Саркоидоз: этиология, патогенез, клиника, диагностика и лечение
- Авторы: Визель А.А.1
-
Учреждения:
- Казанский государственный медицинский университет
- Выпуск: Том 81, № 1 (2000)
- Страницы: 66-75
- Раздел: Лекции
- Статья получена: 12.01.2022
- Статья одобрена: 12.01.2022
- Статья опубликована: 02.02.2022
- URL: https://kazanmedjournal.ru/kazanmedj/article/view/96243
- DOI: https://doi.org/10.17816/kazmj96243
- ID: 96243
Цитировать
Полный текст
Аннотация
Относительная редкость саркоидоза, чаще всего случайность выявления, но в то же время возможность поражения всех систем организма человека (не описаны только поражения надпочечников) требуют напоминания о саркоидозе врачам всех специальностей. Лекция эта основана на обзоре более 1000 публикаций (их цитирование превысило бы объем статьи, а в информационной системе Медлайн в августе 1999 г. было доступно 13175 работ о саркоидозе). Кроме того, в ней изложен скромный опыт работы автора в этой области в течение последних 20 лет.
Ключевые слова
Полный текст
Относительная редкость саркоидоза, чаще всего случайность выявления, но в то же время возможность поражения всех систем организма человека (не описаны только поражения надпочечников) требуют напоминания о саркоидозе врачам всех специальностей. Лекция эта основана на обзоре более 1000 публикаций (их цитирование превысило бы объем статьи, а в информационной системе Медлайн в августе 1999 г. было доступно 13175 работ о саркоидозе). Кроме того, в ней изложен скромный опыт работы автора в этой области в течение последних 20 лет.
Саркоидоз — хроническое мультисистемное гранулематозное заболевание неизвестной этиологии. Оно характеризуется образованием во многих органах эпителиоидноклеточных неказеифицированных гранулем, нарушением нормальной архитектуры пораженного органа или органов, лечение которого до конца не обосновано. Данное заболевание является хроническим, поскольку может продолжаться длительный период, при этом пациент не всегда чувствует себя больным. Понятие “мультисистемное” означает, что саркоидоз одновременно может поражать несколько органов или систем организма. Для саркоидоза в 90% случаев типично поражение легких. Одновременно в патологический процесс могут быть вовлечены лимфатические узлы, селезенка, слюнные железы, кожа, кости, суставы, мышцы и глаза. Реже встречается саркоидоз печени, почек, сердца и нервной системы. Эпитет “гранулематозное” подчеркивает наличие мелких воспалительных узелков или гранулем в пораженной ткани. Термин “гранулема” происходит от латинского слова, означающего небольшое зерно или гранулу. Гранулема представляет собой скопление иммунных клеток, которые в норме участвуют в защитных реакциях организма. Эти образования обнаруживают как во внутренних органах, так и в коже. Понятие “аутоиммунное” применительно к саркоидозу означает, что болезнь характеризуется специфическим иммунным ответом не только на чужеродные агенты, но и на компоненты собственных тканей организма.
Впервые заболевание было описано в Англии дерматологом Джонатаном Хатчинсоном (Jonathan Hutchinson) в 1869 г. Он обнаружил на коже тыльной поверхности верхних и нижних конечностей многочисленные бляшки красно-пурпурного цвета и назвал этот синдром папиллярным псориазом. В 1889 г. французский дерматолог Бенье (Е.Besnier) подобную картину назвал ознобленной волчанкой (lupus pernio). Он впервые описал вовлечение в процесс лимфатических узлов. В 1897 г. норвежский дерматолог Цезарь Бек (Caesar Boeck) подтвердил ранее отмеченные гистологические изменения, определив их как множественные доброкачественные саркоиды кожи, поскольку обнаружил гигантские клетки, сходные с саркоматозными, но без митоза. Именно Ц.Бек дал заболеванию его нынешнее название, происходящее от греческих слов “sark” и “oid”, что обозначает “подобный мясу”. В 1899 г. Бек установил, что кожные проявления саркоидоза могут сочетаться с иритом, конъюнктивитом, поражением слизистой оболочки носа, околоушных и подчелюстных желез. Он впервые применил термин “саркоидоз кожи”, основываясь на внешнем сходстве изменений кожи с саркомой.
Привычный и патогномоничный в понимании современных врачей симптом саркоидоза — двустороннюю лимфаденопатию корней легких — в 1916 г. охарактеризовал Шауманн (J.Shaumann). В 1948 г. на конференции в Вашингтоне был принят термин “саркоидоз”. Последний был выделен как самостоятельная нозологическая форма, однако по сей день этиология этого заболевания точно не установлена, потому мы можем обсудить лишь этиологические гипотезы его возникновения.
Этиология саркоидоза. Наиболее часто и давно обсуждается инфекционная природа саркоидоза. Сходство гистологических изменений — образование гранулем — обусловливает поиск связи с туберкулезом. Исследования, которые уже более 20 лет ведутся в Центральном НИИ туберкулеза РАМН под руководством А.Г. Хоменко, свидетельствуют о наличии в мокроте каждого второго больного саркоидозом зернистых форм микобактерий. Ученые связывали их присутствие с рецидивирующим течением саркоидоза, однако противотуберкулезные препараты на течение саркоидоза не влияли и ни у одного больного с высевом этих особенных культур не произошло развития туберкулеза. В некоторых работах из Франции можно встретить данные о наличии IgG и IgA антител к микобактериальным антигенам в лаважной жидкости из бронхов больных саркоидозом. В Китае в 1998 г. был описан случай сочетания туберкулеза и саркоидоза. В то же время еще в 1975 г. А.Е. Рабухин писал, что саркоидоз вряд ли вызывается микобактериями туберкулеза, равно как нет достаточных оснований рассматривать саркоидоз и как своеобразный микобактериоз.
С внедрением полимеразной цепной реакции (ПЦР), позволяющей идентифицировать ДНК возбудителя, появляется все больше работ, в которых роль туберкулеза в развитии саркоидоза отрицается, поскольку в биоптатах тканей, пораженных саркоидозом, не находят ДНК М. tuberculosis. Выявление микобактерий тонкими методами у больных саркоидозом может отражать лишь высокую инфицированность населения микобактериями.
Очень сходны с туберкулезной и другие инфекционные гипотезы. Тем же ПЦР-методом в Японии в саркоидных гранулемах находят пропионовокислые бактерии, в Болгарии и Италии обнаруживают ДНК Chlamydia pneumoniae, в США — Corynebacterium acne. В Японии высказываются предположения о связи саркоидоза с боррелиозом (Лаймский боррелиоз — мультисистемное заболевание, вызываемое Borrelia burgdorferi).
Однако в Китае эти гипотезы не подтверждаются. Вирусологи Европейских стран и России ищут связь саркоидоза с аденовирусами, вирусами коревой краснухи, вирусом Коксаки В (Coxsackie В), хантавирусами (особенно Clethrionomys Puumala). В то же время исследования токийских ученых не установили связи саркоидоза с присутствием цитомегаловируса, вируса Эпштейна —Барра (Epstein—Barr) и вируса простого герпеса. Всему этому противоречат результаты исследований из Северной Каролины, которые показали, что в гомогенатах пораженной саркоидозом селезенки чужеродной ДНК нет.
Поиск некоего возбудителя саркоидоза продолжается и в настоящее время. Однако было бы нелогично оспаривать тот факт, что роль инфекции в развитии саркоидоза может состоять в постоянной антигенной стимуляции, приводящей к нарушению регуляции выработки цитокинов и последующему каскаду измененных иммунных реакций. Известны три типа причин образования эпителиоидноклеточных гранулем: инфекции (бактерии и грибы), факторы растительного и животного происхождения (пыльца, споры, белки) и металлы. Кроме того, остается группа гранулематозов неизвестной этиологии, к которым пока относят и саркоидоз. Специалисты госпиталя Джона Хопкинса (Балтимор, США) полагают, что это заболевание полиэтиологично, что решающим является сочетание ряда наследственных факторов, воздействия окружающей среды и инфекционных агентов.
Многие саркоидологи полагают, что причина заболевания кроется в сочетании генетической предрасположенности с воздействием окружающей среды. Проявления генетической предрасположенности связаны с расовыми и географическими различиями. В США семейный саркоидоз среди афро-американцев встречается в 17% случаев, а среди белых — в 6%, в Голландии составляет 16,3%, тогда как в Марокко семейный саркоидоз редок (2%). Единичные случаи саркоидоза близнецов отмечены в Японии.
Воздействие профессиональных факторов (металлических пылей, промышленных дымов) может приводить к формированию гранулем^ не имеющих отношения к саркоидозу. Так, в США была описана “вспышка саркоидоза” у моряков. Детальное расследование инцидента выявило пылевую патологию легких, связанную со шлифованием палуб военных кораблей. А.Е. Рабухин в 70—е годы упоминал в качестве этиологического фактора пыльцу сосны. Но если связь частоты саркоидоза в 50—70-е годы в штате Флорида была связана с местностью, где много сосновых лесов, то в Дании и Швейцарии такой связи не было. Широкое распространение наркомании требует напомнить о том, что вдыхание кокаина может вызывать на рентгенограммах сходные с саркоидозом изменения, но гистологически при этом гранулемы не обнаруживаются.
Среди более экзотических гипотез можно отметить присутствие общих антигенов при саркоидозе и псориазе. Саркоидные реакции встречаются в работах, посвященных применению антиретровирусных препаратов. Недавно появились высказывания о том, что развитие саркоидоза может спровоцировать применение интерферона-сх.
Если этиология саркоидоза пока остается полной загадкой, то патогенез и проявления этого заболевания изучены достаточно глубоко.
Патогенез саркоидоза. Под воздействием пока неизвестного фактора (факторов) в организме заболевшего саркоидозом человека происходит иммунная перестройка. Т-лимфоциты устремляются в пораженный орган, они здесь активированы. Присутствие большого количества Т-клеток и альвеолярных макрофагов в пораженном саркоидозом легком приводит к локальному увеличению концентрации таких медиаторов, как интерлейкин 1, интерлейкин 2, фактор роста В-клеток, фактор дифференциации В-клеток, фактор роста фибробластов, фибронектин и других биологически активных веществ. Лимфокины активированных пролиферирующих лимфоцитов (Т-хелперов) способны стимулировать моноциты к образованию гранулем. Эти гранулемы могут спонтанно возникать и исчезать.
Известно, что интерлейкин 1р является цитокином, обладающим провоспалительными свойствами и, вероятно, играет роль в поддержании многих иммунопатологических явлений, наблюдаемых при саркоидозе. Интерлейкину 1 противодействует его эндогенный ингибитор — антагонист рецепторов к интерлейкину-1 (IRAP). Доказана локализация этого антагониста в саркоидной гранулеме, в отличие от непораженной окружающей легочной ткани. Колебания уровня IRAP могут быть фактором спонтанных ремиссий при саркоидозе.
В то же время иммунная функция Т-лимфоцитов, циркулирующих в крови, снижена, что проявляется отрицательными внутрикожными пробами с различными аллергенами (антигенами), вызывающими реакции гиперчувствительности замедленного типа. Потеря этой реактивности, кожная анергия — результат уменьшения количества циркулирующих иммунореактивных клеток, изъятых из кровообращения гранулематозным воспалением. Культура этих клеток in vitro не способна адекватно реагировать на вещества, которые в норме усиливают рост клеточной культуры. Они не могут вырабатывать необходимое количество комплемента и цитокинов. Этот дефицит в гиперчувствительности замедленного типа постоянен и часто не меняется даже при клиническом улучшении в течении заболевания. Предполагают, что к лимфопении и анергии приводит также замещение лимфоидной ткани саркоидными гранулемами.
В противоположность этому гуморальная иммунологическая реактивность у больных саркоидозом повышена — отмечен высокий уровень антителообразования В-лимфоцитами в ответ на попадание внешних антигенов, включая вирусы. Иммуноглобулины сыворотки крови могут быть в пределах нормы, за исключением IgE, уровень которого повышен почти у 50% пациентов. Комплемент сыворотки крови может быть повышен при активном саркоидозе, но приходит в норму при подостром или хроническом течении. В связи с этим интересны данные о том, что бактерицидная активность лаважной жидкости бронхов у больных саркоидозом выше, чем у здоровых людей. Она была связана с такими компонентами, как LL-37, лизоцим, ос-дефензины и антилейкопротеаза. Активация антибактериальной системы при саркоидозе объясняет редкое развитие у этих больных инфекций дыхательных путей.
Саркоидоз легких — первично интерстициальное заболевание, при котором воспалительный процесс поражает альвеолы, мелкие бронхи и мелкие кровеносные сосуды. Локальная клеточная реакция при саркоидозе легких начинается на уровне аэро-гематического барьера. В 90—100% случаев происходит повреждение эпителия и эндотелия и только позднее, с развитием фиброза, отмечается гиперплазия клеток II типа. Эти изменения рано распознаются при электронной микроскопии, когда световая микроскопия патологии еще не выявляет. По мнению большинства ученых, альвеолит является обязательным для последующего развития гранулемы при саркоидозе. Локализация воспаления в легких носит “бронхоцентрический” характер.
Образование гранулемы при саркоидозе происходит в присутствии таких цитокинов Т-хелперов 1, как IFN-y и интерлейкин 12, но при низком уровне цитокинов Т-хелперов 2 — интерлейкина 4 и интерлейкина S. Сравнительно недавно стало известно, что повышенный уровень интерлейкина 12 — одного из регуляторов Т-клеточных иммунных ответов отмечен в поражённых саркоидозом легких и лимфатических узлах, при этом его неконтролируемая выработка производилась стимулированными и нестимулированными альвеолярными макрофагами. TGF-p — ингибитор выработки интерлейкина 12 и IFN-y вырабатывается в больших количествах клетками легких у больных, находящихся в фазе ремиссии. Это, по-видимому, указывает на подавляющее влияние TGF-p на гранулематозное воспаление при саркоидозе.
Остается неясным, какие именно патогенетические механизмы ответственны за прогрессирование локального или диффузного фиброза с необратимой перестройкой легких, которая встречается у 20% больных саркоидозом. Известно, что альвеолярные макрофаги выделяют провоспалительные цитокины. Они высвобождают также инсулиноподобный фактор роста (IGF-1) — потенциально фиброгенный агент. Биодоступность IGF-1 в легких зависит как минимум от шести высокоаффинных IGF-связывающих белков, которые преимущественно подавляют действие IGF-1. У больных с саркоидозом III стадии этот фибробластный митогенный потенциал лаважной жидкости бронхов был в 3 раза выше нормального.
Биохимические исследования позволили заключить, что локальная выработка профиброгенного IGF-1 может регулироваться связывающими белками и протеазами, а ее нарушение может способствовать усиленному фиброгенезу у больных саркоидозом, развитию или прогрессированию легочного фиброза, механизм которого продолжают изучать.
Известно, что субъединица а фактора свертывания XIII и его активной формы FXIIIa продуцируется и клетками моноцитарного ряда. FXIIIa-позитивные макрофаги иммунохимически были обнаружены в периферической части гранулем, тогда как в центре они отсутствовали. Предполагается, что FXIIIaпродуцирующие макрофаги способствуют центрипетальному фиброзу в гранулеме.
Главный признак саркоидоза — неказеифицированнные эпителиоидные гранулемы. Они состоят из эпителиоидных клеток, макрофагов и многоядерных гигантских клеток, окруженных Т-лимфоцитами хелперами и фибробластами, тогда как казеозный некроз чаще всего отсутствует.
Лечение саркоидоза направлено на подавление локальной агрессии Т-клеток и ряда патогенетических механизмов развития саркоидоза. Если инфекционный фактор и играет какую-то роль в патогенезе саркоидоза, лечение этого заболевания не должно проводиться вместе с больными инфекционными заболеваниями. В России саркоидоз отнесен пока к VIII группе диспансерного учета в противотуберкулезных диспансерах и больным назначают противотуберкулезный препарат изониазид с профилактической целью. В Европе, США, Австралии, Японии такое положение вещей считается недопустимым и лечение больных саркоидозом проводится пульмонологами и врачами общей практики в строгой изоляции от заразных пациентов.
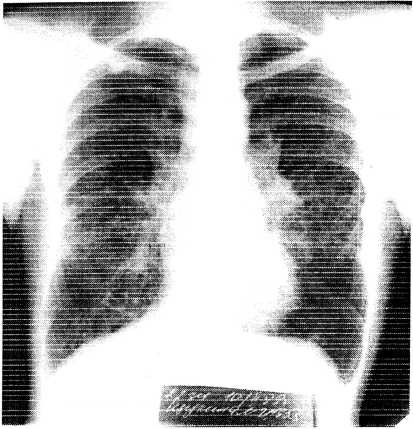
Клиника саркоидоза. В нашей стране саркоидоз чаще всего выявляют при плановых флюорографических осмотрах. Рентгенологи обнаруживают двустороннюю лимфаденопатию корней легких (иногда в сочетании с изменениями легочного рисунка или паренхимы легких) и пациента направляют на дообследование в условиях противотуберкулезного или пульмонологического учреждения. На рис. 1 представлена флюорограмма больной Л., 46 лет, в момент первичного выявления у нее саркоидоза. Внутригрудная лимфаденопатия характерна для 75—90% больных саркоидозом.
Рис. 1. Флюорограмма больной Л., 46 лет, в момент первичного выявления у нее саркоидоза II стадии.
Ретроспективные исследования больных саркоидозом показывают, что эта болезнь имеет специфические проявления помимо изменений в грудной клетке. Наиболее ранним и частым симптомом саркоидоза является утомляемость, которую больной не может ничем объяснить (70—80% больных). Слабость и утомляемость сопровождают остротекущие и прогрессирующие формы саркоидоза. Почти у каждого второго пациента встречаются артралгии, чаще голеностопных суставов, которые могут временами отекать. Боли в суставах могут быть дополнены мышечными болями (30—40%), реже — болью в груди. Боль в груди является необъяснимым симптомом при саркоидозе, поскольку взаимосвязи с объемом поражения, выраженностью лимфаденопатии и вовлечением в процесс плевры не обнаружено. Одышка служит важным симптомом вовлечения в процесс паренхимы легких и отражает сначала альвеолит со снижением альвеолярно-капиллярного транспорта, начальные обструктивные нарушения, а на поздних стадиях — фиброз и буллезно-дистрофические изменения легких.
Важное значение должно придаваться осмотру больного, поскольку частым спутником саркоидоза является узловатая эритема (erythema nodosum) — пурпурно-красные, плотные (индуративные) безболезненные узлы, которые чаще всего возникают на голенях. Сама по себе узловатая эритема встречается при различных заболеваниях, но ее сочетание с такими признаками, как лихорадка, двусторонняя лимфаденопатия корней легких на рентгенограмме, полиартралгия и узловатая эритема, называют синдромом Лефгрена (Lofrgren), который считается хорошим прогностическим признаком течения саркоидоза. Среди изменений кожи для саркоидоза специфична Lupus pernio — фиолетовые высыпания, возникающие чаще всего на носу и щеках.
Синдром Хеерфордта—Валденстрема (Heerfordt—Waldenstrom) диагностируют в тех случаях, когда у больного есть лихорадка, увеличение околоушных лимфатических узлов, передний увеит и паралич лицевого нерва. Это сочетание также может указывать на саркоидоз.
Клинические проявления саркоидоза и их примерная частота представлены в таблице.
Особенность диагностики саркоидоза — исключение сходных с ним заболеваний. Нельзя останавливаться на предположительном диагнозе. Если это окажется туберкулез (поражение внутригрудных лимфатических узлов, диссеминация в легких, узловатая эритема и некоторые внелегочные поражения сходны с саркоидозом), то требуется интенсивная специфическая терапия и, возможно, изоляция пациента. Тест-терапия “саркоидоза” в этой ситуации приведет к обострению туберкулеза. Если это опухолевый процесс, то потребуется своевременное облучение или химиотерапия, а может быть и операция. Назначение стероидов в таком случае — это потеря времени и неоправданный риск развития побочных эффектов от кортикостероидов.
Клинические проявления саркоидоза и их ориентировочная частота
Клинические проявления | Частота случаев, % |
Легочные и медиастинальные: кашель, одышка, боль в груди, иногда недомогание, лихорадка и потеря веса | 90 |
Кожа: неказеифицированные эпителиоидноклеточные гранулемы, узловатая эритема, редко — васкулиты и полиморфная эритема | 10-35 |
Глаза: наиболее часто — доброкачественная инфильтрация конъюнктивы и слезных желез, увеит | 30 |
Костно-мышечные | 50-80 |
Неврологические: тяжелые с множественной локализацией, включая менингит, поражение головного и спинного мозга, черепно-мозговых нервов и периферической нервной системы | редко |
Сердечные: потенциально угрожающие жизни Нередко встречаются чаще, но не диагностируютя, 50% смертей от саркоидоза связаны с поражением сердца | относительно редко |
В целях исключения ошибочного диагноза можно предложить следующий алгоритм действий. За основу возьмем наиболее распространенный саркоидоз органов дыхания.
После выявления двусторонней лимфаденопатии с изменениями в легких или без них следует провести лабораторное обследование: общий анализ крови с лейкоцитарной формулой, обязательную оценку красной крови, тромбоцитов и СОЭ. Таким путем мы сможем выявить воспалительную реакцию и ее характер (преобладание, например, палочкоядерных нейтрофилов или эозинофилов, анемии и т.п.). Далее необходим общий анализ мочи, поскольку при саркоидозе встречаются нефролитиаз с последующим гидронефрозом, а также различные варианты нефрита.
Начальное рентгенологическое обследование органов грудной клетки (как правило, флюорограмма) должно быть дополнено рентгенографией в двух проекциях. Если больной попадает в специализированное учреждение (областная больница, диагностический или пульмонологический центр), то можно сразу провести рентгеновскую компьютерную томографию (РКТ) органов грудной клетки с включением в зону обследования печени и селезенки.
При подтверждении флюорографического диагноза лимфаденопатии средостения (и/или поражения легких) важно добиться бактериологической, цитологической или гистологической информации. Если у больного есть кашель с мокротой, то необходимо не менее трех дней подряд собирать утреннюю мокроту для исследования мазков, окрашенных как минимум по Цилю— Нильсену и по Граму, а также для посева на элективные среды для выявления микобактерий. Необходимо также цитологическое исследование мазка. К сожалению, при саркоидозе мокрота бывает крайне скудной или вовсе отсутствует. Попытки спровоцировать мокроту ингаляциями при саркоидозе малоинформативны, лучше сразу перейти к эндоскопическим методам и биопсии, выбор которых определяют данные РКТ на основании точной топографии области наибольшего интереса.
Если поражение внутригрудных лимфатических узлов очевидно и среди них есть прилегающие к дыхательным путям, то выбор за бронхоскопией с трансбронхиальной биопсией и получением лаважной жидкости. Это исследование лучше всего проводить во время поднаркозной бронхоскопии с использованием жесткого бронхоскопа, световодов и манипуляторов. Контроль манипуляции (уточнение места взятия биоптата) следует проводить с помощью рентгеноскопии (трубка с электронно-оптическим преобразователем изображения и памятью). Процедуру должен выполнять опытный специалист, владеющий навыками бронхоскопии, рентгенологии и эндоскопической хирургии. Полученный материал из бронхов следует направить на бактериологическое и цитологическое исследования, биоптат — на бактериологическое и гистологическое исследования. Если в легких пробладает диссеминированный процесс или есть локальные изменения субкортикальной локализации, то предпочтение следует отдать торакоскопической биопсии, которая проводится под наркозом. В этом случае используется специальный набор инструментов, в который входит портативная видеокамера, которая позволяет получить обзор плевральной полости и провести торакоскопическую диагностическую операцию. Методом выбора может быть открытая биопсия легких. Выявление неказеифицированных эпителиоидноклеточных гранулем, отсутствие микобактерий, грибов или других патогенных возбудителей, атипичных и опухолевых клеток свидетельствуют в пользу саркоидоза.
Среди лабораторных методов исследования полезно определение содержания кальция в крови и моче. При саркоидозе в течение года имеются колебания уровня 1,25-дигидроксикальциферола с наибольшим его значением в летнее время. Неконтролируемая выработка этого гормона альвеолярными макрофагами при саркоидозе провоцирует эпизоды гиперкальциемии, которая может служить маркером активности процесса.
Выраженная гиперкальцийурия приводит к развитию нефролитиаза.
В стандарты обследования больных саркоидозом включено определение содержание ангиотензинпревращающего фермента (АПФ) в сыворотке крови. АПФ — это белок, который в норме присутствует во многих клетках и биологических жидкостях, включая клетки эндотелия капилляров и макрофагов. АПФ является катализатором перехода антигитензина-I в потенциальный вазопрессор ангиотензин-П. Считается, что при саркоидозе АПФ в повышенном количестве вырабатывается эпителиоидными клетками неказеифицированной гранулемы. Для лиц старше 20 лет нормальными считаются значения от 18 до 67 единиц в 1 литре (и/1). Уровень АПФ в крови больного часто отражает степень активности саркоидоза, но считать этот метод исследования строго специфичным нельзя.
Исследование функции внешнего дыхания должно проводиться на этапе первичной диагностики и в ходе динамического наблюдения. На ранних стадиях выявляют обструкцию на дистальном участке бронхиального дерева (показатели МОС50 и МОС75 кривой “поток-объем” форсированного выдоха). По мере поражения легочной ткани, развития фиброза снижается жизненная емкость легких (ЖЕЛ). В специализированных учреждениях следует оценить диффузионную способность легких (Dlco), снижение которой свидетельствует в пользу саркоидоза. Выраженное снижение ЖЕЛ и Dlco при динамическом обследовании являются показанием к гормональной терапии саркоидоза.
Среди специальных методов визуализации при саркоидозе применяют сканирование с радиоактивным галлием-67, который локализуется в участках активного воспаления, где в большом количестве находятся макрофаги и их предшественники, эпителиоидные клетки, а также в нормальной печени, селезенке и костях. Сканирование с галлием-67 позволяет определить локализацию саркоидозного поражения в медиастинальных лимфатических узлах, паренхиме легких, подчелюстных и околоушных железах. Следует отметить, что метод не является специфичным и дает положительные результаты при лепре, туберкулезе, силикозе, аденокарциноме и лимфоме. Его применение позволяет получить информацию о топографии поражения, а не о специфической этиологии. При саркоидозе миокарда предпринимаются попытки сцинтиграфии с таллием-201.
Особое место в диагностике саркоидоза занимает проба Квейма—Зильцбаха, о которой много говорят, но проводят чаще в учреждениях федерального подчинения. Это проба представляет собой внутрикожное введение пастеризованной суспензии человеческой селезенки, пораженной саркоидозом. В месте введения постепенно появляется папула, которая достигает максимального размера (3 — 8 см) через 4-6 недель. Биопсия этой папулы у больных саркоидозом в 70—90% случаев позволяет обнаружить изменения, подобные саркодидозу (эпителиодноклеточные неказеифицированные гранулемы). Однако антиген Квейма недоступен для широкого применения, поскольку не выпускается серийно.
Фтизиатры нередко придают большое значение постановке туберкулиновых проб в процессе дифференциальной диагностики саркоидоза и туберкулеза. Исследования последнего десятилетия свидетельствуют о малой информативности этого тестирования. Так, в 1998 г. в ходе специального крупного европейского исследования проба Манту со 100ТЕ оказалась положительной у 64% больных саркоидозом. В то же время она может быть отрицательной как у неинфицированного микобактерией больного, так и у инфицированного вследствие снижения реактивности, типичной для саркоидоза.
Обязательным компонентом первичного и динамического обследования больного саркоидозом являются тщательное обследование у офтальмолога и снятие ЭКГ. При поражении органа зрения в 75% случаев встречается передний увеит и в 25—35% — задний увеит, реже — поражения конъюнктивы и склеры. Саркоидоз глаз служит показанием к назначению кортикостероидов, поскольку нелеченные поражения могут приводить к слепоте. Поражение сердца проявляется внутрисердечными блокадами, артимиями и внезапной остановкой сердца. У больного саркоидозом иной локализации подозрение на саркоидоз сердца требует проведения холтеровского мониторирования.
Вовлечение нервной системы встречается редко (<5%), однако может проявляться лимфоцитарным менингитом, параличами черепных нервов и гипоталамогипофизарными дисфункциями. Паралич Белла (паралич лицевого нерва периферического типа) при саркоидозе без других неврологических признаков считается хорошим прогностическим симптомом, тогда как другие поражения нервной системы могут быть очень серьезными. Поражения ЦНС и сердца являются наиболее частыми причинами смерти при саркоидозе, тогда как среди всех больных саркоидозом сам саркоидоз становится непосредственной причиной смерти не чаще чем в 5% случаев.
Если диагноз продолжает вызывать сомнения, то обследование можно дополнить рентгенографией кистей и стоп. Наиболее часто саркоидоз проявляется кистоидным остеитом и протекает бессимптомно в малых костях рук и ног. Литические поражения редки и обычно сопровождаются висцеральными поражениями, изменения обнаруживаются в телах позвонков, длинных костях, тазовой кости и лопатке. Информативна ЯМР-томография, однако для окончательной верификации нередко необходима открытая биопсия.
Классификация саркоидоза. Диагноз саркоидоза требует формулировки в соответствии с классификациями, которые используют в мире. С 1958 г. применяют классификацию Вурма (К.Wurm), который на основании рентгенологических признаков предложил 3 стадии саркоидоза с делением их на под стадии:
1-я стадия — лимфаденопатия средостения;
2-я стадия — очаговые затенения в легочной ткани, нередко на фоне усиленного легочного рисунка, уменьшение размеров лимфатических узлов;
2а — усиление легочного рисунка и сетчатая его деформация;
2Ъ — распространенные двусторонние мелкоочаговые изменения в легких;
2с — распространенные двусторонние среднеочаговые изменения в легких;
2d— распространенные двусторонние крупноочаговые изменения в легких;
3-я стадия — распространенный интерстициальный фиброз легочной ткани.
Существует несколько экстраполяций этой классификации, которые не вносят существенных новшеств. В электронном учебнике медицины глобальной сети Интернет “Emedicine” представлена классификация саркоидоза, которой чаще всего пользуются зарубежные авторы:
Стадия 0 — нет изменений на рентгенограмме органов грудной клетки (5%).
Стадия I — торакальная лимфаденопатия; паренхима легких не изменена (50%).
Стадия II — лимфаденопатия корней легких и средостения; патологические изменения паренхимы легких (30%).
Стадия III — патология легочной паренхимы без лимфаденопатии (15% ).
Стадия IV — необратимый фиброз легких (20% ).
Лечение саркоидоза. Препаратами, в целесообразности применения которых при саркоидозе ни у кого не возникает сомнений, являются глюкокортикоиды. Проведены тысячи работ, в которых длительное системное применение преднизолона и его аналогов дает эффект не реже чем в 80% случаев. При саркоидозе органов дыхания начальные дозы преднизолона составляют 0,5—1 мг/кг в сутки в течение 3 месяцев с последующим снижением дозы и поддерживающими дозами (10—15 мг/сут) в течение еще 6— 12 месяцев. После этого гормон постепенно отменяют. В последние 5 лет растет число работ, свидетельствующих о возможности перехода на 3—4-м месяце лечения с системных кортикостероидов на ингаляционные (будесонид, ингакорт) при лечении саркоидоза органов дыхания без вовлечения других систем.
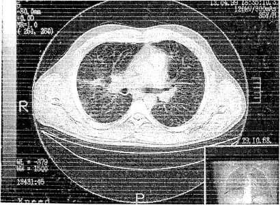
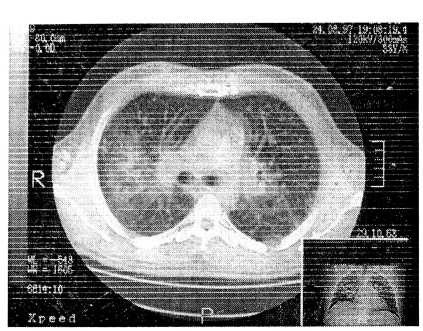
На рис. 2 и 3 представлены РКТ больного Д., 33 лет (саркоидоз II стадии, верифицированный трансторакальной биопсией) с интервалом в 2 года, который получил короткий курс системных стероидов с переходом на ингаляционные. Отмечена регрессия процесса.
При саркоидозе легких I—II стадии возможна терапия только ингаляционными стероидами. Локальное применение гормонов коры надопочечника показано при саркоидозе глаз, кожи, гортани (капли и мази). Считается, что впервые начатое лечение гормонами должно проводится не менее 9 месяцев. Более короткие сроки лечения сопровождаются учащением рецидивов процесса. Тем не менее строгих правил пока не установлено.
Рис. 2. Рентгеновская компьютерная томограмма больного Д., 32 лет, при выявлении у него саркоидоза II стадии.
Рис. 3. Рентгеновская компьютерная томограмма больного Д., 32 лет, спустя 2 года наблюдения. Проведено лечение системными и ингаляциоными кортикостероидами. Достигнута регрессия процесса, которая была подтверждена улучшением параметров внешнего дыхания.
При отстутствии эффекта от глюкокортикоидов, быстром развитии побочных эффектов или при наличии противопоказаний к их применению назначают хлорохин (делагил, арален) в дозе 200— 250 мг 2 раза в день или гидроксихлорохин (плаквенил). В международной практике эти препараты чаще применяют при саркоидозе кожи, суставов, носовых синусов. В ряде стран его расценивают как окулотоксичный препарат и ограничивают использование. К альтернативным препаратам при лечении саркоидоза относят также метотрексат, азатиоприн, колхицин, изотреонин, циклофосфамид, циклоспорин А, хлорамбуцил, пентоксифиллин (трентал), талидомид, кетоконазол.
В некоторых регионах России принято начиная с ранних стадий саркоидоза назначать тиосульфат натрия и витамин Е, нередко в парентеральной форме. Эффективность этих средств в контролируемых исследованиях пока не доказана.
Длительное лечение глюкокортикоидами или альтернативными препаратами показано при быстро прогрессирующих формах легочного саркоидоза, вовлечении глаз, нервной системы, сердца, формировании почечной недостаточности. Вопрос о критериях для начала лечения на более ранних стадиях окончательно не решен. Большинство исследователей рекомендуют при выявлении саркоидоза наблюдать пациента в течение 3—6 месяцев и только при явном прогрессировании или угрожающих внелегочных проявлениях начинать лечение. Такой подход обоснован тем, что у 70% больных возникают спонтанные ремисии заболевания.
При тяжелых формах саркоидоза легких показаны поддерживающая терапия легочно-сердечной недостаточности и пересадка легких. Однако опыт трансплантаций свидетельствует о риске развития саркоидоза в пересаженном органе.
Обзор более 1000 литературных источников, дискуссия с ведущими саркоид ологами из США, Австралии, Украины, Великобритании, Японии и других стран показывают, что в России неудачно выбрано место лечения этого заболевания — противотуберкулезные учреждения. Саркоидоз требует интенсивной диагностики при выявлении в хорошо оснащенных диагностических центрах. Далее (в 90% случаев) больные саркоидозом подлежат амбулаторному наблюдению и при необходимости лечению у врача общей практики. Лечение кортикостероидами предусматривает изоляцию .пациента от больных с инфекционными заболеваниями. По данным заместителя директора НИИ фтизиатрии и пульмонологии АМН Украины М.В. Мельника, документированы случаи, когда больные саркоидозом заражаются туберкулезом при наблюдении у фтизиатра.
Знакомство врачей различных специальностей с саркоидозом избавит сотни больных от неоправданных страданий, связанных с поздней диагностикой и неадекватным лечением этого загадочного, но часто достаточно безобидного гранулематозного заболевания.
Об авторах
А. А. Визель
Казанский государственный медицинский университет
Автор, ответственный за переписку.
Email: info@eco-vector.com
Россия
Список литературы
Дополнительные файлы





