Использование пластического материала «перфоост» в клинике детской костной патологии
- Авторы: Снетков А.И.1, Лекишвили М.В.1, Касымов М.А.1, Ильина В.К.1, Батраков С.Ю.1, Васильев М.Г.1, Авакян A.M.1, Павлов Р.П.1, Фазилова А.А.1
-
Учреждения:
- Центральный научно-исследовательский институт травматологии и ортопедии им. Н.Н. Приорова
- Выпуск: Том 10, № 4 (2003)
- Страницы: 74-79
- Раздел: Оригинальные исследования
- Статья получена: 20.10.2020
- Статья опубликована: 15.12.2003
- URL: https://journals.eco-vector.com/0869-8678/article/view/48198
- DOI: https://doi.org/10.17816/vto200310474-79
- ID: 48198
Цитировать
Полный текст
Аннотация
Костно-пластический материал «Перфоост» — поверхностно-деминерализованные лиофилизированные перфорированные аллоимплантаты — разработан в ЦИТО в 1997 г. Исследование механических свойств, проведенное на универсальной испытательной машине «Zwick 1464», показало, что имплантатам «Перфоост» присуща высокая пластичность, а относительная механическая прочность позволяет использовать их для замещения обширных краевых дефектов костей. При исследовании образцов материала in vitro в культуре стромальных клеток костного мозга человека отмечена высокая эффективность клонирования, что позволяет косвенно судить о наличии у деминерализованных аллоимплантатов остеоиндуктивных свойств. За период с 1998 по 2002 г. в отделении детской костной патологии и подростковой ортопедии ЦИТО операции с использованием «Перфооста» выполнены 121 больному в возрасте от 1 года до 18 лет с первичными опухолями, опухолеподобными и системными наследственными заболеваниями скелета. Сроки наблюдения составили от 1 года до 4 лет 10 мес. Деминерализованные аллоимплантаты применялись как в «чистом» виде, так и в сочетании с замороженными кортикальными имплантатами и металлоостеосинтезом. Восстановление костной ткани в области дефекта происходило в сроки от 8 до 12 мес. В случаях массивной аллопластики при обширных резекциях костей у больных с фиброзной дисплазией, когда поверхностно-деминерализованные аллоимплантаты применялись в сочетании с кортикальными замороженными имплантатами, срок перестройки удлинялся до 16 мес. Хорошие и удовлетворительные результаты лечения констатированы у 98,3% больных.
Полный текст
Современную ортопедию детского возраста трудно представить без реконструктивных оперативных вмешательств с использованием биологических имплантатов. При этом одной из важнейших проблем является восстановление костной ткани в зоне замещения врожденных или приобретенных дефектов кости пластическими материалами. Длительное время оптимальным материалом для реконструктивных операций у больных с костной патологией не без основания считали аутокость. Однако использование ее у детей сопряжено с рядом сложностей: ограниченностью донорских ресурсов, опасностью возникновения переломов в месте забора аутотрансплантатов или инфицирования при их взятии. По данным некоторых авторов, частота различных осложнений после манипуляций с аутотканями достигает 20,6% [12]. Альтернативой аутопластическому материалу могут стать биологические неаутогенные имплантаты, которые после помещения в область костных дефектов постепенно замещались бы собственными тканями реципиента, а процессы перестройки в них протекали бы в основном так же, как в аутоткани [1, 6]. В настоящее время по пути использования аллоимплантатов при реконструктивных операциях идут практически все ведущие ортопедические клиники мира, предлагая те или иные варианты костного или биокомпозиционного пластического материала. Так, в 1986 г. появилось сообщение Gendler [8] о создании новой формы пластического материала — перфорированных деминерализованных аллоимплантатов «Perfobone».
Проведенные автором экспериментальные исследования позволили рекомендовать использование этого материала в клинической практике.
При испытании «Perfobone» в ЦИТО в середине 90-х годов получены положительные результаты и выявлены преимущества данного материала перед другими аллоимплантатами. Это послужило основанием для создания аналогичного по свойствам пластического материала в условиях костного банка ЦИТО и проведения его исследования в клинике.
Материал и методы
В лаборатории консервации и трансплантации тканей с костным банком ЦИТО была разработана новая разновидность биологических имплантатов аллогенного происхождения — поверхностно-деминерализованные лиофилизированные перфорированные аллоимплантаты «Перфоост». Данный материал прошел обязательную в Российской Федерации токсикологическую экспертизу, процедуру экспериментальных и клинических испытаний при Комитете по новой медицинской технике Минздрава РФ, запатентован (пат. 2147800 РФ от 17.02.99), внесен в Государственный реестр (200/ 02856 от 20.07.00) и сертифицирован (сертификат соответствия № 4070860 от 26.09.00).
Технология изготовления имплантатов «Перфоост» включает процессы деминерализации, лиофилизации и стерилизации потоком быстрых электронов с дозой поглощения 20-25 кГр, которая соответствует стандартам лучевой стерилизации биологических объектов Европейской ассоциации тканевых банков. Главной особенностью этой технологии, отличающей ее в частности от технологии изготовления «Perfobone», является стерилизация имплантатов потоком быстрых электронов, которая осуществляется на базе ГНЦ РФ — Института биофизики Минздрава РФ (Москва) с использованием линейных ускорителей.
На доклиническом этапе были исследованы механические и остеоиндуктивные свойства новых имплантатов. Исследование механических свойств «Перфооста» проводилось на универсальной испытательной машине «Zwick 1464» (Германия) в трех режимах: сжатие, кручение и изгиб.
Остеоиндуктивные свойства деминерализованных аллоимплантатов исследовали in vitro. Образцы «Перфооста» с различной степенью деминерализации помещали в культуры стромальных клеток костного мозга человека. Плотность эксплантации в первичных культурах костномозговых клеток была одинаковая во всех сериях эксперимента, включая контроль (культура без образцов аллоимплантата). На 14-й день, когда в культурах вырастали колонии-клоны фибробластоподобных клеток, все культуры фиксировали, окрашивали и анализировали эффективность клонирования.
За период с 1998 по 2002 г. в отделении детской костной патологии и подростковой ортопедии ЦИТО операции с применением «Перфооста» выполнены у 121 больного в возрасте от 1 года до 18 лет с первичными опухолями, опухолеподобными заболеваниями и системными наследственными заболеваниями скелета. Сроки наблюдения после оперативного лечения составили от 1 года до 4 лет 10 мес. Пластический материал был представлен пластинами различной геометрической формы. «Перфоост» применялся как в «чистом» виде, так и в сочетании с замороженными кортикальными имплантатами и металлоостеосинтезом.
В изолированном виде «Перфоост» был использован при оперативных вмешательствах у 106 детей (солитарная киста кости — 33 случая, аневризмальная киста кости — 28, фиброзная дисплазия — 10, неоссифицирующаяся фиброма и хондробластома — по 9 случаев, болезнь Олье — 7, остеофиброзная дисплазия — 3, остеоид-остеома — 2, экзостозная хондродисплазия, гемимелическая форма эпифизарной дисплазии, юношеский эпифизеолиз головки бедренной кости, болезнь Пертеса — по одному случаю). Показаниями к применению деминерализованных аллоимплантатов у больных данной группы являлись: краевые дефекты костей верхних конечностей не более 2/3 диаметра и 1/3 длины сегмента и краевые дефекты костей нижних конечностей не более 1/3 диаметра кости [3] (рис. 1).
Рис. 1. Рентгенограммы больной Р. 12 лет. Диагноз: неоссифицирующаяся фиброма верхней трети левой плечевой кости. а — до операции; б — после краевой резекции верхней трети плечевой кости и аллопластики «Перфоостом»; в — через 12 мес после операции.
Аллоимплантаты применялись нами не только в качестве материала для временного замещения дефекта кости, но и в качестве интраоссальных фиксаторов. Такие фиксаторы позволяли стимулировать регенерацию кости в области их введения и не требовали в дальнейшем удаления. Фиксация «Перфоостом» была произведена при артродезе коленного сустава у больного с гемимелической формой эпифизарной дисплазии. Эпифизеодез головки бедренной кости с применением аллоштифтов выполнен у пациента с юношеским эпифизеолизом головки бедренной кости I степени. Обязательным условием при данном виде пластики являлось использование части имплантата без перфораций.
При небольших дефектах или дефектах неправильной формы «Перфоост» применяли в виде «костной щебенки» (стандартные пластины, расщепленные на более мелкие фрагменты) — чаще всего при пострезекционных дефектах эпифизов костей у больных с хондробластомами. Достаточная эластичность и механическая прочность «Перфооста» позволяли быстро и плотно заполнить дефект и создать прочную суставную поверхность (рис. 2).
Рис. 2. Рентгенограммы больного С. 15 лет. Диагноз: хондробластома дистального эпифиза левой бедренной кости. а — до операции; б — после субхондральной резекции дистального эпифиза бедра и аллопластики «Перфоостом» («костная щебенка»).
В случае обширных очагов деструкции, занимающих более 1/3 диаметра кости, у больных с очаговой формой фиброзной дисплазии использовали массивные пластины «Перфооста» с наименьшей степенью деминерализации. У 6 больных с диффузным поражением костей при полиоссальной форме фиброзной дисплазии была применена комбинация «Перфооста» с замороженными кортикальными имплантатами, дополненная накостным металлоостеосинтезом. Это создавало условия для радикального удаления патологической ткани с замещением обширного дефекта кости и надежной фиксацией костных фрагментов. Использование поверхностно-деминерализованных имплантатов при таких оперативных вмешательствах способствовало более ранней перестройке пластического материала (рис. 3).
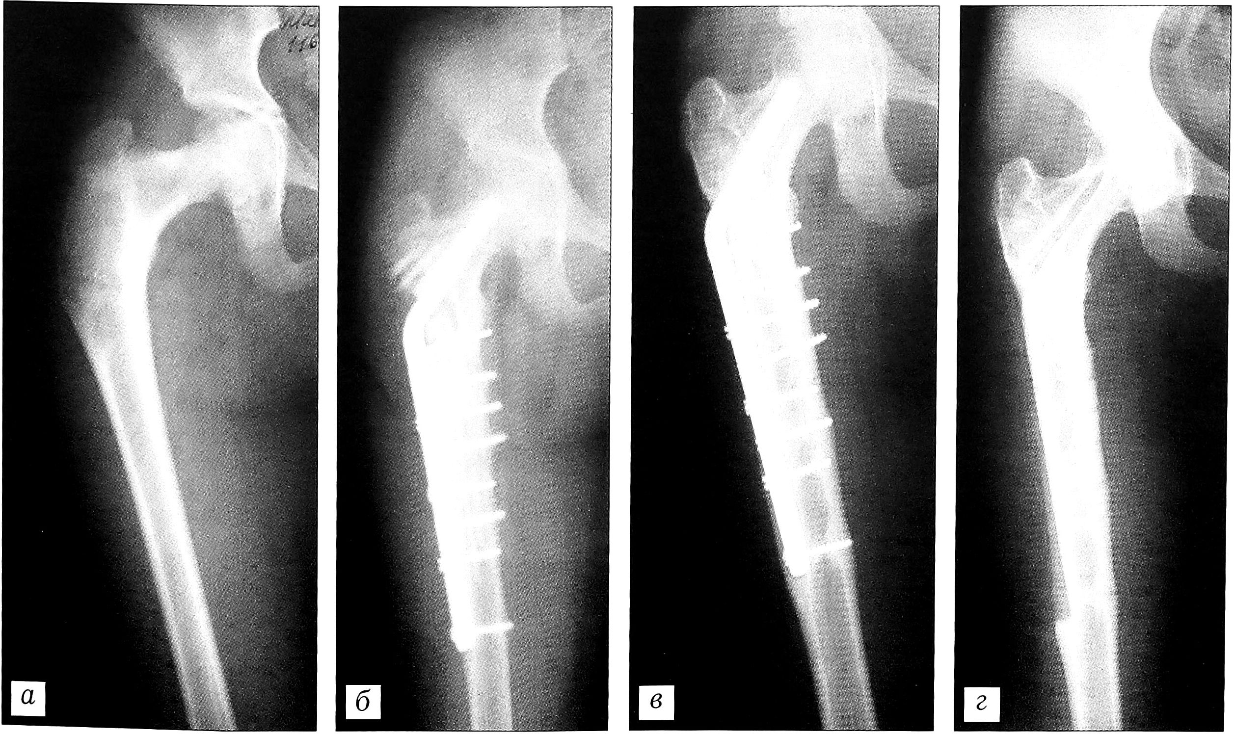
Рис. 3. Рентгенограммы больной М. 16 лет. Диагноз: фиброзная дисплазия правой бедренной кости. а — до операции; б — после обширной краевой резекции и аллопластики «Перфоостом» в сочетании с замороженными кортикальными имплантатами с фиксацией L-образной пластиной; в — через 12 мес; г —через 3 года после операции.
У 3 больных с несовершенным остеогенезом был произведен интрамедуллярный остеосинтез с наднадкостничной аллопластикой «Перфоостом» с целью укрепления кости и увеличения костной массы оперируемого сегмента (рис. 4).
Рис. 4. Рентгенограммы больной Ч. 11 лет. Деформации нижних конечностей на почве несовершенного остеогенеза. а — до операции; б — после наднадкостничной аллопластики «Перфоостом» в сочетании с интрамедуллярным остеосинтезом; в — через 6 мес после операции.
В случаях, когда требовалось не только заместить пострезекционный дефект, но и компенсировать укорочение пораженной конечности (2 пациента с болезнью Олье и 1 больной с кистой кости), использовали методику одномоментной костной пластики и удлинения сегмента на аллоимплантате в аппарате внешней фиксации (рис. 5). Показанием к компрессионно-дистракционному остеосинтезу являлись укорочение сегмента конечности более чем на 3-4 см и наличие патологического очага. При этом одна из задач аллопластики заключалась в предотвращении прорезывания спиц аппарата. Спицы проводили через пластины «Перфооста», которые одновременно служили фиксатором и материалом, замещающим дефект.
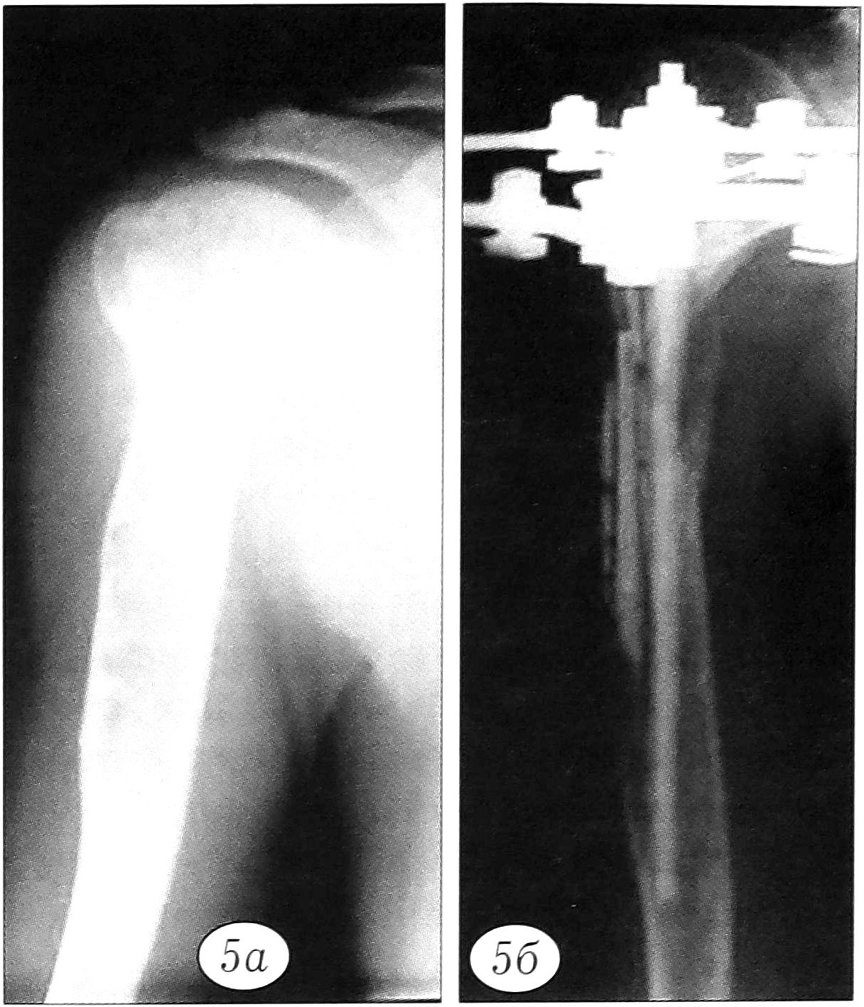
Рис. 5. Рентгенограммы больного Ф. 15 лет. Укорочение правой плечевой кости на почве солитарной кисты. а — до операции; б — после краевой резекции верхней трети плечевой кости, аллопластики «Перфоостом» и удлинения на имплантате в аппарате Илизарова в течение 14 дней.
Аллопластика дистракционного регенерата «Перфоостом» была выполнена у 6 больных (витамин-В-резистентный рахит — 3 пациента, ахондроплазия, гипохондроплазия, врожденное укорочение нижней конечности — по одному больному) (рис. 6). Показанием к применению «Перфооста» являлась слабая минерализация регенерата и необходимость ускорения в нем процессов костеобразования. Для этого изготавливались аллоимплантаты с высокой степенью деминерализации.
Рис. 6. Рентгенограммы больной С. 16 лет. Диагноз: витамин-D-резистентный рахит. а — слабая минерализация регенерата правой большеберцовой кости в аппарате Илизарова; б — после аллопластики по регенерату «Перфоостом» с высокой степенью деминерализации; в — через 5 мес после аллопластики.
Результаты
При исследовании in vitro на культурах стромальных клеток костного мозга выявлено, что в культурах с образцами деминерализованных аллоимплантатов эффективность клонирования превышала таковую в контроле на 10,4%. Кроме того, размер многослойных колоний — показатель пролиферативного потенциала клеточных культур — был значительно больше, чем в контроле. В то же время установлено, что эффективность клонирования находилась в прямой зависимости от степени деминерализации имплантатов (см. таблицу) [9]. Выявленная in vitro пролиферативная активность стромальных клеток может косвенно указывать на остеоиндуктивные свойства данного имплантата.
Вполне естественно было ожидать, что деминерализованные аллоимплантаты по биомеханическим свойствам отличаются от замороженных кортикальных имплантатов. Исследования на прочность образцов обоих видов пластического материала показали, что характеристики на сжатие у «Перфооста» ниже, чем у замороженной кортикальной аллокости, на 33%. Относительная деформация замороженных имплантатов составила 13,3%, тогда как «Перфооста» — 15%, т.е. последний обладает большей «податливостью». При проведении теста на кручение выявлено, что деминерализованные имплантаты слабее замороженной кортикальной аллокости в 3 раза. На основании этих данных мы пришли к заключению, что применение «Перфооста» при сегментарных резекциях костей противопоказано. Поверхностно-деминерализованным аллоимплантатам присуща высокая пластичность, а относительная механическая прочность позволяет использовать их при обширных краевых дефектах костей [2].
«Перфоост» является композиционным материалом: его поверхностный компонент имеет низкую плотность (80-100 ЕД), а внутренний компонент по плотности сходен с недеминерализованными кортикальными имплантатами. Перестройка материала после его трансплантации характеризуется следующими закономерностями: медленное снижение плотности в ранние сроки после операции, затем более активная потеря плотности, пик которой приходится на 6-9-й месяц после пластики, и последующее увеличение плотности, достигающей к 12 мес 600-1000 ЕД.
При анализе сроков перестройки имплантатов «Перфоост» нами отмечено, что они зависели от ряда факторов: объема замещаемого дефекта, количества и качества пластического материала, нозологической формы заболевания и методики оперативного вмешательства. При изолированном применении «Перфоост» перестраивался в среднем в течение 8-12 мес. В случаях массивной аллопластики при обширных резекциях костей у больных с фиброзной дисплазией, когда поверхностно-деминерализированные аллоимплантаты использовались в сочетании с кортикальными замороженными имплантатами, срок перестройки удлинялся до 16 мес. При выполнении наднадкостничной аллопластики у пациентов с несовершенным остеогенезом перестройка имплантатов сокращалась до 6-8 мес.
Индуцирование деминерализованным матриксом эффективности клонирования остеогенных клеток в культуре стромальных клеток костного мозга
Продолжительность деминерализации имплантата | Эффективность клонирования | ||||
п | М±т | t | Р | ∆,% | |
Контроль | 3 | 25,7±0,05 | — | — | — |
1ч | 6 | 26,2±0,15 | 3,1 | <0,02 | 2 |
3 ч | 6 | 28±0,25 | 7,6 | <0,001 | 9 |
6 ч | 6 | 32±0,25 | 30,7 | <0,001 | 25 |
12 ч | 6 | 35,3±0,3 | 31,7 | <0,001 | 37 |
Примечание, t, р и ∆ по отношению к контролю.
Результаты хирургического лечения с применением «Перфооста» расценены как хорошие и удовлетворительные у 119 (98,3%) детей. Эти пациенты не предъявляли жалоб и без ограничений пользовались оперированной конечностью. Рентгенологически при этом в одних случаях отмечались законченная перестройка имплантатов и образование новой кости, в других случаях имплантаты были прочно спаяны между собой и с материнской костью, но контуры их прослеживались и полной перестройки еще не наступило. Признаки рецидива заболевания отсутствовали. Необходимо сказать, что у 6 (5%) детей в первые 7-10 дней после операции наблюдалась гипертермия (до 39°С) без каких-либо местных проявлений воспаления. Мы расцениваем это как неспецифическую реакцию на хирургические манипуляции, так как после назначения нестероидной противовоспалительной терапии температура нормализовалась в течение 2 сут.
У 2 (1,7%) пациентов результат лечения признан неудовлетворительным из-за нагноения в области операционной раны, развившегося в первые 3 нед с момента хирургического вмешательства. В обоих этих случаях «Перфоост» применялся одновременно с металлоостеосинтезом и в комбинации с замороженными кортикальными имплантатами.
Обсуждение
До недавних пор основным аллогенным костным пластическим материалом в России были замороженные кортикальные аллоимплантаты, консервированные парами формалина. Для своего времени их появление было настоящим прорывом в создании костных имплантатов с относительно низкими иммунными свойствами и длительным сроком хранения (от 6 мес до 1 года при —25°С). Большое число больных были вылечены благодаря использованию замороженных аллоимплантатов. Однако за почти полувековую историю применения этого типа пластического материала выявились и его недостатки: длительный процесс формирования регенерата по типу «ползущего замещения», случаи нагноения, токсический эффект формалина, используемого при консервации имплантатов с одновременной стерилизацией. Не обладая остеоиндуктивными свойствами, эти имплантаты часто или резорбировались без образования регенерата, или длительное время оставались неизменными, лишь по периферии срастаясь с окружающими тканями. Попытки создания костных имплантатов из тканей животных (ксеноимплантаты) наталкиваются на проблемы, соизмеримые с трудностями получения полноценного пластического материала человеческого происхождения, хотя это направление имеет многообещающие перспективы. Вместе с тем известно, что ксеноматериалы сравнительно медленно перестраиваются в области пластики и несут в себе опасность иммунного конфликта, возможна также передача через имплантируемый материал животного происхождения ряда вирусных инфекций, таких как болезнь Якоба—Крейтцфельдта и т.д.
Среди используемых в настоящее время в детской травматологии и ортопедии биологических, полусинтетических и синтетических имплантатов частично деминерализованные костные имплантаты являются одной из наиболее перспективных и интересных разновидностей пластического материала. Деминерализованная аллокость, а также деминерализованный костный матрикс, который характеризуется высокой степенью деминерализации, содержат костные морфогенетические белки, индуцирующие остеогенез как в костном ложе, так и вне его [4, 5, 7, 10, 13]. Морфогенетические белки участвуют и активно влияют на репаративные процессы в костной ткани на клеточном уровне — на митоз остеопрогениторных клеток и дифференцировку костных клеток. Эта способность усиливается в деминерализованных костных аллоимплантатах [11]. Существенное значение имеет и их минимальная антигенная активность. К достоинствам этого пластического материала можно отнести его упругость, возможность моделирования и изготовления эластичных пластин разной площади и толщины, доступность получения и, что весьма важно, вероятные остеоиндуктивные свойства. Результаты применения деминерализованных костных аллоимплантатов, изготовленных по технологии ЦИТО, в отделении костной патологии и подросковой ортопедии института позволяют говорить об эффективности их использования при лечении широкого спектра заболеваний костной системы у детей.
Об авторах
А. И. Снетков
Центральный научно-исследовательский институт травматологии и ортопедии им. Н.Н. Приорова
Email: info@eco-vector.com
Россия, Москва
М. В. Лекишвили
Центральный научно-исследовательский институт травматологии и ортопедии им. Н.Н. Приорова
Email: info@eco-vector.com
Россия, Москва
М. А. Касымов
Центральный научно-исследовательский институт травматологии и ортопедии им. Н.Н. Приорова
Email: info@eco-vector.com
Россия, Москва
В. К. Ильина
Центральный научно-исследовательский институт травматологии и ортопедии им. Н.Н. Приорова
Email: info@eco-vector.com
Россия, Москва
С. Ю. Батраков
Центральный научно-исследовательский институт травматологии и ортопедии им. Н.Н. Приорова
Email: info@eco-vector.com
Россия, Москва
М. Г. Васильев
Центральный научно-исследовательский институт травматологии и ортопедии им. Н.Н. Приорова
Email: info@eco-vector.com
Россия, Москва
A. M. Авакян
Центральный научно-исследовательский институт травматологии и ортопедии им. Н.Н. Приорова
Email: info@eco-vector.com
Россия, Москва
Р. П. Павлов
Центральный научно-исследовательский институт травматологии и ортопедии им. Н.Н. Приорова
Email: info@eco-vector.com
Россия, Москва
А. А. Фазилова
Центральный научно-исследовательский институт травматологии и ортопедии им. Н.Н. Приорова
Автор, ответственный за переписку.
Email: info@eco-vector.com
Россия, Москва
Список литературы
- Виноградова Т.П., Лаврищева Г.И. Регенерация и пересадка костей. — М.,1974.
- Касымов И.А., Гаврюшенко Н.С. //Вестн. травматол. ортопед. — 1999. — N 2. — С. 62-65.
- Касымов И.А. Костно-пластические оперативные вмешательства у детей с костной патологией: Автореф. дис.... д-ра мед. наук. — М.,2000.
- Савельев В.И. //Получение и клиническое применение деминерализованных костных трансплантатов: Сб. науч. трудов. — Л.,1987. — С. 4—13.
- Слуцкий Л.И., Севастьянова Н.А. //Ортопед. травматол. — 1986. — N 8. — С. 69-73.
- Хэм А., Кормак Д. Гистология. — М.,1983. — Т. 3. — С. 126-131.
- Geesink R.G.T., Hoefnagels N.H.M., Bulstra S.K. //J. Bone Jt Surg. — 1999. — Vol. 81B, N 4. — P. 710-718.
- Gendler E. //J. Biomed. Mat. Res. — 1986. — Vol. 20, N 6. — P. 687-697.
- Lekishvili M.V., Il’ina V.K., Vasiliev M.G. // Third World Congress on Tissue Banking and 26th Annual Meeting AATB. — Boston,2002. — P. 113.
- Reddi A.H., Huggins C. //Proc. Natl. Acad. Sci. USA. — 1972. — Vol. 69. — P. 1601-1605.
- Reddi A.H. //Clin. Orthop. — 1998. — N 355. — P. S66-72.
- Younger E.M., Chapman M.W //J. Orthop. Trauma. — 1989. — Vol. 3, N 3. — P. 192-195.
- Urist M.R., Dowell T.A., Hay P.H., Strates B.S. //Clin. Orthop. — 1968. — N 59. — P. 59—96.
Дополнительные файлы








