Electrical stimulation of osteogenesis in the treatment of juvenile epiphysiolysis of the femoral head
- Authors: Shein V.N.1,2
-
Affiliations:
- Tushino Children's City Hospital
- Russian Medical Academy of Postgraduate Education
- Issue: Vol 10, No 4 (2003)
- Pages: 41-43
- Section: Original study articles
- Submitted: 20.10.2020
- Published: 15.12.2003
- URL: https://journals.eco-vector.com/0869-8678/article/view/48157
- DOI: https://doi.org/10.17816/vto200310441-43
- ID: 48157
Cite item
Full Text
Abstract
In 11 children with juvenile femoral head epiphysiolysis complex treatment included electrostimulation of osteogenesis by 20 mA bipolar impulse current. It was noted that in all cases the pathologic process was stopped and normal bone structure was restored.
Keywords
Full Text
Современные методы лечения юношеского эпифизеолиза головки бедренной кости (ЮЭГБК) направлены — в зависимости от степени смещения эпифиза — на предупреждение соскальзывания головки, восстановление анатомии и функции тазобедренного сустава, а также на профилактику осложнений заболевания. Малая эффективность консервативного лечения, травматичность оперативных вмешательств, которые нередко ведут к различным осложнениям, таким как аваскулярный некроз, хондролиз, деформирующий артроз [1, 3, 4], длительность восстановительного периода заставляют искать новые подходы к лечению ЮЭГБК у детей.
Электрофизиологические исследования последних десятилетий показали, что одним из факторов, влияющих на остеогенез в норме, являются электрические потенциалы [2, 5, 6]. Эти работы создали предпосылки для воздействия на кость подведенными извне слабыми электрическими токами с целью стимуляции естественного костеобразования, и в частности для использования слабых импульсных электрических токов (СИЭТ) для стимуляции остеогенеза при лечении ЮЭГБК.
Метод стимуляции остеогенеза СИЭТ применен нами у 11 больных с ЮЭГБК в возрасте 10-14 лет. Из них 2 ребенка поступили с острой формой заболевания,9 — с подострым течением. Сроки поступления в стационар с момента начала заболевания составили от 3 нед до 2 мес. У 3 больных наблюдался двусторонний процесс. У 9 детей отмечалось выраженное ожирение. Все пациенты жаловались на быструю утомляемость, боль в паховой области, в области тазобедренного сустава и хромоту. У 2 детей заболевание началось с болей в коленном суставе, сопровождавшихся хромотой, что привело к поздней диагностике ЮЭГБК. У 9 больных отмечались гипотрофия мышц бедра и голени на стороне поражения, ограничение внутренней ротации, положительный симптом Тренделенбурга, относительное укорочение конечности на 1,5-2 см.
При рентгенологическом исследовании выявлялась зона резорбции в субхондральных отделах шейки бедра. У одного больного резорбция шейки бедра распознана до возникновения смещения эпифиза. Увеличение шеечно-эпифизарного угла до 30° (I степень смещения) отмечено у 8 больных, от 31 до 60° (II степень) у 2. Компьютерная томография позволяла уточнить линейные и пространственные соотношения головки и шейки пораженной бедренной кости.
Характер течения патологического процесса и величина смещения костных фрагментов определяли тактику лечения, задачами которого были восстановление анатомических соотношений или предупреждение смещения фрагментов головки и шейки бедра. Целью применения СИЭТ являлось улучшение местного кровообращения и тем самым — восстановление костной структуры в зоне резорбции.
Всем пациентам лечение проводили в два этапа (кроме больного без смещения эпифиза). На первом этапе с помощью скелетного вытяжения в положении отведения и внутренней ротации бедра пытались восстановить анатомически правильные соотношения. Подготовительный этап длился 2- 4 нед. Взаимное смещение костных фрагментов было устранено у 6 больных. Существенное уменьшение деформации (до 15-20°) отмечено у 3 детей. У одного ребенка с увеличением шеечно-эпифизарного угла до 33° попытка коррекции положения костных фрагментов оказалась безуспешной из-за позднего обращения в клинику.
На втором этапе производили взаимную фиксацию костных фрагментов двумя—тремя спицами. В зону резорбции имплантировали два жестких электрода, которые представляли собой металлические спицы Бека, покрытые диэлектриком. Протяженность токопроводящего (внутрикостного) конца спицы составляла 8-12 мм. Подкожно вводили стандартные гибкие электроды ПЭОА-1 и ПЭОА-2. Стимуляцию остеогенеза СИЭТ осуществляли с помощью аппарата «Остеотон-2», обеспечивающего формирование биполярного импульсного электрического тока силой 10 или 20 мкА с частотой 0,5 Гц по четырем каналам. У больных с ЮЭГБК применяли ток силой в 20 мкА. Использовали катодный режим (внутрикостные электроды — отрицательная полярность, подкожные — положительная). Электростимуляцию проводили в течение 3—7 нед — до полного восстановления структуры кости. На весь этот период пациентам назначали остеогенон в возрастной дозировке. Общий срок пребывания больных в стационаре составлял 10—11 нед.
Положительный результат достигнут у всех больных. Под воздействием СИЭТ зона резорбции исчезала, на ее месте появлялась линия склероза и происходила перестройка костной структуры в области шейки бедра. По завершении курса электростимуляции назначали массаж мышц конечности, ЛФК, физиотерапию. Полную нагрузку разрешали через 4-6 мес после окончания лечения.
Приведем одно из клинических наблюдений.
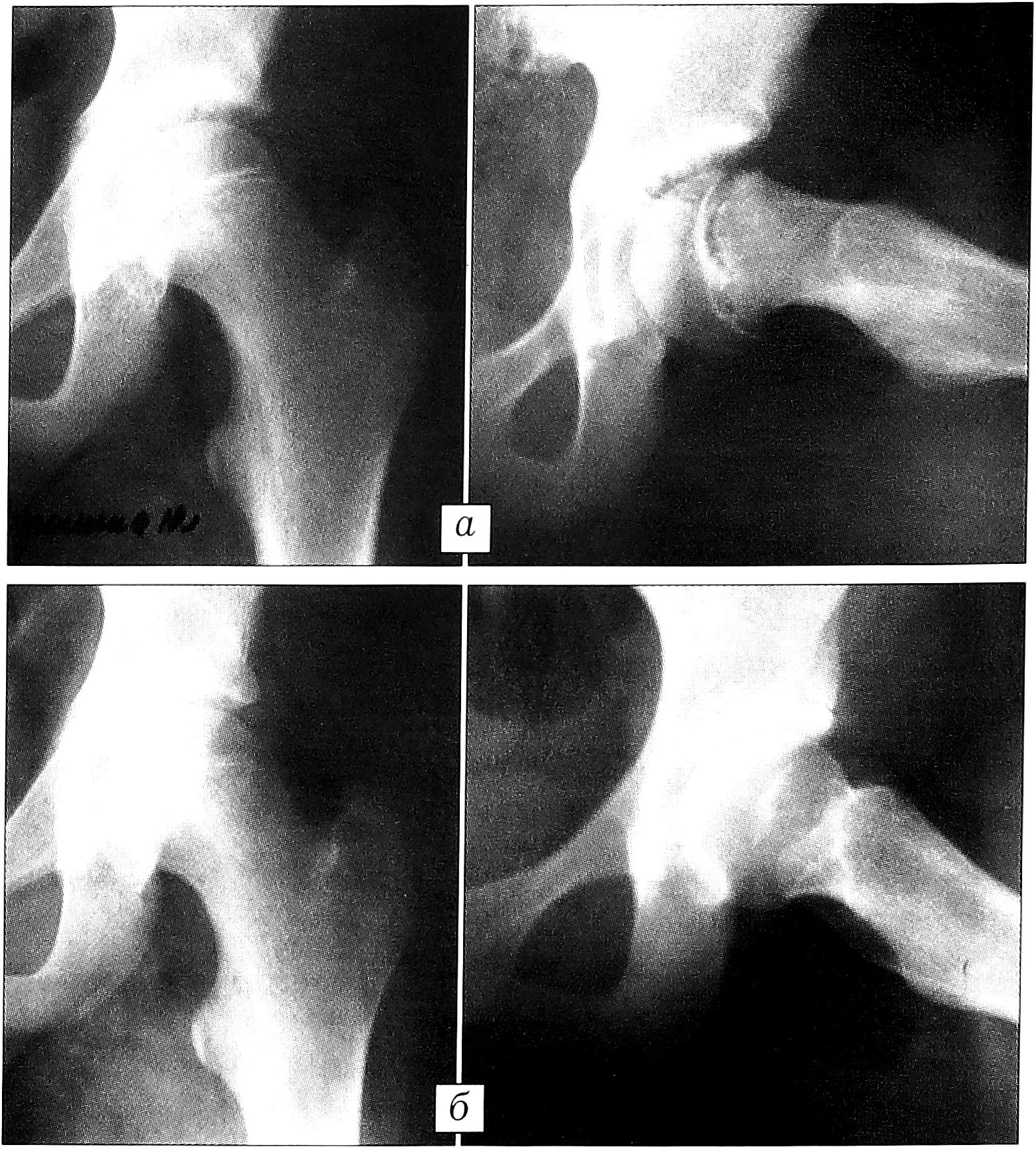
Больная Б.,10 лет, поступила с жалобами на боль в области левого тазобедренного сустава, усиливающуюся при физической нагрузке и иррадиирующую в коленный сустав, хромоту. Заболевание началось около 2 мес назад, когда появились боли в области левого коленного сустава. Наблюдалась в поликлинике по месту жительства. При поступлении: болезненность при пальпации в областей левого тазобедренного сустава, резкое ограничение внутренней ротации, гипотрофия мышц бедра на 1,5 см по окружности. На рентгенограммах левого тазобедренного сустава определяется линия резорбции в субхондральной зоне и увеличение шеечно-эпифизарного угла до 22° (рис. 1, а). Компьютерная томография уточнила протяженность зоны резорбции кости и взаимоотношение костных фрагментов. Диагноз: юношеский эпифизеолиз головки левой бедренной кости I степени. После 2 нед скелетного вытяжения анатомические взаимоотношения костных фрагментов восстановлены. В последующем проводилась электростимуляция остеогенеза в течение 38 дней в катодном режиме в сочетании с применением остеогенона по 1 таблетке 2 раза в день. В результате лечения зона резорбции исчезла, появились признаки структурализации элементов костной ткани (рис. 1, б). Больной назначены ЛФК, массаж, физиотерапия. Выписана на амбулаторное лечение в удовлетворительном состоянии с полным объемом движений в тазобедренных суставах. Через 4 мес выполнена компьютерная томография (рис. 2), показавшая восстановление структуры кости в субхондральной зоне. Разрешена нагрузка на больную ногу.
Рис. 1. Рентгенограммы левого тазобедренного сустава (в прямой проекции и в проекции по Lauenstein) больной Б. 10 лет. Диагноз: юношеский эпифизеолиз головки бедренной кости. а — до начала, б — после окончания электростимуляции остеогенеза.
Рис. 2. Компьютерные томограммы той же больной через 4 мес после окончания электростимуляции остеогенеза.
Результаты лечения прослежены в сроки от 1 года до 10 лет у 7 из 11 больных. Оценивались степень восстановления структуры кости, анатомические взаимоотношения головки и шейки бедра, функция конечности. У 6 больных наступило полное восстановление структуры и анатомической формы кости, а также функции конечности. У одной больной отмечались остаточная деформация шеечно-эпифизарного угла в 33° при сохранной костной структуре и признаки начинающегося коксартроза. Рецидивов заболевания не было.
Таким образом, применение стимуляции остеогенеза СИЭТ при лечении ЮЭГБК показано во всех случаях, когда в проксимальных отделах шейки бедра имеется зона резорбции кости. При наличии нарушений анатомических взаимоотношений головки и шейки бедра на подготовительном этапе лечебные мероприятия должны быть направлены на устранение деформации. Стимуляция репаративного остеогенеза у всех наблюдавшихся больных привела к полному прекращению процессов остеолиза и восстановлению нормальной костной структуры.
About the authors
V. N. Shein
Tushino Children's City Hospital; Russian Medical Academy of Postgraduate Education
Author for correspondence.
Email: info@eco-vector.com
Russian Federation, Moscow; Moscow
References
- Бережный А.П., Худайбергенов А.А. //Заболевания и повреждения опорно-двигательного аппарата у детей: Тезисы докладов межобл. конф. (Ростов-на-Дону). — Л.,1989. — С. 58-59.
- Волков М.В., Шеин В.Н., Самойлович Э.Ф. //Вести, травматол. ортопед. — 1995. — N 1-2. — С. 11-15.
- Гафаров Х.З. //Лечение детей и подростков с ортопедическими заболеваниями нижних конечностей. — Казань,1995. — С. 245-268.
- Гусев Б.В. //Травматология и ортопедия: Руководство для врачей /Под ред. Ю.Г. Шапошникова. — М.,1997. — Т. 3. — С. 268-272.
- Ткаченко С.С., Руцкий В.В. //Ортопед. травматол. — 1983. — N 6. — С. 10-13.
- Friedenberg Z.B., Anderws Е.Т., Smolenski В.I. et al. // Surg. Gynecol. Obstet. — 1970. — Vol. 127. — P. 894-899.
Supplementary files




