Маркеры пролиферации опухолевых клеток в раковых опухолях гортани
- Авторы: Петров С.В., Кулагин Р.Н., Цыплаков Д.Э., Нефедов О.В., Савельев В.В., Уткузов А.Р., Райхлин Н.Т.
- Выпуск: Том 81, № 4 (2000)
- Страницы: 265-268
- Раздел: Теоретическая и клиническая медицина
- Статья получена: 29.01.2022
- Статья одобрена: 29.01.2022
- Статья опубликована: 02.02.2022
- URL: https://kazanmedjournal.ru/kazanmedj/article/view/99817
- DOI: https://doi.org/10.17816/kazmj99817
- ID: 99817
Цитировать
Полный текст
Аннотация
Одним из ключевых клинико-морфологических параметров раковой опухоли, наряду с инвазивностью, степенью анаплазии, васкуляризацией, апоптозом, считается интенсивность пролиферации в клетках новообразования [12, 21]. Рост пролиферативной активности раковых клеток в конечном счете ведет к появлению мультиклональных субпопуляций и к увеличению шансов того, что некоторые из них приобретут способность к метастазированию [27].
Ключевые слова
Полный текст
Одним из ключевых клинико-морфологических параметров раковой опухоли, наряду с инвазивностью, степенью анаплазии, васкуляризацией, апоптозом, считается интенсивность пролиферации в клетках новообразования [12, 21]. Рост пролиферативной активности раковых клеток в конечном счете ведет к появлению мультиклональных субпопуляций и к увеличению шансов того, что некоторые из них приобретут способность к метастазированию [27]. Имеются различные подходы в оценке интенсивности клеточного цикла в опухолях. Традиционными методами являются подсчет митотического индекса, индекса включения тимидина [22] и проточная цитометрия, выявляющие клетки, находящиеся в фазе синтеза клеточного цикла. Достаточно новый подход к исследованию кинетики клетки — это простое серебрение белка, ассоциированного с ядрышковым организатором (AgNOR) [20].
В последние годы для изучения пролиферативных процессов в опухоли используется иммуногистохимический анализ молекул, играющих важную роль в клеточном цикле [5]. К ним относятся белки Кі-67, МРМ-2, PCNA, ряд циклинов и др. Гибридомные технологии позволили получить моноклональные антитела, выяляющие эти молекулы в парафиновых и криостатных срезах различных опухолей человека. PCNA (Proliferating Cell Nuclear Antigen — антиген ядер пролиферирующих клеток), ядерный белок с молекулярной массой 36 кДа, является вспомогательным полипептидом дельта ДНК-полимеразы [9]. PCNA был впервые выделен Miyachi [17] из сыворотки пациентов с I системной красной волчанкой. Содержание PCNA в ядрах повышается в S-G2 -фазах клеточного цикла и отсутствует в фазе Go.
Другой ядерный антиген Кі-67 экспрессируется во всех активных фазах цикла [7] и быстро разрушается по его окончании [8]. Как и PCNA, этот антиген выявляется при иммуногистохимическом исследовании в ядрах пролиферирующих клеток и отсутствует в покоящихся клеточных элементах нормальных тканей. Антитела к другому маркеру — белку МРМ-2 — окрашивают цитоплазму клеток, находящихся в фазе митоза. МРМ-2 антиген синтезируется в течение интерфазы и фосфорилируется в М-фазе.
В ряде опухолей человека найдена корреляция между количеством клеток, окрашенных PCNA, Кі-67 (индекс Кі-67 или PCNA ) и степенью гистопатологической дифференцировки. Увеличение индекса PCNA прямо коррелирует с частотой метастазирования опухоли в регионарные лимфатические узлы [26].
Индекс мечения PCNA используется для прогноза ответа на лучевую и химиотерапию. Лучший ответ на облучение отмечен у больных с высоким индексом PCNA в раковых опухолях шейки матки [19] и гортани [18]. Tsuji Т. и соавт. [24] обнаружили снижение экспрессии PCNA после химиотерапии ротоглоточного рака, что позволило им оценивать ответ раковых клеток на антибластомные препараты последовательным измерением индекса PCNA. В то же время работ, касающихся пролиферативной активности клеток рака гортани, в литературе недостаточно, и их результаты противоречивы [4]. Корреляция между индексом PCNA и гистопатологической дифференцировкой опухоли показана рядом авторов [12, 14], хотя в исследованиях других подобная закономерность не обнаружена [18, 21].
Целью нашего исследования являлось изучение закономерностей пролиферативных процессов, происходящих в клетках рака гортани.
Материалом для иммуногистохимического исследования служили криостатные и парафиновые срезы 66 плоскоклеточных раков и нормальный эпителий гортани, не пораженный опухолью (см. табл.). Использовались следующие моноклональные антитела: 1) клона PC 10 (DAKO) к антигену ядер пролиферирующих клеток (PCNA); 2) МКАТ клона Кі-67 (DAKO); 3) клона МРМ-2 (DAKO). Индекс пролиферации подсчитывали с использованием морфометрической окулярной сетки в 20 полях зрения, при этом учитывали 500 клеток [1|. Мы считали ядра позитивно окрашенными при реакции любой интенсивности. Статистическую обработку производили с помощью критерия Вилкоксона— Манна—Уитни. В качестве системы визуализации применяли стрептавидин-биотиновый метод в наборе LSAB+ (DAKO); пероксидазу проявляли раствором диаминобензидина или аминоэтилкарбазола.
Распределение больных по полу, возрасту и локализации новообразований
| Число пациентов | |
абс. | % | |
Пол мужчины | 65 | 98,5 |
женщины | 1 | 1,5 |
Возраст < 40 | 3 | 4,6 |
< 60 | 37 | 56 |
> 60 | 26 | 39,4 |
Клиническая стадия II стадия | 23 | 34,5 |
III стадия | 28 | 42,5 |
IV стадия | 15 | 23 |
Гистопатологическая дифференцировка G1 | 27 | 41 |
G2 | 17 | 25,8 |
G3 | 22 | 33,2 |
Локализация в полости гортани над связками | 14 | 21 |
голосовые связки | 8 | 12 |
подсвязочное пространство | 3 | 5 |
трансларингеально* | 41 | 62 |
Примечание. * Опухоль занимает два и более отдела в полости гортани.
Гистологическую дифференцировку оценивали по стандартным критериям [2], а также с помощью иммуногистохимического окрашивания на маркеры степени зрелости многослойного плоского эпителия [3]. Использовали антитела к цитокератинам № 1,2, 5, 8, 9, 10, 11, 14, 18,19, антигену G36-19 корнеодесмосом эпидермиса, антигену D40-10 кератогиалиновых гранул, F-711 и F-105 к филлагрину и профиллагрину (любезно предоставлены проф. G. Serre; Тулузский университет, Франция).
Метастазы в регионарные лимфатические узлы были выявлены в 16 (24,2%) случаях, в то время как гематогенные метастазы не обнаружились. Комбинированное лечение (облучение + операция) перенесли 34 (51,5%) пациента.
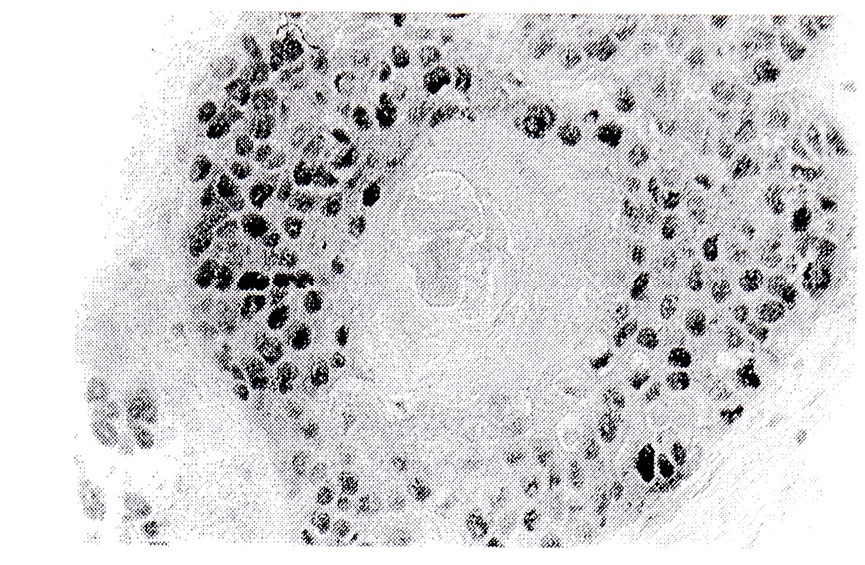
В нормальной слизистой оболочке гортани на PCNA и Кі-67 окрашивались ядра базальных клеток как многослойного, так и многорядного эпителиев. В целом, индексы мечения PCNA и Кі-67 оказались идентичными. Антиген МРМ-2 в нормальном эпителии не был обнаружен. Средний индекс PCNA для исследуемых раковых опухолей составил 62,5±2,8%, а индекс Кі-67 -45,7±3,7%. В высокодифференцированных опухолях (степень дифференцировки Gl) PCNA-и Ki-67-позитивные ядра опухолевых клеток определялись по периферии опухолевых гнезд и вокруг “раковых жемчужин” (см. рис.). Белок МРМ-2 выявлен в цитоплазме опухолевых клеток, находившихся по периферии раковых гнезд.
В низкодифференцированных раковых опухолях (степень дифференцировки G3) PCNA и Ki-67-позитивные ядра имели место как по периферии, так и в центре раковых гнезд. Маркер М-фазы клеточного цикла МРМ-2 был обнаружен в цитоплазме большинства опухолевых клеток в 8 из 15 наблюдений.
В высокодифференцированных раковых опухолях индекс PCNA составил в среднем 60,9±4,0%, в низкодифференцированных — 65,4±1,9% (Р>0,05), индекс Кі-67 -50,5±4,5% и 56±10,2% соответственно (Р<0,05).
В ряде низкодифференцированных раковых опухолей нами были выявлены цитокератины №№ 1,10, характерные для ороговевающего многослойного плоского эпителия. В этой группе опухолей индекс пролиферации составил 66,2± 1,33% и соответствовал таковому во всей серии G3 опухолей.
При анализе пролиферации клеток умеренно дифференцированных раковый опухолей обнаружена позитивная ядерная реакция на PCNA и Кі-67 не только по периферии, но и ближе к центру опухолевых гнезд (61,2+1,4% и 62,9+1,3% соответственно). Клетки, реагирующие на белок МРМ-2, лежали беспорядочно по всем опухолевым пластам, причем в каждом четвертом случае окрашивалось до 60% клеток.
Окрашивание ядер клеток высокодифферен цированного рака с помощью антител к PCNA выявляет участки опухоли с активной клеточной пролиферацией. Центральная часть ракового гнезда не окрашена. Антитела PC 10, LSAB-метод, хромоген-диаминобензидин. х 400.
Для второй клинической стадии плоскоклеточного рака индекс PCNA составлял 59,3+3,3%, для третьей — 63,7+2,5% и четвертой — 64,6+2,7%. Достоверные различия были отмечены при сравнении II и IV стадий (Р<0,01), II и III стадий (Р<0,05). Индекс Кі-67 у больных во II клинической стадии был равен 64,4+0,5%, в III -43,4±4,7% и в IV — 62,7+3,7%. Наименьший индекс обнаружен в III стадии, и при его сравнении с индексами II и IV стадий обнаружены достоверные различия (Р<0,05 и Р<0,001 соответственно).
Несмотря на то что у леченных больных индекс PCNA был выше (65,6+9,1%), чем у больных, не получавших радиотерапию (63,8%±1,9), различий между ними не обнаружено (Р>0,05). Напротив, индекс Кі-67 различался (Р<0,02), среднее его значение I у леченных больных составляло 35,0+ ±6,7%, а у нелеченных — 56,8+3,7%.
У больных с метастазами в шейные лимфатические узлы индекс PCNA в первичной опухоли был равен 65,7+0,8%, без метастазов — 63,3+2,8% (Р>0,05). Индекс Кі-67 в надсвязочных опухолях составлял 54,6+6,6%, в опухолях связочного пространства — 58,8+8,9% (Р>0,05).
В результате анализа 66 случаев плоскоклеточного рака гортани нами показано, что позитивная реакция на PQNA и Кі-67 определялась во всех изученных опухолях в виде диффузной и/или зернистой окраски ядер. В плоскоклеточных раковых опухолях некоторыми авторами описана неспецифическая цитоплазматическая окраска на Кі-67 [14, 28], которую мы не учитывали.
Нами показано, что в центре гнезд высокодифференцированного рака ядра клеток обычно негативны. Подобные находки ранее были обнаружены в ороговевающих раковых опухолях головы и шеи и раке шейки матки [12, 25]. В низкодифференцированных раковых опухолях число позитивных клеток, как правило, увеличивалось, причем оба маркера имели тенденцию к окрашиванию клеток по периферии опухолевых гнезд. Подобный феномен был описан Kearsley и соавт. [12], которые считали, что периферические клетки являются пролиферирующими менее зрелыми клеточными элементами, предшественниками более дифференцированных клеток центральной части опухолевого пласта. В наших случаях PCNA-позитивных клеток было существенно больше, нежели клеток, окрашенных на Кі-67. Это соответствует биохимическим данным о более длинном по сравнению с Кі-67 периоде полужизни белка PCNA [11]. К тому же PCNA ассоциирован с процессами репарации ДНК и может экспрессироваться тогда, когда синтеза ДНК не происходит [15]. Уровень PCNA зависит не только от синтеза ДНК, но и от активности ряда факторов роста [6] и некоторых онкогенов [16]. Несмотря на эти данные, большинство авторов считают PCNA вполне надежным маркером клеточной пролиферации в раковых опухолях.
Что касается связи индекса PCNA с клинической стадией заболевания, то нами обнаружено их различие между 11 и III (Р<0,05) и II и IV (Р<0,01) стадиями. Для индекса Кі-67 эти различия были выше (Р<0,05 и Р<0,001 соответственно), что согласуется с результатами одних авторов [5, 9, 10] и противоречит сообщениям других [13, 21, 23]. Известно, что рост опухоли зависит не только от пролиферации клеток, но и от степени апоптоза, васкуляризации [28], поэтому возникшие противоречия можно частично объяснить сочетанным действием этих факторов. В части низкодифференцированных (G3) раковых опухолей, даже при наличии в их клетках биохимических признаков ороговения, сохраняется высокий уровень пролиферации, характерный для всей этой группы.
Наши данные подтверждают имеющиеся в литературе сведения о подавляющем действии облучения на пролиферативную активность клеток плоскоклеточного рака гортани, причем этот эффект улавливается только при анализе индекса Кі-67, но не PCNA. Мы согласны с мнением Gunzl и соавт. 110], что высокие значения индекса пролиферации в плоскоклеточных раках гортани позволяют предсказать хороший ответ на облучение этих больных. Из-за нестабильности результатов мечения опухолевых клеток с помощью антител к МРМ-2 экспрессия этого антигена в плоскоклеточных раках требует дальнейшего исследования.
Выводы
- В отличие от классического митотического индекса, индексы мечения Кі-67 и PCNA являются надежными и воспроизводимыми на рутинном клиническом материале показателями пролиферативной активности клеток раковых опухолей гортани. Исследование антигена Кі-67 предпочтительнее, нежели PCNA, так как более точно отражает уровень пролиферации раковых клеток.
- Имеется обратная связь индекса пролиферации в клетках плоскоклеточного рака гортани и степени дифференцировки опухоли.
- Обнаружена прямая корреляция индекса пролиферации клеток плоскоклеточного рака гортани с клинической стадией болезни.
- Предоперационная лучевая терапия вызывает значительное снижение темпов пролиферации клеток плоскоклеточного рака гортани.
Об авторах
С. В. Петров
Автор, ответственный за переписку.
Email: info@eco-vector.com
Россия
Р. Н. Кулагин
Email: info@eco-vector.com
Россия
Д. Э. Цыплаков
Email: info@eco-vector.com
Россия
О. В. Нефедов
Email: info@eco-vector.com
Россия
В. В. Савельев
Email: info@eco-vector.com
Россия
А. Р. Уткузов
Email: info@eco-vector.com
Россия
Н. Т. Райхлин
Email: info@eco-vector.com
Россия
Список литературы
- Автандилов А. Г. Медицинская морфометрия — М, 1990.
- Классификация злокачественных опухолей по системе TNM (4-е издание) — М., 1989.
- Петров С.В. Гистогенез и диагностика эпи¬телиальных опухолей шейки матки и кожи // Автореф. дисс. ...докт. мед. наук. — М., 1994.
- Barona de Guzman R., Martorell M.A., Basterra J. et al. // Laryngoscope. — 1993. — Vol. 103. — P. 538 — 540.
- BeggA.C., Hofland I., Moonen I. et al. // Int. J. Radiat. Oncol. Biol. Phys. - 1990. - Vol. 19. - P. 1449-1453.
- Beserga R. // J Cell Sei. - 1991. - Vol. 98. - P. 433 -436.
- Brown D.C., Gatter К.С. // Histopathology. — 1990. - Vol. 17,- P. 489- 503.
- Bruno S., Dazynkiewicz Z. // Cell Proliferat. — 1992,- Vol. 25,- P. 31-40.
- Fairman M.P. //}. Cell Sei. - 1990. - Vol. 95. - P. 1 -4.
- Gunzl H. J., Horn H., Schecke R. et al. // Eur. J. Cancer. Part B. Oral Oncol. — 1993. — Vol. 29(B). — P. 140 - 145.
- Hall P.A., Levison D.A., Wood A.L. et al. // J. Pathol. - 1990. - Vol. 162. - P. 285 - 294.
- Kearsley J.H., Furlong K.L., Cooke R.A. et al. // Br. J. Cancer. - 1990,- Vol. 61,- P. 821 - 827.
- Kram A., Domagala W. I I Pol. J. Pathol. — 1996. — Vol. 47,- P. 183 - 187.
- Lorz M., Meyer-Breiling E., Bettinger R. // Eur. Arch. Otoihinolaiyngol. — 1994. — Vol. 251. — P. 91 — 94.
- McCormick D., Hall P.A. // Histopathology. — 1992,- Vol. 21,- P. 591 - 594.
- Mercer W.E., Shields M.T., Ling D. et al. // Proc. Natl. Acad. Sei. USA. - 1991.- Vol. 88.- P. 1958 - 1962.
- Miyachi K., Fritzler M.J., Tan E.M. et al // J. Immunol. - 1978. - Vol. 121. - P. 2228 - 2234.
- Munck-Wikland E., FembergJ.O., Kaylenstiema R. et al. I I Oral. Oncol. Eur. J. Cancer. — 1993. — Vol. 29B. — P. 75 - 79.
- Oka K, Hoshi T, Aral T. // Cancer. — 1992. — Vol. 70,- P. 1545—1550.
- Ploton D., Ménager M., Jeannesson P. et al. // Histochem. J. — 1986. — Vol. 18. — P. 5 — 14.
- Shin D. M., Voravud N., Ro J. Y. et al. // ]. Nail. Cancer Inst. — 1993. — Vol. 85. — P. 971 — 978.
- Silvestrini R., Diadone M. G., Di Fronzo G. et al. // Breast Cancer Res. Tieat. — 1986. — Vol. 7. — P. 161 —167.
- Spofford M.F., Koeppe J., Pan Z. et al. // Arch. Otolaryngol. Head and Neck Sing. — 1996. — Vol. 122. — P. 627 - 632.
- Tsuji T, Sasaki K, Kimura Y. et al. //1 nt. J. Oral. Maxillolac Surg. — 1992a. — Vol. 21. — P. 369 — 372.
- Tsuji T, Shrestha P., Yamada K. et al. //Virchows. Archiv. A Pathol. Anat. — 1992. — Vol. 420. — P. 377 — 383.
- Tsyplakov D.E, Petrov S. V., Kulagin R.N. // Pathol. Oncol. Res. - 1997. - Vol. 3. - P. 121 - 125.
- Tubiana M., Courdi A. // Radiother. Oncol. — 1989.- Vol. 15,- P. 1 - 18.
- Verhoeven D., Bourgeois N., Derde M.P // Histopathology. — 1990. — Vol. 17. — P. 505 — 509.
Дополнительные файлы



