Гонады и некоторые звенья эндокринной системы у онкологических больных
- Авторы: Добрынин В.А.1, Калугина Н.М.1, Забусов Ю.Г.1, Гатауллин К.Д.1, Петров С.Б.1, Абдулъянов В.А.1
-
Учреждения:
- Казанский ордена Трудового Красного Знамени медицинский институт им. С. В. Курашова
- Выпуск: Том 64, № 2 (1983)
- Страницы: 102-105
- Раздел: Статьи
- Статья получена: 04.11.2021
- Статья одобрена: 04.11.2021
- Статья опубликована: 15.07.1983
- URL: https://kazanmedjournal.ru/kazanmedj/article/view/86904
- DOI: https://doi.org/10.17816/kazmj86904
- ID: 86904
Цитировать
Полный текст
Аннотация
Можно считать установленным, что в основе возникновения и развития опухолевых клеток лежат нарушения обменных процессов и белкового синтеза, в регуляции которых весьма важную роль играет эндокринная система. Несмотря на это, многие вопросы, связанные с особенностями функциональной морфологии различных звеньев эндокринной системы у больных злокачественными опухолями, остаются неизученными, именно они и стали целью наших исследований.
Ключевые слова
Полный текст
Можно считать установленным, что в основе возникновения и развития опухолевых клеток лежат нарушения обменных процессов и белкового синтеза, в регуляции которых весьма важную роль играет эндокринная система. Несмотря на это, многие вопросы, связанные с особенностями функциональной морфологии различных звеньев эндокринной системы у больных злокачественными опухолями, остаются неизученными, именно они и стали целью наших исследований.
С помощью комплекса морфологических, гистохимических, гистоэнзимологических, биохимических и морфометрических методик были исследованы на секционном и операционном материале мужские и женские гонады, гипоталамус, адено- и нейрогипофиз, щитовидная железа, тимус у больных раком различной локализации. В качестве контроля были использованы указанные органы, полученные не позднее 12 ч с момента смерти из трупов людей, погибших от случайных причин (судебно-медицинские наблюдения).
При изучении указанных органов у больных раком различной локализации во всех наблюдениях, даже на ранних стадиях развития заболевания, прежде всего обращало на себя внимание состояние сосудистого русла. В стенках сосудов обнаруживалась в значительных количествах гиалуроновая кислота, которая последовательно замещалась хондроитинсульфатами и нейтральными мукополисахаридами. Параллельно этому происходили мультипликация и огрубение эластических волокон, увеличение количества коллагеновых фибрилл и, как следствие, утолщение и склероз сосудистых стенок.
В тесной связи с сосудистыми изменениями и нарушениями обменных процессов в стенках сосудов находились изменения функциональных структур и стромы изученных желез. В строме накапливались кислые, а затем нейтральные мукополисахариды, увеличивалось количество коллагеновых фибрилл, что в конечном итоге приводило к склерозу органа различной степени. Важную роль в развитии склероза играют постепенно нарастающие расстройства лимфообращения.
Описанные изменения носят универсальный характер и обнаруживаются как в гонадах, так и в щитовидной железе, тимусе. Аналогичные изменения определяются и в сосудах гипоталамо-гипофизарной системы.
Сравнительное изучение препаратов, анализ полученных результатов и данных литературы показывают, что склеротические процессы в эндокринных органах при раке по своим механизмам действия близки к таковым инволютивного склероза, однако отличаются от него более ранним наступлением и большей интенсивностью.
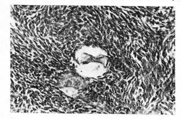
При изучении женских гонад привлекает внимание резкое обеднение фолликулярного апланата. Примордиальные фолликулы у больных в возрасте 30—39 лет отмечены в 12 наблюдениях из 20, в возрасте 40—49 лет — в 6 из 58. Во всех случаях примордиальные фолликулы были единичными и имели признаки глубокой дегенерации (рис.1). Малые зреющие фолликулы в 1-й возрастной группе обнаружены у 4 женщин, во 2-й — у 2. Большие зреющие фолликулы и граафовы пузырьки ни в одном случае нам не встретились.
Рис. 1. Плазмокоагуляция овоцита в яичнике больной раком матки. Окраска гематоксилин-эозином.Х 400.
В 78,8% наблюдений в яичниках женщин, страдающих раковой болезнью, выявлялись фолликулярные кисты и в 79,7% —кортикальная стромальная гиперплазия (рис. 2). У 10% больных фолликулярные кисты проявляли высокую гормональную активность, о чем свидетельствовали гиперплазия и гипертрофия гранулезной выстилки и внутренней оболочки, интенсивные биохимические процессы, документированные высоким содержанием в клетках РНК, липидов, гликогена, аскорбиновой кислоты. Обнаруженные изменения соответствуют современным представлениям о связи образования фолликулярных кист с гиперэстрогенизацией организма [2]. Что касается стромальной гиперплазии, то здесь, видимо, следует согласиться с мнением Л. М. Бернштейна и соавт. (1969), считающих, что в секреции неклассических фе- нолстероидов участвуют очаги стромальной гиперплазии.
Рис. 2. Кортикальная стромальная гиперплазия яичника. Окраска гематоксилин-эозином.Х 450.
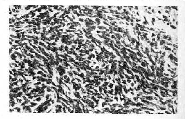
Выраженные изменения выявляются и в семенниках. Стенки семенных канальцев резко утолщаются вследствие усиления склеротических процессов, сопровождающихся выраженным угнетением сперматогенеза (рис 3). У онкологических больных уже в возрасте 30—39 лет в просветах семенных канальцев наблюдаются уменьшение, а часто и полное исчезновение сперматид и сперматозоидов, что, по-видимому, можно объяснить задержкой дальнейшей дифференцировки сперматоцитов. Наряду с этим, особенно при прогрессировании опухоли, происходит угнетение и сравнительно ранних фаз сперматогенеза. В более поздних стадиях опухолевого роста в канальцах остаются лишь сперматогонии и поддерживающие клетки.
Рис. 3. Угнетение сперматогенеза у мужчины 34 лет, больного раком желудка. Окраска гематоксилин-эозином.Х 308.
Столь глубокое угнетение процесса сперматогенеза при раке вызвано, по нашему мнению, рядом факторов. Определенное значение в этом случае имеют склеротические процессы в базальных мембранах семенных канальцев и воздействие продуктов метаболизма опухоли на семенные клетки. Важная роль должна быть отведена снижению гонадотропной функции гипофиза в связи с атрофическими процессами в нем, усиливающимися при раке [3, 5], а также падению андрогенообразующей функции гландулоцитов, снижающему выработку тестостерона. Последний, как полагают [6, 7]і стимулирует переход сперматоцитов 1 и 2-го порядка в сперматиды и далее в сперматозоиды.
Наши исследования показывают, что процентное соотношение различных типов гландулоцитов в семенниках онкологических больных совершенно иное, чем у здоровых. Относительное количество активных средних клеток при раке резко снижено и во всех возрастных группах чаще всего соответствует тому количеству средних клеток, которое обнаруживается у здоровых людей лишь после 70 лет. Во всех наблюдениях было отмечено значительное увеличение числа инволюционирующих клеток, представляющих собой различные стадии гибели функционально активных гландулоцитов. Мы считаем, что быстрая гибель функционально активных интерстициальных клеток обусловлена не столько непосредственным воздействием на них продуктов обмена опухоли, сколько снижением гонадотропной функции гипофиза, нарушением механизма обратной связи в системе передняя доля гипофиза — гонады и расстройством деятельности щитовидной и надпочечных желез.
Что касается сустентоцитов, то количество их при раке существенно не меняется, однако активность, по-видимому, возрастает. Об этом свидетельствует интенсивное накопление в цитоплазме клеток нейтральных липидов и РНК, что может до известной степени объяснить одну из причин увеличения уровня эстрогенов в организме больных раком.
Значительные изменения в процессе развития опухоли претерпевают щитовидная железа и ее фолликулярный аппарат. Меняются тинкториальные свойства коллоида, который, становясь более плотным, интенсивно окрашивается кислыми красками; фолликулярный эпителий уплощается; уменьшается диаметр ядер; в цитоплазме клеток накапливаются липиды; снижается концентрация РНК, что указывает на снижение активности железы. Еще более наглядно демонстрирует снижение функциональной активности органа содержание в нем йода. На ранних этапах развития рака уменьшается количество белковосвязанного и увеличивается содержание неорганического йода, что, с нашей точки зрения, связано с нарушением синтеза тиреоидных гормонов в силу снижения утилизации неорганического йода. В более поздних стадиях рака количество белковосвязанного йода увеличивается, что мы расцениваем как результат нарушения инкреции тиреоидных гормонов.
Наши исследования показывают, что в процессе развития рака изменяются и другие функционально активные структуры щитовидной железы, в частности С- и В-клетки. Исчезновение или резкое снижение числа С-клеток, которое констатировано во всех наблюдениях, является, по нашему мнению, одной из причин гиперкальциемии у онкологических больных [4], а увеличение количества Внклеток (рис. 4) и, как следствие этого, накопление серотонина могут служить факторами, ингибирующими секреторную функцию органа [8].
Рис. 4. Пролиферация В-клеток в парафолликулярном пространстве щитовидной железы у больного раком легкого. Окраска гематоксилин- эозином.Х 492.
Изучение тимуса больных раком показывает, что изменения, происходящие в нем, нельзя объяснить лишь явлениями акциденталь- ной инволюции и уменьшением веса органа. Более того, в ¼ части наблюдений, касающихся главным образом случаев с преимущественным лимфогенным метастазированием и метастазированием опухоли в надпочечники, вес тимуса достоверно превышал вес желез умерших от неопухолевых заболеваний. Диаметр телец Гассаля при раке был меньше (51,0 ± 5,5 мкм), чем в контроле (90 ± ± 3,5 мкм); снижалось и количество тимических телец. В 92% наблюдений обнаруживались пиронинофильные формы тимоцитов (в контроле — 36 — 45%), в 40% случаев— крупные PÀ-позитивные клетки. Функциональное значение выявленных сдвигов пока неясно и является предметом дальнейших исследований.
Изменения, установленные нами в эндокринных железах и гонадах, хорошо коррелируются с изменениями нейросекреторной функции гипоталамуса и нейро- и аденогипофиза. В нейросекреторных супраоптических и паравентрикулярных ядрах отмечалась выраженная разреженность клеточных полей. Значительное число нейронов находилось в состоянии дистрофии или гибели. При гибели нейронов на фоне клеток-теней определялись «россыпи» нейросекрета. Имело место снижение содержания нейросекрета в клетках нейросекреторных ядер гипоталамуса. Нейросекрет располагался, как правило, перинуклеарно, почти не встречался в отростках клеток и капиллярах и имел вид мелких гранул, дающих слабо выраженную ШИК-реакцию.
В нейрогипофизе нейросекрет обнаруживался не часто и только в виде мелких пылевидных гранул. В аденогипофизе отмечалось снижение числа базофилов, количество ацидофилов существенно не изменялось. Наблюдался значительный склероз стромы, обращало на себя внимание малое содержание коллоида, который располагался в виде гомогенной или вакуолизированной массы в мелких кистах на границе долек либо в виде небольших капель в трабекулах. Наши исследования показывают, что процесс возникновения и развития опухоли в герминативных органах и в различных звеньях эндокринной системы сопровождается изменениями, аналогичными инволютивным, но в значительной степени агравированными, смещенными к более молодому возрасту и определяемыми стадией развития опухоли и ее длительностью.
Действие опухоли на гонады и эндокринные органы имеет сложный генез и выявляется, с одной стороны, непосредственным действием опухоли на структурно- функциональную организацию эндокринной системы и гонад, а с другой — воздействием на микроциркуляторное русло, что сопровождается склеротическими процессами как в сосудах, так и в строме органов.
Являясь вторичными и развиваясь на фоне обычной возрастной инволюции, эти изменения касаются прежде всего системы гипоталамус—гипофиз. Нарушения функции в системе гипоталамус—гипофиз ведут к изменениям тропной стимуляции периферических эндокринных желез, а склеротические процессы в микроциркуляторном русле и строме — к расстройству механизмов обратной связи в аппарате регулирования деятельности желез и к дезорганизации деятельности эндокринной системы в целом. Все это влечет за собой снижение и извращение функции желез и нарушение гормонального, в частности стероидного гомеостаза.
Подобные изменения являются одним из факторов, снижающих герминативные возможности организма. Кроме того, они могут влиять на процессы клеточного метаболизма, вызывать депрессию генов, сдвиги белкового синтеза, нарушение процессов окислительного фосфорилирования, структуры и функции клеточных мембран, расстройство функции иммунокомпетентных органов. В результате воздействия этих факторов возможно не только возникновение опухолевого роста, но и стимуляция уже возникшей опухолевой пролиферации.
Резюмируя сказанное, следует подчеркнуть сложность характера и патогенеза функциональных и морфологических изменений гонад и различных звеньев эндокринной системы, которые определяются многими факторами (см. схему).
Не претендуя на исчерпывающее решение вопроса, мы предлагаем эту схему в качестве рабочей гипотезы.
Об авторах
В. А. Добрынин
Казанский ордена Трудового Красного Знамени медицинский институт им. С. В. Курашова
Автор, ответственный за переписку.
Email: info@eco-vector.com
Кафедра патологической анатомии
Россия, КазаньН. М. Калугина
Казанский ордена Трудового Красного Знамени медицинский институт им. С. В. Курашова
Email: info@eco-vector.com
Кафедра патологической анатомии
Россия, КазаньЮ. Г. Забусов
Казанский ордена Трудового Красного Знамени медицинский институт им. С. В. Курашова
Email: info@eco-vector.com
Кафедра патологической анатомии
Россия, КазаньК. Д. Гатауллин
Казанский ордена Трудового Красного Знамени медицинский институт им. С. В. Курашова
Email: info@eco-vector.com
Кафедра патологической анатомии
Россия, КазаньС. Б. Петров
Казанский ордена Трудового Красного Знамени медицинский институт им. С. В. Курашова
Email: info@eco-vector.com
Кафедра патологической анатомии
Россия, КазаньВ. А. Абдулъянов
Казанский ордена Трудового Красного Знамени медицинский институт им. С. В. Курашова
Email: info@eco-vector.com
Кафедра патологической анатомии
Россия, КазаньСписок литературы
- Бернштейн Л. М., Бохман Я- В., Мандельштам В. А., Дильман В. М. Вопр. онкол., 1969, 4.
- Ирд Е. А. Фолликулярные кисты яичников и дисгормональные опухоли. М.-Л., Медицина, 1966.
- Калугина H. М. В кн.: Материалы V республиканской онкологической конференции. Изд-во Казан, ун-та. 1974.
- Кашулина А. И., Терещенко И. П. Пат. физиол., 1973, 5.
- Чаусов В. Л. В кн.: Труды VIII съезда анатомов, гистологов и эмбриологов. Тбилиси, 1965.
- Тетер Е. Гормональные нарушения у мужчин и женщин. Варшава, 1968.—
- Clermont J. Am. J. Anat., 112, 35.— 8. Melander A., Sindler F. Interaction Endocrinology, 1972, 90, 1.
Дополнительные файлы







