О ГИСТОЛОГИЧЕСКОЙ ДИАГНОСТИКЕ РАКА ШЕЙКИ МАТКИ
- Авторы: Козлов Л.А.1
-
Учреждения:
- Казанский медицинский институт
- Выпуск: Том 41, № 1 (1960)
- Страницы: 57-59
- Раздел: Статьи
- Статья получена: 17.10.2021
- Статья одобрена: 17.10.2021
- Статья опубликована: 15.01.1960
- URL: https://kazanmedjournal.ru/kazanmedj/article/view/83297
- DOI: https://doi.org/10.17816/kazmj83297
- ID: 83297
Цитировать
Полный текст
Аннотация
Методом, подтверждающим и окончательно устанавливающим диагноз рака шейки матки, является патогистологическое исследование кусочков, взятых из подозрительных участков на шейке матки или полипов шейки матки. Некоторые патогистологи, однако, недостаточно знакомы с разнообразными морфологическими изменениями, встречающимися на шейке матки, особенно в шеечных полипах, следствием чего являются неверная их оценка и постановка серьезного диагноза рака шейки матки там, где его нет.
Ключевые слова
Полный текст
Методом, подтверждающим и окончательно устанавливающим диагноз рака шейки матки, является патогистологическое исследование кусочков, взятых из подозрительных участков на шейке матки или полипов шейки матки. Некоторые патогистологи, однако, недостаточно знакомы с разнообразными морфологическими изменениями, встречающимися на шейке матки, особенно в шеечных полипах, следствием чего являются неверная их оценка и постановка серьезного диагноза рака шейки матки там, где его нет.
Приведем три подобных наблюдения.
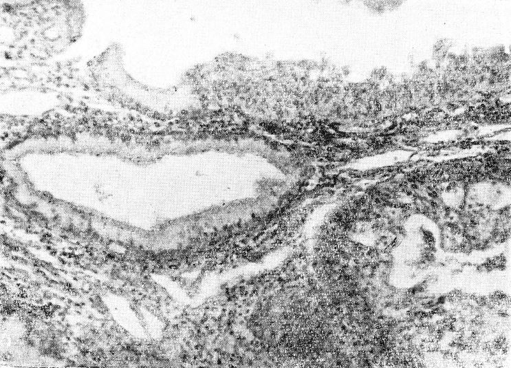
I. Г., 22 лет, имела одну беременность, закончившуюся срочными родами в 1956 г. В сентябре 1957 г. повторно забеременела, и при сроке беременности три месяца местным гинекологом был заподозрен рак шейки матки, ввиду чего произведено выскабливание цервикального канала. Гистологически установлено начало разрастания плоскоклеточного рака, и больная была прислана в Казань для оперативного лечения. В присланном гистологическом препарате (фото 1) имелась местами в железах пролиферация, в некоторых железах метаплазия эпителия. С поверхности кусочек покрыт многослойным плоским эпителием, переходящим в цилиндрический, без достоверной атипии.
Фото 1
С 23/I по 5/ІІ-58 г. больная обследовалась в гинекологическом отделении Республиканской клинической больницы. При маточной беременности 29—30 недель имелся левосторонний разрыв шейки матки, слизистая оболочка цервикального канала вывернута, на ощупь мягкая, не кровоточит, складчатая, зернистая.
После проведения лечения ванночками из протаргола и риванола больная с диагнозом: разрыв шейки матки, эктропион и цервицит — была взята под наблюдение.
Таким образом, тщательное клиническое исследование (проф. П. В. Маненков), и изучение гистологического препарата позволило отвергнуть первоначальный диагноз. Здесь имелись доброкачественные изменения в эпителии цервикального канала,
Через 1,5 месяца после выписки произошли преждевременные роды двойней. Через месяц после родов пришла менструация и в дальнейшем приходила ежемесячно.
Повторный осмотр 9/ІІ-59 г. Беременность — 5—6 недель. На шейке слева разрыв с эктропированной слизистой цервикального канала, зернистой, без уплотнений и кровоточившей, на задней губе. Было решено произвести конусовидную ампутацию шейки матки и одновременно — прерывание беременности, что и сделано 14/II-59 г. При гистологическом исследовании ампутированной влагалищной части шейки матки злокачественных изменений не выявлено. Имелась картина, характерная для выворота слизистой шейки матки.
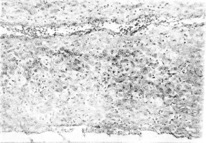
II. С., 28 лет. В прошлом — трое нормальных родов и три аборта. 22/VIII-58 г. перенесла операцию по поводу внематочной беременности, после которой месячные были всего один раз — 28/IX-58 г. После трехмесячного отсутствия менструаций у нее местным гинекологом удален полип шейки матки и, на основании его гистологического исследования, поставлен диагноз: рак шейки матки, с которым б-ная направлена в Казань.
При осмотре нами обнаружена маточная беременность 3—3,5 месяца, левосторонний разрыв шейки матки, выворот слизистой оболочки цервикального канала, не уплотненный и не кровоточащий. При исследовании гистологического препарата (проф. П. В. Маненков), доставленного больной, в полипе обнаружена резко выраженная децидуальная ткань (фото 2), принятая за раковую.
Фото 2
Беременная пожелала рожать. Рекомендовано через полгода после родов произвести ушивание разрыва шейки матки.
III. С., 46 лет, в прошлом 12 нормальных родов, абортов не было. 17/XI-58 г., после 2,5 месячной задержки, пришли месячные и продолжались с перерывами до февраля 1959 г. (типа метроррагии). В начале февраля с. г. удален полип шейки матки, а при гистологическом его исследовании выявлены „быстро протекающие процессы малигнизации“ и поставлен диагноз: рак шейки матки. Однако, при изучении (проф. П. В. Маненков, доц. Н. Ф. Порываев) присланного с больной препарата малигнизации не найдено, полип был покрыт с поверхности нормальным многослойным плоским эпителием (фото 3).
Итак, у всех трех больных ошибочная постановка диагноза рака шейки матки зависела, очевидно, от недостаточной квалификации врача, исследующего препараты. У первой имелось свойственное беременным изменение эпителия цервикального канала, и длительное клиническое наблюдение с повторным гистологическим исследованием (через год) убедительно доказало отсутствие рака шейки матки.
У второй имелась резко выраженная децидуальная ткань при начавшейся маточной беременности.
Это явление не ново. Оно наблюдалось многими авторами. Так, Виллер в полипе, присланном для исследования, нашел децидуальную ткань и высказался за наличие у больной беременности, о которой ни врач, ни больная не подозревали и которая была доказана последующим выскабливанием матки. Развитие децидуальной ткани в полипе при беременности наблюдал так же С. А. Фрайман.
Фото 3
Наконец, у третьей был полип, покрытый многослойным плоским эпителием, при отсутствии злокачественного роста.
Приведенные наблюдения позволяют сделать заключение, что, во избежание ошибок в диагностике злокачественных заболеваний, а тем самым и ненужных, калечащих женщину операций, следует хорошо ориентироваться в особенностях морфологических изменений в женском половом аппарате, не ограничиваться при принятии решения готовым заключением, а лично просмотреть препарат, может быть и прибегая ко вторичной биопсии.
Об авторах
Л. А. Козлов
Казанский медицинский институт
Автор, ответственный за переписку.
Email: info@eco-vector.com
Аспирант, 1-ая кафедра акушерства и гинекологии
Россия, КазаньСписок литературы
- Новые методы диагностики в онкологии и рентгенологии. Под. ред. И. Т. Шевченко, Киев, 1957
- Петрова Е. Н. Гистологическая диагностика заболеваний матки, Медгиз, 1959
- Чирихин В. И. Сб., посвященный проф. В. С. Груздеву в 25-летие его деятельности. Петроград, 1917— 1923
- Фрайман С. А. Акуш. и гин., 1938, 3
Дополнительные файлы





