Clinical case of coronary artery aneurysm
- Authors: Zakirova E.B.1,2, Tsybulkin N.A.3, Gaynutdinova L.I.1,2, Tukhvatullina G.V.4, Khairullin A.Z.1,2, Kurochkin S.V.1,2
-
Affiliations:
- City Clinical Hospital No. 7
- Institute of Fundamental Medicine and Biology, Kazan Federal University
- Kazan State Medical Academy, a branch of the Russian Medical Academy of Postgraduate Education
- Medical and sanitary unit of the Ministry of Internal Affairs of Russia for the Republic of Tatarstan
- Issue: Vol 103, No 3 (2022)
- Pages: 509-515
- Section: Clinical observations
- Submitted: 31.05.2021
- Accepted: 04.05.2022
- Published: 09.06.2022
- URL: https://kazanmedjournal.ru/kazanmedj/article/view/71143
- DOI: https://doi.org/10.17816/KMJ2022-509
- ID: 71143
Cite item
Full Text
Abstract
An aneurysm of a coronary artery is considered to be its expansion by 1.5 times or more over a short distance. The relevance of this pathology is determined by the severity of complications, mainly thrombotic. According to autopsies, it is detected in approximately 1.5% of all autopsies. In the majority of cases, coronary artery aneurysms are asymptomatic, but they also can cause symptoms similar to acute coronary syndrome. A rupture of the aneurysm is a rare but potentially dangerous complication of coronary artery aneurysm. The tactics of managing patients is determined by the severity of symptoms, aneurysm localization, the dynamics of the aneurysm, the presence of myocardial infarction in the area of the altered artery blood supply, the risk of surgical intervention, the distribution and degree of atherosclerotic changes in the coronary vessels, and the possibilities of drug therapy. Reliable diagnostic methods are coronary angiography and multidetector computed tomography. The paper describes a clinical case with patient G., aged 50, who was admitted to the emergency cardiology department with a typical picture of acute coronary syndrome, with stable hemodynamics and without echocardiographic signs of ischemia or infarction. An in-depth study of the coronary system was carried out in order to determine the prospects and the need for planned percutaneous coronary intervention. Computed tomography was performed for this purpose and revealed not only high degrees of stenosis in several coronary arteries, but also structural changes in the coronary system in the form of an aneurysm of the proximal segment of the anterior interventricular branch. The results obtained with computed tomography determined the need for coronary angiography. Its data made it possible to clarify the number, location and severity of stenotic changes in the coronary arteries, as well as to determine other localizations of aneurysms of the coronary system. The summary data of the two studies made it possible to establish that the patient had both stenosing atherosclerosis of the coronary arteries and multiple aneurysms of some arteries at the same time. It was deemed appropriate to continue conservative treatment aimed at preventing recurrence of acute coronary syndrome and thrombosis of coronary artery aneurysm, treatment of hypertension and secondary prevention of atherosclerosis. This clinical case demonstrates that the combined pathology of the coronary arteries can have clinical manifestations in the form of a single episode of acute coronary syndrome.
Keywords
Full Text
Актуальность
Аневризма коронарных артерий (АКА) — локальное расширение сегмента коронарной артерии более чем в 1,5 раза по сравнению с соседними нормальными сегментами [1]. АКА отличается от эктазии коронарной артерии (КА). Термин «эктазия КА» относится к диффузному расширению КА, превышающему более трети длины КА, при этом диаметр расширенного сегмента в 1,5 раза превышает диаметр нормального соседнего сегмента [2]. Несмотря на разницу в определении, оба вида патологии этиологически связаны с атеросклерозом КА [3].
Актуальность АКА определяется тяжестью её осложнений, которые связаны с образованием тромба вследствие аномального кровотока в аневризме и эндотелиальных факторов тромбоза. Распространённость АКА составляет 0,3–5,3% на основании ангиографических исследований. Заболеваемость выше у мужчин, чем у женщин, — 2,2% против 0,5% соответственно. Осложнения развиваются в виде тромбозов и разрывов. Хотя разрыв аневризмы — редкое явление, но это потенциально опасное осложнение АКА [1]. Аномалии КА встречаются более чем в 10% исследований с помощью коронарной ангиографии, однако АКА среди них составляют только около 0,05% [4]. Редкость данной патологии не исключает неблагоприятного исхода [5]. На распространённость АКА могут указать данные аутопсий: их выявляют в 1,5% случаев всех вскрытий [6]. До трети случаев связано с хронической ишемической болезнью сердца, инфарктом миокарда, тяжёлыми аритмиями или внезапной сердечной смертью. Клинические симптомы АКА могут варьировать от бессимптомного течения до кардиогенного шока. Проявления АКА не являются специфическими и дублируют симптомы хронической или острой ишемической болезни сердца [6].
Крупные АКА встречаются редко и обычно протекают бессимптомно, но могут вызывать такие же клинические симптомы, как острый коронарный синдром. При этом возможно небольшое повышение содержания креатинкиназы и сердечного тропонина. Однако на электрокардиограмме (ЭКГ) может не быть изменений сегмента ST, а по данным эхокардиографии нет аномального движения стенок.
Этиология и патогенез
Этиология АКА на сегодняшний день окончательно не определена. Причинами дилатации артерии может быть снижение прочности её стенки или повышение давления со стороны её просвета. Есть указания на связь АКА с атеросклерозом, возрастом старше 65 лет, мужским полом и другими факторами сердечно-сосудистого риска. Выявленные причины включают травмы, инфекции и воспалительные заболевания, а факторы риска аналогичны таковым для ишемической болезни сердца, включая курение, возраст, дислипидемию, артериальную гипертензию и собственно ишемическую болезнь сердца.
Патогенез АКА схож с механизмами развития аневризм брюшного отдела аорты, которые связаны с первичным повреждением, вызывающим каскад воспалительных реакций. При этом происходит деструкция внеклеточного матрикса протеазами, что приводит к ослаблению артериальной стенки. [7]. Разрушение стенки сосуда лежит в основе дифференциации истинных аневризм от псевдоаневризм. В последнем случае речь идёт об экстравазальном расположении контрастного препарата, а не о контрастировании просвета сосуда. Прижизненная диагностика этих состояний может быть затруднена [8]. Считают, что генетически детерминированные аневризмы аорты проявляют низкий уровень воспаления. Однако воспалительная реакция может развиться и здесь, и её степень коррелирует с тяжестью течения. При этом ключевыми медиаторами воспалительной реакции бывают пероксидазы, способствующие выработке окисленных форм биологических молекул [9].
В воспалительных изменениях, приводящих к АКА, могут играть важную роль гранзимы. Первоначально считали, что они действуют только внутриклеточно. Однако их уровень повышен у пациентов с острым коронарным синдромом, ишемической болезнью сердца и инфарктом миокарда. Они способствуют воспалению, сосудистой дисфункции, высвобождению факторов роста, расщеплению внеклеточного матрикса [10]. Повреждение интимы, характерное для атеросклеротических поражений, не может объяснить причины формирования аневризм. К причинам АКА можно отнести повышенный уровень воспалительных изменений, интенсивную лейкоцитарную инфильтрацию, локальное повышение активности протеаз [11].
Формирование АКА бывает поздним осложнением в 3–5% случаев чрескожных коронарных вмешательств. Большинство таких вмешательств связано с использованием стентов с лекарственным покрытием. Несмотря на их противовоспалительный и цитостатический эффект, такие стенты чаще становятся причиной развития АКА. Картина, аналогичная АКА, может возникать при аневризме трансплантированной подкожной вены при операции шунтирования КА [12, 13].
Наследственным или генетически детерминированным фактором могут быть синдромы системной дисплазии соединительной ткани. Генетический анализ у пациентов с АКА показал преобладание аллелей, повышающих экспрессию протеаз воспалительного происхождения, по сравнению с пациентами с бляшками без аневризм [14].
АКА также могут быть проявлением васкулита КА, который имеет широкий спектр проявлений из-за поражения коронарного русла в виде стеноза, аневризм, диссекции или тромбоза КА. По сравнению с ишемической болезнью сердца васкулит КА имеет более быстрое прогрессирование. С васкулитом КА связаны болезнь Кавасаки, артериит Такаясу, а также синдром Кавасаки при инфекции, вызванной SARS-CoV-2 [15].
Диагностика
Основным способом выявления АКА служит коронарная ангиография. Внедрение мультиспиральной компьютерной томографии (КТ) позволяет расширить спектр диагностических возможностей для выявления АКА [16]. Обычно расширение возникает в медиальных или проксимальных сегментах артерий.
Наиболее типично расположение АКА в правой КА, частота составляет около 70% всех случаев. Наличие АКА в основном стволе левой КА — более редкое (менее 0,1% аутопсий). Ветви левой КА имеют меньшую долю АКА, в пределах 50–60%. Во многих случаях АКА бывают множественными, локализуясь одновременно в бассейнах левой и правой КА. Вероятно, повышенное давление тканей миокарда левого желудочка (ЛЖ), по которому проходят ветви левой КА, предотвращает преобладание внутрисосудистого давления [17].
Лечение
Ведение пациентов с АКА не является регламентированным и основывается на индивидуальном решении врача. Основные варианты лечения следующие.
- Медикаментозное лечение и профилактика тромбообразования в полости аневризмы с использованием антикоагулянтных и антиагрегантных препаратов в стандартных схемах и дозировках.
- Стентирование сегмента артерии, содержащей аневризму.
- Хирургическое лечение, которое включает реконструкцию, резекцию или элиминацию аневризмы и перевязку с сопутствующим шунтированием КА [18].
Ключевые факторы, определяющие необходимость проведения операции, — тяжесть сопутствующего стеноза КА, симптоматика, эмболизация дистальных отделов КА и увеличение АКА с течением времени [19].
Клинический случай
Пациент Г. 50 лет с избыточной массой тела поступил в отделение неотложной кардиологии в состоянии средней тяжести, с жалобами на периодическое жжение за грудиной. Жжение присутствовало и в предшествующее время, но в день обращения за медицинской помощью его интенсивность была выше обычного.
При поступлении пациент был гемодинамически стабилен: артериальное давление 140/90 мм рт.ст., пульс 90 в минуту, частота дыхания 16 в минуту. Физикальные данные без особенностей. Постоянного предшествующего лечения не было. На ЭКГ явных признаков острой ишемии не выявлено: синусовый ритм 90 в минуту, отклонение электрической оси сердца влево, сегмент ST на изолинии.
Диагноз: «Ишемическая болезнь сердца, впервые возникшая стенокардия; гипертоническая болезнь III, риск 4. Хроническая сердечная недостаточность I, функциональный класс III». Назначено соответствующее лечение.
В общем анализе крови незначительное повышение количества эритроцитов (до 5,77×1012/л) и гематокрита (50,6%). Незначительный лейкоцитоз сохранялся в течение всего срока госпитализации (до 9,2×109/л). Анализ мочи без особенностей. В биохимическом анализе: признаки дислипидемии с небольшим повышением количества триглицеридов до 2,49 ммоль/л и липопротеинов низкой плотности до 2,29 ммоль/л. Незначительно повышенный уровень аланинаминотрансферазы (63,8 ЕД/л) в течение суток снизился до 22,0 ЕД/л. В день поступления однократно были повышены общий холестерин (6,26 ммоль/л) и глюкоза (7,1 ммоль/л). Содержание тропонина I, увеличенное в день поступления до 0,28 нг/мл, оставалось повышенным на следующий день (0,19 нг/мл). Коагулограмма в пределах нормы.
ЭКГ в течение госпитализации без отрицательной динамики. Рентгенография органов грудной клетки без особенностей.
Эхокардиография в день поступления: небольшая симметричная гипертрофия ЛЖ с преобладанием гипертрофии базального сегмента межжелудочковой перегородки (до 12 мм); диастолическая дисфункция ЛЖ I типа; эктопическая хорда в средней трети ЛЖ; нарушений регионарной сократимости не выявлено; интегральная сократимость ЛЖ сохранена, фракция выброса ЛЖ 57%.
По данным ультразвуковой допплерографии брахиоцефальных артерий: «Атеросклероз брахиоцефальных артерий, стеноз каротидной бифуркации и наружной сонной артерии справа 20–25%».
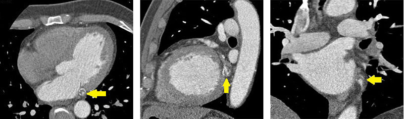
По данным КТ (Philips Ingenuity 128) на 2-е сутки госпитализации: умеренный кальциноз КА, индекс Агатстона 230; фузиформная аневризма в средней трети огибающей ветви левой КА 11×9,5 мм протяжённостью 16 мм с кальцинозом стенок и пристеночными концентрическими тромботическими массами, остаточный просвет 3,7 мм (рис. 1, 2); стеноз в проксимальной трети передней межжелудочковой ветви 50–55%, стеноз в проксимальной трети огибающей ветви левой КА 60–65%.
Рис. 1. Компьютерная томограмма, мультипланарная реконструкция. Фузиформная аневризма в средней трети огибающей ветви левой коронарной артерии с кальцинозом стенок и пристеночными концентрическими тромботическими массами (отмечена стрелкой)
Рис. 2. Компьютерная томограмма. Фузиформная аневризма в средней трети огибающей ветви левой коронарной артерии с кальцинозом стенок и пристеночными концентрическими тромботическими массами (отмечена стрелкой)
На коронарной ангиограмме (рис. 3) на 3-и сутки госпитализации: передняя межжелудочковая ветвь — аневризматическое расширение проксимального сегмента; диагональная ветвь — стеноз устья 90%; огибающая ветвь — аневризматическое расширение проксимального и медиального сегментов; правая КА — аневризматическое расширение на всём протяжении, стеноз медиального сегмента 60%; тип кровообращения — правый.
Рис. 3. Коронарная ангиография: а — аневризматическое расширение проксимального сегмента передней межжелудочковой ветви (в овале); б — аневризматическое расширение проксимального и медиального сегментов огибающей ветви (сплошные стрелки); в — аневризматическое расширение на всём протяжении (сплошные стрелки), стеноз медиального сегмента 60% (пунктирная стрелка) правой коронарной артерии
Пациент получал лечение: нитроглицерин, ацетилсалициловая кислота (аспирин), клопидогрел, метопролол, лизиноприл, аторвастатин. Вмешательства на КА в настоящее время не показаны.
Клинический диагноз: «Ишемическая болезнь сердца, впервые возникшая стенокардия с исходом в сердечную недостаточность, функциональный класс II; фузиформная аневризма в средней трети огибающей ветви левой КА, аневризматическое расширение проксимального сегмента передней межжелудочковой ветви; стеноз устья диагональной ветви 90%; аневризматическое расширение проксимального и медиального сегментов огибающей ветви; аневризматическое расширение правой КА на всём протяжении, стеноз медиального сегмента правой КА 60%. Гипертоническая болезнь III, риск 4. Хроническая сердечная недостаточность I, функциональный класс III. Атеросклероз брахиоцефальных артерий, стеноз каротидной бифуркации и наружной сонной артерии справа 20–25%».
Обсуждение
Пациент поступил с типичной картиной острого коронарного синдрома, со стабильной гемодинамикой и без ЭКГ-признаков ишемии или инфаркта. Отсутствие подъёма сегмента ST, умеренное повышение уровня тропонина I, стабильность гемодинамики и быстрое медикаментозное купирование клинических симптомов определили отсутствие показаний к тромболизису или первичному чрескожному коронарному вмешательству. Пациента вели консервативно.
Данные анамнеза, физикальные данные и результаты лабораторных тестов указывают на наличие факторов риска ишемической болезни сердца: избыточный вес, артериальная гипертензия, гипертрофия левого желудочка, дислипидемия, атеросклероз брахиоцефальных артерий, а также отчасти транзиторная гипергликемия. Помимо признаков преходящей ишемии, основной кардиологической патологией является гипертоническая болезнь, требующая систематического лечения.
Вместе с тем, у данного пациента было обоснованным углублённое исследование коронарного русла с целью определения перспективности и необходимости планового чрескожного коронарного вмешательства. Проведённая с этой целью КТ выявила не только высокие степени стеноза в нескольких КА, но также и структурные изменения коронарного русла в виде аневризмы проксимального сегмента передней межжелудочковой ветви. Метод КТ позволил не только определить степень атеросклеротического поражения КА (индекс Агатстона) и их структурную патологию, но также и выявить наличие пристеночного тромбоза в полости аневризмы, что невозможно сделать по данным коронарной ангиографии.
Полученные при КТ результаты определили необходимость проведения коронарной ангиографии. Её данные позволили уточнить количество, расположение и степень выраженности стенотических изменений в КА, а также определить другие локализации аневризм коронарного русла. Суммарные данные двух исследований позволили установить, что у пациента параллельно существуют как стенозирующий атеросклероз КА, так и множественные аневризмы отдельных артерий.
Сопоставление результатов коронарной ангиографии и КТ показывает, что оба патологических процесса в основном сосуществуют и развиваются параллельно в правой КА и двух ветвях левой КА. Основные ветви левой КА оказываются поражёнными различными патологическими процессами: в передней межжелудочковой ветви аневризма проксимального сегмента и данные за стеноз до 55%, в огибающей ветви аневризма с тромбозом полости и данные за стеноз до 65%, в диагональной ветви стеноз устья до 90%. Следует отметить, что стенозирование передней межжелудочковой ветви и огибающей ветви 55–65% было выявлено по результатам КТ, но не подтвердилось при коронарной ангиографии.
Таким образом, у представленного пациента стенозирующий атеросклероз и АКА сосуществуют и, вероятно, этиологически связаны. На момент пребывания пациента в стационаре было признано целесообразным продолжить консервативное лечение, направленное на профилактику рецидива острого коронарного синдрома и тромбоза АКА, лечение гипертонической болезни и вторичную профилактику атеросклероза.
Заключение
АКА — сравнительно редкая патология. Данный клинический случай показывает, что выраженная хроническая комбинированная патология КА может иметь достаточно ограниченные клинические проявления в виде однократного эпизода острого коронарного синдрома с умеренным повышением содержания биомаркёров и отсутствием отрицательной динамики на ЭКГ. Для получения полноценных данных в случае сочетания стенозирующего атеросклероза и АКА необходимо комплексное исследование с использованием современных высокотехнологичных диагностических методов.
Участие авторов. Л.И.Г. и Э.Б.З. — проведение исследования, сбор и анализ результатов; Н.А.Ц. — подбор и анализ научной литературы, подготовка материала для раздела «патогенез»; Г.В.Т. — подбор современных представлений о воспалительных механизмах развития атеросклероза, оценка лабораторных данных клинического случая; А.З.Х. — проведение исследования; С.В.К. — сбор и анализ результатов.
Источник финансирования. Исследование не имело спонсорской поддержки.
Конфликт интересов. Авторы заявляют об отсутствии конфликта интересов по представленной статье.
About the authors
Elvira B. Zakirova
City Clinical Hospital No. 7; Institute of Fundamental Medicine and Biology, Kazan Federal University
Email: frolova.67@mail.ru
ORCID iD: 0000-0002-4653-1734
M.D., Cand. Sci. (Med.), Deputy Head; Assoc. Prof., Depart. of Clinical Diagnostics with the Course of Pediatrics
Russian Federation, Kazan, Russia; Kazan, RussiaNykolay A. Tsybulkin
Kazan State Medical Academy, a branch of the Russian Medical Academy of Postgraduate Education
Email: ter-med@mail.ru
ORCID iD: 0000-0002-1343-0478
M.D., PhD, Assoc. Prof., Depart. of cardiology, rentgenendovascular and cardiovascular surgery
Russian Federation, Kazan, RussiaLeysan I. Gaynutdinova
City Clinical Hospital No. 7; Institute of Fundamental Medicine and Biology, Kazan Federal University
Author for correspondence.
Email: orgmetod.rkb3@mail.ru
ORCID iD: 0000-0002-5859-8776
M.D., Cand. Sci. (Med.), Head, HMT department; Assoc. Prof., Depart. of Preventive Medicine
Russian Federation, Kazan, Russia; Kazan, RussiaGalina V. Tukhvatullina
Medical and sanitary unit of the Ministry of Internal Affairs of Russia for the Republic of Tatarstan
Email: galatuhvatullina65@gmail.com
ORCID iD: 0000-0002-7949-0457
M.D., Head, Clinical diagnostic laboratory
Russian Federation, Kazan, RussiaAyrat Z. Khairullin
City Clinical Hospital No. 7; Institute of Fundamental Medicine and Biology, Kazan Federal University
Email: drairatmrict@gmail.com
ORCID iD: 0000-0003-2560-1235
M.D., Radiologist, radiology depart.; Assistant, Depart. of Clinical Diagnostics with the Course of Pediatrics
Russian Federation, Kazan, Russia; Kazan, RussiaSergey V. Kurochkin
City Clinical Hospital No. 7; Institute of Fundamental Medicine and Biology, Kazan Federal University
Email: kurochkin.70@bk.ru
ORCID iD: 0000-0002-8043-3871
M.D., Cand. Sci. (Med.), Head, radiology depart.; Assoc. Prof., Depart. of Clinical Diagnostics with the Course of Pediatrics
Russian Federation, Kazan, Russia; Kazan, RussiaReferences
- Abou-Sherif S, Ozden Tok O, Taşköylü Ö, Goktekin O, Kilic ID. Coronary artery aneurysms: A review of the epidemiology, pathophysiology, diagnosis, and treatment. Front Cardiovasc Med. 2017;4(24):1–12. doi: 10.3389/fcvm.2017.00024.
- Farrag A, Faramawy AE, Salem MA, Wahab RA, Ghareeb S. Coronary artery ectasia diagnosed using multidetector computed tomography: morphology and relation to coronary artery calcification. Int J Cardiovasc Imaging. 2013;29(2):427–433. doi: 10.1007/s10554-012-0079-4.
- Cai Z, Liu J, Wang H, Yin D, Song W, Dou K. Diffuse coronary artery dilation predicted worse long-term outcomes in patients with coronary artery ectasia. Int J Cardiol. 2020;319:20–25. doi: 10.1016/j.ijcard.2020.05.054.
- Jiang X, Zhou P, Wen C, Yin Z, Liu T, Xu M, Yang C, Wang H, Song W, Fang Y, Zeng C. Coronary anomalies in 11,267 Southwest Chinese patients determined by angiography. Biomed Res Int. 2021;2021:6693784. doi: 10.1155/2021/6693784.
- Shah S, Alweis R. Acute coronary artery dissection: A review of the literature and current evidence. Cardiol Rev. 2018;26(5):274–276. doi: 10.1097/CRD.0000000000000186.
- Jeudy J, White CS, Kligerman SJ, Killam JL, Burke AP, Sechrist JW, Shah AB, Hossain R, Frazier AA. Spectrum of coronary artery aneurysms: From the radiologic pathology archives. Radiographics. 2018;38(1):11–36. doi: 10.1148/rg.2018170175.
- Anagnostakos J, Lal BK. Abdominal aortic aneurysms. Prog Cardiovasc Dis. 2021;65:34–43. doi: 10.1016/j.pcad.2021.03.009.
- Hassan A, Uretsky BF, Vargas Estrada AM, Hassan R, Al-Hawwas M, Agarwal SK. Systematic review of the evaluation and management of coronary pseudoaneurysm after stent implantation. Catheter Cardiovasc Interv. 2021;98(1):107–116. doi: 10.1002/ccd.29312.
- Malecki C, Hambly BD, Jeremy RW, Robertson EN. The role of inflammation and myeloperoxidase-related oxidative stress in the pathogenesis of genetically triggered thoracic aortic aneurysms. Int J Mol Sci. 2020;21(20):7678. doi: 10.3390/ijms21207678.
- Zeglinski MR, Granville DJ. Granzymes in cardiovascular injury and disease. Cell Signal. 2020;76:109804. doi: 10.1016/j.cellsig.2020.109804.
- Ozturk S, Yetkin E, Waltenberger J. Molecular and cellular insights into the pathogenesis of coronary artery ectasia. Cardiovasc Pathol. 2018;35:37–47. doi: 10.1016/j.carpath.2018.04.005.
- Oshima T, Minatsuki S, Myojo M, Kodera S, Nawata K, Ando J, Akazawa H, Watanabe M, Ono M, Komuro I. Coronary artery aneurysm caused by a stent fracture. Int Heart J. 2018;59(1):203–208. doi: 10.1536/ihj.17-081.
- Chua S, Cheng J. Coronary artery aneurysm after implantation of a bioresorbable vascular scaffold: Case report and literature review. Catheter Cardiovasc Interv. 2017;90(2):E41–E45. doi: 10.1002/ccd.26932.
- Nichols L, Lagana S, Parwani A. Coronary artery aneurysm: A review and hypothesis regarding etiology. Arch Pathol Lab Med. 2008;132:823–828. doi: 10.5858/2008-132-823-CAAARA.
- Gori T. Coronary vasculitis. Biomedicines. 2021;9(6):622. doi: 10.3390/biomedicines9060622.
- Raju SN, Shaw M, Pandey NN, Sharma A, Kumar S. Imaging evaluation using computed tomography after ascending aortic graft repair. Asian Cardiovasc Thorac Ann. 2021;29(2):132–142. doi: 10.1177/0218492320960331.
- Sobczak S, Jegier B, Stefanczyk L, Lelonek ML. Giant aneurysm of the right coronary artery and magnetic resonance coronary angiography. Ann Saudi Med. 2014;34(4):346–350. doi: 10.5144/0256-4947.2014.346.
- Zhu X, Zhou Q, Tong S, Zhou Y. Challenges and strategies in the management of coronary artery aneurysms. Hellenic J Cardiol. 2021;62(2):112–120. doi: 10.1016/j.hjc.2020.09.004.
- Khouzam RN, Soufi MK, Whitted A. Saccular aneurysm and stenosis of the left anterior descending artery presenting with acute coronary syndrome. What is the best treatment: CABG or PCI? J Cardiol Cases. 2013;8(4):129–130. doi: 10.1016/j.jccase.2013.07.002.
Supplementary files





