Total Resection of Long Bone in Malignant Tumors
- Authors: Makhson A.N.1, Makhson N.E.1
-
Affiliations:
- Moscow City Clinical Oncological Hospital No. 62
- Issue: Vol 3, No 4 (1996)
- Pages: 36-40
- Section: Articles
- Submitted: 28.02.2022
- Accepted: 28.02.2022
- Published: 15.12.1996
- URL: https://journals.eco-vector.com/0869-8678/article/view/103945
- DOI: https://doi.org/10.17816/vto103945
- ID: 103945
Cite item
Full Text
Abstract
The experience of total resection of long bones in 32 patients with malignant and metastatic tumors is presented. When tumor was located in the femur the bone defect was filled in by Sivash’s implant complex; when the tumor was located in the shoulder - individual custom polymeric implants were applied. After clavicular extirpation no defect was filled in, however it did not affect functional disability of the hand and when the patient was dressed the cosmetic defect was not seen. In vast damage of the humerus diaphysis and intact epiphyses the authors recommend to perform diaphysis resection followed by the application of autograft from fibula on microvascular anasthomosis. After those operation the hand function was completely preserved. In patients with metastatic damage total resection of long bone was carried out in case of solitary metastase as well as in multiple metastases with pathologic fractures or with the risk of pathologic fractures. The indications for total resection of the femur in metastatic tumors should be strictly limited because of severity of the operation. Total resection of long bone with correct planning and careful operative technique versus amputation and exarticulation gives the same oncologic outcome and herewith provides significantly higher of patient’s life.
Full Text
Идея и метод тотального удаления длинной кости при ее опухолевом поражении разработаны в ЦИТО С.Т. Зацепиным и Н.Е. Махсоном (а.с. № 2109 от 12.02.71). В последующем ими были обнаружены две публикации с описанием метода удаления целой длинной кости. В 1952 г. Capurro и Pedemonte сообщили об операции, произведенной ими больному 41 года с эхинококкозом бедра: бедренная кость была тотально удалена и замещена аналогичной костью от погибшей в результате несчастного случая молодой женщины. В работе Ottolenghi (1967) приводилось описание операции, выполненной в 1966 г. женщине 23 лет по поводу эхинококкоза левой бедренной кости: пораженная кость была удалена, а дефект замещен костью, изъятой у трупа за 3 нед до операции. Сообщений о тотальном удалении длинной кости при опухолевом поражении с замещением дефекта аналогичным по форме консервированным аллотрансплантатом к моменту, когда подобные операции были произведены в ЦИТО, в доступной литературе обнаружить не удалось.
Первая такая операция — тотальное удаление плечевой кости у больного с ретикулоклеточной саркомой — в ЦИТО произведена 10.03.67 Н.Е. Махсоном. Дефект замещен аналогичным по форме консервированным холодом аллотрансплантатом. Трансплантат был немного длиннее удаленной кости и кожа над его дистальным отделом была несколько натянута, но функция руки в локтевом суставе оказалась удовлетворительной (движения в нем составляли от 180 до 90°, движения в плечевом суставе — в пределах 45°). В 1968 и 1969 гг. Н.Е. Махсоном оперированы 2 больных с хондросаркомой бедренной кости. У одного из них аллотрансплантат удалось подобрать по форме и размерам почти идеально. Функция бедра у этого пациента была вполне удовлетворительной (рис. 1). У второго больного аллотрансплантат оказался значительно меньших размеров. Приводим краткую выписку из его истории болезни.
Рис. 1. Рентгенограмма больного П. после тотального удаления бедренной кости с замещением дефекта консервированным аллотрансплантатом и функция оперированной ноги.
Больной У., 57 лет, в течение 3 лет получал физиотерапию и санаторно-курортное лечение по поводу предполагавшегося «полиартрита». При обследовании в ЦИТО обнаружена опухоль проксимальной половины левой бедренной кости, на рентгенограммах выявлены обширный очаг деструкции с большим мягкотканным компонентом, патологический перелом в подвертельной области (рис. 2, а). 23.07.69 произведена операция: тотальное удаление бедренной кости с замещением дефекта аллотрансплантатом. Поскольку головка трансплантата имела меньший размер, на нее был надет металлический колпачок (рис. 2, б). В последующем у больного сформировался свищ в верхнем отделе раны. Проведена санация протеолитическими ферментами, свищ закрылся и больше не открывался. Морфологическое исследование опухоли: веретеноклеточная саркома. В дальнейшем у больного отмечалось рассасывание аллотрансплантата. Ходит с опорой на костыль и трость. Через 27 лет признаков рецидива и отдаленных метастазов нет.
Рис. 2. Рентгенограммы больного У.: a — до операции; б — после тотального удаления бедренной кости и замещения дефекта консервированным аллотрансплантатом (трансплантат не соответствует по размеру удаленной бедренной кости, на головку бедра надет металлический колпачок).
Позднее по предложению С.Т. Зацепина К.М. Сивашом был сконструирован эндопротез-комплекс, представляющий собой тазобедренный и коленный суставы, соединенные металлическим стержнем — «диафизом». Все последующие операции тотального удаления длинной кости проводились с замещением дефекта эндопротезом. Применение эндопротезов позволило значительно ускорить послеоперационную реабилитацию больных и избежать таких осложнений аллопластики, как переломы и рассасывание трансплантата, частота которых, по данным ряда авторов, в поздние сроки достигала 30% и более.
В больнице № 62 методика тотального удаления длинной кости используется с 1978 г. Показанием к ее применению мы считаем опухолевые процессы, поражающие большую часть длинной кости, что бывает преимущественно при хондросаркомах, остеогенной саркоме, ретикулосаркоме, опухоли Юинга. Кроме того, тотальное удаление длинной кости может производиться при солитарных метастазах, которые часто локализуются в диафизе. Причем к тотальному удалению кости приходится прибегать при поражении ее диафизарного отдела и непораженных метаэпифизах. Сохранение эпифизов при эндопротезировании и аллопластике на современном этапе практически невозможно: при замещении всего диафизарного отдела кости свободным алло- или даже аутотрансплантатом добиться его консолидации с эпифизами не удается, а эндопротезов, позволяющих замещать весь диафиз кости, нет.
Положение существенно меняется при использовании аутопластики васкуляризированными трансплантатами с применением микрохирургической техники. В этой ситуации вместо тотального удаления длинной кости (в первую очередь это касается плеча) может быть произведена ее субтотальная резекция. Сохранение эпифизарных отделов кости, т.е. суставов, принципиально влияет на функцию плеча, которая практически не нарушается. Поэтому в последние годы в больнице эндопротезирование плечевой кости не производится, а дефект при рассматриваемых операциях замещается аутотрансплантатом из малоберцовой кости на микрососудистых анастомозах. В большинстве случаев это позволяет сохранить один или оба эпифиза плечевой кости — в зависимости от нозологической формы и размеров опухоли. В качестве иллюстрации приводим одно из наблюдений.
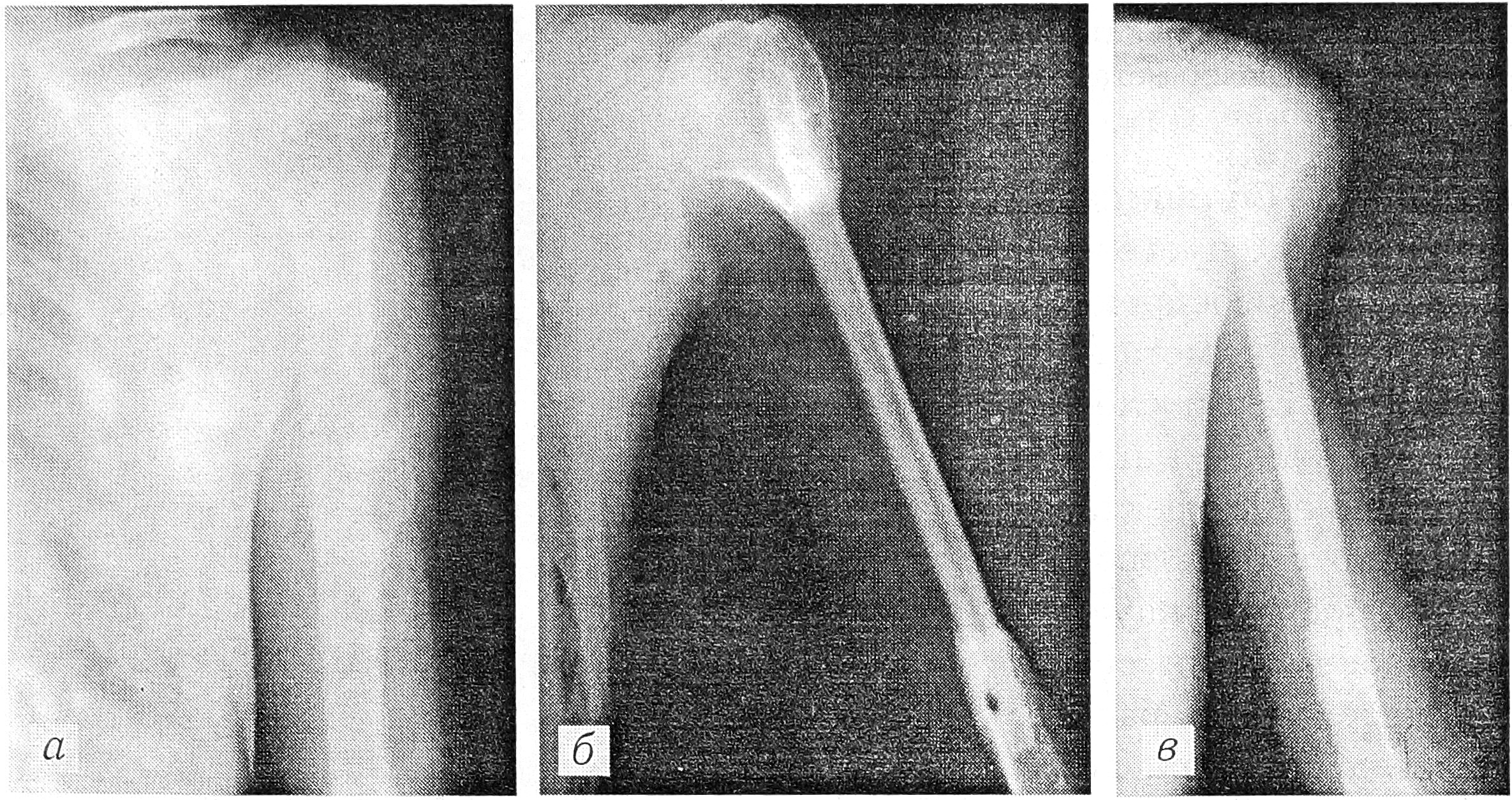
Больной Ш., 19 лет. Диагноз: остеобластокластома левой плечевой кости (рис. 3, а). В ноябре 1990 г. появилась быстро увеличивающаяся в размерах опухоль. 7.05.91 произведена краевая резекция плечевой кости. При гистологическом исследовании удаленного препарата диагностирована остеобластокластома с аневризмальной кистой и признаками озлокачествления. Учитывая данные гистологического исследования и быстрый рост опухоли, проведено комбинированное лечение: предоперационный курс дистанционной гамма-терапии на зону опухоли (суммарная очаговая доза 50 Гр). 3.07.91 выполнена резекция диафиза плечевой кости с одномоментным замещением дефекта фрагментом правой малоберцовой кости на микрососудистых анастомозах. Фиксация проводилась аппаратом Илизарова. Через 3 мес после операции аппарат снят. На рентгенограмме (рис. 3, б) видно полное сращение костных фрагментов. При контрольной рентгенографии через 2 года отмечена выраженная гипертрофия костного трансплантата (рис. 3, с), наступившая под воздействием возрастающей физической нагрузки. Функция руки полностью сохранена (рис. 3, г).
Рис. 3. Больной Ш.: a — рентгенограмма до операции; б — через 3 мес после резекции диафиза плечевой кости с замещением дефекта аутотрансплантатом на микрососудистых анастомозах; в — через 2 года после операции (видна гипертрофия аутотрансплантата); г -— функция руки через 2 года после операции.
В больнице № 62 тотальное удаление длинной кости с эндопротезированием или без замещения дефекта (при экстирпации ключицы) произведено нами (А.Н. Махсон) 32 больным. У 10 из них была хондросаркома, в том числе у 7 — бедренной кости (у 4 вторичная, у 3 первичная) и у 3 — плечевой кости, у 4 больных; — остеогенная саркома (у 2 — бедренной и у 2 — плечевой кости), у 1 больного — синовиальная саркома бедра, у 2 — ретикулоклеточная саркома (у 1 — плечевой кости и у 1 — ключицы), У 1 — солитарная плазмоцитома ключицы. У 14 больных было метастатическое поражение костей: у 2 — бедренной, у 5 — плечевой и у 7 — ключицы. На момент операции все метастазы диагностировались как солитарные.
Приводим некоторые наблюдения.
Больная С., 63 лет, находилась на лечении в больнице № 62 с 9.09.77 по 8.02.78 по поводу гипернефроидного рака левой почки, метастаза в левую плечевую кость с патологическим переломом. В июне 1977 г. в травматологическом отделении одной из московских больниц был произведен остеосинтез левой плечевой кости. Консолидации отломков не наступило, сохранились боли. При контрольном осмотре заподозрен патологический характер перелома (рис. 4, а). При обследовании в больнице № 62 диагностирован рак левой почки, и 27.09.77 выполнена нефрэктомия слева (А.Н. Махсон). 15.12.77 произведено тотальное удаление левой плечевой кости с замещением дефекта специально изготовленным эндопротезом из полиамида-12 (рис. 4, б). Послеоперационный период протекал без осложнений. Сразу после заживления раны больная стала активно пользоваться оперированной рукой, выполняла всю домашнюю работу. Гистологическое исследование препарата: метастаз гипернефроидного рака с деструкцией кости. Через 2,5 года наступила дальнейшая генерализация процесса. Выявлены метастазы в других отделах скелета и в легких. Больная умерла через 2 года 9 мес после операции на плечевой кости. Качество жизни в эти последние прожитые ею годы было хорошим: больная не испытывала болей, делала всю домашнюю работу и не ощущала себя инвалидом. Рецидива в области операции на плече не было.
Рис. 4. Рентгенограммы больной С.: a — до операции; б — после тотального удаления плечевой кости с замещением дефекта рентгенопрозрачным эндопротезом из полиамида-12.
Больной Т., 51 года. Диагноз: синовиальная саркома правого бедра с обширным распространением в его верхней половине и вовлечением в процесс бедренной кости (рис. 5, а). 23.04.84 произведена операция: удаление бедренной кости с эндопротезированием дефекта суставом-комплексом Сиваша (рис. 5, б). Разрез кожи и подкожной клетчатки от гребня подвздошной кости вниз по наружной поверхности бедра с переходом на верхнюю треть голени. От большого вертела отсечены сухожилия ягодичных мышц. На расстоянии 30 см от тазобедренного сустава поднадкостнично пересечена бедренная кость (отступя 10 см от нижнего края опухоли). Рассечена капсула тазобедренного сустава и пересечена круглая связка бедра. Головка бедренной кости вывихнута из вертлужной впадины. Путем острой препаровки произведено выделение проксимального отдела бедренной кости с оставлением над опухолью срединной и частично медиальной и латеральной головок четырехглавой мышцы бедра. Вскрыт коленный сустав. Долотом резецированы межмыщелковое возвышение большеберцовой кости и мыщелки бедренной. Костномозговые каналы большеберцовой и бедренной костей рассверлены развертками соответствующего диаметра. Большеберцовый компонент протеза запрессован в большеберцовую кость. Часть разборного диафизарного компонента эндопротеза проведена через костномозговой канал оставшегося участка бедренной кости и соединена с другой частью диафизарного компонента. Чашка эндопротеза запрессована в вертлужную впадину. Эндопротез сомкнут в коленном суставе. Рана послойно ушита наглухо. Гистологическое исследование препарата: синовиальная саркома. Послеоперационный период протекал без осложнений. Рана зажила первичным натяжением. Через месяц больной поднят на ноги. Движения в тазобедренном и коленном суставах лишь слегка ограничены. Через 3 мес ходил с опорой на трость. В течение 2 лет чувствовал себя здоровым, вернулся к прежней работе. При очередном обследовании у больного выявлен бронхогенный рак правого легкого, верифицированный морфологически. В Институте им. П.А. Герцена признан иноперабельным. Рецидива синовиальной саркомы на бедре не отмечалось. Проводилась гамма-терапия, но процесс в легких прогрессировал, и через 2,5 года после операции на бедре больной умер от рака легкого.
Рис. 5. Рентгенограммы больного Т.: а — до операции; б — после тотального удаления бедренной кости с эндопротезированием дефекта протезом-комплексом Сиваша.
Особую группу составляют больные с поражением ключицы. Эту кость только условно можно отнести к длинным костям. Она не несет больших нагрузок, и у взрослых ее тотальное удаление не приводит к сколько-нибудь выраженной или нарастающей деформации грудной клетки и практически не нарушает функцию оперированной руки. Поэтому при удалении ключицы мы не прибегаем к замещению образующегося дефекта. С онкологических позиций оправданно тотальное удаление ключицы с надкостницей и подключичной мышцей. Причем при больших опухолях с поражением ключично-грудинного конца мы производим экстирпацию ключицы с резекцией рукоятки грудины и I ребра. Только такой подход обеспечивает абластичность хирургического вмешательства. Подобные операции произведены 7 больным с метастатическим поражением ключицы, одному больному с солитарной плазмоцитомой и одному — с ретикулоклеточной саркомой.
Больная Н., 58 лет, госпитализирована в больницу № 62 по поводу опухоли левой ключицы, которая в результате обследования квалифицирована как метастаз без выявленного первичного очага. 3.10.77 произведена экстирпация ключицы. Морфологически диагностирован метастаз гипернефроидного рака. Дальнейшее обследование больной выявило рак правой почки, и через 3 нед после экстирпации ключицы произведена правосторонняя нефрэктомия. В течение 2 лет больная чувствовала себя хорошо. В августе 1979 г. выявлен метастаз в проксимальном метаэпифизе левой бедренной кости и 25.08.79 выполнена резекция проксимального суставного конца бедра с эндопротезированием. Послеоперационный период протекал без осложнений. Через месяц больная начала ходить и через 2 мес хорошо ходила с опорой на трость. Еще через год выявилась дальнейшая генерализация процесса, и в марте 1981 г. (через 3 года 5 мес после первого оперативного вмешательства) больная умерла.
Из 18 больных с первичными злокачественными опухолями рецидив после тотального удаления длинной кости возник у одного. В течение 5 лет после удаления бедренной кости по поводу распространенной хондросаркомы с замещением дефекта протезом-комплексом Сиваша функция конечности у этого больного оставалась вполне удовлетворительной. Затем был обнаружен рецидив в проксимальном отделе бедра с распространением опухоли в область таза. Произведена межподвздошно-брюшная ампутация. Больной умер в ближайшем послеоперационном периоде. Отдаленные метастазы в легкие развились у 2 больных с хондросаркомой. Остальные живы без рецидива и метастазов при сроке наблюдения от 5 до 13 лет.
Из 2 больных с остеогенной саркомой плеча у одного тотальное удаление плечевой кости сочеталось с межлопаточно-грудной резекцией. Через 9 мес при отсутствии рецидива у этого больного развились множественные метастазы, что определило его судьбу. У второго пациента через год после тотального удаления плечевой кости также появились метастазы в легких (опухоль не рецидивировала) и через 1 год 3 мес наступила смерть.
При остеогенной саркоме бедренной кости одной больной до операции был проведен курс дистанционной гамма-терапии (суммарная очаговая доза 120 Гр), после чего возник патологический перелом бедра. Произведено тотальное удаление бедренной кости. Послеоперационный период осложнился расхождением краев раны и глубоким нагноением (что называется, рана «развалилась» на всю глубину). Предпринята экзартикуляция бедра. Через 2 года после операции рецидива и отдаленных метастазов не отмечалось, затем больная была потеряна для наблюдения. Второй больной через 13 лет после операции живет без признаков рецидива и отдаленных метастазов, ходит с опорой на трость, умеренно хромает.
Больная, оперированная по поводу ретикулоклеточной саркомы ключицы, живет без рецидива и метастазов 12 лет. Больной с плазмоцитомой ключицы получил курс химиотерапии в предоперационном периоде. От повторных курсов химиотерапии отказался, и через 4 года наступила генерализация процессв. Больной с ретикулоклеточной саркомой плечевой кости спустя 10 лет был жив, затем потерян для наблюдения.
При метастатическом поражении костей рецидивный рост в области удаленной кости развился у одной больной (метастаз рака почки в ключицу). Другие больные умерли от генерализации процесса в сроки от 9 мес до 4 лет. Генерализация чаще наступала в ранние сроки у больных с метастазами рака легкого. Наибольшая продолжительность жизни наблюдалась у больных с метастазами рака молочной железы.
Тотальное удаление длинной кости является альтернативой экзартикуляции конечности, межлопаточно-грудной или межподвздошно-брюшной ампутации. Как при первичной злокачественной опухоли длинной кости, так и при развитии в ней метастаза рака внутренних органов тотальное удаление кости может быть адекватным оперативным вмешательством в комплексном лечении этой тяжелой категории больных. Такая операция с эндопротезированием или без замещения дефекта (при поражении ключицы) улучшает качество жизни: устраняет мучительные, подчас нестерпимые боли, возвращает больного к активной жизни, обеспечивая возможность самообслуживания, а иногда и позволяя вернуться к трудовой деятельности. Наиболее тяжелым и травматичным вмешательством является тотальное удаление бедренной кости с эндопротезированием, поэтому показания к такой операции при метастатическом поражении очень ограничены.
About the authors
A. N. Makhson
Moscow City Clinical Oncological Hospital No. 62
Author for correspondence.
Email: info@eco-vector.com
Russian Federation, Moscow
N. E. Makhson
Moscow City Clinical Oncological Hospital No. 62
Email: info@eco-vector.com
Russian Federation, Moscow
References
Supplementary files







