Unilateral lytic changes over the weight-bearing joint causing severe destruction of ankle joint (atypical Charcot joint) in a girl with congenital insensitivity to pain without anhidrosis (hereditary sensory and autonomic neuropathy type V): Case report and literature review
- Authors: Al Kaissi A.1,2, Grill F.2, Ganger R.2
-
Affiliations:
- Ludwig Boltzmann Institute of Osteology, at the Hanusch Hospital of WGKK, and AUVA Trauma Centre Meidling, First Medical Department, Hanusch Hospital
- Orthopaedic Hospital of Speising, Paediatric Department
- Issue: Vol 7, No 1 (2019)
- Pages: 81-86
- Section: Clinical cases
- Submitted: 05.04.2019
- Accepted: 05.04.2019
- Published: 06.04.2019
- URL: https://journals.eco-vector.com/turner/article/view/11635
- DOI: https://doi.org/10.17816/PTORS7181-86
- ID: 11635
Cite item
Abstract
Background. The presence of Charcot arthropathies, joint dislocations, infections and fractures in a child without evidence of neurological abnormality should give rise to a suspicion of congenital insensitivity to pain (hereditary sensory and autonomic neuropathy). Hereditary sensory and autonomic neuropathy (HSAN) is a rare syndrome characterized by congenital insensitivity to pain, temperature changes and by autonomic nerve formation disorders. HSAN is classified into five types: sensory radicular neuropathy (HSAN I), congenital sensory neuropathy (HSAN II), familial dysautonomia or Riley Day Syndrome (HSAN III), congenital insensitivity to pain with anhidrosis (HSAN IV) and congenital indifference to pain (HSAN V).
Case presentation. A 13-year old girl first product of a non-consanguineous marriage, presented with malunion of successive fractures or Charcot’s ankle joint destruction on top of significant lytic changes/osteonecrosis. The patient had sustained many painless injuries resulting in fractures with subsequent disfiguremnt of her ankle joint. Arthropathy of the knees, ankles, tarsal bones and feet without pain associated with obvious changes in the shape of the ankle joint were present. Despite a normal sense of touch in our patient the indifference to pain made her extremely susceptible to breakdown of the skin over the ankle osseous prominences.
Conclusion. Generally speaking, the orthopaedic management of such patients is extremely difficult since these patients do not restrict the movements of the involved extremity as they lack the inhibitory pain reflex. Interestingly, our attempts for surgical stabilisation of the ankle joints were succsessfull and eventually the girl became able to walk. It is important to anticipate patient and parent education in joint protection and surveillance for injury as the most important component of the treatment plan for these children. We might postulate that the degree of osteolysis of the ankle joint in our present child might be a form of secondary osteolysis.
Full Text
Introduction
Charcot’s joints is a neuropathic joint disorder, caused by nerve damage, which impairs individual’s ability to perceive aches coming from the joints; fractures and recurred, consequently minor injuries are unnoticed unless the accumulated injury permanently destroys the joints. A different disease injury, and condition such as spinal disease, diabetes mellitus, and syphilis may damage the nerve supplying sensations to the joint [1, 2].
Hereditary sensory and autonomic neuropathy (HSAN) is a group of inherited disorders characterized by degeneration of dorsal root and autonomic ganglion cells, and clinically by loss of sensation and autonomic dysfunction. There are five subtypes. Type I features autosomal dominant inheritance and distal sensory involvement. Type II is characterized by autosomal inheritance and distal and proximal sensory loss. Type III is dysautonomia, familial. Type IV is characterized by mental retardation, analgesia, vegetative disorders, and anhidrosis. Type V is characterised by absence of pain perception and reaction to pain but no other neurological abnormalities. Patients who have congenital insensitivity to pain do not have any intrinsic abnormality of the bone; the non-union is a result of the response to the injury [3–7]. The orthopaedic manifestations of the disease vary among patients.
Case presentation
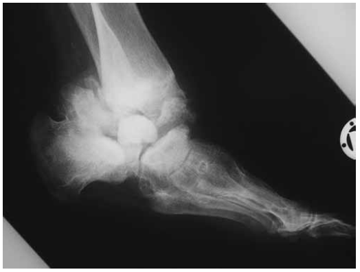
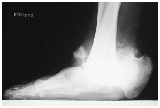
The patient is a 13-year-old girl with complete insensitivity to pain. She is the product of the first pregnancy of a non-consanguineous Austrian couple. At birth her weight, length and head circumference were around the 75th percentile. Family history was unremarkable. The prenatal and postnatal history of the child was normal. At the age of 9-years she went skiing for which she developed ankle joint fracture without pain. Primarily, it was not diagnosed as a pathological fracture. She underwent a series of vigorous investigations. Complete blood count, erythrocyte sedimentation rate, blood electrolytes, calcium, phosphate, alkaline phosphatase and blood sugar were normal. Liver, kidney, and thyroid function tests were normal. Clinical examination showed a normal-looking girl with no specific dysmorphic features. Neurological examination showed no response to pain, but normal responses to touch and temperature as well as normal tendon reflexes. Muscle power was normal. The results of electromyographic and nerve-conduction studies were normal. Abdominal and renal ultrasounds were normal. On the bases of skeletal survey, a Charcot ankle joint was identified. Anteroposterior ankle radiograph with 3/4 foot showed Charcot changes more marked over the left joint with multiple loose bodies. Amortise view of the ankle showed accumulated trauma associated with progressive lytic changes was the reason to develop severe Charcot joint. Dislocation, fragmentations and avascular necrosis were evident (fig. 1). lateral view of the ankle showed accumulated trauma associated with progressive lytic changes was the reason to develop severe Charcot joint. Dislocation, fragmentations and avascular necrosis were evident (fig. 2) Lateral ankle joint radiograph showed advanced stage of Charcot joint with disastrous destruction of the ankle joint associated with extensive callus formation and complete distortion of the joint shape (fig. 3). At this stage, we discussed the treatment options with the parents and the girl. Amputation was an option, which was totally rejected by the family. Then, we decided to perform surgical correction. All the pathologic tissue of the ankle joint was resected and the distal tibia and the calcaneus were fixed together by using Ilizarov frame. Tibial-calcaneal fusion turned out to be successful and 6 months later we were able to remove the external fixator. The girl became able to walk with the aid of special shoes.
Fig. 1. Amortise view of the ankle joint showed Charcot changes with severe involvement of the left joint with multiple loose bodies. However, lytic changes/resorption of the proximal and the distal phalanges, joint space narrowing and avascular necrosis were evident on both joints
Fig. 2. Lateral view of the ankle showed accumulated trauma associated with progressive lytic changes was the reason to develop severe Charcot joint. Dislocation, fragmentations and avascular necrosis were evident
Fig. 3. Lateral ankle joint radiograph showed advanced stage of Charcot joint with disastrous destruction of the ankle joint associated with extensive callus formation and complete distortion of the joint shape. Accumulated trauma associated with progressive lytic changes was the reason to develop severe Charcot joint. Dislocation, fragmentations and avascular necrosis were evident
Discussion
The term hereditary sensory and autonomic neuropathy (HSAN) designates a group of heterogeneous clinical patterns of which five different types have been described. Classification is based on the inheritance pattern, clinical features, and systems of neurons predominantly affected. The primary pathologic foci are mainly small-diameter pain and thermal sensory neurons and autonomic neurons. The sensory loss predisposes patients to unnoticed trauma, leading to ulceration, secondary infection, osteomyelitis, and fractures resulting in acral mutilation. The classification of various types of HSAN is based on the inheritance pattern, clinical features, and systems of neurons predominantly affected. HSAN I is autosomal dominantly inherited with symptoms begin in the second decade or later. There is loss of pain and temperature sensation but preservation of tactile sensation. Sural nerve biopsy shows loss of unmyelinated fibres more than myelinated fibres. HSAN II is an autosomal recessive disorder with onset in infancy. There is generalized pansensory loss. Autonomic disturbances included bladder dysfunction, impotence and distal anhidrosis. Motor function is preserved but tendon reflexes are lost. There is loss of myelinated fibres in the sural nerve biopsy. HSAN III is also autosomal recessively inherited affecting mostly Ashkenazi Jews. The clinical manifestations usually present at birth and are suggestive of defective autonomic control. Nerve biopsy shows reduced number of unmyelinated fibres. HSAN IV is an autosomal recessive disorder associated with bouts of pyrexia, anhydrosis and mental retardation. Nerve biopsy reveals absent unmyelinated fibres. HSAN V is an autosomal recessive disorder with onset at birth and normal sweating. Motor functions and tendon reflexes are normal. Sural nerve biopsy shows selective reduction in the number of smaller myelinated fibres [1–7].
Traumatic fractures are a common manifestation in patients with HSAN, because of the lack of pain, may go unrecognized for prolonged periods of time, resulting in malunions and pseudoarthroses. Multiple neglected fractures in patients with burns and bruises may lead to confusion of this condition with child abuse. Epiphyseal seperations may occur in infancy and may resemle rickets radiographically. Avascular necrosis of the talus, femoral head, or femoral condyles may occur. Recurrent dislocation of the hip that is refractory to cast management has also been described in patients with congenital insensitivity to pain. Spinal manifestations of congenital insensitivity to pain include instability due to development of Charcot-like changes from neuropathic arthropathy of the spine, and scoliosis. Radiographs initially show disc space narrowing, facet arthropathy, and hypertrophic spurs. With time, osteopenia, fragmentation, large ostephytes, and subluxation can be seen. Osteomylitis is seen more frequently than in the general population, probably as a result of neglected foci of infection such as dental abscess and bitten fingers. The most frequent sites are the fingers and toes [8]. Osteomylitis is most commonly idolent and chronic rather that acute in presentation [7, 9, 10–12].
Gorham’s disease is the most common form of idiopathic osteolysis. It is not genetically transmitted. The age of onset of osteolysis is variable, and the disease has been seen in children. It may appear in any part of the skeleton and has been described in the shoulder, pelvis, proximal femur, skull, and spine. Although the disease was previously thought to be benign, its course varies with the site of involvement. Presenting symptoms may be limb pain or weakness and depend on the site of involvement. Pathologic fractures may occur [12]. Previous reports descirbed the lytic changes along the articulations in patients with HSAN. Gorham’s idiopathic osteolysis, however, was not a feature.
Conclusion
Treatment in general might consist of a combination of antibiotics and relief of pressure from weight-bearing areas, either by custom-made shoe ware, weight-relieving casts, or periods of non-weight bearing. Previous reports from within the literature believe that surgical treatment in cases with severe joint damage proved unsuccessful, because of the false results and the possibility to develop osteomyelitis. In our present patient it was possible to treat her effectively by surgery.
Additional information
Source of funding. The study had no sponsorship.
Conflict of interest. The authors declare no obvious and potential conflicts of interest related to the publication of this article.
Ethical review. Written informed consent was obtained from the parents for the purpose of publication of the manuscript and figures of their child.
Contribution of the authors
All of the authors were involved in the clinico-radiographic assessment and finalising the paper. All authors have red and approved the final version of the paper.
About the authors
Ali Al Kaissi
Ludwig Boltzmann Institute of Osteology, at the Hanusch Hospital of WGKK, and AUVA Trauma Centre Meidling, First Medical Department, Hanusch Hospital; Orthopaedic Hospital of Speising, Paediatric Department
Author for correspondence.
Email: ali.alkaissi@oss.at
ORCID iD: 0000-0003-1599-6050
MD, MSc
Austria, ViennaFranz Grill
Orthopaedic Hospital of Speising, Paediatric Department
Email: Grill.franz@gmx.net
MD, Professor
Austria, ViennaRudolf Ganger
Orthopaedic Hospital of Speising, Paediatric Department
Email: rudolf.ganger@oss.at
MD, PhD, Professor
Austria, ViennaReferences
- Samueles M, Feske S. Inherited neuropathy. In: Office practice of neurology. New York: Churchill Livingstone; 1996. P. 540-548.
- Swaiman KP. Peripheral neuropathies in children. In: Pediatric neurology, principles and practice. St. Louis: Mosby; 1989. P. 1105-1123.
- Swanson AG. Congenital insensitivity to pain with Anhydrosis. Arch Neurol. 1963;8(3):299. https://doi.org/10.1001/archneur.1963.00460030083008.
- Swanson AG. Anatomic changes in congenital insensitivity to pain. Arch Neurol. 1965;12(1):12. https://doi.org/10.1001/archneur.1965.00460250016002.
- Edward M, Breet E. Neuromuscular disorders: peripheral neuropathy. In: Pediatric neurology. 2nd ed. New York: Churchill Livingstone; 1991. P. 117-139.
- Krettek C, Gluer S, Thermann H, et al. Non-union of the ulna in a ten-month-old child who had type IV hereditary sensory neuropathy. J Bone Joint Surg. 1997;79(8):1232-1234.
- Mazar A, Herold HZ, Vardy PA. Congenital sensory neuropathy with anhidrosis. Orthopedic complications and management. Clin Orthop. 1976;(118):184-187.
- Kenis V, Baindurashvili A, Ivanov S. Charcot arthropathy in children. Wound Medicine. 2013;2-3:16-21. https://doi.org/10.1016/j.wndm.2013.10.005.
- Hicks JH. Rigid fixation as a treatment for hypertrophic non-union. Injury. 1977;8(3):199-205. https://doi.org/10.1016/0020-1383(77)90132-2.
- Jolly GP, Zgonis T, Polyzois V. External fixation in the management of Charcot neuroarthropathy. Clin Podiatr Med Surg. 2003;20(4):741-756. https://doi.org/10.1016/s0891-8422(03)00071-5.
- Zgonis T, Stapleton JJ, Jeffries LC, et al. Surgical treatment of charcot neuroarthropathy. AORN J. 2008;87(5):971-990. https://doi.org/10.1016/j.aorn. 2008.03.002.
- Gorham LW, Stout AP. Massive osteolysis (acute spontaneous absorption of bone, phantom bone, disappearing bone); its relation to hemangiomatosis. J Bone Joint Surg Am. 1955;37-A(5):985-1004.
Supplementary files







