник проф. Мыш, 1927.
- Смирнов, Морфология нервной системы, Госмедизд. УССР. 1935.
- Рабинович. В. Я., Невр. и псих., в. 6, т. V, стр. 909. 1936.
- Сепп, Клинический анализ нервн. болезн., ч. I, Госизд. 1927.
- Сперанский, Элементы построения теории медицины. 1935.
- Пронин, Сибирский арх. теор. и практ. мед., т. II, кн. 8—10, 1927.
Дополнительные файлы













