Experimental substantiation of the use of platelet-rich plasma in combination with microfracturing in the treatment of local osteochondral defects of the hyaline cartilage of the knee joint: non-randomized controlled study
- Authors: Vasyukov V.A.1, Vorotnikov A.A.1, Airapetov G.A.1,2, Chekrygin S.Y.1, Botasheva V.S.1
-
Affiliations:
- Stavropol State Medical University
- Saint-Petersburg State Research Institute of Phthisiopulmonology
- Issue: Vol 29, No 3 (2022)
- Pages: 249-257
- Section: Original study articles
- Submitted: 09.11.2022
- Accepted: 27.12.2022
- Published: 15.09.2022
- URL: https://journals.eco-vector.com/0869-8678/article/view/112464
- DOI: https://doi.org/10.17816/vto112464
- ID: 112464
Cite item
Full Text
Abstract
BACKGROUND: Dissecting osteochondritis of the knee joint is one of the common diseases accompanied by damage to the articular cartilage. Existing conservative and surgical methods of treating osteochondral defects of the hyaline cartilage do not give full satisfactory results of restorative treatment.
OBJECTIVE: This study aimed to evaluate the effectiveness of the combined method proposed for the treatment of full-layer osteochondral defects of the knee joint.
MATERIALS AND METHODS: The experiment was conducted on 27 Romanov sheep aged 5 months to 1 year and weighing 20–35 kg. All animals were conditionally divided into three experimental groups of nine animals, each of which intraoperatively modeled the osteochondral defect of the medial condyle of both hind limbs. Moreover, the left knee joint was assigned to the experimental group, whereas the right knee joint was assigned to the control group. Thus, in first experimental group, microfracturing was performed on the left knee joint in addition to the osteochondral defect of the femoral condyle; in the second experimental groups, microfracturing and platelet-rich plasma (PRP) administration; in the third experimental group, microfracturing, and PRP administration after 3 weeks. From each group, three animals were sacrificed at 1, 3, and 6 months. Results were evaluated by macro- and microscopic examination.
RESULTS: In the first experimental group, cartilage regeneration was slow. In the second experimental group using PRP, more intensive regeneration of cartilage tissue occurred. In the third experimental group, cartilage tissue regeneration occurred more intensively.
CONCLUSION: During the experiment, in which several methods of treating osteochondral defects of the knee joint were employed, the most effective was the combined method of microfracturization and PRP administration 3 weeks after surgery.
Full Text
ОБОСНОВАНИЕ
Рассекающий остеохондрит коленного сустава является одной из причин развития болевого синдрома и нарушения функции коленного сустава у пациентов [1]. В настоящее время не существует единого подхода к лечению этой патологии. Неправильно выбранная лечебная тактика приводит к ранним дегенеративно-дистрофическим процессам с последующим снижением функции сустава и качества жизни пациента. Лечение локальных остеохондральных дефектов гиалинового хряща мыщелков бедренной кости — одна из важных и малоизученных проблем в современной ортобиологии. В отечественной и зарубежной литературе отсутствует однозначное мнение относительно выбора хирургического метода лечения данной патологии. Каждая предложенная методика имеет свои преимущества и недостатки [2]. Микрофрактурирование стимулирует регенеративные процессы в очаге и считается относительно простым способом лечения, что делает его популярным [3]. PRP-терапия (PRP — platelet rich plasma — плазма, обогащённая тромбоцитами) также является доступным методом терапии, однако сочетание двух этих методов в литературе практически не упоминается [4]. Экспериментальные исследования на животных позволяют обоснованно внедрить в лечебный процесс новые технологии. Результаты нашего исследования дают возможность проследить все этапы регенерации костно-хрящевого дефекта при использовании различных методов лечения.
Цель исследования — сравнить результаты микро- и макроскопического исследования, полученные при проведении эксперимента, и на основании этих данных произвести оценку эффективности комбинированного метода лечения полнослойных остеохондральных дефектов коленного сустава.
МАТЕРИАЛЫ И МЕТОДЫ
Дизайн исследования
Проведено нерандомизированное контролируемое исследование.
Условия проведения
Набор экспериментальных животных осуществляли на базе ФГБОУ ВО «Ставропольский государственный аграрный университет» (Ставрополь). Исследование проводили в период с ноября 2020 по июль 2021 года, период включения экспериментальных животных в исследование — ноябрь 2020 – февраль 2021 года, период отслеживания исходов исследования — декабрь 2020 – июль 2021 года.
Специфических факторов, способных повлиять на выводы, нами не установлено.
Критерии соответствия
Критерий включения: возраст животных от 5 мес до 1 года.
Критерий исключения: любые осложнения на коленном суставе после операции.
Описание медицинского вмешательства
Под общим наркозом с помощью 2% раствора ксилазина гидрохлорида (Рометар) в дозировке 0,5 мл/кг выполняли артротомию коленного сустава внутренним парапателлярным доступом перпендикулярно проекции суставной щели длиной 4 см. Операционное поле обрабатывали дезинфицирующим раствором Форисепт. Заднюю конечность фиксировали к хирургическому столу в положении умеренной флексии. Послойно рассекали кожу, подкожно-жировую клетчатку, собственную фасцию, капсулу коленного сустава, тем самым обеспечивая визуализацию медиального мыщелка бедренной кости. С помощью бора для аутохондропластики на медиальном мыщелке формировали остеохондральный дефект диаметром 5 мм. В конце операции рану ушивали послойно. Микрофрактурирование выполняли с помощью шила путём создания микропереломов субхондральной кости в количестве 4 на 1 см2 и на глубину 5 мм до появления геморрагий.
Для PRP производили взятие 15 мл венозной крови экспериментального животного и использовали центрифугу «Excelsa Baby II 206-R» (Fanem, Бразилия).
Всех экспериментальных животных содержали в виварии и обеспечивали полноценным питанием, а также выдерживали режим дозированной двигательной активности. Из эксперимента животных выводили по 3 из каждой экспериментальной группы через 1, 3 и 6 мес после его начала. Эвтаназию осуществляли с помощью раствора тиопентала натрия в дозировке 2,5 мл/кг.
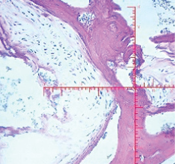
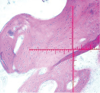
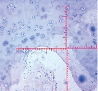
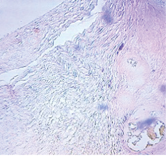
Препараты для морфологического исследования готовили из костно-хрящевых фрагментов медиального мыщелка бедренной кости. Срезы окрашивали гематоксилином и эозином. Фотодокументирование осуществляли посредством цифровой камеры «DFC 420» (Leica Microsystems AG, Германия) и микроскопа «Leica D14 1000» (Leica Microsystems AG, Германия). Микроскопическую оценку давали, учитывая следующие критерии:
- удельный объём хондроцитов;
- удельный объём хрящевого матрикса;
- удельный объём соединительной ткани;
- средняя глубина дефекта.
Область дефекта оценивали визуально при помощи специальной шкалы Driscoll (2002), учитывая амплитуду движений в суставе, восстановление контура суставной щели, наличие эрозии суставной поверхности и внешний вид регенерата.
Исходы исследования
Основным исходом исследования считали восстановление костно-хрящевого дефекта.
Анализ в подгруппах
Все особи были разделены на 3 экспериментальные группы по 9 животных в каждой. Во всех группах интра- операционно моделировали полнослойный очаговый дефект гиалинового хряща с захватом поверхностной части субхондральной кости диаметром 5,0 мм по внутренней поверхности медиального мыщелка бедренной кости левой и правой задней конечности. При этом во всех группах левый коленный сустав считали экспериментальным, а правый — контрольным. Помимо создания остеохондрального дефекта в мыщелке, в экспериментальных группах выполняли следующие манипуляции:
- в 1-й группе — микрофрактурирование;
- во 2-й — микрофрактурирование и введение PRP сразу после ушивания раны;
- в 3-й — микрофрактурирование и введение PRP через 3 нед после операции.
Методы регистрации исходов
Оценку производили визуально (макроскопически) по специальной шкале Driscoll и морфологическими методами с использованием световой микроскопии. Для гистологического исследования брали костно-хрящевые фрагменты медиального мыщелка бедренной кости овцы и готовили микропрепарат. Микрофотосъёмку гистологических препаратов осуществляли с помощью микроскопа «Leica D14 1000», фотодокументирование выполняли посредством цифровой камеры «DFC 420» с программным обеспечением «Imagescope M». В работе были использованы теоретические, экспериментальные и специальные методы научного исследования, такие как метод контент-анализа и статистический метод.
Этическая экспертиза
Для проведения исследования получено заключение локального Этического комитета ФГБОУ ВО «Ставропольский государственный медицинский университет» (протокол № 92 от 28.10.2020).
Статистический анализ
Размер выборки предварительно не рассчитывался.
Накопление, корректировку, систематизацию исходной информации и визуализацию полученных результатов осуществляли в электронных таблицах Microsoft Office Excel 2016 (США). Статистический анализ данных проводили с использованием программы Statistica v. 13.3 (StatSoft Inc., США). Результаты представлены во всех группах через 1, 3 и 6 мес. Для всех показателей рассчитывали среднее арифметическое значение и стандартное отклонение (M ± σ). Для проверки статистической значимости использовали t-критерий Стьюдента.
РЕЗУЛЬТАТЫ
Объекты исследования
Экспериментальное моделирование полнослойного очагового костно-хрящевого дефекта проведено на 27 овцах романовской породы возрастом от 5 мес до 1 года (средний возраст 8,5 мес), весом от 20 до 35 кг (средний вес 27,1 кг).
Основные результаты исследования
Послеоперационный период у животных во всех экспериментальных группах протекал без особенностей.
Через 1 мес от начала эксперимента
Контрольный сустав (правый): движения в суставе ограничены, глубина кратера «минус-ткань» сформированного очагового дефекта составляет 3/4 толщины, края не сглажены, чётко прослеживается граница между новообразованной тканью и окружающей хрящевой тканью. Микроскопически обнаружены признаки неполной репаративной регенерации хрящевой и костной ткани. Новообразованный гиалиновоподобный суставной хрящ несёт в себе свойства незрелого.
1-я экспериментальная группа (левый сустав): движения в суставе ограничены, глубина кратера «минус-ткань» сформированного очагового дефекта составляет 3/4 толщины, края не сглажены, чётко прослеживается граница между новообразованной тканью и окружающей хрящевой тканью. Микроскопически полость остеохондрального дефекта на 1/3 заполнена фиброретикулярной тканью с наличием новообразованных сосудов. Отмечается пролиферация фибробластов. Определяются единичные хондрогенные островки.
2-я экспериментальная группа (левый сустав): определяются ограничения движений в суставе, «минус-ткань», составляющая 1/2 толщины сформированного дефекта с ровными гладкими краями, граница между новообразованной тканью и сохранённым гиалиновым суставным хрящом прослеживается чётко, поскольку новообразованная ткань резко полнокровна. Микроскопически в полости дефекта формируется органотипический соединительнотканный регенерат. В периостальной зоне регенерата имеются хондрогенные островки, имеющие то же строение, что и в 1-й экспериментальной группе, но больше по размерам, в количестве 5 в поле зрения микроскопа.
3-я экспериментальная группа (левый сустав): движения в суставе ограничены, определяется «минус-ткань», составляющая 1/3 толщины сформированного дефекта, с ровными гладкими краями, граница между новообразованной тканью и сохранённым хрящом прослеживается чётко, новообразованная ткань резко полнокровна. Микроскопически органический регенерат из фиброзной ткани полностью заполняет полость дефекта и плотно сращён с его стенками, коллагеновые волокна формируют плотные пучки. Отмечается усиленная пролиферация фибробластов. В фиброретикулярной ткани определяется большое число хондрогенных островков (>10 в поле зрения).
За 1 мес во всех группах произошли макро- и микроскопические изменения, представленные в табл. 1.
Контроль | 1-я экспериментальная группа | 2-я экспериментальная группа | 3-я экспериментальная группа | |
Средняя сумма баллов по шкале Driscoll | 4,0±0,0 | 5,67±0,58 (p <0,05) | 6,33±0,58 (p <0,05) | 8,0±0,0 (p <0,05) |
Макроскопический вид | ||||
Удельный объём хондроцитов, % | 3,02±0,07 | 3,21±0,2 (p >0,05) | 3,35±0,31 (p >0,05) | 3,25±0,13 (p >0,05) |
Удельный объём хрящевого матрикса, % | 22,93±0,13 | 23,09±0,12 (p >0,05) | 23,11±0,18 (p >0,05) | 23,05±0,17 (p >0,05) |
Удельный объём соединительной ткани, % | 70,75±0,44 | 69,92±0,6 (p >0,05) | 69,77±0,23 (p >0,05) | 69,86±0,16 (p >0,05) |
Средняя глубина дефекта, % | 67,67±0,38 | 67,41±0,6 (p >0,05) | 67,23±0,21 (p >0,05) | 67,45±0,5 (p >0,05) |
Микроскопический вид (ув. 40) |
Через 3 мес от начала эксперимента
Контрольный сустав (правый): наблюдается ограничение движений в суставе, глубина кратера «минус-ткань» составляет 2/3 толщины, края не сглажены, граница между новообразованной тканью и сохранённым хрящом прослеживается чётко. Микроскопически субхондральная костная пластинка имеет искривление в сторону субхондральной кости, обнаруживаются признаки ремоделирования хрящевой ткани, что указывает на частичное восстановление структуры хряща.
1-я экспериментальная группа (левый сустав): наблюдается ограничение движений в суставе, определяется «минус-ткань», составляющая около 2/3 толщины сформированного дефекта, с ровными гладкими краями, граница между новообразованной тканью и сохранённым хрящом прослеживается чётко. Микроскопически дефект полностью заполнен молодой хрящеподобной тканью, образованной хондробластами и оксифильным межклеточным веществом. Надхрящница состоит из 2 слоёв: наружный (волокнистый) и внутренний (хондрогенный). Рост хряща происходит по аппозиционному типу.
2-я экспериментальная группа (левый сустав): определяется ограничение движений в суставе, «минус-ткань», составляющая 1/3 толщины кратера дефекта, с ровными гладкими краями, граница между новообразованной тканью и сохранённым хрящом прослеживается чётко. Микроскопически полость дефекта полностью заполнена новообразованной молодой хрящеподобной тканью. Хондробласты более интенсивно пролиферируют, они более дифференцированы, лакуны располагаются теснее. Надхрящница полностью сформирована. Наблюдается интенсивный рост хряща по аппозиционному типу.
3-я экспериментальная группа (левый сустав): определяются незначительные ограничения движений в суставе, а также «минус-ткань», составляющая 1/4 толщины сформированного дефекта, с ровными гладкими краями, граница между новообразованной тканью и сохранённым гиалиновым суставным хрящом прослеживается чётко. Микроскопически полость дефекта заполнена хрящеподобной тканью с наличием лакун и межклеточного вещества. Отмечается пролиферация хондробластов и их дифференцировка. Хрящеподобная ткань плотно сращена со стенками полости, фиброретикулярная ткань не обнаружена.
За 3 мес во всех группах произошли макро- и микроскопические изменения, отражённые в табл. 2.
Таблица 2. Макро- и микроскопическая оценка спустя 3 мес от начала эксперимента
Table 2. Macro- and microscopic evaluation after 3 month from the start of the experiment
Контроль | 1-я экспериментальная группа | 2-я экспериментальная группа | 3-я экспериментальная группа | |
Средняя сумма баллов по шкале Driscoll | 4,67±0,58 | 6,33±0,58 (p <0,05) | 8,0±0,0 (p <0,05) | 9,33±0,58 (p <0,05) |
Макроскопический вид | ||||
Удельный объём хондроцитов, % | 3,35±0,13 | 3,83±0,08 (p <0,05) | 4,15±0,14 (p <0,05) | 5,08±0,27 (p <0,05) |
Удельный объём хрящевого матрикса, % | 23,26±0,23 | 27,99±0,63 (p <0,05) | 32,8±0,18 (p <0,05) | 36,67±0,48 (p <0,05) |
Удельный объём соединительной ткани, % | 69,75±0,19 | 69,97±0,14 (p <0,05) | 60,93±0,33 (p <0,05) | 55,9±0,52 (p <0,05) |
Средняя глубина дефекта, % | 64,2±0,31 | 60,87±0,3 (p <0,05) | 36,4±0,46 (p <0,05) | 27,35±0,4 (p <0,05) |
Микроскопический вид (ув. 40) |
Через 6 мес от начала эксперимента
Контрольный сустав (правый): не наблюдается значительных изменений, движения в суставе ограничены, глубина кратера «минус-ткань» составляет около 3/5 толщины здорового хряща, края не сглажены, граница между новообразованной тканью и сохранённым хрящом прослеживается чётко. Микроскопически процесс регенерации хрящевой ткани носит незавершённый характер. Субхондральная костная пластинка и субхондральная губчатая кость уплотнены и утолщены, выступают в сторону поверхности.
1-я экспериментальная группа (левый сустав): наблюдается ограничение движений в суставе, определялась «минус-ткань», которая составляет 1/2 толщины сформированного дефекта. Края гладкие ровные, граница между новообразованной тканью и сохранённым гиалиновым суставным хрящом прослеживается чётко. Микроскопически полной регенерации хряща не происходит. Полость остеохондрального дефекта мыщелка заполнена незрелой хрящеподобной тканью. Субхондральная костная пластинка восстановлена на всём протяжении, за исключением области в центральном отделе дна сформированного дефекта.
2-я экспериментальная группа (левый сустав): движения в суставе частично ограничены, определяется «минус-ткань», составляющая около 1/4 толщины сформированного дефекта, с ровными гладкими краями, граница между новообразованной тканью и сохранённым гиалиновым суставным хрящом прослеживается чётко, поскольку новообразованная ткань умеренно полнокровна. Микроскопически в области дефекта формируется незрелая хрящевая ткань. Хондроциты более дифференцированы. Наблюдается интенсивный рост хряща по аппозиционному типу. Субхондральная костная пластинка неравномерно восстановлена, определяется между губчатой костью и соединительной тканью, форма её извилистая.
3-я экспериментальная группа (левый сустав): ограничений движения в суставе нет, дефект практически полностью восстановлен, граница между новообразованной тканью и хрящом сглажена, края ровные. Микроскопически полость дефекта полностью заполнена зрелой хрящевой тканью типа гиалинового хряща. Субхондральная костная пластинка восстановлена на всём её протяжении.
За 6 мес во всех группах произошли макро- и микроскопические изменения, представленные в табл. 3.
Таблица 3. Макро- и микроскопическая оценка спустя 6 мес от начала эксперимента
Table 3. Macro- and microscopic evaluation after 6 month from the start of the experiment
Контроль | 1-я экспериментальная группа | 2-я экспериментальная группа | 3-я экспериментальная группа | |
Средняя сумма баллов по шкале Driscoll | 5,33±0,58 | 7,0±0,0 (p <0,05) | 8,67±0,58 (p <0,05) | 10,0±0,0 (p <0,05) |
Макроскопический вид | ||||
Удельный объём хондроцитов, % | 3,48±0,18 | 4,09±0,15 (p <0,05) | 5,95±0,19 (p <0,05) | 8,48±0,25 (p <0,05) |
Удельный объём хрящевого матрикса, % | 24,18±0,27 | 34,54±0,53 (p <0,05) | 41,81±0,61 (p <0,05) | 57,87±0,4 (p <0,05) |
Удельный объём соединительной ткани, % | 68,48±0,43 | 62,82±0,28 (p <0,05) | 52,73±0,41 (p <0,05) | 32,97±0,39 (p <0,05) |
Средняя глубина дефекта, % | 61,98±0,15 | 54,87±0,23 (p <0,05) | 15,47±0,42 (p <0,05) | 2,0±0,4 (p <0,05) |
Микроскопический вид (ув. 40) |
ОБСУЖДЕНИЕ
Резюме основного результата исследования
Результаты, полученные в 1-й группе, показывают неполноценность сформированного регенерата. Во 2-й группе показатели регенерации имели положительные отличия в сравнении с группой 1, что связано с применением PRP. Наиболее оптимистичные результаты мы наблюдали в 3-й группе, где остеохондральный дефект регенерировал максимально полноценно.
Обсуждение основного результата исследования
В 1-й экспериментальной группе регенерация хряща происходила за счёт потенциала собственного организма по пути локального синдрома системного воспалительного ответа. Полученные в этой экспериментальной группе результаты согласуются с данными литературы [5]. Морфометрическое исследование показало, что к концу 6-го мес показатели удельного объёма хондроцитов и удельного объёма хрящевого матрикса были выше, чем в контрольной группе, а удельный объём соединительной ткани и средняя глубина дефекта снизились.
Во 2-й экспериментальной группе с использованием обогащённой тромбоцитами плазмы (PRP) происходит более интенсивная регенерация хрящевой ткани. Концентрация тромбоцитов и факторов роста в PRP превышена в 3–5 раз по сравнению с нативной плазмой. Тромбоциты высвобождают своё содержимое в результате дегрануляции, и начинается каскад последовательных процессов [6]. Первый этап может длиться до 3 дней, в этот момент выделяются факторы роста. Второй этап характеризуется миграцией в очаг фибробластов, их дифференцировкой и неоваскуляризацией. На третьем этапе происходит формирование и созревание коллагеновых волокон. Процесс продолжается более 1 года [7]. Введение PRP сразу после операции при наличии свежих эритроцитов тормозит процессы репаративной регенерации костно-хрящевого дефекта, поскольку поддерживается воспалительная реакция, жизненный цикл тромбоцитов сокращается, и, соответственно, уменьшается содержание факторов роста [8]. Результаты морфометрии в 2-й экспериментальной группе к концу 6-го мес эксперимента свидетельствуют о том, что удельный объём хондроцитов и удельный объём хрящевого матрикса были выше в сравнении с контролем и 1-й группой, а удельный объём соединительной ткани и средняя глубина дефекта — ниже.
В 3-й экспериментальной группе процесс репаративной регенерации костно-хрящевого дефекта происходил интенсивнее. PRP вводили внутрисуставно в период регресса воспалительных процессов в коленном суставе и купирования послеоперационного гемартроза, то есть через 3 нед после операции. Морфометрия показала, что удельный объём хондроцитов и удельный объём хрящевого матрикса оказались значительно выше, чем в контрольной и 1-й, 2-й экспериментальной группе, а средняя глубина дефекта и удельный объём соединительной ткани были ниже.
Ограничения исследования
По результатам нашего исследования можно установить морфологические и статистические, но не причинно-следственные связи. Исследование проводили в схожих условиях, у всех экспериментальных животных определяли одинаковые показатели, используемые методы измерения позволили точно оценить полученные результаты. На наш взгляд, размер выборки является достаточным для проведения экспериментальной работы.
ЗАКЛЮЧЕНИЕ
Сравнительная оценка морфологических изменений, а также статистический анализ данных показали, что наилучшие результаты достигнуты в 3-й экспериментальной группе. В итоге в ходе эксперимента с применением нескольких методов лечения остеохондральных дефектов коленного сустава лучше всего проявил себя комбинированный метод лечения с применением микрофрактуринга и введением плазмы, обогащённой тромбоцитами, через 3 нед после операции, то есть в период купирования постоперационного гемартроза и регресса воспалительных процессов. Указанное сочетание малоинвазивных, несложных в выполнении и относительно недорогих методик продемонстрировало свою эффективность в отдалённые сроки экспериментального наблюдения.
ДОПОЛНИТЕЛЬНАЯ ИНФОРМАЦИЯ / ADDITIONAL INFO
Вклад авторов. Все авторы подтверждают соответствие своего авторства международным критериям ICMJE (все авторы внесли существенный вклад в разработку концепции и подготовку статьи, прочли и одобрили финальную версию перед публикацией).
Author’s contribution. Thereby, all authors made a substantial contribution to the conception of the work, drafting and revising the work, final approval of the version to be published and agree to be accountable for all aspects of the work.
Конфликт интересов. Авторы декларируют отсутствие явных и потенциальных конфликтов интересов, связанных с публикацией настоящей статьи.
Competing interests. The authors declare that they have no competing interests.
About the authors
Vyacheslav A. Vasyukov
Stavropol State Medical University
Author for correspondence.
Email: vasykov1234@gmail.com
ORCID iD: 0000-0001-9862-1726
SPIN-code: 5286-7347
Department Assistant, Traumatologist-Orthopedist
Russian Federation, StavropolAlexander A. Vorotnikov
Stavropol State Medical University
Email: vorotnikov@mail.ru
ORCID iD: 0000-0002-2453-3675
SPIN-code: 4291-8443
MD, Dr. Sci. (Med.), Department Professor, Traumatologist-Orthopedist
Russian Federation, StavropolGeorgy A. Airapetov
Stavropol State Medical University; Saint-Petersburg State Research Institute of Phthisiopulmonology
Email: airapetovga@yandex.ru
ORCID iD: 0000-0001-7507-7772
SPIN-code: 7333-6640
MD, Dr. Sci. (Med.), Traumatologist-Orthopedist
Russian Federation, Stavropol; Saint PetersburgSergey Yu. Chekrygin
Stavropol State Medical University
Email: Evrocheka@yandex.ru
ORCID iD: 0000-0002-6931-0344
SPIN-code: 2516-9707
Department Assistant, Traumatologist-Orthopedist
Russian Federation, StavropolValentina S. Botasheva
Stavropol State Medical University
Email: botach@mail.ru
SPIN-code: 2047-3762
MD, Dr. Sci. (Med.), Professor, Pathologist
Russian Federation, StavropolReferences
- Avakyan AP. Rassekayushchii osteokhondrit myshchelkov bedrennoi kosti u detei i podrostkov (diagnostika i lechenie) [dissertation]. Moscow; 2015. Available from: https://medical-diss.com/docreader/588067/a?#?page=1. Accessed: 10.01.2023. (In Russ).
- Vorotnikov AA, Airapetov GA, Vasyukov VA, Yagubov VG. Modern aspects of the treatment of Koenig’s disease in children. N.N. Priorov Journal of Traumatology and Orthopedics. 2020;27(3):79–86. (In Russ). doi: 10.17816/vto202027379-86
- Airapetov GA, Zagorodniy NV, Vorotnikov AA. Experimental method replacement of the osteo-chondral defects of the large joints (first results). Medical Herald of the South of Russia. 2019;10(2):71–76. (In Russ). doi: 10.21886/2219-8075-2019-10-2-71-76
- Lazishvili GD, Egiazaryan КA, Akhpashev AA, et al. Study of the platelet-rich plasma clinical efficacy in the treatment of knee osteoarthritis. Journal of Clinical Practice. 2016;7(3):54–60. (In Russ). doi: 10.17816/clinpract7354-60
- Maluk BV, Eismont OL, Beletsky AV, et al. Subchondral bone osteoperforation on the processes of chondro- and osteoregeneration in osteochondritis dissecans of the femoral condyles. Proceedings of the National Academy of Sciences of Belarus, Medical series. 2014;(3):38–44. (In Russ).
- Marx RE. Platelet-rich plasma: evidence to support its use. J Oral Maxillofac Surg. 2004;62(4):489–496. doi: 10.1016/j.joms.2003.12.003
- Obolenskii VN, Ermolova DA. The use of thrombocytic growth factors and collagen-containing substances in treatment of the chronic wounds of various etiology. Pirogov Russian Journal of Surgery. 2012;(5):42-47. (In Russ).
- Mastykau AN, Deykalo VP, Samsonova IV, Balaboshka KB. Efficacy of platelet-rich plasma application in treatment of traumatic defects of articular surfaces. Novosti Khirurgii. 2013;21(4):3–9. (In Russ).
Supplementary files



























