Эндопротезирование тазобедренного сустава у пациентов с болезнью Гоше: особенности, результаты
- Авторы: Мамонов В.Е.1, Чабаева Ю.А.1, Хоменко В.А.1, Пономарёв Р.В.1, Лукина Е.А.1
-
Учреждения:
- Национальный медицинский исследовательский центр гематологии
- Выпуск: Том 32, № 2 (2025)
- Страницы: 347-359
- Раздел: Оригинальные исследования
- Статья получена: 04.07.2024
- Статья одобрена: 13.09.2024
- Статья опубликована: 22.07.2025
- URL: https://journals.eco-vector.com/0869-8678/article/view/634044
- DOI: https://doi.org/10.17816/vto634044
- EDN: https://elibrary.ru/PGDEQN
- ID: 634044
Цитировать
Полный текст
Аннотация
Обоснование. Показанием к тотальному эндопротезированию тазобедренного сустава (ТЭТБС) при болезни Гоше (БГ) служат последствия асептического некроза головки бедренной кости (АНГБК). Особенности операции и отдалённые результаты мало изучены на большой группе пациентов в связи с редкой встречаемостью БГ.
Цель. Провести анализ периоперационного периода, среднесрочных и отдалённых результатов ТЭТБС у пациентов с БГ.
Материалы и методы. Ретроспективное одноцентровое исследование проведено на 26 пациентах с БГ, которым в период с 2005 по 2023 год выполнено 30 первичных ТЭТБС и 9 ревизионных эндопротезирований тазобедренного сустава.
Результаты. Хорошие и отличные результаты ТЭТБС получены в 87% случаев при наблюдении от 1 до 10 лет (медиана — 7 лет). Причинами неудовлетворительных результатов в десятилетний период наблюдения были перипротезная инфекция (2 случая) и асептическое расшатывание (3 случая). В обоих случаях перипротезной инфекции причиной служил костно-суставной туберкулёз, не диагностированный на догоспитальном этапе. Высокая интраоперационная кровопотеря была ассоциирована с длительностью заместительной ферментной терапии (ЗФТ). При ЗФТ менее 5 лет доля операций с кровопотерей более 1000 мл составила 57%, 5–10 лет — 22%, при длительности более 10 лет — 0% (p=0,047). Выживаемость имплантатов без ревизии на сроках 3, 6 и 12 лет после операции составила 97, 93 и 61% соответственно. В случае цементной фиксации имплантатов выживаемость без ревизии на сроке 12 лет составляла 33%, бесцементной — 67%. На сроке 12 лет после операции выживаемость имплантатов без ревизии составила 43% для пары трения CoCr/ПЭ и 83% в случае остальных пар трения (К/К, К/ПЭ, МодМе/ПЭ).
Заключение. ТЭТБС при БГ позволяет улучшить качество жизни пациентов, перенёсших АНГБК. Наибольший срок службы и меньшую вероятность ревизии показали эндопротезы с бесцементной фиксацией и парой трения «керамика по керамике», «керамика по полиэтилену» и «металл с модифицированной поверхностью по полиэтилену». Высокий риск геморрагических осложнений в периоперационном периоде наблюдается у пациентов, получающих ЗФТ менее 5 лет. Риск перипротезной инфекции составляет 6,7%, и при её выявлении необходимо исключить туберкулёз.
Полный текст
ОБОСНОВАНИЕ
Болезнь Гоше (БГ) — это редкая лизосомная болезнь накопления липидов, обусловленная наследственным дефицитом фермента глюкоцереброзидазы. В России распространённость БГ составляет 1 случай на 370 000 взрослого населения. Основные клинические проявления БГ — цитопения, гепатомегалия, спленомегалия и поражение костей — обусловлены накоплением тканевых макрофагов в местах их физиологического дома. Заместительная ферментная терапия (ЗФТ) при БГ является патогенетическим лечением и показывает свою высокую эффективность в отношении гематологических и висцеральных проявлений заболевания [1]. Большинство костных проявлений БГ необратимы и определяют тяжесть состояния пациентов, получающих ЗФТ на постоянной основе. Наиболее распространённое костное проявление БГ — асептический некроз головки бедренной кости (АНГБК), сопровождающийся коллапсом эпифиза и вторичным коксартрозом, служит показанием к тотальному эндопротезированию тазобедренного сустава (ТЭТБС) [2, 3].
Результаты операций и подходы к эндопротезированию тазобедренного сустава у пациентов с БГ сильно изменились за последние 30 лет. До появления в 1994 году возможности патогенетического лечения БГ посредством высокоэффективной ЗФТ этим пациентам часто отказывали в оперативном вмешательстве из-за опасений хирургических и гематологических осложнений [4]. Считалось, что риск инфицирования неприемлемо высок (частично из-за того, что многие пациенты были подвергнуты спленэктомии), опасались чрезмерного интраоперационного кровотечения, но наибольшую озабоченность вызывало чувство бесполезности попыток эндопротезирования из-за раннего расшатывания компонентов, имплантированных в патологически изменённую кость [5]. Впервые о выполнении бесцементной гемиартропластики тазобедренного сустава эндопротезом Остина Мура (Austin Moore) при БГ в 1966 году сообщают H.C. Amstutz и E.J. Carey [6]. В 1988 году J. Goldblatt и соавт. описывают 15 операций ТЭТБС у молодых пациентов с БГ (от 16 до 53 лет, медиана — 39 лет), из которых только в 2 случаях эндопротез прослужил более 10 лет без ревизии [7]. Кровопотеря во время операции могла составлять от 800 до 3500 мл [8]. В ранних работах при БГ преимущественно использовали цементную фиксацию компонентов, что объясняли остеопенией, широким каналом бедренной кости, дисфункцией остеобластов и остеокластов, замедляющих остеоинтеграцию [9]. Тем не менее даже до появления ЗФТ все перечисленные авторы отмечали высокую эффективность операции в отношении снижения болевого синдрома, улучшения объёма движений в суставе и повышения качества жизни пациентов с БГ.
В эру ЗФТ значительно расширились возможности выполнения ТЭТБС при БГ. Решающим фактором согласия пациентов на операцию была непрекращающаяся боль, а не функциональная инвалидность. Все пациенты после ТЭТБС отмечали значительное уменьшение болевого синдрома, при этом субъективно повышались качество жизни и объективные показатели функции сустава [10].
Имеются неоднозначные рекомендации по способу фиксации компонентов эндопротезов при БГ. В одних публикациях не выявляется зависимости долговечности имплантатов от способа их фиксации [11]. В других — доказывается преимущество бесцементных имплантатов [12]. Описаны случаи цементного ТЭТБС при БГ, когда первичные имплантаты служат 20 лет и более [13].
Гистологическое исследование костной ткани удалённых головок бедренных костей, проведённое на большой группе пациентов с БГ (26 образцов от 22 пациентов), показало, что регенеративный потенциал костной ткани оставался в пределах нормальных показателей и не коррелировал с длительностью ЗФТ и наличием инфильтрации костного мозга клетками Гоше [14]. Этот факт демонстрирует возможность вторичной биологической фиксации бесцементных имплантатов.
Периоперационные проблемы ТЭТБС у пациентов с БГ в большинстве своём связаны с избыточной кровопотерей в сравнении с основной популяцией [10, 15]. A. Ioscovich и соавт. сообщают об отсутствии трудностей с проведением анестезиологического пособия при ТЭТБС у пациентов с БГ, но акцентируют внимание на том, что в 37% случаев (7 больных) имела место ранняя перипротезная инфекция. У пациентов без БГ, которым проводилось ТЭТБС в том же учреждении, этот показатель составлял 2% [16]. В отечественной литературе описаны случаи туберкулёза как причины костно-суставной инфекции при БГ [17, 18].
Противоречивые данные литературы по ТЭТБС при БГ связаны с редкой встречаемостью заболевания. Обнадёживающие клинические результаты операции требуют обобщения накопленного опыта для повышения безопасности периоперационного периода и увеличения срока службы имплантированных эндопротезов.
Цель исследования — провести анализ периоперационного периода, среднесрочных и отдалённых результатов ТЭТБС на большой группе пациентов с БГ.
МАТЕРИАЛЫ И МЕТОДЫ
Дизайн исследования
Ретроспективное неконтролируемое исследование выполнено на основании данных медицинской документации, а также рентгенограмм в динамике у пациентов с БГ, которым было проведено тотальное эндопротезирование тазобедренного сустава. Все операции выполнены в одном центре одним оперирующим хирургом.
Оценивали вид анестезии, длительность операции, тип эндопротеза и способ его фиксации, кровопотерю во время операции и в течение первых суток — кровопотерю по дренажу, трансфузию компонентов крови, антибактериальную терапию, профилактику тромботических осложнений, температуру тела в послеоперационном периоде, технические трудности и осложнения, а также длительность заместительной ферментной терапии на момент операции.
Контрольные рентгенограммы оперированных тазобедренных суставов выполняли во время плановых визитов с периодичностью один раз в 1–2 года.
Срок службы эндопротеза оценивали с момента имплантации до ревизионной операции. При выполнении ревизионных операций оценивали показания к ревизии, способ фиксации ревизионных компонентов, пару трения.
Критерии соответствия
В исследование включали взрослых пациентов с установленным диагнозом болезни Гоше I типа, которым было выполнено ТЭТБС в ФГБУ «НМИЦ гематологии» Минздрава России.
Условия проведения
Исследование проведено в ФГБУ «НМИЦ гематологии» Минздрава России.
Продолжительность исследования
В исследование включены пациенты, оперированные с 2005 по 2023 год. Средний срок наблюдения после первичного ТЭТБС составил 9 лет (от 1 года до 19 лет).
Описание медицинского вмешательства
Первичное ТЭТБС в 24 случаях выполняли из передне-бокового доступа с отсечением передней порции средней ягодичной мышцы (модифицированный доступ Хардинга), в 6 случаях применяли малоинвазивный передне-боковой доступ по Рюттингеру (MIS AL). Во всех случаях ревизионного эндопротезирования использовали модифицированный доступ Хардинга.
При первичном ТЭТБС в 23 случаях установлены стандартные бедренные компоненты бесцементной фиксации (типа Zweymüller, Spotorno, Synergy), в 5 случаях были имплантированы укороченные бесцементные ножки Fitmore, в 2 случаях — цементные бедренные компоненты типа Charnley. Тазовые компоненты при первичном ТЭТБС в 25 случаях были представлены бесцементными компонентами с фиксацией по типу пресс-фит, в 3 случаях — цельнополиэтиленовыми чашками с титановым напылением (RM, Mathys), в 2 случаях — цементными тазовыми компонентами типа Mueller. Пара трения в установленных эндопротезах в 6 случаях была представлена типом «керамика по керамике» (Biolox или Sulox, CeramTec) (К/К), в 10 случаях — «керамика по полиэтилену» (К/ПЭ), в 9 случаях — «металл с модифицированной поверхностью по полиэтилену» (Oxinium, Smith & Nephew и Тиудин, АМТ) (МодМе/ПЭ), а в 5 случаях — «кобальт-хромовый сплав по полиэтилену» (CoCr/ПЭ). Выбор способа фиксации и пары трения определялся типом закупленных учреждением имплантатов. Кроме того, для оценки долговечности эндопротезов учитывали ещё один случай первичного ТЭТБС — у пациентки с БГ, у которой операция была выполнена в другом учреждении, а в ФГБУ «НМИЦ гематологии» Минздрава России осуществлялись ревизионные операции. Этой пациентке были установлены бесцементные имплантаты — стандартная ножка и чаша пресс-фит с парой трения СоCr/ПЭ. Полиэтилен в 8 случаях был представлен хируленом (во всех случаях — в паре с головкой Тиудин), в остальных 27 случаях — высокомолекулярным полиэтиленом с перекрёстными связями (XLPE) (табл. 1).
Таблица 1. Тип эндопротеза, способ фиксации и пара трения при эндопротезировании тазобедренного сустава у пациентов с болезнью Гоше
Table 1. Type of prosthesis, fixation method, and bearing surface in total hip arthroplasty in patients with Gaucher disease
Фиксация компонентов | Бедренный компонент | Тазовый компонент | Пара трения |
Бесцементная фиксация | Стандартные ножки (n=24) | Пресс-фит (n=26) | К/К (n=6) К/ПЭ (n=15) МодМе/ПЭ (n=12) CoCr/ПЭ (n=7) |
Укороченные ножки (n=5) | RM (n=3) | ||
Ревизионные ножки (n=4) | |||
Цементная фиксация | Charnley, Mueller (n=5) | Mueller (n=4) |
Примечание. К/К — керамика по керамике, К/ПЭ — керамика по полиэтилену, МодМе/ПЭ — металл с модифицированной поверхностью по полиэтилену, CoCr/ПЭ — кобальт-хромовый сплав по полиэтилену.
При ревизионном эндопротезировании в 4 случаях выполнена замена обоих компонентов эндопротеза, в 2 случаях — замена только тазового компонента эндопротеза, в 3 — только бедренного компонента. Цементная фиксация бедренного компонента выполнена в 3 случаях ревизионного эндопротезирования, бесцементная — в 4 случаях. Тазовый компонент цементной фиксации использовали в 2 случаях ревизионного эндопротезирования, бесцементный тазовый компонент — в 4 случаях. Пара трения К/ПЭ применялась в 5 случаях ревизии, МодМе/ПЭ — в 3 и СoCr/ПЭ — в 1 случае (табл. 1, 2).
Таблица 2. Характеристика ревизионных эндопротезирований тазобедренного сустава при болезни Гоше
Table 2. Characteristics of revision hip arthroplasties in patients with Gaucher disease
Ф.И. /пол /возраст, лет | Срок до ревизии, лет | Причина ревизии | Удаляемые компоненты, фиксация | Установленные компоненты, фиксация |
Г.О. / ж / 51 | 13 | Асептическое расшатывание ножки | Ножка, цементная, головка CoCr | Бесцементная, ножка Wagner, головка Biolox |
Г.О. / ж / 58 | 8 | Асептическое расшатывание компонентов | Ножка, цементная, чаша, цементная, головка CoCr | Бесцементные компоненты, головка Biolox |
Ф.И. / ж / 55 | 7 | ППИ, МБТ+E. cloacae | Ножка, бесцементная | Цементная, тип Charnley |
Ф.И. / ж / 58 | 3 | ППИ, МБТ+E. cloacae | Все, цементная | АПК, цемент, ревизионная ножка |
Ш.М. / ж / 54 | 6 | Асептическое расшатывание ножки | Ножка, бесцементная, Zweymüller | Цементная, тип Charnley |
Ш.М. / ж / 66 | 11 | Асептическое расшатывание ножки | Ножка, цементная, Charnley | Бесцементная, ножка Wagner |
Х.М. / ж / 49 | 10 | Асептическое расшатывание, износ ПЭ, гранулёма | Чаша, бесцементная, головка CoCr | Бесцементная, чаша Continuum, головка Biolox |
С.А. / ж / 37 | 6 | Пролеченная туберкулёзная инфекция, асептическое расшатывание чашки | Чаша, цементная, головка Тиудин | Бесцементный индивидуальный тазовый имплантат, головка Тиудин |
К.А. / м / 32 | 4 | ППИ, МБТ+S. aureus | Бесцементные | Бесцементные (второй этап после 4 лет неоартроза) |
Примечание. ППИ — перипротезная инфекция, МБТ — микобактерия туберкулёза, АПК — антипротрузионное кольцо, ПЭ — полиэтилен, CoCr — кобальт-хромовый сплав.
Для обеспечения оперативного вмешательства применяли как комбинированный эндотрахеальный наркоз — 33 случая, так и спинально-эпидуральную анестезию — 6 случаев. Антибактериальную профилактику (за исключением случаев ревизионных операций по поводу инфекции) проводили цефалоспоринами первого (цефазолин) и третьего поколения (цефтриаксон) внутривенно в рекомендуемых дозах от 3 до 8 дней (в среднем 3–5 дней). Антифибринолитики — транексамовую кислоту — рутинно не применяли. В дозах от 500 до 1000 мг препарат вводили в 4 случаях совместно с трансфузиями свежезамороженной плазмы (СЗП): у двоих пациентов — при избыточной кровопотере и дважды у одного пациента с гипофибриногенемией 1,9 г/л профилактически.
Профилактику тромботических осложнений в стационаре проводили пациентам с количеством тромбоцитов более 100 тыс. в мкл. Применяли эноксапарин натрия или надропарин кальция в рекомендуемых для данного типа операций профилактических дозах.
Лабораторные анализы выполняли в клинико-диагностической лаборатории ФГБУ «НМИЦ гематологии» Минздрава России.
Функциональное состояние тазобедренного сустава до операции и через один год после неё оценивали по шкале Харриса (Harris Hip Score).
Диагноз костно-суставного туберкулёза устанавливали на основании лучевых методов исследования (МСКТ и МРТ), микробиологических и молекулярно-генетических (ПЦР-диагностика и люминесцентная микроскопия диагностического материала), иммунологических (проба АТР, T-SPOT TB) методов с учётом полученных лабораторных данных крови, мочи и посевов мокроты на жидкие и плотные питательные среды.
Окончательный диагноз костно-суставного туберкулёза устанавливали после получения результатов микробиологического исследования пунктата, отделяемого из свищевого хода, а также после получения операционного материала, при этом обязательно проводили морфологическое исследование.
Для каждого образца диагностического материала проводили следующие микробиологические и молекулярно-генетические исследования: микроскопия осадка материала с окраской флуоресцентными красителями на наличие кислотоустойчивых микроорганизмов в образце, ПЦР в режиме реального времени на выявление ДНК микобактерий, посев осадка диагностического материала на жидкие и плотные питательные среды (BACTEK).
Согласно полученным данным из диагностического материала и резистентности микобактерий туберкулёзного комплекса к противотуберкулёзным препаратам, пациентам с костно-суставным туберкулёзом назначалась противотуберкулёзная химиотерапия, режим и сроки которой зависели от спектра лекарственной устойчивости микобактерии туберкулёза (МБТ). В зависимости от чувствительности МБТ назначались противотуберкулёзные препараты первого или резервного второго ряда.
Основной исход исследования
Эффективность и безопасность ТЭТБС при БГ оценивали на основании периоперационной кровопотери, послеоперационных осложнений, функционального состояния тазобедренного сустава, а также долговечности эндопротезов (срок эксплуатации без ревизии).
Этическая экспертиза
Научная статья «Эндопротезирование тазобедренного сустава у пациентов с болезнью Гоше: особенности, результаты» одобрена к публикации на заседании Этического комитета ФГБУ «НМИЦ гематологии» Минздрава России, протокол № 181 от 27.06.2024 г.
Статистический анализ
Для анализа полученных данных использовали стандартные методы описательной статистики, частотного и событийного анализа. Для проверки гипотез о различиях распределений категориальных признаков в группах сравнения использовался анализ таблиц сопряжённости. Для оценки значимости применяли двусторонний критерий Фишера. Для проверки гипотез о наличии различий в распределении числовых показателей в группах сравнения использовали непараметрический ранговый критерий Манна–Уитни. В ряде случаев после проверки гипотезы о нормальности распределений количественных показателей и проведения нормализующих преобразований применяли также методы дисперсионного анализа.
В качестве конечной точки для анализа долговечности функционирования эндопротеза использовали время до ревизионной операции. Время до целевого события рассчитывалось как длительность временного промежутка от даты установки эндопротеза до даты ревизионной операции. Пациенты, у которых не возникло необходимости в проведении ревизионной операции, были цензурированы на дату последнего контакта. Для оценки распределений использовали оценки Каплана–Мейера, для оценки статистической значимости различий в группах применяли логранговый тест.
Статистический анализ был выполнен с помощью процедур пакета SAS 9.4.
РЕЗУЛЬТАТЫ
Объекты (участники) исследования
Выполнен анализ медицинской документации 26 пациентов с БГ (15 женщин, 11 мужчин) в возрасте от 22 до 65 лет (медиана — 42 года) на момент операции. Всего было выполнено 30 первичных ТЭТБС и 9 ревизионных эндопротезирований тазобедренного сустава. Ревизионные операции выполняли у 6 пациентов (5 женщин, 1 мужчина), причём у 3 пациенток произведено по 2 ревизии, включая 1 пациентку, у которой было выполнено ревизионное эндопротезирование с двух сторон.
ЗФТ до 1 года на момент операции проводилась в 10 случаях ТЭТБС, от 1 года до 5 лет — в 10 случаях, и более 5 лет — в 19 случаях.
Индекс массы тела составил в среднем 22,3 на момент операции (от 15,6 до 31,1).
Основные результаты исследования
Во всех случаях первичного ТЭТБС показаниями к операции послужили асептический некроз головки бедра и его последствия.
Технические особенности ТЭТБС у пациентов с БГ были обусловлены типичными для этого заболевания структурно-анатомическими изменениями проксимального отдела бедра, такими как остеосклероз спонгиозной кости межвертельной зоны в сочетании с расширением / вздутием проксимального отдела диафиза, а также перенесёнными ранее оперативными вмешательствами. Это удлиняло время операции, которое в среднем составило 128 минут (от 60 до 275 минут), что на 35 минут превышает среднюю продолжительность данной операции у той же бригады хирургов, а также приводило к интраоперационным осложнениям. Продольный раскол диафиза бедренной кости при установке бесцементного бедренного компонента, потребовавший фиксации проволочными серкляжами, был отмечен в 5 случаях, отрыв верхушки большого вертела при использовании малоинвазивного доступа по Рюттингеру — в 1 случае.
Мы обнаружили, что высокая интраоперационная кровопотеря ассоциирована с длительностью предшествующей ЗФТ. У пациентов, которым ЗФТ проводилась менее 5 лет (n=14), средняя интраоперационная кровопотеря составила 1250 мл (от 200 до 3300 мл). Пациенты, получавшие ЗФТ 5 лет и более (n=14), имели значительно более низкие цифры кровопотери — от 300 до 1800 мл (средняя — 475 мл), сравнимые с кровопотерей при ТЭТБС у пациентов без БГ, а также с нормальными лабораторными показателями гомеостаза. Только в одном случае избыточная кровопотеря 1450 мл была связана с хирургическим кровотечением в технически сложной ситуации. В табл. 3 отражены некоторые клинико-лабораторные показатели пациентов с БГ, которым ТЭТБС выполнено на малых сроках ЗФТ. В случае длительности ЗФТ менее 5 лет доля операций с кровопотерей более 1000 мл составила 57%, при длительности ЗФТ 5–10 лет — 22%, более 10 лет — 0% (рис. 1) (p=0,047).
Таблица 3. Интраоперационная кровопотеря и лабораторные показатели гемостаза у пациентов с болезнью Гоше, перенёсших первичное тотальное эндопротезирование тазобедренного сустава в первые 2 года проведения заместительной ферментной терапии
Table 3. Intraoperative blood loss and laboratory hemostasis parameters in patients with Gaucher disease undergoing primary total hip arthroplasty during the first two years of enzyme replacement therapy
Больной | Пол | Возраст | ЗФТ, лет | ИМТ* | Кровопотеря | Спленэктомия, да/нет, возраст | Тромбоциты, тыс. в мкл* | АЧТВ, с* | ПТИ, %* | Фибриноген, г/л* | ||
общая | мл/ч | % ОЦК | ||||||||||
К. | Муж. | 27 | <1 | 17,3 | 1150 | 510 | 29 | 13 | 426 | 41х | 62 | 4,2 |
П. | Жен. | 43 | <1 | 18 | 750 | 270 | 26 | 11 | 220 | 39 | 86 | 2,2 |
Хо. | Жен. | 31 | <1 | 18,4 | 3300 | 1015 | 92 | 13 | 134 | 41х | 71 | 3,1 |
Б. | Жен. | 45 | <1 | 24,4 | 2000 | 800 | 48 | 22 | 193 | 38х | 71 | 1,8 |
Ш. | Жен. | 49 | <1 | 20,3 | 1200 | 261 | 37 | 3 | 280 | 43х | 93 | 3,2 |
С. | Жен. | 21 | <1 | 21,8 | 2000 | 686 | 51 | 2 | 150 | 37х | 86 | 2,5 |
Е. | Муж. | 49 | <1 | 24 | 500 | 214 | 10 | Нет | 57 | 32 | 83 | 2,9 |
Г. | Жен. | 38 | 1 | 15,6 | 1750 | 600 | 73 | 13 | 442 | 39х | 82 | 2,5 |
Ко. | Жен. | 30 | 2 | 22,1 | 1000 | 414 | 29 | Нет | 116 | 35 | 76 | 2 |
Ха. | Жен. | 38 | 2 | 18,3 | 700 | 400 | 22 | 14 | 219 | 36 | 96 | 2,1 |
Примечание. * норма: ИМТ — 18–25, тромбоциты — 180–320 тыс. в мкл, АЧТВ — 30–38 с, ПТИ — 70–130%, фибриноген — 1,8–3,5 г/л, х положительный волчаночный антикоагулянт. ЗФТ — заместительная ферментная терапия, ИМТ — индекс массы тела, ОЦК — объём циркулирующей крови, АЧТВ — активированное частичное тромбопластиновое время, ПТИ — протромбиновый индекс.
Рис. 1. Зависимость кровопотери от длительности заместительной ферментной терапии при тотальном эндопротезировании тазобедренного сустава у пациентов с болезнью Гоше.
Fig. 1. Blood loss by the duration of enzyme replacement therapy in patients with Gaucher disease undergoing total hip arthroplasty.
Возмещение избыточной кровопотери при ТЭТБС у пациентов с БГ требовало трансфузионной поддержки. Аппаратная реинфузия аутологичных эритроцитов с помощью CellSaver 5 применялась у 4 пациентов, что обеспечило от 500 до 750 мл отмытых аутоэритроцитов, трансфузию которых проводили как интраоперационно, так и в раннем послеоперационном периоде. Необходимо отметить, что всем пациентам, у которых применяли аппаратную реинфузию крови, дополнительно было перелито от 1 до 2 доз донорских эритроцитов и от 1100 до 2300 мл донорской свежезамороженной плазмы.
Что касается потребности в трансфузионных средах, то эритроцитная масса от 1 до 2 доз интраоперационно была перелита 5 пациентам, и от 1 до 4 доз в послеоперационном периоде получили 12 больных; СЗП от 300 до 1200 мл интраоперационно получили 13 больных, от 500 до 800 мл после операции было перелито 10 больным; по 8 доз тромбоконцентрата было перелито в периоперационном периоде 2 пациентам, и 3 пациентам были проведены трансфузии криопреципитата для коррекции гипофибриногенемии. Средняя потребность в гемотрансфузиях на одного пациента с БГ при первичном ТЭТБС составила 1,5 дозы эритроцитной массы, 835 мл СЗП, 2 дозы криопреципитата, 0,84 дозы концентрата тромбоцитов.
Функция тазобедренного сустава, оценённая по шкале Харриса до операции первичного ТЭТБС, составила в среднем 35,4 балла (от 18 до 49 баллов). Через год после операции у 26 пациентов (87%) результат расценён как отличный — 94–100 баллов. У троих пациентов результат расценён как хороший — 84–86 баллов. У одного пациента с развившейся перипротезной инфекцией функциональный результат оценён в 75 баллов.
Длительность госпитализации пациентов с БГ при операциях эндопротезирования тазобедренного сустава зависела в большей степени от необходимости предоперационной подготовки и послеоперационного лечения, что, в свою очередь, напрямую зависело от длительности ЗФТ и достижения терапевтических целей лечения. Пациенты, оперированные в первые 4 года ЗФТ, проводили в стационаре в среднем 37 дней (от 18 до 76 дней), а пациенты, получающие ЗФТ от 5 лет и более, в среднем находились в клинике 18 дней (от 10 до 28 дней). Предоперационная подготовка включала проведение ЗФТ пациентам, ранее не получавшим лечение, низкообъёмные плазмаферезы у пациентов с циркулирующим волчаночным антикоагулянтом, одной пациентке с впервые выявленным туберкулёзным кокситом проводилась специфическая противотуберкулёзная химиотерапия.
Ревизионное эндопротезирование тазобедренного сустава при БГ сопровождалось кровопотерей в пределах 500±200 мл, не отличавшейся от таковой у пациентов без БГ, что было связано с длительной предшествующей ЗФТ и достижением терапевтических целей лечения. Только в двух случаях ревизионных операций по поводу перипротезной инфекции была отмечена избыточная кровопотеря — 1500 и 4200 мл, обусловленная местным воспалительным процессом и длительностью оперативных вмешательств — 3 и 5 часов соответственно.
Причины, приведшие к ревизионным операциям, отражены в табл. 2.
Ревизионное эндопротезирование тазобедренного сустава выполнено в 7 случаях первичного эндопротезирования у 6 пациентов с БГ, что составляет 23%. Из них в 2 случаях (6,7%) ревизионные операции выполняли по поводу перипротезной инфекции. В обоих случаях причиной перипротезной инфекции была смешанная инфекция на фоне костно-суставного туберкулёза, который не был выявлен на дооперационном этапе. Ещё в одном случае костно-суставной туберкулёз был выявлен у пациентки при подготовке к первичному ТЭТБС и пролечен до проведения операции. В 16,7% причиной ревизии после первичного ТЭТБС было асептическое расшатывание компонентов эндопротеза.
Повторные ревизионные операции у двоих пациентов с БГ в одном случае были связаны с рецидивом перипротезной инфекции через 3 года, в другом — с асептическим расшатыванием бедренного компонента цементной фиксации через 11 лет после первой ревизии.
Был проведён анализ долговечности службы имплантатов до ревизии в зависимости от типа фиксации компонентов (цементная / бесцементная), а также от типа пары трения.
Анализ долговечности имплантатов для ТЭТБС у пациентов с БГ представлен на рис. 2. Выживаемость без ревизии на сроках 3, 6 и 12 лет после операции составила 97, 93 и 61% соответственно.
Рис. 2. Долговечность имплантатов при тотальном эндопротезировании тазобедренного сустава у пациентов с болезнью Гоше.
Fig. 2. Implant longevity following total hip arthroplasty in patients with Gaucher disease.
Дополнительно мы проанализировали долговечность имплантатов в зависимости от пары трения (рис. 3). Группы пациентов с различными типами пар трения были сбалансированы по демографическим (пол, возраст) и клиническим (индекс массы тела) параметрам. По результатам анализа мы можем сделать осторожный вывод о том, что даже при формальном отсутствии статистической значимости (из-за небольшого количества наблюдений) и в рамках нерандомизированного исследования в случае пары трения CoCr/ ПЭ долговечность имплантатов существенно меньше, чем при других типах пар трения. На сроке 12 лет после операции выживаемость без ревизии составляет 43% для пары трения CoCr/ПЭ и 83% в случае остальных пар трения.
Рис. 3. Зависимость долговечности имплантатов при тотальном эндопротезировании тазобедренного сустава у пациентов с болезнью Гоше от пары трения. CoCr/ПЭ — кобальт-хромовый сплав по полиэтилену, МодМе/ПЭ — металл с модифицированной поверхностью по полиэтилену, Керам/ ПЭ — керамика по полиэтилену, Керам/керам — керамика по керамике.
Fig. 3. Implant longevity by bearing surface in patients with Gaucher disease undergoing total hip arthroplasty.
Также мы проанализировали долговечность имплантатов в зависимости от типа фиксации (рис. 4). В случае цементной фиксации выживаемость без ревизии на сроке 12 лет составляла 33%, бесцементной — 67%. Учитывая, что группа цементной фиксации была очень маленькой (n=3) и при этом 2 пациента из этой группы имели пару трения CoCr/ПЭ, мы дополнительно проанализировали долговечность имплантатов в зависимости от типа пары трения для группы с бесцементной фиксацией (рис. 5). По результатам анализа мы можем подтвердить вывод о том, что выживаемость без ревизии у пары трения CoCr/ПЭ хуже по сравнению с остальными типами пар трения.
Рис. 4. Зависимость долговечности имплантатов при тотальном эндопротезировании тазобедренного сустава у пациентов с болезнью Гоше от типа фиксации.
Fig. 4. Implant longevity by fixation type in patients with Gaucher disease undergoing total hip arthroplasty.
Рис. 5. Зависимость долговечности имплантатов при тотальном эндопротезировании тазобедренного сустава у пациентов с болезнью Гоше от пары трения при бесцементной фиксации. CoCr/ ПЭ — кобальт-хромовый сплав по полиэтилену.
Fig. 5. Implant longevity by bearing surface in uncemented total hip arthroplasty in patients with Gaucher disease.
ОБСУЖДЕНИЕ
Резюме основного результата исследования
ТЭТБС — это эффективный способ лечения АНГБК при БГ, который позволяет достичь хороших и отличных результатов в большинстве случаев (87%) как первичного, так и ревизионного эндопротезирования в течение 10 лет наблюдения. Основными рисками операции являются избыточная кровопотеря у пациентов, получающих ЗФТ менее 5 лет, технические трудности, связанные с поражением проксимального отдела бедра при БГ, недиагностированный костно-суставной туберкулёз. Долговечность имплантатов при ТЭТБС у пациентов с БГ повышается при использовании компонентов бесцементной фиксации с улучшенными трибологическими характеристиками — парами трения К/К, К/ПЭ и МодМе/ПЭ.
Обсуждение основного результата исследования
При оценке результатов через 1 год после операции хорошие и отличные результаты были получены в 97,4% случаев первичного ТЭТБС. MIS AL доступ у пациентов с исходно умеренной контрактурой тазобедренного сустава показал быстрое восстановление функциональной активности в сравнении с модифицированным доступом по Хардингу. О применении малоинвазивного доступа при ТЭТБС впервые сообщает V. Bubbar в 2009 году [19]. При использовании MIS AL доступа в одном случае на фоне грубого вторичного коксартроза и длительно существующей контрактуры мы отмечали перелом большого вертела, дополнительной фиксации которого не проводили. Это не отразилось на функциональном исходе операции. При оценке результатов через 12 месяцев не выявлено функциональных различий между использованными доступами. Интраоперационные расколы проксимального конца бедренной кости также не отразились на результатах операции.
Неудовлетворительный результат первичного ТЭТБС у одного пациента был обусловлен ранней перипротезной инфекцией смешанной этиологии (МБТ+St. aureus) при недиагностированном на догоспитальном этапе костно-суставном туберкулёзе. Неоднозначная лучевая картина у этого пациента была расценена как костные проявления БГ. Всего костно-суставной туберкулёз был выявлен у 3 больных (11,5%), включённых в исследование. Трудности его обнаружения при БГ были связаны со сложной лучевой семиотикой, неспецифическими клиническими проявлениями, а также проблемами лабораторной диагностики, когда МБТ у наших пациентов не выявлялись стандартными микробиологическими методами исследования. При своевременной же диагностике начатая в предоперационном периоде противотуберкулёзная химиотерапия позволяет предупредить развитие перипротезной инфекции.
Риск геморрагических осложнений при БГ связан с сочетанной патологией гемостаза. Со стороны тромбоцитарного звена это тромбоцитопения, снижение агрегации тромбоцитов, а со стороны плазменного звена — антифосфолипидный синдром, проявлявшийся циркуляцией волчаночного антикоагулянта, снижением протромбинового индекса, гипофибриногенемией. ЗФТ, проводимая в течение 5 лет и более, в значительной степени нивелирует эти изменения, однако разнообразие клинического течения БГ нередко сопровождается поздней диагностикой и необходимостью оперативного лечения на более ранних сроках патогенетической терапии. В этих случаях могут потребоваться предоперационная подготовка и трансфузионное обеспечение операций компонентами крови, включая концентрат тромбоцитов и криопреципитат.
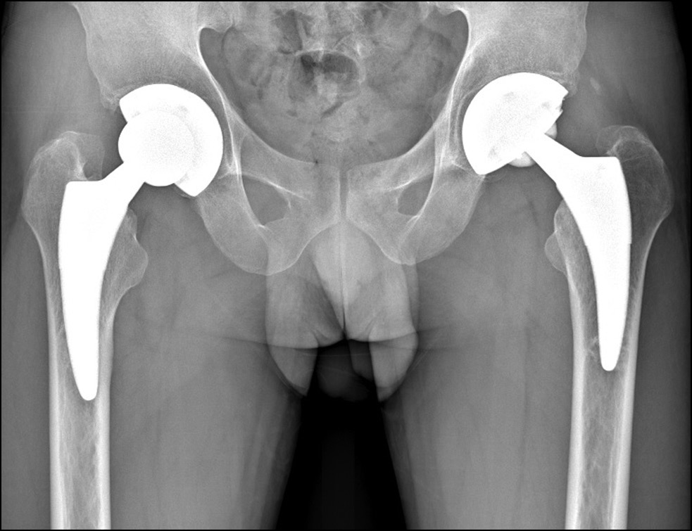
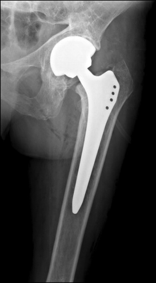
При современном обеспечении ЗФТ использование бесцементных имплантатов показало большую долговечность в сравнении с цементной фиксацией. Это объясняется тем, что при БГ сохраняется репаративный потенциал костной ткани, что обеспечивает остеоинтеграцию и вторичную биологическую фиксацию бесцементных эндопротезов [16]. При колбовидном расширении проксимального отдела диафиза бедра мы отмечали проксимальную фиксацию компонентов в межвертельной зоне (рис. 6). Хорошие результаты применения укороченных бедренных компонентов также подтверждают это (рис. 7).
Рис. 6. Проксимальная фиксация бедренного компонента типа Zweymüller при расширении канала бедренной кости у пациентки с болезнью Гоше.
Fig. 6. Proximal fixation using a Zweimüller-type femoral component in a patient with Gaucher disease and widened femoral canal.
Рис. 7. Укороченные бедренные компоненты Fitmore через 4 года после операции.
Fig. 7. Short Fitmore femoral stems four years post-surgery.
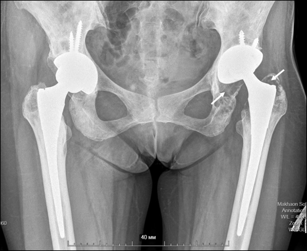
Закономерно, что эндопротезы, имеющие пару трения с улучшенными трибологическими характеристиками, такую как К/К, К/ПЭ и МодМе/ПЭ, показали большую долговечность в сравнении с парой трения CoCr/ПЭ. Полученные результаты согласуются с данными исследования D. Cohen, проведённого на большой когорте пациентов с БГ [14]. Продукты износа ПЭ на фоне повышенной активности тканевых макрофагов при БГ могут приводить к образованию обширных остеолитических гранулём, усложняющих ревизионные операции (рис. 8).
Рис. 8. Остеолитическая гранулёма (указана стрелками) у пациентки с болезнью Гоше. 10 лет после первичного тотального эндопротезирования тазобедренного сустава. Пара трения — кобальт-хромовый сплав по полиэтилену.
Fig. 8. Osteolytic granuloma (indicated by arrows) in a patient with Gaucher disease 10 years after primary total hip arthroplasty. Friction pair — cobalt-chromium alloy on polyethylene.
Ограничения исследования
Редкая встречаемость БГ является основным фактором, ограничивающим проведение исследования. Группа из 26 больных включает 7,2% взрослых пациентов с БГ в России. Снижение рисков возникновения осложнений при ТЭТБС требует концентрации этих пациентов в специализированных центрах, имеющих опыт лечения таких больных.
ЗАКЛЮЧЕНИЕ
В эру ЗФТ операция ТЭТБС уже не вызывает у хирургов чувство бесполезности попыток эндопротезирования. Эта операция решает важнейшую для пациентов с БГ проблему, связанную с АНГБК, наиболее распространённым костным проявлением заболевания. Хорошие и отличные результаты ТЭТБС, как первичного, так и ревизионного, которые сохраняются в течение многих лет, снижают инвалидизацию, позволяют этим пациентам вести социально активную жизнь. Учитывая относительно молодой возраст первичного эндопротезирования при БГ, важно использовать наиболее долговечные имплантаты. Исследование показало, что бесцементные эндопротезы тазобедренного сустава с преимущественно проксимальной фиксацией бедренного компонента и парой трения К/К, К/ПЭ, МодМе/ПЭ имеют более продолжительный срок эксплуатации без ревизии.
Особенности макрофагального звена иммунитета при БГ, а также спленэктомия, которую эти пациенты нередко переносят в детском и подростковом возрасте, требуют настороженного отношения к костно-суставной инфекции, включая туберкулёз, на этапе предоперационной подготовки и в периоперационном периоде.
Несмотря на то, что риск геморрагических осложнений ТЭТБС при БГ значительно снижается через 5 лет ЗФТ, его нужно учитывать при подготовке к операции. Это особенно актуально у пациентов, которым диагноз БГ установлен во взрослом возрасте, когда костно-суставные осложнения болезни определяют показания к хирургическому лечению.
Принимая во внимание редкую встречаемость, полисистемный характер заболевания, специфические костные проявления, сочетанную патологию гемостаза и особенности иммунитета, можно минимизировать риски ТЭТБС, концентрируя больных в специализированных центрах с мультидисциплинарной командой специалистов, имеющих опыт лечения БГ.
ДОПОЛНИТЕЛЬНАЯ ИНФОРМАЦИЯ
Вклад авторов. В.Е. Мамонов — хирургическое лечение пациентов, обзор литературы, анализ медицинской документации, написание текста и редактирование статьи; Ю.А. Чабаева — статистическая обработка данных; В.А. Хоменко — диагностика и лечение пациентов с костно-суставным туберкулёзом, участие в операциях; Р.В. Пономарёв — сбор данных, предоперационное обследование и послеоперационное ведение больных; Е.А. Лукина — редактирование текста статьи, общее руководство исследованием. Все авторы одобрили финальную версию перед публикацией, а также согласились нести ответственность за все аспекты работы, гарантируя надлежащее рассмотрение и решение вопросов, связанных с точностью и добросовестностью любой её части.
Источники финансирования. Отсутствуют.
Раскрытие интересов. Авторы заявляют об отсутствии отношений, деятельности и интересов (личных, профессиональных или финансовых), связанных с третьими лицами (коммерческими, некоммерческими, частными), интересы которых могут быть затронуты содержанием статьи, а также иных отношений, деятельности и интересов за последние три года, о которых необходимо сообщить.
Оригинальность. При создании настоящей работы авторы не использовали ранее опубликованные сведения (текст, данные).
Генеративный искусственный интеллект. При создании настоящей статьи технологии генеративного искусственного интеллекта не использовали.
Рассмотрение и рецензирование. Настоящая работа подана в журнал в инициативном порядке и рассмотрена по обычной процедуре. В рецензировании участвовали два внешних рецензента, член редакционной коллегии и научный редактор издания.
Информированное согласие на публикацию. Авторы получили письменное согласие пациентов на публикацию их медицинских данных.
ADDITIONAL INFORMATION
Author contributions: V.E. Mamonov: investigation, data curation, formal analysis, writing—original draft, writing—review & editing; Yu.A. Chabaeva: formal analysis; V.A. Khomenko: investigation; R.V. Ponomarev: data curation, investigation; E.A. Lukina: supervision, writing—review & editing. All the authors approved the final version of the manuscript to be published and agreed to be accountable for all aspects of the work, ensuring that questions related to the accuracy or integrity of any part of the work are appropriately investigated and resolved.
Funding sources: No funding.
Disclosure of interests: The authors have no relationships, activities, or interests (personal, professional, or financial) related to for-profit, not-for-profit, or private third parties whose interests may be affected by the content of the article, as well as no other relationships, activities, or interests in the past three years to disclose.
Statement of originality: No previously published material (text, or data) was used in this article.
Generative AI: No generative artificial intelligence technologies were used to prepare this article.
Provenance and peer-review: This paper was submitted unsolicited and reviewed following the standard procedure. The peer review process involved two external reviewers, a member of the editorial board, and the in-house scientific editor.
Consent for publication: Written informed consent was obtained from all patients for the publication of their medical data and images.
Об авторах
Василий Евгеньевич Мамонов
Национальный медицинский исследовательский центр гематологии
Автор, ответственный за переписку.
Email: vasily-mamonov@yandex.ru
ORCID iD: 0000-0001-7795-4564
SPIN-код: 1773-9159
канд. мед. наук
Россия, 125167, Москва, Новый Зыковский проезд, д. 4Юлия Александровна Чабаева
Национальный медицинский исследовательский центр гематологии
Email: uchabaeva@gmail.com
ORCID iD: 0000-0001-8044-598X
SPIN-код: 3314-7674
канд. тех. наук
Россия, 125167, Москва, Новый Зыковский проезд, д. 4Владимир Александрович Хоменко
Национальный медицинский исследовательский центр гематологии
Email: khomenkov@mail.ru
ORCID iD: 0000-0001-8988-556X
SPIN-код: 7192-9639
д-р мед. наук, профессор
Россия, 125167, Москва, Новый Зыковский проезд, д. 4Родион Викторович Пономарёв
Национальный медицинский исследовательский центр гематологии
Email: ponomarev.r.v@icloud.com
ORCID iD: 0000-0002-1218-0796
SPIN-код: 1618-7375
канд. мед. наук
Россия, 125167, Москва, Новый Зыковский проезд, д. 4Елена Алексеевна Лукина
Национальный медицинский исследовательский центр гематологии
Email: elenalukina02@gmail.com
ORCID iD: 0000-0002-8774-850X
SPIN-код: 7829-5794
д-р мед. наук, профессор
Россия, 125167, Москва, Новый Зыковский проезд, д. 4Список литературы
- Lukina EA, Sysoeva EP, Lukina KA, et al. Gaucher disease in adults: diagnosis, treatment, and monitoring. In: Diagnostic algorithms and treatment protocols for diseases of the blood system. Moscow: Praktika Publishing House; 2018: 411–425. (in Russ.). EDN: YXDXNC
- Soloveva AA, Yatsyk GA, Ponomarev RV, et al. Reversible and irreversible radiological signs of bone involvement in type I Gaucher disease. Russian journal of hematology and transfusiology. 2019;64(1):49–59. doi: 10.35754/0234-5730-2019-64-1-49-59 EDN: CYHCFO
- Solovyova AA, Kostina IE, Ponomarev RV, et al. Gaucher’s disease: radiation diagnosis of bone manifestations. Moscow: GEOTAR-Media Publishing Group; 2024. 104 p. (in Russ.). EDN: ZBGOTA
- Lau MM, Lichtman DM, Hamati YI, Bierbaum BE. Hip arthroplasties in Gaucher’s disease. J Bone Joint Surg Am. 1981;63(4):591–601.
- Grigoris P, Grecula MJ, Amstutz HC. Hip arthroplasty for femoral head osteonecrosis in Gaucher’s disease. Hip International. 1995;5(1):25–30.
- Amstutz HC, Carey EJ. Skeletal manifestations and treatment of Gaucher’s disease. Review of twenty cases. J Bone Joint Surg Am. 1966;48(4):670–701.
- Goldblatt J, Sacks S, Dall D, Beighton P. Total hip arthroplasty in Gaucher’s disease. Long-term prognosis. Clin Orthop Relat Res. 1988;(228):94–8.
- Lachiewicz PF, Lane JM, Wilson PD. Total hip replacement in Gaucher’s disease. J Bone Joint Surg Am. 1981;63(4):602–8.
- van Wellen PA, Haentjens P, Frecourt N, Opdecam P. Loosening of a noncemented porous-coated anatomic femoral component in Gaucher’s disease. A case report and review of literature. Acta Orthop Belg. 1994;60(1):119–23.
- Lebel E, Ioscovich A, Itzchaki M, Zimran A, Elstein D. Hip arthroplasty in patients with Gaucher disease. Blood Cells Mol Dis. 2011;46(1):60–5. doi: 10.1016/j.bcmd.2010.09.001
- Lebel E, Elstein D, Zimran A, Itzchaki M. Cementless total hip arthroplasties in Gaucher disease: long-term follow-up. Am J Orthop (Belle Mead NJ). 2009;38(3):130–2.
- Cohen D, Kogan D, Rubin A, Zimran A, Lebel E. Longevity of total hip arthroplasty implants in patients with Gaucher disease. Hip Int. 2020;30(2):147–151. doi: 10.1177/1120700019834919
- Petheram TG, Whitehouse SL, Kazi HA, et al. The Exeter Universal cemented femoral stem at 20 to 25 years. Bone Joint J. 2016;98-B(11):1441–1449. doi: 10.1302/0301-620X.98B11.37668
- Lebel E, Elstein D, Peleg A, et al. Histologic findings of femoral heads from patients with Gaucher disease treated with enzyme replacement. Am J Clin Pathol. 2013;140(1):91–6. doi: 10.1309/AJCPFVSAEGO67NGT
- Katz K, Tamary H, Lahav J, Soudry M, Cohen IJ. Increased operative bleeding during orthopaedic surgery in patients with type I Gaucher disease and bone involvement. Bull Hosp Jt Dis. 1999;58(4):188–90.
- Ioscovich A, Briskin A, Lebel E, et al. Anaesthesia for total hip replacement in Gaucher’s disease. Eur J Anaesthesiol. 2006;23(3):265–6. doi: 10.1017/S026502150524228X
- Lukina EA, Mamonov VE, Lukina KA, et al. Tuberculous sacroiliitis in a patient with Gaucher disease. Therapeutic Archive. 2013;85(7):87–89. EDN: QZWCTP
- Semenova LA, Khomenko VA, et al. Features of treatment and diagnosis of various forms of tuberculous synovitis. CTRI Bulletin. 2022;(4):72–81. (in Russ.).
- Bubbar V, Heras FL, Amato D, Pritzker KP, Gross AE. Total hip replacement in Gaucher’s disease: effects of enzyme replacement therapy. J Bone Joint Surg Br. 2009;91(12):1623–7. doi: 10.1302/0301-620X.91B12.22515
Дополнительные файлы











