Эндопротезирование рукоятки грудины при хондросаркоме G1: клинический случай
- Авторы: Снетков А.А.1, Хаспеков Д.В.2, Снетков А.И.1, Мачак Г.Н.1
-
Учреждения:
- НМИЦ травматологии и ортопедии им. Н.Н. Приорова
- Детская городская клиническая больница св. Владимира
- Выпуск: Том 29, № 2 (2022)
- Страницы: 151-159
- Раздел: Клинические случаи
- Статья получена: 22.07.2022
- Статья одобрена: 12.09.2022
- Статья опубликована: 15.06.2022
- URL: https://journals.eco-vector.com/0869-8678/article/view/109447
- DOI: https://doi.org/10.17816/vto109447
- ID: 109447
Цитировать
Аннотация
Обоснование. Злокачественные новообразования с поражением грудной клетки встречаются достаточно редко и составляют от 0,5 до 3,1% общего числа больных c опухолями костей всех локализаций. В связи с этим имеется достаточно мало публикаций, описывающих тактику хирургического лечения и методов протезирования сформированного дефекта.
Описание клинического случая. В статье представлен случай хирургического лечения пациента в возрасте 18 лет с хондросаркомой G1 рукоятки грудины с успешным проведением её индивидуального протезирования.
Заключение. Использование современных 3D-технологий позволяет по результатам КТ-моделирования осуществлять не только планирование объёма необходимой резекции костной ткани, но и изготавливать высокотехнологичные протезы при помощи 3D-печати для замещения дефекта с планированием достаточной опороспособности и функции.
Ключевые слова
Полный текст
ОБОСНОВАНИЕ
Злокачественное поражение плоских костей грудной клетки всегда ставило перед хирургами ряд трудноразрешимых задач. В то время как по онкологическим критериям выбрать объём резекции позволяют современные методы лучевой диагностики, выбор тактики замещения дефекта всегда вызывал необходимость подводить известные методики под поставленную задачу. Затруднение во многом создавала необходимость учитывать высокую подвижность и эластичность грудной клетки в сочетании с потребностью в большом числе фиксирующих площадок для имплантата для создания наиболее полноценной и физиологичной опоры для грудной клетки. Применение недостаточного числа точек опоры нередко приводило к развитию нестабильности импланта.
Первично злокачественные опухоли грудной стенки встречаются относительно редко. Поражение грудины, по данным различных авторов, составляет от 0,5 до 3,1% общего числа больных опухолями костей всех локализаций. Наиболее часто опухоли костей передней грудной стенки представлены: хондросаркомой (27%), остеосаркомой (22%), фибросаркомой (22%) и др. До 30% опухолей грудины являются метастазами рака из разных органов [1–3].
Случаи манифестации злокачественного процесса первичным поражением грудины у детей представляют огромную редкость, как и методики, описанные для хирургического лечения данного заболевания, что и послужило поводом к описанию нашего наблюдения и представлению разработанного и использованного импланта.
Радикальное хирургическое вмешательство со строгим соблюдением требований онкохирургии продолжает оставаться наиболее значимым при лечении большинства сарком грудной клетки. Опухоли, локализующиеся в кос-тях передней грудной стенки (грудина, ключица, ребра), могут вовлекать в процесс органы средостения, паренхиму лёгких, магистральные сосуды и нервные сплетения. Именно поэтому радикальное удаление опухоли необходимо проводить в учреждениях, где имеется возможность взаимодействия хирургов торакального, сосудистого, травматолого-ортопедического и онкологического профиля [4–9].
При предоперационном планировании вмешательств при опухолях грудины немаловажным является выбор способа закрытия пострезекционного дефекта. При нарушении целостности грудины в области тела грудины на 1-е место выходит восстановление каркасности грудной клетки, создание эффективной опоры для рёбер и, по возможности, сохранение объёма движений при дыхании. При поражении рукоятки грудины также нарушается целостность грудино-ключичного сочленения, что важно для сохранении объёма функции плечевого пояса. В современных источниках литературы описаны различные попытки по замещению дефектов грудной клетки, при которых применяли как реконструкцию собственными тканями, так и синтетические импланты, как правило, в форме пластин (наиболее часто изготовленных из никелида титана). Помимо прочего, рассматривали и использование аддитивных технологий в решении данного вопроса, однако в представленных решениях не предусматривалась функция плечевого пояса [3, 10–13].
КЛИНИЧЕСКОЕ НАБЛЮДЕНИЕ
О пациенте
Пациент Г., 18 лет, поступил в отделение детской костной патологии и подростковой ортопедии НМИЦ травматологии и ортопедии им. Н.Н. Приорова (Москва) с крупным опухолевым новообразованием, доступным для пальпации в области рукоятки грудины. Из анамнеза известно, что рост образования отмечали на протяжении 1 года, при этом закрытая биопсия, проведённая по месту жительства, оказалась неинформативной, в связи с чем пациент был направлен в профильное учреждение.
Диагностика
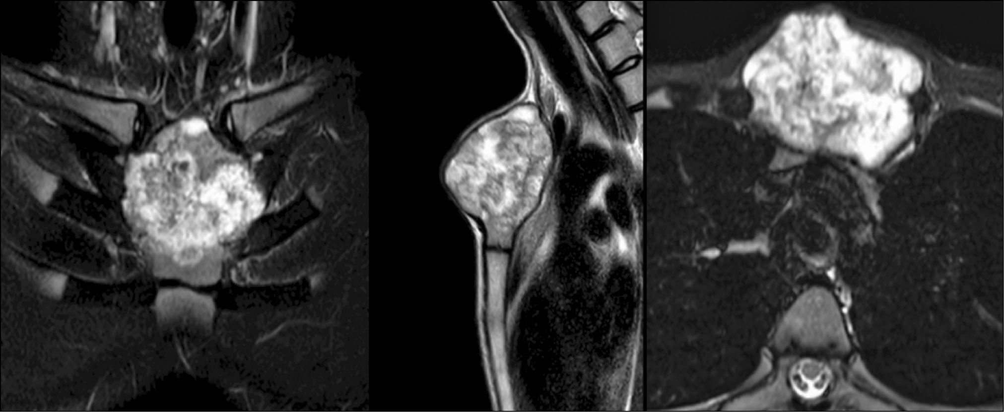
Проведена открытая биопсия патологического очага. По данным гистологического заключения поставлен диагноз: «Хондросаркома G1 рукоятки грудины». При обследовании по итогам компьютерной (КТ) и магнитно-резонансной томографии (МРТ) обнаружено объёмное образование в проекции рукоятки грудины с элементами литической деструкции костных структур (рис. 1, 2).
Рис. 1. Компьютерная томограмма рукоятки грудины пациента Г.
Рис. 2. Магнитно-резонансная томограмма рукоятки грудины пациента Г.
Лечение
Учитывая локализацию поражения и необходимость тотального удаления рукоятки грудины, необходимый объём резекции существенно снижает каркасность грудной клетки и опороспособность грудино-ключичного сочленения, вторично влияющего на функцию плечевого пояса. Предложенные различными авторами решения этой проблемы в настоящий момент представлены применением стандартных пластин, фиксирующих грудную клетку, или узким использованием аддитивных технологий. В предложенных имплантах замещение опухолевого дефекта выходило на 2-й план в связи со злокачественным новообразованием. Для решения этой клинической задачи по данным DICOM-архива (Digital Imaging and Communications in Medicine — медицинский отраслевой стандарт создания, хранения, передачи и визуализации цифровых медицинских изображений и документов обследованных пациентов) КТ-исследования пациента выполнена реконструкция костной анатомии грудной клетки с опухолью. По итогам создания 3D-модели проведена реконструкция объёма резекции рукоятки грудины для предоперационного планирования импланта (рис. 3).
Рис. 3. Моделирование хирургического вмешательства по данным КТ-исследования пациента Г.
По результатам сформированного дефекта и имеющихся анатомических структур пациента, а также согласно техническому заданию сформулирован план по проектированию импланта, включавший следующие требования:
- фиксация к костным структурам I, II ребра и телу грудины;
- точки фиксации подготовлены к проведению фиксации кортикальными винтами 3,5 мм и серкляжами в виде предварительно смоделированных отверстий;
- фиксация к ключицам пластинами с формированием площадки под зону резекции грудино-ключичного сочленения;
- проектирование шарнирной конструкции в грудино-ключичном сочленении для сохранения подвижности в верхнем плечевом поясе;
- материал изделия — титан, полиэтилен.
В содействии с компанией «НПК ”Синтел”» (Россия) спроектирован индивидуальный протез рукоятки грудины с подвижными элементами в грудино-ключичном сочленении (рис. 4).
Рис. 4. Прототип в виде 3D-модели и готовое изделие для пациента Г.
В качестве предоперационной подготовки дополнительно выполнена КТ с контрастированием (рис. 5). Отмечено интимное прилегание к внутренней грудной артерии слева и справа и аорте. Учитывая запланированный объём вмешательства и возможные интраоперационные риски, в операционной бригаде участвовали травматолог-ортопед, онколог, торакальный и сосудистый хирург.
Рис. 5. КТ-артериография с контрастированием аорты и внутренней грудной артерии пациента Г.
Доступ к опухоли и грудине осуществлён через кожный разрез по типу «знака мерседес». Грудные мышцы мобилизованы, разведены в стороны (рис. 6). Выделены передние отделы опухоли, тело грудины, ключицы, I и II пары рёбер. Над III ребром слева и справа тупо отслоена плевра. Через сформированный канал заведён стернотом, осуществлено пересечение грудины. Проведена сегментарная резекция хрящевой части I, II пар рёбер, пересечены грудино-ключичные сочленения слева и справа. Грудино-ключично-сосцевидная мышца отсечена слева и справа.
Рис. 6. Этапы выделения опухоли пациента Г.
Далее рукоятку грудины с опухолью мобилизовали от плевры, фрагмент с опухолью вывели вентрально, мягкие ткани также были мобилизованы. Проведено удаление рукоятки единым блоком. При мобилизации дефекта внутренней грудной артерии и стенки аорты не выявлено. При подготовке к протезированию осуществлена резекция медиальной части ключиц на протяжении 1 см. Перед установкой опорные зоны прошиты серкляжами (рис. 7).
Рис. 7. Этапы установки импланта пациенту Г.
При помощи кортикальных винтов и серкляжных нитей произведена фиксация импланта к костным структурам. При функциональном тесте отмечены жёсткая и стабильная фиксация нижнего полюса импланта и сохранение движений в грудино-ключичном сочленении при функциональных пробах. Имплант поэтапно закрыт грудными мышцами. Грудино-ключично- сосцевидные мышцы подшиты к импланту и мягким тканям грудных мышц, прилегающих к импланту. Объём кровопотери составил 240 мл, время хирургического вмешательства — 3 ч 35 мин. Нахождение в условиях реанимационно-анестезиологического отделения — 1 сут, далее пациент был переведён в стационар. Дыхательные расстройства в послеоперационный период не зарегистрированы. Отмечена гематома в объёме 40 мл в проекции грудной мышцы справа, на фоне двукратной пункции гематома полностью эвакуирована. По данным КТ-контроля положение импланта стабильное (рис. 8).
Рис. 8. Рентгенологическое исследование, КТ-реконструкция и внешний вид пациента Г. после хирургического вмешательства.
Динамика и исходы
Пациент активизирован на 5-е сут в кольцах Дельбе для стабилизации плечевого пояса. На 14-е сут выписан на амбулаторное наблюдение по месту жительства. Корректор осанки грудного отдела позвоночника назначен на 3-й мес после оперативного вмешательства. Разработка движений в верхнем плечевом поясе под контролем реабилитолога — через 2 мес с момента операции. По контрольным снимкам через 12 мес признаков рецидива и нестабильности в импланте не обнаружено. Отмечена полная функция при движениях в плечевом поясе, признаков нестабильности имплантата по данным КТ не выявлено. Жалобы на боль и дискомфорт пациент не предъявляет (рис. 9).
Рис. 9. КТ-реконструкция положения протеза у пациента Г. и объём функции плечевого пояса через 1 год после операции.
ОБСУЖДЕНИЕ
Попытки провести анализ выполненной нами хирургической техники и вида применённого импланта в соотношении с данными литературы оказались затруднительными в связи с тем, что аддитивные протезы с элементами замещения рукоятки грудины описаны всего в нескольких источниках, при этом ни один из описанных имплантов не имел подвижного грудино-ключичного сочленения [11, 14, 15]. По нашему мнению, сохранение опороспособности и биомеханики верхнего плечевого пояса является очень важным аспектом, что и было реализовано в представленном нами случае. Кроме того, гибридный тип креплений к костным элементам позволяет добиться прочного контакта с имплантом и избежать нестабильности протеза, что наиболее важно для созревания рубцовой ткани в раннем послеоперационном периоде.
Опухоли грудины относятся к одной из самых редких локализаций в онкологии, при этом отсутствуют унифицированные импланты, позволяющие обеспечить решение любой хирургической задачи, ввиду чего применение аддитивных технологий при подобных локализациях опухолей весьма актуально [2–4]. В то же время протезирование грудины целиком или её сегментов в хирургической практике — явление крайне редкое, поэтому обнаруживается крайне мало данных о применении индивидуальных имплантов и о наблюдениях в отдалённом периоде.
ЗАКЛЮЧЕНИЕ
Индивидуальное протезирование при опухолевом поражении анатомических структур грудины является вариантом решения для многих хирургических случаев в связи неоднородными формами грудной клетки пациентов, а также ввиду различных объёмов поражения. При проектировании индивидуальных имплантов следует учитывать множество факторов, в том числе биомеханику дыхания и опороспособность верхнего плечевого пояса, включая грудино-ключичное сочленение. Как и в случае со всеми индивидуальными изделиями, не исключается вероятность погрешности при их изготовлении, поэтому необходимо строго соблюдать укладку пациентов при КТ-исследовании и контролировать объём выбранной резекции костной ткани до установки индивидуального импланта.
ДОПОЛНИТЕЛЬНАЯ ИНФОРМАЦИЯ / ADDITIONAL INFO
Вклад авторов. Все авторы подтверждают соответствие своего авторства международным критериям ICMJE (все авторы внесли существенный вклад в разработку концепции и подготовку статьи, прочли и одобрили финальную версию перед публикацией).
Author contribution. Thereby, all authors made a substantial contribution to the conception of the work, drafting and revising the work, final approval of the version to be published and agree to be accountable for all aspects of the work.
Источник финансирования. Государственное бюджетное финансирование.
Funding source. State budget financing.
Конфликт интересов. Авторы декларируют отсутствие явных и потенциальных конфликтов интересов, связанных с публикацией настоящей статьи.
Competing interests. The authors declare that they have no competing interests.
Информированное согласие на публикацию. Авторы получили письменное согласие законных представителей пациента (дата подписания 08.11.21) на публикацию его медицинских данных и фотографий.
Consent for publication. Written consent (signed 08.11.21) was obtained from the legal representatives of the patient for publication of relevant medical information and all of accompanying images within the manuscript.
Об авторах
Александр Андреевич Снетков
НМИЦ травматологии и ортопедии им. Н.Н. Приорова
Автор, ответственный за переписку.
Email: isnetkov@gmail.com
ORCID iD: 0000-0001-5837-9584
SPIN-код: 8901-4259
к.м.н., врач травматолог-ортопед
Россия, МоскваДмитрий Викторович Хаспеков
Детская городская клиническая больница св. Владимира
Email: Khaspekov@mail.ru
ORCID iD: 0000-0002-6808-7670
врач-хирург
Россия, МоскваАндрей Игоревич Снетков
НМИЦ травматологии и ортопедии им. Н.Н. Приорова
Email: cito11@hotbox.ru
ORCID iD: 0000-0002-2435-6920
SPIN-код: 9447-3013
д.м.н., профессор, врач травматолог-ортопед
Россия, МоскваГеннадий Николаевич Мачак
НМИЦ травматологии и ортопедии им. Н.Н. Приорова
Email: machak.gennady@mail.ru
SPIN-код: 4020-1743
д.м.н., профессор, врач травматолог-ортопед
Россия, МоскваСписок литературы
- Алиев М.Д., Соловьев Ю.Н., Мусаев Э.Р. Хондросаркома кости. Москва: Инфра-М, 2006. C. 102–104.
- Malawer M., Sugarbaker P.H. Musculoskeletal Cancer Surgery. Dordrecht–Boston–London: Springer, 2001. P. 383–405.
- Иванов В.Е., Курильчик А.А., Рагулин Ю.А., и др. Комплексное лечение остеосаркомы грудины с замещением сложного дефекта грудной стенки // Сибирский онкологический журнал. 2017. Т. 16, № 4. С. 96–102. doi: 10.21294/1814-4861-2017-16-4-96-102
- Махсон А.Н., Махсон Н.Е. Адекватная хирургия опухолей конечностей. Монография. Москва: Реальное время, 2001. С. 130–145.
- Махсон А.Н., Махсон Н.Е. Адекватная хирургия при опухолях плечевого и тазового пояса. Монография. Москва: Реальное время, 1998. С. 36–42.
- Unni K.K., Inwards C.Y., Bridge J.A., et al. Tumors of the Bones and Joints. In: Atlas of Tumor Pathology, Series 4. Silver Spring: American Registry of Pathology, 2005. P. 87–94. doi: 10.55418/188104193X
- Дворниченко В.В., Кожевников А.Б., Шишкин К.Г., и др. Пластика дефектов грудной стенки в остеонкологии // Сибирский медицинский журнал (Иркутск). 2012. Т. 113, № 6. С. 144–146.
- Давыдов М.И., Алиев М.Д., Соболевский В.А., Илюшин А.Л. Хирургическое лечение злокачественных опухолей грудной стенки // Вестник РОНЦ им. Н.Н. Блохина РАМН. 2008. Т. 19, № 1. С. 35–40.
- Bawa H.S., Moore D.D., Pelayo J.C., et al. Pediatric Chondrosarcoma of the Sternum Resected with Thorascopic Assistance // Open Orthop J. 2017. N 11. P. 479–485. doi: 10.2174/1874325001711010479
- Жеравин А.А., Гюнтер В.Э., Анисеня И.И., и др. Реконструкция грудной стенки с использованием никелида титана у онкологических больных // Сибирский онкологический журнал. 2015. Т. 1, № 3. С. 31–37.
- Wang W., Liang Z., Yang S., et al. Three-dimensional (3D)-printed titanium sternum replacement: A case report // Thorac Cancer. 2020. Vol. 11, N 11. P. 3375–3378. doi: 10.1111/1759-7714.13655
- Lin C.W., Ho T.Y., Yeh C.W., et al. Innovative chest wall reconstruction with a locking plate and cement spacer after radical resection of chondrosarcoma in the sternum: A case report // World J Clin Cases. 2021. Vol. 9, N 10. P. 2302–2311. doi: 10.12998/wjcc.v9.i10.2302
- Koto K., Sakabe T., Horie N., et al. Chondrosarcoma from the sternum: reconstruction with titanium mesh and a transverse rectus abdominis myocutaneous flap after subtotal sternal excision // Med Sci Monit. 2012. Vol. 18, N 10. P. CS77–CS81. doi: 10.12659/msm.883471
- Wen X., Gao S., Feng J., et al. Chest-wall reconstruction with a customized titanium-alloy prosthesis fabricated by 3D printing and rapid prototyping // J Cardiothorac Surg. 2018. Vol. 13, N 1. P. 4. doi: 10.1186/s13019-017-0692-3
- Lipińska J., Kutwin L., Wawrzycki M., et al. Chest reconstruction using a custom-designed polyethylene 3D implant after resection of the sternal manubrium // Onco Targets Ther. 2017. N 10. P. 4099–4103. doi: 10.2147/OTT.S135681
Дополнительные файлы











