Регионарные лимфатические узлы и гематогенное метастазирование рака
- Авторы: Цыплаков Д.Э.1
-
Учреждения:
- Казанский государственный медицинский университет
- Выпуск: Том 102, № 5 (2021)
- Страницы: 757-764
- Раздел: Обмен клиническим опытом
- Статья получена: 26.05.2021
- Статья одобрена: 22.07.2021
- Статья опубликована: 13.10.2021
- URL: https://kazanmedjournal.ru/kazanmedj/article/view/71025
- DOI: https://doi.org/10.17816/KMJ2021-757
- ID: 71025
Цитировать
Аннотация
Цель. Морфологическое изучение кровеносного микроциркуляторного русла регионарных к раковой опухоли лимфатических узлов как возможного пути дополнительного или альтернативного метастазирования.
Методы. Были изучены лимфатические узлы 150 онкологических больных (всего 1263 узла), регионарные к раку различной локализации. Изготавливали гистологические срезы, которые окрашивали гематоксилином и эозином, по Ван-Гизону, пиронином по Браше, толуидиновым синим и по пикро-Маллори. Иммуногистохимическое исследование проводили с использованием моноклональных антител против пан-цитокератинов, CD31, коллагена IV типа, CD3, CD20 и CD68. При помощи морфометрической сетки определяли площадь метастазов в лимфатических узлах, в зависимости от величины которой были выделены четыре группы исследования. Кроме того, в каждой группе учитывали характер иммуноморфологических реакций лимфатических узлов.
Результаты. Установлено, что, кровеносное микроциркуляторное русло лимфатических узлов может вовле¬каться в метастатический процесс наряду с лимфатическими путями. При этом происходят снижение функциональной активности сосудистых стенок и нарушение реологических свойств крови, что сопровождается отложением внутри- и внесосудистого фибрина. На гематогенное метастазирование во многом влияет состояние синусов лимфатических узлов, в которых обнаруживается кровь, а в ряде наблюдений — экспрессия CD31 (маркёра кровеносного эндотелия). Гематогенная диссеминация рака чаще начинается после появления метастазов в лимфатических узлах. При этом чем больше объём поражения лимфатических узлов, тем чаше клетки опухоли присутствуют в кровеносных сосудах. Кроме того, было выявлено изолированное поражение кровеносного микроциркуляторного русла с наличием клеток опухоли в экстранодальных сосудах при отсутствии метастазов в самом лимфатическом узле. Отмечено, что инвазия клеток опухоли в кровеносное микроциркуляторное русло зависела от характера иммуноморфологических реакций лимфатических узлов.
Вывод. Кровеносное микроциркуляторное русло регионарных лимфатических узлов может быть как дополнительным, так и альтернативным путём лимфогенного метастазирования рака; при этом сосудистая инвазия сопровождается нарушениями микроциркуляции и зависит от объёма метастазов и характера иммуноморфологических реакций лимфатических узлов.
Полный текст
Состояние регионарных к раковой опухоли лимфатических узлов (ЛУ) служит важнейшим критерием при определении тактики хирургического вмешательства, в частности для определения объёма лимфодиссекции [1]. Кроме того, прогноз заболевания во многом определяется отсутствием или наличием метастазов, их размером и характером иммуноморфологических реакций ЛУ [2].
Лимфогенный путь метастазирования достаточно подробно изучен. Так, установлено [3], что опухолевые клетки попадают в ЛУ через приносящие лимфатические сосуды, затем проникают в краевой синус и оттуда распространяются по промежуточным синусам на корковое, а потом мозговое вещество. В дальнейшем метастазы появляются в эфферентных лимфатических сосудах и распространяются далее по лимфатической системе. В то же время, нельзя игнорировать наличие в ЛУ хорошо развитой системы кровеносного микроциркуляторного русла, которая может сообщаться с лимфатическими путями через краевой синус и интранодальные вены.
О тесной взаимосвязи лимфатической и кровеносной систем ЛУ свидетельствует тот факт, что в определённых условиях происходит сосудистая трансформация синусов с образованием анастомозирующих каналов, выстланных эндотелием, имеющим признаки, характерные для кровеносных сосудов [4]. Данное явление может наблюдаться и в ЛУ, регионарных к раковой опухоли. Кроме того, известно, что в ЛУ при развитии рака возникают выраженные микроциркуляторные расстройства, нарастающие в процессе метастазирования [5]. Таким образом, нельзя исключить возможность гематогенного распространения опухоли из регионарных ЛУ.
Цель настоящего исследования — морфологическое изучение кровеносного микроциркуляторного русла регионарных к раковой опухоли ЛУ как возможного пути дополнительного или альтернативного метастазирования.
Были изучены ЛУ 150 онкологических больных (всего 1263 ЛУ), регионарные к раку желудка, лёгкого, молочной железы, толстой кишки и пищевода. Использовали как операционный материал, так и полученный из архива парафиновых блоков Казанского республиканского онкологического центра. В качестве контроля послужили ЛУ соответствующих локализаций 10 практически здоровых людей, погибших от случайных причин (судебно-медицинские вскрытия).
Свежий материал фиксировали в 10% нейтральном формалине по Лилли или жидкости Боуэна. Согласно общепринятой методике [6], после соответствующей проводки образцов, обезвоживания и заливки в парафин изготавливали гистологические срезы, которые окрашивали гематоксилином и эозином, по Ван-Гизону, пиронином по Браше и толуидиновым синим. Применяли модифицированную окраску пикро-Маллори на фибрин [7], позволяющую дифференцировать его на «молодой», «зрелый» и «старый». Иммуногистохимическое исследование [8] проводили с помощью набора моноклональных антител (МКАТ), характеристика которых представлена в табл. 1.
Таблица 1. Характеристика первых антител
Антиген | Клон | Специфичность | Рабочее разведение | Фирма-производитель |
Пан-цитокератины | AE1/AE3 | Эпителиальные клетки | 1:300 | Lab Vision |
CD31 | 9611 | Эндотелий кровеносных сосудов | 1:20 | BioGenex |
Коллаген IV | PHM-12 + CIV22 | Базальные мембраны | 1:150 | Lab Vision |
CD3 | SP7 | Т-лимфоциты | 1:150 | Lab Vision |
CD20 | L26 | В-лимфоциты | 1:250 | Lab Vision |
CD68 | PGM1 | Макрофаги | 1:200 | BioGenex |
Связывание первых антител с клеточными и структурными элементами проводили при помощи стандартного биотин-стрептавидин-пероксидазного метода (DAKO: LSAB® + System-HRP, код K0690) с диаминобензидином в качестве хромогена и дополнительной окраской гаматоксилином Майера. При помощи морфометрической сетки случайного шага [9] определяли площадь метастазов в ЛУ.
Для исследования были выделены следующие группы:
1) непоражённые ЛУ;
2) ЛУ с наличием изолированных клеток опухоли или их кластеров;
3) ЛУ с микрометастазами (менее 10% площади ЛУ);
4) ЛУ с метастазами различного объёма (более 10% площади ЛУ);
5) тотальное замещение ЛУ метастазами.
Кроме того, в каждой группе учитывали характер иммуноморфологических реакций ЛУ:
1) паракортикальная гиперплазия с высоким содержанием Т-клеток;
2) фолликулярная гиперплазия с высоким содержанием В-клеток и плазматизацией;
3) синусный гистиоцитоз с высоким содержанием макрофагов;
4) нестимулированный ЛУ без морфологических проявлений иммунного ответа.
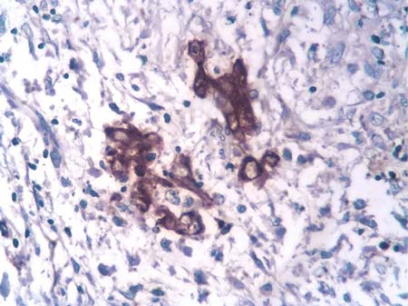
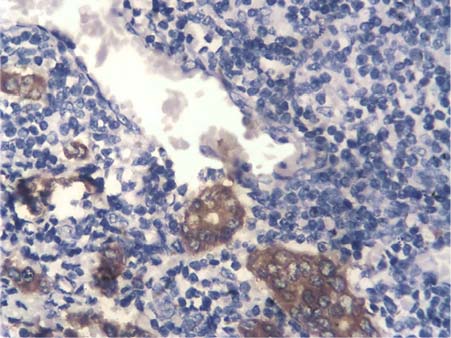
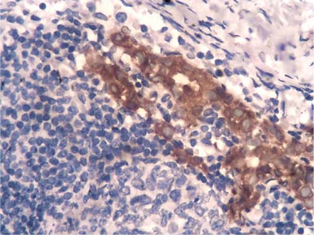
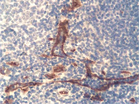
В результате изготовления серийных срезов с реакцией МКАТ против пан-цитокератинов был выявлен 551 непоражённый ЛУ, 38 — с наличием изолированных клеток опухоли или их кластеров (рис. 1), 122 — с микрометастазами (рис. 2), 479 — с метастазами различного объёма и 73 ЛУ, полностью замещённых опухолевой тканью. В двух последних случаях метастазы хорошо определялись и без иммуногистохимического исследования. Сеть кровеносного микроциркуляторного русла ЛУ выявлялась по экспрессии МКАТ против CD31 в эндотелии и против коллагена IV типа в базальных мембранах сосудов (рис. 3).
Рис. 1. Изолированные клетки опухоли и их кластеры. Реакция с моноклональными антителами против пан-цитокератинов. LSAB-метод с докраской гематоксилином. ×400
Рис. 2. Микрометастаз в субкапсулярном синусе. Реакция с моноклональными антителами против пан-цитокератинов. LSAB-метод с докраской гематоксилином. ×400
Рис. 3. Экспрессия CD31 в эндотелии кровеносных сосудов. LSAB-метод с докраской гематоксилином. ×400
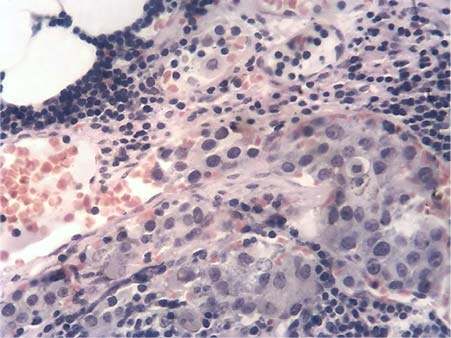
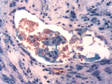
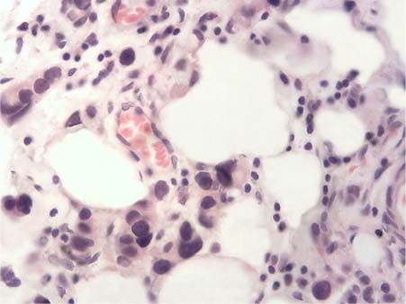
Во всех наблюдениях в той или иной степени были выражены микроциркуляторные расстройства, прогрессировавшие в зависимости от степени метастатического поражения ЛУ. Сосуды были полнокровны, стенки их отёчны, зачастую с явлениями мукоидного набухания. Нарушалась нормальная структура эндотелиальной выстилки и базальных мембран, что определялось с помощью МКАТ против CD31 и коллагена IV типа. В 289 ЛУ (22,88% всех наблюдений) синусы содержали кровь, что никогда не обнаруживалось в норме (рис. 4). Часто, особенно при наличии в ЛУ крупных метастазов, массы эритроцитов располагались в лимфоидной ткани вне сосудов или синусов. В участках таких кровоизлияний находились конгломераты опухолевых клеток (рис. 5). При этом в ряде случаев эндотелий синусов давал положительную реакцию с МКАТ против CD31 — эндотелиального маркёра кровеносных сосудов (рис. 6).
Рис. 4. Синусы, заполненные кровью. Окраска гематоксилином и эозином. ×200
Рис. 5. Конгломераты опухолевых клеток среди эритроцитов. Окраска гематоксилином и эозином. ×200
Рис. 6. Экспрессия CD31 в эндотелии синуса. LSAB-метод с докраской гематоксилином. ×400
Как в просвете кровеносных сосудов, так и за его пределами происходило отложение фибрина, объём которого увеличивался соответственно этапам метастазирования в ЛУ. Иногда, ещё до появления метастазов в ЛУ, фибрин обнаруживался в значительном количестве и в синусах (рис. 7). При наличии крупных метастазов и тотальном поражении ЛУ фибрин окружал клетки как опухоли, так и ЛУ, зачастую отграничивая их друг от друга (рис. 8).
Рис. 7. Синусы, содержащие фибрин. Окраска по пикро-Маллори. ×200
Рис. 8. Клетки опухоли и лимфатического узла в окружении внесосудистого фибрина. Окраска по пикро-Маллори. ×200
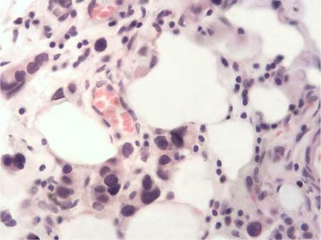
Изучение метастатического поражения кровеносного микроциркуляторного русла выявило 2 (0,36%) случая наличия клеток опухоли в окружающей фиброзно-жировой клетчатке и экстранодальных сосудах ЛУ, свободных от метастазов (рис. 9, диаграмма 1). Гистологическая картина самого ЛУ при этом была без морфологических проявлений иммунного ответа — паракортикальной и фолликулярной гиперплазии или синусного гистиоцитоза (диаграмма 2).
Рис. 9. Клетки опухоли в окружающей фиброзно-жировой клетчатке и экстранодальных кровеносных сосудах лимфатического узла, свободного от метастазов. Окраска гематоксилином и эозином. ×400
Диаграмма 1. Частота поражения кровеносного микроциркуляторного русла лимфатических узлов (ЛУ) на различных этапах метастазирования (%)
Диаграмма 2. Частота поражения кровеносного микроциркуляторного русла лимфатических узлов (ЛУ) в зависимости от характера иммуноморфологических реакций (%)
При наличии в ЛУ изолированных клеток опухоли эти клетки были выявлены в просвете интранодального кровеносного сосуда в одном наблюдении. ЛУ при этом также не имел признаков антигенной стимуляции.
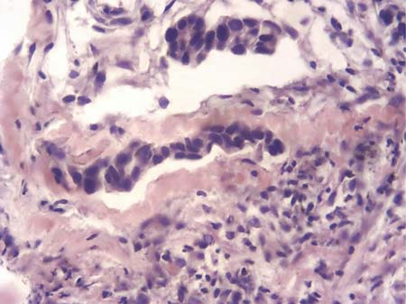
При появлении микрометастазов в ЛУ поражение кровеносного микроциркуляторного русла определено в 4 (3,28%) случаях. Во всех наблюдениях это были интранодальные сосуды коркового вещества (рис. 10). Иммуноморфологическая картина в одном наблюдении соответствовала нестимулированному ЛУ, а в других трёх случаях имела место фолликулярная гиперплазия с высоким содержанием В-клеток и плазматизацией. Это несмотря на то, что в ЛУ без метастазов, с наличием изолированных клеток опухоли и их кластеров, а также микрометастазов в большинстве случаев наблюдались паракортикальная гиперплазия и синусный гистиоцитоз, и ни в одном наблюдении при такой картине ЛУ не было инвазии клеток опухоли в кровеносные сосуды.
Рис. 10. Клетки опухоли в просвете интранодальных кровеносных сосудов лимфатического узла с микрометастазами. Окраска гематоксилином и эозином. ×400
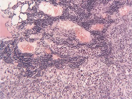
Наличие метастазов различного объёма, занимающих площадь более 10% среза ЛУ, значительно увеличивало частоту вовлечения в метастатический процесс кровеносного микроциркуляторного русла. Так, в просвете сосудов, преимущественно интранодальных, опухолевые клетки обнаруживались в 32 (6,68%) из 479 ЛУ. Метастазы чаще всего проникали в вены коркового вещества из субкапсулярного синуса (рис. 11), реже в сосуды мозгового вещества из промежуточных синусов (рис. 12), что происходило на фоне углубления микроциркуляторных расстройств и сопровождалось отложением внутри- и внесосудистого фибрина.
Рис. 11. Проникновение клеток опухоли в вены коркового вещества из субкапсулярного синуса. Окраска гематоксилином и эозином. ×400
Рис. 12. Проникновение клеток опухоли в сосуды мозгового вещества из промежуточных синусов. Реакция с моноклональными антителами против пан-цитокератинов. LSAB-метод с докраской гематоксилином. ×400
Особо следует отметить тот факт, что в сети из фибрина часто находились опухолевые клетки в просвете кровеносных сосудов (рис. 13).
Рис. 13. Опухолевые клетки в просвете кровеносного сосуда, находящиеся в сети из фибрина. Окраска по пикро-Маллори. ×400
Оценка иммуноморфологических реакций ЛУ показала, что вовлечение в метастатический процесс кровеносного микроциркуляторного русла в половине всех наблюдений (50,00%) происходило при фолликулярной гиперплазии с высоким содержанием В-клеток и плазматизацией или при нестимулированном ЛУ (37,50%). Значительно реже имели место паракортикальная гиперплазия с высоким содержанием Т-клеток (3,13%) и синусный гистиоцитоз с высоким содержанием макрофагов (9,38%). Подобная морфологическая картина была характерна и для всех ЛУ данной группы вне зависимости от вовлечения сосудов. При наличии метастазов чаще преобладали проявления гуморальных иммунных реакций. Так, гиперплазированные фолликулы с крупными реактивными центрами сохранялись даже в плотном окружении опухолевой тканью.
При тотальном замещении ЛУ метастазами кровеносные сосуды были поражены уже в 8,22% наблюдений (рис. 14). При этом их зачастую было трудно отличить от синусов, поскольку они не только содержали эритроциты, но в ряде случаев экспрессировали МКАТ против CD31.
Рис. 14. Клетки опухоли в просвете синусов и кровеносных сосудов лимфатического узла, замещённого метастазами. Окраска гематоксилином и эозином. ×200
Таким образом, как показали наши исследования, кровеносное микроциркуляторное русло ЛУ может быть вовлечено в метастатический процесс наряду с лимфатическими путями. Ранее было показано [10], что сосуды в ЛУ, регионарных к раковой опухоли, резко полнокровны, просвет их расширен, стенки отёчны, с низкой фосфатазной активностью и явлениями мукоидного набухания. Также нарушена структура ретикулиновых волокон и эластических мембран.
Наряду с этими изменениями, характеризующими снижение функциональной активности сосудистых стенок, происходит нарушение реологических свойств крови, намечается тенденция к внутрисосудистому свёртыванию, о чём свидетельствует отложение фибрина в просвете сосудов. Кроме того, массы фибрина располагаются и экстраваскулярно в лимфоидной ткани.
Установлено [11], что эти процессы прогрессируют в зависимости от стадии заболевания, а фибрин способствует закреплению в ЛУ метастазов, обеспечивая консолидацию и питание клеток опухоли, а также предохраняя их от цитотоксического действия иммунокомпетентных клеток ЛУ. Однако в предыдущих исследованиях подобные микроциркуляторные расстройства не рассматривали в плане гематогенного метастазирования. Как нам удалось установить, описанные изменения кровеносного микроциркуляторного русла ЛУ сопровождают появление клеток опухоли в кровеносных сосудах.
На гематогенное метастазирование во многом влияет состояние синусов ЛУ. Как уже было указано, кровеносное микроциркуляторное русло ЛУ через интранодальные вены связано с субкапсулярным синусом. Кроме того, при развитии рака синусы могут подвергаться сосудистой трансформации и содержать массы эритроцитов. T. Yin и соавт. [12] в результате исследования 1322 ЛУ при раке желудка в 809 случаях обнаружили синусы, содержащие кровь, которая отсутствовала в ЛУ здоровых людей. При этом синусы в ряде наблюдений экспрессировали CD31 — маркёр кровеносного эндотелия. В нашем исследовании мы также обнаружили наличие масс эритроцитов в синусах, хотя и в меньшем числе наблюдений (289 ЛУ из 1263). Установлена и сосудистая трансформация синусов с экспрессией МКАТ против CD31. Наличие клеток опухоли в кровеносных сосудах, как правило, сопровождалось подобными изменениями синусов. Мы полностью разделяем точку зрения T. Yin и соавт., что лимфогенный и гематогенный пути метастазирования взаимосвязаны и неразрывны.
Особого обсуждения требует вопрос о возможности альтернативного гематогенного метастазирования через ЛУ. Согласно экспериментальным данным, здесь возможно два варианта:
1) опухолевые клетки, не задерживаясь в ЛУ, проникают в систему кровообращения и формируют отдалённые метастазы;
2) сначала метастаз формируется в ЛУ, а уже затем через экстранодальные вены происходит гематогенная диссеминация.
Большинство исследователей склоняются ко второму варианту. Так, A. Coste и соавт. [13] при изучении метастазирования рака молочной железы у мышей доказали, что ЛУ способны к гематогенной диссеминации раковых клеток в отдалённые участки. E.R. Pereira и соавт. [14] при изучении той же локализации рака у мышей обнаружили, что опухолевые клетки могут проникать в местные кровеносные сосуды внутри ЛУ, выходить из него, поступать в систему кровообращения, а затем колонизировать лёгкое. Механизм такого метастазирования обусловлен тем, что экстранодальные вены сообщаются с интранодальными через ветви, проникающие в капсулу ЛУ, а опухолевые клетки из краевого синуса попадают в эти сообщающиеся вены и далее гематогенно распространяются.
На основании проведённых исследований мы также считаем, что гематогенная диссеминация рака чаще начинается после появления метастазов в ЛУ. При этом чем больше объём поражения ЛУ, тем чаще клетки опухоли присутствуют в кровеносных сосудах. Так, при наличии в ЛУ единичных опухолевых клеток инвазия кровеносного микроциркуляторного русла произошла в 2,63% случаев, при наличии микрометастазов — в 3,28%, крупных метастазов — в 6,68%, при тотальном замещении ЛУ — в 8,22%.
В то же время нельзя исключать возможность проникновения клеток опухоли в систему кровообращения без их закрепления в ЛУ. Мы выявили изолированное поражение кровеносного микроциркуляторного русла с наличием клеток опухоли в экстранодальных сосудах при отсутствии метастазов в самом ЛУ только в 2 (0,36%) случаях. Однако этот факт нельзя игнорировать, особенно при исследовании сторожевого, или сигнального, ЛУ, от состояния которого зависит объём лимфодиссекции [15]. Так, полученные T. Kodama и соавт. [16] данные свидетельствуют о возможности гематогенного метастазирования из ЛУ на ранней стадии заболевания, когда не удаётся обнаружить клетки опухоли в ЛУ путём стандартной диагностической визуализации или аспирационной биопсии. Авторы делают вывод, что ложно оценённый как N0 ЛУ может быть источником гематогенного метастазирования.
Изучение характера иммуноморфологических реакций ЛУ показало, что инвазия клеток опухоли в кровеносное микроциркуляторное русло происходило либо при нестимулированном ЛУ (37,50%), либо при наличии фолликулярной гиперплазии с высоким содержанием В-клеток и плазматизацией (50,0%). Значительно реже имели место паракортикальная гиперплазия с высоким содержанием Т-клеток (3,13%) и синусный гистиоцитоз с высоким содержанием макрофагов (9,38%). Это обусловлено тем фактом, что Т-клеточная и макрофагальная реакции способны предотвращать или сдерживать процесс метастазирования, а высокая активность В-лимфоцитов с плазматизацией может ему способствовать за счёт блокирующего действия гуморальных антител на цитотоксичность клеток-эффекторов [17]. Таким образом, при оценке поражения кровеносного микроциркуляторного русла ЛУ необходимо оценивать и реакцию окружающей лимфоидной ткани.
Выводы
- Кровеносное микроциркуляторное русло регионарных лимфатических узлов может быть как дополнительным, так и альтернативным путём лимфогенного метастазирования рака.
- Частота сосудистой инвазии возрастает с увеличением объёма метастазов в лимфатическом узле.
- Появление клеток опухоли в кровеносных сосудах сопровождается нарушениями микроциркуляции и зависит от характера иммуноморфологических реакций лимфатического узла.
- Наличие клеток опухоли в кровеносных сосудах возможно при их отсутствии в лимфатических сосудах и синусах лимфатического узла.
Источник финансирования. Исследование не имело спонсорской поддержки.
Конфликт интересов. Автор заявляет об отсутствии конфликта интересов по представленной статье.
Об авторах
Дмитрий Эдуардович Цыплаков
Казанский государственный медицинский университет
Автор, ответственный за переписку.
Email: Dr.AllaKazan@yandex.ru
Россия, г. Казань, Россия
Список литературы
- Kim H.J., Choi G.S. Clinical implications of lymph node metastasis in colorectal cancer: Current status and future perspectives. Ann. Coloproctol. 2019; 35 (3): 109–117. doi: 10.3393/ac.2019.06.122019.
- Бажанов А.Б., Цыплаков Д.Э. Состояние регионарных лимфатических узлов и прогноз при раке желудка. Казанский мед. ж. 2017; 98 (3): 328–333. doi: 10.17750/KMJ2017-328.
- Carr I. Lymphatic metastasis. Cancer Metastasis Rev. 1983; 2 (3): 307–317. doi: 10.1007/BF00048483.
- Basha B.M., Hsi E.D. Immunohistochemical analysis of endothelial cells in vascular transformation of lymph node sinuses: Vascular or lymphatic differentiation? Appl. Immunohistochem. Mol. Morphol. 2019; 27 (6): 482–489. doi: 10.1097/PAI.0000000000000661.
- Цыплаков Д.Э. Изменения микроциркуляторного русла регионарных лимфатических узлов в процессе метастазирования рака. Казанский мед. ж. 1987; (1): 29–31.
- Саркисов Д.С., Перов Ю.Л. Микроскопическая техника. М.: Медицина. 1996; 544 с.
- Зербино Д.Д., Лукасевич Л.Л. Методика для определения «возраста» фибрина при синдроме диссеминированного внутрисосудистого свёртывания крови. Архив патол. 1984; (8): 72–75.
- Петров С.В., Райхлин Н.Т. Руководство по иммуногистохимической диагностике опухолей человека. Казань: DESIGNstudio «RED». 2012; 624 с.
- Стефанов С.Б. Морфометрическая сетка случайного шага как средство ускоренного измерения элементов морфогенеза. Цитология. 1974; (6): 785–787.
- Цыплаков Д.Э., Зиганшина Л.Е. Роль микроциркуляторных факторов в метастазировании рака. Вопр. онкол. 1988; (8): 932–936.
- Цыплаков Д.Э., Петров С.В. Влияние кровеносного микроциркуляторного русла на клеточный иммунный ответ в лимфатических узлах, регионарных к раковой опухоли (иммуногистохимическое и ультраструктурное исследование). Гематол. и трансфузиол. 1995; (6): 3–7.
- Yin T., Ji X.L., Shen M.S. Relationship between lymph node sinuses with blood and lymphatic metastasis of gastric cancer. World J. Gastroenterol. 2003; 9 (1): 40–43. doi: 10.3748/wjg.v9.i1.40.
- Coste A., Karagiannis G.S., Wang Y., Xue E.A., Lin Y., Skobe M., Jones J.G., Oktay M.H., Condeelis J.S., Entenberg D. Hematogenous dissemination of breast cancer cells from lymph nodes is mediated by tumor microenvironment of metastasis doorways. Front. Oncol. 2020; 10: 571100. doi: 10.3389/fonc.2020.571100.
- Pereira E.R., Kedrin D., Seano G., Gautier O., Meijer E., Jones D., Chin S.M., Kitahara S., Bouta E.M., Chang J., Beech E., Jeong H.S., Carroll M.C., Taghian A.G., Padera T.P. Lymph node metastases can invade local blood vessels, exit the node, and colonize distant organs in mice. Science. 2018; 359 (6382): 1403–1407. doi: 10.1126/science.aal3622.
- Okur O., Sagiroglu J., Kir G., Bulut N., Alimoglu O. Diagnostic accuracy of sentinel lymph node biopsy in determining the axillary lymph node metastasis. J. Can. Res. Ther. 2020; 16 (6): 1265–1268. doi: 10.4103/jcrt.JCRT_1122_19.
- Kodama T., Mori S., Nose M. Tumor cell invasion from the marginal sinus into extranodal veins during early-stage lymph node metastasis can be a starting point for hematogenous metastasis. J. Cancer Metastasis Treat. 2018; 4: 56. doi: 10.20517/2394-4722.2018.61.
- Цыплаков Д.Э., Бажанов А.Б. Морфометрическое и иммуногистохимическое исследование регионарных лимфатических узлов при раке желудка. Казанский мед. ж. 2015; 96 (6): 971–978. doi: 10.17750/KMJ2015-971.
Дополнительные файлы


















