Редкий клинический случай синдрома Лемьера
- Авторы: Хаертынов Х.С.1, Анохин В.А.1, Николаева И.В.1, Хамидуллина З.Л.2, Идрисова И.Р.2
-
Учреждения:
- Казанский государственный медицинский университет
- Республиканская клиническая инфекционная больница им. А.Ф. Агафонова
- Выпуск: Том 103, № 3 (2022)
- Страницы: 504-508
- Раздел: Клинические наблюдения
- Статья получена: 12.12.2021
- Статья одобрена: 31.03.2022
- Статья опубликована: 09.06.2022
- URL: https://kazanmedjournal.ru/kazanmedj/article/view/90264
- DOI: https://doi.org/10.17816/KMJ2022-504
- ID: 90264
Цитировать
Полный текст
Аннотация
Синдром Лемьера — клинический вариант сепсиса, характеризующийся сочетанием инфекционного процесса в ротоглотке с тромбозом внутренней яремной вены и метастатическими септическими очагами. В настоящее время синдром Лемьера — достаточно редкая патология, почти «забытая болезнь». В статье описывается случай синдрома Лемьера, при котором у 20-летней пациентки течение острого тонзиллофарингита осложнилось тромбозом левой внутренней яремной вены и метастазом септических очагов в лёгкие. Процесс сопровождался системной воспалительной реакцией и тромбоцитопенией. Микроорганизм из крови не был выделен. В посевах из ротоглотки обнаружена Klebsiella pneumonia. Лечение включало антибактериальную терапию цефтриаксоном и азитромицином, введение глюкозо-солевых растворов, применение антикоагулянтов, местную антисептическую обработку полости рта. Температура тела нормализовалась на 3-й день госпитализации, воспалительные изменения купировались через 9 дней. Пациентка выписана домой на 12-й день госпитализации в удовлетворительном состоянии. Синдром Лемьера по-прежнему представляет собой угрожающее жизни состояние, независимо от того, как и чем он был спровоцирован. По этой причине ранняя диагностика и антибактериальная терапия имеют решающее значение в благоприятном исходе синдрома.
Ключевые слова
Полный текст
Синдром Лемьера — клинический вариант сепсиса, характеризующийся сочетанием инфекционного процесса в ротоглотке с тромбозом внутренней яремной вены и метастатическими септическими очагами [1].
Заболевание названо по имени французского бактериолога Andre-Alfred Lemierre, впервые описавшего в 1936 г. 20 случаев бактериемии у пациентов после перенесённой ротоглоточной инфекции [2]. В настоящее время синдром Лемьера — достаточно редкая патология, почти «забытая болезнь». Летальность при этом заболевании в «доантибиотиковую эру» достигала 90% [2], а в настоящее время колеблется в диапазоне от 4 до 18% [3]. Основной причиной синдрома Лемьера традиционно считают анаэробные грамотрицательные бактерии Fusobacterium necrophorum, реже это другие микроорганизмы — стрептококки, Staplylococcus aureus, Klebsiella pneumoniae [1, 4, 5]. По данным K.M. Johannesen и соавт., на долю F. necrophorum приходится около 30% всех случаев заболевания [4].
В течении заболевания классически выделяют несколько стадий:
1) воспалительный процесс в тканях ротоглотки, при котором формируются условия для размножения анаэробных бактерий;
2) распространение инфекции из ротоглотки в латеральное глоточное пространство и мягкие ткани шеи;
3) тромбофлебит внутренней яремной вены;
4) бактериемия (септицемия);
5) формирование септических очагов.
В 97% случаев септические очаги локализуются в лёгких, реже — в других органах и системах (печени, почках, костно-суставной, центральной нервной системе) [6, 7].
Ниже приводим случай синдрома Лемьера, который мы наблюдали у пациентки 20 лет.
Больная А. поступила в инфекционную больницу на 7-й день болезни с жалобами на повышение температуры тела до 39,5 °С, слабость и боли в горле при глотании с иррадиацией в левое ухо. Лечилась амбулаторно — принимала имидазолилэтанамид пентандиовой кислоты (ингавирин) и парацетамол. Антибактериальную терапию не получала. В контакте с инфекционными больными не была. Среди перенесённых ранее заболеваний — пиелонефрит.
Состояние при госпитализации средней тяжести за счёт интоксикации. Температура тела 38,5 °С, сознание ясное, менингеальные знаки отрицательные, очаговой неврологической симптоматики нет. Кожные покровы физиологической окраски, сыпи нет. В зеве — яркая гиперемия, на миндалинах, которые увеличены до II степени, — наложения белого цвета. Отёка мягких тканей зева нет. Отмечен умеренно выраженный отёк шеи слева в проекции venae jugularis. Заднешейные лимфатические узлы слева увеличены до 1,5 см. Дыхание проводится по всем полям, хрипов нет. Тоны сердца ритмичные, ясные. Частота сердечных сокращений 92 в минуту, частота дыхания 18 в минуту, сатурация крови кислородом 99%. Живот правильной формы, мягкий, безболезненный. Печень и селезёнка не увеличены. Симптом Пастернацкого отрицательный. Мочеиспускание не нарушено.
Общий анализ крови в день госпитализации: эритроциты 3,7×1012/л, гемоглобин 113 г/л, лейкоциты 19,9×109/л, нейтрофилы палочкоядерные 11%, сегментоядерные 78%, эозинофилы 0%, моноциты 9%, лимфоциты 2%, тромбоциты 25×109/л.
Общий анализ мочи: удельный вес 1020, белок 0,32 г/л, лейкоциты 4–5 в поле зрения, эритроциты 1–2 в поле зрения.
Биохимический анализ крови: общий билирубин 52 ммоль/л, прямой билирубин 29,7 ммоль/л, аланинаминотрансфераза 29 ЕД/л, аспартатаминотрансфераза 45 ЕД/л, глюкоза 5,9 ммоль/л, мочевина 28,8 ммоль/л, креатинин 188 мкмоль/л, С-реактивный белок 252 мг/л.
В коагулограмме явные признаки тромбофилии: протромбиновый индекс по Квику 108%, международное нормализованное отношение 0,98, фибриноген 8,1 г/л, активированное частичное тромбопластиновое время 24 с.
Проведено ультразвуковое исследование (УЗИ) сосудов шеи: в просвете левой яремной вены визуализированы гиперэхогенные тромботические массы (рис. 1, 2).
Рис. 1. Ультразвуковое исследование левой внутренней яремной вены (поперечный срез). Визуализируются тромботические массы
Рис. 2. Ультразвуковое исследование левой внутренней яремной вены (продольный срез). Визуализируются тромботические массы
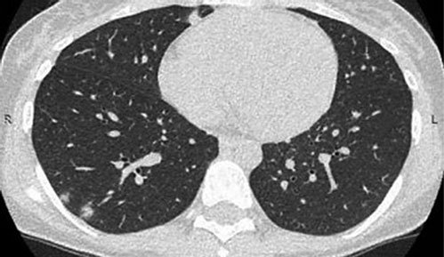
В тот же день была проведена компьютерная томография органов грудной клетки: в обоих лёгких выявлены очаги уплотнения лёгочной ткани (рис. 3).
Рис. 3. Компьютерная томография органов грудной клетки. Визуализируются очаги инфильтрации лёгочной ткани
При поведении УЗИ почек установлены признаки острого нефрита и двусторонней пиелоэктазии: контуры почек чёткие, ровные, положение почек не изменено; размеры левой почки 126×51 мм, правой — 122×51 мм, толщина паренхимы левой почки 22 мм, правой — 20 мм; дифференциация между мозговым и корковым слоем сохранена; чашечно-лоханочная система уплотнена, расширена: лоханка справа до 3 мм, слева — до 14 мм.
В анализе мочи по Нечипоренко лейкоциты 3333 в 1 мл, эритроциты 7770 в 1 мл.
Из зева и носа была выделена Klebsiella pneumoniae в количестве 103 КОЕ/мл1, чувствительная к амоксициллину + клавулановой кислоте, цефтриаксону, цефотаксиму, цефепиму, но устойчивая к ампициллину. Посев крови на стерильность роста микрофлоры не выявил.
Проведено обследование на маркёры вирусных гепатитов, геморрагической лихорадки с почечным синдромом и инфекцию, вызванную вирусом иммунодефицита человека (ВИЧ): антитела (иммуноглобулины классов М и G) к хантавирусам, поверхностный антиген вируса гепатита В, антитела к вирусу гепатита С и ВИЧ не выявлены. Проведено также исследование мазка из зева и носа на коронавирусную инфекцию COVID-19 — рибонуклеиновая кислота SARS-CoV-2 не обнаружена.
С учётом полученных результатов был выставлен диагноз «синдром Лемьера».
На 2-й день болезни для дальнейшего лечения пациентка была переведена в хирургическое отделение университетской клиники Казанского федерального университета. Лечение включало антибактериальную терапию цефтриаксоном и азитромицином, введение глюкозо-солевых растворов, антикоагулянтную терапию (первые 2 дня нефракционированный гепарин, затем ривароксобан), полоскание горла раствором хлоргексидина. На фоне проводимой терапии температура тела нормализовалась уже на 3-й день госпитализации, воспалительные изменения в крови купировались через 9 дней. При повторном проведении УЗИ сосудов шеи, выполненном через 11 дней после первого исследования, отмечена положительная динамика: эхогенность тромботических масс в просвете яремной вены увеличилась.
Пациентка была выписана домой на 12-й день госпитализации в удовлетворительном состоянии. По данным УЗИ сосудов шеи, выполненного через месяц после выписки, признаков тромбоза не было.
Приведённый случай интересен с нескольких позиций. Неполный в плане возможной расшифровки природы заболевания комплекс лабораторного обследования даёт основание ретроспективно обсудить несколько версий.
Первая версия. Развитие классического симптомокомплекса синдрома Лемьера: тонзиллофарингит, тромбоз левой внутренней яремной вены и метастатические септические очаги в лёгких. Изменения в биохимическом анализе крови, позволяющие рассматривать их как признаки компенсированного варианта полиорганной недостаточности: повышенный уровень билирубина и креатинина, тромбоцитопения в сочетании с имеющимся очагом инфекции (тонзиллит) соответствует представлениям о септическом процессе. Микроорганизм из крови у пациентки не был выделен. Как известно, частота выделения бактерий из крови при сепсисе не превышает 45% [8].
В то же время, в посевах из зева и носа была выделена K. pneumonia, что с учётом локализации первичного очага инфекции в ротоглотке позволило связать заболевание именно с этим микроорганизмом. K. pneumonia входит в состав микрофлоры пищеварительного тракта, кожи и носоглотки человека и может вызывать широкий спектр инфекций: пневмонию, менингит, инфекции пищеварительного тракта и мочевыводящих путей, сепсис [9]. Риск развития инвазивных форм клебсиеллёзной инфекции ассоциируется с факторами вирулентности возбудителя, в частности с фимбриями III типа, обеспечивающими адгезию клебсиелл к эндотелию сосудов [10], и гипермукоидным фактором, с которым связывают формирование метастатических септических очагов [11]. Самыми частыми дистантными септическими очагами при синдроме Лемьера, обусловленном K. pneumonia, бывают лёгкие (56%) [5], реже — суставы, головной мозг, печень и перикард [12].
В приведённом случае вторичный септический очаг локализовался в лёгких. Выделенный у пациентки штамм K. pneumonia был чувствителен к цефалоспоринам III поколения, что обеспечило эффективность терапии цефтриаксоном.
Второй возможный вариант: отсутствие специального обследования пациентки на предмет инфекции, вызванной вирусом Эпштейна–Барр, не позволяет нам однозначно исключить и этот процесс. Ведь в комплексе объективного обследования были обнаружены увеличенные заднешейные лимфатические узлы, у больной держалась высокая лихорадка на протяжении 7 дней, да и упомянутая выше полиорганность изменений по данным лабораторного обследования потенциально могут быть признаками именно этой вирусной инфекции. Тем более что выделенная клебсиелла не является традиционным (в отличие от стрептококка) возбудителем гнойного тонзиллофарингита. Более того, осложнение инфекционного мононуклеоза в форме синдрома Лемьера — явление, ранее уже регистрируемое [13, 14].
Несмотря на все возможные варианты исходного заболевания, синдром Лемьера в конечном итоге — классический бактериальный процесс (точнее процесс, ассоциированный с бактериальной инфекцией), требующий использования антибактериальных средств, направленных именно против конкретного микроорганизма. При процессе, обусловленном F. necrophorum, в качестве эмпирической терапии рекомендуют использовать β-лактамные антибиотики: ампициллин + сульбактам или пиперациллин + тазобактам [5].
Учитывая, что одна из составляющих синдрома — тромбоз яремной вены, важнейшим направлением терапии становится использование антикоагулянтов. Единого мнения в выборе препаратов антикоагулянтной терапии и порядка её применения при синдроме Лемьера нет. Одни авторы считают необходимым использование антикоагулянтов во всех случаях заболевания [15, 16], другие — только при распространении тромбоза в пазухи головного мозга или отсутствии положительной динамики на фоне антибактериальной терапии [17]. В литературном обзоре, приведённом K.M. Johannesen и U. Bodtger (2016), различий в смертности пациентов с синдромом Лемьера, получавших и не получавших антикоагулянтную терапию, выявлено не было [4], что свидетельствует о ключевой роли антибактериальной терапии в прогнозе заболевания.
Синдром Лемьера по-прежнему представляет собой угрожающее жизни состояние, независимо от того, как и чем он был спровоцирован. По этой причине ранняя диагностика и антибактериальная терапия имеют решающее значение в исходе синдрома, что и подтверждает приведённый нами случай.
Участие авторов. Х.С.Х. — руководство работой; В.А.А. и И.В.Н. — проведение исследования; З.Л.Х. и И.Р.И. — сбор и анализ результатов.
Источник финансирования. Исследование не имело спонсорской поддержки.
Конфликт интересов. Авторы заявляют об отсутствии конфликта интересов по представленной статье.
Об авторах
Халит Саубанович Хаертынов
Казанский государственный медицинский университет
Автор, ответственный за переписку.
Email: khalit65@yandex.ru
ORCID iD: 0000-0002-9013-4402
докт. мед. наук, доц., каф. детских инфекций
Россия, г. Казань, РоссияВладимир Алексеевич Анохин
Казанский государственный медицинский университет
Email: anokhin56@mail.ru
ORCID iD: 0000-0003-1050-9081
докт. мед. наук, проф., зав. каф., каф. детских инфекций
Россия, г. Казань, РоссияИрина Венидиктовна Николаева
Казанский государственный медицинский университет
Email: irinanicolaeva@mail.ru
ORCID iD: 0000-0002-6646-302X
докт. мед. наук, проф., зав. каф., каф. инфекционных болезней
Россия, г. Казань, РоссияЗульфия Локмановна Хамидуллина
Республиканская клиническая инфекционная больница им. А.Ф. Агафонова
Email: khamidullinaZulfiya@mail.ru
ORCID iD: 0000-0002-9056-8964
зав. отделением
Россия, г. Казань, РоссияИльсеяр Ришатовна Идрисова
Республиканская клиническая инфекционная больница им. А.Ф. Агафонова
Email: ikvadrate@mail.ru
ORCID iD: 0000-0002-9305-4950
врач ультразвуковой диагностики
Россия, г. Казань, РоссияСписок литературы
- Riordan T, Wilson M. Lemierre’s syndrome: more than a historical curiosa. Postgrad Med J. 2004;80:328–334. doi: 10.1136/pgmj.2003.014274.
- Lemierre A. On certain septicemias due to anaerobic organisms. Lancet. 1936;227(5874):701–703. doi: 10.1016/S0140-6736(00)57035-4.
- Syed MI, Baring D, Addidle M, Murray C, Adams C. Lemierre syndrome: Two cases and a review. Laryngoscope. 2007;117(9):1605–1610. doi: 10.1097/MLG.0b013e318093ee0e.
- Johannesen KM, Bodtger U. Lemierre’s syndrome: current perspectives on diagnosis and management. Infect Drug Resist. 2016;9:221–227. doi: 10.2147/IDR.S95050.
- Chuncharunee A, Khawcharoenporn T. Lemierre’s syndrome caused by Klebsiella pneumoniae in a diabetic patient: A case report and review of the literature. Hawaii J Med Public Health. 2015;74(8):260–266. PMID: 26279962.
- Asnani J, Jones S. Case review. Lemierre’s syndrome. J Fam Pract. 2014;63:193–196.
- Kuppalli K, Livorsi D, Talati NJ, Osborn M. Lemierre’s syndrome due to Fusobacterium necrophorum. Lancet Infect Dis. 2012;12:808–815. doi: 10.1016/S1473-3099(12)70089-0.
- Савельев В.А., Гельфанд Б.Р. Сепсис: классификация, клинико-диагностическая концепция и лечение. Москва: Медицинское информационное агентство; 2013. 354 c.
- Navon-Venezia S, Kondratyeva K, Carattoli A. Klebsiella pneumoniae: a major worldwide source and shuttle for antibiotic resistance. FEMS Microbiol Rev. 2017;41(3):252–275. doi: 10.1093/femsre/fux013.
- Lee SS, Chen YS, Tsai HC, Wann ShR, Lin HH, Huang ChK, Liu YCh. Predictors of septic metastatic infection and mortality among patients with Klebsiella pneumoniae liver abscess. Clin Infect Dis. 2008;47(5):642–650. doi: 10.1086/590932.
- Fang CT, Chuang YP, Shun CT, Chang SC, Wang JT. A novel virulence gene in Klebsiella pneumoniae strains causing primary liver abscess and septic metastatic complications. J Exp Med. 2004;199(5):697–705. doi: 10.1084/jem.20030857.
- Eilbert W, Singla N. Lemierre’s syndrome. Int J Emerg Med. 2013;6:40. doi: 10.1186/1865-1380-6-40.
- Chacko EM, Krilov LR, Patten W, Lee PJ. Lemierre's and Lemierre's-like syndromes in association with infectious mononucleosis. J Laryngol Otol. 2010;124(12):1257–1262. doi: 10.1017/S0022215110001568.
- Riordan T. Human infection with Fusobacterium necrophorum (Necrobacillosis), with a focus on Lemierre's syndrome. Clin Microbiol Rev. 2007;20(4):622–659. doi: 10.1128/CMR.00011-07.
- Goldenhagen J, Alford BA, Prewitt LH, Thompson L, Hostetter MK. Suppurative thrombophlebitis of the internal jugular vein: report of three cases and review of the pediatric literature. Pediatric Infect Dis J. 1988;7(6):410–414. doi: 10.1097/00006454-198806000-00008.
- Carlson ER, Bergamo DF, Coccia CT. Lemierre’s syndrome: two cases of a forgotten disease. J Oral Maxillofac Surg. 1994;52(1):74–78. doi: 10.1016/0278-2391(94)90019-1.
- Lu MD, Vasavada Z, Tanner C. Lemierre syndrome following oropharyngeal infection: a case series. J Am Board Fam Med. 2009;22(1):79–83. doi: 10.3122/jabfm.2009.01.070247.
Дополнительные файлы





