Treatment of stale fractures of the neck of the metacarpal bones with an external fixation rod
- Authors: Goloborodko S.A.1
-
Affiliations:
- Center for Reconstructive Surgery of the Hand of Kharkiv Regional Clinical Traumatology Hospital and Kharkiv Medical Academy of Postgraduate Education
- Issue: Vol 9, No 1 (2002)
- Pages: 70-72
- Section: Articles
- Submitted: 22.01.2022
- Accepted: 22.01.2022
- Published: 02.02.2022
- URL: https://journals.eco-vector.com/0869-8678/article/view/97138
- DOI: https://doi.org/10.17816/vto97138
- ID: 97138
Cite item
Full Text
Abstract
In 32 patients with closed old metacarpal bone neck fractures the treatment by ligamentotaxis type was performed using external rod fixation device. Fracture consolidation was achieved in all cases. Preoperatively the displacement angle ranged from 50 to 20° (mean 35°), prior to the device disassembling the displacement angle varied from 25 to 5° (mean 5°). During fixation the displacement increased in one patient only.
Full Text
Закрытые переломы шейки пястных костей, особенно V, составляют значительный процент среди всех переломов пястных костей [8, 11]. Существует множество мнений по поводу способов их лечения [2, 3, 5, 10, 11], однако в основном это касается свежих переломов.
В тех случаях, когда перелом нестабилен и после общепринятой закрытой репозиции отломки не удерживаются фиксирующей повязкой, или происходит вторичное смещение, или больной поздно обращается за медицинской помощью, удержать отломки повязкой после вправления практически нереально [10]. Поэтому можно согласиться с Meyer и Wilson, которые рекомендуют при несвежих переломах (свыше 5_7 дней после травмы) производить либо закрытую репозицию с чрескостной фиксацией спицами, либо открытое вправление с фиксацией пластинами.
Не отвергая указанные выше инвазивные методы фиксации, мы хотим поделиться собственным опытом лечения несвежих подголовчатых переломов пястных костей с помощью стержневого аппарата наружной фиксации, конструкция которого была описана ранее [1].
МАТЕРИАЛ И МЕТОДЫ
Нами были оперированы 32 больных с закрытыми переломами шейки пястных костей со смещением отломков. Все пострадавшие — мужчины в возрасте от 14 до 48 лет (средний возраст 28 лет). Причиной перелома чаще всего являлся удар кулаком о твердый предмет. В 26 случаях была повреждена правая, в 6 — левая кисть. Перелом V пястной кости, или боксерский перелом, имел место у 25 человек, IV пястной кости — у 3 и II — у 4. От момента травмы до операции прошло в среднем 7 дней (от 24 ч до 12 дней). У 9 больных в других лечебных учреждениях безуспешно предпринимались попытки вправления и удержания отломков гипсовой повязкой.
Показанием к оперативному лечению мы считали перелом с любой степенью углового смещения, а тем более с наличием ротационного компонента и когтеобразной деформации пальца. Ни у одного из поступивших больных не пытались произвести закрытую репозицию с фиксацией гипсовой повязкой, всем пострадавшим сразу же накладывали стержневой аппарат наружной фиксации.
Методика лечения
Под низкой проводниковой анестезией (на уровне основания пястных костей) после нескольких мануальных редрессирующих манипуляций накладывали стержневой аппарат наружной фиксации. Два 2-миллиметровых резьбовых стержня вводили через оба кортикальных слоя в проксимальный фрагмент пястной кости. Один стержень (реже — два) вводили в диафиз проксимальной фаланги. Стержни вводили по тыльно-ульнарной стороне при переломах IV и V и по тыльно-радиальной стороне при переломах II пястной кости. В проксимальный отломок стержни вводили под углом 95-100° для того, чтобы сила тракции была направлена вдоль его оси и к тылу. С этой же целью в проксимальную фалангу стержень (стержни) вводили в положении ее переразгибания на 5-10°.
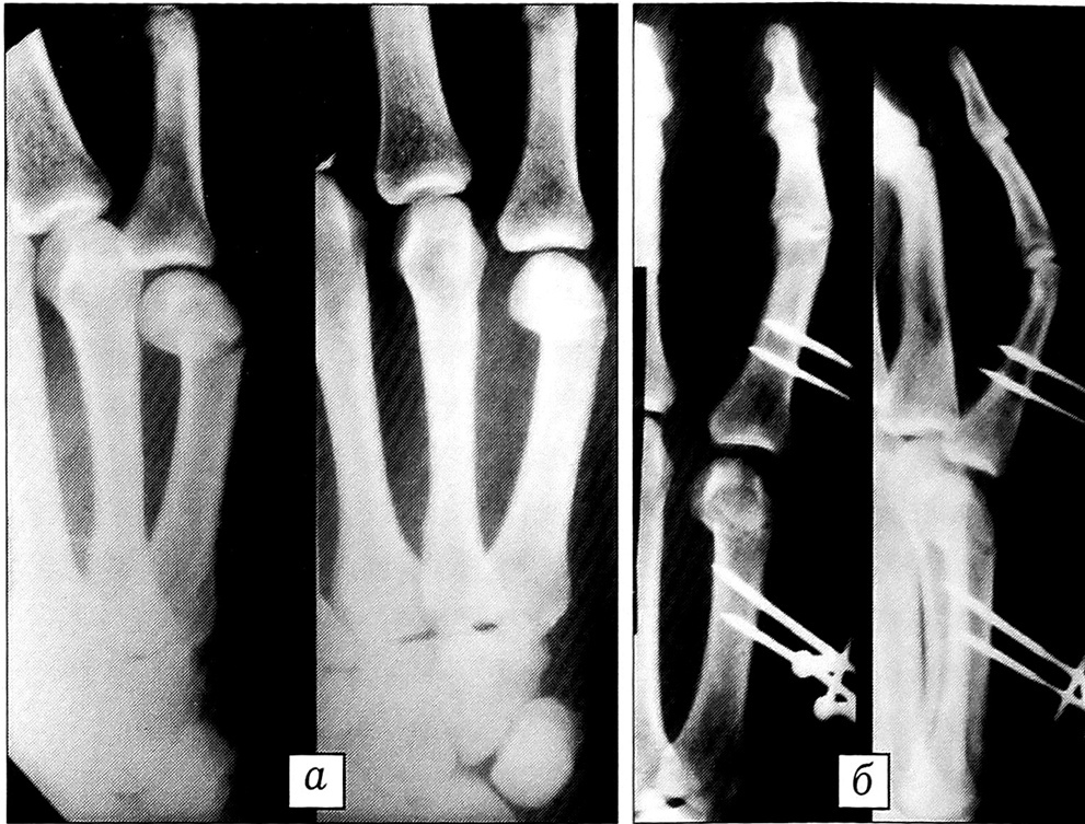
После наложения аппарата осуществляли умеренную дистракцию (2~3 оборота дистрактора) и выполняли обычную закрытую мануальную репозицию дистального отломка по известной методике [5]. Производили контрольную рентгенографию и при приемлемом стоянии отломков отпускали больного на амбулаторное лечение. На 4-5-й день после операции повторяли контрольную рентгенографию с целью выявления и предупреждения перерастяжения отломков. Один раз в 10 дней больной самостоятельно осуществлял 0,25 оборота дистрактора. Со 2-го дня после операции пациенту предлагали выполнять легкие активно-пассивные движения в межфаланговых суставах пальца. Аппарат демонтировали через 3—4 нед при наличии клинических и рентгенологических признаков сращения перелома (см. рисунок). Назначали реабилитационную терапию.
РЕЗУЛЬТАТЫ
Основная цель, которую мы преследовали, применяя данную методику, — предотвратить смещение отломков после их закрытой репозиции у больных с несвежими переломами шейки пястной кости (среди 32 наших пациентов был лишь один со свежим — 24 ч после травмы — неудачно вправленным переломом). Поэтому при оценке результатов основное внимание обращали на способность стержневого аппарата удержать отломки до полного сращения. Если это удавалось, считали, что аппарат и методика отлично выполнили свое предназначение.
До и после операции определяли угол смещения отломков по рентгенограммам в косой проекции. Угол смещения измеряли между контурами дорсального кортикального слоя обоих отломков пястной кости. До операции этот показатель колебался от 50 до 20° (в среднем 35°), а перед удалением аппарата — от 25 до 0° (в среднем 5°). Во время фиксации аппаратом угол, достигнутый в момент репозиции, изменился лишь у одного больного. Таким образом, аппарат выполнил свою фиксационную функцию у подавляющего большинства больных.
Из трудностей, встретившихся в процессе применения методики, отметим следующие. Упомянутый выше больной — с потерей достигнутой коррекции положения отломков — случайно ударился аппаратом о твердый предмет. При этом два проксимальных стержня сместились в тыльно-ульнарную сторону, из-за чего действие тракционных сил приобрело более волярное направление. В результате угол смещения увеличился от 0 до 25°. У другого больного на контрольной рентгенограмме угловое смещение отсутствовало, но имелось смещение дистального отломка к тылу на 2 мм. Выполнить дополнительную коррекцию стояния отломков нам не удалось, так как пациент самовольно покинул больницу. Заключительная контрольная рентгенограмма была получена нами из другого медицинского учреждения. Перелом сросся в обычные сроки, но со смещением по ширине. Функция пальца восстановлена полностью. Еще у одного больного отломки были перерастянуты на 1 мм, но перелом сросся за 3,5 нед с отличными осевыми параметрами. У четвертого пациента через 3 нед после клинически и рентгенологически установленного сращения отломков и снятия аппарата появились деформация и патологическая подвижность в области перелома. Причиной этого явилось чрезмерно интенсивное реабилитационное лечение. Пришлось повторно произвести закрытую репозицию отломков и наложение аппарата. Перелом сросся, однако полностью устранить смещение не удалось. Больной осмотрен через 5 лет после операции: функция пальца восстановлена полностью, хотя имеется слабо выраженная деформация. Других осложнений нами не отмечено.
Рентгенограммы больного с закрытым несвежим (10 дней после травмы) переломом шейки V пястной кости со смещением отломков.a — при поступлении; б — перед демонтажом стержневого аппарата наружной фиксации.
ОБСУЖДЕНИЕ
Единого мнения о методах лечения свежих и тем более несвежих переломов шейки пястных костей не существует. Как справедливо отмечают некоторые авторы [10], при несвежих переломах удержать репонированные отломки только с помощью шинирования невозможно. Поэтому приходится либо производить открытую репозицию и фиксировать отломки пластинами, проволокой, спицами [5, 9], либо выполнять закрытое вправление и стабилизировать фрагменты спицами или аппаратом наружной фиксации [10, И]. Недостатки открытого вправления и внутренней фиксации известны: травматичность, длительное нахождение инородного материала в тканях и необходимость удаления пластин, винтов, проволоки, травматизация разгибательного аппарата и т.д.
Фиксация спицами нестабильна и требует дополнительной иммобилизации. Более приемлемой является фиксация отломков после их закрытого вправления наружными фиксационными устройствами [4, 10]. Однако все они предполагают введение спицы или стержня в дистальный отломок, который зачастую имеет очень небольшой размер, и «вслепую» точно попасть в него спицей бывает чрезвычайно трудно. Кроме того, непосредственно после репозиции спицы или стержни жестко фиксируются в наружной опоре устройства, что полностью исключает возможность дополнительной коррекции положения отломков после контрольной рентгенографии.
При лечении рассматриваемых переломов мы также использовали стержневой аппарат наружной фиксации, но по несколько иной схеме, а именно по типу лигаментотаксиса. В дистальный отломок стержень не вводили, поэтому в случае необходимости можно было свободно произвести дополнительную коррекцию его положения. Монтируя аппарат таким образом, чтобы тракционная сила была направлена к тылу под углом 10-15° к оси проксимального отломка, мы рассчитывали на то, что произойдет дополнительное самовправление и поворот дистального отломка за счет натяжения ладонной фиброзно-хрящевой пластинки пястно-фалангового сустава. Особенно это касается переломов с небольшим дистальным отломком, когда мануальное вправление затруднено из-за короткого рычага.
После демонтажа аппарата амплитуда движений в пястно-фаланговом суставе восстанавливается довольно быстро, поскольку в период иммобилизации связки сустава постоянно находятся в растянутом состоянии.
При наличии углового смещения отломков многие авторы предлагают либо вообще не производить репозицию и иммобилизацию [6, 9], либо не устранять смещение под углом 40~70° [8]. При этом подчеркивается, что в любом случае достигается отличный функциональный результат. Мы не можем полностью согласиться с такими утверждениями, поскольку нам приходилось оперировать больных (капсулотомия, корригирующая остеотомия), у которых была выражена когтеобразная деформация, гиперэкстензионная контрактура в пястно-фаланговых суставах, из-за чего пострадавшие не могли сжать пальцы в кулак и полноценно осуществлять различные виды захвата. Не следует также забывать, что многие пациенты в силу определенного психологического статуса получают травму во время драки. Если ось пястной кости не будет восстановлена, то при очередном инциденте больной имеет все шансы получить повторный перелом. Мы старались во всех случаях полностью устранить угловое смещение. Если же сделать это не удавалось, то, как и другие авторы [7, 10], считали допустимым остаточное смещение с углом не более 25—30° для IV и V пястных костей (4 больных в нашей группе).
Мы не настаиваем на применении описанной методики при свежих переломах: в этом случае основным остается традиционный консервативный метод. При несвежих же переломах данная методика показала высокую эффективность и полностью оправдала себя.
About the authors
S. A. Goloborodko
Center for Reconstructive Surgery of the Hand of Kharkiv Regional Clinical Traumatology Hospital and Kharkiv Medical Academy of Postgraduate Education
Author for correspondence.
Email: info@eco-vector.com
Ukraine
References
Supplementary files


