Operative treatment of combined fractures of pelvic bones and lower extremities
- 作者: Cherkes-Zade D.I.1, Chelyapov V.N.1, Lazarev A.F.1
 - 
							隶属关系: 
							
- Central Institute of Traumatology and Orthopedics named after N.N. Priorov
 
 - 期: 卷 4, 编号 2 (1997)
 - 页面: 23-27
 - 栏目: Original study articles
 - ##submission.dateSubmitted##: 24.04.2022
 - ##submission.dateAccepted##: 24.04.2022
 - ##submission.datePublished##: 15.06.1997
 - URL: https://journals.eco-vector.com/0869-8678/article/view/106694
 - DOI: https://doi.org/10.17816/vto106694
 - ID: 106694
 
如何引用文章
全文:
详细
The experience of surgical correction for combined injuries of pelvic bones and lower limbs was presented. There were 44 patients: 24 patients with acute trauma including 10 patients with injuries of the inner organs; and 20 patients with posttraumatic deformities and other sequela. Fractures of lower limbs (mainly femur and crus) were combined in 79.5% of cases with polyfocal injuries of pelvic ring and in 20.5% of cases with monofocal ones. Others’ technique of transosseous osteosynthesis for femur and crus fractures as well as closed reposition and pelvic ring stabilization was of relative simplicity and minimal trauma and allowed to perform lower limb fracrure osteosynthesis independently of the number of injured segments and fracrture number as well as to perform the operation by several teams simultaneously. Authors considered the following tactic as rational: 1) closed simultaneous reposition of pelvic ring and lower limb fractures may be performed on the day of patient’s admission; 2) delayed open surgical correction with combination of transosseous osteosynthesis may be performed simultaneously in the pelvic ring and lower limbs; 3) open surgical correction of pelvic ring and lower limbs may be performed separately and step-by-step.
全文:
Повреждения тазового кольца в сочетании с переломами костей нижних конечностей относятся к категории наиболее сложных множественных повреждений скелета, лечение которых представляет большие трудности, особенно если они сочетаются с повреждениями внутренних органов.
В настоящее время отчетливо прослеживается тенденция к увеличению удельного веса множественных (17,7%) и сочетанных (35,3%) травм таза, при этом переломы нижних конечностей отмечаются у 30,7% пострадавших. Наиболее часто при политравме встречаются переломы костей голени, бедра и полифокальные повреждения тазового кольца. Вопрос лечения переломов данной локализации сложен и решается неоднозначно.
Настоящее сообщение основано на опыте хирургической коррекции повреждений таза и нижних конечностей у 44 пострадавших: у 24 с острой травмой (10 из них имели одновременные повреждения внутренних органов, таза и нижних конечностей) и у 20 — с посттравматическими деформациями и другими последствиями переломов. Оперативное лечение проводилось в основном при переломах бедра и голени, лишь у 2 пациентов выполнена хирургическая коррекция при неправильно сросшихся переломовывихах стопы.
Переломы костей нижних конечностей сочетались с полифокальными повреждениями таза в 79,5% наблюдений, с монофокальными — в 20,5%. Характер сочетания повреждений тазового кольца и нижних конечностей представлен в табл. 1.
Таблица 1
Повреждения тазового кольца и нижних конечностей, потребовавшие оперативного лечения
Локализация повреждений тазового кольца  | Локализация переломов конечностей  | Всего  | ||
бедро и голень  | бедро  | голень  | ||
Передний отдел  | -  | 4  | 5  | 9  | 
Вертлужная впадина  | —  | 5  | -  | 5  | 
Передний и задний отделы  | 4  | 12  | 10  | 26  | 
Вертлужная впадина, передний и задний отделы  | -  | 2  | 2  | 4  | 
Итого ...  | 4  | 23  | 17  | 44  | 
Тактико-техническая схема оперативного лечения в каждом конкретном случае строилась в зависимости от тяжести состояния пострадавших и характера структурных нарушений.
Чрескостный остеосинтез переломов нижних конечностей в сочетании с оперативным лечением повреждений таза был выполнен в 34 случаях (в 9 он произведен при поступлении пострадавшего одномоментно со стабилизацией тазового кольца), погружной остеосинтез — в 10 случаях (табл. 2).
Погружной остеосинтез как единственный способ хирургической коррекции тазового кольца был применен у 15 больных, наружный чрескостный остеосинтез — у 14, комбинация погружного и чрескостного остеосинтеза — у 15 (табл. 3).
Таблица 2
Методы хирургического лечения переломов нижних конечностей и их последствий
Вид операций  | Бедро  | Голень  | Бедро и голень  | Всего  | 
Остеосинтез шейки Г-образной пластиной  | 1  | -  | -  | 1  | 
Внутрикостный остеосинтез  | 3  | —  | 
  | 3  | 
Остеосинтез пластиной с костной аутопластикой при ложном суставе  | 2  | 
  | 
  | 2  | 
Остеосинтез пластиной при неправильно сросшемся переломе Чрескостный остеосинтез аппаратом Илизарова:  | 4  | 
  | 
  | 4  | 
при свежих переломах  | 9  | 7  | 4  | 20  | 
при несросшихся переломах  | 3  | 2  | —  | 5  | 
при ложном суставе  | —  | 4  | —  | 4  | 
с остеотомией при ложном суставе  | —  | 2  | —  | 2  | 
с резекцией ложного сустава  | 1  | 2  | 
  | 3  | 
Итого ...  | 23  | 17  | 4  | 44  | 
В общей сложности наружный чрескостный остеосинтез переломов тазового кольца произведен у 65% больных, переломов нижних конечностей — у 77,3%, одновременно переломов тазового кольца и нижних конечностей — у 54,5%.
Таблица 3
Методы хирургического лечения повреждений тазового кольца и их последствий
Вид операций  | Локализация повреждения  | Всего  | |||
передний отдел  | вертлужная впадина  | передний и задний отделы  | вертлужная впадина и другие отделы  | ||
СТК АНФ  | 3  | —  | 11  | —  | 14  | 
Пластика лобкового симфиза + СТК АНФ  | 3  | —  | 4  | -  | 7  | 
Остеосинтез пластинами Черкес-Заде + + СТК АНФ  | —  | —  | —  | 2  | 2  | 
Пластика лобкового симфиза + + компрессионный артродез КПС АНФ  | —  | —  | 2  | —  | 2  | 
Открытая репозиция, костная аутопластика заднего отдела + СТК АНФ  | -  | — -  | 4  | —  | 4  | 
Пластика лобкового симфиза  | 3  | —  | 2  | —  | 5  | 
Остеосинтез пластиной Черкес-Заде  | —  | 2  | -  | -  | 2  | 
Эндопротезирование тазобедренного сустава  | —  | 2  | —  | -  | 2  | 
Артродез тазобедренного сустава  | —  | 1  | —  | —  | 1  | 
Резекция ложного сустава с костной аутопластикой + пластика лобкового симфиза  | —  | —  | —  | 2  | 2  | 
Пластика лобкового симфиза, артродез КПС по Черкес-Заде  | —  | —  | 3  | —  | 3  | 
Итого ...  | 9  | 5  | 26  | 4  | 44  | 
Обозначения: СТК АНФ - стабилизация тазового кольца аппаратом наружной фиксации; КПС -крестцово- подвздошное сочленение.
Следует отметить, что для выполнения одномоментной хирургической коррекции повреждений тазового кольца и нижних конечностей, особенно сразу после поступления пострадавших и в остром периоде травматической болезни, нам потребовались новые подходы к методикам наружного чрескостного остеосинтеза переломов бедра и голени.
Во многих случаях оправданным является разделение остеосинтеза на два этапа. На первом этапе — в остром периоде политравмы, когда время манипуляций ограничено из-за тяжести состояния пострадавшего, с целью сокращения продолжительности и снижения травматичности оперативного вмешательства мы производим остеосинтез минимальным числом чрескостных фиксаторов (спиц, стержней) и внешних конструкций. Задача данного этапа — устранение грубых смещений и фиксация отломков.
На втором этапе, по стабилизации общего состояния пострадавшего, в ближайшие сроки после травмы проводим окончательное устранение остаточных смещений отломков и жесткую стабилизацию поврежденного сегмента конечности, позволяющую компенсировать опорную функцию.
Стандартный подход к чрескостному остеосинтезу предполагает предварительную репозицию отломков на ортопедическом столе или репонирующей приставке. У пострадавших с политравмой в большинстве случаев эти манипуляции невыполнимы ввиду их травматичности и острого дефицита времени, особенно при повреждении внутренних органов. Поэтапный монтаж аппарата при стандартном наложении, контрольная рентгенография на этапах усложняют и удлиняют операцию, что ограничивает применение чрескостного остеосинтеза у пострадавших с переломами таза и нижних конечностей в остром периоде политравмы.
С целью снижения трудоемкости и сокращения продолжительности операции (до 20— 40 мин на сегмент) мы осуществляем предварительный монтаж упрощенных унифицированных схем аппаратов для остеосинтеза на сегментах нижних конечностей.
Для голени это конструкция, состоящая из двух колец диаметром 140—160 мм, которые соединяются телескопическими штангами, что позволяет легко изменять длину аппарата. Для экстренных операций на бедре необходим комплект собранных аппаратов с кольцом и полукольцом диаметром 160—200 мм (редко 220 мм). Унифицированная конструкция аппарата для бедра собирается из двух многодырчатых балок средней длины с резьбовым хвостовиком, соединенных между собой и укрепленных вертикально на связующем полукольце (3/4 сектора), которое в свою очередь соединяется резьбовыми штангами с дистальным кольцом. Вертикальные балки при наложении аппарата располагают по наружной поверхности бедра и используют для фиксации стержней, установленных в проксимальном отломке. Кроме того, стержни можно фиксировать к среднему связующему полукольцу (соединяющему стержневую и спицевую части аппарата). Для усиления жесткости конструкции между верхним концом вертикальной многодырчатой балки и связующим полукольцом укрепляется косо расположенная резьбовая штанга. В дистальном кольце аппарата фиксируются спицы, проведенные через дистальный отломок бедра; спица с упорной площадкой, проведенная через проксимальный конец дистального отломка, фиксируется в связующем полукольце. Таким образом, для экстренного остеосинтеза достаточно трех стержней (в проксимальном отломке) и трех спиц (в дистальном).
По стабилизации общего состояния пострадавшего можно выполнить окончательную репозицию и фиксацию отломков за счет проведения дополнительных спиц и стержней и установки дополнительных внешних опор, что позволяет компенсировать опорную функцию поврежденного сегмента и разрешить полную нагрузку на оперированную конечность.
Относительная простота и малая травматичность методик остеосинтеза с использованием собранных унифицированных конструкций аппаратов позволяет при правильной организации и четком проведении операционного процесса осуществить остеосинтез переломов нижних конечностей у пострадавших с политравмой независимо от числа поврежденных сегментов и числа переломов и делает возможным проведение операций несколькими бригадами — травматологов, хирургов, нейротравматологов — одновременно.
К сожалению, в клинической практике далеко не все повреждения как тазового кольца, так и нижних конечностей удается корригировать закрытыми методами чрескостного остеосинтеза. Во многих случаях требуется открытая хирургическая коррекция нескольких очагов повреждения. Мы в своей практике придерживаемся следующей тактической схемы хирургической коррекции травматических очагов тазового кольца и нижних конечностей (независимо от их локализации) при политравме:
- закрытая хирургическая коррекция травматических очагов с применением аппаратов наружной фиксации может быть произведена при поступлении пострадавшего на тазовом кольце и нижних конечностях одномоментно;
 - хирургическая коррекция открытыми методами в сочетании с чрескостным остеосинтезом может быть выполнена одновременно на тазовом кольце и нижних конечностях в отсроченном порядке;
 - хирургическая коррекция травматических очагов тазового кольца и нижних конечностей открытыми методами производится раздельно и поэтапно.
 
Эффективность применяемой нами тактики может быть проиллюстрирована следующим клиническим примером.
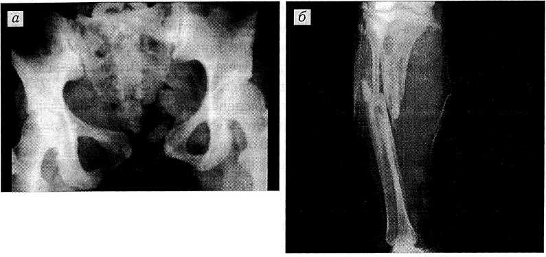
Больная Б., 24 лет, поступила в клинику травматологии ЦИТО через 30 мин после получения травмы (сбита автомобилем). При осмотре состояние пострадавшей крайне тяжелое, заторможена, умеренный акроцианоз, кожные покровы бледные, АД 60/40 мм рт. ст., пульс 124 в минуту, дыхание поверхностное, живот вздут, напряжен. В области лобка переходящая на промежность рваная рана размером 8×5 см, ушибленные раны в средней и верхней трети правой голени размером 2×4 см.
Рис. 1. Прямая обзорная переднезадняя рентгенограмма таза (а) и рентгенограмма правой голени (б) больной Б. при поступлении.а — разрыв лобкового симфиза с диастазом до 6 см и левого крестцово-подвздошного сочленения; б — многооскольчатый двойной открытый перелом костей голени.
Рис. 2. Рентгенограммы той же больной после операции в день поступления. а — стабилизация тазового кольца спицевым аппаратом наружной фиксации: закрытая репозиция, конфигурация тазового кольца восстановлена; б — наружный чрескостный остеосинтез перелома голени аппаратом Илизарова.
В операционной на фоне противошоковых мероприятий проведено клиникорентгенологическое обследование. При лапароскопии обнаружена кровь в брюшной полости. Рентгенологически выявлены разрыв лобкового симфиза с диастазом до 6 см и левого крестцово-подвздошного сочленения, многооскольчатый перелом обеих костей правой голени в верхней— средней трети (рис. 1).
Предоперационный диагноз: сочетанная травма — тупая травма живота с повреждением внутренних органов, гемоперитонеум, разрыв лобкового симфиза и левого крестцово-подвздошного сочленения, ушибленная рана промежности, открытый многооскольчатый перелом костей правой голени, шок III степени, алкогольное опьянение.
Произведена лапаротомия, лигированы сосуды брыжейки, резецировано 50 см нежизнеспособной тонкой кишки, наложен анастомоз конец в конец. Выполнена первичная хирургическая обработка раны.
После окончания операции на брюшной полости двумя бригадами одновременно произведены закрытая репозиция и стабилизация тазового кольца аппаратом наружной фиксации и чрескостный остеосинтез перелома правой голени аппаратом Илизарова (рис. 2).
Послеоперационное течение без осложнений, через 2 нед больная переведена из реанимационной палаты в отделение. Режим ведения больной активный с первых суток. Через 3 нед поднята на ноги с костылями, через 5 нед ходит без дополнительных средств опоры (рис. 3).
Рис. 3. Та же больная через 5 нед после операции: ходит с полной нагрузкой, без дополнительных средств опоры.
Рис. 4. Прямая обзорная переднезадняя рентгенограмма таза той же больной через 2 мес после операции: аппарат наружной фиксации снят, сохраняется правильная конфигурация тазового кольца в области поврежденных сочленений.
С тазового кольца аппарат снят через 2 мес (рис. 4), с голени — через 5 мес после операции. Двигательная активность восстановлена в полном объеме через 2 нед после снятия аппарата с голени. Пациентка осмотрена через месяц: жалоб нет, ходит без дополнительной опоры, походка правильная, безболезненная, в наблюдении не нуждается.
Отдаленные результаты лечения изучены у 34 из 44 больных в сроки от 1,5 до 5 лет. Основными критериями оценки являлись функциональная устойчивость таза в целом и опороспособность нижних конечностей. При острой травме хороший результат получен у 63,1%, удовлетворительный — у 31,6%, неудовлетворительный — у 5,3% пострадавших. У больных с последствиями переломов таза и нижних конечностей исход лечения определялся динамикой компенсации опороспособности и двигательной функции после операции. Хороший результат констатирован в 66,7% случаев, удовлетворительный — в 20%, неудовлетворительный — в 13,3%. Как при острой травме, так и при последствиях повреждений таза и нижних конечностей ближайшие и отдаленные результаты были тем лучше, чем раньше проводилась адекватная хирургическая коррекция.
作者简介
D. Cherkes-Zade
Central Institute of Traumatology and Orthopedics named after N.N. Priorov
							编辑信件的主要联系方式.
							Email: info@eco-vector.com
				                					                																			                												                	俄罗斯联邦, 							Moscow						
V. Chelyapov
Central Institute of Traumatology and Orthopedics named after N.N. Priorov
														Email: info@eco-vector.com
				                					                																			                												                	俄罗斯联邦, 							Moscow						
A. Lazarev
Central Institute of Traumatology and Orthopedics named after N.N. Priorov
														Email: info@eco-vector.com
				                					                																			                												                	俄罗斯联邦, 							Moscow						
参考
补充文件
				
			
						
						
					





