Justification of treatment and possible outcomes of severe COVID-19
- Authors: Khamitov RF1,2, Andreicheva EN1, Hairullina AR1, Mingaleeva GF1
-
Affiliations:
- Kazan State Medical University
- Board of Public Health of Kazan City
- Issue: Vol 102, No 6 (2021)
- Pages: 934-939
- Section: Clinical observations
- Submitted: 07.09.2021
- Accepted: 24.11.2021
- Published: 13.12.2021
- URL: https://kazanmedjournal.ru/kazanmedj/article/view/79668
- DOI: https://doi.org/10.17816/KMJ2021-934
- ID: 79668
Cite item
Abstract
The role of hyaluronic acid in the pathogenesis of acute respiratory distress syndrome, including those associated with severe COVID-19, is known. Pro-inflammatory cytokines (interleukin-1, tumor necrosis factor) are strong inducers of hyaluronic acid synthase (HAS2) in CD31+ endothelial cells, EpCAM+ cells of the alveolar epithelium of the lungs and fibroblasts. Hyaluronic acid can absorb water in quantities significantly exceeding its own molecular weight. Reducing the presence or inhibiting of hyaluronic acid synthesis is of great importance for facilitating the breathing of COVID-19 patients. Hyaluronidase-based preparations can reduce the accumulation of hyaluronic acid and promote pulmonary alveoli cleansing. Respiratory viral infections, including pandemic strains of coronaviruses, especially in severe cases with acute respiratory distress syndrome, can be complicated by the development of pulmonary fibrosis. It has been shown that changes in X-ray Computed Tomography findings characteristic of fibrosis in the first year after COVID-19 can significantly regress. A clinical case from the practice of treating a patient with a severe course of COVID-19, significant cardiovascular comorbidity, grade 2 obesity, which was regarded as significant risk factors for an unfavorable outcome, is presented. The patient with signs of progressive respiratory failure was admitted to the intensive care unit. Pulse therapy with glucocorticosteroids and anticoagulants was started. Deterioration of the condition is regarded as the beginning of acute respiratory distress syndrome, which complicated the cytokine storm induced by the coronavirus. The patient was taken for high-flow oxygenation. An anti-cytokine therapy was prescribed. Reduction of inflammatory markers was obtained, but severe respiratory failure persisted. The bovgialuronidase azoximer was included in the treatment. The patient's condition began to stabilize then she was discharged in stable condition without oxygen support. The available data on the negative role of hyaluronic acid in the pathogenesis of acute respiratory distress syndrome in patients with COVID-19, as well as the need to reduce the likelihood of developing residual fibrous changes in the lungs in patients who have undergone acute respiratory distress syndrome, suggest the need for further studies of domestic azoximer bovgialuronidase properties in the treatment of severe forms of COVID-19.
Keywords
Full Text
С начала мировой пандемии новой коронавирусной инфекции на середину августа 2021 г. в мире были официально зарегистрированы свыше 205 млн заболевших COVID-19, из которых более 4,3 млн умерли. Для России эти цифры составили 6,5 млн заболевших (44,7 на 1000 населения) и 170 тыс. смертельных исходов. По Республике Татарстан заболели 24,5 тыс. человек (6,3 на 1000 населения), умерли более 600 пациентов [1].
Результаты вскрытия пациентов, погибших от острого респираторного дистресс-синдрома (ОРДС), осложнившего течение тяжёлого COVID-19, продемонстрировали заполнение лёгких гелеобразной массой. Это в какой-то степени напоминало лёгкие пациентов при утоплении. Природу этого явления ещё предстоит уточнить, однако известна роль гиалуроновой кислоты в патогенезе ОРДС, в том числе ассоциированного с тяжёлым COVID-19, при котором метаболизм гиалуроновой кислоты бывает дефектным [2, 3]. В лёгких пациентов с COVID-19 повышены уровни воспалительных цитокинов (интерлейкина-1, фактора некроза опухоли). Данные цитокины — сильные индукторы синтетазы гиалуроновой кислоты (HAS2) в CD31+ эндотелиальных клетках, EpCAM+ клетках альвеолярного эпителия лёгких и фибробластах.
Гиалуроновая кислота обладает способностью поглощать воду в количествах, в 1000 раз превышающих собственную молекулярную массу. Таким образом, уменьшение присутствия или ингибирование синтеза гиалуроновой кислоты имеет большое значение для облегчения дыхания пациентов с COVID-19. Препараты на основе гиалуронидазы могут уменьшать накопление гиалуроновой кислоты и таким образом способствовать очищению альвеол [3]. В экспериментальных моделях на животных нарушения оксигенации, индуцированные вирусом гриппа, уменьшались интраназальным введением гиалуронидазы [4].
Морфологической основой ОРДС, наиболее частой причины смерти пациентов в острую клиническую фазу COVID-19, бывает тяжёлое диффузное повреждение альвеол, верифицированное в 93,3% случаев, которое проявлялось преимущественно острым альвеолярным повреждением (32%), организующимся (25%) и/или фиброзирующим (43%) паттернами [5].
Механическая вентиляция лёгких при ОРДС, осложняющем тяжёлое течение COVID-19, признанная в качестве фактора, способствующего развитию фибропролиферативного ответа, не только индуцирует секрецию трансформирующего фактора роста β1, но также активирует синтез коллагена и ингибирует синтез коллагеназы [6].
Часть пациентов с ОРДС, выживших в острую фазу заболевания, в последующем (на сроках более 3 нед) могут умереть в результате прогрессирования лёгочного фиброза. Хотя прямая связь между респираторными вирусными инфекциями и развитием прогрессирующего фиброза до конца не установлена, данные предыдущих глобальных вспышек атипичной пневмонии с тяжёлым острым респираторным синдромом и ближневосточного респираторного синдрома демонстрируют чёткую связь между коронавирусной инфекцией, стойкими нарушениями функций лёгких и аномальными рентгенологическими данными, соответствующими лёгочному фиброзу [7].
В длительном исследовании с динамической оценкой данных рентгеновской компьютерной томографии (РКТ) у пациентов, инфицированных пандемическими штаммами коронавирусов, в период с 2003 по 2018 г. были выявлены изменения лёгочной паренхимы, в том числе по типу «матового стекла» и линейных уплотнений у 38% пациентов. Оценка данных изменений у этих больных в течение 15 лет продемонстрировала ощутимый регресс в течение первых 12 мес после инфицирования. Однако фиброзные изменения сохранялись и оставались стабильными в течение последующих лет: в 2018 г. были обнаружены в 4,6% случаев [7]. Другие респираторные вирусы, включая грипп (штаммы H1N1 и H5N1), также могут способствовать развитию фиброза лёгких. При этом вирус гепатита С, цитомегаловирус человека и вирус Эпштейна1–Барр способны выступать в качестве вирусных кофакторов в развитии идиопатического лёгочного фиброза [8].
Фиброз может быть конечным результатом многих хронических воспалительных заболеваний (сердце, печень, лёгкие и почки не составляют исключение). В ответ на повреждение тканей миофибробласты из нескольких источников (включая резидентные фибробласты, мезенхимальные клетки, циркулирующие фибробласты и другие типы клеток) могут инициировать заживление ран, изменяя внеклеточную среду для восстановления целостности тканей и способствуя замене паренхиматозных клеток. Обычно этот процесс завершается после заживления ткани [9].
Однако повторное повреждение и восстановление (тяжёлый пациент с COVID-19) могут нарушать баланс этого процесса, что ведёт к чрезмерному патологическому отложению белка внеклеточного матрикса, сопровождающемуся повышением активности миофибробластов. Это может способствовать хроническому воспалительному окружению макрофагов и инфильтрации иммунных клеток. В такой клеточной среде высвобождается множество провоспалительных и профибротических цитокинов, активируя пути, связанные с фиброзом [9].
Немало публикаций, в которых были показаны терапевтические возможности низких или средних доз глюкокортикоидов при проявлениях неспецифической интерстициальной пневмонии или организующейся пневмонии в восстановительной фазе у пациентов с признаками прогрессирующего фиброза [10]. Отмечена высокая распространённость остаточных рентгенологических изменений после острой фазы COVID-19 (30–60%), но при этом в отличие от бактериальной пневмонии у немалого количества пациентов показана возможность хорошего регресса указанных изменений в течение 6–12 мес после перенесённой коронавирусной инфекции [10].
Чрезвычайно важен поиск новых путей лечения тяжёлых форм COVID-19, предотвращения осложнений острого периода инфекции, в первую очередь ОРДС, во многом определяющего вероятность ближайших и отдалённых неблагоприятных осложнений и исходов постковидного периода.
К перспективным отечественным разработкам, которые могли бы помочь пациентам в РФ в снижении вероятности развития остаточных фиброзных изменений в лёгочной ткани после перенесённого тяжёлого COVID-19, можно отнести препарат бовгиалуронидазу азоксимер, в официальных показаниях к назначению которой значится лечение пневмосклероза, фиброзирующего альвеолита, туберкулёза (кавернозно-фиброзного, инфильтративного, туберкулом) [11]. Противофиброзное действие бовгиалуронидазы азоксимера проявляется вследствие ферментативной активности гиалуронидазы, расщепляющей гликозаминогликаны, представляющие основу межклеточного матрикса соединительной ткани. В недавней публикации был продемонстрирован лечебный и профилактический эффект бовгиалуронидазы азоксимера в отношении пневмофиброза у пациентов, перенёсших COVID-19, вне зависимости от степени тяжести. Авторы рекомендовали проводить не менее трёх лечебных курсов с интервалом 6 мес для большего патогенетического эффекта [12].
Вниманию читателя представлен клинический случай успешного лечения тяжёлой формы COVID-19.
Пациентка Т. 65 лет была госпитализирована с жалобами на выраженную общую слабость, повышение температуры тела до 38,5 °С, одышку при малейшей физической нагрузке, сухой приступообразный кашель. Заболела неделю назад: повысилась температура тела до 38 °С, появилась и стала нарастать общая слабость. Самостоятельно начала принимать парацетамол, таблетки от кашля. В связи с отсутствием заметного эффекта через 4 дня лечение дополнила спреем интерферона альфа-2b в нос, амоксициллином 500 мг 3 раза в день и бактериальным лизатом (бронхо-муналом) внутрь.
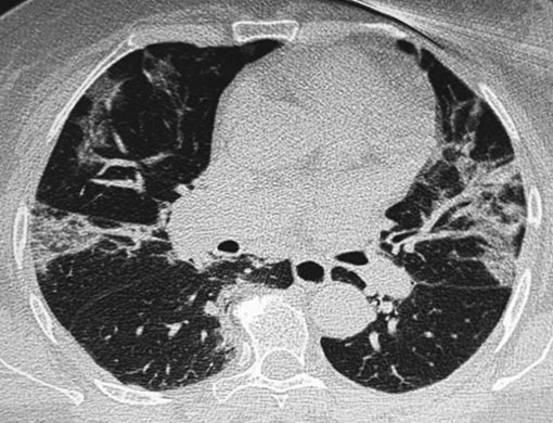
В поликлинику обратилась на 5-й день, была направлена на рентгенографию органов грудной клетки, выявлена двусторонняя пневмония. На 6-й день болезни в связи с дальнейшим ухудшением общего самочувствия бригадой скорой медицинской помощи была доставлена и госпитализирована в провизорный инфекционный госпиталь. При РКТ верифицированы признаки двусторонних интерстициальных изменений лёгких с участками «матового стекла», соответствующие вирусной пневмонии с объёмом поражения КТ 2 (рис. 1).
Рис. 1. Рентгеновская компьютерная томограмма при госпитализации (КТ 2)
В полимеразной цепной реакции в материале мазка из носоглотки выявлена рибонуклеиновая кислота вируса SARS-CoV-2. Согласно маршрутизации на 8-й день болезни была переведена во временный инфекционный госпиталь городского стационара с диагнозом «Новая коронавирусная инфекция COVID-19 (вирус идентифицирован), тяжёлое течение. Двусторонняя полисегментарная интерстициальная пневмония тяжёлой степени, осложнённая дыхательной недостаточностью (ДН) 2-й степени, объёмом поражения лёгких КТ 2» и коморбидной патологией в виде гипертонической болезни, хронической сердечной недостаточности 1-й степени, сахарного диабета 2-го типа, ожирения 2-й степени. В связи с прогрессированием дыхательной недостаточности (сатурация крови кислородом 96% на инсуффляции О2 6 л/мин) из приёмного отделения была сразу госпитализирована в отделение реанимации и интенсивной терапии.
Начата пульс-терапия преднизолоном 240 мг 2 раза в сутки, антикоагулянтная терапия внутривенно гепарином через дозатор 1000 ЕД/ч под контролем активированного частичного тромбопластинового времени, кислородотерапия через назальные канюли.
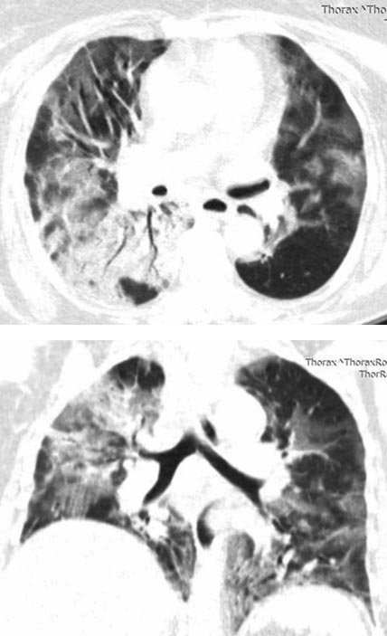
К 5-му дню госпитализации состояние не улучшалось. В связи с отягощением респираторного статуса пациентка была переведена на высокопоточную оксигенацию, прогрессировала лимфопения, нарастал уровень маркёров воспаления (С-реактивного белка до 171 мг/л, ферритина до 402 мкг/л), температура тела была нормальной. По данным контрольной РКТ зарегистрировано значимое нарастание объёмов поражения с расширением полей «матового стекла» и появлением участков консолидации лёгочной ткани (рис. 2).
Рис. 2. Рентгеновская компьютерная томограмма на день телемедицинского консилиума (КТ 3)
Состояние было расценено как цитокиновый шторм с клиническими проявлениями в виде ОРДС. Решением телемедицинского консилиума была дополнительно назначена однократная инфузия антицитокинового препарата (ингибитора интерлейкина-6) олокизумаба. Был получен ответ в виде значимого снижения активности воспалительных маркёров. При этом, несмотря на усиление режимов антикоагулянтной терапии (гепарин 1800 ЕД/ч), сохранялись явления тяжёлой дыхательной недостаточности.
Перенесённый ОРДС, десатурация, нарастание объёмов поражения лёгких по динамике РКТ, высокая активность маркёров вирусного воспаления, отягощающий коморбидный фон были расценены как факторы риска неблагоприятного исхода. В связи с этим была продолжена терапия глюкокортикоидами и антикоагулянтами, и на 3-й день после введения олокизумаба в лечебный комплекс были подключены внутримышечные инъекции бовгиалуронидазы азоксимера (лонгидазы) 1 раз в 5 дней по 3 млн ЕД.
Состояние пациентки стало понемногу стабилизироваться, появилась возможность «смягчения» режимов высокопоточной оксигенации, и через 2 нед она была переведена на кислородную поддержку через носовые канюли (на потоке кислорода 7 л/мин сохраняла сатурацию 95%). Были чёткие тенденции к снижению уровня воспалительных маркёров, регрессу лимфопении.
В течение следующей недели пациентка смогла полностью отказаться от дополнительной кислородной поддержки, свободно передвигалась в пределах палаты. Данные РКТ демонстрировали хорошую динамику в виде повышения прозрачности лёгочной ткани (рис. 3).
Рис. 3. Рентгеновская компьютерная томограмма к моменту завершения стационарного этапа лечения
Пациентка была выписана в удовлетворительном состоянии. Рекомендации на амбулаторный этап включали продолжение антикоагулянтной терапии ривароксабаном 10 мг 1 раз/сут, приём таблеток преднизолона по снижающей схеме до полной отмены, внутримышечные инъекции бовгиалуронидазы азоксимера по 3 млн ЕД 1 раз в 5 дней (общей продолжительностью до 15 инъекций). Назначена контрольная РКТ грудной клетки через 3 мес после выписки.
Данный клинический пример демонстрирует возможности достижения благоприятного исхода стационарного лечения тяжёлой формы COVID-19, осложнённой ОРДС, на фоне отягощающей коморбидной патологии при дополнительном подключении бовгиалуронидазы азоксимера в лечебный комплекс антикоагулянтной, глюкокортикоидной и антицитокиновой терапии.
К сожалению, несмотря на прошедшие с момента начала пандемии COVID-19 полтора года, вопросы лечения острой фазы заболевания и постковидных осложнений нельзя считать полностью решёнными. Значимость остаточных фиброзных изменений в лёгких после тяжёлых респираторных вирусных инфекций приобретает большое значение, так как может в долгосрочной перспективе серьёзно ухудшать качество жизни пациентов, сдерживая полноценное восстановление респираторного статуса реконвалесцентов.
Существующие данные о негативной роли гиалуроновой кислоты в альвеолах лёгких пациентов с COVID-19 с угрозой развития ОРДС, а также необходимость снижения вероятности развития остаточных фиброзных изменений в лёгких у пациентов, перенёсших ОРДС, имеющих большие объёмы вирусного поражения лёгких, и неблагоприятный соматический фон, в первую очередь в виде ожирения, сахарного диабета и кардиоваскулярной патологии, предполагают необходимость дальнейших исследований свойств отечественной бовгиалуронидазы азоксимера в лечебном комплексе тяжёлых форм новой коронавирусной инфекции.
Участие авторов. А.Р.Х. и Г.Ф.М. — участие в курации пациентки; Е.Н.А. — сбор и анализ результатов; Р.Ф.Х. — руководитель работы, анализ данных литературы.
Источник финансирования. Исследование не имело спонсорской поддержки.
Конфликт интересов. Авторы заявляют об от отсутствии конфликта интересов по представленной статье.
About the authors
R F Khamitov
Kazan State Medical University; Board of Public Health of Kazan City
Author for correspondence.
Email: rhamitov@mail.ru
ORCID iD: 0000-0001-8821-0421
Russian Federation, Kazan, Russia; Kazan, Russia
E N Andreicheva
Kazan State Medical University
Email: elena_andre@mail.ru
ORCID iD: 0000-0002-5382-5095
Russian Federation, Kazan, Russia
A R Hairullina
Kazan State Medical University
Email: adelyminsafy@gmail.com
ORCID iD: 0000-0002-7832-2267
Russian Federation, Kazan, Russia
G F Mingaleeva
Kazan State Medical University
Email: m.gulnaz.f@mail.ru
ORCID iD: 0000-0002-3760-062X
Russian Federation, Kazan, Russia
References
- Coronavirus in Russia. The number of cases in cities and regions of the Russian Federation. Statistics. https://infotables.ru/meditsina/1198-koronavirus-v-¬rosii (access date: 29.07.2021). (In Russ.)
- Hellman U., Karlsson M.G., Engström-Laurent A., Cajander S., Dorofte L., Ahlm C., Laurent C., Blomberg A. Presence of hyaluronan in lung alveoli in severe COVID-19: An opening for new treatment options? J. Biol. Chem. 2020; 295 (45): 15 418–15 422. doi: 10.1074/jbc.AC120.015967.
- Ontong P., Prachayasittikul V. Unraveled roles of hya¬luronan in severe COVID-19. EXCLI J. 2021; 20: 117–125. doi: 10.17179/excli2020-3215.
- Shi Y., Wang Y., Shao C., Huang J., Gan J., Huang X., Bucci E., Piacentini M., Ippolito G., Melino G. COVID-19 infection: the perspectives on immune responses. Cell Death Differ. 2020; 27 (5): 1451–1454. doi: 10.1038/s41418-020-0530-3.
- Li Y., Wu J., Wang S., Li X., Zhou J., Huang B., Luo D., Cao Q., Chen Y., Chen S., Ma L., Peng L., Pan H., Travis W.D., Nie X. Progression to fibrosing diffuse alveolar damage in a series of 30 minimally invasive autopsies with COVID-19 pneumonia in Wuhan, China. Histopatho¬logy. 2021; 78: 542–555. doi: 10.1111/his.14249.
- Oronsky B., Larson C., Hammond T.C., Oronsky A., Kesari S., Lybeck M., Reid T.R. A review of persistent post-COVID syndrome (PPCS). Clin. Rev. Allergy Immunol. 2021. doi: 10.1007/s12016-021-08848-3.
- Zhang P., Li J., Liu H., Han N., Ju J., Kou Y., Chen L., Jiang M., Pan F., Zheng Y., Gao Z., Jiang B. Long-term bone and lung consequences associated with hospital-¬acquired severe acute respiratory syndrome: a 15-year follow-up from a prospective cohort study. Bone Res. 2020; 8: 34. doi: 10.1038/s41413-020-00113-1.
- John A.E., Joseph C., Jenkins G., Tatler A.L. COVID-19 and pulmonary fibrosis: A potential role for lung epithelial cells and fibroblasts. Immunol. Rev. 2021; 302: 228–240. doi: 10.1111/imr.12977.
- Zhang C., Wu Z., Li J.W., Tan K., Yang W., Zhao H., Wang G.Q. Discharge may not be the end of treatment: Pay attention to pulmonary fibrosis caused by severe COVID-19. J. Med. Virol. 2021; 93 (3): 1378–1386. doi: 10.1002/jmv.26634.
- Jie Z., He H., Xi H., Zhi Z. Expert recommendations for the diagnosis and treatment of interstitial lung disease caused by novel coronavirus pneumonia. Chinese Research Hospital Association; Respiratory Council. 2020; 43 (10): 827–833. doi: 10.3760/cma.j.cn112147-20200326-00419.
- Vidal. Directory of medicines. Longidaza, instructions for use. https://www.vidal.ru/drugs/longidaze__31621 (access date: 29.07.2021). (In Russ.)
- Kotova N.V., Polyanskij A.V. What should I do with a patient who has suffered from COVID-pneumonia? Experience of clinical use of bovgialuronidaz azoksimer (longidase) for the prevention and treatment of post-covid pneumofibrosis of the lungs. Glavnyy vrach Yuga Rossii. 2021; (4): 11–12. (In Russ.)
Supplementary files





