Surgical treatment of congenital pseudoarthrosis of the clavicle in children
- Authors: Pozdeev A.P.1, Belousova E.A.1, Sosnenko O.N.1
-
Affiliations:
- Federal State Budgetary Institution The Turner Scientific Research Institute for Children’s Orthopedics
- Issue: Vol 26, No 1 (2019)
- Pages: 27-34
- Section: Original study articles
- Submitted: 19.10.2020
- Published: 15.03.2019
- URL: https://journals.eco-vector.com/0869-8678/article/view/47190
- DOI: https://doi.org/10.17116/vto201901127
- ID: 47190
Cite item
Full Text
Abstract
Introduction. In the literature the issue of indications for surgical treatment of CPC (congenital pseudoarthrosis of the clavicle) is exposed to discussion. Also, there are no accurate age indications for surgery. The conducted research has shown that the course of CPC is accompanied by clavicle shortening as well as by bone fragments deformation in 60% of the cases, which has a significant effect on the planning of surgery.
Purpose of study: to develop a differentiated approach to the treatment of congenital pseudoarthrosis of the clavicle in children, taking into account the clinical and radiological picture.
Patients and methods. 27 patients with the congenital pseudoarthrosis of the clavicle (CPC) aged from 4 up to 16 years old were operated. In 6 observations bone fragments deformation of the clavicle was absent, and in 21 observations various deformations occurred. The surgery included restoration of clavicle axis, replacement of bone tissue defect with bone autograft, fixation of bone fragments with a needle.
Results. After the first surgery, bone fragments consolidation of the false joint was reached in 82% of the cases (22 patients); the recurrence of the false joint was observed in 18% (5 patients). Repeated surgeries were successfully performed on four of them; one patient is being observed on an outpatient basis.
Conclusion. The results of the surgical treatment have shown that for the union of a false joint it is necessary to use differentiated approach to the adoption of surgical technique with regard to bone fragments deformation. Partially eliminated deformation and clavicle sternal bone fragment high standing served as the main reason for the recurrence of pseudoarthrosis.
Full Text
Введение. Под термином «врожденный ложный сустав ключицы» (ВЛСК) понимают патологическое состояние, при котором у новорожденного чаще всего на границе средней и дистальной трети ключицы выявляются патологическая подвижность и/или деформация. В доступной литературе не найдено данных о частоте ВЛСК среди пациентов с врожденными аномалиями развития опорно-двигательного аппарата [2, 4]. Однако известно, что в среднем из числа больных, находившихся на лечении в ФГБУ «Научно-исследовательский институт детской травматологии и ортопедии им. Г.И. Турнера» Минздрава России (НИДОИ им. Г.И. Турнера), пациенты с ВЛСК составляют 0,05-0,1% [2].
В 1910 г. D. Fitzwilliams [1] впервые описал ВЛСК и выделил его в отдельную нозологическую единицу. В 1930 г. R. Owen [3] описал второй случай врожденного ложного сустава ключицы.
Вопрос относительно показаний к оперативному лечению ВЛСК в настоящий момент остается нерешенным и становится предметом многочисленных дискуссий. С одной стороны, отсутствие ограничения функции верхней конечности и жалоб у пациентов с ВЛСК дает основание считать хирургическое лечение непоказанным [6]. С другой стороны, совокупность различных клинических симптомов, таких как формирование с ростом ребенка значительной деформации и укорочения надплечья, наличие косметического дефекта, подвывиха и привычного вывиха в плечевом суставе, болевого синдрома, являются абсолютным показанием для оперативного лечения ВЛСК [7, 8].
Не определены четкие возрастные границы, когда проведение хирургического вмешательства будет более эффективным. В ряде исследований показано, что оперативное вмешательство обеспечивает наилучшие результаты при выполнении его в возрасте от 1,5 до 4 лет. Это объясняется тем, что в данный период у детей наблюдаются лучшая консолидация и перестройка костных фрагментов в послеоперационном периоде [7, 8]. Другие авторы указывают, что оптимальным для проведения оперативного лечения является возраст от 4 до 7 лет [9- 11]. Существует также теория, что наиболее благоприятный возраст для хирургического лечения — 8-13 лет [10].
Однако большинство авторов [11-13] считают, что выполнение хирургических вмешательств до достижения пациентами 2-летнего возраста нецелесообразно, поскольку толщина фрагментов ключицы недостаточно выражена и в процессе остеосинтеза возможна их фрагментация.
Проведенные исследования показали, что течение ВЛСК сопровождается укорочением ключицы, а в 60% случаев — деформацией костных фрагментов, что существенно влияет на планирование оперативного вмешательства [14]. При этом в доступной литературе не встречались работы, указывающие на необходимость устранения этих деформаций в ходе операций.
Для устранения ВЛСК используют следующие варианты оперативного лечения:
- резекцию концов костных фрагментов и остеосинтез спицей Киршнера, пластинкой или компрессирующим устройством [15, 16];
- остеосинтез фрагментов ключицы в сочетании с пластикой сопоставленных концов костных фрагментов костными аутотрансплантатами [17-19];
- замещение дефекта ключицы костными аутотрансплантатами из гребня подвздошной кости, ребер, малоберцовой кости, бугристости большеберцовой кости [20—24].
Цель исследования — разработать дифференцированный подход к лечению врожденных ложных суставов ключицы у детей с учетом клиникорентгенологической картины.
Пациенты и методы
Ретроспективно была отобрана основная группа из 27 пациентов (13 девочек и 14 мальчиков) с диагнозом ВЛСК в возрасте от 4 до 16 лет (средний возраст 6 лет), которым проводилось хирургическое лечение в НИДОИ им. Г.И. Турнера в период с 2002 по 2017 г.
Проводили сравнительную оценку и анализ результатов хирургического лечения основной группы пациентов и группы сравнения, в которую включали детей с той же патологией, которые принимали участие в исследованиях других авторов (из информационной базы Pubmed было взято 10 научных статей). В группе сравнения (по данным литературы) в среднем было 17 пациентов (средний возраст 8 лет).
Все пациенты основной группы и их представители дали согласие на обработку и публикацию персональных данных.
Как в настоящем исследовании (у 22 пациентов), так и в исследованиях ряда авторов обращает на себя внимание преимущественно правосторонняя локализация патологии (практически в 100% случаев).
Все пациенты основной группы были обследованы клинически и рентгенологически. Им были выполнены рентгенограммы ключиц (плечевого пояса) в двух проекциях (прямой и аксиальной). Субъективная часть клинического обследования включала сбор анамнеза заболевания, выяснение жалоб (со слов пациента или родителей). Объективное исследование было направлено на выявление деформации и укорочения надплечья и ключицы, определение амплитуды движений в плечевом суставе, выявление патологической подвижности на уровне ложного сустава. В дополнение к рентгенографии 23 пациентам была проведена компьютерная томография (КТ) с трехмерной реконструкцией для более точного определения вершины деформации костных фрагментов. При измерении длины ключиц во всех наблюдениях было выявлено укорочение пораженной ключицы соответственно надплечья. Укорочение ключицы с ложным суставом у детей до 10-летнего возраста колебалось от 6 до 9 мм, а у пациентов старше 10 лет — от 15 до 28 мм, что позволяет говорить о прогрессировании величины укорочения ключицы с возрастом [2].
Важное значение имеют варианты деформации костных фрагментов: деформация акромиального фрагмента была выявлена у 6 (22,2%) пациентов, деформация стернального фрагмента — у 4 (14,8%), деформация обоих фрагментов — у 8 (29,6%). Ложный сустав без деформации фрагментов ключицы определили у 9 (33,3%) детей.
Учитывая, что структура костной ткани, прилежащей к концам костных фрагментов, не была изменена, основными принципами лечения псевдоартроза являлись: устранение деформации костных фрагментов ключицы, восполнение дефицита костной ткани, устойчивая, длительная фиксация костных фрагментов. При выборе костно-пластического материала предпочтение отдавали свободным костным аутотрансплантатам [27].
В 80% случаев, по данным разных авторов, выполнялась аутопластика зоны ложного сустава (трансплантат из гребня подвздошной кости с фиксацией спицей Киршнера/пластиной). В остальных 20% случаев применялась резекция зоны ложного сустава, фиксация спицей Киршнера/пластиной/ стержнем/АВФ в сочетании с аутопластикой трансплантатом из малоберцовой кости.
В клинике НИДОИ им. Г.И. Турнера был разработан способ хирургического лечения ВЛСК у детей (положительное решение о выдаче патента на изобретение «Способ лечения врожденного ложного сустава у детей» от 15.02.2018, заявка №2017101063), который основан на выявлении (в предоперационном периоде) и устранении деформации фрагментов ключицы и пластике зоны ложного сустава костным аутотрансплантатом. Особая форма аутотрансплантата и фиксация спицей позволяют обеспечить тесное длительное соприкосновение концов костных фрагментов ключицы и аутотрансплантата. Выбор методики хирургического вмешательства зависел от варианта деформации костных фрагментов ключицы.
Оперативное вмешательство у детей с ложным суставом ключицы без деформации костных фрагментов. Разрез кожи, подкожно-жировой клетчатки и подкожной мышцы шеи в проекции костных фрагментов ключицы, отступя 1 см от акромиально-ключичного сочленения до средней трети проксимального фрагмента. Поднадкостнично выделяли концы костных фрагментов, кусачками Люэра удаляли на концах костных фрагментов хрящевую ткань до костной. Для более глубокого погружения костного аутотрансплантата в мягкие ткани на всем протяжении раны рассекали продольно дорсальную часть надкостницы. За плечо осуществляли умеренную тракцию конечности кнаружи. Измеряли величину диастаза между концами костных фрагментов. Из гребня подвздошной кости, отступя дорсальнее от передней верхней ости 1,5-2 см, осциллирующей пилой или долотами формировали костный трансплантат длиной, превышающей величину диастаза между концами костных фрагментов на 2 см, и шириной 1,5-2 см. На концах костного аутотрансплантата кусачками Люэра и осциллирующей пилой формировали пазы с таким расчетом, чтобы в них можно было внедрить концы костных фрагментов ключицы. Спицей диаметром 1,5-2 мм ретроградно интрамедуллярно фиксировали костные фрагменты ключицы и костный аутотрансплантат. Для контроля за глубиной введения спицы использовали спицу-шаблон. После ушивания раны выступающую из мягких тканей спицу загибали в виде крючка и скусывали. Иммобилизацию конечности и надплечья осуществляли в течение 2-3 мес повязкой Смирнова—Вайнштейна (рис. 1). По данной методике было выполнено 9 хирургических вмешательств.
Рис. 1. Схема операции при ВЛСК без деформации фрагментов. 1 — область ложного сустава; 2 — «Н»-образный аутотрансплантат; 3 — интрамедуллярная фиксация спицей.
Fig. 1. Scheme of operation at VLSK without deformation of fragments. 1 — false joint area; 2 — «H»-shaped autograft; 3 — intramedullary fixation with a spoke.
Лечение 6 пациентов с деформацией акромиального фрагмента ключицы. Мобилизацию концов костных фрагментов осуществляли, как и при первом варианте деформации. Осциллирующей пилой или кусачками Листона с краниальной поверхности на вершине деформации рассекали 2/3_3/4 поперечника дистального фрагмента ключицы. Путем остеоклазии устраняли деформацию дистального фрагмента ключицы. Дефект ключицы замещали заимствованным из гребня подвздошной кости костным аутотрансплантатом. Ретроградно фиксировали костные фрагменты и аутотрансплантат спицей с двусторонней заточкой. Иммобилизацию надплечья в течение 2-3 мес осуществляют повязкой Смирнова—Вайнштейна (рис. 2).
Рис. 2. Врожденный ложный сустав ключицы с деформацией акромиального фрагмента.а — акромиальный конец ключицы с отмеченной стрелкой вершиной деформации; б — схема операции: 1 — область кортикотомии фрагмента; 2 — «Н»-образный аутотрансплантат; 3 — интрамедуллярная фиксация спицей.
Fig. 2. Congenital pseudoarthrosis of the clavicle with deformity of the acromial fragment. a — acromial end of the clavicle with marked vertex deformation; b — the scheme of the operation: 1 — the region of the corticothomy fragment; 2 — «H»-shaped autograft; 3 — locking intramedullary needle.
Хирургическое лечение 4 пациентов с деформацией стернального фрагмента ключицы. Разрез мягких тканей производили в проекции костных фрагментов ключицы, отступив 2 см от грудино-ключичного и акромиально-ключичного сочленений. На протяжении 2 см поднадкостнично выделяли концы костных фрагментов. Далее отслаивали мягкие ткани с надкостницей, желательно только от передней поверхности проксимального фрагмента до вершины деформации. Выполняли остеотомию или остеоклазию фрагмента, устраняли его деформацию так же, как и при устранении деформации акромиального фрагмента. Костные фрагменты ключицы и костный аутотрансплантат ретроградно фиксировали спицей. При коротком фрагменте ключицы спицу вводили трансартикулярно на 2 см в грудину (рис. 3).
Рис. 3. ВЛСК с деформацией стернального фрагмента. Схема операции: 3.1 — вершина деформации; 3.2 — область кортикотомии фрагмента; 3.3 — «Н»-образный аутотрансплантат; 3.4 — интрамедуллярная фиксация спицей.
Fig. 3. VLSK with deformation of the sternal fragment. Scheme of operation: 3.1 — vertex deformation; 3.2 — area corticotomy fragment; 3.3 — «H»-shaped autotranplantat; 3.4 — intramedullary fixation rod.
Хирургическое лечение 8 пациентов с деформацией обоих фрагментов ключицы. Хирургическое вмешательство у этой группы больных выполняли по следующему плану: выделение концов костных фрагментов, устранение их деформации, выкраивание костного аутотрансплантата и замещение костного дефекта ключицы, фиксация костных фрагментов включает в себя элементы операций, выполняемых при деформации проксимального и дистального фрагментов ключицы (рис. 4, а, б).
Рис. 4. Хирургическое лечение пациента с деформацией обоих фрагментов ключицы. а — компьютерная томограмма врожденного ложного сустава ключицы с деформацией обоих фрагментов: 4.1 — вершины деформации костных фрагментов ключицы; б — ВЛСК с деформацией акромиального и стернального фрагментов. Схема операции: 4.2 — вершина деформации; 4.3 — область кортикотомии фрагмента; 4.4 — «Н»-образный аутотрансплантат; 4.5 — интрамедуллярная фиксация спицей.
Fig. 4. Surgical treatment of a patient with deformation of both their clavicle fragments. a —computed tomography of congenital false joint clavicle with deformity of both fragments: 4.1 — tops deformation of bone fragments clavicle; b — VLCC dethe formation of the acromial and sternal fragments. Scheme operation: 4.2 — vertex deformation; 4.3 — area Cortiof kotomi fragment; 4.4 — «H»-shaped autograft; 4.5 — intramedullary fixation with a spoke.
Результаты
В 78% случаев были получены «хорошие» результаты (консолидация, одинаковая длина ключиц или разница, не превышающая 5 мм, отсутствие функциональных ограничений), в 18% — «неудовлетворительные» (рецидив ложного сустава ключицы). Инфекционных осложнений у пациентов основной группы не отмечалось. У 5 из 27 пациентов в послеоперационном периоде вновь сформировались ложные суставы ключицы. В 4 случаях успешно были выполнены повторные операции: в 3 случаях — повторная кортикотомия обоих фрагментов с аутопластикой зоны ложного сустава, фиксация спицей; в 1 случае — аутопластика зоны ложного сустава, фиксация спицей. Период наблюдения в настоящем исследовании составил от 12 мес до 6 лет. В 1 случае ввиду миграции фиксирующей спицы Киршнера потребовалась повторная операция (перепроведение спицы). У всех пациентов после консолидации костных фрагментов восстановилась полная амплитуда движений в плечевом суставе, сохранилась ось ключицы. Длина надплечий после устранения ВЛСК в отдаленном послеоперационном периоде у 15 больных была одинаковой, а у 11 — разница в длине ключиц не превышала 5 мм, что не влияло на положительные косметический и функциональный результаты лечения.
Обсуждение
Проведенное клинико-рентгенологическое обследование детей с ВЛСК позволило выявить изменения, которые отягощают течение ВЛСК и которые необходимо учитывать при планировании хирургического вмешательства. Основными из них являются: укорочение ключицы и надплечья; истончение концов костных фрагментов (гораздо реже утолщение); наличие в большинстве наблюдений (в 67%) деформации костных фрагментов преимущественно во фронтальной плоскости.
ВЛСК является абсолютным показанием к оперативному лечению. В тех случаях, когда пациенты отказывались от хирургического вмешательства в дошкольном возрасте, они обращались за медицинской помощью, становясь подростками. Их беспокоил преимущественно косметический дефект в виде явно выраженной деформации надплечья, реже — болевой синдром.
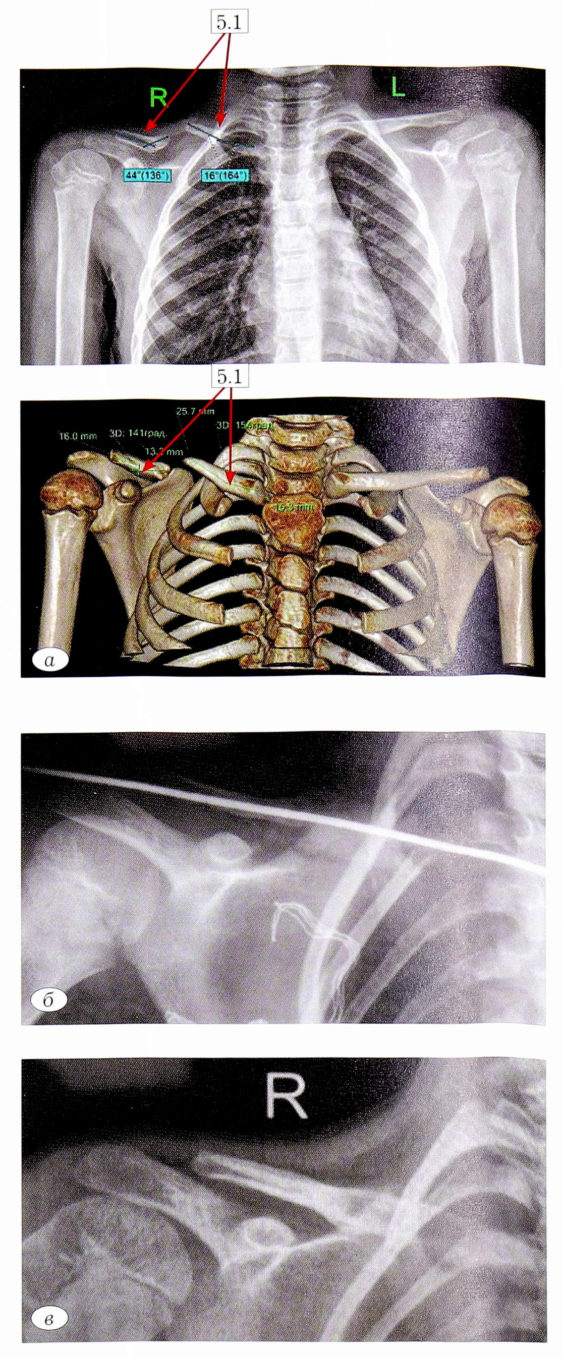
Поскольку основными принципами лечения детей с ВЛСК являются устранение деформации костных фрагментов и восполнение дефицита костной ткани, важную роль в планировании хирургического вмешательства играет КТ-исследование ключицы с 3В-реконструкцией, которое позволяет объективно оценить величину укорочения ключицы, диастаза между концами костных фрагментов, варианты деформации костных фрагментов. При выборе костно-пластического материала было отдано предпочтение свободным костным аутотрансплантатам. Иммобилизацию надплечья осуществляли в среднем в течение 2-3 мес повязкой Смирнова— Вайнштейна. При наличии явных признаков перестройки костных аутотрансплантатов и формирования компактной костной ткани повязку снимали и в течение 2 мес рекомендовали разгрузку и иммобилизацию надплечья мягким плечевым ортезом (рис. 5, а, б, в).
Рис. 5. Пациент И. Клиническое наблюдение. Рентгенограмма и КТ до лечения (5.1 — вершины деформаций фрагментов ключицы); б — рентгенограмма интраоперационно; в — рентгенограмма через 1 год после операции.
Fig. 5. Patient I. Clinical observation. Radiograph and CT scan before treatment (5.1 — vertex deformationfunctions of fragments of the clavicle); b — x-ray intraopration; in the radiograph 1 year after surgery.
Анализ результатов применения различных хирургических методик позволил большинству авторов [10, 17, 23, 26, 27] достичь консолидации костных фрагментов у всех оперированных больных. В то же время в литературе встречаются сообщения, в которых исследователи [8, 11, 25] сообщают о довольно высокой частоте неблагоприятных исходов у оперированных больных, достигающей 26-29%.
Основными причинами неудачных исходов, по их данным, являлись:
- возраст проведения оперативного вмешательства (8-9 лет);
- неустраненная деформация костных фрагментов (основная причина замедленной консолидации и несращения костных фрагментов);
- неустранение косметического дефекта — укорочение надплечья.
Авторы настоящей статьи оптимальным возрастом для хирургического вмешательства считают 5-6 лет, поскольку костные фрагменты достигают размеров, достаточных для их фиксации металлическими конструкциями.
При остеосинтезе накостной пластиной у 8 пациентов консолидации не наблюдалось. Перелом накостной пластины приводил к вынужденной повторной операции. В 3 случаях потребовалась повторная операция из-за несращения на фоне инфекции по ходу проведения спицы Киршнера.
При анализе причин рецидива ложного сустава было установлено, что у 3 пациентов не была устранена деформация проксимального костного фрагмента ключицы. Адаптация к высоко расположенному концу проксимального фрагмента дистального привела к резорбции формирующегося регенерата и смещению дистального фрагмента в каудальном направлении с рецидивом псевдоартроза. У 1 больного причиной рецидива псевдоартроза послужило преждевременное удаление фиксирующей спицы, еще у 1 пациента ложный сустав ключицы сформировался в отдаленном послеоперационном периоде в результате травмы. Иммобилизация мягкой повязкой оказалась недостаточной для консолидации фрагментов ключицы.
Заключение. Течение ВЛСК сопровождается: укорочением ключицы, локализацией ложного сустава на границе средней и дистальной ее третей, истончением, реже — утолщением или нормальной толщиной концов костных фрагментов, деформацией костных фрагментов в 67% случаев. Выявленные основные компоненты деформации необходимо учитывать при планировании операции. Основными принципами оперативного лечения больных с ВЛСК являются: устранение деформации костных фрагментов, восполнение дефицита костной ткани, устойчивая, длительная фиксация костных фрагментов. Основной причиной рецидива ложного сустава является не устраненная во время хирургического вмешательства деформация костных фрагментов ключицы.
About the authors
A. P. Pozdeev
Federal State Budgetary Institution The Turner Scientific Research Institute for Children’s Orthopedics
Email: prof.pozdeev@mail.ru
ORCID iD: 0000-0001-5665-6111
MD, PhD, Professor, Chief Researcher of the Department of Bone Pathology, Scientific Research Institute for Children’s Orthopedics
Russian Federation, Saint-PetersburgE. A. Belousova
Federal State Budgetary Institution The Turner Scientific Research Institute for Children’s Orthopedics
Email: qeenl8@mail.ru
traumatologist-orthopedist, senior laboratory assistant of the Department of Pediatric Traumatology and Orthopedics
Russian Federation, Saint-PetersburgO. N. Sosnenko
Federal State Budgetary Institution The Turner Scientific Research Institute for Children’s Orthopedics
Author for correspondence.
Email: sosnenko.olga@yandex.ru
MD, PhD, Manager of the Department of Bone Pathology
Russian Federation, Saint-PetersburgReferences
- Fitzwilliams D. Hereditary cranio-cleido-dysostosis. Lancet. 1910;2:1466. https://doi.org/10.1016/s0140- 6736(01)38817-7.
- Поздеев А.П., Сухарская Ю.Б. Врожденный ложный сустав ключицы. Клинико-рентгенологическое исследование. Ортопедия, травматология и восстановительная хирургия детского возраста. 2016;4(1):43-8. [Pozdeev А.Р., Suharskaja Ju.В. Vrozhdennyj lozhnyj sustav kljuchicy. Kliniko-rentgenologicheskoe issledovanie. Ortopedija, travmatologija i vosstanovitel’naja hirurgija detskogo vozrasta. 2016;4( 1 ):43-8. (In Russ.)], https://doi.org/10.1016/ s0140-6736(01)38817-7.
- Owen R. Congenital pseudarthrosis of the clavicle. J Bone Joint Surg Br. 1970;52(4):644-52.
- Ahmadi B., Steel H.H. Congenital pseudarthrosis of the clavicle. Clin Orthop Relat Res. 1977;126:129-34. https:// doi.org/10.1097/00003086-197707000-00020.
- Lloyd-Roberts G.C., Apley A.G., Owen R. Reflections upon the aetiology of congenital pseudarthrosis of the clavicle. With a note on cranio-cleido dysostosis. J Bone Joint Surg Br. 1975;57(l):24-9.
- Rabenseifner L. Etiology and therapy of clavicular-pseudarthrosis. Aktuelle Traumatol. 1981;11(4): 130-2.
- Lorente Molto F.J., Bonete Lluch D.J., Garrido I.M. Congenital pseudarthrosis of the clavicle: a proposal for early surgical treatment. J Pediatr Orthop. 2001;21 (5):689-93. https://doi.org/10.1097/01241398-200109000-00026.
- Persiani P., Molayem I., Villani C. et al. Surgical treatment of congenital pseudarthrosis of the clavicle: a report on 17 cases. Acta Orthop Belg. 2008;74(2):161-6.
- Herring J.A. Pseudarthrosis of the clavicle. Tachdjian’s pediatrics orthopaedics. 4th ed.: Philadelphia: WB Saunders; 2008.
- Studer K., Baker M.P., Krieg A.H. Operative treatment of congenital pseudarthrosis of the clavicle: a single-centre experience. J Pediatr Orthop. 2017;26(3):245-9. https:// doi.org/10.1097/BPB.0000000000000400.
- Di Gennaro G.L., Cravino M., Martinelli A. et al. Congenital pseudarthrosis of the clavicle: a report on 27 cases. J Shoulder Elbow Surg. 2017;26(3):e65-e70. https://doi. org/10.1016/j.jse.2016.09.020.
- Sloan A., Paton R. Congenital pseudarthrosis of the clavicle: the role of CT-scanning. Acta Orthop Belg. 2006;72(3):356- 8.
- Ahmadi B., Steel H.H. Congenital pseudarthrosis of the clavicle. Clin Orthop Relat Res. 1977; 126:129-34. https:// doi.org/10.1097/00003086-197707000-00020.
- Lloyd-Roberts G.C., Fixsen J.A. Congenital pseudarthrosis of the clavicle. In: Canale S.T., ed. Orthopaedics in infancy and childhood. London: Butterworth-Heinemann; 1989.
- Gibson D.A., Carroll N. Congenital pseudarthrosis of the clavicle. J Bone Joint Surg Br. 1970;2013:629-43.
- Al-Hadidy A., Haroun A., Al-Ryalat N. et al. Congenital pseudarthrosis associated with venous malformation. Skeletal Radiol. 2007;2013:15-8. https://doi.org/10.1007/ S00256-006-0175-4.
- Beslikas T.A., Dadoukis D.J., Gigis I.P. et al. Congenital pseudarthrosis of the clavicle: a case report. J Orthop Surg (Hong Kong). 2007;2013:87-90. https://doi. org/10.1177/230949900701500120.
- Russo M.T., Maffulli N. Bilateral congenital pseudarthrosis of the clavicle. Arch. Orthop. Trauma Surg. 1990; 109(3): 177- 8. https://doi.org/10.1007/bf00440584.
- Веселовский Ю.А. Ложные суставы ключицы у детей и подростков и их лечение. Ортопедия, травматология и протезирование. 1980;10:44-5. [Veselovsky Yu.A. Lozhnyjе sustavy klyuchitsy u detej i podrostkov i ikh lechenie. Ortopedija, travmatologija i protezirovanie. 1980;10:44-5. (In Russ.)].
- Корж A.A., Шевченко С.Д., Филиппенко В.А. Лечение врожденного псевдоартроза ключицы. Ортопедия, травматология и протезирование. 1983;4:22-4. [Korzh А.А., Shevchenko S.D., Filippenko V.A. Lechenie vrozhdennogo psevdoartroza klyuchitsy. Ortopedija, travmatologija i protezirovanie. 1983;4:22-4. (In Russ.)].
- Price C.T., Phillips J.H., Devito D.P. Pseudartrosecongenita da clavicula. In: Morrissy R.T., Weinstein S.L., eds. Ortopediapediatrica de Lovelle Winter. Philadelphia: Lippincott Wiliams&Wilkins; 2005.
- Cadilhac C., Fenoll B., Peretti A. et al. Congenital pseudarthrosis of the clavicle: 25 childhood cases. Rev Chir Orthop Reparatrice Appar Mot. 2000;86(6):575-80.
- Salati S.A. Congenital pseudarthrosis of the clavicle. East Cent Afr J Surg (online). 2012; 17( 1): 111.
- Chandran P., George H., James L.A. Congenital clavicular pseudarthrosis: comparison of two treatment methods. J Child Orthop. 2011;5(1): 1-4. https://doi.org/10.1007/ sl 1832-010-0313-3.
- Toledo L.C., MacEwen G.D. Severe complication of surgical treatment of congenital pseudarthrosis of the clavicle. Clin Orthop Relat Res. 1979;139:64-7. https://doi. org/10.1097/00003086-197903000-00009.
- Shim J.S., Chang M.J. Congenital pseudarthrosis of the clavicle — report of 4 cases treated with surgical methods. J Korean Orthop Assoc. 2008;43:396-9. https://doi. org/10.4055/jkoa.2008.43.3.396.
- Поздеев А.П. Ложные суставы и дефекты костей у детей (этиология, клиника, лечение): Дис.... д-ра мед. наук. СПб; 1998. [Pozdeev А.Р. Pseudarthroses and bone defects in children (etiology, clinical picture, treatment). Dr. med. sci. Diss. St. Petersburg; 1998. (In Russ.)].
Supplementary files







