Comparative analysis of the results of treatment of patients with extensive defects of the tibia using various technologies for fragment lengthening
- Authors: Borzunov D.Y.1, Kuftyrev L.M.1
-
Affiliations:
- Russian Research Center "Restorative Traumatology and Orthopedics" G.A. Ilizarov
- Issue: Vol 9, No 1 (2002)
- Pages: 29-34
- Section: Articles
- Submitted: 21.01.2022
- Accepted: 21.01.2022
- Published: 02.02.2022
- URL: https://journals.eco-vector.com/0869-8678/article/view/97088
- DOI: https://doi.org/10.17816/vto97088
- ID: 97088
Cite item
Full Text
Abstract
The comparative analysis of the efficacy of surgical and rehabilitation management for the substitution of vast tibia defects using various methods for fragment lenthening was performed. The tibia defect was over 7 cm. Technique of multilevel fragment lenthening gave the better restoration of bone defect with simultaneous decrease of rehabilitation terms and stages, in comparison with onelevel fragment lengthening.
Keywords
Full Text
Несмотря на успехи реконструктивно-восстановительной хирургии, лечение больных с обширными дефектами костей голени остается актуальной проблемой ортопедии-травматологии [3, 13, 16]. В настоящее время при выборе костно-пластического материала предпочтение отдается васкуляризованным трансплантатам, подвергающимся полной органотипической перестройке в процессе ремоделирования восстановленной кости [2, 11, 14, 20]. В литературе имеется целый ряд публикаций, посвященных сравнительному анализу результатов возмещения костных дефектов с использованием свободных васкуляризованных реплантатов и способов несвободной костной пластики по Г.А. Илизарову. Исследователи, отмечая эффективность применения свободных и несвободных кровоснабжаемых аутотрансплантатов, рассматривают эти способы костной пластики как альтернативные [6, 13, 21]. Основными критериями эффективности лечебных мероприятий применительно к замещению костных дефектов являются полнота восполнения дефекта, этапность и сроки реабилитационного процесса. Ряд авторов, признавая преимущества несвободной костной пластики по Илизарову, в том числе и перед использованием аутотрансплантатов на сосудистой ножке, сдержанно относятся к возмещению обширных дефектов длинных костей путем удлинения отломка, объясняя это длительностью и многоэтапностью лечебно-реабилитационного процесса [4, 13, 15].
Эволюция технологии удлинения отломка по Илизарову позволяет в настоящее время говорить о повышении эффективности несвободной костной пластики в плане полноты восполнения обширных дефектов длинных костей при сокращении сроков и этапности реабилитации [1, 6, 7, 17— 19]. Вместе с тем в литературе мы не встретили публикаций, посвященных сравнительному анализу эффективности применения различных способов замещения костных дефектов удлинением одного из отломков.
Целью настоящей работы был сравнительный анализ исходов реабилитации больных с аналогичными обширными дефектами костей голени при использовании различных технологий удлинения отломка.
МАТЕРИАЛ И МЕТОДЫ
Мы располагаем опытом возмещения дефектов берцовых костей многоуровневым удлинением отломка у 17 пациентов. Истинная величина дефекта складывалась из анатомического укорочения голени и межотломкового диастаза, включала величину планируемых удалений участков кости и инородных тел и равнялась 7,5~22 см (13,0± 1,1 см), что составляло 39,1±2,7% длины контралатерального сегмента.
Давность образования дефекта берцовых костей колебалась от 6 мес до 29 лет. При поступлении инвалидом I группы был 1 (5,9%) пациент, II группу инвалидности имели 3 (17,6%) больных и 6 (35,3%) человек являлись инвалидами с детства. Причинами образования дефектов были: врожденный ложный сустав — у 8 (47%) пациентов, травма и ее последствия — у 4 (23,5%), перенесенный гематогенный остеомиелит — у 1 (5,9%) больного. У 4 (23,5%) больных дефект образовался после сегментарной резекции кости по поводу остеобластокластомы.
Безуспешно оперированы на предшествующих этапах лечения 14 (82,3%) больных, из них 3 — однократно, 2 — дважды, 2 — трижды, 6 — четырежды, 1 больной оперирован шесть раз. Свободная аутопластика применялась в 2 случаях, пластика аллотрансплантатом — в 2, возмещение дефекта васкуляризованным аутотрансплантатом — в 1 (во всех случаях костная пластика осложнилась несращением, отторжением или патологическим переломом реплантата). Остеосинтез накостными и внутрикостными металлоконструкциями проводился 4 больным. У 10 пациентов безуспешно применялся чрескостный остеосинтез. У 5 больных послеоперационный период осложнился остеомиелитическим процессом, потребовавшим неоднократных секвестрнекрэктомий. Возмещение дефекта осуществлялось у 16 пациентов в условиях рубцового перерождения мягкотканного футляра сегмента, причем в 11 случаях рубцы были местами интимно спаяны с отломками берцовых костей.
Согласно классификации дефектов большеберцовой кости, предложенной В.Д. Макушиным [9, 17], дефект-диастазы были у 14 (82,4%) больные дефект-псевдоартрозы — у 3 (17,6%). Величина межотломкового диастаза составляла от 0,5 18 см (6,4±1,3 см) при анатомическом укорочений сегмента 6,3± 1,1 см. Во всех наблюдениях имелись метадиафизарные дефекты, без поражения суставных концов берцовых костей. Дефект локализовался в верхней трети метадиафиза у 2 (11,7%), в нижней трети — у 11 (64,7%), в средней трети диафиза — у 4 (23,5%) пациентов. Осевые деформации голени имелись у 11 (69%) больных. Атрофия костной ткани на протяжении отломков отмечалась у 13 (76,5%) больных, причем у 6 (35,3%) был изменен один отломок, у 7 (41,7%) — оба противолежащих отломка. У 3 (17%) пациентов атрофия отломков была в пределах 1/3 диаметра кости, у 6 (35,3%) не превышала 1/2 диаметра кости И у 4 (23,5%) больных костные отломки были резко истончены и эбурнированы на протяжении. Концы отломков имели неконгруэнтную форму у 13 (76,5%) больных, при этом для большинства наблюдений (11) был характерен атрофический тип мозолеобразования. Опороспособность конечности полностью отсутствовала у 7 (41,2%) пациентов. При ходьбе 16 (94,1%) больных пользовались вспомогательными средствами опоры. Кроме того, 2 пациента фиксировали конечность в съемном ортопедическом аппарате, 4 использовали для иммобилизации гипсовую повязку, 6 — тутор. При поступлении у 3 больных голень была фиксирована аппаратом чрескостной фиксации. Ограничение объема движений в смежных суставах имелось у 14 (82,4%) пациентов.
В соответствии с предложенной В.Д. Макушиным схемой оценки эффективности реабилитации [8, 9, 17] индекс патологии опорно-двигательного аппарата в данной группе больных составлял 7,6±0,6.
Анализ анатомо-функциональных исходов возмещения дефектов берцовых костей многоуровневым удлинением отломка проведен в сравнении с результатами реабилитации 45 пациентов, у которых аналогичные костные дефекты восполнялись за счет одноуровневого удлинения одного из отломков. Были изучены истории болезни пациентов, имевших истинные дефекты кости более 7,0 см (11,9±0,5 см), что составляло 31,5±1,5% потери костного вещества по отношению к контралатеральному сегменту. Инвалидность II группы имели 28 больных, III группы — 3 пациента, 6 человек были инвалидами с детства.
Причиной дефекта берцовых костей у 6 (13,3%) пациентов был врожденный ложный сустав, у 25 (55,6%) больных дефект образовался в результате многократных секвестрэктомий по поводу посттравматического остеомиелита, у 4 (8,9%) — после перенесенного гематогенного остеомиелита, у 10 (22,2%) — вследствие травматического повреждения большеберцовой кости или ее резекции. Дефект-псевдоартрозы были у 9 (20%) больных, де
фект-диастазы — у 36 (80%). Укорочение сегмента более 2 см имелось у 40 (88,9%) пациентов. По локализации дефекты распределялись следующим образом: верхняя треть диафиза — 5 ( 11,1%), средняя треть — 23 (51,1%), нижняя треть — 16 (35,6%). Дефекты суставных концов берцовых костей отмечались у 1 (2,2%) больного. Осевая деформация сегмента наблюдалась у 27 (60%) пациентов.
При анализе исходных рентгенограмм атрофия отломков большеберцовой кости констатирована у 27 (60%) больных. Концы отломков имели неконгруэнтную форму у 32 (71,1%) пациентов. У 1 (2,2%) больного концы отломков были остеопорозными, у 38 (84,4%) — склерозированными. Эбурнеация концов отломков отмечена в 6 (13,3%) случаях. Нормопластический тип мозолеобразования определялся у 14 (31,1%) больных, гипертрофический — у 3 (6,7%), атрофический — у 28 (62,2%).
Опороспособность конечности полностью отсутствовала у 32 (71,1%) больных. Пациенты были вынуждены для передвижения постоянно использовать дополнительные средства опоры и иммобилизацию. Неоднократные оперативные вмешательства, длительные сроки фиксации конечности гипсовыми повязками, туторами, съемными ортопедическими аппаратами стали у 37 (82,2%) больных основными причинами стойкого ограничения объема движений в смежных суставах. Индекс патологии опорно-двигательного аппарата в данной группе пациентов составлял 8,16±0,3.
РЕЗУЛЬТАТЫ И ОБСУЖДЕНИЕ
Методики многоуровневого последовательного удлинения отломка (МПУ) использовались преимущественно для возмещения дефект-диастазов большеберцовой кости. При наличии щелевидного дефект-псевдоартроза, а также межотломкового диастаза до 3 см одномоментно адаптировали концы отломков и устраняли анатомическое укорочение сегмента за счет многоуровневого одновременного формирования дистракционных регенератов (МОУ). МПУ отломка было осуществлено у 10 (58,8%) пациентов, МОУ — у 7 (41,2%).
Показанием к применению билокального последовательного дистракционно-компрессионного (БПДК) остеосинтеза служили дефекты большеберцовой кости с межотломковым диастазом более 1 см при наличии или отсутствии анатомического укорочения голени. Метод использован у 39 (86,7%) из 45 пациентов. Билокальный комбинированный компрессионно-дистракционный (БККД) остеосинтез был применен у 6 (13,3%) больных для устранения дефекта большеберцовой кости с щелевидным межотломковым диастазом и анатомическим укорочением сегмента.
Период дистракции при последовательном многоуровневом удлинении отломка большеберцовой кости продолжался 56±4,8 дня, при одновременном — 52,8±4,7 дня. При использовании методик БККД остеосинтеза продолжительность периода дистракции составляла 127,0±36,1 дня, БПКД — 144,7±12,6 дня (см. таблицу).
Табл. 1
Результативность различных технологий удлинения отломка при лечении больных с обширными дефектами берцовых костей (М±т)
Показатель | Билокальный комбинированный компрессионно-дистракционный остеосинтез (п=6) | Билокальный последовательный компрессионно-дистракционный остеосинтез (п=39) | Многоуровневое последовательное удлинение отломка (п=10) | Многоуровневое одновременное удлинение отломка (п=7) |
Межотломковый диастаз, см | 0,8±0,2 | 5,8+0,5 | 9,4+1,7 | 2,5±0,9 |
Укорочение, см | 11,2±1,9 | 6,1±0,5 | 2,8+0,8 | 10,7+0,6 |
Истинный дефект, см | 12+1,8 | 11,9±0,6 | 12,2±1,5 | 14,1+1,6 |
Соотношение дефекта с длиной сегмента, % | 30,4±5,7 | 31,6±1,5 | 36,6+3,6 | 42,3+4,0 |
Индекс патологии до лечения | 8,7±1,0 | 8,1±0,2 | 8,4+0,9 | 6,6±0,4 |
Срок дистракции, сут | 127,0±36,1 | 144,7±12,6 | 56,0+4,8 | 52,8+4,7 |
Срок фиксации, сут | 180,0±25,9 | 199,0=4=18,0 | 101,5=4=13,4 | 167,8+18,6 |
Срок остеосинтеза, сут | 323,0±52,1 | 361,2±25,6 | 284,1±30,5 | 291,4+28,6 |
Индекс фиксации | 17,8±3,3 | 26,1+2,9 | 10,3=Ы,3 | 16,5±1,9 |
Индекс остеосинтеза | 30,7±4,2 | 46,4+3,9 | 28,8±5,0 | 28,7±1,7 |
Возмещение дефекта, см | 10,8±1,2 | 8,8+0,7 | 11,2+1,6 | 10,1±0,7 |
Возмещение дефекта, % | 92,0±4,б | 74,3±3,5 | 91,2+4,6 | 78,3=4=8,1 |
Полнота реабилитации | 20,3±0,8 | 18,7±0,4 | 20,7+1,2 | 17,6=4=0,9 |
Эффект реабилитации | 11,7+0,9 | 10,7±0,4 | 12,2+1,3 | 11,0=4=0,9 |
При удлинении отломков по Илизарову восстановление анатомической целости сегмента предполагало не только восполнение дефекта костной ткани, но и достижение консолидации отломков на стыке. До настоящего времени нет единого мнения об определяющем критерии восстановления анатомической целости сегмента. Некоторые авторы основанием для демонтажа аппарата считают достижение костного сращения на стыке отломков [12]. Результаты лечения дефектов берцовых костей одноуровневым удлинением отломка соотносились с преобладающим в литературе мнением о необходимости в первую очередь учитывать степень органотипической перестройки дистракционного регенерата, так как период его фиксации всегда достаточен для перестройки контактного регенерата, независимо от варианта сращивания концов отломков [5, 10, 17]. Таким образом, продолжительность периода фиксации голени аппаратом Илизарова определялась перестройкой дистракционного регенерата и при БККД остеосинтезе составляла 180,0±25,9 дня, а при БПКД — 199,0± 18,0 дня. Индекс фиксации, рассчитанный на 1 см сформированного дистракционного регенерата, при БККД остеосинтезе равнялся 17,8±3,3, при БПКД — 26,1 ±2,9. При использовании методик одноуровневого удлинения отломка большеберцовой кости индекс остеосинтеза составлял 44,3±3,6, а остеосинтез продолжался 356,0±23,1 дня. При одноэтапной реабилитации больных дефект берцовых костей восполнялся на 76,8±3,2%, что составляло в абсолютных цифрах 9,1 ±0,6 см удлинения одного из отломков. Одноуровневое удлинение отломка обеспечивало полноту реабилитации пациентов с индексом от 13 до 25 (18,9±0,4), что свидетельствовало о нерезко выраженных анатомо-функциональных нарушениях конечности и создавало благоприятные условия для дальнейшей социальной и трудовой реабилитации [8, 9, 17].
При многоуровневом удлинении отломка продолжительность периода фиксации сегмента аппаратом определялась достижением костного сращения на стыке отломков большеберцовой кости. На наш взгляд, это в первую очередь связано с большей долей больных, имевших врожденную патологию опорно-двигательного аппарата. Известно, что наиболее трудной проблемой восстановления целости кости у данной категории больных является достижение костного сращения в зоне псевдоартроза. Восстановление опороспособности конечности — основная задача первого этапа реабилитации [19]. Вместе с тем при возмещении дефекта посредством формирования нескольких дистракционных регенератов малой величины требуется менее продолжительная их фиксация аппаратом и меньше срок последующей органотипической перестройки [6, 7]. Период фиксации голени аппаратом при МПУ отломка большеберцовой кости продолжался 101,5±13,4 дня, при МОУ — 167,8±18,6 дня. Индекс фиксации, рассчитанный на 1 см суммарной величины сформированных регенератов, при МПУ составил 10,3±1,3, при МОУ — 16,5±1,9. При возмещении дефектов берцовых костей многоуровневым удлинением отломка индекс остеосинтеза равнялся 28,7±2,8, а чрескостный остеосинтез продолжался 287,3±20,6 дня. Использование методик многоуровневого удлинения отломка обеспечивало возмещение обширных дефектов большеберцовой кости на 85,6±4,5% за один этап лечебно-реабилитационных мероприятий. При этом индекс полноты реабилитации составлял 19,3±0,8 за один этап лечебного процесса.
При контроле ближайших анатомо-функциональных результатов возмещения дефектов берцовых костей одноуровневым удлинением отломка рецидив несращения на стыке отломков отмечен у одного (2,2%) больного. При восполнении дефекта многоуровневым удлинением отломка опороспособность сегмента не восстановлена также у одного (5,8%) пациента.
Клинические примеры
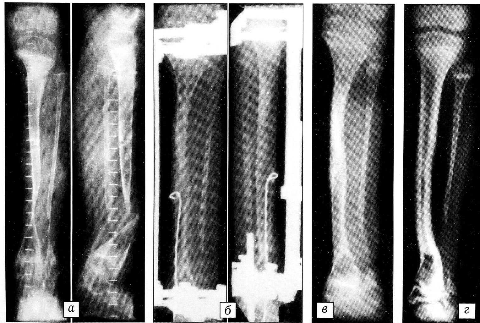
Рис. 1. Рентгенограммы больного Р. 5 лет.a — до лечения; б — в процессе остеосинтеза; в — ближайший результат лечения; г — результат лечения через 3,5 года после снятия аппарата.
Больной Р.,5 лет, поступил на лечение с диагнозом: врожденный ложный сустав костей левой голени; укорочение конечности 6 см; дефект большеберцовой кости (с учетом необходимости оперативного взаимопогружения истонченных на протяжении концов отломков) 10 см (рис. 1). Целость сегмента восстановлена за счет одноуровневого удлинения проксимального отломка большеберцовой кости и погружения его конца в метафизарный отдел дистального. Сформирован дистракционный регенерат величиной 5 см. Дистракция продолжалась 69 дней, фиксация — 116 дней. При контрольном осмотре через 3,5 года целость большеберцовой кости сохраняется.
Рис. 2. Рентгенограммы больной Б. 8 лет.: a — до лечения; б — на этапах остеосинтеза; в — после снятия аппарата.
Больная Б.,8 лет, находилась на лечении по поводу врожденного ложного сустава костей правой голени (рис. 2). Дефект большеберцовой кости с учетом выполненной резекции концов отломков составил 10 см. Дефект полностью замещен за счет последовательного двухуровневого удлинения проксимального отломка большеберцовой кости. Общий срок дистракции — 98 дней. Срок фиксации отломков на стыке — 83 дня.
Больной М.,33 лет, поступил по поводу посттравматического дефект-диастаза левой большеберцовой кости 11 см. Укорочение сегмента 2 см. Рентгенологически определяются межотломковый диастаз 9 см, консолидированный двойной перелом левой малоберцовой кости с дублированием концов отломков (рис. 3). Межотломковый диастаз в условиях рубцового процесса возмещен одноуровневым удлинением проксимального отломка большеберцовой кости. Дистракция осуществлялась 176 дней, период последующей фиксации сегмента аппаратом продолжался 135 дней. Опороспособность голени восстановлена.
Рис. 3. Рентгенограммы больного М. 33 лет.a — до лечения; б — в процессе остеосинтеза; в — после снятия аппарата.
Больной К., 26 лет, поступил с посттравматическим дефектом левой большеберцовой кости 20 см (рис. 4). В условиях рубцового перерождения мягких тканей сегмента анатомическая целость голени восстановлена за счет удлинения обоих отломков большеберцовой кости, причем дистальный отломок удлинен на двух уровнях. Время перемещения сформированных фрагментов до стыка — 179 дней, общий срок дистракции — 219 дней. Срок фиксации сегмента аппаратом составил 125 дней. Достигнуто костное сращение с восстановлением длины голени.
Рис. 4. Рентгенограммы больного К. 26 лет.a — до лечения; б — в процессе остеосинтеза; в — после снятия аппарата.
Заключение. Сравнительный анализ результатов клинического применения различных методик удлинения отломков берцовых костей свидетельствует об их эффективности и возможности повышения уровня реабилитации пациентов с одновременным сокращением срока и этапности лечения при использовании новых технологических решений. Так, при применении методик многоуровневого удлинения отломка период дистракции сокращался в 2,5 раза, период фиксации — в 1,3—1,9 раза по сравнению с аналогичными периодами остеосинтеза при возмещении дефектов берцовых костей одноуровневым удлинением отломка. Использование методик многоуровневого удлинения отломка давало возможность сократить срок чрескостного остеосинтеза в 1,5 раза, достигнув большей полноты возмещения дефекта. Это позволяет говорить о перспективности применения и возможностях развития нового метода несвободной костной пластики.
About the authors
D. Yu. Borzunov
Russian Research Center "Restorative Traumatology and Orthopedics" G.A. Ilizarov
Author for correspondence.
Email: info@eco-vector.com
Russian Federation, Kurgan
L. M. Kuftyrev
Russian Research Center "Restorative Traumatology and Orthopedics" G.A. Ilizarov
Email: info@eco-vector.com
Russian Federation, Kurgan
References
Supplementary files






