Проявления синдрома диссеминированного внутрисосудистого свертывания крови при черепно-мозговой травме
- Авторы: Евсеев Е.М., Харин Г.М., Литвинов Р.И.
- Выпуск: Том 66, № 3 (1985)
- Страницы: 202-204
- Раздел: Теоретическая и клиническая медицина
- Статья получена: 23.02.2021
- Статья одобрена: 23.02.2021
- Статья опубликована: 15.06.1985
- URL: https://kazanmedjournal.ru/kazanmedj/article/view/61639
- DOI: https://doi.org/10.17816/kazmj61639
- ID: 61639
Цитировать
Полный текст
Аннотация
Синдром диссеминированного внутрисосудистого свертывания крови (ДВС-синдром) представляет собой грозное осложнение многих патологических «состояний, при которых происходит массивная внутрисосудистая активация системы гемостаза.
Ключевые слова
Полный текст
Синдром диссеминированного внутрисосудистого свертывания крови (ДВС-синдром) представляет собой грозное осложнение многих патологических «состояний, при которых происходит массивная внутрисосудистая активация системы гемостаза. Не является исключением и такая частая разновидность нейрохирургической патологии, как закрытая черепно-мозговая травма с ушибом головного мозга, при которой нередко возникает ДВС-синдром [9, 19, 20].
Целью нашей работы являлся сравнительный анализ лабораторно-биохимических параметров гемокоагуляции и морфологических проявлений нарушений внутриорганной гемодинамики у больных с тяжелой черепно-мозговой травмой, вызвавшей развитие ДВС-синдрома.
Под нашим наблюдением находилось 86 больных с ушибами головного мозга тяжелой степени (17 женщин и 69 мужчин) в возрасте от 16 до 50 лет;' 31 из них погиб. Сдавление головного мозга диагностировано у 42 пострадавших, размоз/жение вещества головного мозга — у 28. Обследование проводили с использованием краниографии, каротидной чрескожной ангиографии, эхоэнцефалографии, лабораторных исследований ликвора и крови. У пострадавших развились следующие клинические формы ушибов головного мозга: экстрапирамидная (9), диэнцефальная (24) и мезенцефало-бульбарная (53). Состояние системы гемокоагуляции оценивали по' следующим параметрам: времени свертывания цельной крови по Ли-Уайту, времени свертывания плазмы крови при рекальцификации по методу Бергерхюфа, протромбиновому индексу по Квику, концентрации фибриногена по Рутберг, тромботесту по методу Фуэнте-Ита, фибринолитической активности по методу Ковальского, Копека и Ниверовского, пробам на растворимые комплексы фибрин-мономера (РКФМ) с 2-нафтолом по методу Каммайна и Лайонса (1948), с этанолом по методу Годала и Абильдгаарда (1966) и протаминсульфатом по методу Липински и Воровски (1968), по данным тромбоэластографии (ТЭГ) и иммунохимического определения уровня ПДФ в сыворотке крови по методу Мерскея и др. (1969). Результаты лабораторных исследований сопоставляли с контрольными значениями, полученными на крови 15 здоровых лиц (9 мужчин и 6) женщин) в возрасте от 18 до 30 лет.
У погибших проводили патогистологическое исследование почек, печени, легких и головного мозга на наличие фибрина с окраской п« Шуениновиу и Маллори.
Нарушения системы гемокоагуляции, по данным биохимических исследований, наблюдались почти у всех обследованных с ушибами головного мозга тяжелой степени. Гиперкоагулелия различной степени была обнаружена у 60 пострадавших, что совпадает с нашими прежними данными [3]. У 2 больных показатели гемокоагуляции оставались нормальными на протяжении всего срока лечения. У 24 пострадавших был диагностирован ДВС-синдром, который характеризовался следующими лабораторными признаками: удлинением времени свертывания цельной крови, снижением концентрации фибриногена, увеличением времени рекальцификации плазмы, уменьшением числа тромбоцитов, угнетением фибринолитической активности. На ТЭГ отмечалось увеличение времени реакции (R) и времени образования сгустка .(К), уменьшение максимальной амплитуды (МА). Признаки гипокоагулемии сочетались с резко положительными тестами на РКФМ, что указывало на вторичный характер гипокоагулемии, то есть на коагулопатию потребления, свойственную ДВС-
синдрому. Во всех случаях, когда лабораторные данные указывали на развитие ДВСсиндрома, наблюдалось повышение уровня ПДФ в сыворотке крови с 16 до 356 мкг/мл при норме 0—10 мкг/мл.
Клиническая картина заболевания у пострадавших с ДВС-синдромом характеризовалась, наряду с другими проявлениями острой черепно-мозговой травмы, острой почечной недостаточностью, которая выражалась олигурией, повышением уровней остаточного азота до 0,92 г/л и мочевины крови до 11,99 ммоль/л, прогрессирующим отеком головного мозга, застойными явлениями в легких. У 46% больных появлялись спонтанные носовые кровотечения, кровоточивость ран, кровоподтеки в местах инъекций, а также субарахноидальные кровоизлияния.
Клиническая картина и результаты лабораторных исследований сопоставлялись с данными патогистологического исследования, которому были подвергнуты погибшие от изолированной черепно-мозговой травмы без повреждения внутренних органов и опорно-двигательного аппарата с прижизненными признаками ДВС-синдрома. В патологоанатомическом диагнозе у всех погибших была отмечена однотипная патология: ушиб головного мозга, кровоизлияния под оболочки и в, вещество мозга, проявления отека и дислокации мозга, переломы костей свода или основания черепа, острая почечная и дыхательная недостаточность.
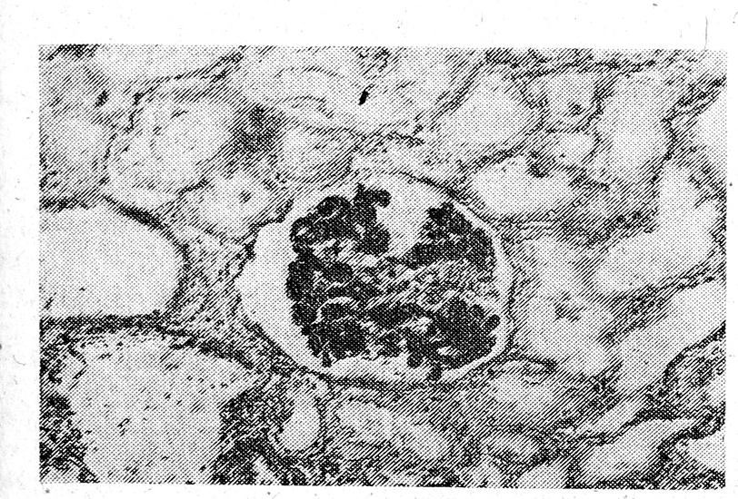
Результаты патогистологического исследования свидетельствовали о наличии комплекса расстройств гемодинамики во внутренних органах при черепно-мозговой травме. Следует отметить прежде всего выраженные признаки застойного полнокровия паренхиматозных органов, расширение просвета сосудов и заполнение их свободно расположенными эритроцитами. Однако гемоциркуляторные нарушения не ограничивались лишь признаками гиперемии. В различных отделах головного мозга, легких, печени и почек, в сосудах малого! калибра отчетливо прослеживались явления стаза и агрегации эритроцитов в виде хорошо известного сладж-феномена, реже имела место агглютинация с частичным гемолизом эритроцитов. Это могло сочетаться с транссудацией плазмы крови и выраженным периваскулярным отеком, что, как правило, наблюдалось в головном мозге. В венулах и венах легких на фоне диффузного геморрагического диатеза обнаруживались крупные агрегаты плотно упакованных эритроцитов, и одновременно с этим на внутренней поверхности сосудов в ряде случаев выявлялась положительная реакция на фибрин, что позволяло предположить наличие своеобразного феномена выстилания фибрином стенок сосудов [4а]. Однако обнаружение истинного тромбоза в микроциркуляторном русле изучаемых органов было сравнительно редким явлением. Исключение составляли лишь почки, в клубочковой капиллярной сети которых часто встречался плотно агрегированный фибрин, вызывающий полную окклюзию микроцирку ляторно го русла (рис. 1). Кроме того, в паренхиме почек постоянно обнаруживались и такие признаки ДВС-синдрома, как межуточная геморрагическая инфильтрация и некротические изменения в кортикальных отделах. В артериолах и венулах головного мозга на фоне диффузных кровоизлияний и экстравазатов, перицеллюлярного и периваскулярного отека в 'отдельных случаях имело место пристеночное расположение плотных гомогенных эозинофильных масс, дающих положительную реакцию на фибрин (рис. 2). Иногда эти массы, упакованные в гомогенные глобули, расценивались нами как гиалиновые тромбы, которые вызывали полную обтурацию микроциркуляторного русла. В то же время в сосудистых сплетениях желудочков мозга глобулярные белковые коагуляты встречались редко. В них, как и в синусоидах печени, в основном преобладало сгущение крови с образованием клеточных агрегатов. Следует также отметить, что прослеженные нарушения гемоциркуляции в различных органах нередко сочетались с выраженными изменениями самих сосудистых стенок в виде плазматического пропитывания и отека, а также набухания эндотелия.
Рис. 1. Фибриновые тромбы в капиллярах клубочка почки. Дистрофия и некроз эпителия почечных канальцев. Окраска по Маллори. Ок. 10, об. 20.
Рис. 2. Образование гиалинового тромба f в просвете артериолы головного мозга. Окраска по Шуенинову. Ок. 10, об. 20.
Результаты исследования позволяют заключить, что течение черепно-мозговой травмы у больных нередко сопровождается различными клиническими, биохимическими и морфологическими проявлениями ДВС-синдрома. Прогрессирующие расстройства гемодинамики и гемокоагуляции при черепно-мюзговой травме находились в тесной связи с тяжестью основного патологического процесса. Анализ полученных данных подтвердил существующее мнение -о том, что в основе ДВС-синдрома лежит поступление в кровоток большого количества тромбопластических веществ, прежде всего, как мы полагаем, из очагов деструкции мозгового вещества,, о чем свидетельствует повышение активности 5'-нуклеотидазы плазмы крови [1]. В наших наблюдениях явления микротромбоза были отмечены у большинства больных в виде чистых фибриновых тромбов в капиллярной сети почечных клубочков и значительно реже в виде гиалиновых тромбов в сосудах головного мозга. В результате патоморфологического исследования, несмотря на выраженные прижизненные нарушения гемоциркуляции и гемокоагуляции, в большинстве случаев выявить фибрин с помощью реакции Маллори и Шуенинова не удалось. Не исключено, что сравнительно редкое морфологическое обнаружение истинного' тромбоза в микроциркуляторном русле при черепно-мозговой травме связано с фибринолизом. Об этом свидетельствует значительное повышение уровня ПДФ во всех случаях ДВС-синдрома. На вскрытии у погибших от черепно-мозговой травмы и ДВС-синдрома часто отмечалось жидкое состояние крови в сосудах и полостях сердца с единичными рыхлыми сгустками. Непосредственная причина смерти у 6 из 19 погибших заключалась в> последствиях ДВС-синдрома в виде острой легочной и почечной недостаточности.
ВЫВОДЫ
- У 30% больных с тяжелой черепно-мозговой травмой развивается синдром диссеминированного внутрисосудистого свертывания крови.
- Основные проявления ДВС-синдрома при черепно-мозговой травме можно подразделить на клинические (острая почечная и легочная недостаточность, отек головного мозга), биохимические (сочетание глубокой гипокоагулемии с положительными пробами на растворимые комплексы фибрин-мономера и с повышением? уровня продуктов деградации фибрина в сыворотке крови) и морфологические (стаз крови, €ладж-феномен„ диффузные геморрагии в легких и головном мозге, кортикальные некрозы в почках и реже истинные гиалиновые или фибриновые тромбы).
- Прижизненные клинические и биохимические признаки ДВС-синдрома в большинстве случаев коррелируют с посмертными патологоанатомическими изменениями.
Об авторах
Е. М. Евсеев
Автор, ответственный за переписку.
Email: info@eco-vector.com
Россия
Г. М. Харин
Email: info@eco-vector.com
Россия
Р. И. Литвинов
Email: info@eco-vector.com
Россия
Список литературы
- Андрушко И. А., Евсеев Е. М. Казанский мед. ж., 1983, 1.—
- Баркаган 3. С. Геморрагические заболевания и синдромы. М., Медицина, 1980.—
- Евсеев Е. М. Казанский мед. ж., 1980, 1.—
- Зерби но Д. Д., Лукасе- вич Л. Л. а) Арх. патол., 1982, 7;—б) Там же, 1983, 12.—
- Каньшина Н. Ф. Там же, 1983, 12.—
- Пермяков Н. К. а) В кн.: Общая патология человека. М., Медицина, 1982; б) Арх. патол., 1983, 12.—
- Раби К. Локализованная и рассеянная внутрисосудистая коагуляция. Пер. с франц. М. Медицина, 1974.—
- Теодореску-Экзарку И. Общая хирургическая агрессология. Бухарест, 1972.—
- Тикк А. А., Ноормаа У. А. Анестезиол. и реаниматол., 1978, 5.—
- Шустер X., Шен- бор н X., Л а у е р X. Шок: возникновение, распознавание, контроль, лечение. Пер. с нем. М., Медицина, 1981.—
- Шутеу Ю., Бэндилэ Т., Кафрицэ А. и др. Шок. Бухарест, 1981.—
- Bleyl U. М. D. Sem. Tromb. Hemostasis, 1977, 3, 4.—
- Сиmminе H., Lyons R. N. Brit. J. Surg, 1948, 35, 377.—
- Godal H. C., Abildgaard V. Scand. J Haematol. 1966, 3, 432.—
- Hardaway R. W. Syndromes of Disseminated Intravascular Coadyltion with special Reference to shock and Haemorrhage. Springfield, 1966.—
- ipinski B., Worowski K. Trombos Diathes. haemorrh., 1968, 20, 44.—
- Merskey G. a. o. Proc. Soc. exp. Biol., 1969, 131, 875.—
- Niculin A., Gimaz-Niculin E. In: Verhandlungen Dtsch. Ges. Pathol. Stuttgart, 1976, 60, 472.—
- Preston F. E., Mali a R. G. a. e. J. Neurol. Neurosurg. Psychiat., 1974, 37, 241.—
- Smit С. T., Vecht C. J. Microcirculation, 1976, 2, 4.
Дополнительные файлы





