Cytoprotective preparations for the correction of the toxic effect of acrylic bone cement (experimental study)
- Authors: Mamaeva E.G.1, Anisimova L.O.1, Netylko G.I.1, Mashkov V.M.1, Eropkina E.M.1, Churilova I.V.2
-
Affiliations:
- Russian Institute of Traumatology and Orthopedics. R.R. Wreden
- Research Institute of Highly Pure Biopreparations
- Issue: Vol 9, No 1 (2002)
- Pages: 58-62
- Section: Articles
- Submitted: 22.01.2022
- Accepted: 22.01.2022
- Published: 02.02.2022
- URL: https://journals.eco-vector.com/0869-8678/article/view/97135
- DOI: https://doi.org/10.17816/vto97135
- ID: 97135
Cite item
Full Text
Abstract
Toxic effect of the methylmetacrylate monomer bone cement was studied in vivo at the experimental model. Marked changes of metabolism and inner organs structure of rabbits was detected. Efficacy of antioxidant and antihypoxant therapy for the decrease of unfourable side action of methylmetacrylate was shown.
Full Text
Имплантационный синдром, который может развиться при эндопротезировании крупных суставов с применением костного цемента на основе метилметакрилата (ММА), характеризуется острым нарушением функций дыхательной и сердечно-сосудистой систем, вплоть до остановки кровообращения [7, 8, 11]. Одной из основных причин этого осложнения считают влияние остаточного мономера ММА, оказывающего общее токсическое действие при попадании в кровоток [4].
В проведенных ранее исследованиях нами изучался механизм метаболических нарушений функционального состояния фибробластов человека в культуре в присутствии ММА [2]. Было показано, что ММА подавляет общую активность митохондриальных ферментов, в результате чего снижается энергетический потенциал клеток, развивается гипоксия и происходит усиление процессов перекисного окисления липидов — ПОЛ (проявление окислительного стресса). Эти нарушения приводят к дестабилизации клеточных мембран. Рост активности процессов ПОЛ, вызванный ММА, отмечен и другими исследователями [12].
Выявленные механизмы, лежащие в основе изменений состояния клеток и тканей при воздействии ММА, определили новые подходы к патогенетической терапии имплантационного синдрома. По-видимому, главными ее принципами должны стать защита клеточных мембран и коррекция процессов энергетического обеспечения клеток. В этой связи представляет интерес сочетанное использование цитопротекторных препаратов, обладающих антиоксидантными и антигипоксическими свойствами, так как гипоксические состояния практически всегда являются причиной не только нарушений энергетического метаболизма, но и неконтролируемого усиления процессов окислительной деструкции белков и липидов, что приводит, в частности, к дестабилизации клеточных мембран. Продолжая исследования в данном направлении, на экспериментальной модели in vitro мы показали, что совместное применение препаратов с антигипоксическими и антиоксидантными свойствами при введении их в клинически адекватных концентрациях способно существенно снизить токсическое воздействие ММА на фибробласты человека в культуре [9]. При этом наиболее выраженным защитным эффектом при сочетанном введении обладали антигипоксант мафусол и антиоксидант рексод.
Целью настоящего исследования стала разработка экспериментальной модели для оценки in vivo эффективности действия названных препаратов по предупреждению структурных изменений внутренних органов при общем токсическом воздействии мономера ММА.
МАТЕРИАЛ И МЕТОДЫ
Для проведения исследования использовали мономер ММА, применяемый для приготовления костного цемента «полакрис» (НПП «Феникс», Санкт-Петербург).
Цитопротекторную терапию осуществляли препаратами мафусол [забуференный раствор 0,1 М фумарата натрия) и рексод (лиофильно высушенная рекомбинантная супероксиддисмутаза). Мафусол — известный и широко применяемый в клинике субстратный антигипоксант, содержащий интермедиат цикла трикарбоновых кислот (ЦТК) фурамат натрия. Его антигипоксическое действие связывают со способностью непосредственно включаться в ЦТК и поддерживать окислительное фосфорилирование на достаточном уровне в условиях гипоксии. Супероксиддисмутаза — представитель ферментного звена эндогенной антиоксидантной системы. Она является наиболее сильным природным средством от супероксидных свободных радикалов, которые дисмутирует в водной среде до более слабого окислителя Н2О2. Рексод — первый отечественный препарат экзогенной супероксиддисмутазы для внутривенного введения (в настоящее время находится на стадии клинических испытаний).
Активность лактатдегидрогеназы (ЛДГ) в сыворотке крови измеряли спектрофотометрически [6], оценивая снижение концентрации NADH в ходе катализируемого ЛДГ превращения пирувата в лактат. Ферментативную активность выражали в микромолях NADH на 1 л в минуту. Газовый состав крови, кислотно-щелочное состояние, уровень иононизированного калия оценивали с помощью аппарата ABL-505 фирмы «Radiometer Medical».
Морфологические исследования проводили на гистологических препаратах паренхиматозных органов кроликов. В световом микроскопе Бимам-13 анализировали парафиновые срезы толщиной 7 мкм, окрашенные гематоксилином и эозином и по Ван-Гизону.
Для эксперимента были отобраны 36 половозрелых здоровых кроликов-самцов породы шиншилла массой 2,5-3 кг. Контрольным животным за 40 мин до введения ММА вводили внутривенно физиологический раствор в дозе 5,7 мл/кг, а опытным — мафусол в таком же количестве и за 10 мин внутривенно рексод в дозе 0,10 мг/кг. Мономер ММА вводили в ушную вену в дозах 0,3 г/кг (5 контрольных и 5 опытных животных), 0,15 г/кг (5 контрольных и 5 опытных), а также 0,075 г/кг (8 контрольных и 8 опытных животных) в течение 10-15 мин, что соответствует срокам его наиболее активного выделения в среду при полимеризации (согласно данным фирмыпроизводителя). Мономер ММА применяли в виде эмульсии, добавляя необходимое количество ММА к 5 мл физиологического раствора и смешивая до момента введения в течение 40 с (согласно рекомендациям фирмыпроизводителя, временной интервал смешивания мономера и полимера в клинике равен 40 с). По сведениям литературы, остаточный мономер может составлять до 5% от количества, использованного при приготовлении костного цемента [3]. Первая из использованных доз ММА является 100% летальной и соответствует количеству остаточного ММА в 20 порциях костного цемента, вторая доза (токсическая) — в 10 порциях, третья — в 5 порциях (хирургическая доза — такое количество костного цемента нередко применяется при операции эндопротезирования).
Газовый состав венозной крови, pH, уровень ионизированного калия, оснований (BE) и стандартного бикарбоната (SB), а также ЛДГ определяли перед введением мономера и непосредственно после него. Выживших животных выводили из опыта через 2-3 мин после окончания введения ММА. Достоверность различий лабораторных показателей оценивали непараметрическим методом по Вилкоксону—Манну—Уитни [1].
РЕЗУЛЬТАТЫ И ОБСУЖДЕНИЕ
После введения ММА в дозе 0,3 г/кг в течение первой минуты у всех контрольных животных наступила смерть при явлениях острой дыхательной недостаточности. Из опытных животных погибли 3, хотя у 2 выживших кроликов также отмечалась клиника острой дыхательной недостаточности. При введении дозы 0,15 г/кг в опытной группе летальных исходов не было, клинические признаки острой дыхательной недостаточности наблюдались у всех животных. В контрольной группе погибли 2 кролика, у 3 выживших животных имелась выраженная дыхательная недостаточность. При использовании дозы 0,075 г/кг в обеих группах выжили все животные, хотя у них также наблюдалась дыхательная недостаточность.
Как видно из табл. 1, у всех животных сопоставляемых групп после введения ММА отмечались развитие ацидоза, гипоксемии и гиперкапнии, гиперкалиемии (вследствие гемолиза), рост дефицита буферных оснований, снижение уровня стандартного бикарбоната, носившие в основном существенный характер. Выявленные изменения были дозозависимыми и свидетельствовали о развитии дыхательного и метаболического ацидоза, т.е. о поражении не только органов дыхания, но и всей системы регуляции КЩС. В то же время у леченых животных при летальной дозе ММА эти изменения были достоверно (р<0,05) менее выраженными. При применении токсической и хирургической доз ММА существенных различий между группами по изученным показателям найдено не было, однако выявлялась тенденция менее выраженного их ухудшения у леченых животных. Исключение составил уровень гиперкалиемии, который был значимо (р<0,05) выше у контрольных животных при применении токсической дозы.
Содержание ЛДГ, отражающее степень цитолиза, существенно (р<0,05) возрастало по сравнению с исходным при летальной и токсической дозах, а при хирургической дозе имело тенденцию к повышению (табл. 2). При 100% летальной дозе ММА различий между контрольной и опытной группами не отмечалось. При токсической и хирургической дозах ММА содержание ЛДГ в группах животных, получивших лечение, было достоверно (р<0,05) ниже.
Табл. 1. Влияние разных доз мономера метилметакрилата на показатели газового состава крови и кислотнощелочное состояние (М±т)
Показатель | Исходное значение | После введения ММА | |
контрольная группа | опытная группа | ||
Доза ММ А 0,3 г/кг (100% летальная) | |||
pH | 7,35+0,12 | 6,9+0,18* | 7,2+0,16** |
РС02 | 36,1+1,12 | 102,05+2,3* | 37,1+1,7** |
ро2 | 99,13+2,68 | 26,7+1,79* | 60,6+1,75** |
к+ | 5,08+0,27 | 7,8+0,77* | 5,9+0,27** |
BE | -4,2+1,06 | -15,4+1,21* | -13,2+0,79* |
SB | 20,8+1,11 | 11,4+1,03** | 13,9+0,82** |
Доза ММ А 0,15 г/кг (токсическая) | |||
pH | 7,37+0,08 | 7,12+0,15* | 7,18+0,13* |
РС02 | 35,98+1,07 | 42,6+1,16 | 38,5+0,99 |
| 102,8=4=2,18 | 44,7+1,30* | 51,8+1,80* |
к+ | 4,8+0,26 | 6,4+0,49* | 5,4+0,42** |
BE | -4,5+0,44 | -12,9+0,80* | -11,6+0,50* |
SB | 20,11+0,92 | 14,08+0,87* | 14,1+0,86* |
Доза ММА 0,075 г/кг (хирургическая) | |||
pH | 7,38=4=0,05 | 7,04+0,09* | 7,17+0,10* |
РС02 | 33,3+1,03 | 47,5+1,29 | 38,9+1,07 |
ро2 | 92,6+1,8 | 36,0+1,03* | 38,2+1,37* |
к+ | 4,3+0,21 | 5,7+0,43 | 5,1+0,34 |
BE | -3,2+0,42 | -17,8+0,82* | -12,8+0,48* |
SB | 21,6±0,79 | 18,5+0,56 | 21,0+0,72 |
* Различие с контрольной группой достоверно (р<0,05).
Примечание: РСО2, РО2 — в мм рт. ст.; К+, BE, SB — в ммоль/л.
Табл. 2. Изменения уровня лактатдегидрогеназы после применения мономера метилметакрилата (М+т)
Доза ММА | Уровень ЛДГ, мкмоль NADH/Cb • мин) | Прирост, % | |
исходный | после введения ММА | ||
100% летальная: контроль | 198,6+3,0 | 999,6+8,7* | 516,7+7,1 |
опыт | 198,5+2,4 | 903,3+10,5* | 464,0+2,5 |
Токсическая: контроль | 320,7=8=5,6 | 805,6+8,4* | 178,2+5,8 |
опыт | 437,0+5,1 | 581,6+7,6* | 29,8+2,7* |
Хирургическая: контроль | 392,5+7,1 | 658,1+6,8* | 152,4+2,2 |
опыт | 325,1+6,8 | 387,2+6,1 | 32,1 + 1,7* |
* Различие с контрольной группой достоверно (р<0,05).
Таким образом, результаты проведенных лабораторных исследований подтверждают имеющиеся данные о повреждении внутренних органов животных (в первую очередь легких) вследствие токсического влияния ММА [5, 7, 10]. Вместе с тем они свидетельствуют в пользу того, что механизм токсического влияния, как было показано в наших предыдущих исследованиях [2], основан прежде всего на повреждении клеточных мембран вследствие окислительного стресса и энергодефицита. Это подтверждается выявленными процессами гемолиза и цитолиза (гиперкалиемия и повышение содержания ЛДГ после воздействия ММА). Можно полагать, что антиоксидант и антигипоксант при их совместном применении уменьшают степень энергодефицита и окислительного стресса на клеточном уровне и предупреждают повреждение клеточных мембран как эритроцитов, так и тканей паренхиматозных органов. Этому предположению соответствуют приведенные выше результаты лабораторного исследования животных, получавших цитопротекторную терапию. Следует упомянуть, что некоторые из выявленных лабораторных изменений (ацидоз, гиперкапния) регистрируются и у больных при операциях эндопротезирования с использованием цемента [3].
Лабораторные данные подтверждены при морфологическом исследовании. Токсическое воздействие ММА проявлялось в структурных изменениях легких, миокарда и печени. В других внутренних органах изменений не выявлено.
Морфологические изменения при летальной дозе метилметакрилата
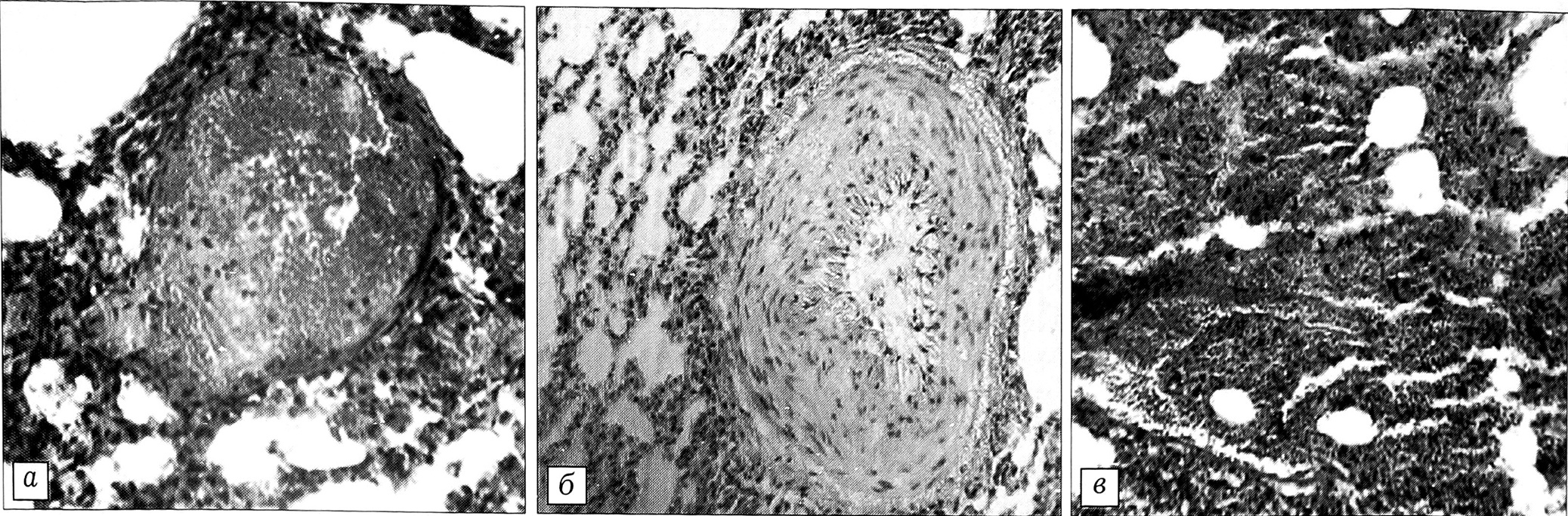
У животных контрольной группы наиболее выраженные изменения, заметные уже при макроскопическом исследовании, обнаружены в легких. Отмечалось неравномерное синюшно-красное окрашивание висцеральной плевры и снижение воздушности легочной ткани. Микроскопически выявлялись расстройства кровообращения: полнокровие сосудов всех типов, обширные поля кровоизлияний с разрывами стенок капилляров (рис. 1,а) и межальвеолярных перегородок; в некоторых сосудах определялись очаги набухания и слущивания эндотелиоцитов (рис. 1, б). Сосуды межальвеолярных перегородок были неравномерно полнокровны, в части случаев эритроциты как вне, так и внутри сосудов имели нечеткие контуры, что свидетельствовало об их гемолизе. На значительных участках картина кровоизлияний напоминала геморрагический инфаркт легкого (рис. 1, в). Обращало на себя внимание преимущественно субплевральное расположение кровоизлияний. Кроме эритроцитов, в просвете альвеол на значительных участках наблюдалось скопление отечной жидкости. Выявлялись очажки спадания легочной ткани — дистелектазы. Изменений эпителия бронхов при этом не отмечено.
У животных основной группы, получавших протективные препараты, морфологическая картина легких отличалась от описанной выше. Макроскопически легкие не имели столь выраженной синюшной окраски, ткань их была болеее воздушной, что подтверждено микроскопически. У части животных кровоизлияния в просвет альвеол полностью отсутствовали, у остальных выявлялись небольшие очажки преимущественно субплевральных кровоизлияний. При этом в альвеолах не содержалось отечной жидкости, что указывало на сохранение целости альвеолярно-капиллярного барьера. В то же время у всех животных имели место дистелектазы и полнокровие сосудов межальвеолярных перегородок.
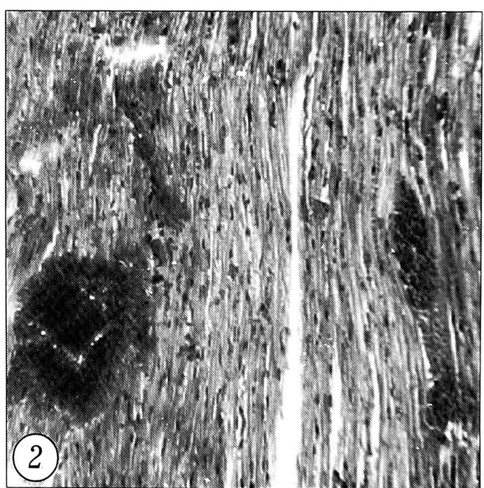
При анализе изменений миокарда у животных контрольной группы на первый план также выступали нарушения циркуляторного характера: полнокровие сосудов всех типов, необычные для миокарда мелкие субэпикардиальные кровоизлияния, гемолиз эритроцитов в полнокровных сосудах (рис. 2). Дистрофические изменения кардиомиоцитов проявлялись отсутствием на значительных участках поперечной исчерченности волокон и наличием зернистости цитоплазмы.
У животных, получавших рексод и мафусол, циркуляторные изменения в миокарде оказались менее выраженными: число и размер субэпикардиальных кровоизлияний у них были меньше. В то же время определялась очаговая зернистость цитоплазмы кардиомиоцитов при отсутствии их поперечной исчерченности (рис. 3).
Рис. 1. Микроскопическая картина легкого кролика контрольной группы (окраска гематоксилином и эозином).а — разрыв стенки сосуда (ув. 240); б — спазм стенки артериолы, набухание и слущивание эндотелиоцитов (ув. 240); в — обширные кровоизлияния в паренхиму, напоминающие инфаркт легкого (ув. 140).
В печеночных клетках контрольных животных обнаруживались явления белковой и жировой дистрофии: цитоплазма большинства гепатоцитов характеризовалась набуханием, зернистостью, наличием вакуолей, местами не имела четких контуров. Центральные венулы в большинстве случаев были спавшимися. Гепатоциты леченых животных имели признаки только белковой дистрофии.
Морфологические изменения при токсической дозе метилметакрилата
Как и при использовании летальной дозы ММА, были отмечены расстройства кровообращения в легких и миокарде, хотя и несколько менее выраженные.
У контрольных животных в легких выявлялись мелкие субплевральные кровоизлияния, более центрально расположенные обширные кровоизлияния, а также очаги скопления отечной жидкости в альвеолах. Сосуды легких и миокарда были расширены и полнокровны. Отмечались кровоизлияния под эпикард. В ткани печени выявлены изменения, аналогичные таковым при летальной дозе ММА.
У животных, получивших мафусол и рексод, альвеолы были воздушны на всем протяжении. Наблюдалось полнокровие сосудов легких. Небольшое число мелких кровоизлияний в просвет альвеол обнаружено только у 2 из 5 животных. У кроликов опытной группы кровоизлияния в миокард отсутствовали, дистрофические изменения кардиомиоцитов были менее выражены, чем у контрольных животных. Как и в контрольной группе, субэндокардиальные сосуды были расширены и полнокровны. В печени у леченых животных отмечалось очаговое полнокровие центральных венул. Дистрофических изменений цитоплазмы гепатоцитов не выявлено.
Морфологические изменения при хирургической дозе метилметакрилата
У животных контрольной группы по-прежнему отмечались субплевральные кровоизлияния в ткань легких, однако они были единичными и мелкими (в пределах нескольких альвеол). В миокарде определялись начальные дистрофические изменения клеток, полнокровие субэпикардиальных сосудов и единичные субэпикардиальные кровоизлияния.
У леченых животных обнаружено только очаговое полнокровие субплевральных и субэпикардиальных сосудов. Кардиомиоциты сохраняли поперечную исчерченность почти на всем протяжении.
Рис. 2. Микроскопическая картина миокарда кролика контрольной группы: на фоне фрагментированных кардиомиоцитов с явлениями белковой дистрофии видны множественные кровоизлияния (окраска гематоксилином и эозином, ув. 140).
Рис. 3. Микроскопическая картина миокарда леченого кролика: полнокровие сосудов, отсутствие кровоизлияний, слабо выраженные дистрофические изменения кардиомиоцитов (окраска гематоксилиногл и эозином, ув. 140).
В клетках печени животных контрольной группы выявлены признаки белковой и жировой дистрофии. При использовании цитопротекторов строение печени практически не отличалось от нормального.
Таким образом, морфологическое исследование показало, что токсическое действие ММА на внутренние органы кроликов имеет дозозависимый характер и проявляется прежде всего в нарушении гемоциркуляции и микроциркуляции. Наши данные согласуются с результатами исследований других авторов [5, 10]. Выраженное полнокровие преимущественно периферических сосудов мелкого калибра сопровождается кровоизлияниями в ткань легких и миокард, вероятно, за счет токсического действия на эндотелий сосудов, что подтверждается картиной разрыва сосудистой стенки. Наибольшая выраженность изменений в миокарде и легочной ткани соответствует клиническим проявлениям развития имплантационного синдрома при цементной фиксации компонентов эндопротеза [7]. Проведенное исследование показало защитное действие примененной цитопротекторной терапии, что документировано уменьшением выраженности микроциркуляторных расстройств в «органах-мишенях», значительным снижением степени повреждения легких и практически полным предотвращением поражения сердечной мышцы и печени.
Выводы
- Разработанная экспериментальная модель, по-видимому, может быть использована для изучения in vivo методов лечения токсического действия мономера метилметакрилата.
- Общее токсическое влияние мономера метилметакрилата приводит к развитию гипоксии различных уровней, осложняющейся выраженными изменениями регуляции гомеостаза и структурными нарушениями легких, сердца и печени.
- Сочетанное применение антигипоксанта мафусола и антиоксиданта рексода дает существенный цитопротекторный эффект при воздействии мономера метилметакрилата, что позволяет рассчитывать на перспективность их использования при операциях эндопротезирования крупных суставов с цементной фиксацией.
About the authors
E. G. Mamaeva
Russian Institute of Traumatology and Orthopedics. R.R. Wreden
Author for correspondence.
Email: info@eco-vector.com
Russian Federation, Saint Petersburg
L. O. Anisimova
Russian Institute of Traumatology and Orthopedics. R.R. Wreden
Email: info@eco-vector.com
Russian Federation, Saint Petersburg
G. I. Netylko
Russian Institute of Traumatology and Orthopedics. R.R. Wreden
Email: info@eco-vector.com
Russian Federation, Saint Petersburg
V. M. Mashkov
Russian Institute of Traumatology and Orthopedics. R.R. Wreden
Email: info@eco-vector.com
Russian Federation, Saint Petersburg
E. M. Eropkina
Russian Institute of Traumatology and Orthopedics. R.R. Wreden
Email: info@eco-vector.com
Russian Federation, Saint Petersburg
I. V. Churilova
Research Institute of Highly Pure Biopreparations
Email: info@eco-vector.com
Russian Federation, Saint Petersburg
References
Supplementary files





