Применение рентгеновской компьютерной томографии с внутрикишечным контрастированием для дифференциальной диагностики язвенного колита и болезни крона
- Авторы: Хидиятов И.И.1,2, Амирова Д.Х.1,2, Куляпин А.В.1,2, Панферов В.О.1,2, Тейтельбаум А.А.1,2
-
Учреждения:
- Башкирский государственный медицинский университет
- Городская клиническая больница № 21
- Выпуск: Том 80, № 2 (1999)
- Страницы: 123-124
- Раздел: Статьи
- Статья получена: 27.04.2021
- Статья одобрена: 27.04.2021
- Статья опубликована: 25.03.1999
- URL: https://kazanmedjournal.ru/kazanmedj/article/view/66462
- DOI: https://doi.org/10.17816/kazmj66462
- ID: 66462
Цитировать
Полный текст
Аннотация
Сравнительно частой патологией толстого кишечника являются его воспалительные заболевания, среди которых особое место занимают неспецифический язвенный колит и болезнь Крона. Этими тяжелыми заболеваниями страдают сотни тысяч людей. В настоящее время наблюдается рост числа больных с их осложненными формами. Частота язвенного колита составляет 1—7, а болезни Крона — 3—4 на 10000 населения.
Ключевые слова
Полный текст
Сравнительно частой патологией толстого кишечника являются его воспалительные заболевания, среди которых особое место занимают неспецифический язвенный колит и болезнь Крона. Этими тяжелыми заболеваниями страдают сотни тысяч людей. В настоящее время наблюдается рост числа больных с их осложненными формами. Частота язвенного колита составляет 1—7, а болезни Крона — 3—4 на 10000 населения [5].
При болезни Крона изолированное поражение толстой кишки возникает в 25% случаев. Соотношение заболеваемости язвенным колитом и грануломатозном колитом варьирует от 10:1 до 1,5:1 [1, 3]. По последним данным, соотношение изменилось в сторону увеличения числа больных с болезнью Крона, что, по-видимому, связано с более квалифицированным обследованием. Язвенный колит и болезнь Крона очень сходны по клинической картине и течению, но отличаются морфологическими проявлениями, требуют различных методов лечения, имеют разный прогноз [3, 4]. Поэтому весьма важной представляется их своевременная дифференциальная диагностика.
При диагностике воспалительных заболеваний толстой кишки одним из наиболее информативных методов является контрастное рентгенологическое исследование — ирригография, позволяющая оценивать состояние толстой кишки, выявлять осложнения, а в ряде случаев — проводить дифференциальную диагностику и документально контролировать развитие заболевания. При язвенном колите выявляются равномерное сужение просвета толстой кишки, сглаженность или отсутствие гаустрации, изменение рельефа слизистой оболочки. В тяжелых случаях могут наблюдаться двойной контур, дефекты наполнения, укорочение кишечника. При болезни Крона чаще, чем при язвенном колите, имеют место сегментарное поражение кишечника и сужение просвета. Ее характерным рентгенологическим признаком является поражение типа “булыжной мостовой”, при этом чем выраженнее воспалительный процесс, тем отчетливее определяется этот признак, обусловленный глубокими язвами, проходящими в слизистой оболочке поперечно и продольно. Многие исследователи считают, что в большинстве случаев на основании рентгенологических данных невозможно дифференцировать язвенный колит и болезнь Крона, так как границы поражения выявляются недостаточно ясно, невозможно определить состояние стенки кишечника и выраженность воспаления [1, 3]. Однако при тяжелой атаке язвенного колита и болезни Крона проведение ирригографии и колоноскопии противопоказано, так как они могут привести к таким серьезным осложнениям, как токсическая дилатация кишечника и перфорация [1, 2].
С целью повышения информативности рентгенологических методов исследования при использовании их в диагностике воспалительных заболеваний толстой кишки, в том числе в дифференциальной диагностике язвенного колита и болезни Крона, а также для предупреждения указанных осложнений нами была применена рентгеновская компьютерная томография с внутрикишеч- ным контрастированием (РКТВК). В качестве контраста использовали 5% настой чая в количестве 500—700 мл, который вводили ректально. Тяжелым больным с частым жидким стулом предварительная подготовка кишечника не проводилась. У 22 из 27 обследованных ранее был установлен диагноз язвенного колита, у 5 — болезнь Крона (соотношение — 4,4 : 1). Результаты исследований показали, что РКТВК позволяет достаточно информативно оценивать состояние толстой кишки и проводить дифференциальную диагностику. Так, у 2 больных, имевших ранее диагноз язвенного колита, была установлена болезнь Крона, и соотношение числа данных заболеваний составило уже 2,9: 1. Новый диагноз был подтвержден результатами морфологических исследований.
Применение настоя чая при РКТВК позволяет достаточно объективно оценивать состояние всех отделов толстой кишки, не искажая изображения (наводки) и не вызывая раздражения кишечника. Больные легко переносят исследование, осложнений не наблюдается. РКТВК дает возможность более точно определять границы поражения, состояние толстой кишки, степень сужения кишечника, его проходимость. При сканировании у больных язвенным колитом обнаруживались характерное равномерное сужение диаметра толстой кишки, исчезновение гаустр, утолщение складок, отек слизистой оболочки.
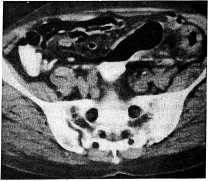
Рис. 1. Томограмма при язвенном колите, осложненном токсической дилатацией. Выявляются увеличение диаметра толстой кишки, утолщение и двойной контур кишечной стенки.
При патологическом сужении диаметра поперечного сечения левого фланга толстой кишки у 8 больных наблюдалось компенсаторное расширение диаметра поперечного сечения правого фланга. У 4 больных с тяжелой формой язвенного колита и признаками токсической дилатации выявлялся двойной контур кишечной стенки (рис. 1), что было связано, по-видимому, со значительным отеком слизистой оболочки и десквамацией эпителия, при этом площадь просвета кишечника значительно увеличивалась. У 3 больных РКТВК позволила обнаружить в просвете кишечника полипообразные разрастания в виде спикул (псевдополипы). У одного больного была определена не выявленная ранее при ирригоскопии и колоноскопии опухоль поперечной ободочной кишки, имевшая инфильтративный рост. Диагноз аденокарциномы подтвердился при оперативном лечении и гистологическом исследовании.
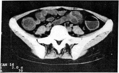
При болезни Крона у больных отмечалось значительное (до 1,5 см) утолщение стенки кишечника, но при этом оно было однородным, без двойного контура. Утолщение стенки кишечника, в отличие от такового при инфильтративном раке, носило эксцентричный, сегментарный характер. Просвет кишечника в пределах пораженного сегмента имел суженный извитый зигзагообразный ход. При сканировании он напоминал свинцовую трубку, что было связано с глубокими продольными трещинами в стенке кишечника (рис. 2).
Рис. 2. Томограмма при болезни Крона. Патологический процесс располагается в нисходящем отделе толстой кишки. Просвет кишечника сужен (“свинцовая трубка”). Стенка кишечника значительно утолщена.
При болезни Крона с помощью РКТВК у 2 больных были выявлены дивертикулоподобные выпячивания стенки кишечника. В результате все эти признаки позволили у 2 больных исключить язвенный колит и установить болезнь Крона. Значительным преимуществом РКТВК по сравнению с ирригографией была возможность определения состояния других органов брюшной полости. Так, у 2 больных была установлена желчнокаменная болезнь, у 2 — мочекаменная, у одной — нефроптоз, у одного — метастазы опухоли в печени. При наших исследованиях осложнений при проведении РКТВК ни у одного больного не возникло.
Итак, применение рентгеновской компьютерной томографии с внутрикишечным контрастированием позволяет достаточно информативно оценивать состояние толстой кишки и окружающих органов и тканей, проводить дифференциальную диагностику язвенного колита и болезни Крона, не вызывая осложнений.
Об авторах
И. И. Хидиятов
Башкирский государственный медицинский университет; Городская клиническая больница № 21
Автор, ответственный за переписку.
Email: info@eco-vector.com
Кафедра хирургических болезней № 2
Россия, Уфа; УфаД. Х. Амирова
Башкирский государственный медицинский университет; Городская клиническая больница № 21
Email: info@eco-vector.com
Кафедра хирургических болезней № 2
Россия, Уфа; УфаА. В. Куляпин
Башкирский государственный медицинский университет; Городская клиническая больница № 21
Email: info@eco-vector.com
Кафедра хирургических болезней № 2
Россия, Уфа; УфаВ. О. Панферов
Башкирский государственный медицинский университет; Городская клиническая больница № 21
Email: info@eco-vector.com
Кафедра хирургических болезней № 2
Россия, Уфа; УфаА. А. Тейтельбаум
Башкирский государственный медицинский университет; Городская клиническая больница № 21
Email: info@eco-vector.com
Кафедра хирургических болезней № 2
Россия, Уфа; УфаСписок литературы
- Антонович В.Б. Рентгенодиагностика заболеваний пищевода, желудка, кишечника. — М., 1987.
- Балтайтис Ю.В., Кушнир В.Е., Корсуновский А.И. Неспецифический язвенный колит. — Киев, 1986.
- Левитан М.Х., Федоров В.О., Капуллер Л.Л. Неспецифические колиты. — М., 1980.
- Федоров В.Д., Дульцев В.Ю. Проктология. — М., 1984.
- Фролькис А.В. Заболевания желудочно- кишечного тракта и наследственность. — СПб., 1995.
Дополнительные файлы





