Микроциркуляторное русло стромы предрака и рака красной каймы нижней губы
- Авторы: Рызванов А.А., Валитов Ф.М.
- Выпуск: Том 61, № 6 (1980)
- Страницы: 47-48
- Раздел: Статьи
- Статья получена: 31.03.2021
- Статья одобрена: 31.03.2021
- Статья опубликована: 01.12.1980
- URL: https://kazanmedjournal.ru/kazanmedj/article/view/64401
- DOI: https://doi.org/10.17816/kazmj64401
- ID: 64401
Цитировать
Полный текст
Аннотация
Проведено сравнительное изучение характера морфогистохимических изменений сосудов стромы при папилломах (20 наблюдений) и плоскоклеточном раке красной каймы нижней губы (123).
Ключевые слова
Полный текст
Проведено сравнительное изучение характера морфогистохимических изменений сосудов стромы при папилломах (20 наблюдений) и плоскоклеточном раке красной каймы нижней губы (123).
В работе использован биопсийный материал, полученный в стоматологической поликлинике КГМИ им. С. В. Курашова и в Республиканском онкологическом диспансере. Необходимо отметить, что папилломы встречались у людей различного возраста, преимущественно у женщин; раковые опухоли выявлялись у больных в возрасте от 40 лет и старше, чаще у мужчин. Ни один из больных не подвергался ранее специфическому лечению.
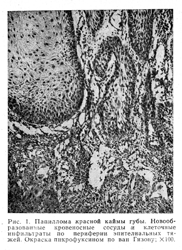
Все папилломы были фиброэпителиальными опухолями. Они состояли из соединительнотканной основы, имеющей вид разросшихся сосочков, покрытых эпителием. В соединительнотканных сосочках непосредственно на границе с эпителиальными тяжами кровеносные сосуды представлены щелевидной формы полостями, выстланными одним слоем эндотелиальных клеток, ядра которых выбухают в просвет сосудов и интенсивно закрашиваются по Фейльгену. Периваскулярная ткань при окраске по ван Гизону приобретает ярко-красный цвет, при импрегнации серебром дает нежную сеть аргирофильных волокон. Окраска толуидиновым синим при pH 4,8 выявляет слабую метахромазию; окраска препаратов по Мак-Манусу дает ШИК-положительную реакцию. Эластические волокна отсутствуют в тех участках препарата, где отчетливо определяется метахромазия, а плотность клеточных инфильтратов высока.
Стенки сосудов глубоко лежащих слоев стромы склерозированы и имеют разволокненную, местами выпрямленную эластическую мембрану (рис. 1).
Сравнительное изучение рака губы с учетом гистологических разновидностей его показало, что раковая опухоль при внешнем осмотре представляет собой плотный, покрытый серовато-бурой корочкой или роговыми массами узел величиной до 3 см в диаметре, гистологически состоящий из тяжей и ячеек раковых клеток, которые отделяются друг от друга прослойками соединительной ткани.
В глубоко лежащих слоях стромы ороговевающего рака сосуды имеют неправильную форму и выстланы эндотелиальными клетками с веретенообразными ядрами. Сосудистая стенка проявляет слабую метахромазию при окраске толуидиновым синим с pH красителя 4,8, но интенсивно окрашивается по методу Мак-Мануса в розовый цвет. Описываемая картина характерна и для сосудов соответствующих участков стромы неороговевающей формы рака.
Таким образом, морфология сосудов глубоких слоев стромы предрака и двух форм плоскоклеточного рака нижней губы почти однотипна (рис. 2).
Капилляры, расположенные непосредственно у скоплений раковых клеток, имеют вид щелей с однослойным эндотелием. Ядра эндотелиальных клеток округлой формы и содержат умеренное ороговевающей формы активации эпителиального пласта папиллом количество сосудов в сосочках, где наблюдается накопление кислых гликозамингликанов, значительно увеличивается. Одновременно происходит и повышение активности ТПФ.
Другим не менее важным моментом является и то, что в процессе дальнейшего роста опухоли характер морфогистохимических изменений в микроциркуляторном русле зависит от гистологической формы рака губы. Так, при ороговевающей форме можно обнаружить двухэтапность изменений ангиоархитектоники сосудов и активности ферментов в них. На начальном этапе формирующейся опухоли отмечается увеличение количества сосудов с высокой активностью ЩФ в их стенках; в последующем, со снижением активности ЩФ и накоплением нейтральных мукополисахаридов, происходит склерозирование сосудов. Для неороговевающей формы характерны менее дифференцированная сеть кровеносных сосудов стромы опухоли и более высокая активность ЩФ эндотелия предсуществующих сосудов как результат повышения обменных процессов в ходе прогрессии опухоли.
Полученные нами данные показали, что волнообразность течения плоскоклеточного рака красной каймы нижней губы определяется сосудистыми изменениями стромы. Причина их нуждается в дальнейшем изучении.
Об авторах
А. А. Рызванов
Автор, ответственный за переписку.
Email: info@eco-vector.com
Кандидат медицинских наук
РоссияФ. М. Валитов
Email: info@eco-vector.com
Россия
Список литературы





