Diagnosis and management for traumatic crus dislocation
- Authors: Dyatlov M.M.1
-
Affiliations:
- Gomel State Medical Institute
- Issue: Vol 3, No 1 (1996)
- Pages: 47-52
- Section: Articles
- Submitted: 25.03.2021
- Accepted: 25.03.2021
- Published: 15.03.1996
- URL: https://journals.eco-vector.com/0869-8678/article/view/64167
- DOI: https://doi.org/10.17816/vto64167
- ID: 64167
Cite item
Full Text
Abstract
The study presents 25 years experience of treatment of 151 patients with 162 traumatic crus dislocations in 153 knee joints including 23 open dislocations in 23 patients. Special attention is paid to the diagnostic difficulties of nerves and vessels injuries in the popliteal fossa, particularly at the inclusion of transient compensatory mechanism. Analysis of the treatment of open crus dislocations with various complications is performed; recommendations on their optimum diagnosis and treatment are given.
Full Text
Травматические вывихи голени являются хоть и редкими, но самыми опасными в плане сохранения конечности и жизни пострадавшего среди вывихов конечностей вследствие высокой частоты сопутствующих сосудистых нарушений — от 32 до 60% [13, 14] и ошибок при диагностике и лечении —73% [5, 6]. Даже в случае своевременного восстановления магистрального кровообращения частота ампутаций составляет от 30 до 100% [11, 15]. Но и сохранившиеся конечности при поражении сосудов и нервов нередко остаются неполноценными (до 72% случаев) [9].
Открытые травматические вывихи голени — особо тяжелые повреждения, всегда чреватые осложнениями (гнойный артрит, остеомиелит, анкилоз, тяжелый артроз, неврит), а если они сопровождаются сосудистыми нарушениями, то появляется опасность развития газовой гангрены, острой почечной недостаточности, ампутации и смертельного исхода [1, 11], а также тяжелой инвалидности — до 80% случаев [8]. Хотя открытые вывихи голени встречаются значительно реже закрытых, в отдельных работах, где приводится наибольшее число открытых вывихов, их доля среди всех травматических вывихов голени составляет от 8% (5 из 64) [9] до 34% (9 из 26) [21] и 50% (5 из 10) [8]. Тем не менее мы не встретили обобщающих работ, посвященных открытым вывихам голени, что объясняется, в частности, небольшим числом собственных наблюдений авторов. Наибольший материал по всем вывихам голени представлен в работах И.А. Романчука [9] (64 случая), А.А. Губко и М.М. Дятлова [1] (88), М. Meyers [19] (53), G. Treiman [22] (115).
Материал и методы. Наше сообщение основано на личных наблюдениях и анализе историй болезни 151 больного с вывихами голени в 153 коленных суставах за 25 лет. Материал собран в разных лечебных учреждениях, но преимущественно в Гомельской областной клинической больнице.
Впервые выявлен привычный травматический вывих голени у 2 больных: в одном случае он возникал 5, в другом —3 раза. Повторный вывих по одному разу отмечен у 3 больных, у 2 вывих возник в разное время на обеих ногах.
Вывихи происходили в возрасте от 14 до 84 лет, чаще в 50—60 лет, повреждение при этом сосудов возникало чаще в 44—55-летнем возрасте. Среди 151 больного сосудистые нарушения были у 54, у 20 из них они явились причиной ампутации. При закрытых вывихах ампутация производилась реже —у 11 больных из 130 (8%). Изолированные повреждения нервов (И случаев) и повреждения сосудов имели место при 65 из общего числа вывихов. При закрытых вывихах повреждения сосудов выявлены в 38 случаях, изолированная травма нервов — в И (всего 35% случаев из 139). Общее число повреждений нервов составило 29 у 29 больных: изолированных 11, в сочетании с сосудистыми повреждениями 18. Каждый шестой больной стал инвалидом (24 человека). 6 больных умерли: 3 в результате множественной и сочетанной травмы, 3 от тромбоэмболии после повреждения подколенных сосудов.
Мы наблюдали 23 открытых вывиха у 23 больных (15% от общего числа больных с вывихами голени). Раны были от небольших до обширных повреждений с полным обнажением коленного сустава, а при сочетании с переломом почти с полной энуклеацией дистальной трети бедра.
Осложнения при открытых вывихах возникали намного чаще, чем при закрытых. Повреждения подколенной артерии имелись у 16 больных, из них только артерии у 11 и одновременно берцовых нервов у 5. Травма сосудов и нервов была у 16 больных, только нервов — у 2. Ампутация произведена 9 (39%) больным: 3 — первичная ампутация вследствие массивного повреждения всех тканей с сосудами, нервами и переломом; 4 пострадавшим — на 1-й неделе после травмы вследствие гангрены голени и стопы; 2 — через 3 и 7 лет ввиду болезни перевязанного сосуда с тяжелыми трофическими расстройствами. У всех этих пострадавших были повреждены сосуды, а у 4 имелись переломы тех же сегментов голени. Переломы бедра или голени на стороне открытого вывиха имели место у 9 (39%) больных. У 1 больного с разрывом подколенной артерии через 1 сут после травмы развилась острая почечная недостаточность (в последующем он полностью выздоровел).
Из повреждений подколенной артерии при открытых вывихах голени полный ее разрыв был у 10 больных, повреждения интимы и тромбоз — у 5, перегиб артерии — у 1; из повреждений берцовых нервов — полный разрыв у 6, имбибирование кровью большеберцового нерва на протяжении 10 см у 1.
У всех пострадавших с сосудистыми повреждениями с первых минут или часов имелись характерные признаки нарушения магистрального кровообращения и развившейся ишемии: нарушение или отсутствие пульса, снижение чувствительности на стопе и голени, отсутствие активных движений пальцами и стопой, изменение цвета кожи, мышечные контрактуры. Но ишемия была обнаружена в первые 3 ч лишь у 12 (75%) больных, а у 4 выявлена только через 3—5 сут (и это при открытых вывихах!). У 5 больных с полным разрывом подколенной артерии кровообращение после вправления вывиха становилось компенсированным за счет коллатералей, но, как оказалось, временно, ибо спустя соответственно 3, 8, 15, 18 и 20 ч развилась их полная окклюзия. Однако катастрофа обнаруживалась чаще всего с опозданием.
С диагностической целью допплерография была проведена 2 больным, артериография — 12; их результаты совпали. При ангиографии у 2 больных с тяжелым шоком и спутанным сознанием удалось выявить повреждение сосуда, у 1 — уточнить вид сосудистого повреждения (спазм подколенной артерии) и устранить его во время этой процедуры, у 1 — снять подозрение на окклюзию и у 8 — подтвердить его и определить уровень повреждения. Во всех случаях после вправления вывиха проводили одномоментную пункционную артериографию бедренной артерии в рентгеновском кабинете или на операционном столе; осложнений не было.
Резко усложнялась диагностика при открытых и закрытых вывихах с одновременным повреждением нервов и сосудов. Нарушение чувствительности и паралич возникали в результате сопутствующей травмы берцовых нервов или только ишемии. У 3 больных с закрытым и 3 с открытым вывихом повреждение подколенной артерии (с нарушенной чувствительностью или параличом из-за ишемии) было принято за неврит обоих берцовых нервов. И наоборот, у 3 других больных с закрытым вывихом повреждение обоих нервов не было выявлено из-за превалирования клиники разрыва подколенной артерии. В результате в первом случае проводилось ненужное лечение мнимого неврита, а во втором не проводилось лечение истинного неврита. При хирургической ревизии у 5 больных с закрытым вывихом был выявлен разрыв только подколенной артерии у 3 и одновременное повреждение артерии и нервов у 2. У 2 больных с открытым вывихом голени при ревизии было обнаружено повреждение нервов, а у 4 не было предпринято ревизии ран, артерии и нервов при полном разрыве сосудов и нервов и проводилось так называемое «консервативное лечение», а иными словами — пассивное выжидание, закончившееся ампутацией.
В 12 случаях (с наиболее верными тактическими действиями) такие больные, минуя рентгеновский кабинет, были срочно доставлены в операционную, где после немедленного вправления вывиха (обычно под наркозом) нередко производилась чрескожная фиксация спицами сустава и отломков для их стабилизации (4 больных), затем временное шунтирование подколенной артерии (5 больных), потом первичная хирургическая обработка, ревизия нервов, вен и фасциотомия во всех 4 фасциально-мышечных футлярах голени (8 больных), после нее — остеосинтез и шов связок, далее восстановление сосудов и нервов. При этом 4 больным произведена аутовенозная пластика подколенной артерии, 3 — ее шов конец в конец, 1 — протезирование артерии дакроновой трубкой. Подколенная вена была сшита у 5, берцовые нервы — у 2, связки коленного сустава (большеберцовая и передняя крестообразная) — у 2 больных. При необходимости ревизии дна и карманов раны производили дополнительные разрезы в дистальном и проксимальном направлениях. При дефектах кожи рану в подколенной ямке всегда ушивали, делая продольные разрезы на боковых поверхностях, иногда использовали перемещенные лоскуты по Лимбергу. Иммобилизацию производили аппаратом внешней фиксации (чаще Илизарова), гипсовой мостовидной повязкой или глубокой гипсовой лонгетой.
В послеоперационном периоде назначали антибиотики, при угрозе тромбоза — антикоагулянты, дезагреганты, реополиглюкин, с первых дней назначали УВЧ и лазеротерапию. Через 14—16 дней снимали швы, меняли гипсовую повязку. Ходить с костылями разрешали через 7—14 дней — в зависимости от объема хирургических пособий, состояния кожного лоскута. Срок иммобилизации составлял 2,5—3 мес.
Результаты и их обсуждение. Результаты лечения больных с открытыми вывихами, изученные в сроки от 2 до 20 лет после травмы путем неоднократных повторных клинических, рентгенологических, а в ряде случаев также артерио- и реовазографических исследований, неутешительны: у половины из них утрачен коленный сустав как таковой. У 9 больных вследствие сосудистых нарушений произведена ампутация в разные сроки — от первых часов до 7 лет после травмы, у 3 развился гнойно-септический процесс и лечение завершилось артродезом. Связки коленного сустава при открытых вывихах во время первичной операции не были сшиты у 18 больных, но из 8 человек, у которых сохранилась конечность, отличное их состояние отмечено у 5, хорошее — у 1. У 2 больных, у которых связки были сшиты, их состояние было нормальным.
Отличный общий функциональный результат достигнут у 5 больных (в том числе у 2 с полным разрывом подколенных артерии и вены), хороший — у 1, удовлетворительный — у 3 (в том числе у 1 с восстановленной функцией малоберцового нерва). У 2 оперированных результат неизвестен.
В качестве примера приводим одно из наблюдений.
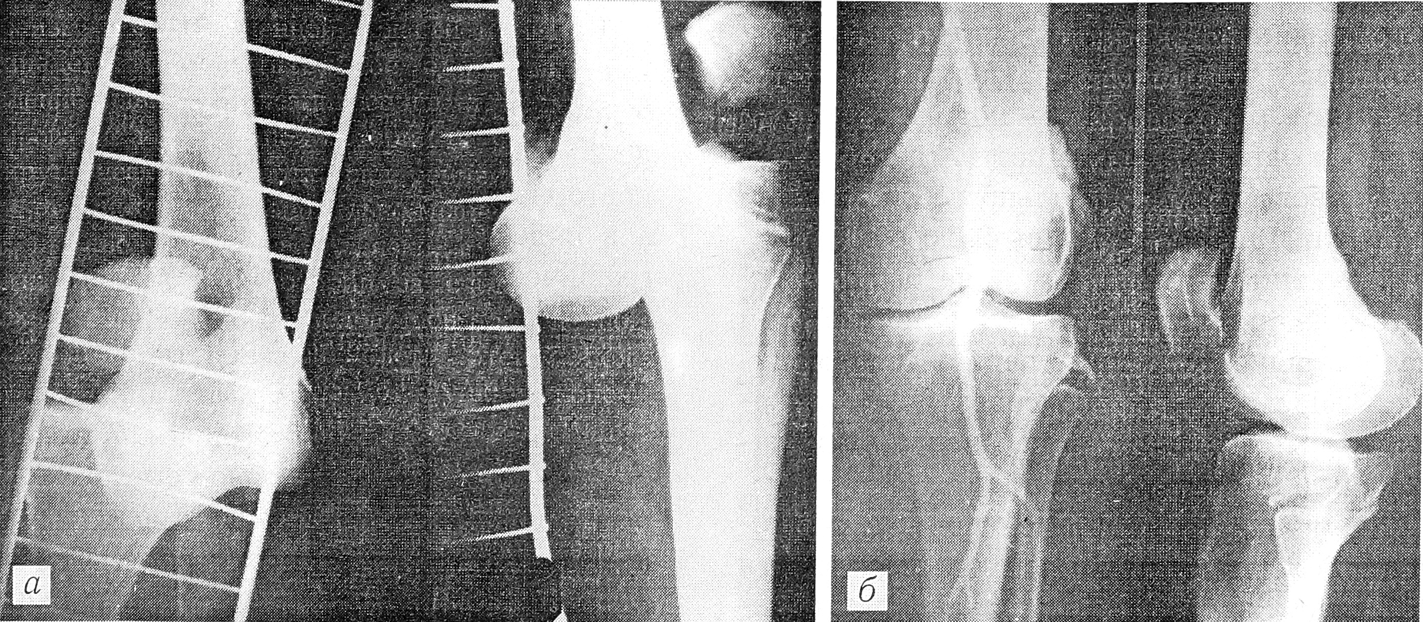
Больная К., 37 лет, поступила в больницу через 2,5 ч после травмы. Диагноз: открытый полный передний вывих левой голени, разрыв подколенной артерии и вены (см. рисунок, а), две обширные раны — в подколенной области и на бедре. Произведены безотлагательное одномоментное вправление вывиха, фиксация спицами, временное шунтирование подколенной артерии (4 ч), первичная хирургическая обработка ран, ревизия сосудов, нервов, фасциотомия 4 фасциально-мышечных футляров, шов большеберцовой связки, аутовенозная пластика подколенной артерии за счет большой подкожной вены здорового бедра, шов подколенной вены конец в конец. Через 9 лет: артерия полностью проходима (см. рисунок, б), функция конечности нормальная. Работает по-прежнему бетонщицей. Исход расценен как отличный.
При травматических вывихах голени опасным и коварным является нарушение магистрального кровообращения при полном разрыве подколенной артерии с временной компенсацией за счет коллатералей, когда после вправления вывиха пульс и чувствительность в 13—22% случаев временно нормализуются [12, 22]. Однако затем нередко коллатерали сдавливаются или тромбируются, кровоток по ним прекращается, возникает декомпенсированная ишемия. По данным разных авторов, это происходило через 10, 24, 48 ч, 3, 4, 6, 7, 12 и 13 дней [18, 20, 21]. Промедление с восстановлением кровообращения приводило к ампутации.
У 5 наших больных в аналогичной ситуации катастрофа обнаружилась в 1 случае через 3 ч (конечность удалось сохранить благодаря аутовенозной пластике артерии), в 4 случаях через 1—5 сут (конечности ампутированы). Иными словами, наличие или возобновление пульса на стопе после вправления вывиха голени вовсе не означает, что у больного нет разрыва или иного повреждения подколенной артерии. Требуется самый тщательный контроль за состоянием кровообращения в течение 2 нед после травмы.
Следовательно, в каждом случае травматического вывиха голени, особенно открытого, необходимо предполагать наличие скрытого повреждения подколенной артерии и ишемии и успокаиваться можно, лишь удостоверившись, что этих нарушений нет. Поэтому каждого больного с травматическим вывихом голени нужно обследовать целенаправленно для исключения повреждения сосудов и нервов, применяя всевозможные методы: прежде всего скрупулезно анализируя данные простейших клинических исследований, проводя допплерографию, а при малейшем подозрении на окклюзию — артериографию или неотложную хирургическую ревизию. Но хирургу, решившемуся на срочную артериографию вместо хирургической ревизии подколенной артерии, следует учитывать, что на ее организацию и выполнение обычно уходит дополнительно 3 ч.
Рентгенограммы больной К. при поступлении (а) и через 9 лет после травмы (б).
Первичная операция при открытых вывихах голени должна включать ревизию не только раны, но и артерии и нервов в подколенной области, а также фасциотомию во всех 4 фасциально-мышечных футлярах голени для предотвращения и уменьшения сдавления отеком коллатералей и магистральных сосудов.
Считается, что предельный срок, когда еще можно восстановить магистральное кровообращение, составляет 6—8 ч [10, 14]. Однако при открытых вывихах голени он сокращается, ибо, кроме магистральных сосудов, при них всегда повреждаются коллатерали, мелкие сосуды и мягкие ткани, которые менее, чем при закрытых вывихах, склонны к восстановлению структуры и функции. Полагаем, что целесообразность проведения восстановительных операций на подколенной артерии должна определяться не столько временем, прошедшим с момента травмы, сколько степенью жизнеспособности голени и стопы.
Такие больные должны лечиться в специализированных отделениях. При невозможности срочно доставить пострадавшего по назначению абсолютно необходимо вызвать травматолога, ангиохирурга и до приезда их произвести временное шунтирование поврежденной подколенной артерии силиконовой трубкой (от системы для переливания крови).
Мы не можем согласиться с некоторыми взглядами на хирургическую тактику при открытых вывихах голени:
1) с первоначальным проведением первичной хирургической обработки раны (а не вправления вывиха), особенно обширной раны с сосудистыми нарушениями [4];
2) с отказом от ревизии раны, сосудов и нервов и с пассивным наблюдением при сосудистых повреждениях [7];
3) с первичной аутопластикой и эндопротезированием лавсаном связок коленного сустава [3], а не проведением их после заживления раны;
4) с применением гипсовой лонгеты, меняемой во время перевязок [5], а не аппарата внешней фиксации;
5) с отказом от одномоментного и срочного вправления открытого вывиха при политравме со ссылкой на тяжелое состояние больного [2].
Распространено мнение, что связки коленного сустава при первичной хирургической обработке ран следует сшивать в тех случаях, когда они находятся в ране, крестообразные — если они оторваны от большеберцовой кости [17], окончательное же восстановление связок осуществлять после заживления раны, не раньше чем через
3 нед [16]. Эндопротезирование связок лавсаном при первичной хирургической обработке приводит к плохим результатам [3, 9]. Полагаем, что решение восстанавливать связки (как и нервы) должно основываться на оценке сосудистого статуса конечности, общего состояния больного и состояния мягких тканей и раны. По нашим данным, связки коленного сустава при открытых вывихах голени восстанавливаются достаточно хорошо сами, без швов; это отмечают и другие авторы [9].
Выводы
- Открытые вывихи голени сочетаются с нарушениями сосудов и нервов в 3 раза чаще, чем закрытые.
- Ампутации при открытых вывихах голени производятся в 5 раз чаще, чем при закрытых.
- Каждый травматический вывих голени, особенно открытый, следует рассматривать как имеющий скрытое нарушение магистрального кровообращения, и возобновление пульса на стопе после вправления вывиха не означает отсутствия повреждения подколенной артерии. Оценка состояния кровообращения должна проводиться ежечасно в течение 14 сут после травмы.
- Временное шунтирование подколенной артерии позволяет сохранить конечность и в неотложном порядке произвести первичную хирургическую обработку ран и другие необходимые хирургические манипуляции на коленном суставе любой длительности в полном объеме при различных осложнениях травматических открытых вывихов голени.
- Безотлагательность применяемых нами пособий в указанном объеме и последовательности является предпосылкой сохранения жизни, конечности пострадавшего и восстановления функции коленного сустава при открытых вывихах голени с различным характером травматизации, в том числе с полным разрывом подколенной артерии. Плохой исход открытых вывихов предопределен только при массивном повреждении всех мягких тканей с сосудами, нервами и переломом, почти отрывом голени.
About the authors
M. M. Dyatlov
Gomel State Medical Institute
Author for correspondence.
Email: info@eco-vector.com
Belarus, Gomel
References
- Губко А.А., Дятлов М.М. //Актуальные вопросы экстренной хирургии сосудов. — Минск, 1985. — С. 20—21.
- Гурьев В.Н., Романчук И.А. //Актуальные вопросы травматологии и ортопедии. Вып. 7. — М., 1973. — С. 3—6.
- Желев Ж., Минчев М. //Ортопед. травматол. — 1972. _ N 5. — С. 23—27.
- Лобко Я.У., Шмигель А.П. //Там же. — 1986. — N 8. — С. 53—54.
- Мадыкенов О.М. //Вестн. хирургии. — 1975. — N 10. — С. 114—116.
- Мадыкенов О.М., Мадыкенов P.O. //Ортопед. травматол. — 1986. — N 2. — С. 35—36.
- Полысалов В.Н. //Вести, хирургии. — 1989. — N 5. — С. 77—78.
- Родов А.П. //Ортопед. травматол. — 1980. — N 8. — С. 59—60.
- Романчук И.А. Травматические вывихи голени и их лечение: Автореф. дис. ... канд. мед. наук. — М., 1973.
- Руцкий А.В., Гришин И.Н. Повреждения магистральных кровеносных сосудов. — Минск, 1985. — С. 36— 37, 79.
- Almekinders L.C., Logan Т.С. //Clin. Orthop. — 1992. — Vol. 284. — P. 203—207.
- Drapanas T., Hewitt R.L., Weichert R.F., Smith A.D. //Ann. Surg., 1970. — Vol. 172. — P. 351—360.
- Frassica F.J. et al. //Clin. Orthop. — 1991. — Vol. 263. — P. 200—205.
- Green N.E., Allen B.L. //J. Bone Jt Surg. — 1977. — Vol. 59A, N 2. — P. 236—239.
- Hoover N.W. //Surg. Clin. N. Amer. — 1961. — Vol. 41. — P. 1099—1112.
- Kobayashi S., Takei T., Yagi R., Mamiya N. //Arch. Orthop. Traum. Surg. — 1989. — Vol. 108, N 4. — P. 246-249.
- Levitsky K.A., Berger A., Nicholas G.G. et al. // J. Bone Jt Surg. — 1988. — Vol. 70A, N 9. — P. 1407—1409.
- McCutchan J.D., Gillham N.R. //Injury. — 1989. — Vol. 20, N 5. — P. 307—310.
- Meyers M.H., Moore T.M., Harvey J.P. //J. Bone Jt Surg. — 1975. — Vol. 57A, N 3. — P. 430—433.
- Opitz A., Scharf W. //Aktuel. Traumat. — 1986. — Bd. 16, N 2. — S. 67—70.
- Shields L., Mitai M., Gave E.F. //J. Trauma. — 1969. — Vol. 3, N 9. — P. 192—216.
- Treiman G.S., Yellin A.T., Weaver F.A.et al. //Arch. Surg. — 1992. — Vol. 127, N 9. — P. 1056—1062 (Discussion — P. 1062—1063).
Supplementary files



