Surgical treatment of double-level spondylolysis of the L4 and L5 vertebrae using custom-made implant
- Authors: Kuleshov A.A.1, Nazarenko A.G.1, Vetrile M.S.1, Sharov V.A.1, Zakharin V.R.1
-
Affiliations:
- Priorov National Medical Research Center of Traumatology and Orthopedics
- Issue: Vol 32, No 1 (2025)
- Pages: 173-182
- Section: Clinical case reports
- Submitted: 06.12.2024
- Accepted: 09.12.2024
- Published: 08.04.2025
- URL: https://journals.eco-vector.com/0869-8678/article/view/642629
- DOI: https://doi.org/10.17816/vto642629
- ID: 642629
Cite item
Abstract
BACKGROUND: Spondylolysis is a frequent cause of pain in the lumbar spine in adolescents and young adults, especially those who practice sports. Spondylolysis most commonly occurs at the L5 vertebrae, and less commonly at the L4 vertebrae. Multilevel spondylolysis is extremely rare. The low frequency of occurrence and, as a consequence, difficulties in diagnosing multilevel spondylolysis are the reason for the lack of a unified approach to the treatment of this pathology. In most cases, conservative measures are sufficient, but if they are ineffective, surgical intervention is indicated. Options of surgical treatment are mainly characterised by the focus on restoring the integrity of the arch and, if possible, preserving motion in the vertebral-motor segment. This article describes the experience of using custom-made implants for surgical treatment of double-level spondylolysis and a brief review of the literature.
CLINICAL CASE DESCRIPTION: A clinical case of a 16-year-old patient with bilateral spondylolysis of the L4 and L5 vertebrae is presented. The anamnesis, clinical manifestations, and diagnostic features, including radiological methods of examination, are described. The peculiarities of preoperative planning and modelling of individual implants, surgery and immediate results are presented. A brief literature review describes the main options for surgical treatment of multilevel spondylolysis and demonstrates the validity of the use of individual implants in the surgical treatment of this pathology.
CONCLUSION: Surgical treatment of double-level bilateral spondylolysis with indirect restoration of the integrity of the vertebral arch with preservation of movements in the vertebral-motor segments can be successfully performed using custom-made implants manufactured using additive technologies. A number of advantages of such implants, such as the ability to design the position and shape of implants considering the individual anatomy of patients, as well as the prevention of contact between the elements of the metal structure during movement, make it possible to improve the results of surgical treatment of double-level spondylolysis.
Full Text
ОБОСНОВАНИЕ
Спондилолиз — дефект межсуставного сегмента дуги позвонка, который является частой причиной возникновения болевого синдрома в поясничном отделе позвоночника у подростков и молодых людей [1, 2]. Наиболее значимым в клинической практике является билатеральный спондилолиз. Частота его встречаемости в общей популяции варьирует в пределах 6–8% [2–6].
Чаще всего спондилолиз отмечается на уровне L5 позвонка, реже — на уровне L4. Многоуровневый спондилолиз, по данным литературы, является редким явлением. Сообщения, описывающие многоуровневый спондилолиз, представлены в литературе лишь описанием отдельных клинических наблюдений [7, 8]. G. Ravichandran (1980 г.) отмечал, что у пациентов с болью в пояснице в 1,48% случаев обнаруживается многоуровневый спондилолиз [9]. D. Hersh (2011 г.), ссылаясь на предыдущее исследование, в своём обзоре также подтвердил данную информацию [10]. B. Peng и соавт. (2015 г.) со ссылкой на более ранние исследования приводят статистику встречаемости многоуровневого спондилолиза в пределах 1,2–5,6% среди всех случаев спондилолиза [2]. По приведённым Е.Г. Скрябиным данным, двухуровневый спондилолиз встречается в 1% случаев [8]. Низкая частота встречаемости и, как следствие, трудности в диагностике многоуровневого спондилолиза являются причиной отсутствия единого подхода к лечению данной патологии.
Применение аддитивных технологий для изготовления персонализированных имплантатов является актуальным направлением в хирургическом лечении различных патологий позвоночника [11]. Индивидуальные конструкции в сравнении с серийными обладают рядом преимуществ, которые позволяют успешно их применять, в том числе и в хирургическом лечении спондилолиза [12]. В статье представлены клинический случай успешного хирургического лечения двухуровневого спондилолиза у подростка с использованием индивидуальных конструкций и обзор литературы по данному вопросу.
ОПИСАНИЕ КЛИНИЧЕСКОГО СЛУЧАЯ
Пациент П., 16 лет, был госпитализирован в 2024 году в ФГБУ «НМИЦ ТО им. Н.Н. Приорова» Минздрава России с жалобами на интенсивную боль в пояснице при физической нагрузке, беге и игре в футбол. Пациент занимался футболом на любительском уровне. За три месяца до госпитализации, во время игры, почувствовал резкую боль в пояснице, из-за которой был вынужден прекратить участие в матче. Пациент был амбулаторно обследован, выполнены рентгенография и компьютерная томография (КТ) пояснично-крестцового отдела позвоночника, выявлен билатеральный двухуровневый спондилолиз L4 и L5 позвонков. Были рекомендованы исключение занятий спортом, ограничение осевой нагрузки на позвоночник, ношение ортопедического пояснично-крестцового корсета, назначено консервативное лечение (физиотерапевтическое лечение, массаж, лечебная гимнастика). В результате консервативного лечения и ограничения физических нагрузок отметил значимый регресс болевой симптоматики. Через два месяца пациент возобновил физическую активность, включая бег, прыжки, после чего вновь начал испытывать значительную боль в пояснице.
С данными жалобами пациент обратился в консультативно-диагностическое отделение НМИЦ ТО им. Н.Н. Приорова. При клиническом осмотре выявлено умеренное напряжение паравертебральных мышц, усиление болевых ощущений в поясничной области при сгибании и разгибании туловища. При пальпации — локальная болезненность на уровне паравертебральных мышц в пояснично-крестцовом отделе. В неврологическом статусе — отсутствие очаговой симптоматики, симптомы натяжения отрицательные, парезов, патологических рефлексов, нарушения чувствительности и функции тазовых органов нет. По данным опросника Ped`s QL — 88,9 балла, VAS — 6 баллов.
По данным постуральной рентгенографии позвоночника подтверждён диагноз двухуровневого билатерального спондилолиза. Отмечено наличие левосторонней сколиотической деформации поясничного отдела позвоночника с вершиной на уровне L1-L2 позвонков, угол по Коббу — 15°. Параметры сагиттального баланса туловища — без значимых отклонений от нормы (PI=50°, PT=9°, SS=39°, LL=60°, TK=43,6°) (рис. 1а, b). По данным функциональной рентгенографии поясничного отдела позвоночника, в положении сгибания и разгибания в боковой проекции определяется отсутствие явного изменения спондилолизного дефекта дужки L4 позвонка, тень, образованная спондилолизным дефектом на уровне L5 позвонка, при сгибании расширялась (рис. 1c, d).
Рис. 1. Постуральная и функциональная рентгенография позвоночника: a — боковая проекция, b — прямая проекция, c — сгибание, d — разгибание. Стрелками указаны зоны спондилолиза.
Fig. 1. Postural and functional radiography of the spine: a — lateral projection, b — straight projection, c — flexion, d —extension. The arrows indicate the zones of spondylolysis.
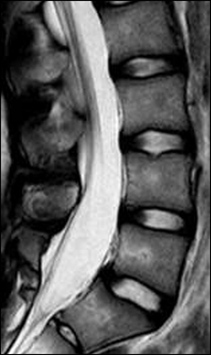
По данным мультиспиральной КТ пояснично-крестцового отдела позвоночника определяется билатеральный спондилолизный дефект межсуставной части дужки L4, L5 позвонка. Стадию спондилолиза, согласно классификации, предложенной К. Fujii и соавт. [13], можно отнести к завершённой на обоих уровнях (рис. 2). Также по данным рентгенографии и КТ отмечаются диспластические изменения задних элементов L5 позвонка в виде асимметрии дужки и изменённой формы остистого отростка. По данным МРТ пояснично-крестцового отдела позвоночника, признаки стеноза позвоночного канала отсутствуют, гидрофильность межпозвонковых дисков не нарушена (Pfirrmann — 1) (рис. 3).
Рис. 2. КТ поясничного отдела позвоночника: a — сагиттальный срез справа, b — сагиттальный срез слева, c — аксиальный срез на уровне дужки L4 позвонка, d — аксиальный срез на уровне дужки L5 позвонка.
Fig. 2. CT of the lumbar spine: a — sagittal slice on the right, b — sagittal slice on the left, c — axial slice at the level of the L4 vertebral arch, d — axial slice at the level of the L5 vertebral arch.
Рис. 3. МРТ поясничного отдела позвоночника, сагиттальный срез.
Fig. 3. MRI of the lumbar spine, sagittal slice.
Согласно клинической картине и данным инструментальных методов обследования, пациенту выставлен диагноз «билатеральный двухуровневый спондилолиз L4, L5 позвонков».
Учитывая сохраняющийся болевой синдром, ограничивающий физическую, в том числе спортивную, активность, неэффективность консервативной терапии, а также данные лучевой диагностики, пациенту рекомендовано оперативное лечение. Принято решение выполнить непрямое восстановление целостности дужек L4 и L5 позвонков при помощи индивидуально изготовленных конструкций.
На основании данных КТ совместно с инженерами ООО «Конмет» выполнена компьютерная 3D-реконструкция позвоночника на уровне L4-L5-S1. Изготовлена полноразмерная стереолитографическая модель сегментов L4-L5-S1. На основании представленного проекта индивидуальной конструкции совместно с инженерами осуществлено проектирование конструкций для восстановления целостности дужек L4 и L5 позвонков (рис. 4). Индивидуальные фиксирующие изделия представляли собой два фигурных устройства, соответствующих анатомическому рельефу дорсальной поверхности дужек и нижней поверхности остистых отростков L4 и L5 позвонков. Также на каждом из устройств имелось по два крючкообразных выступа для субламинарной фиксации. Боковые части с левой и правой стороны переходили в стержни стандартного диаметра 5,5 мм для фиксации к транспедикулярным винтам. Важной особенностью проектирования было исключение возможного контакта вышележащих и нижележащих элементов металлоконструкций, установленных на уровне L4 и L5 позвонков соответственно, при движениях в поясничном отделе пациента. Для фиксации использованы серийные транспедикулярные винты, осуществлялся лишь индивидуальный подбор длины и диаметра винта на основании КТ пациента. Спроектированная конструкция изготовлена с использованием аддитивных технологий ООО «Конмет» из сплава Ti-6Al-4V ELI (рис. 5).
Рис. 4. Проект индивидуальной конструкции.
Fig. 4. The project of an individual implant.
Рис. 5. Полноразмерная 3D-модель пояснично-крестцового сегмента и индивидуальная металлоконструкция.
Fig. 5. The full-size 3D model of the lumbosacral segment and custom-made implant.
Ход операции: в положении пациента на животе под интубационным наркозом выполнен разрез кожи и подкожно-жировой клетчатки по линии остистых отростков от L4 до S1. Произведено скелетирование дужек L4, L5 позвонков, при этом надостистая связка сохранена. Выполнен гемостаз. Под контролем электронно-оптического преобразователя (ЭОП) произведена установка транспедикулярных винтов через корни дуг в L4 и L5 позвонки с двух сторон с сохранением суставных отростков. С помощью кусачек Керрисона удалена межостистая связка L4-L5, L5-S1. Изогнутым распатором выполнено скелетирование дужек в месте осуществления субламинарной фиксации. Установлена индивидуальная пластина на скелетированную дужку L4 позвонка, причём пластина проведена между остистыми отростками соответственно L4 и L5 позвонков. Аналогичным образом в сформированное отверстие между остистыми отростками L5 и S1 позвонков установлена пластина на скелетированную дужку L5 позвонка. Фиксирующие элементы пластин помещены в головки винтов и фиксированы блокировочными винтами (гайками). Проведён рентген-контроль с использованием ЭОП: положение металлоконструкций корректное (рис. 6). Рана промыта растворами антисептика, послойно ушита. Выполнен внутрикожный косметический шов. Интраоперационная кровопотеря составила 100 мл. Пациент был вертикализирован в первые сутки после операции. Отмечал умеренную боль в области вмешательства, которая регрессировала в течение трёх дней на фоне приёма нестероидных противовоспалительных препаратов. Выполнены контрольное КТ-исследование и постуральная рентгенография позвоночника — подтверждены правильное положение имплантатов и фиксация зоны спондилолиза (рис. 7). На четвёртые сутки после операции пациент выписан из стационара. Рана зажила первичным натяжением.
Рис. 6. Флюороскопический интраоперационный контроль.
Fig. 6. Fluoroscopic intraoperative control.
Рис. 7. a, b — постуральная рентгенография позвоночника, положение конструкции правильное, фиксация зон спондилолиза стабильная, сагиттальный баланс не нарушен, c — КТ поясничного отдела позвоночника, 3D-реконструкция, d — аксиальный срез на уровне L4 позвонка, e — аксиальный срез на уровне L5 позвонка.
Fig. 7. a, b — postural radiography of the spine, the position of the structure is correct, fixation of the spondylolysis zone is stable, sagittal balance is not disturb, c —3D reconstructed CT scan of the lumbar spine, d — axial slice at the level of the L4 vertebra, e — at the level of the L5 vertebra.
Через три месяца с момента операции пациент полностью восстановил объём физических нагрузок. Болевых ощущений в поясничном отделе позвоночника не отмечает (Ped`s QL — 96 баллов, VAS — 0 баллов). По данным функциональной рентгенографии поясничного отдела позвоночника — положение имплантатов корректное, фиксация стабильная, движения в позвоночно-двигательных сегментах, на которых проводилось оперативное вмешательство, сохранены (рис. 8).
Рис. 8. Функциональная рентгенография поясничного отдела позвоночника: a — положение разгибания, b — положение сгибания.
Fig. 8. Functional radiograph of the lumbar spine: a — extension position, b — flexion position.
ОБСУЖДЕНИЕ
Двухуровневый спондилолиз является крайне редкой патологией поясничного отдела позвоночника [2, 7, 8]. Этиология многоуровневого спондилолиза сходна с одноуровневыми поражениями. Имеются сообщения, описывающие генетическую предрасположенность к формированию многоуровневого спондилолиза. Так, T. Yurube и соавт. (2017 г.) описали двухуровневый спондилолиз на уровне L4 и L5 позвонков у троих родных братьев, а у их отца были диагностированы спондилолиз L4 и спондилолистез L5 [14]. Также о значении наследственной предрасположенности к развитию спондилолиза свидетельствует высокая частота встречаемости у пациентов с данной нозологией различных костных аномалий развития позвонков, таких как spina bifida и другие диспластические изменения [5, 15].
Спортивные нагрузки являются одним из значимых факторов в этиологии как одноуровневого, так и многоуровневого спондилолиза [8, 16]. Наибольшее количество сообщений о данной патологии приходится на описание клинических случаев молодых спортсменов. Формирование дефекта межсуставной части дужки связано с повторяющимися в течение длительного времени нагрузками на пояснично-крестцовый отдел позвоночника. Это может приводить к формированию стресс-перелома межсуставной части дужки и впоследствии — к образованию спондилолизного дефекта [1, 17–20].
Несмотря на то, что имеются сообщения об успешных результатах консервативного лечения спондилолиза, в том числе и у спортсменов [21], важной проблемой остаётся необходимость исключения физических нагрузок у этой группы пациентов на этапе лечения и ограничения их в дальнейшем. При неэффективности консервативного лечения обоснованной альтернативой является хирургическое лечение с подбором оптимальной тактики, направленной на стабилизацию зоны спондилолиза и сохранение движений в позвоночно-двигательном сегменте. Данный подход может способствовать возвращению привычного уровня активности, что особенно важно для спортсменов.
Редкость двухуровневого спондилолиза характеризует отсутствие единого подхода к тактике хирургического лечения. Большинство исследователей отмечают, что тактика оперативного лечения сходна с таковой при терапии одноуровневого спондилолиза. Оперативное вмешательство направлено на восстановление целостности дужки и, по возможности, сохранение движения в позвоночно-двигательном сегменте [2, 22–24].
Описаны методы восстановления целостности дужки при помощи проволоки, винтов, проведённых через зону спондилолиза, ламинарных крючков [25–27].
К.А. Надулич и соавт. (2011 г.) одними из первых среди отечественных исследователей опубликовали работу, посвящённую успешному хирургическому лечению спондилолиза с прямым восстановлением целостности дужки с использованием костной пластики дефекта [28]. На своём опыте мы убедились, что результаты лечения пациентов как с применением костной пластики дефекта, так и без него значимо не различаются. В настоящее время чаще всего используется методика непрямого восстановления целостности дужки при помощи транспедикулярных винтов в сочетании с ламинарными крючками [29]. Данный метод применяется также и при хирургическом лечении многоуровневого спондилолиза: так, В. Peng и соавт. (2015 г.) сообщают об успешном лечении троих пациентов с многоуровневым спондилолизом (у двоих пациентов имелся билатеральный спондилолиз на уровнях L3, L4, L5 позвонков, и у одного пациента спондилолиз локализовался слева на L3, L4, L5 позвонках и справа на L4 и L5 позвонках соответственно). Позднее D.M. Li и соавт. (2021 г.) продемонстрировали клиническое наблюдение хирургического лечения пациента со спондилолизом на четырёх уровнях, также с использованием аналогичной металлоконструкции [2, 24, 30, 31]. В.В. Хоминец и соавт. (2020 г.) доложили об успешном хирургическом лечении двоих военнослужащих (18 и 19 лет) с двухуровневым спондилолизом (на уровне L2, L4 и L4, L5 позвонков) с использованием системы «винт–стержень–крючок» и костной аутопластики в зоне дефекта дужки. Пациенты отметили купирование вертеброгенного болевого синдрома в течение первого месяца после операции. Полное сращение спондилолизных дефектов было отмечено через 8–12 месяцев [7].
Также для восстановления целостности дужки при спондилолизе применяется методика с использованием транспедикулярных винтов, соединённых U-образным стержнем, проведённым под остистым отростком позвонка, описываемая зарубежными авторами также как методика «smiley face rod» [32]. К. Yamashita и соавт. (2017 г.) опубликовали подробное поэтапное описание данной методики с демонстрацией её эффективности на примере успешного хирургического лечения 13-летнего профессионального бейсболиста с билатеральным спондилолизом L5 позвонка и болью в спине [33]. Применение данного метода для хирургического лечения многоуровневого спондилолиза, в свою очередь, описали М. Takeuchi и соавт. (2020 г.), представив клиническое наблюдение пациента 29 лет с хроническим болевым синдромом в пояснице, который длился на протяжении 6 лет. Всё это время пациент лечился консервативно, однако значимого клинического эффекта не наблюдалось. По результатам КТ поясничного отдела позвоночника был диагностирован спондилолиз на уровне L4 и L5 позвонков. После проведённого оперативного лечения с использованием методики «smiley face rod» болевой синдром регрессировал [22].
Применение изогнутого стержня отчасти может быть осуществлено при невозможности установки ламинарных крючков в связи с диспластическими изменениями задних элементов позвонков. Выраженные явления дисплазии, расщепление дужки могут значительно осложнить или вовсе сделать невозможным применение серийных металлофиксаторов. С учётом вышесказанного становятся очевидными преимущества индивидуальных конструкций, созданных с применением аддитивных технологий. Созданные на основе 3D-моделирования индивидуальные фиксаторы, анатомически соответствующие дорсальной поверхности дужки позвонка, позволяют обеспечить наибольшую конгруэнтность имплантата и фиксируемой части позвонка. Предложенный нами метод использования индивидуальной конструкции позволяет производить фиксацию и при выраженной дисплазии дужки, расщеплении остистого отростка, в том числе и при многоуровневом поражении.
Несомненным преимуществом выполнения операций по восстановлению целостности дужки при спондилолизе является сохранение движений в позвоночно-двигательном сегменте. Однако при фиксации многоуровневого спондилолиза одной из возможных проблем может стать контакт между элементами металлоконструкций, расположенных на смежных позвонках. Так, Т. Arai и соавт. (2013 г.) описывают клиническое наблюдение хирургического лечения пациента с трёхуровневым спондилолизом L3, L4 и L5 позвонков с использованием транспедикулярных винтов и крючков. Примечательным в данном наблюдении явилось то, что в раннем послеоперационном периоде пациент стал отмечать выраженный дискомфорт и боль при сгибании и разгибании туловища. При обследовании было выявлено, что жалобы пациента обусловлены контактом головок ламинарных крючков на уровне L3 позвонка с головками транспедикулярных винтов в L4 позвонке из-за их близкого расположения. В связи с этим пришлось выполнить повторное оперативное вмешательство и удалить конструкцию из L3 позвонка [31].
Применение индивидуально изготовленной конструкции подразумевает предоперационное компьютерное планирование как формы самого изделия, так и его расположения относительно анатомических структур и других конструкций при необходимости. Расположение имплантатов возможно спроектировать таким образом, чтобы избежать их контакта друг с другом при движениях в пояснице при фиксации многоуровневого спондилолиза, что и было осуществлено в приведённом нами клиническом примере. Также важной особенностью подобных индивидуальных конструкций является возможность их применения с серийными транспедикулярными винтами, что позволяет использовать удобный редукционный инструментарий и добиваться компрессии в зоне спондилолиза. Публикаций, посвящённых применению индивидуально изготовленных имплантатов подобного типа, в настоящее время нет. Новизна и преимущества предложенного способа лечения спондилолиза c использованием индивидуальных имплантатов подтверждены соответствующим патентом Российской Федерации [34].
Использование описанной методики изготовления и применение индивидуальной конструкции позволили провести успешное хирургическое лечение больного с двухуровневым билатеральным спондилолизом и, как следствие, получить раннюю активизацию и восстановление физической активности у пациента.
ЗАКЛЮЧЕНИЕ
Оперативное лечение двухуровневого билатерального спондилолиза L4-L5 с непрямым восстановлением целостности дужки позвонков с сохранением движений в позвоночно-двигательных сегментах возможно успешно выполнять с использованием персонализированных имплантатов, изготовленных с применением аддитивных технологий. Одним из важных преимуществ применения индивидуально изготовленных фиксирующих устройств при многоуровневом спондилолизе является возможность предоперационного планирования с использованием компьютерного моделирования и предотвращения тем самым контакта между имплантатами при движениях.
ДОПОЛНИТЕЛЬНО
Вклад авторов. Все авторы одобрили финальную версию перед публикацией, а также согласились нести ответственность за все аспекты работы, гарантируя надлежащее рассмотрение и решение вопросов, связанных с точностью и добросовестностью любой её части.
Источники финансирования. Отсутствуют.
Раскрытие интересов. Авторы декларируют отсутствие явных и потенциальных конфликтов интересов, связанных с проведённым исследованием и публикацией настоящей статьи.
Согласие на публикацию. Авторы получили письменное информированное добровольное согласие пациента на публикацию персональных данных в научном журнале, включая его электронную версию (дата подписания — 16.08.2024). Объём публикуемых данных с пациентом согласован.
Рассмотрение и рецензирование. Настоящая работа подана в журнал в инициативном порядке и рассмотрена по обычной процедуре. В рецензировании участвовали два внешних рецензента, член редакционной коллегии и научный редактор издания.
ADDITIONAL INFO
Author contribution. All authors have approved the final version before publication and have also agreed to be responsible for all aspects of the work, ensuring that issues relating to the accuracy and integrity of any part of it are properly addressed and resolved.
Funding sources. No funding.
Disclosure of interests. The authors declare that they have no competing interests.
Consent for publication. The authors received written informed voluntary consent from the patient to publish personal data in a scientific journal, including its electronic version (date of signing August 16, 2024). The scope of published data was agreed with the patient.
Provenance and peer-review. This paper was submitted to the journal on an initiative basis and reviewed according to the usual procedure. Two external reviewers, a member of the editorial board and the scientific editor of the publication participated in the review.
About the authors
Alexander A. Kuleshov
Priorov National Medical Research Center of Traumatology and Orthopedics
Email: cito-spine@mail.ru
ORCID iD: 0000-0002-9526-8274
SPIN-code: 7052-0220
MD, Dr. Sci. (Medicine)
Russian Federation, 10 Priorova str., 127299 MoscowAnton G. Nazarenko
Priorov National Medical Research Center of Traumatology and Orthopedics
Email: cito@cito-priorov.ru
ORCID iD: 0000-0003-1314-2887
SPIN-code: 1402-5186
MD, Dr. Sci. (Medicine), professor of RAS
Russian Federation, 10 Priorova str., 127299 MoscowMarchel S. Vetrile
Priorov National Medical Research Center of Traumatology and Orthopedics
Author for correspondence.
Email: vetrilams@cito-priorov.ru
ORCID iD: 0000-0001-6689-5220
SPIN-code: 9690-5117
MD, Cand. Sci. (Medicine)
Russian Federation, 10 Priorova str., 127299 MoscowVladislav A. Sharov
Priorov National Medical Research Center of Traumatology and Orthopedics
Email: sharov.vlad397@gmail.com
ORCID iD: 0000-0002-0801-0639
SPIN-code: 8062-9216
MD
Russian Federation, 10 Priorova str., 127299 MoscowVitaly R. Zakharin
Priorov National Medical Research Center of Traumatology and Orthopedics
Email: zakhvit@gmail.com
ORCID iD: 0000-0003-1553-2782
SPIN-code: 2931-0703
MD, Cand. Sci. (Medicine)
Russian Federation, 10 Priorova str., 127299 MoscowReferences
- Wall J, Cook DL, Meehan WP 3rd, Wilson F. Adolescent athlete low back pain diagnoses, characteristics, and management: A retrospective chart review. J Sci Med Sport. 2024;27(9):618–623. doi: 10.1016/j.jsams.2024.05.004
- Peng B, Li D, Pang X. Surgical Management of 3-Level Lumbar Spondylolyses. Medicine (Baltimore). 2015;94(27):e1127. doi: 10.1097/MD.0000000000001127
- Iesato N, Iba K, Yoshimoto M, et al. Prevalence of Multiple-Level Spondylolysis and the Bone Union Rates among Growth-Stage Children with Lower Back Pain. Spine Surg Relat Res. 2021;5(4):292–297. doi: 10.22603/ssrr.2020-0165
- Raudenbush BL, Chambers RC, Silverstein MP, Goodwin RC. Indirect pars repair for pediatric isthmic spondylolysis: a case series. J Spine Surg. 2017;3(3):387–391. doi: 10.21037/jss.2017.08.08
- Fredrickson BE, Baker D, McHolick WJ, et al. The natural history of spondylolysis and spondylolisthesis. J Bone Joint Surg Am. 1984;66(5):699–707.
- Sakai T, Sairyo K, Takao S, et al. Incidence of lumbar spondylolysis in the general population in Japan based on multidetector computed tomography scans from two thousand subjects. Spine. 2009;34(21):2346–50. doi: 10.1097/BRS.0b013e3181b4abbe
- Khominets VV, Nadulich KA, Nagorny EB, et al. Surgical treatment of military with multilevel spondylosis of lumbar vertebra (clinical observation). Marine medicine. 2020;6(2):63–73. (In Russ). doi: 10.22328/2413-5747-2020-6-2-63-73
- Skryabin EG. Isolated and Multilevel Spondylolysis (Literature Review). Traumatology and Orthopedics of Russia. 2019;25(2):157–165. (In Russ). doi: 10.21823/2311-2905-2019-25-2-157-165
- Ravichandran G. Multiple lumbar spondylolyses. Spine. 1980;5(6):552–7. doi: 10.1097/00007632-198011000-00011
- Hersh DS, Kim YH, Razi A. Multi-level spondylolysis: a case report and review of the literature. Bull NYU Hosp Jt Dis. 2011;69(4):339–43.
- Kuleshov AA, Vetrile MS, Shkarubo AN, et al. Additive technologies in surgical treatment of spinal deformities. N.N. Priorov Journal of Traumatology and Orthopedics. 2018;(3–4):19–29. doi: 10.17116/vto201803-04119
- Vetrile MS, Kuleshov AA, Makarov SN, et al. Surgical treatment of L5 spondylolysis in an athlete using custom-made implant. N.N. Priorov Journal of Traumatology and Orthopedics. 2024;31(3):395–405. doi: https://doi.org/10.17816/vto634755
- Fujii K, Katoh S, Sairyo K, Ikata T, Yasui N. Union of defects in the pars interarticularis of the lumbar spine in children and adolescents. The radiological outcome after conservative treatment. J Bone Joint Surg Br. 2004;86(2):225–31. doi: 10.1302/0301-620x.86b2.14339
- Yurube T, Kakutani K, Okamoto K, et al. Lumbar spondylolysis: A report of four cases from two generations of a family. J Orthop Surg (Hong Kong). 2017;25(2):2309499017713917. doi: 10.1177/2309499017713917
- Urrutia J, Zamora T, Cuellar J. Does the Prevalence of Spondylolysis and Spina Bifida Occulta Observed in Pediatric Patients Remain Stable in Adults? Clin Spine Surg. 2017;30(8):E1117–E1121. doi: 10.1097/BSD.0000000000000209
- Mironov SP, Burmakova GM, Orletsky AK, Tsykunov MB, Andreev SV. Lumbosacral pain in athletes and ballet dancers: spondylolysis and spondylolisthesis. N.N. Priorov Journal of Traumatology and Orthopedics. 2019;(2):5–13. doi: 10.17116/vto20190215
- Warner WC, Mendonça RGM. Adolescent spondylolysis: management and return to play. Instr Course Lect. 2017;66:409–413.
- Skryabin EG, Kolunin ET. Spinal traumas and disorders prevention in athletic training process. Theory and Practice of Physical Culture. 2018;(7):33–35. EDN: XTUZJR
- Lawrence KJ, Elser T, Stromberg R. Lumbar spondylolysis in the adolescent athlete. Phys Ther Sport. 2016;20:56–60. doi: 10.1016/j.ptsp.2016.04.003
- Randall RM, Silverstein M, Goodwin R. Review of pediatric spondylolysis and spondylolysthesis. Sports Med Arthrosc Rev. 2016;24(4):184–187. doi: 10.1097/JSA.0000000000000127
- Choi JH, Ochoa JK, Lubinus A, et al. Management of lumbar spondylolysis in the adolescent athlete: a review of over 200 cases. Spine J. 2022;22(10):1628–1633. doi: 10.1016/j.spinee.2022.04.011
- Takeuchi M, Tezuka F, Chikawa T, et al. Consecutive double-level lumbar spondylolysis successfully treatedwith the double "smiley face" rod method. J Med Invest. 2020;67(1.2):202–206. doi: 10.2152/jmi.67.202
- Zhang C, Ye C, Lai Yu, et al. Two-level lumbar spondylolysis and spondylolysthesis: a retrospective study. J Orthop Surg Res. 2018;13(1):55. doi: 10.1186/s13018-018-0723-3
- Sharifi G, Jahanbakhshi A, Daneshpajouh B, Rahimizadeh A. Bilateral three-level lumbar spondylolysis repaired by hook-screw technique. Global Spine J. 2012;2(1):51–6. doi: 10.1055/s-0032-1307255
- Nicol RO, Scott JH. Lytic spondylolysis. Repair by wiring. Spine (Phila Pa 1976). 1986;11(10):1027–30. doi: 10.1097/00007632-198612000-00011
- Buck JE. Direct repair of the defect in spondylolisthesis. Preliminary report. J Bone Joint Surg Br. 1970;52(3):432–7.
- Morscher E, Gerber B, Fasel J. Surgical treatment of spondylolisthesis by bone grafting and direct stabilization of spondylolysis by means of a hook screw. Arch Orthop Trauma Surg (1978). 1984;103(3):175–8. doi: 10.1007/BF00435550
- Nadulich K.A., Teremshonok A.V., Nagorny E.B. Treatment of patients with spondylolisis by bone autoplasty and osteosynthesis of vertebral body arch. Khirurgiya Pozvonochnika. 2011;(1):016–019. (In Russ.) doi: 10.14531/ss2011.1.16-19
- Tokuhashi Y, Matsuzaki H. Repair of defects in spondylolysis by segmental pedicular screw hook fixation. A preliminary report. Spine (Phila Pa 1976). 1996;21(17):2041–5. doi: 10.1097/00007632-199609010-00023
- Li DM, Peng BG. Surgical treatment of four segment lumbar spondylolysis: A case report. World J Clin Cases. 2021 Jun 16;9(17):4408–4414. doi: 10.12998/wjcc.v9.i17.4408
- Arai T, Sairyo K, Shibuya I, Kato K, Dezawa A. Multilevel direct repair surgery for three-level lumbar spondylolysis. Case Rep Orthop. 2013;2013:472968. doi: 10.1155/2013/472968
- Gillet P, Petit M. Direct repair of spondylolysis without spondylolisthesis, using a rod-screw construct and bone grafting of the pars defect. Spine (Phila Pa 1976). 1999;24(12):1252–6. doi: 10.1097/00007632-199906150-00014
- Yamashita K, Higashino K, Sakai T, et al. The reduction and direct repair of isthmic spondylolisthesis using the smiley face rod method in adolescent athlete: Technical note. J Med Invest. 2017;64(1.2):168–172. doi: 10.2152/jmi.64.168
- Patent RUS № 2796889 С1/ 05/29/23 IPC А61В 17/70 Kuleshov AA, Vetrile MS, Zakharin VR, et al. Method of surgical fixation of a zone of bilateral spondylolysis of L5 vertebra using a fixing device with transpedicular polyaxial screws. Available from: https://patents.google.com/patent/RU2796889C1/ru (In Russ). EDN: IVKFIL
Supplementary files










