Инъекционное пломбирование костным микстом кистозных костных полостей у детей и подростков
- Авторы: Муругов В.С.1
-
Учреждения:
- Казанский институт усовершенствования врачей им В. И. Ленина
- Выпуск: Том 64, № 6 (1983)
- Страницы: 416-418
- Раздел: Теоретическая и клиническая медицина
- Статья получена: 23.10.2021
- Статья одобрена: 23.10.2021
- Статья опубликована: 15.11.1983
- URL: https://kazanmedjournal.ru/kazanmedj/article/view/83619
- DOI: https://doi.org/10.17816/kazmj83619
- ID: 83619
Цитировать
Полный текст
Аннотация
Предлагается инъекционное пломбирование костным микстом кистозных костных полостей у детей и подростков для восстановления структуры костной ткани путем стимуляции репаративного процесса. Представлены результаты лечения 10 детей и подростков в возрасте от 7 до 16 лет с кистозными заболеваниями скелета. Анализ клинического и рентгенофотометрического материала показал, что предлагаемый способ позволяет добиться положительного эффекта в минимальные сроки без широкого хирургического вскрытия с сохранением функции в смежном суставе.
Ключевые слова
Полный текст
Проблему лечения костных кист у детей и подростков еще нельзя считать полностью решенной, поскольку это заболевание занимает значительное место в ортопедической практике. В отношении этиопатогенеза и самой природы костных кист до сих пор нет единой точки зрения, что порождает различные подходы к методам лечения.
Нами предложено инъекционное пломбирование костных кистозных полостей костно-желатиновой смесью, которую мы назвали костным микстом. Нашей целью при лечении патологических полостей являлось восстановление структуры костной ткани путем стимуляции репаративного процесса. Для ее достижения мы пользовались костно-желатиновой смесью, в которой эмульгантом служит костная мука из кортикальной стенки свежих трупных костей, консервированных и стерилизованных в растворе РДК (раствор Рингера—Локка с добавлением димедрола и катамина) в течение не менее суток, а эмульгатором — стерильный желатин (10%) в соотношении 5 : 2 или 5:3. После прокола стенки костной полости через мягкие ткани двумя или тремя широкими костными иглами и предварительного промывания полости физиологическим раствором (рис. 1) вводили костный микст до ее полного заполнения. Иглы удаляли, а оставшиеся в кортикальных стенках отверстия заклинивали заостренными пробками из ксенотрансплантатов для предотвращения вытекания введенной смеси (рис. 2). Применение предлагаемого средства и способ его введения обеспечивают доставку остеопластического материала в зону патологического очага с образованием депо из органических и неорганических солей кальция и фосфора без широкого хирургического вскрытия. Являясь гипертонической средой, костный микст за счет повышения осмотического давления вызывает усиленный приток тканевой жидкости, что вместе с остеопластическим материалом стимулирует репаративный остеогенез. Желатина является не только эмульгатором, но и гемостатическим средством, уменьшающим процесс вымывания кровью солей кальция и фосфора.
Рис. 1. Схема прокола костной полости костными иглами.
Рис. 2. Схема заклинивания отверстий в кортикальных стенках ксено-трансплантатами.
Было проведено лечение 10 детей и подростков в возрасте от 7 до 16 лет с кистозными заболеваниями скелета. В наших наблюдениях киста локализовалась в проксимальном метафизе бедра (3), в проксимальном метафизе плечевой кости (3), в дистальном (3) и в проксимальном метафизе большеберцовой кости (1).
Всем больным было произведено одномоментное введение костного микста от 10 до 15 мл с предварительным взятием пунктата для гистологического исследования и последующим промыванием полости физиологическим раствором. Пунктат представлял из себя светло-желтоватую или кровянистую жидкость без всяких признаков тканевых структур. Конечность фиксировали легкими гипсовыми повязками. В ближайшие 2—3 дня после введения у больных обострялась болезненность и, как правило, повышалась температура до субфебрильных цифр. После снижения температуры пациентов выписывали домой с рекомендацией соблюдать ортопедический режим.
Динамику репаративного остеогенеза контролировали данными рентгенологического исследования на 2-й день и через 6 мес после введения костного микста. Для определения плотности костного регенератора применяли рентгенофотометрический анализ способом, описанным нами ранее [1].
При анализе клинического и рентгенофотометрического материала получены следующие результаты. У 7 больных на 2-й день после введения костного микста на месте костной кисты по данным рентгенологического исследования определялось заметное помутнение, а через 6 мес визуально — полное замещение полости остеоидной тканью. Рентгенофотометрический анализ показал значительное повышение минерализации па месте кистозной полости через 6 мес. Регенерат был лишен характерного структурного рисунка, хотя в некоторых местах его плотность превышала таковую кортикальной стенки и составляла 104—107% оптической плотности.
У 2 пациентов на 5 — 6-й день после введения костного микста возник воспалительный процесс. После его купирования у одного из них к 6-месячному сроку наблюдалась лишь тенденция к увеличению плотности костной ткани, а у второго больного к этому же сроку—-полное замещение костной полости бесструктурным костным регенератом. У первого больного минерализация регенерата по данным рентгенофотометрического исследования составляла всего 2,4% оптической плотности, у второго плотность регенерата достигала 93%. У одного пациента применение костного микста оказалось безрезультатным, видимо, в связи с его неточным введением.
У всех больных через 6 мес констатирована полная функция конечности, которая восстанавливалась через 2—3 нед после снятия гипсовой фиксации.
Для иллюстрации приводим одно наблюдение.
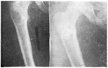
3., 15 лет, поступил в отделение 10/I 1979 г. по поводу костной кисты проксимального отдела правой бедренной кости. 24/1 под кратковременным общим обезболиванием в полость двумя иглами введено 15 мл костного микста с предварительным промыванием полости физиологическим раствором и последующим заклиниванием отверстий заостренными ксенотрансплантатами. Наложена легкая задняя гипсовая лонгета. В течение 5 дней у больного держалась субфебрильная температура. Выписан на 16-й день без гипсовой фиксации. Через 6 мес рентгенограмма показала полное замещение полости остеоидной тканью (рис. 3 и 4).
Рис. 3. Рентгенограмма больного 3. с костной кистой проксимального отдела правого бедра до и через 6 мес после пломбирования костным микстом.
Рис. 4. Копии фотограмм: А—здоровый симметричный участок; Б — патологический участок до введения костного микста; В — через 6 мес после его введения.
Предлагаемый способ инъекционного пломбирования костных кистозных полостей у детей и подростков костным микстом позволяет добиться положительного эффекта в минимальные сроки без широкого хирургического вскрытия с сохранением полной функции в смежном суставе. Данное сообщение является предварительным, однако -способ инъекционного пломбирования может оказаться перспективным для лечения других патологических процессов костной ткани.
Об авторах
В. С. Муругов
Казанский институт усовершенствования врачей им В. И. Ленина
Автор, ответственный за переписку.
Email: info@eco-vector.com
Кафедра травматологии и ортопедии
Россия, КазаньСписок литературы
- Муругов В. С. Вести, рентгенол., 1965, 2.
Дополнительные файлы






